Transcatheter Interventions for Neonates with Congenital Heart Disease: A Review
Abstract
1. Introduction
2. Atrial Septal Communication
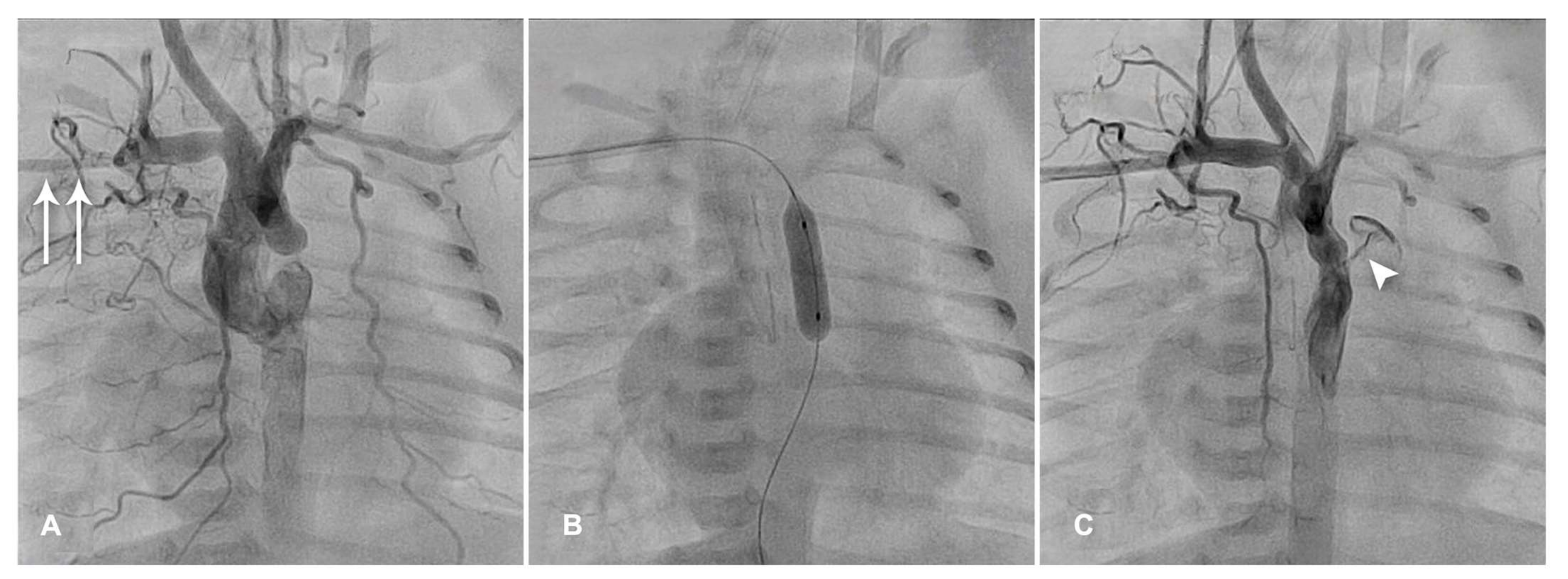
3. Ductus-Dependent Pulmonary Blood Flow CHD
4. Pulmonary Valve Stenosis and Pulmonary Atresia with Intact Ventricular Septum
5. Early Symptomatic Neonate with Tetralogy of Fallot
6. Aortic Valve Stenosis
7. Aortic Coarctation
8. Hybrid Stage I Palliation
9. Patent Ductus Arteriosus Closure in Low-Body Weight and Preterm Infants
10. Diagnostic and Prognostic Yield of Cardiac Catheterization
11. Conclusions
Funding
Informed Consent Statement
Acknowledgments
Conflicts of Interest
References
- Pruetz, J.D.; Carroll, C.; Trento, L.U.; Chang, R.K.; Detterich, J.; Miller, D.A.; Sklansky, M. Outcomes of critical congenital heart disease requiring emergent neonatal cardiac intervention. Prenat. Diagn. 2014, 34, 1127–1132. [Google Scholar] [CrossRef] [PubMed]
- Dorfman, A.T.; Marino, B.S.; Wernovsky, G.; Tabbutt, S.; Ravishankar, C.; Godinez, R.I.; Priestley, M.; Dodds, K.M.; Rychik, J.; Gruber, P.J.; et al. Critical heart disease in the neonate: Presentation and outcome at a tertiary care center. Pediatr. Crit. Care Med. 2008, 9, 193–202. [Google Scholar] [CrossRef] [PubMed]
- Hamzah, M.; Othman, H.F.; Peluso, A.M.; Sammour, I.; Aly, H. Prevalence and Outcomes of Balloon Atrial Septostomy in Neonates with Transposition of Great Arteries. Pediatr. Crit. Care Med. 2020, 21, 324–331. [Google Scholar] [CrossRef]
- Pedra, C.A.; Neves, J.R.; Pedra, S.R.; Ferreiro, C.R.; Jatene, I.; Cortez, T.M.; Jatene, M.; Souza, L.C.; Assad, R.; Fontes, V.F. New transcatheter techniques for creation or enlargement of atrial septal defects in infants with complex congenital heart disease. Catheter. Cardiovasc. Interv. 2007, 70, 731–739. [Google Scholar] [CrossRef] [PubMed]
- Feltes, T.F.; Bacha, E.; Beekman, R.H., 3rd; Cheatham, J.P.; Feinstein, J.A.; Gomes, A.S.; Hijazi, Z.M.; Ing, F.F.; de Moor, M.; Morrow, W.R.; et al. Indications for cardiac catheterization and intervention in pediatric cardiac disease: A scientific statement from the American Heart Association. Circulation 2011, 123, 2607–2652. [Google Scholar] [CrossRef] [PubMed]
- Aldoss, O.; Divekar, A. Modified Technique to Create Diabolo Stent Configuration. Pediatr. Cardiol. 2016, 37, 728–733. [Google Scholar] [CrossRef] [PubMed]
- Gossett, J.G.; Rocchini, A.P.; Lloyd, T.R.; Graziano, J.N. Catheter-based decompression of the left atrium in patients with hypoplastic left heart syndrome and restrictive atrial septum is safe and effective. Catheter. Cardiovasc. Interv. 2006, 67, 619–624. [Google Scholar] [CrossRef]
- Sasikumar, N.; Hermuzi, A.; Fan, C.P.S.; Lee, K.J.; Chaturvedi, R.; Hickey, E.; Honjo, O.; Van Arsdell, G.S.; Caldarone, C.A.; Agarwal, A.; et al. Outcomes of Blalock-Taussig shunts in current era: A single center experience. Congenit. Heart Dis. 2017, 12, 808–814. [Google Scholar]
- Dorobantu, D.M.; Pandey, R.; Sharabiani, M.T.; Mahani, A.S.; Angelini, G.D.; Martin, R.P.; Stoica, S.C. Indications and results of systemic to pulmonary shunts: Results from a national database. Eur. J. Cardio-Thorac. Surg. 2016, 49, 1553–1563. [Google Scholar]
- O’Connor, M.J.; Ravishankar, C.; Ballweg, J.A.; Gillespie, M.J.; Gaynor, J.W.; Tabbutt, S.; Dominguez, T.E. Early systemic-to-pulmonary artery shunt intervention in neonates with congenital heart disease. J. Thorac. Cardiovasc. Surg. 2011, 142, 106–112. [Google Scholar] [CrossRef]
- Gibbs, J.L.; Rothman, M.T.; Rees, M.R.; Parsons, J.M.; Blackburn, M.E.; Ruiz, C.E. Stenting of the arterial duct: A new approach to palliation for pulmonary atresia. Br. Heart J. 1992, 67, 240–245. [Google Scholar] [PubMed]
- Aggarwal, V.; Petit, C.J.; Glatz, A.C.; Goldstein, B.H.; Qureshi, A.M. Stenting of the ductus arteriosus for ductal-dependent pulmonary blood flow—Current techniques and procedural considerations. Congenit. Heart Dis. 2019, 14, 110–115. [Google Scholar] [PubMed]
