Abstract
Endobronchial Ultrasound (EBUS) has been widely used to stage lung tumors and to diagnose mediastinal diseases. In the last decade, this procedure has evolved in several technical aspects, with new tools available to optimize tissue sampling and to increase its diagnostic yield, like elastography, different types of needles and, most recently, miniforceps and cryobiopsy. Accordingly, the indications for the use of the EBUS scope into the airways to perform the Endobronchial Ultrasound–TransBronchial Needle Aspiration (EBUS-TBNA) has also extended beyond the endobronchial and thoracic boundaries to sample lesions from the liver, left adrenal gland and retroperitoneal lymph nodes via the gastroesophageal tract, performing the Endoscopic UltraSound with Bronchoscope-guided Fine Needle Aspiration (EUS-B-FNA). In this review, we summarize and critically discuss the main indication for the use of the EBUS scope, even the more uncommon, to underline its utility and versatility in clinical practice.
1. Introduction
Transbronchial needle aspiration (TBNA) for sampling mediastinal lymph nodes was first described in 1949 by Schieppati [1], an Argentinian physician, via a rigid bronchoscope. This technique was relatively neglected until 1978 when Wang and colleagues successfully diagnosed lung carcinoma adjacent to the trachea and paratracheal nodal metastasis using an esophageal varices needle [2]; one year later, a new needle to insert in the fiberoptic bronchoscope was developed [3]. Finally, in 1983, Wang reported on 35 patients who underwent TBNA and concluded that the procedure was relatively safe and allowed performing both a diagnosis of lung cancer and disease staging [4].
Since then, TBNA has become a widely used technique to sample lesions, including nodules and masses, which are outside of but adjacent to the central airways, by inserting the needle in the site suggested by a careful analysis of the chest Computed Tomography and endobronchial anatomic landmarks [5].
In 2002, the development of the convex probe to perform endobronchial ultrasound was a turning point because it allowed the bronchoscopist to perform real-time transbronchial needle aspiration guided by endobronchial ultrasound (EBUS-TBNA) [6]. The high diagnostic yield and safety profile of EBUS-TBNA were soon recognized, making this technique very popular worldwide [7]. However, it was only after the ASTER trial [8], which showed similar sensitivity for EBUS-TBNA compared to mediastinoscopy (85% vs. 79%, respectively), with lower complications and fewer unnecessary thoracotomies associated with the former, that EBUS-TBNA became the technique of choice for staging the mediastinum in lung cancer [9,10].
More recently, the clinical applications of EBUS have expanded. Indeed, due to the larger amount of tissue required by the pathologist to perform not only a correct diagnosis of cancer but also a precise molecular analysis, the endoscopist had to upgrade his technique routine to provide sample adequacy. As such, new opportunities to use the EBUS scope outside the “conventional” endobronchial route are emerging, even beyond the thoracic boundaries. Indeed, to evaluate lesions that cannot be accessed through the airways, it can be used through the gastrointestinal tract to perform an endoscopic ultrasound with bronchoscope-guided fine needle aspiration (EUS-B-FNA).
The aim of this review is to summarize the various applications of the EBUS scope, also highlighting the most recent approaches and techniques.
2. EBUS-TBNA in the Molecular Profiling of Lung Cancer
In recent years, research on molecular mutations in non-small cell lung cancer (NSCLC) has increased our knowledge of biological pathways driving tumor development; the identification of mutations within the epidermal growth factor receptor (EGFR) gene is one such example [11]. Owing to the beneficial effect of molecularly targeted therapies and immune checkpoint inhibitors on both overall and progression-free survival in NSCLC, the importance of obtaining adequate specimens for precise tumor genotyping cannot be underestimated [12]. Several prospective trials have established the non-inferiority, or even superiority, of EBUS-TBNA compared to surgical mediastinoscopy to achieve a correct diagnosis and mediastinal staging [13,14,15], with an excellent safety profile and a complication rate lower than 1% [12]. However, the capability of EBUS-TBNA, which is a cytological methodology, to provide a complete molecular analysis is still debated [16,17,18].
Several aspects of the EBUS-TBNA technique may impact the adequacy of the sample for molecular analysis, such as the number of needle passes, the use of rapid on-site evaluation or the suction during the needle aspiration and the choice of specimen preservation.
Lee et al. reported that three needle passes for each target site are sufficient to secure a diagnosis of NSCLC [19]; however, to obtain an exhaustive molecular analysis, it is recommended that supplementary needle passes are performed [20,21,22]. This was confirmed by a large cohort study and a recent meta-analysis on 21 studies (n = 1.175 patients) in which more passes are reported to increase the sensitivity for EGFR mutation and anaplastic lymphoma kinase (ALK) rearrangements and to provide adequate samples for next-generation sequencing (NGS) [23,24].
Rapid on-site evaluation (ROSE), which provides real-time pathologic evaluation of sample adequacy, was initially developed to enhance the diagnostic yield of conventional TBNA [25,26,27], but its role in EBUS-TBNA is still controversial. Indeed, some studies have shown that ROSE does not increase the diagnostic yield of EBUS-TBNA [28] but reduces the number of punctures per site (2.2 vs. 3.1, respectively) and the need for further diagnostic procedures (11% vs. 57%, respectively) [29]. Moreover, in the context of molecular profiling, Trisolini and colleagues reported that performing ROSE during EBUS-TBNA increased the rate of complete tumor genotyping by up to 10% [30]. Even though this data was clinically meaningful, it did not reach statistical significance.
Further dissecting factors that may potentially influence the performance of EBUS-TBNA, there is the utilization of high-pressure suction. This technique, compared to standard vacuum syringe suction, did not impact the diagnostic yield; however, Tsakinis reported that EBUS-TBNA with high-pressure suction was associated with bigger samples (11.2 vs. 9.1 mm3, p = 0.036) and fewer additional procedures (3.8% vs. 17.5%, p = 0.042) to reach complete molecular profiling in NSCLC with a necrotic component [31].
Conversely, the complete or partial retraction of the stylet, as retrospectively assessed in 50 patients, does not seem to influence the adequacy of molecular testing [32].
Another variable that influences the adequacy of the sample is related to the pathologist’s choice of specimen preservation. In accordance with the College of American Pathologists guidelines, cell blocks are recommended over smear preparations because of their ability to correlate with malignant cell content and the possible conservation of more material for additional studies [33]. Gross pathological specimens can be preserved in paraffin blocks, the so-called “cell block” that can be cut and stained for histopathological analysis. This technique preserves the cytological architecture and allows for immunochemical staining, thereby providing an accurate characterization of the cancer [34]. As compared with the conventional smear method, cell block analysis can improve the yield of EBUS-TBNA by 7% and can provide data for genetic analysis in patients with adenocarcinoma [35].
In advanced lung cancer, complete molecular profiling is mandatory to initiate an appropriate treatment. Labarca et al. recently reported in a systematic review and meta-analysis that the adequacy of EBUS-TBNA to evaluate EGFR and ALK mutations was feasible in 94.5% (28 studies, n = 2497 patients) and 95% of the patients (12 studies, n = 607), respectively [36]. On the same line, Martin-Delon et al. prospectively assessed stage III and IV NSCLC to evaluate the adequacy of EBUS-TBNA samples for molecular characterization, as assessed by NGS, nCounter and immunohistochemistry (PD-L1) and to compare its performance to the reference standard of biopsy samples. EBUS-TBNA showed a high concordance with biopsies: 100% for NGS and nCounter and 88.9% for PD-L1 [37]. In the same study, ROSE was routinely performed, and the average number of needle passes was six, much higher than suggested [20], possibly favoring the good result of EBUS-TBNA sampling. Indeed, 92.8% of TBNA (compared to 75.8% obtained by bronchial biopsy) provided adequate material to successfully perform the analysis of all tumor predictors. Although PD-L1 testing was adequate with the majority of EBUS-TBNA samples, a low agreement with biopsies was observed in PD-L1 immunohistochemistry scores when considering the three categories (negative, low- and high-positive) [37]. Indeed, as previously mentioned, PD-L1 testing on EBUS-TBNA or other tissue specimens may provide differing results, as shown by the concordance rates ranging between 69.8% and 91.3% reported in the literature [38,39,40]. A possible reason for such a discrepancy is related to the intrinsic spatial and temporal heterogeneity of PD-L1 expression that characterizes NSCLC [41], which increases the risk of false negatives in small samples with low tumor cellularity, such as those obtained by EBUS-TBNA. The potential misclassification of PD-L1 status in EBUS-TBNA specimens remains a considerable risk, especially when a cutoff of PD-L1 tumor proportion score ≥ 50% is applied. Nonetheless, a recent real-life study suggests that EBUS-TBNA results are as valuable as histological specimens to guide immune checkpoint inhibitor therapy, with comparable treatment outcomes, supporting the regular testing for PD-L1 in EBUS-TBNA samples [42].
Notably, an innovative technique to provide additional DNA for NGS analysis is the isolation of free-floating DNA, which is visible after centrifugation of the needle aspiration supernatant, thus reducing the need for repeated biopsy and turnaround time [43,44,45]. However, the evaluation of supernatant needs to be further studied in larger cohorts of patients to establish its diagnostic accuracy and impact on NGS analysis [28].
Regarding the early stages of NSCLC, traditionally, the treatment refers to surgical resection, less frequently associated with radio-chemotherapy or neoadjuvant/adjuvant chemotherapy [46]. In the latter scenario, favorable results have recently emerged. Adjuvant therapy in EGFR mutated NSCLC, as well as preoperative immunotherapy in early stages, was associated with fewer relapses or post-operative tumor progression [47,48]. In the ADAURA study, osimertinib, a third-generation tyrosine kinase inhibitor that was administered as an adjuvant in EGFR mutated NSCLC, was associated with an 80% reduction of recurrence compared to placebo after surgical resection of the tumor. The NeoADAURA study, a clinical trial of osimertinib in a neoadjuvant setting in early operable stages of NSCLC, is ongoing (NCT04351555) [49]. Preoperative molecular characterization of lung cancer is critical, as the evaluation of EGFR and ALK status is required before considering neoadjuvant immunotherapy or neoadjuvant immunotherapy and chemotherapy [50]. However, because the small size of samples obtained by bronchoscopy and EBUS-TBNA may represent a challenge for pathologists, the optimization of the sample for analysis will require teamwork between pulmonologists, oncologists and pathologists [51,52].
