Celiac Disease in Uzbek Children: Insights into Disease Prevalence and Clinical Characteristics in Symptomatic Pediatric Patients
Abstract
1. Introduction
2. Materials and Methods
2.1. Study Design and Population
2.2. Data Collection
2.3. Diagnostic Work-Up
2.4. Statistical Analysis
3. Results
3.1. Study Population: Demographic and Clinical Characteristics
3.2. Celiac Disease Patients: Clinical Characteristics and Diagnostic Work-Up
4. Discussion
5. Conclusions
Author Contributions
Funding
Institutional Review Board Statement
Informed Consent Statement
Data Availability Statement
Conflicts of Interest
References
- Lindfors, K.; Ciacci, C.; Kurppa, K.; Lundin, K.E.A.; Makharia, G.K.; Mearin, M.L.; Murray, J.A.; Verdu, E.F.; Kaukinen, K. Coeliac disease. Nat. Rev. Dis. Prim. 2019, 5, 3. [Google Scholar] [CrossRef]
- Therrien, A.; Kelly, C.P.; Silvester, J.A. Celiac Disease: Extraintestinal Manifestations and Associated Conditions. J. Clin. Gastroenterol. 2020, 54, 8–21. [Google Scholar] [CrossRef]
- Catassi, C.; Verdu, E.F.; Bai, J.C.; Lionetti, E. Coeliac disease. Lancet 2022, 399, 2413–2426. [Google Scholar] [CrossRef]
- Paul, S.P.; Stanton, L.K.; Adams, H.L.; Basude, D. Coeliac disease in children: The need to improve awareness in resource-limited settings. Sudan J. Paediatr. 2019, 19, 6–13. [Google Scholar] [CrossRef]
- Poddighe, D.; Abdukhakimova, D. Celiac Disease in Asia beyond the Middle East and Indian subcontinent: Epidemiological burden and diagnostic barriers. World J. Gastroenterol. 2021, 27, 2251–2256. [Google Scholar] [CrossRef]
- Singh, P.; Arora, A.; Strand, T.A.; Leffler, D.A.; Catassi, C.; Green, P.H.; Kelly, C.P.; Ahuja, V.; Makharia, G.K. Global Prevalence of Celiac Disease: Systematic Review and Meta-analysis. Clin. Gastroenterol. Hepatol. 2018, 16, 823–836. [Google Scholar] [CrossRef]
- Laurikka, P.; Nurminen, S.; Kivelä, L.; Kurppa, K. Extraintestinal Manifestations of Celiac Disease: Early Detection for Better Long-Term Outcomes. Nutrients 2018, 10, 1015. [Google Scholar] [CrossRef]
- Tye-Din, J.A. Review article: Follow-up of coeliac disease. Aliment. Pharmacol. Ther. 2022, 56 (Suppl. S1), S49–S63. [Google Scholar] [CrossRef]
- Poddighe, D.; Turganbekova, A.; Baymukasheva, D.; Saduakas, Z.; Zhanzakova, Z.; Abdrakhmanova, S. Genetic predisposition to celiac disease in Kazakhstan: Potential impact on the clinical practice in Central Asia. PLoS ONE 2020, 15, e0226546. [Google Scholar] [CrossRef]
- Poddighe, D.; Rakhimzhanova, M.; Marchenko, Y.; Catassi, C. Pediatric Celiac Disease in Central and East Asia: Current Knowledge and Prevalence. Medicina 2019, 55, 11. [Google Scholar] [CrossRef]
- Husby, S.; Koletzko, S.; Korponay-Szabó, I.R.; Mearin, M.L.; Phillips, A.; Shamir, R.; Troncone, R.; Giersiepen, K.; Branski, D.; Catassi, C.; et al. European Society for Pediatric Gastroenterology, Hepatology, and Nutrition. European Society for Pediatric Gastroenterology, Hepatology, and Nutrition guidelines for the diagnosis of coeliac disease. J. Pediatr. Gastroenterol. Nutr. 2012, 54, 136–160. [Google Scholar] [CrossRef]
- Fasano, A.; Catassi, C. Clinical practice. Celiac disease. N. Engl. J. Med. 2012, 367, 2419–2426. [Google Scholar] [CrossRef]
- Schiller, L.R.; Pardi, D.S.; Spiller, R.; Semrad, C.E.; Surawicz, C.M.; Giannella, R.A.; Krejs, G.J.; Farthing, M.J.; Sellin, J.H. Gastro 2013 APDW/WCOG Shanghai working party report: Chronic diarrhea: Definition, classification, diagnosis. J. Gastroenterol. Hepatol. 2014, 29, 6–25. [Google Scholar] [CrossRef]
- World Health Organization (WHO). Child Growth Standards. Available online: https://www.who.int/tools/child-growth-standards/standards (accessed on 20 June 2023).