- Tseng, S.Y.; Truong, V.T.; Peck, D.; Kandi, S.; Brayer, S.; Jason, D.P., 3rd; Mazur, W.; Hill, G.D.; Ashfaq, A.; Goldstein, B.H.; et al. Patent Ductus Arteriosus Stent Versus Surgical Aortopulmonary Shunt for Initial Palliation of Cyanotic Congenital Heart Disease with Ductal-Dependent Pulmonary Blood Flow: A Systematic Review and Meta-Analysis. J. Am. Heart Assoc. 2022, 11, e024721. [Google Scholar] [CrossRef] [PubMed]
- Glatz, A.C.; Petit, C.J.; Goldstein, B.H.; Kelleman, M.S.; McCracken, C.E.; McDonnell, A.; Buckey, T.; Mascio, C.E.; Shashidharan, S.; Ligon, R.A.; et al. Comparison between patent ductus arteriosus stent and modified Blalock- Taussig shunt as palliation for infants with ductal-dependent pulmonary blood flow: Insights from the congenital catheterization research collaborative. Circulation 2018, 137, 589–601. [Google Scholar] [PubMed]
- Mallula, K.; Vaughn, G.; El-Said, H.; Lamberti, J.J.; Moore, J.W. Comparison of ductal stenting versus surgical shunts for palliation of patients with pulmonary atresia and intact ventricular septum. Catheter. Cardiovasc. Interv. 2015, 85, 1196–1202. [Google Scholar] [PubMed]
- McMullan, D.M.; Permut, L.C.; Jones, T.K.; Johnston, T.A.; Rubio, A.E. Modified Blalock-Taussig shunt versus ductal stenting for palliation of cardiac lesions with inadequate pulmonary blood flow. J. Thorac. Cardiovasc. Surg. 2014, 147, 397–401. [Google Scholar]
- Santoro, G.; Gaio, G.; Capozzi, G.; Giugno, L.; Palladino, M.T.; Capogrosso, C.; D’Aiello, A.F.; Caianiello, G.; Russo, M.G. Fate of Hypoplastic Pulmonary Arteries After Arterial Duct Stenting in Congenital Heart Disease with Duct-Dependent Pulmonary Circulation. JACC Cardiovasc. Interv. 2015, 8, 1626–1632. [Google Scholar] [CrossRef]
- Bentham, J.R.; Zava, N.K.; Harrison, W.J.; Shauq, A.; Kalantre, A.; Derrick, G.; Chen, R.H.; Dhillon, R.; Taliotis, D.; Kang, S.L.; et al. Duct stenting versus modified Blalock-Taussig shunt in neonates with duct-dependent pulmonary blood flow: Associations with clinical outcomes in a multicenter national study. Circulation 2018, 137, 581–588. [Google Scholar]
- Qureshi, A.M.; Goldstein, B.H.; Glatz, A.C.; Agrawal, H.; Aggarwal, V.; Ligon, R.A.; McCracken, C.; McDonnell, A.; Buckey, T.M.; Whiteside, W.; et al. Classification scheme for ductal morphology in cyanotic patients with ductal dependent pulmonary blood flow and association with outcomes of patent ductus arteriosus stenting. Catheter. Cardiovasc. Interv. 2019, 93, 933–943. [Google Scholar] [CrossRef]
- Rehman, R.; Marhisham, M.C.; Alwi, M. Stenting the complex patent ductus arteriosus in tetralogy of Fallot with pulmonary atresia: Challenges and outcomes. Future Cardiol. 2018, 14, 55–73. [Google Scholar]
- Polat, T.B. Stenting the vertical ductus arteriosus via axillary artery access using “wire-target” technique. Congenit. Heart Dis. 2017, 12, 800–807. [Google Scholar] [PubMed]
- Choudhry, S.; Balzer, D.; Murphy, J.; Nicolas, R.; Shahanavaz, S. Percutaneous carotid artery access in infants < 3 months of age. Catheter. Cardiovasc. Interv. 2016, 87, 757–761. [Google Scholar] [PubMed]
- Meliota, G.; Lombardi, M.; Zaza, P.; Tagliente, M.R.; Vairo, U. Balloon angioplasty of aortic coarctation in critically ill newborns using axillary artery access. Ann. Pediatr. Cardiol. 2020, 13, 67–71. [Google Scholar] [CrossRef] [PubMed]
- Udink Ten Cate, F.E.; Sreeram, N.; Hamza, H.; Agha, H.; Rosenthal, E.; Qureshi, S.A. Stenting the arterial duct in neonates and infants with congenital heart disease and duct-dependent pulmonary blood flow: A multicenter experience of an evolving therapy over 18 years. Catheter. Cardiovasc. Interv. 2013, 82, E233–E243. [Google Scholar] [PubMed]
- Valdeomillos, E.; Jalal, Z.; Boudjemline, Y.; Thambo, J.B.; Filiale de Cardiologie Pédiatrique et Congénitale de la Société Française de Cardiologie. Transcatheter ductus arteriosus stenting in paediatric cardiology: Indications, results and perspectives. Arch. Cardiovasc. Dis. 2020, 113, 129–141. [Google Scholar] [CrossRef]
- Lee, K.J.; Seto, W.; Benson, L.; Chaturvedi, R.R. Pharmacokinetics of sirolimus-eluting stents implanted in the neonatal arterial duct. Circulat. Cardiovasc. Interv. 2015, 8, e002233. [Google Scholar]