In view of these limitations, current guidelines do not recommend molecular testing in stages I–III with the broad molecular assessment suggested only in metastatic NSCLC [53]. Nonetheless, recently updated guidelines, including from the National Comprehensive Cancer Network® (NCCN®), Canadian, and Chinese/Asian guidelines, suggest testing at least EGFR mutations [53].
Collectively, accumulating evidence highlights the need to optimize the management of diagnostic samples based on lung cancer stage and the importance of early definition of molecular/immune prognostic markers not only in metastatic disease but also in the pre-operative stage of resectable cancer.
3. Elastography
There are several echographic features during EBUS-TBNA that may raise the suspicion of a malignant lymph node, such as echogenicity, margins, diameter, or the presence of necrosis. However, none of these characteristics has consistently been associated with malignancy [54].
In this regard, endobronchial elastography is a relatively new technique combined with the endoscopic ultrasound procedure that has the potential to differentiate malignant versus benign lymph nodes. Elastography assesses the relative elasticity or stiffness of the tissue according to the degree of deformation after compression in a color-based output. A blue signal represents hard tissue, such as malignancy, while benign lesions, which are softer, exhibit a red-green color.
Tissue elasticity can be measured by a qualitative or semi-quantitative modality.
The most widely used qualitative classification is the Izumo score, which identifies three types of findings: predominantly nonblue (type 1), partially blue (type 2) and predominantly blue (type 3) [55]. However, even though type 3 lymph nodes suggest malignant involvement, up to 20% may have pathological discordance [56,57]. Moreover, no correlation with the maximum standardized uptake value of positron emission tomography-computed tomography (PET-CT) images has been observed [56].
Discrepancies may arise due to different interpretations of elastography images, which is an operator-dependent evaluation. As a result, some changes have been applied to the observation method of elastography, like the stiffness ratio, strain histogram or strain ratio, to predict the elasticity of the lesion [58,59]. However, these semi-quantitative measurements require specific software for image processing, calculations and analysis, thus increasing the complexity of the procedure.
Multiple factors may influence the results obtained by EBUS elastography. False positive results are mostly due to increased stiffness in cases of tuberculosis, pneumoconiosis, or sarcoidosis, while necrosis, hemorrhage or liquefaction typical of malignant lesions can induce false negatives [60,61].
Elastography is useful for the evaluation of multistation lymph nodes involvement and also when multiple nodes are present in the same station; indeed, it may prevent unnecessary punctures focusing on type 3 lymph nodes and avoid the spread of metastatic tissue in the same stage lymph node when performing puncture from type 1 to 3 lymph nodes. Finally, and most importantly, elastography cannot replace lymph node aspiration.
4. EUS-B Fine Needle Aspiration (EUS-B-FNA)
Endoscopic ultrasound (EUS) of the gastrointestinal tract is performed with a gastrointestinal echoendoscope by the gastroenterologists but also with the EBUS scope by the pulmonologists (EUS-B) to obtain a fine needle aspiration (FNA). This technique is proceeding forward because of its usefulness to sample tissue, which is not reachable with the endobronchial approach to achieve lung cancer diagnosis and a more accurate staging [62,63,64].
Paraesophageal pulmonary lesions could be safely and accurately sampled by EUS-B-FNA, with high diagnostic accuracy also for molecular profiling [65,66].
Regarding the staging of lung cancer, EUS-B fine needle aspiration (FNA) permits lymph node stations of 2 L, 4 L and 7 to be reached similarly to the endobronchial approach. Stations 2 R and 4 R are difficult to reach with EUS-B-FNA because usually, there is the interposition of the trachea, but they could be sampled, especially when lymph nodes are enlarged. Regarding para-aortic stations 5 and 6, they can be visualized, but the sampling is troublesome because of the interposition of great vessels. However, the transvascular approach is described (see Section 5.2), as well as station 6 sampling when it is located in the aorto-pulmonary bifurcation [67].
Notably, lymph nodes stations 8 and 9, as well as lesions below the diaphragm, are only reachable with this technique.
In fact, the European guidelines for combined EBUS and EUS recommend both techniques, endobronchial and esophageal, which can be performed in the same session [68], to stage mediastinal lymph nodes to increase the diagnostic yield compared to one technique alone [10]. Moreover, the advantage of the esophageal approach is the feasibility of performing an awake procedure in those patients with a high risk for general anesthesia or conscious sedation with a good tolerance [69].
Even though for the EBUS-TBNA, the European Respiratory Society (ERS) has launched a structured, evidence-based education program based on training in simulators with a final validated test [70], EUS-B-FNA is not yet available. However, experts in the fields and educators are developing a combined training curriculum in EUS-B-FNA to fill this gap [71]; it is reported to be easily acknowledged by an experienced bronchoscopist [72].
Indeed, in order to perform a more accurate staging of lung cancer, EUS-B-FNA is recommended for the evaluation of the left adrenal gland (LAG) for suspected metastasis [10]. Interestingly, up to 7% of patients with resectable cancer have adrenal masses, which in approximately two-thirds of cases are benign adenomas [73,74,75]. As a result, pathological assessment of suspicious adrenal glands is mandatory. Crombag and Annema reported that the diagnostic yield of LAG EUS-B-FNA was comparable to that of conventional EUS-FNA performed with gastrointestinal echoendoscope [76]. More recently, in a large cohort of patients (n = 135), the safety and feasibility of this procedure were confirmed, with nearly 90% of samples being adequate; notably, and as previously reported, one-third of the cases were neoplastic [77].
Although the use of EUS-B-FNA has also been reported for sampling suspected left liver lobe lesions or retroperitoneal lymph nodes, current guidelines do not make recommendations in this regard. Nevertheless, the diagnostic yield reported by Christiansen et al. was higher than 80% for left liver lobe lesions (n = 23) and 63% for retroperitoneal lymph nodes (n = 19), with no complication observed [77].
5. “Uncommon” Use of the EBUS Scope
5.1. Mediastinal Vessels Evaluation
EBUS allows for excellent visualization of the structures surrounding the airways, including pulmonary arteries. Casoni and co-workers originally reported on a case wherein pulmonary angiography did not allow to distinguish between pulmonary emboli and sarcoma [78]. EBUS showed “in real-time, a blood clot floating into the right main pulmonary artery not infiltrating the wall of blood vessel”, thus permitting a correct diagnosis of pulmonary embolism (PE) [78]. This was the first report on the use of EBUS to evaluate pulmonary emboli. Subsequently, a multicenter pilot study [79] showed that EBUS had an accuracy of 96% in detecting PE, which reached 100% if only centrally located emboli were considered.
The preferred technique to assess the severity of PE is computed tomography (CT) angiography; however, EBUS should be considered in the diagnostic flow-chart in patients in whom angiography is contraindicated, such as those with chronic renal failure, previous anaphylactic reactions to intravenous contrast agents and pregnant women [80]. Moreover, when PE is suspected in intensive care and patients cannot undergo a CT scan, EBUS can be performed bedside [81]. Indeed, the association of bedside EBUS and echocardiography allowed the diagnosis of PE as the cause of cardiac arrest in a 64-year-old woman [81].
A clinical trial currently evaluating the added value of EBUS in diagnosing PE in critically ill patients (Pilot Study to Evaluate the Role of EBUS in the Diagnosis of Acute PE in Critically Ill Patients-VEBUS-NCT04047784).
Even though most of the patients that perform EBUS already have a contrast chest CT scan available that evaluates the presence of pulmonary embolism, we believe that the endosonographic study of the central vessel during the procedure should be performed. Indeed, it does not require additional timing, as it could be done during the collection of the specimen, and it could be helpful in identifying unknown emboli, especially in high-risk patients with cancer and in those with a dated chest CT scan.