- Collin, P.; Rasmussen, M.; Kyrönpalo, S.; Laippala, P.; Kaukinen, K. The hunt for coeliac disease in primary care. QJM 2002, 95, 75–77. [Google Scholar] [CrossRef][Green Version]
- Al Attas, R.A. How common is celiac disease in Eastern Saudi Arabia? Ann. Saudi Med. 2002, 22, 315–319. [Google Scholar] [CrossRef]
- Sanders, D.S.; Patel, D.; Stephenson, T.J.; Ward, A.M.; McCloskey, E.V.; Hadjivassiliou, M.; Lobo, A.J. A primary care cross-sectional study of undiagnosed adult coeliac disease. Eur. J. Gastroenterol. Hepatol. 2003, 15, 407–413. [Google Scholar] [CrossRef]
- Catassi, C.; Kryszak, D.; Louis-Jacques, O.; Duerksen, D.R.; Hill, I.; Crowe, S.E.; Brown, A.R.; Procaccini, N.J.; Wonderly, B.A.; Hartley, P.; et al. Detection of Celiac disease in primary care: A multicenter case-finding study in North America. Am. J. Gastroenterol. 2007, 102, 1454–1460. [Google Scholar] [CrossRef]
- Cristofori, F.; Fontana, C.; Magistà, A.; Capriati, T.; Indrio, F.; Castellaneta, S.; Cavallo, L.; Francavilla, R. Increased prevalence of celiac disease among pediatric patients with irritable bowel syndrome: A 6-year prospective cohort study. JAMA Pediatr. 2014, 168, 555–560. [Google Scholar] [CrossRef]
- Gatti, S.; Lionetti, E.; Balanzoni, L.; Verma, A.K.; Galeazzi, T.; Gesuita, R.; Scattolo, N.; Cinquetti, M.; Fasano, A.; Catassi, C.; et al. Increased Prevalence of Celiac Disease in School-age Children in Italy. Clin. Gastroenterol. Hepatol. 2020, 18, 596–603. [Google Scholar] [CrossRef]
- Lionetti, E.; Pjetraj, D.; Gatti, S.; Catassi, G.; Bellantoni, A.; Boffardi, M.; Cananzi, M.; Cinquetti, M.; Francavilla, R.; Malamisura, B.; et al. Prevalence and detection rate of celiac disease in Italy: Results of a SIGENP multicenter screening in school-age children. Dig. Liver Dis. 2023, 55, 608–613. [Google Scholar] [CrossRef]
- Makharia, G.K.; Catassi, C. Celiac Disease in Asia. Gastroenterol. Clin. N. Am. 2019, 48, 101–113. [Google Scholar] [CrossRef]
- Rostami Nejad, M.; Rostami, K.; Emami, M.; Zali, M.; Malekzadeh, R. Epidemiology of celiac disease in iran: A review. Middle East J. Dig. Dis. 2011, 3, 5–12. [Google Scholar]
- Abdukhakimova, D.; Dossybayeva, K.; Grechka, A.; Almukhamedova, Z.; Boltanova, A.; Kozina, L.; Nurgaliyeva, K.; Hasanova, L.; Tanko, M.N.; Poddighe, D. Reliability of the Multiplex CytoBead CeliAK Immunoassay to Assess Anti-tTG IgA for Celiac Disease Screening. Front. Med. 2021, 8, 731067. [Google Scholar] [CrossRef]
- Kamilova, A.T.; Azizova, G.K.; Umarnazarova, Z.E.; Abdullaeva, D.A.; Geller, S.I. The Activity of Antimicrobial Peptides in Pediatric Celiac Disease. Front. Pediatr. 2022, 10, 873793. [Google Scholar] [CrossRef]
- Abdujabarov, Z.M.; Kamilova, A.T. Immunogenetic profile in children with celiac disease the uzbek population. Eksp. Klin. Gastroenterol. 2016, 8, 9–12. [Google Scholar]
- Bolia, R.; Thapar, N. Celiac Disease in Children: A 2023 Update. Indian J. Pediatr. 2023; Epub ahead of print. [Google Scholar]