- Aggarwal, V.; Dhillon, G.S.; Penny, D.J.; Gowda, S.T.; Qureshi, A.M. Drug-Eluting Stents Compared with Bare Metal Stents for Stenting the Ductus Arteriosus in Infants with Ductal-Dependent Pulmonary Blood Flow. Am. J. Cardiol. 2019, 124, 952–959. [Google Scholar] [CrossRef]
- Santoro, G.; Gaio, G.; Palladino, M.T.; Iacono, C.; Carrozza, M.; Esposito, R.; Russo, M.G.; Caianiello, G.; Calabrò, R. Stenting of the arterial duct in newborns with duct-dependent pulmonary circulation. Heart 2008, 94, 925–929. [Google Scholar]
- Schranz, D.; Michel-Behnke, I.; Heyer, R.; Vogel, M.; Bauer, J.; Valeske, K.; Akintürk, H.; Jux, C. Stent Implantation of the Arterial Duct in Newborns with a Truly Duct-Dependent Pulmonary Circulation: A Single-Center Experience with Emphasis on Aspects of the Interventional Technique. J. Interv. Cardiol. 2010, 23, 581–588. [Google Scholar]
- Alwi, M.; Mood, M.C. Stenting of lesions in patent ductus arteriosus with duct-dependent pulmonary blood flow: Focus on case selection, techniques and outcome. Interv. Cardiol. Clin. 2013, 2, 93–113. [Google Scholar]
- Boshoff, D.E.; Michel-Behnke, I.; Schranz, D.; Gewillig, M. Stenting the neonatal arterial duct. Expert Rev. Cardiovasc. Ther. 2007, 5, 893–901. [Google Scholar] [CrossRef] [PubMed]
- Kan, J.S.; White, R.I.; Mitchell, S.E.; Gardner, T.J. Percutaneous balloon valvuloplasty: A new method for treating congenital pulmonary-valve stenosis. N. Engl. J. Med. 1982, 307, 540–542. [Google Scholar] [PubMed]
- Devanagondi, R.; Peck, D.; Sagi, J.; Donohue, J.; Yu, S.; Pasquali, S.K.; Armstrong, A.K. Long-term outcomes of balloon valvuloplasty for isolated pulmonary valve stenosis. Pediatr. Cardiol. 2017, 38, 247–254. [Google Scholar] [CrossRef]
- Holzer, R.J.; Gauvreau, K.; Kreutzer, J.; Trucco, S.M.; Torres, A.; Shahanavaz, S.; Bergersen, L. Safety and efficacy of balloon pulmonary valvuloplasty: A multicenter experience. Catheter. Cardiovasc. Interv. 2012, 80, 663–672. [Google Scholar] [PubMed]
- Lawley, C.; Hockey, K.; Yeo, L.L.; Liava’a, M.; Roberts, P. Increasing Use of Neonatal Catheter Intervention for Pulmonary Atresia with Intact Ventricular Septum: Management Trends From a Single Centre. Heart Lung Circ. 2022, 31, 549–558. [Google Scholar] [CrossRef]
- Alwi, M. Management algorithm in pulmonary atresia with intact ventricular septum. Catheter. Cardiovasc. Interv. 2006, 67, 679–686. [Google Scholar] [CrossRef]
- Alwi, M.; Geetha, K.; Bilkis, A.A.; Lim, M.K.; Hasri, S.; Haifa, A.L.; Sallehudin, A.; Zambahari, R. Pulmonary atresia with intact ventricular septum percutaneous radiofrequency-assisted valvotomy and balloon dilation versus surgical valvotomy and Blalock Taussig shunt. J. Am. Coll. Cardiol. 2000, 35, 468–476. [Google Scholar] [CrossRef]
- Lefort, B.; Saint-Etienne, C.; Soulé, N.; Ma, I.; Dion, F.; Chantepie, A. Perforation of the atretic pulmonary valve using chronic total occlusion (CTO) wire and coronary microcatheter. Congenit. Heart Dis. 2019, 14, 814–818. [Google Scholar] [CrossRef]
- Bakhru, S.; Marathe, S.; Saxena, M.; Verma, S.; Saileela, R.; Dash, T.K.; Koneti, N.R. Transcatheter pulmonary valve perforation using chronic total occlusion wire in pulmonary atresia with intact ventricular septum. Ann. Pediatr. Cardiol. 2017, 10, 5–10. [Google Scholar] [CrossRef]
- Patil, N.C.; Saxena, A.; Gupta, S.K.; Juneja, R.; Mishra, S.; Ramakrishnan, S.; Kothari, S.S. Perforating the atretic pulmonary valve with CTO hardware: Technical aspects. Catheter. Cardiovasc. Interv. 2016, 88, E145–E150. [Google Scholar] [CrossRef]
- El Shedoudy, S.; El-Doklah, E. Transcatheter perforation of atretic pulmonary valve by the stiff end of a coronary wire in neonates with pulmonary atresia with intact ventricular septum: A solution in developing countries. J. Saudi Hear Assoc. 2018, 30, 222–232. [Google Scholar] [CrossRef]