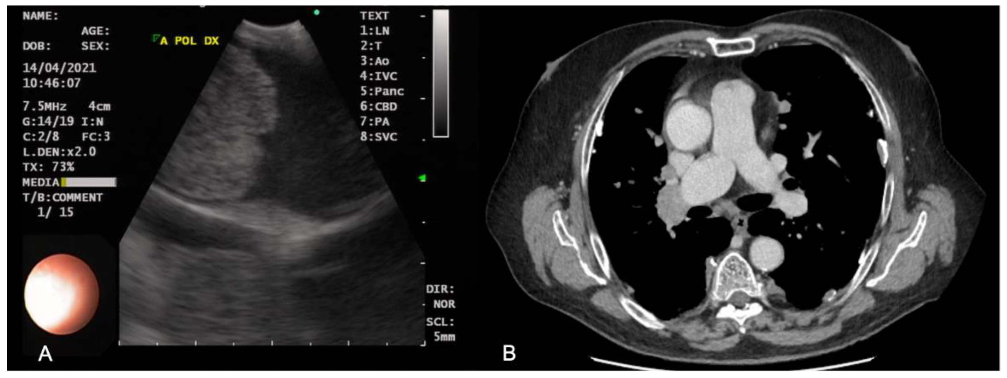
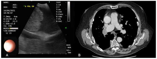
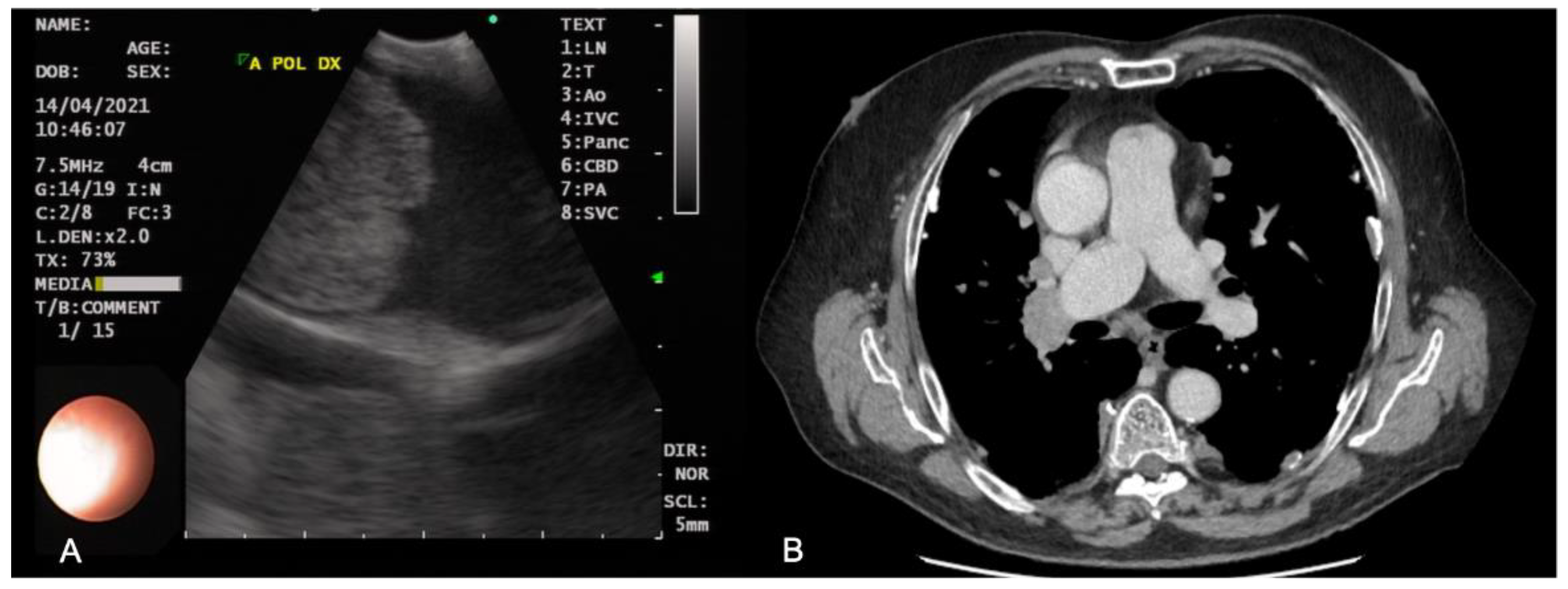
In the experience of our Interventional Pneumology Centre, the most representative case of pulmonary embolism evaluated by EBUS is shown in Figure 1.
Figure 1.
Echoendoscopic (A) and CT (B) images of pulmonary embolism of the right main pulmonary artery.
In the differential diagnosis of pulmonary embolism, it should also be considered a neoplastic intravascular involvement. As an example, it is reported a case of primary pulmonary artery sarcoma diagnosed with EBUS-TBNA without complication in a patient non-eligible for surgery [82].
5.2. Transvascular Needle Aspiration (TVNA)
Some mediastinal stations or pathological tissue could be difficult to reach because of the interposition of a great vessel, for example, a branch of the pulmonary artery. Even though there is evidence of life-threatening bleeding after accidental puncture of the pulmonary artery during EBUS-TBNA, there are case series that confirm the relative safety of transvascular needle aspiration performed either by EBUS-TBNS or EUS-B-FNA [83]. Of the studies in the literature (n = 10, patients = 148), only three mild complications were reported (respiratory failure, moderate bleeding and atrial fibrillation), while no significant complications or major bleeding. The diagnostic yield was relatively high, with the majority of the studies higher than 90% [83].
However, this approach should be limited only if a clear window to the biopsy is not available and should be performed only as a last resort after all other options are excluded. Moreover, TVNA should be performed only in high-volume centers by skilled interventional pulmonologists, and all adequate precautions should be adopted as a cardiothoracic surgery on stand-by.
5.3. Pleural and Cardiac Lesions
In cases of suspected neoplastic pleural disease, especially when pleural effusion is present, thoracoscopy with pleural biopsy is the preferred method for diagnostic tissue sampling. However, thoracoscopy is invasive and may pose relevant risks in some patients, especially those with multiple and severe comorbidities [84]. In this regard, endoscopic ultrasound can offer a minimally invasive option for sampling pleural tissue next to large airways or esophagus. Kassier et al. sampled both mediastinal lymph nodes and a pleural mass by using a transesophageal approach during the same procedure in a case of metastatic renal cell carcinoma [85].
EBUS could be particularly useful when pleural abnormalities are not in the context of pleural effusion. Lococo et al. first sampled a single PET-positive pleural lesion located in the right costovertebral recess adjacent to the carina, suspicious of the epithelioid tumor. A final diagnosis of epithelioid-type malignant mesothelioma was subsequently confirmed following surgical resection of the lesion [86].
Therefore, in a subset of patients, EBUS-TBNA may represent a less invasive alternative to thoracoscopy for pleural sampling.
The approach to pleural lesions suspected for mesothelioma could also be performed by the esophagus with the EUS-B-FNA technique, as it was reported in four case reports [87,88,89,90], where the pleural thickness was in close proximity to the esophagus with a high diagnostic yield.
Similarly, EBUS-TBNA and EUS-B-FNA could be both used to diagnose metastatic involvement of the pleura, as reported in various case series [85,88,89] by renal cell carcinoma, adenoid cystic adenocarcinoma and Hodgkin’s B cell lymphoma.
Regarding cardiac tumors, which are extremely rare, they are usually sampled by open-heart surgery, with related mortality and morbidity. However, in patients with poor clinical conditions, endosonography could represent a minimally invasive technique to perform a diagnosis, seeing that it provides an excellent view of the left atrium. Two cases of EUS-B-FNA of left atrial masses have been reported with high accuracy and no adverse events [91].
Notably, this technique should be performed by experienced operators after having excluded alternative diagnostic approaches.
5.4. Pleural/Pericardial Effusion and Ascites
Endoscopic ultrasound (EUS) can offer an alternative guide when the pleural effusion is loculated or is located toward the mediastinum, and standard thoracentesis cannot be performed. Endoscopic US (EUS) guidance to drain pleural effusion was initially reported in a retrospective study in 2008 by DeWitt and colleagues. [92]. In nine cases, the EBUS scope was introduced in the esophagus and was successfully applied to drain pleural effusion, thus providing adequate samples for cytological analysis without significant complications. Similarly, Cocciardi et al. drained a loculated pleural effusion not accessible through traditional thoracentesis [93].
The risk of infection should be considered; indeed, the needle is no longer sterile once it passes through the working channel, potentially inoculating bacteria in the pleural space. However, the risk is low, and antibiotic prophylaxis may be used to prevent this complication.
In addition, in loculated pericardial effusion, several case reports also support the feasibility of EBUS-TBNA- or EUS-B-FNA-guided drainage [94,95,96,97].
Finally, even fluid below the diaphragm could be evaluated. Indeed, it is described as a single case report of ascites aspiration with EUS-B-FNA with no complications [98].
5.5. Thyroid Lesions
Intrathoracic goiter and thyroid lesions can represent a clinical challenge, as malignancy is often in the differential diagnosis. The percutaneous approach, which is applicable in the diagnostic workout of common thyroid lesions, is not suitable for intrathoracic lesions, which require mediastinoscopy or surgical biopsy. In these conditions, less invasive procedures, such as EBUS, might be considered [99]. In a case series by Madan and colleagues, aspiration of the thyroid lesion via EBUS-TBNA, which was not the primary indication for the procedure in more than half of the patients, was adequate in all the samples. Most of the procedures were safe except for one case complicated by an iatrogenic thyroid abscess [99]. This risk is greater for cystic lesions, and antibiotic prophylaxis is advisable [100].
5.6. Intratumoral Therapy
A range of oncogene-driven drugs is currently available in the therapeutic armamentarium of lung cancer. When molecular analysis does not identify a specific target, the immune status of NSCLC can be targeted. Standard chemotherapy protocols, with and without radiotherapy, still represent an optional or complementary approach. Yet, lung cancer remains the leading cause of death worldwide [101]. Among the possible strategies, intratumoral therapy has the potential to avoid checkpoint resistance and reduce systemic side effects [102]. Moreover, the injection permits to achieve a higher local concentration of the drug compared to that delivered systematically, up to 30-fold more [102,103], reducing side effects because of the decreased systemic concentration [104].
In the last decades, our knowledge of endobronchial chemotherapy delivery has grown substantially, widening the available approaches to malignant airway obstruction.
Conventional TBNA has been used for several years for injection into the airways, lung parenchyma and surrounding tissues. Apart from the delivery of cancer therapies, transbronchial needles have been utilized for the injection of corticosteroids, antimicrobials, tranexamic acid, and radioisotopes to identify lung lesions or tissue sealants to treat bronchopleural fistula [102]. In recent years, the use of endobronchial ultrasound has optimized the technique of ultrasound-guided transbronchial needle injection (EBUS-TBNI) through the ability to reach not only endobronchial lesions but also those outside the airways or lymph nodes and the visualization of drug delivery, thus minimizing complications such as puncture of blood vessels or mediastinal structures [105].
More recently, this technique has been applied to deliver both standard chemotherapy [106,107,108] and immunotherapy [109]. This technique might be further improved by preoperative stratification of dose and site of injection according to computational modeling, which allows planning of the procedure according to the precise estimation of tumor size and localization [110].
EUS-B approach for the cisplatin injection in a patient with a critical, nearly complete tracheal occlusion and with atlantoaxial instability that contraindicates rigid bronchoscopy, has also been reported [111].