- Khatib, M.; Baker, R.D.; Ly, E.K.; Kozielski, R.; Baker, S.S. Presenting Pattern of Pediatric Celiac Disease. J. Pediatr. Gastroenterol. Nutr. 2016, 62, 60–63. [Google Scholar] [CrossRef]
- Riznik, P.; De Leo, L.; Dolinsek, J.; Gyimesi, J.; Klemenak, M.; Koletzko, B.; Koletzko, S.; Korponay-Szabó, I.R.; Krencnik, T.; Not, T.; et al. Clinical Presentation in Children with Coeliac Disease in Central Europe. J. Pediatr. Gastroenterol. Nutr. 2021, 72, 546–551. [Google Scholar] [CrossRef]
- Ludvigsson, J.F.; Leffler, D.A.; Bai, J.C.; Biagi, F.; Fasano, A.; Green, P.H.; Hadjivassiliou, M.; Kaukinen, K.; Kelly, C.P.; Leonard, J.N.; et al. The Oslo definitions for coeliac disease and related terms. Gut 2013, 62, 43–52. [Google Scholar] [CrossRef]
- Imran Cheema, H.A.; Alvi, M.A.; Rehman, M.U.; Ali, M.; Sarwar, H.A. Spectrum of Clinical Presentation of Celiac Disease in Pediatric Population. Cureus 2021, 13, e15582. [Google Scholar]
- Krauthammer, A.; Guz-Mark, A.; Zevit, N.; Marderfeld, L.; Waisbourd-Zinman, O.; Silbermintz, A.; Mozer-Glassberg, Y.; Nachmias Friedler, V.; Rozenfeld Bar Lev, M.; Matar, M.; et al. Age-Dependent Trends in the Celiac Disease: A Tertiary Center Experience. J. Pediatr. Gastroenterol. Nutr. 2021, 72, 894–899. [Google Scholar] [CrossRef]
- Saeed, A.; Assiri, A.; Assiri, H.; Ullah, A.; Rashid, M. Celiac disease in Saudi children. Evaluation of clinical features and diagnosis. Saudi Med. J. 2017, 38, 895–899. [Google Scholar] [CrossRef] [PubMed]
- Dhar, J.; Samanta, J.; Sharma, M.; Kumar, S.; Sinha, S.K.; Kochhar, R. Impact of delay in diagnosis in patients with celiac disease: A study of 570 patients at a tertiary care center. Indian J. Gastroenterol. 2022, 41, 30–36. [Google Scholar] [CrossRef] [PubMed]
- Semwal, P.; Gupta, R.K.; Sharma, R.; Garg, K. Comparison of Endoscopic and Histological Findings between Typical and Atypical Celiac Disease in Children. Pediatr. Gastroenterol. Hepatol. Nutr. 2018, 21, 86–92. [Google Scholar] [CrossRef]
- Volta, U.; Caio, G.; Stanghellini, V.; De Giorgio, R. The changing clinical profile of celiac disease: A 15-year experience (1998–2012) in an Italian referral center. BMC Gastroenterol. 2014, 14, 194. [Google Scholar] [CrossRef]
- Van Kalleveen, M.W.; de Meij, T.; Plötz, F.B. Clinical spectrum of paediatric coeliac disease: A 10-year single-centre experience. Eur. J. Pediatr. 2018, 177, 593–602. [Google Scholar] [CrossRef] [PubMed]
- Kamilova, A.T.; Azizova, G.K.; Geller, S.I. Current state of celiac disease diagnosis in Uzbekistan: Problems and solutions. Vopr. Det. Dietol. 2021, 19, 15–22. [Google Scholar] [CrossRef]
- Ramosaj-Morina, A.; Keka-Sylaj, A.; Zejnullahu, A.B.; Spahiu, L.; Hasbahta, V.; Jaha, V.; Kotori, V.; Bicaj, B.; Kurshumliu, F.; Zhjeqi, V.; et al. Celiac Disease in Kosovar Albanian Children: Evaluation of Clinical Features and Diagnosis. Curr. Pediatr. Rev. 2020, 16, 241–247. [Google Scholar] [CrossRef]
- Cataldo, F.; Montalto, G. Celiac disease in the developing countries: A new and challenging public health problem. World J. Gastroenterol. 2007, 13, 2153–2159. [Google Scholar] [CrossRef] [PubMed]