- Petit, C.J.; Qureshi, A.M.; Glatz, A.C.; Kelleman, M.S.; McCracken, C.E.; Ligon, R.A.; Mozumdar, N.; Whiteside, W.; Khan, A.; Goldstein, B.H. Technical factors are associated with complications and repeat intervention in neonates undergoing transcatheter right ventricular decompression for pulmonary atresia and intact ventricular septum: Results from the congenital catheterisation research coll. Cardiol. Young 2018, 28, 1042–1049. [Google Scholar] [PubMed]
- Wright, L.K.; Knight, J.H.; Thomas, A.S.; Oster, M.E.; St Louis, J.D.; Kochilas, L.K. Long-term outcomes after intervention for pulmonary atresia with intact ventricular septum. Heart 2019, 105, 1007–1013. [Google Scholar] [CrossRef] [PubMed]
- Mi, Y.P.; Chau, A.K.T.; Chiu, C.S.W.; Yung, T.C.; Lun, K.S.; Cheung, Y.F. Evolution of the management approach for pulmonary atresia with intact ventricular septum. Heart 2005, 91, 657–663. [Google Scholar]
- Kirsch, R.E.; Glatz, A.C.; Gaynor, J.W.; Nicolson, S.C.; Spray, T.L.; Wernovsky, G.; Bird, G.L. Results of elective repair at 6 months or younger in 277 patients with tetralogy of Fallot: A 14-year experience at a single center. J. Thorac. Cardiovasc. Surg. 2014, 147, 713–717. [Google Scholar] [CrossRef]
- Wilder, T.J.; Van Arsdell, G.S.; Benson, L.; Pham-Hung, E.; Gritti, M.; Page, A.; Caldarone, C.A.; Hickey, E.J. Young infants with severe tetralogy of Fallot: Early primary surgery versus transcatheter palliation. J. Thorac. Cardiovasc. Surg. 2017, 154, 1692–1700.e2. [Google Scholar]
- Sandoval, J.P.; Chaturvedi, R.R.; Benson, L.; Morgan, G.; Van Arsdell, G.; Honjo, O.; Caldarone, C.; Lee, K.-J. Right Ventricular Outflow Tract Stenting in Tetralogy of Fallot Infants with Risk Factors for Early Primary Repair. Circ. Cardiovasc. Interv. 2016, 9, e003979. [Google Scholar] [CrossRef]
- Korbmacher, B.; Heusch, A.; Sunderdiek, U.; Gams, E.; Rammos, S.; Langenbach, M.R.; Schipke, J.D. Evidence for palliative enlargement of the right ventricular outflow tract in severe tetralogy of Fallot. Eur. J. Cardiothorac. Surg. 2005, 27, 945–948. [Google Scholar] [CrossRef]
- Gibbs, J.L.; Uzun, O.; Blackburn, M.E.; Parsons, J.M.; Dickinson, D.F. Right ventricular outflow stent implantation: An alternative to palliative surgical relief of infundibular pulmonary stenosis. Heart 1997, 77, 176–179. [Google Scholar]
- Dohlen, G.; Chaturvedi, R.R.; Benson, L.N.; Ozawa, A.; Van Arsdell, G.S.; Fruitman, D.S.; Lee, K.J. Stenting of the right ventricular outflow tract in the symptomatic infant with tetralogy of Fallot. Heart 2009, 95, 142–147. [Google Scholar] [CrossRef]
- Quandt, D.; Ramchandani, B.; Stickley, J.; Mehta, C.; Bhole, V.; Barron, D.J.; Stumper, O. Stenting of the right ventricular outflow tract promotes better pulmonary arterial growth compared with modified Blalock-Taussig Shunt Palliation in Tetralogy of Fallot-type lesions. JACC Cardiovasc. Interv. 2017, 10, 1774–1784. [Google Scholar] [PubMed]
- Barron, D.J.; Vanderlaan, R.D. Predicting the Future: Tetralogy of Fallot Will Be Primarily Treated with Catheter Based Intervention within Two Decades. Surgeon’s Perspective. Pediatr. Cardiol. 2020, 41, 546–552. [Google Scholar] [CrossRef] [PubMed]
- Glatz, A.C. Right Ventricular Outflow Tract Stenting: The Ideal Palliative Option in the Management of High-Risk Cyanotic Infants with Tetralogy of Fallot? Circ. Cardiovasc. Interv. 2016, 9, e004721. [Google Scholar] [CrossRef] [PubMed]
- Barron, D.J.; Ramchandani, B.; Murala, J.; Stumper, O.; De Giovanni, J.V.; Jones, T.J.; Stickley, J.; Brawn, W.J. Surgery following primary right ventricular outflow tract stenting for Fallot’s tetralogy and variants: Rehabilitation of small pulmonary arteries. Eur. J. Cardiothorac. Surg. 2013, 44, 656–662. [Google Scholar] [CrossRef] [PubMed]
- Drury, N.E.; Veldtman, G.R.; Benson, L.N. Neonatal aortic stenosis. Expert Rev. Cardiovasc. Ther. 2005, 3, 831–843. [Google Scholar] [CrossRef]
- Keane, J.F.; Driscoll, D.J.; Gersony, W.M.; Hayes, C.J.; Kidd, L.; O’Fallon, W.M.; Pieroni, D.R.; Wolfe, R.R.; Weidman, W.H. Second natural history study of congenital heart defects. Results of treatment of patients with aortic valvar stenosis. Circulation 1993, 87 (Suppl. S2), I16–I27. [Google Scholar]