Uncommon applications of endoscopic ultrasound are summarized in Table 1.
Table 1.
Uncommon applications of endoscopic ultrasound.
Figure 2 displays all sites that can be evaluated and sampled by the EBUS scope.
Figure 2.
Sites potentially accessible by EBUS scope. Blue circles represent the main mediastinal stations accessible only by EBUS, light blue circles represent lymph node stations accessible only by EUS-B, and green circles represent lymph node stations accessible by both EBUS and EUS-B.
6. Novel Devices That Can Improve EBUS TBNA Performance and Future Perspectives
New complementary tools have been developed to obtain biopsy specimens for histological analysis for EBUS TBNA.
The Acquire® 22 G fine needle (Boston Scientific Co., Natick, MA, USA) is characterized by a Franseen tip 22 G FNB device equipped with three cutting edges. In a prospective study, this needle has shown a better performance than FNA when applied to sample solid lesions by EUS [112]. Its feasibility and potential advantages have also been assessed in granulomatous diseases by Balwan and colleagues, who found a diagnostic yield of 95% [113]. An ongoing randomized trial is currently assessing whether, as compared to TBNA, the biopsies obtained by this needle provide larger or better quality tissue (NCT04200105).
The ProCore® needle (Cook Medical, Bloomington, IN, USA) has a core trap designed to collect a histological sample by shearing material from the lesion during the needle motion [114]. This needle seems to allow similar diagnostic accuracy as a standard 22-gauge needle for both malignancy and suspected sarcoidosis [114,115].
An additional tool to increase the size of the tissue sampled is the EBUS-guided intranodal forceps biopsy (IFB), which is performed by introducing the mini forceps through the initial hole made by the TBNA needle. Compared to EBUS-TBNA, the addition of IFB provided a higher diagnostic yield, especially in patients with sarcoidosis (93% vs. 58%, p < 0.001, respectively) and lymphoma (86% vs. 30%, p = 0.03, respectively) [96]. The complication rates (pneumothorax and pneumomediastinum 1%, bleeding 0.8%) were higher than those reported with EBUS-TBNA alone (pneumothorax, 0.03% and bleeding, 0.68%) [116].
Of note, EBUS-IFB provides histology samples that, in parallel to those permanently fixed in formalin, can be instantly frozen, giving intraprocedural feedback [117]. Overall, IFB represents a complementary tool that might be offered to those patients in which TBNA could not provide the required amount of tissue to properly characterize tissue avoiding surgery.
Another novel tool to sample the lymph node is transbronchial cryobiopsy under EBUS guidance, wherein a 1.1 mm cryobiopsy probe is inserted in the hole created by the TBNA, with a 3 s freezing time [118].
The first randomized control trial (n = 197) was performed in 2021 by Zhang and colleagues, who compared standard EBUS-TBNA to cryobiopsy to sample mediastinal lesions of at least 1 cm [119]. The overall diagnostic yield was significantly higher with cryobiopsy (91.8% vs. 79.9%; p = 0.001). However, on subgroup analysis, when only metastatic lymph nodes were analyzed, the diagnostic yields of the two procedures were similar (94.1% vs. 95.6%, p = 0.58). Conversely, cryobiopsy was more accurate than EBUS-TBNA in benign disorders (80.9% vs. 53.2%, p = 0.004, respectively) and uncommon tumors (91.7% vs. 25.0%, p = 0.001, respectively). Notably, in the latter group, which was made mainly by lymphoma, mediastinal cryobiopsy was associated with a diagnostic rate of nearly 90% and complete subtyping [120].
Moreover, in cases of lung cancer, almost all cryobiopsy material (93.3%) was suitable for gene mutation PCR testing, compared to 73.5% of the material obtained by TBNA, which is consistent with previous reports [17,121].
Interestingly, no differences in diagnostic yield were found between the “Cryobiopsy first” and “TBNA first” groups. Two pneumothoraces and one pneumomediastinum were reported, highlighting the safety of the procedure.
A recent randomized multicenter study (n = 297) assessed the overall diagnostic yield of the addition of cryobiopsy vs. standard needle sampling alone for mediastinal lesions [122]. The complementary use of EBUS cryobiopsy provided a 12% increase in the overall diagnostic yield compared to EBUS-TBNA alone. In a subgroup analysis, the combined approach provided a higher diagnostic yield in benign lesions but not in mediastinal metastasis, including uncommon tumors [122].
The combined approach also allowed more precise molecular and immunological analyses of lung cancer and a good safety profile.
7. Conclusions
Since its first application in 2002, real-time transbronchial vision provided by EBUS has revolutionized the diagnostic approach to lung and mediastinal lesions. The development and implementation of novel complementary technologies, briefly reviewed here, have improved the diagnostic yield of the EBUS scope and expanded its possible applications to several diseases involving the mediastinum and beyond. The increasing need for tissue for diagnostic assessment, coupled with the growing knowledge of pathological and molecular features of lung cancer, will further push the optimization of the EBUS scope as a crucial diagnostic tool in a range of respiratory diseases.
Author Contributions
Writing, D.B., M.T., M.D. (Matteo Daverio), F.S. and U.S.; conceptualization, D.B. and M.T.; supervision M.D. (Marco Damin), G.T., E.B. and P.S.; review and editing, P.S., G.T. and M.D. (Marco Damin). All authors have read and agreed to the published version of the manuscript.
Funding
This research was funded by the BIRD204238/20 and BIRD221905/22 University of Padova research grants.
Informed Consent Statement
Not applicable.
Data Availability Statement
Figures and table are available from the corresponding authors upon reasonable request.
Conflicts of Interest
The authors declare no conflict of interest.
References
- Schieppati, E. Mediastinal puncture through the tracheal spur. Rev. As. Med. Argent. 1949, 663, 497–499. [Google Scholar]
- Wang, K.P.; Terry, P.; Marsh, B. Bronchoscopic needle aspiration biopsy of paratracheal tumors. Am. Rev. Respir. Dis. 1978, 118, 17–21. [Google Scholar] [PubMed]
- Oho, K.; Kato, H.; Ogawa, I.; Hayashi, N.; Hayata, Y. A new needle for transfiberoptic bronchoscope use. Chest 1979, 76, 492. [Google Scholar] [CrossRef]
- Wang, K.P.; Terry, P. Transbronchial needle aspiration in the diagnosis and staging of bronchogenic carcinoma. Am. Rev. Respir. Dis. 1983, 127, 344–347. [Google Scholar]
- Yarmus, L.; Feller-Kopman, D.; Browning, R.; Wang, K. TBNA: Should EBUS be used on all lymph node aspirations? J. Bronchol. Interv. Pulmonol. 2011, 18, 115–117. [Google Scholar] [CrossRef] [PubMed]
- Yasufuku, K.; Chiyo, M.; Sekine, Y.; Chhajed, P.N.; Shibuya, K.; Iizasa, T.; Fujisawa, T. Real-time endobronchial ultrasound-guided transbronchial needle aspiration of mediastinal and hilar lymph nodes. Chest 2004, 126, 122–128. [Google Scholar] [CrossRef]
- Yang, H.; Zhao, H.; Garfield, D.H.; Teng, J.; Han, B.; Sun, J. Endobronchial ultrasound-guided transbronchial needle aspiration in the diagnosis of non-lymph node thoracic lesions. Ann. Thorac. Med. 2013, 8, 14–21. [Google Scholar]
- Annema, J.T.; van Meerbeeck, J.P.; Rintoul, R.C.; Dooms, C.; Deschepper, E.; Dekkers, O.M.; De Leyn, P.; Braun, J.; Carroll, N.R.; Praet, M.; et al. Mediastinoscopy vs endosonography for mediastinal nodal staging of lung cancer: A randomized trial. JAMA 2010, 304, 2245–2252. [Google Scholar] [CrossRef]
- Silvestri, G.A.; Gonzalez, A.V.; Jantz, M.A.; Margolis, M.L.; Gould, M.K.; Tanoue, L.T.; Harris, L.J.; Detterbeck, F.C. Methods for staging non-small cell lung cancer: Diagnosis and management of lung cancer, 3rd ed: American College of Chest Physicians’ evidence-based clinical practice guidelines. Chest 2013, 143, e211S–e250S. [Google Scholar] [CrossRef]