- Barada, K.; Abu Daya, H.; Rostami, K.; Catassi, C. Celiac disease in the developing world. Gastrointest. Endosc. Clin. N. Am. 2012, 22, 773–796. [Google Scholar]
- Şahin, N.Ü.; Şahin, N.; Kılıç, M. Effect of comorbid benign joint hypermobility and juvenile fibromyalgia syndromes on pediatric functional gastrointestinal disorders. Postgrad. Med. 2023, 135, 386–393. [Google Scholar] [CrossRef]
- Zarate, N.; Farmer, A.D.; Grahame, R.; Mohammed, S.D.; Knowles, C.H.; Scott, S.M.; Aziz, Q. Unexplained gastrointestinal symptoms and joint hypermobility: Is connective tissue the missing link? Neurogastroenterol. Motil. 2010, 22, 252-e78. [Google Scholar] [CrossRef]
- Rogler, G.; Singh, A.; Kavanaugh, A.; Rubin, D.T. Extraintestinal Manifestations of Inflammatory Bowel Disease: Current Concepts, Treatment, and Implications for Disease Management. Gastroenterology 2021, 161, 1118–1132. [Google Scholar] [CrossRef] [PubMed]
- Derfalvi, B.; Boros, K.K.; Szabo, D.; Bozsaki, G.; Cseh, A.; Rudas, G.; Muller, K.E.; Veres, G. Joint involvement, disease activity and quality of life in pediatric Crohn’s disease—A cross-sectional study. Pediatr. Rheumatol. Online J. 2022, 20, 6. [Google Scholar] [CrossRef] [PubMed]
- Poddighe, D.; Romano, M.; Dossybayeva, K.; Abdukhakimova, D.; Galiyeva, D.; Demirkaya, E. Celiac Disease in Juvenile Idiopathic Arthritis and Other Pediatric Rheumatic Disorders. J. Clin. Med. 2022, 11, 1089. [Google Scholar] [CrossRef]
- Doyle, J.B.; Lebwohl, B.; Askling, J.; Forss, A.; Green, P.H.R.; Roelstraete, B.; Söderling, J.; Ludvigsson, J.F. Risk of Juvenile Idiopathic Arthritis and Rheumatoid Arthritis in Patients with Celiac Disease: A Population-Based Cohort Study. Am. J. Gastroenterol. 2022, 117, 1971–1981. [Google Scholar] [CrossRef] [PubMed]
- Naddei, R.; Di Gennaro, S.; Guarino, A.; Troncone, R.; Alessio, M.; Discepolo, V. In a large Juvenile Idiopathic Arthritis (JIA) cohort, concomitant celiac disease is associated with family history of autoimmunity and a more severe JIA course: A retrospective study. Pediatr. Rheumatol. Online J. 2022, 20, 31. [Google Scholar] [CrossRef]
- Sherman, Y.; Karanicolas, R.; DiMarco, B.; Pan, N.; Adams, A.B.; Barinstein, L.V.; Moorthy, L.N.; Lehman, T.J. Unrecognized Celiac Disease in Children Presenting for Rheumatology Evaluation. Pediatrics 2015, 136, e68–e75. [Google Scholar] [CrossRef]
- Jericho, H.; Sansotta, N.; Guandalini, S. Extraintestinal Manifestations of Celiac Disease: Effectiveness of the Gluten-Free Diet. J. Pediatr. Gastroenterol. Nutr. 2017, 65, 75–79. [Google Scholar] [CrossRef]
- Daron, C.; Soubrier, M.; Mathieu, S. Occurrence of rheumatic symptoms in celiac disease: A meta-analysis: Comment on the article “Osteoarticular manifestations of celiac disease and non-celiac gluten hypersensitivity”. Jt. Bone Spine 2017, 84, 645–646. [Google Scholar] [CrossRef]
- Fasano, A. Intestinal permeability and its regulation by zonulin: Diagnostic and therapeutic implications. Clin. Gastroenterol. Hepatol. 2012, 10, 1096–1100. [Google Scholar] [CrossRef]