- Lofland, G.K.; McCrindle, B.W.; Williams, W.G.; Blackstone, E.H.; Tchervenkov, C.I.; Sittiwangkul, R.; Jonas, R.A.; Society, C.H.S. Critical aortic stenosis in the neonate: A multiinstitutional study of management, outcomes, and risk factors. J. Thorac. Cardiovasc. Surg. 2001, 121, 10–27. [Google Scholar]
- Christensen, A.H.; Chaturvedi, R.R.; Callahan, C.P.; Lee, K.-J.; Wan, A.; Barron, D.J.; Honjo, O.; Benson, L.N. Current-Era Outcomes of Balloon Aortic Valvotomy in Neonates and Infants. JACC Adv. 2022, 1, 100004. [Google Scholar] [CrossRef]
- Hill, G.D.; Ginde, S.; Rios, R.; Frommelt, P.C.; Hill, K.D. Surgical Valvotomy Versus Balloon Valvuloplasty for Congenital Aortic Valve Stenosis: A Systematic Review and Meta-Analysis. J. Am. Heart Assoc. 2016, 5, e003931. [Google Scholar] [CrossRef]
- David, F.; Sánchez, A.; Yánez, L.; Velásquez, E.; Jiménez, S.; Martínez, A.; Alva, C. Cardiac pacing in balloon aortic valvuloplasty. Int. J. Cardiol. 2007, 116, 327–330. [Google Scholar] [CrossRef]
- Mylonas, K.S.; Kavvouras, C.; Karouli, P.; Avramidis, D.; Papagiannis, I.; Anderson, D.; Mitropoulos, F.; Tzifa, A. Rapid right ventricular pacing for balloon aortic valvuloplasty: Expanding its routine use in neonates and infants. Cardiol. Young 2020, 30, 1890–1895. [Google Scholar] [CrossRef] [PubMed]
- Mehta, C.; Shebani, S.; Grech, V.; Degiovanni, J. How to achieve balloon stability in aortic valvuloplasty using rapid ventricular pacing. Images Paediatr Cardiol. 2004, 6, 31–37. [Google Scholar] [PubMed]
- Ewert, P.; Bertram, H.; Breuer, J.; Dähnert, I.; Dittrich, S.; Eicken, A.; Emmel, M.; Fischer, G.; Gitter, R.; Gorenflo, M.; et al. Balloon valvuloplasty in the treatment of congenital aortic valve stenosis—A retrospective multicenter survey of more than 1000 patients. Int. J. Cardiol. 2011, 149, 182–185. [Google Scholar] [CrossRef] [PubMed]
- Boe, B.A.; Zampi, J.D.; Kennedy, K.F.; Jayaram, N.; Porras, D.; Foerster, S.R.; Armstrong, A.K. Acute Success of Balloon Aortic Valvuloplasty in the Current Era: A National Cardiovascular Data Registry Study. JACC Cardiovasc. Interv. 2017, 10, 1717–1726. [Google Scholar] [CrossRef] [PubMed]
- McElhinney, D.B.; Lock, J.E.; Keane, J.F.; Moran, A.M.; Colan, S.D. Left heart growth, function, and reintervention after balloon aortic valvuloplasty for neonatal aortic stenosis. Circulation 2005, 111, 451–458. [Google Scholar]
- Hashimoto, T.; Young, W.L.; Aagaard, B.D.; Joshi, S.; Ostapkovich, N.D.; Pile-Spellman, J. Adenosine-induced ventricular asystole to induce transient profound systemic hypotension in patients undergoing endovascular therapy: Dose-response characteristics. J. Am. Soc. Anesthesiol. 2000, 93, 998–1001. [Google Scholar] [CrossRef]
- Mylonas, K.S.; Ziogas, I.A.; Mylona, C.S.; Avgerinos, D.V.; Bakoyiannis, C.; Mitropoulos, F.; Tzifa, A. Rapid right ventricular pacing for balloon valvuloplasty in congenital aortic stenosis: A systematic review. World J. Cardiol. 2020, 12, 540–549. [Google Scholar] [CrossRef]
- Karamlou, T.; Bernasconi, A.; Jaeggi, E.; Alhabshan, F.; Williams, W.G.; Van Arsdell, G.S.; Coles, J.G.; Caldarone, C.A. Factors associated with arch reintervention and growth of the aortic arch after coarctation repair in neonates weighing less than 2.5 kg. J. Thorac. Cardiovasc. Surg. 2009, 137, 1163–1167. [Google Scholar] [CrossRef]
- Curzon, C.L.; Milford-Beland, S.; Li, J.S.; O’Brien, S.M.; Jacobs, J.P.; Jacobs, M.L.; Welke, K.F.; Lodge, A.J.; Peterson, E.D.; Jaggers, J. Cardiac surgery in infants with low birth weight is associated with increased mortality: Analysis of the Society of Thoracic Surgeons Congenital Heart Database. J. Thorac. Cardiovasc. Surg. 2008, 135, 546–551. [Google Scholar] [CrossRef]
- Garg, G.; Goyal, N.; Mandhan, G.; Sidana, P. Transfemoral balloon angioplasty of severe coarctation of aorta in 1200 g newborn. Ann. Pediatr. Cardiol. 2017, 10, 95–96. [Google Scholar] [CrossRef]
- Fiore, A.C.; Fischer, L.K.; Schwartz, T.; Jureidini, S.; Balfour, I.; Carpenter, D.; Demello, D.; Virgo, K.S.; Pennington, D.G.; Johnson, R.G. Comparison of angioplasty and surgery for neonatal aortic coarctation. Ann. Thorac. Surg. 2005, 80, 1659–1664; discussion 1664–1665. [Google Scholar] [CrossRef] [PubMed]