- Vilmann, P.; Clementsen, P.F.; Colella, S.; Siemsen, M.; De Leyn, P.; Dumonceau, J.M.; Herth, F.J.; Larghi, A.; Vazquez-Sequeiros, E.; Hassan, C.; et al. Combined endobronchial and esophageal endosonography for the diagnosis and staging of lung cancer: European Society of Gastrointestinal Endoscopy (ESGE) Guideline, in cooperation with the European Respiratory Society (ERS) and the European Society of Thoracic Surgeons (ESTS). Endoscopy 2015, 47, 545–559. [Google Scholar]
- Planchard, D.; Popat, S.; Kerr, K.; Novello, S.; Smit, E.F.; Faivre-Finn, C.; Mok, T.S.; Reck, M.; Van Schil, P.E.; Hellmann, M.D.; et al. Metastatic non-small cell lung cancer: ESMO Clinical Practice Guidelines for diagnosis, treatment and follow-up. Ann. Oncol. 2018, 29, iv192–iv237. [Google Scholar] [CrossRef]
- McLean, A.E.B.; Barnes, D.J.; Troy, L.K. Diagnosing Lung Cancer: The Complexities of Obtaining a Tissue Diagnosis in the Era of Minimally Invasive and Personalised Medicine. J. Clin. Med. 2018, 7, 163. [Google Scholar] [CrossRef] [PubMed]
- Um, S.W.; Kim, H.K.; Jung, S.H.; Han, J.; Lee, K.J.; Park, H.Y.; Choi, Y.S.; Shim, Y.M.; Ahn, M.J.; Park, K.; et al. Endobronchial ultrasound versus mediastinoscopy for mediastinal nodal staging of non-small-cell lung cancer. J. Thorac. Oncol. 2015, 10, 331–337. [Google Scholar] [CrossRef] [PubMed]
- Yasufuku, K.; Pierre, A.; Darling, G.; de Perrot, M.; Waddell, T.; Johnston, M.; da Cunha Santos, G.; Geddie, W.; Boerner, S.; Le, L.W.; et al. A prospective controlled trial of endobronchial ultrasound-guided transbronchial needle aspiration compared with mediastinoscopy for mediastinal lymph node staging of lung cancer. J. Thorac. Cardiovasc. Surg. 2011, 142, 1393–1400.e1. [Google Scholar] [CrossRef] [PubMed]
- Ernst, A.; Anantham, D.; Eberhardt, R.; Krasnik, M.; Herth, F.J. Diagnosis of mediastinal adenopathy-real-time endobronchial ultrasound guided needle aspiration versus mediastinoscopy. J. Thorac. Oncol. 2008, 3, 577–582. [Google Scholar] [CrossRef]
- Navani, N.; Brown, J.M.; Nankivell, M.; Woolhouse, I.; Harrison, R.N.; Jeebun, V.; Munavvar, M.; Ng, B.J.; Rassi, D.M.; Falzon, M.; et al. Suitability of endobronchial ultrasound-guided transbronchial needle aspiration specimens for subtyping and genotyping of non-small cell lung cancer: A multicenter study of 774 patients. Am. J. Respir. Crit. Care Med. 2012, 185, 1316–1322. [Google Scholar] [CrossRef]
- Rooper, L.M.; Nikolskaia, O.; Carter, J.; Ning, Y.; Lin, M.T.; Maleki, Z. A single EBUS-TBNA procedure can support a large panel of immunohistochemical stains, specific diagnostic subtyping, and multiple gene analyses in the majority of non-small cell lung cancer cases. Hum. Pathol. 2016, 51, 139–145. [Google Scholar] [CrossRef]
- Esterbrook, G.; Anathhanam, S.; Plant, P.K. Adequacy of endobronchial ultrasound transbronchial needle aspiration samples in the subtyping of non-small cell lung cancer. Lung Cancer 2013, 80, 30–34. [Google Scholar] [CrossRef]
- Lee, H.S.; Lee, G.K.; Lee, H.S.; Kim, M.S.; Lee, J.M.; Kim, H.Y.; Nam, B.H.; Zo, J.I.; Hwangbo, B. Real-time endobronchial ultrasound-guided transbronchial needle aspiration in mediastinal staging of non-small cell lung cancer: How many aspirations per target lymph node station? Chest 2008, 134, 368–374. [Google Scholar]
- Wahidi, M.M.; Herth, F.; Yasufuku, K.; Shepherd, R.W.; Yarmus, L.; Chawla, M.; Lamb, C.; Casey, K.R.; Patel, S.; Silvestri, G.A.; et al. Technical Aspects of Endobronchial Ultrasound-Guided Transbronchial Needle Aspiration: CHEST Guideline and Expert Panel Report. Chest 2016, 149, 816–835. [Google Scholar] [CrossRef]
- Yarmus, L.; Akulian, J.; Gilbert, C.; Feller-Kopman, D.; Lee, H.J.; Zarogoulidis, P.; Lechtzin, N.; Ali, S.Z.; Sathiyamoorthy, V. Optimizing endobronchial ultrasound for molecular analysis: How many passes are needed? Ann. Am. Thorac. Soc. 2013, 10, 636–643. [Google Scholar] [CrossRef]
- Smith, A.; Wang, H.; Zerbo, A.; Beaudoin, S.; Ofiara, L.; Fiset, P.O.; Benedetti, A.; Gonzalez, A.V. Programmed Death Ligand 1 Testing of Endobronchial Ultrasound-guided Transbronchial Needle Aspiration Samples Acquired For the Diagnosis and Staging of Non-Small Cell Lung Cancer. J. Bronchol. Interv. Pulmonol. 2020, 27, 50–57. [Google Scholar] [CrossRef]
- Zhang, Y.; Xie, F.; Mao, X.; Zheng, X.; Li, Y.; Zhu, L.; Sun, J. Determining factors of endobronchial ultrasound-guided transbronchial needle aspiration specimens for lung cancer subtyping and molecular testing. Endosc. Ultrasound 2019, 8, 404–411. [Google Scholar]
- Zhao, J.J.; Chan, H.P.; Soon, Y.Y.; Huang, Y.; Soo, R.A.; Kee, A.C.L. A systematic review and meta-analysis of the adequacy of endobronchial ultrasound transbronchial needle aspiration for next-generation sequencing in patients with non-small cell lung cancer. Lung Cancer 2022, 166, 17–26. [Google Scholar] [CrossRef]
- Diacon, A.H.; Schuurmans, M.M.; Theron, J.; Louw, M.; Wright, C.A.; Brundyn, K.; Bolliger, C.T. Utility of rapid on-site evaluation of transbronchial needle aspirates. Respiration 2005, 72, 182–188. [Google Scholar] [CrossRef]
- Trisolini, R.; Cancellieri, A.; Tinelli, C.; Paioli, D.; Scudeller, L.; Casadei, G.P.; Forti Parri, S.; Livi, V.; Bondi, A.; Boaron, M.; et al. Rapid on-site evaluation of transbronchial aspirates in the diagnosis of hilar and mediastinal adenopathy: A randomized trial. Chest 2011, 139, 395–401. [Google Scholar] [CrossRef]
- Yarmus, L.; Van der Kloot, T.; Lechtzin, N.; Napier, M.; Dressel, D.; Feller-Kopman, D. A randomized prospective trial of the utility of rapid on-site evaluation of transbronchial needle aspirate specimens. J. Bronchol. Int. Pulmonol. 2011, 18, 121–127. [Google Scholar] [CrossRef]
- Marcoux, M.; Ost, D.E. What’s new in endobronchial ultrasound for mediastinal staging? Curr. Opin. Pulm. Med. 2020, 26, 346–358. [Google Scholar] [CrossRef]
- Oki, M.; Saka, H.; Kitagawa, C.; Kogure, Y.; Murata, N.; Adachi, T.; Ando, M. Rapid on-site cytologic evaluation during endobronchial ultrasound-guided transbronchial needle aspiration for diagnosing lung cancer: A randomized study. Respiration 2013, 85, 486–492. [Google Scholar] [CrossRef]
- Trisolini, R.; Cancellieri, A.; Tinelli, C.; de Biase, D.; Valentini, I.; Casadei, G.; Paioli, D.; Ferrari, F.; Gordini, G.; Patelli, M.; et al. Randomized trial of endobronchial ultrasound-guided transbronchial needle aspiration with and without rapid on-site evaluation for lung cancer genotyping. Chest 2015, 148, 1430–1437. [Google Scholar] [CrossRef]
- Tsaknis, G.; Naeem, M.; Rathinam, S.; Caswell, A.; Haycock, J.; McKenna, J.; Reddy, R.V. Utilization of high-pressure suction for EBUS-TBNA sampling in suspected lung Cancer. J. Bronchol. Interv. Pulmonol. 2022, 29, 115–124. [Google Scholar] [CrossRef] [PubMed]
- Fernandez-Bussy, S.; Biswas, A.; Labarca, G.; Jantz, M.A.; Mehta, H.J. Comparison of endobronchial ultrasound-guided transbronchial needle aspiration with stylet retracted partially versus completely for molecular testing. J. Bronchol. Int. Pulmonol. 2019, 26, 222–224. [Google Scholar] [CrossRef] [PubMed]
- Leighl, N.B.; Rekhtman, N.; Biermann, W.A.; Huang, J.; Mino-Kenudson, M.; Ramalingam, S.S.; West, H.; Whitlock, S.; Somerfield, M.R. Molecular testing for selection of patients with lung cancer for epidermal growth factor receptor and anaplastic lymphoma kinase tyrosine kinase inhibitors: American Society of Clinical Oncology endorsement of the College of American Pathologists/International Association for the study of lung cancer/association for molecular pathology guideline. J. Clin. Oncol. 2014, 32, 3673–3679. [Google Scholar] [PubMed]