- Tripathi, A.; Lammers, K.M.; Goldblum, S.; Shea-Donohue, T.; Netzel-Arnett, S.; Buzza, M.S.; Antalis, T.M.; Vogel, S.N.; Zhao, A.; Yang, S.; et al. Identification of human zonulin, a physiological modulator of tight junctions, as prehaptoglobin-2. Proc. Natl. Acad. Sci. USA 2009, 106, 16799–16804. [Google Scholar] [CrossRef] [PubMed]
- Jauregi-Miguel, A. The tight junction and the epithelial barrier in coeliac disease. Int. Rev. Cell. Mol. Biol. 2021, 358, 105–132. [Google Scholar] [PubMed]
- Lammers, K.M.; Lu, R.; Brownley, J.; Lu, B.; Gerard, C.; Thomas, K.; Rallabhandi, P.; Shea-Donohue, T.; Tamiz, A.; Alkan, S.; et al. Gliadin induces an increase in intestinal permeability and zonulin release by binding to the chemokine receptor CXCR3. Gastroenterology 2008, 135, 194–204. [Google Scholar] [CrossRef]
- Szymanska, E.; Wierzbicka, A.; Dadalski, M.; Kierkus, J. Fecal Zonulin as a Noninvasive Biomarkerof Intestinal Permeability in Pediatric Patients with Inflammatory Bowel Diseases—Correlation with Disease Activity and Fecal Calprotectin. J. Clin. Med. 2021, 10, 3905. [Google Scholar] [CrossRef]
- Power, N.; Turpin, W.; Espin-Garcia, O.; Smith, M.I.; CCC GEM Project Research Consortium; Croitoru, K. Serum Zonulin Measured by Commercial Kit Fails to Correlate with Physiologic Measures of Altered Gut Permeability in First Degree Relatives of Crohn’s Disease Patients. Front. Physiol. 2021, 12, 645303. [Google Scholar] [CrossRef] [PubMed]
- Caviglia, G.P.; Dughera, F.; Ribaldone, D.G.; Rosso, C.; Abate, M.L.; Pellicano, R.; Bresso, F.; Smedile, A.; Saracco, G.M.; Astegiano, M. Serum zonulin in patients with inflammatory bowel disease: A pilot study. Minerva Med. 2019, 110, 95–100. [Google Scholar] [CrossRef]
- Malíčková, K.; Francová, I.; Lukáš, M.; Kolář, M.; Králíková, E.; Bortlík, M.; Ďuricová, D.; Štěpánková, L.; Zvolská, K.; Pánková, A.; et al. Fecal zonulin is elevated in Crohn’s disease and in cigarette smokers. Pract. Lab. Med. 2017, 9, 39–44. [Google Scholar] [CrossRef] [PubMed]
- Fasano, A. Surprises from celiac disease. Sci. Am. 2009, 301, 54–61. [Google Scholar] [CrossRef] [PubMed]
- Fasano, A.; Not, T.; Wang, W.; Uzzau, S.; Berti, I.; Tommasini, A.; Goldblum, S.E. Zonulin, a newly discovered modulator of intestinal permeability, and its expression in coeliac disease. Lancet 2000, 355, 1518–1519. [Google Scholar] [CrossRef] [PubMed]
- Drago, S.; El Asmar, R.; Di Pierro, M.; Grazia Clemente, M.; Tripathi, A.; Sapone, A.; Thakar, M.; Iacono, G.; Carroccio, A.; D’Agate, C.; et al. Gliadin, zonulin and gut permeability: Effects on celiac and non-celiac intestinal mucosa and intestinal cell lines. Scand. J. Gastroenterol. 2006, 41, 408–419. [Google Scholar] [CrossRef]
- Smecuol, E.; Sugai, E.; Niveloni, S.; Vázquez, H.; Pedreira, S.; Mazure, R.; Moreno, M.L.; Label, M.; Mauriño, E.; Fasano, A.; et al. Permeability, zonulin production, and enteropathy in dermatitis herpetiformis. Clin. Gastroenterol. Hepatol. 2005, 3, 335–341. [Google Scholar] [CrossRef] [PubMed]