- Bouzguenda, I.; Marini, D.; Ou, P.; Boudjemline, Y.; Bonnet, D.; Agnoletti, G. Percutaneous treatment of neonatal aortic coarctation presenting with severe left ventricular dysfunction as a bridge to surgery. Cardiol. Young 2009, 19, 244–251. [Google Scholar] [CrossRef] [PubMed]
- Rothman, A.; Galindo, A.; Evans, W.N.; Collazos, J.C.; Restrepo, H. Effectiveness and safety of balloon dilation of native aortic coarctation in premature neonates weighing < or =2,500 grams. Am. J. Cardiol. 2010, 105, 1176–1180. [Google Scholar] [CrossRef] [PubMed]
- Sandoval, J.P.; Kang, S.L.; Lee, K.J.; Benson, L.; Asoh, K.; Chaturvedi, R.R. Balloon Angioplasty for Native Aortic Coarctation in 3- to 12-Month-Old Infants. Circ. Cardiovasc. Interv. 2020, 13, e008938. [Google Scholar] [CrossRef]
- Radtke, W.A.; Waller, B.R.; Hebra, A.; Bradley, S.M. Palliative stent implantation for aortic coarctation in premature infants weighing <1,500 g. Am. J. Cardiol. 2002, 90, 1409–1412. [Google Scholar] [CrossRef]
- Stegeman, R.; Breur, J.M.P.J.; Heuser, J.; Jansen, N.J.G.; de Vries, W.B.; Vijlbrief, D.C.; Molenschot, M.M.C.; Haas, F.; Krings, G.J. Primary coronary stent implantation is a feasible bridging therapy to surgery in very low birth weight infants with critical aortic coarctation. Int. J. Cardiol. 2018, 261, 62–65. [Google Scholar] [CrossRef]
- Mini, N.; Zartner, P.A.; Schneider, M.B.E. Stenting of critical aortic coarctation in neonates between 600 and 1,350 g. Using a transfemoral artery approach: A single center experience. Front. Cardiovasc. Med. 2022, 9, 1025411. [Google Scholar] [CrossRef]
- Gorenflo, M.; Boshoff, D.E.; Heying, R.; Eyskens, B.; Rega, F.; Meyns, B.; Gewillig, M. Bailout stenting for critical coarctation in premature/critical/complex/early recoarcted neonates. Catheter. Cardiovasc. Interv. 2009, 75, 553–561. [Google Scholar] [CrossRef]
- Sallmon, H.; Berger, F.; Cho, M.Y.; Opgen-Rhein, B. First use and limitations of Magmaris® bioresorbable stenting in a low birth weight infant with native aortic coarctation. Catheter. Cardiovasc. Interv. 2019, 93, 1340–1343. [Google Scholar] [CrossRef]
- Michel-Behnke, I.; Akintuerk, H.; Marquardt, I.; Mueller, M.; Thul, J.; Bauer, J.; Hagel, K.J.; Kreuder, J.; Vogt, P.; Schranz, D. Stenting of the ductus arteriosus and banding of the pulmonary arteries: Basis for various surgical strategies in newborns with multiple left heart obstructive lesions. Heart 2003, 89, 645–650. [Google Scholar] [CrossRef]
- Akintuerk, H.; Michel-Behnke, I.; Valeske, K.; Mueller, M.; Thul, J.; Bauer, J.; Hagel, K.J.; Kreuder, J.; Vogt, P.; Schranz, D. Stenting of the arterial duct and banding of the pulmonary arteries: Basis for combined Norwood stage I and II repair in hypoplastic left heart. Circulation 2002, 105, 1099–1103. [Google Scholar] [CrossRef] [PubMed]
- Galantowicz, M.; Cheatham, J.P.; Phillips, A.; Cua, C.L.; Hoffman, T.M.; Hill, S.L.; Rodeman, R. Hybrid approach for hypoplastic left heart syndrome: Intermediate results after the learning curve. Ann. Thorac. Surg. 2008, 85, 2063–2070; discussion 2070–2071. [Google Scholar] [CrossRef] [PubMed]
- Galantowicz, M.; Cheatham, J.P. Lessons learned from the development of a new hybrid strategy for the management of hypoplastic left heart syndrome. Pediatr. Cardiol. 2005, 26, 190–199. [Google Scholar] [CrossRef]
- Schranz, D.; Esmaeili, A.; Schrewe, R.; Kerst, G.; Akintuerk, H. Hypoplastic Left Heart Stage I: No Norwood, No Hybrid. Circulation 2020, 142, 1402–1404. [Google Scholar] [CrossRef] [PubMed]
- Goreczny, S.; Qureshi, S.; Rosenthal, E.; Krasemann, T.; Bedair, R.; Salih, C.; Austin, C.; Anderson, D.; Morgan, G.J. Self-expanding stent implantation in arterial duct during hybrid palliation of hypoplastic left heart syndrome: Midterm experience with a specially designed stent. EuroIntervention 2015, 10, 1318–1325. [Google Scholar] [CrossRef]