- Krogerus, L.; Kholovà, I. Cell Block in Cytological Diagnostics: Review of Preparatory Techniques. Acta Cytol. 2018, 62, 237–243. [Google Scholar] [CrossRef] [PubMed]
- Sanz-Santos, J.; Serra, P.; Andreo, F.; Llatjòs, M.; Castellà, E.; Monsò, E. Contribution of cell blocks obtained through endobronchial ultrasound-guided transbronchial needle aspiration to the diagnosis of lung cancer. BMC Cancer 2012, 12, 34. [Google Scholar] [CrossRef]
- Labarca, G.; Folch, E.; Jantz, M.; Mehta, H.J.; Majid, A.; Fernandez-Bussy, S. Adequacy of samples obtained by endobronchial ultrasound with transbronchial needle aspiration for molecular analysis in patients with non-small cell lung cancer: Systematic review and meta-analysis. Ann. Am. Thorac. Soc. 2018, 15, 1205–1216. [Google Scholar] [CrossRef]
- Martin-Deleon, R.; Teixido, C.; Lucena, C.M.; Martinez, D.; Fontana, A.; Reyes, R.; Garcìa, M.; Vinolas, N.; Vollmer, I.; Sanchez, M.; et al. EBUS-TBNA Cytological Samples for Comprehensive Molecular Testing in Non-Small Cell Lung Cancer. Cancers 2021, 13, 2084. [Google Scholar] [CrossRef]
- Jug, R.; Giovacchini, C.X.; Liu, B.; Green, C.L.; Clarke, J.M.; Mahmood, K.; Pavlisko, E.N. EBUS-FNA cytologic-histologic correlation of PD-L1 immunohistochemistry in non-small cell lung cancer. J. Am. Soc. Cytopathol. 2020, 9, 485–493. [Google Scholar] [CrossRef]
- Yoshimura, K.; Inoue, Y.; Karayama, M.; Tsuchiya, K.; Mori, K.; Suzuki, Y.; Iwashita, Y.; Kahyo, T.; Kawase, A.; Tanahashi, M.; et al. Heterogeneity analysis of PD-L1 expression and copy number status in EBUS-TBNA biopsy specimens of non-small cell lung cancer: Comparative assessment of primary and metastatic sites. Lung Cancer 2019, 134, 202–209. [Google Scholar] [CrossRef]
- Sakata, K.K.; Midthun, D.E.; Mullon, J.J.; Kern, R.M.; Nelson, D.R.; Edell, E.S.; Schiavo, D.N.; Jett, J.R.; Aubry, M.C. Comparison of Programmed Death Ligand-1 Immunohistochemical Staining Between Endobronchial Ultrasound Transbronchial Needle Aspiration and Resected Lung Cancer Specimens. Chest 2018, 154, 827–837. [Google Scholar] [CrossRef]
- Ben Dori, S.; Aizic, A.; Sabo, E.; Hershkovitz, D. Spatial heterogeneity of PD-L1 expression and the risk for misclassification of PD-L1 immunohistochemistry in non-small cell lung cancer. Lung Cancer 2020, 147, 91–98. [Google Scholar] [CrossRef]
- Tajarernmuang, P.; Ofiara, L.; Beaudoin, S.; Wang, H.; Benedetti, A.; Gonzalez, A.V. Real-World Outcomes of Patients with Advanced Non-small Cell Lung Cancer Treated with Anti-PD1 Therapy on the Basis of PD-L1 Results in EBUS-TBNA vs Histological Specimens. Chest 2021, 160, 743–753. [Google Scholar] [CrossRef]
- Roy-Chowdhuri, S.; Mehrotra, M.; Bolivar, A.M.; Kanagal-Shamanna, R.; Barkoh, B.A.; Hannigan, B.; Zalles, S.; Ye, W.; Duose, D.; Broaddus, R. Salvaging the supernatant: Next generation cytopathology for solid tumor mutation profiling. Mod. Pathol. 2018, 31, 1036. [Google Scholar] [CrossRef]
- Guibert, N.; Tsukada, H.; Hwang, D.H.; Chambers, E.; Cibas, E.S.; Bale, T.; Supplee, J.; Ulrich, B.; Sholl, L.M. Liquid biopsy of fine-needle aspiration supernatant for lung cancer genotyping. Lung Cancer 2018, 122, 72–75. [Google Scholar] [CrossRef]
- Hannigan, B.; Ye, W.; Mehrotra, M.; Lam, V.; Bolivar, A.; Zalles, S.; Barkoh, B.A.; Duose, D.; Hu, P.C.; Broaddus, R. Liquid biopsy assay for lung carcinoma using centrifuged supernatants from fine-needle aspiration specimens. Ann. Oncol. 2019, 30, 963–969. [Google Scholar] [CrossRef]
- Chaft, J.E.; Rimner, A.; Weder, W.; Azzoli, C.G.; Kris, M.G.; Cascone, T. Evolution of systemic therapy for stages I-III non-metastatic non-small-cell lung cancer. Nat. Rev. Clin. Oncol. 2021, 18, 547–557. [Google Scholar] [CrossRef]
- Wu, Y.L.; Tsuboi, M.; He, J.; John, T.; Grohe, C.; Majem, M.; Goldman, J.W.; Laktionov, K.; Kim, S.W.; Kato, T.; et al. Osimertinib in Resected EGFR-Mutated Non-Small-Cell Lung Cancer. N. Engl. J. Med. 2020, 383, 1711–1723. [Google Scholar] [CrossRef]
- Shukla, N.; Hanna, N. Neoadjuvant and Adjuvant Immunotherapy in Early-Stage Non-Small Cell Lung Cancer. Lung Cancer 2021, 12, 51–60. [Google Scholar] [CrossRef]
- Tsuboi, M.; Weder, W.; Escriu, C.; Blakely, C.; He, J.; Dacic, S.; Yatabe, Y.; Zeng, L.; Walding, A.; Chaft, J.E. Neoadjuvant osimertinib with/without chemotherapy versus chemotherapy alone for EGFR-mutated resectable non-small-cell lung cancer: NeoADAURA. Future Oncol. 2021, 17, 4045–4055. [Google Scholar] [CrossRef]
- Cao, C.; Guo, A.; Chen, C.; Chakos, A.; Bott, M.; Yang, C.J.; Zielinski, R.; Melfi, F. Systematic Review of Neoadjuvant Immunotherapy for Patients with Non-Small Cell Lung Cancer. Semin. Thorac. Cardiovasc. Surg. 2021, 33, 850–857. [Google Scholar] [CrossRef]
- Hofman, P. The challenges of evaluating predictive biomarkers using small biopsy tissue samples and liquid biopsies from non-small cell lung cancer patients. J. Thorac. Dis. 2019, 11, S57–S64. [Google Scholar] [CrossRef] [PubMed]
- Hofman, P. EGFR Status Assessment for Better Care of Early Stage Non-Small Cell Lung Carcinoma: What Is Changing in the Daily Practice of Pathologists? Cells 2021, 10, 2157. [Google Scholar] [CrossRef] [PubMed]
- Aggarwal, C.; Bubendorf, L.; Cooper, W.A.; Illei, P.; Borralho Nunes, P.; Ong, B.H.; Tsao, M.S.; Yatabe, Y.; Kerr, K.M. Molecular testing in stage I-III non-small cell lung cancer: Approaches and challenges. Lung Cancer 2021, 162, 42–53. [Google Scholar] [CrossRef] [PubMed]
- Agrawal, S.; Goel, A.D.; Gupta, N.; Lohiya, A.; Gonuguntla, H.K. Diagnostic utility of endobronchial ultrasound (EBUS) features in differentiating malignant and benign lymph nodes-a systematic review and meta-analysis. Respir. Med. 2020, 171, 106097. [Google Scholar] [CrossRef]
- Izumo, T.; Sasada, S.; Chavez, C.; Matsumoto, Y.; Tsuchida, T. Endobronchial ultrasound elastography in the diagnosis of mediastinal and hilar lymph nodes. Jpn. J. Clin. Oncol. 2014, 44, 956–962. [Google Scholar] [CrossRef]
- Fournier, C.; Dhalluin, X.; Wallyn, F.; Machuron, F.; Bouchindhomme, B.; Copin, M.C.; Valentin, V. Performance of Endobronchial Ultrasound Elastography in the Differentiation of Malignant and Benign Mediastinal Lymph Nodes: Results in Real-life Practice. J. Bronchol. Interv. Pulmonol. 2019, 26, 193–198. [Google Scholar] [CrossRef]
- Hernàndez Roca, M.; Pèrez Pallarès, J.; Prieto Merino, D.; Del Mar Valdivia Salas, M.; Solano, J.G.; Fernàndez Alvarez, J.; Lozano Vicente, D.; Wasniewski, S.; Martìnez Dìaz, J.J.; Torregrosa, C.E.; et al. Diagnostic Value of Elastography and Endobronchial Ultrasound in the Study of Hilar and Mediastinal Lymph Nodes. J. Bronchol. Interv. Pulmonol. 2019, 26, 184–192. [Google Scholar] [CrossRef]
- Verhoeven, R.L.J.; de Korte, C.L.; van der Heijden, E. Optimal endobronchial ultrasound strain elastography assessment strategy: An explorative study. Respiration 2019, 97, 337–347. [Google Scholar] [CrossRef]
- Fujiwara, T.; Nakajima, T.; Inage, T.; Sata, Y.; Sakairi, Y.; Tamura, H.; Wada, H.; Suzuki, H.; Chiyo, M.; Yoshino, I. The combination of endobronchial elastography and sonographic findings during endobronchial ultrasound-guided transbronchial needle aspiration for predicting nodal metastasis. Thorac. Cancer 2019, 10, 2000–2005. [Google Scholar] [CrossRef]
- Trisolini, R.; Verhoeven, R.L.J.; Cancellieri, A.; De Silvestri, A.; Natali, F.; Van der Heijden, E. Role of endobronchial ultrasound strain elastography in the identification of fibrotic lymph nodes in sarcoidosis: A pilot study. Respirology 2020, 25, 1203–1206. [Google Scholar] [CrossRef]
- Abedini, A.; Razavi, F.; Farahani, M.; Hashemi, M.; Emami, H.; Mohammadi, F.; Kiani, A. The utility of elastography during EBUS-TBNA in a population with a high prevalence of anthracosis. Clin. Respir. J. 2020, 14, 488–494. [Google Scholar] [CrossRef]
- Hwangbo, B.; Lee, H.S.; Lee, G.K.; Lim, K.Y.; Lee, S.H.; Kim, H.Y.; Lee, J.; Zo, J.I. Transoesophageal needle aspiration using a convex probe ultrasonic bronchoscope. Respirology 2009, 14, 843–849. [Google Scholar] [CrossRef]