- Visser, J.; Rozing, J.; Sapone, A.; Lammers, K.; Fasano, A. Tight junctions, intestinal permeability, and autoimmunity: Celiac disease and type 1 diabetes paradigms. Ann. N. Y. Acad. Sci. 2009, 1165, 195–205. [Google Scholar] [CrossRef] [PubMed]
- Heickman, L.K.W.; DeBoer, M.D.; Fasano, A. Zonulin as a potential putative biomarker of risk for shared type 1 diabetes and celiac disease autoimmunity. Diabetes. Metab. Res. Rev. 2020, 36, e3309. [Google Scholar] [CrossRef]
- Heidt, C.; Kämmerer, U.; Fobker, M.; Rüffer, A.; Marquardt, T.; Reuss-Borst, M. Assessment of Intestinal Permeability and Inflammation Bio-Markers in Patients with Rheumatoid Arthritis. Nutrients 2023, 15, 2386. [Google Scholar] [CrossRef]
- Tajik, N.; Frech, M.; Schulz, O.; Schälter, F.; Lucas, S.; Azizov, V.; Dürholz, K.; Steffen, F.; Omata, Y.; Rings, A. Targeting zonulin and intestinal epithelial barrier function to prevent onset of arthritis. Nat. Commun. 2020, 11, 1995. [Google Scholar] [CrossRef]
- Ciccia, F.; Guggino, G.; Rizzo, A.; Alessandro, R.; Luchetti, M.M.; Milling, S.; Saieva, L.; Cypers, H.; Stampone, T.; Di Benedetto, P.; et al. Dysbiosis and zonulin upregulation alter gut epithelial and vascular barriers in patients with ankylosing spondylitis. Ann. Rheum. Dis. 2017, 76, 1123–1132. [Google Scholar] [CrossRef]

| All (n = 206) | Male (n = 98) | Female (n = 108) | p-Value | |
|---|---|---|---|---|
| Gastrointestinal manifestations | ||||
| Diarrhea | 72 (34.9%) | 36 (36.7%) | 36 (33.3%) | 0.6091 |
| Bloating | 173 (84.0%) | 80 (81.6%) | 93 (86.1%) | 0.4483 |
| Vomiting | 53 (26.1%) | 27 (27.5%) | 26 (24.1%) | 0.6331 |
| Abdominal pain | 76 (36.8%) | 34 (34.7%) | 42 (38.9%) | 0.5652 |
| Constipation | 63 (30.6%) | 30 (60.6%) | 33 (30.5%) | 1.0000 |
| Extra-gastrointestinal manifestations | ||||
| Weight loss | 76 (36.9%) | 23 (23.5%) | 53 (49.1%) | 0.0002 * |
| Growth failure | 50 (24.2%) | 19 (19.4%) | 31 (28.7%) | 0.1437 |
| Short stature | 85 (41.2%) | 35 (35.7%) | 50 (46.3%) | 0.1564 |
| Enamel defects | 70 (34.0%) | 31 (31.6%) | 39 (36.1%) | 0.5567 |
| Anemia | 36 (17.5%) | 22 (22.4%) | 14 (12.9%) | 0.0977 |
| Headache | 37 (18.0%) | 19 (19.4%) | 18 (16.7%) | 0.7168 |
| Hyper-transaminasemia | 11 (5.3%) | 6 (6.12%) | 5 (4.6%) | 0.7599 |
| Oral aphthae | 38 (18.4%) | 17 (17.3%) | 21 (19.4%) | 0.7227 |
| Delayed puberty | 8 (3.8%) | 6 (6.1%) | 2 (1.8%) | 0.1543 |
| Joint pain | 57 (27.7%) | 27 (27.5%) | 30 (27.7%) | 1.0000 |
| Skin rashes | 70 (33.9%) | 34 (34.7%) | 36 (33.3%) | 0.8834 |
| Auxological parameters [median (IQR)] | ||||
| Age (years) | 3.6 (2.2, 8.5) | 3.6 (1.9, 9.4) | 3.5 (2.4, 6.6) | 0.2883 |
| Height (z-score) | −1.8 (−2.75, −0.71) | −1.94 (−3.14, −0.71) | −1.69 (−2.61, 0.66) | 0.4231 |
| Weight (z-score) | −1.51 (−2.42, −0.46) | −1.30 (−2.39, 0.23) | −1.66 (−2.48, −0.58) | 0.0882 |
| BMI (z-score) | −0.60 (−1.57, 0.37) | −0.21 (−1.32, 0.90) | −0.78 (−1.62, 0.01) | 0.0043 * |
| Age Groups | 1–4 yrs. (n = 112) | 5–8 yrs. (n = 40) | 9–12 yrs. (n = 35) | 13–17 yrs. (n = 19) | p-Value |
|---|---|---|---|---|---|
| Gastrointestinal manifestations | |||||
| Diarrhea | 52 (46.4%) | 9 (22.5%) | 10 (28.5%) | 6 (31.6%) | 0.1319 |