- Egan, M.J.; Hill, S.L.; Boettner, B.L.; Holzer, R.J.; Phillips, A.B.; Galantowicz, M.; Cheatham, J.P.; Kovalchin, J.P. Predictors of retrograde aortic arch obstruction after hybrid palliation of hypoplastic left heart syndrome. Pediatr. Cardiol. 2011, 32, 67–75. [Google Scholar] [CrossRef]
- Simsic, J.M.; Phelps, C.; Kirchner, K.; Carpenito, K.R.; Allen, R.; Miller-Tate, H.; Texter, K.; Galantowicz, M. Interstage outcomes in single ventricle patients undergoing hybrid stage 1 palliation. Congenit. Heart Dis. 2018, 13, 757–763. [Google Scholar] [CrossRef]
- Schranz, D.; Bauer, A.; Reich, B.; Steinbrenner, B.; Recla, S.; Schmidt, D.; Apitz, C.; Thul, J.; Valeske, K.; Bauer, J.; et al. Fifteen-year single center experience with the “Giessen Hybrid” approach for hypoplastic left heart and variants: Current strategies and outcomes. Pediatr. Cardiol. 2015, 36, 365–373. [Google Scholar] [CrossRef] [PubMed]
- Reich, B.; Heye, K.N.; Wetterling, K.; Logeswaran, T.; Hahn, A.; Akintürk, H.; Jux, C.; Schranz, D. Neurodevelopmental outcome in hypoplastic left heart syndrome after hybrid procedure. Transl. Pediatr. 2019, 8, 94–106. [Google Scholar] [CrossRef]
- Semberova, J.; Sirc, J.; Miletin, J.; Kucera, J.; Berka, I.; Sebkova, S.; O’Sullivan, S.; Franklin, O.; Stranak, Z. Spontaneous Closure of Patent Ductus Arteriosus in Infants ≤1500 g. Pediatrics 2017, 140, e20164258. [Google Scholar] [CrossRef]
- Hamrick, S.E.; Hansmann, G. Patent ductus arteriosus of the preterm infant. Pediatrics 2010, 125, 1020–1030. [Google Scholar] [CrossRef] [PubMed]
- Zahn, E.M.; Peck, D.; Phillips, A.; Nevin, P.; Basaker, K.; Simmons, C.; McRae, M.E.; Early, T.; Garg, R. Transcatheter Closure of Patent Ductus Arteriosus in Extremely Premature Newborns: Early Results and Midterm Follow-Up. JACC Cardiovasc. Interv. 2016, 9, 2429–2437. [Google Scholar] [CrossRef]
- Sathanandam, S.; Justino, H.; Waller, B.R., 3rd; Radtke, W.; Qureshi, A.M. Initial clinical experience with the Medtronic Micro Vascular Plug™ in transcatheter occlusion of PDAs in extremely premature infants. Catheter. Cardiovasc. Interv. 2017, 89, 1051–1058. [Google Scholar] [CrossRef] [PubMed]
- Sathanandam, S.K.; Gutfinger, D.; O’Brien, L.; Forbes, T.J.; Gillespie, M.J.; Berman, D.P.; Armstrong, A.K.; Shahanavaz, S.; Jones, T.K.; Morray, B.H.; et al. Amplatzer Piccolo Occluder clinical trial for percutaneous closure of the patent ductus arteriosus in patients ≥700 grams. Catheter. Cardiovasc. Interv. 2020, 96, 1266–1276. [Google Scholar] [CrossRef] [PubMed]
- Sathanandam, S.; Balduf, K.; Chilakala, S.; Washington, K.; Allen, K.; Knott-Craig, C.; Rush Waller, B.; Philip, R. Role of Transcatheter patent ductus arteriosus closure in extremely low birth weight infants. Catheter. Cardiovasc. Interv. 2019, 93, 89–96. [Google Scholar] [CrossRef] [PubMed]
- Serrano, R.M.; Madison, M.; Lorant, D.; Hoyer, M.; Alexy, R. Comparison of ‘post-patent ductus arteriosus ligation syndrome’ in premature infants after surgical ligation vs. percutaneous closure. J. Perinatol. 2020, 40, 324–329. [Google Scholar] [CrossRef] [PubMed]
- McCrindle, B.W. Independent predictors of long-term results after balloon pulmonary valvuloplasty. Valvuloplasty and Angioplasty of Congenital Anomalies (VACA) Registry Investigators. Circulation 1994, 89, 1751–1759. [Google Scholar] [CrossRef]
- Krishnamurthy, R.; Golriz, F.; Toole, B.J.; Qureshi, A.M.; Crystal, M.A. Comparison of computed tomography angiography versus cardiac catheterization for preoperative evaluation of major aortopulmonary collateral arteries in pulmonary atresia with ventricular septal defect. Ann. Pediatr. Cardiol. 2020, 13, 117–122. [Google Scholar] [CrossRef]
- Sullivan, P.M.; Rubio, A.E.; Johnston, T.A.; Jones, T.K. Long-term outcomes and re-interventions following balloon aortic valvuloplasty in pediatric patients with congenital aortic stenosis: A single-center study. Catheter. Cardiovasc. Interv. 2017, 89, 288–296. [Google Scholar] [CrossRef]
- Maskatia, S.A.; Ing, F.F.; Justino, H.; Crystal, M.A.; Mullins, C.E.; Mattamal, R.J.; O’Brian Smith, E.; Petit, C.J. Twenty-five year experience with balloon aortic valvuloplasty for congenital aortic stenosis. Am. J. Cardiol. 2011, 108, 1024–1028. [Google Scholar] [CrossRef]