- Herth, F.J.; Krasnik, M.; Kahn, N.; Eberhardt, R.; Ernst, A. Combined endoscopic-endobronchial ultrasound-guided fine-needle aspiration of mediastinal lymph nodes through a single bronchoscope in 150 patients with suspected lung cancer. Chest 2010, 138, 790–794. [Google Scholar] [CrossRef]
- Oki, M.; Saka, H.; Ando, M.; Tsuboi, R.; Nakahata, M.; Oka, S.; Kogure, Y.; Kitagawa, C. Transbronchial vs transesophageal needle aspiration using an ultrasound bronchoscope for the diagnosis of mediastinal lesions: A randomized study. Chest 2015, 147, 1259–1266. [Google Scholar] [CrossRef]
- Skovgaard Christiansen, I.; Kuijvenhoven, J.C.; Bodtger, U.; Naur, T.M.H.; Ahmad, K.; Singh Sidhu, J.; Nessar, R.; Salih, G.N.; Høegholm, A.; Annema, J.T.; et al. Endoscopic Ultrasound with Bronchoscope-Guided Fine Needle Aspiration for the Diagnosis of Paraesophageally Located Lung Lesions. Respiration 2019, 97, 277–283. [Google Scholar] [CrossRef]
- Mondoni, M.; Gasparini, S.; Varone, F.; Trisolini, R.; Mancino, L.; Rossi, G.; Carlucci, P.; Bonifazi, M.; Mei, F.; Zuccatosta, L.; et al. Accuracy and Predictors of Success of EUS-B-FNA in the Diagnosis of Pulmonary Malignant Lesions: A Prospective Multicenter Italian Study. Respiration 2022, 101, 775–783. [Google Scholar] [CrossRef]
- Quigley, D.; Nadarajan, P.; Connell, F.O. Transoesophageal endobronchial ultrasound-guided needle aspiration (EUS-B-NA) for poorly accessible thoracic lesions: A case series. BMJ Case Rep. 2020, 10, e239170. [Google Scholar] [CrossRef]
- Clementsen, P.F.; Bodtger, U.; Konge, L.; Christiansen, I.S.; Nessar, R.; Salih, G.N.; Kolekar, S.; Meyer, C.N.; Colella, S.; Jenssen, C.; et al. Diagnosis and staging of lung cancer with the use of one single echoendoscope in both the trachea and the esophagus: A practical guide. Endosc. Ultrasound 2021, 10, 325–334. [Google Scholar]
- Khoury, J.; Adir, Y.; Schneer, S.; Qdah, M.; Hakrush, O.; Abramovich, A. Awake endoscopic (esophageal) ultrasound using the endobronchial scope (EUS-B) for patients with high risk for sedation. Respir. Med. Res. 2022, 82, 100944. [Google Scholar] [CrossRef]
- Farr, A.; Clementsen, P.; Herth, F.; Konge, L.; Rohde, G.; Dowsland, S.; Schuhmann, M.; Annema, J. Endobronchial ultrasound: Launch of an ERS structured training programme. Breathe 2016, 12, 217–220. [Google Scholar] [CrossRef]
- Nayahangan, L.J.; Clementsen, P.F.; Doubleday, A.; Riddle, J.; Annema, J.T.; Konge, L. Developing a simulation-based training curriculum in transesophageal ultrasound with the use of the endobronchial ultrasound-endoscope. Endosc. Ultrasound 2022, 11, 104–111. [Google Scholar] [CrossRef] [PubMed]
- Ng, J.; Chan, H.P.; Kee, A.; Khoo, K.L.; See, K.C. Transitioning to Combined EBUS EUS-B FNA for Experienced EBUS Bronchoscopist. Diagnostics 2021, 11, 1021. [Google Scholar] [CrossRef] [PubMed]
- Chapman, G.S.; Kumar, D.; Redmond, J.; Munderloh, S.H.; Gandara, D.R. Upper abdominal computerized tomography scanning in staging non-small cell lung carcinoma. Cancer 1984, 54, 1541–1543. [Google Scholar] [CrossRef] [PubMed]
- Ettinghausen, S.E.; Burt, M.E. Prospective evaluation of unilateral adrenal masses in patients with operable non-small-cell lung cancer. J. Clin. Oncol. 1991, 9, 1462–1466. [Google Scholar] [CrossRef]
- Christiansen, I.S.; Ahmad, K.; Bodtger, U.; Naur, T.M.H.; Sidhu, J.S.; Nessar, R.; Salih, G.N.; Høegholm, A.; Annema, J.T.; Clementsen, P.F. EUS-B for suspected left adrenal metastasis in lung cancer. J. Thorac. Dis. 2020, 12, 258–263. [Google Scholar] [CrossRef]
- Crombag, L.M.; Annema, J.T. Left Adrenal Gland Analysis in Lung Cancer Patients Using the Endobronchial Ultrasound Scope: A Feasibility Trial. Respiration 2016, 91, 235–240. [Google Scholar] [CrossRef]
- Christiansen, I.S.; Bodtger, U.; Naur, T.M.H.; Ahmad, K.; Singh Sidhu, J.; Nessar, R.; Salih, G.N.; Høegholm, A.; Annema, J.T.; Clementsen, P.F. EUS-B-FNA for Diagnosing Liver and Celiac Metastases in Lung Cancer Patients. Respiration 2019, 98, 428–433. [Google Scholar] [CrossRef]
- Casoni, G.L.; Gurioli, C.; Romagnoli, M.; Poletti, V. Diagnosis of pulmonary thromboembolism with endobronchial ultrasound. Eur. Respir. J. 2008, 32, 1416–1417. [Google Scholar] [CrossRef]
- Aumiller, J.; Herth, F.J.; Krasnik, M.; Eberhardt, R. Endobronchial ultrasound for detecting central pulmonary emboli: A pilot study. Respiration 2009, 77, 298–302. [Google Scholar] [CrossRef]
- Hunsaker, A.R.; Lu, M.T.; Goldhaber, S.Z.; Rybicki, F.J. Imaging in acute pulmonary embolism with special clinical scenarios. Circ. Cardiovasc. Imaging 2010, 3, 491–500. [Google Scholar] [CrossRef][Green Version]
- Bertini, P.; Ribechini, A.; Guarracino, F. Improved diagnosis of pulmonary embolism causing cardiac arrest by combined endobronchial ultrasound and echocardiography. Cardiovasc. Ultrasound 2020, 18, 25. [Google Scholar] [CrossRef]
- Villeneuve, T.; Chevreau, C.; Pontier, S.; Prévot, G.; Rochaix, P.; Courtade-Saidi, M.; Guibert, N. EBUS-TBNA for the diagnosis of primary pulmonary artery sarcoma. Respir. Med. Res. 2023, 83, 100974. [Google Scholar] [CrossRef]
- Perathur, A.M.; Joseph, T.; Nair, S.R.; Varma, U. “To do or not to do—That is the question”. Transvascular needle aspiration during EBUS (EBUS-TVNA) with review of the literature. Adv. Respir. Med. 2021, 89, 386–391. [Google Scholar] [CrossRef]
- Bhatnagar, R.; Corcoran, J.P.; Maldonado, F.; Feller-Kopman, D.; Janssen, J.; Astoul, P. Advanced medical interventions in pleural disease. Eur. Respir. Rev. 2016, 25, 199–213. [Google Scholar] [CrossRef]
- Kassier, M.; Wiesen, J.; Atlan, K.; Avriel, A. Sampling pleural nodules with an EBUS scope: A novel application. Respir. Med. Case Rep. 2018, 25, 36–38. [Google Scholar]
- Lococo, F.; Rossi, G.; Agostini, L.; Filice, A.; Paci, M.; Rapicetta, C. “Dry” pleural mesothelioma successfully diagnosed on endobronchial ultrasound (EBUS)-guided transbronchial needle aspiration (TBNA). Intern. Med. 2014, 53, 467–469. [Google Scholar] [CrossRef]
- Piro, R.; Fontana, M.; Livrieri, F.; Menzella, F.; Casalini, E.; Taddei, S.; De Giorgi, F.; Facciolongo, N. Pleural mesothelioma: When echo-endoscopy (EUS-B-FNA) leads to diagnosis in a minimally invasive way. Thorac. Cancer 2021, 12, 981–984. [Google Scholar] [CrossRef]
- Tamburrini, M.; Maskey, D.; Sharan, N.; Jayalakshmi, T.K.; Zuccon, U.; Deda, G. Convex probe endobronchial ultrasound guided transbronchial/transoesophageal fine needle aspiration (C-EBUS-TBNA/EUS-B FNA) of pleural lesions: A single center experience and review of literature. Monaldi Arch. Chest Dis. 2020, 10, 90. [Google Scholar]
- Bibi, R.; Bodtger, U.; Nessar, R.; Jensen, H.K.; Skovgaard Christiansen, I.; Clementsen, P.F. Endoscopic ultrasound-guided pleural biopsy in the hands of the pulmonologist. Respirol. Case Rep. 2020, 8, e00517. [Google Scholar] [CrossRef]
- Juneja, M.; Irving, L.; Steinfort, D.P. Transoesophageal Fine Needle Aspiration of Pleural Metastasis Using EBUS Scope. Respiration 2020, 99, 979–981. [Google Scholar] [CrossRef]
- Martinez, H.A.; Kuijvenhoven, J.C.; Annema, J.T. Intracardiac EUS-B-Guided FNA for Diagnosing Cardiac Tumors. Respiration 2021, 100, 918–922. [Google Scholar] [CrossRef] [PubMed]
- DeWitt, J.; Kongkam, P.; Attasaranya, S.; LeBlanc, J.K.; Sherman, S.; Sheski, F.D. Endoscopic ultrasound-guided transesophageal thoracentesis. Endoscopy 2008, 40, E118–E119. [Google Scholar] [CrossRef] [PubMed][Green Version]
- Cocciardi, S.; Borah, A.; Terrigno, R.; Abouzgheib, W.; Boujaoude, Z. A case report of an expensive yet necessary thoracentesis. Expanding the boundaries of endoscopic ultrasound transbronchial needle aspiration. Medicine 2019, 98, e17555. [Google Scholar] [CrossRef] [PubMed]