| Bloating | 101 (90.1%) | 30 (75.0%) | 23 (65.7%) | 16 (84.2%) | 0.4947 |
| Vomiting | 34 (30.3%) | 9 (22.5%) | 8 (22.8%) | 9 (47.4%) | 0.2232 |
| Abdominal pain | 36 (32.1%) | 14 (35.0%) | 13 (37.1%) | 13 (68.4%) | 0.1207 |
| Constipation | 38 (33.9%) | 14 (35.0%) | 9 (25.7%) | 4 (21.05%) | 0.7139 |
| Extra-gastrointestinal manifestations | |||||
| Weight loss | 42 (37.5%) | 18 (45.0%) | 5 (14.2%) | 0 (0%) | 0.0056 * |
| Growth failure | 23 (20.5%) | 8 (20.0%) | 13 (37.1%) | 14 (73.7%) | 0.0001 * |
| Short stature | 56 (50.0%) | 15 (37.5%) | 9 (25.7%) | 9 (47.3%) | 0.2649 |
| Enamel defects | 35 (31.25%) | 16 (40.0%) | 15 (37.1%) | 12 (63.1%) | 0.1426 |
| Anemia | 23 (20.5%) | 4 (10.0%) | 6 (17.1%) | 8 (42.1%) | 0.1028 |
| Headache | 4 (3.5%) | 13 (32.5%) | 13 (37.1%) | 11 (57.9%) | 0.0001 * |
| Hypertransaminasemia | 3 (2.6%) | 2 (5.0%) | 0 (0%) | 1 (5.2%) | 0.5724 |
| Oral aphthae | 22 (19.6%) | 2 (5.0%) | 10 (28.5%) | 8 (42.1%) | 0.0201 * |
| Joint pain | 3 (2.7%) | 13 (32.5%) | 6 (17.1%) | 6 (31.6%) | 0.0001 * |
| Skin rashes | 20 (17.8%) | 8 (20.0%) | 10 (28.5%) | 7 (36.8%) | 0.3172 |
| CD Patients (n = 11) | Non-CD Patients (n = 195) | p-Value | |
|---|---|---|---|
| Age (years) | 5.7 (2.0, 13.2) | 3.5 (2.2, 8.1) | 0.4050 |
| Gender (M:F) | 5:6 | 93:102 | 0.8850 |
| Height (z-score) | −2.0 (−3.10, −1.14) | −1.87 (−2.71, −0.64) | 0.5787 |
| Weight (z-score) | −2.30 (−3.38, −0.96) | −1.45 (−2.29,−0.26) | 0.2948 |
| BMI (z-score) | −1.15 (−3.44, −0.33) | −0.45 (−1.54, 0.51) | 0.0957 |
| Gastrointestinal manifestations | |||
| Diarrhea | 6 (54.5%) | 66 (33.8%) | 0.2192 |
| Bloating | 9 (81.8%) | 164 (84.1%) | 0.6905 |
| Vomiting | 4 (36.4%) | 49 (25.1%) | 0.4788 |
| Abdominal pain | 8 (72.7%) | 68 (34.9%) | 0.0203 * |
| Constipation | 3 (27.3%) | 60 (30.8%) | 0.3885 |
| Extra-gastrointestinal manifestations | |||
| Weight loss | 6 (54.5%) | 70 (35.9%) | 0.2192 |
| Growth failure | 3 (27.3%) | 47 (24.1%) | 0.7302 |
| Short stature | 6 (54.5%) | 79 (40.5%) | 0.3667 |
| Enamel defects | 8 (72.7%) | 62 (31.8%) | 0.0084 * |
| Anemia | 5 (45.5%) | 31 (15.9%) | 0.0259 * |
| Headache | 2 (18.2%) | 35 (17.9%) | 1.0000 |
| Hypertransaminasemia | 2 (18.2%) | 8 (4.1%) | 0.0923 |
| Oral aphthae | 3 (27.3%) | 35 (17.9%) | 0.4295 |
| Delayed puberty | 1 (9.1%) | 7 (3.6%) | 0.3604 |
| Joint pain | 5 (45.5%) | 52 (26.7%) | 0.1815 |
| Skin rashes | 2 (18.2%) | 68 (34.9%) | 0.3390 |
| Bristol Stool Scale | n = 195 | n = 11 | p Value | |
|---|---|---|---|---|
| Type 1 | Separate hard lumps, like nuts (difficult to pass) | 42 (20.4%) | 2 (18.2%) | 1.0000 |
| Type 2 | Sausage-shaped, but lumpy | 21 (10.2%) | 1 (9.1%) | 1.0000 |
| Type 3 | Like a sausage but with cracks on its surface | 15 (7.3%) | 1 (9.1%) | 0.5783 |
| Type 4 | Like a sausage or snake, smooth and soft (average stool) | 52 (25.2%) | 0 (0%) | 0.0700 |
| Type 5 | Soft blobs with clear-cut edges | 4 (1.9%) | 1 (9.1%) | 0.2310 |
| Type 6 | Fluffy pieces with ragged edges, a mushy stool (diarrhea) | 58 (28.2%) | 2 (18.2%) | 0.7313 |