- Barry, O.M.; Bouhout, I.; Turner, M.E.; Petit, C.J.; Kalfa, D.M. Transcatheter Cardiac Interventions in the Newborn: JACC Focus Seminar. J. Am. Coll. Cardiol. 2022, 79, 2270–2283. [Google Scholar] [CrossRef] [PubMed]





| Transcatheter Procedure | Indications | Complications |
|---|---|---|
| Balloon atrial septostomy | Restrictive atrial communication in: D-TGA, DORV with TGA physiology (parallel circulations), tricuspid atresia, PA-IVS with RVDCC or hypoplastic RV (right heart obstructive CHD). | Embolization, IVC laceration, cardiac perforation. |
| Atrial septum perforation/static balloon septoplasty and/or stent implantation | HLHS complex with restrictive atrial communication | Stent embolization, cardiac perforation. Late: in-stent stenosis. |
| PDA stenting | Ductus-dependent PBF until next stage of surgery (repair or II stage SV palliation); PA-IVS after PV perforation (inadequate anterograde PBF). | Acute: stent thrombosis, migration and embolization. Late: in-stent stenosis, PA branch jailing. |
| Pulmonary valvuloplasty | Critical PVS, PVS and RV dysfunction, severe PVS (RV-PA invasive peak gradient ≥ 40 mmHg) | Tricuspid valve injury, cardiac perforation. |
| Pulmonary valve perforation | PA-IVS with membranous PA (excluded RVDCC); ToF-PA prior to RVOT stenting. | Tricuspid valve injury, cardiac and pulmonary artery perforation. |
| RVOT stenting | Severe RVOT obstruction in ToF and DORV with ToF physiology with diminutive/hypoplastic PAs and surgical risk factors: prematurity, low BW, age <3 months, extracardiac condition requiring surgery | Stent migration, in-stent stenosis, stent fracture, obstruction due to somatic growth. |
| Aortic valvuloplasty | Critical AVS, AVS and LV systolic disfunction, severe AVS (LV-Ao invasive peak gradient ≥ 50 mmHg) | Significant aortic regurgitation, mitral valve injury, cardiac perforation. |
| BAA/stent implantation | CoAo and concomitant high surgical risk: prematurity, low BW, LV systolic dysfunction, LCO state | BAA: Acute aortic dissection, aortic aneurysm. Stent: in-stent stenosis, obstruction due to somatic growth. |
| Hybrid stage I palliation | HLHS complex (institutional preference, high surgical risk) | Stent migration, retrograde/antegrade aortic obstruction, inadequate PBF restriction. |
| Transcatheter PDA closure | Hemodynamic significant PDA (clinical and echo indices) after failed medical therapy or NSAID contraindications | LPA stenosis, CoAo, device migration/embolization, tricuspid valve injury, IVC laceration, residual shunt/hemolysis. |
Disclaimer/Publisher’s Note: The statements, opinions and data contained in all publications are solely those of the individual author(s) and contributor(s) and not of MDPI and/or the editor(s). MDPI and/or the editor(s) disclaim responsibility for any injury to people or property resulting from any ideas, methods, instructions or products referred to in the content. |
© 2023 by the authors. Licensee MDPI, Basel, Switzerland. This article is an open access article distributed under the terms and conditions of the Creative Commons Attribution (CC BY) license (https://creativecommons.org/licenses/by/4.0/).
Share and Cite
Meliota, G.; Vairo, U. Transcatheter Interventions for Neonates with Congenital Heart Disease: A Review. Diagnostics 2023, 13, 2673. https://doi.org/10.3390/diagnostics13162673
Meliota G, Vairo U. Transcatheter Interventions for Neonates with Congenital Heart Disease: A Review. Diagnostics. 2023; 13(16):2673. https://doi.org/10.3390/diagnostics13162673
Chicago/Turabian StyleMeliota, Giovanni, and Ugo Vairo. 2023. "Transcatheter Interventions for Neonates with Congenital Heart Disease: A Review" Diagnostics 13, no. 16: 2673. https://doi.org/10.3390/diagnostics13162673
APA StyleMeliota, G., & Vairo, U. (2023). Transcatheter Interventions for Neonates with Congenital Heart Disease: A Review. Diagnostics, 13(16), 2673. https://doi.org/10.3390/diagnostics13162673