- Sharma, R.K.; Khanna, A.; Talwar, D. Endobronchial ultrasound: A new technique of pericardiocentesis in posterior loculated pericardial effusion. Chest 2016, 150, e121–e123. [Google Scholar] [CrossRef]
- Ceron, L.; Manzato, M.; Mazzaro, F.; Bellavere, F. A new diagnostic and therapeutic approach to pericardial effusion: Transbronchial needle aspiration. Chest 2003, 123, 1753–1758. [Google Scholar] [CrossRef]
- Christiansen, I.S.; Clementsen, P.F.; Petersen, J.K.; Fjaellegaard, K.; Høegholm, A.; Bodtger, U. Aspiration of Pericardial Effusion Performed with EUS-B-FNA in Suspected Lung Cancer. Respiration 2020, 99, 686–689. [Google Scholar] [CrossRef]
- Bhavani, R.; Loch, A.; Hwong-Ruey, L.A.; Hilmi, I. P-LUM-18: Beyond the gastrointestinal tract: A case report of an endoscopic ultrasound-guided pericardial drainage. Endosc. Ultrasound 2017, 6 (Suppl. S1), S16. [Google Scholar]
- Nessar, R.; Toennesen, L.L.; Bodtger, U.; Christiansen, I.S.; Clementsen, P.F. Endoscopic ultrasound-guided ascites aspiration in the hands of the chest physician using the EBUS endoscope in the oesophagus. Respir. Med. Case Rep. 2020, 29, 100998. [Google Scholar] [CrossRef]
- Madan, K.; Mittal, S.; Hadda, V.; Jain, D.; Mohan, A.; Guleria, R. Endobronchial ultrasound-guided transbronchial needle aspiration of thyroid: Report of two cases and systematic review of literature. Lung India 2016, 33, 682–687. [Google Scholar] [CrossRef]
- Kennedy, M.P.; Breen, M.; O’Regan, K.; McCarthy, J.; Horgan, M.; Henry, M.T. Endobronchial ultrasound-guided transbronchial needle aspiration of thyroid nodules: Pushing the boundary too far? Chest 2012, 142, 1690–1691. [Google Scholar] [CrossRef]
- Huang, J.; Deng, Y.; Tin, M.S.; Lok, V.; Ngai, C.H.; Zhang, L.; Lucero-Prisno, D.E.; Xu, W.; Zheng, Z.J.; Elcarte, E.; et al. Distribution, Risk Factors, and Temporal Trends for Lung Cancer Incidence and Mortality: A Global Analysis. Chest 2022, 161, 1101–1111. [Google Scholar] [CrossRef]
- DeMaio, A.; Sterman, D. Bronchoscopic intratumoural therapies for non-small cell lung cancer. Eur. Respir. Rev. 2020, 29, 200028. [Google Scholar] [CrossRef]
- Celikoglu, F. Intratumoural chemotherapy of lung cancer for diagnosis and treatment of draining lymph node metastasis. J. Pharm. Pharmacol. 2010, 62, 287–295. [Google Scholar] [CrossRef]
- Marabelle, A.; Tselikas, L.; de Baere, T.; Houot, R. Intratumoural immunotherapy: Using the tumour as the remedy. Ann. Oncol. 2017, 28, xii33–xii43. [Google Scholar] [CrossRef]
- Hohenforst-Schmidt, W.; Zarogoulidis, P.; Darwiche, K.; Vogl, T.; Goldberg, E.P.; Huang, H.; Simoff, M.; Li, Q.; Browning, R.; Turner, F.J.; et al. Intratumoural chemotherapy for lung cancer: Re-challenge current targeted therapies. Drug Des. Dev. Ther. 2013, 7, 571–583. [Google Scholar]
- Mori, V.; Roy, G.S.; Bates, J.H.T.; Kinsey, C.M. Cisplatin pharmacodynamics following endobronchial ultrasound-guided transbronchial needle injection into lung tumours. Sci. Rep. 2019, 9, 6819. [Google Scholar] [CrossRef]
- Khan, F.; Anker, C.J.; Garrison, G.; Kinsey, C.M. Endobronchial ultrasound-guided transbronchial needle injection for local control of recurrent non-small cell lung cancer. Ann. Am. Thorac. Soc. 2015, 12, 101–104. [Google Scholar] [CrossRef]
- Lu, B.; Sun, L.; Yan, X.; Ai, Z.; Xu, J. Intratumoral chemotherapy with paclitaxel liposome combined with systemic chemotherapy: A new method of neoadjuvant chemotherapy for stage III unresectable non-small cell lung cancer. Med. Oncol. 2015, 32, 345. [Google Scholar] [CrossRef]
- Zarogoulidis, P.; Hohenforst-Schmidt, W.; Huang, H.; Zhou, J.; Wang, Q.; Wang, X.; Xia, Y.; Ding, Y.; Bai, C.; Kosmidis, C.; et al. Intratumoral Treatment with Chemotherapy and Immunotherapy for NSCLC with EBUS-TBNA 19G. J. Cancer 2021, 12, 2560–2569. [Google Scholar] [CrossRef]
- Mori, V.; Bates, J.H.T.; Jantz, M.; Mehta, H.J.; Kinsey, C.M. A computational modeling approach for dosing endoscopic intratumoral chemotherapy for advanced non-small cell lung cancer. Sci. Rep. 2022, 12, 44. [Google Scholar] [CrossRef]
- Niwas, R.; Chawla, G.; Pareek, P.; Chauhan, N.K.; Dutt, N. Revisiting bronchoscopic intratumoral chemotherapy in malignant central airway obstruction via EUS-B approach and its review of literature. Monaldi Arch. Chest Dis. 2020, 90. [Google Scholar] [CrossRef] [PubMed]
- El, H.I.; Wu, H.; Reuss, S.; Randolph, M.; Harris, A.; Gromski, M.A.; Al-Haddad, M. Prospective Assessment of the Performance of a New Fine Needle Biopsy Device for EUS-Guided Sampling of Solid Lesions. Clin. Endosc. 2018, 51, 576–583. [Google Scholar]
- Balwan, A.; Bixby, B.; Grotepas, C.; Witt, B.L.; Iravani, A.; Ansari, S.; Reddy, C.B. Core needle biopsy with endobronchial ultrasonography: Single center experience with 100 cases. J. Am. Soc. Cytopathol. 2020, 9, 249–253. [Google Scholar] [CrossRef] [PubMed]
- Yang, L.; Gu, Y.; Wang, H.; Yu, D.; Zhang, H.; Wang, H. Novel ProCore 25-gauge needle for endobronchial ultrasound-guided transbronchial needle aspiration reduces the puncture time and frequency, with comparable diagnostic rate for mediastinal and hilar lymphadenopathy. Thorac. Cancer 2020, 11, 748–753. [Google Scholar] [CrossRef]
- Dhooria, S.; Sehgal, I.S.; Prasad, K.T.; Muthu, V.; Gupta, N.; Bal, A.; Ram, B.; Aggarwal, A.N.; Agarwal, R. Diagnostic yield and safety of the ProCore versus the standard EBUS-TBNA needle in subjects with suspected sarcoidosis. Expert Rev. Med. Devices 2021, 18, 211–216. [Google Scholar] [CrossRef]
- Agrawal, A.; Ghori, U.; Chaddha, U.; Murgu, S. Combined EBUS-IFB and EBUS-TBNA vs EBUS-TBNA Alone for Intrathoracic Adenopathy: A Meta-Analysis. Ann. Thorac. Surg. 2021, 114, 340–348. [Google Scholar] [CrossRef]
- Cheng, G.; Mahajan, A.; Oh, S.; Benzaquen, S.; Chen, A. Endobronchial ultrasound-guided intranodal forceps biopsy (EBUS-IFB)-technical review. J. Thorac. Dis. 2019, 11, 4049–4058. [Google Scholar] [CrossRef]
- Gonuguntla, H.K.; Shah, M.; Gupta, N.; Agrawal, S.; Poletti, V.; Nacheli, G.C. Endobronchial ultrasound-guided transbronchial cryo-nodal biopsy: A novel approach for mediastinal lymph node sampling. Respirol. Case Rep. 2021, 9, e00808. [Google Scholar] [CrossRef]
- Zhang, J.; Guo, J.R.; Huang, Z.S.; Fu, W.L.; Wu, X.L.; Wu, N.; Kuebler, W.M.; Herth, F.J.F.; Fan, Y. Transbronchial mediastinal cryobiopsy in the diagnosis of mediastinal lesions: A randomised trial. Eur. Respir. J. 2021, 58, 2100055. [Google Scholar] [CrossRef]
- Bandyopadhyay, D.; Panchabhai, T.S.; Mehta, A.C. EBUS-TBNA for the diagnosis of lymphoma. Still an Achilles heel. Ann. Am. Thorac. Soc. 2015, 12, 1263–1264. [Google Scholar] [CrossRef]
- Garcia-Olivè, I.; Monsò, E.; Andreo, F.; Sanz-Santos, J.; Taron, M.; Molina-Vila, M.A.; Llatjòs, M.; Castellà, E.; Moran, T.; Bertran-Alamillo, J.; et al. Endobronchial ultrasound-guided transbronchial needle aspiration for identifying EGFR mutations. Eur. Respir. J. 2010, 35, 391–395. [Google Scholar] [CrossRef]
- Fan, Y.; Zhang, A.; Wu, X.; Huang, Z.; Kontogianni, K.; Sun, K.; Fu, W.; Wu, N.; Kuebler, W.M.; Herth, F.G.F. Transbronchial needle aspiration combined with cryobiopsy in the diagnosis of mediastinal diseases: A multicentre, open-label, randomised trial. Lancet Respir. Med. 2023, 11, 256–264. [Google Scholar] [CrossRef]
Disclaimer/Publisher’s Note: The statements, opinions and data contained in all publications are solely those of the individual author(s) and contributor(s) and not of MDPI and/or the editor(s). MDPI and/or the editor(s) disclaim responsibility for any injury to people or property resulting from any ideas, methods, instructions or products referred to in the content. |
© 2023 by the authors. Licensee MDPI, Basel, Switzerland. This article is an open access article distributed under the terms and conditions of the Creative Commons Attribution (CC BY) license (https://creativecommons.org/licenses/by/4.0/).