| Type 7 | Watery, no solid pieces, entirely liquid (watery diarrhea) | 14 (6.8%) | 4 (36.3%) | 0.0077 * |
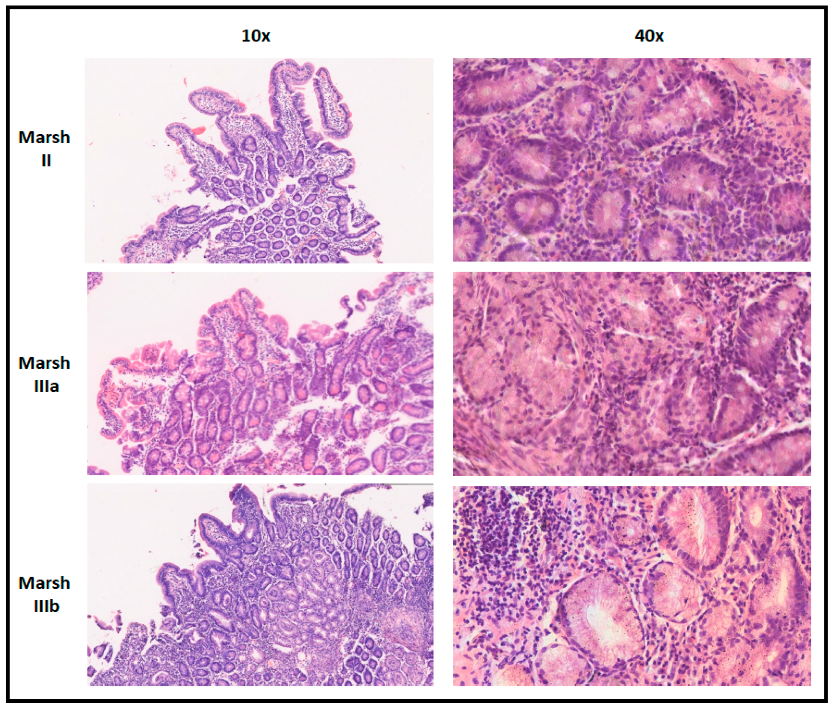
| Patients (n) | Anti-tTG IgA (U/mL) | Total IgA (mg/dL) | HLA-DQA1 (2 alleles) | HLA-DQB1 (2 alleles) | Marsh Grade | Zonulin (15–107 ng/mL) | Elastase (>200 mcg/mL) | Joint Pain |
|---|---|---|---|---|---|---|---|---|
| #1 | 110 | 2760 | 0301*0201 | 0302*0601 | IIIb | 104.5 | 685 | - |
| #2 | 131.2 | 200 | 0101*0501 | 0201*0602 | IIIb | 35 | 420 | Y |
| #3 | 171.8 | 350 | 0201*0501 | 0302*0303 | IIIb | 47.5 | 268.1 | - |
| #4 | 20.5 | 30 | 0201*0501 | 0201*0201 | IIIa | 224.1 | 360 | Y |
| #5 | 134.8 | 226 | 0103*0501 | 0201*0201 | II | 180.1 | 723.6 | - |
| #6 | 141.2 | 366 | 0301*0501 | 0303*0302 | IIIb | 60.9 | 231.5 | Y |
| #7 | 429.4 | 310 | 0201*0501 | 0503*0201 | IIIb | 160.7 | 814 | - |
| #8 | 109 | 140 | 0201*0501 | 0201*0601 | IIIa | 200.1 | 440 | Y |
| #9 | 203.2 | 210 | 0103*0501 | 0503*0201 | IIIb | 81.6 | 620 | - |
| #10 | 105.3 | 223 | 0201*0101 | 0201*0501 | IIIb | 199 | 341.7 | - |
| #11 | 155 | 157 | 0301*0103 | 0302*0303 | II | 310.1 | 150.1 | Y |
Disclaimer/Publisher’s Note: The statements, opinions and data contained in all publications are solely those of the individual author(s) and contributor(s) and not of MDPI and/or the editor(s). MDPI and/or the editor(s) disclaim responsibility for any injury to people or property resulting from any ideas, methods, instructions or products referred to in the content. |
© 2023 by the authors. Licensee MDPI, Basel, Switzerland. This article is an open access article distributed under the terms and conditions of the Creative Commons Attribution (CC BY) license (https://creativecommons.org/licenses/by/4.0/).
Share and Cite
Kamilova, A.T.; Azizova, G.K.; Poddighe, D.; Umarnazarova, Z.E.; Abdullaeva, D.A.; Geller, S.I.; Azimova, N.D. Celiac Disease in Uzbek Children: Insights into Disease Prevalence and Clinical Characteristics in Symptomatic Pediatric Patients. Diagnostics 2023, 13, 3066. https://doi.org/10.3390/diagnostics13193066
Kamilova AT, Azizova GK, Poddighe D, Umarnazarova ZE, Abdullaeva DA, Geller SI, Azimova ND. Celiac Disease in Uzbek Children: Insights into Disease Prevalence and Clinical Characteristics in Symptomatic Pediatric Patients. Diagnostics. 2023; 13(19):3066. https://doi.org/10.3390/diagnostics13193066
Chicago/Turabian StyleKamilova, Altinoy T., Gulnoza K. Azizova, Dimitri Poddighe, Zulkhumar E. Umarnazarova, Dilrabo A. Abdullaeva, Svetlana I. Geller, and Noiba D. Azimova. 2023. "Celiac Disease in Uzbek Children: Insights into Disease Prevalence and Clinical Characteristics in Symptomatic Pediatric Patients" Diagnostics 13, no. 19: 3066. https://doi.org/10.3390/diagnostics13193066
APA StyleKamilova, A. T., Azizova, G. K., Poddighe, D., Umarnazarova, Z. E., Abdullaeva, D. A., Geller, S. I., & Azimova, N. D. (2023). Celiac Disease in Uzbek Children: Insights into Disease Prevalence and Clinical Characteristics in Symptomatic Pediatric Patients. Diagnostics, 13(19), 3066. https://doi.org/10.3390/diagnostics13193066

