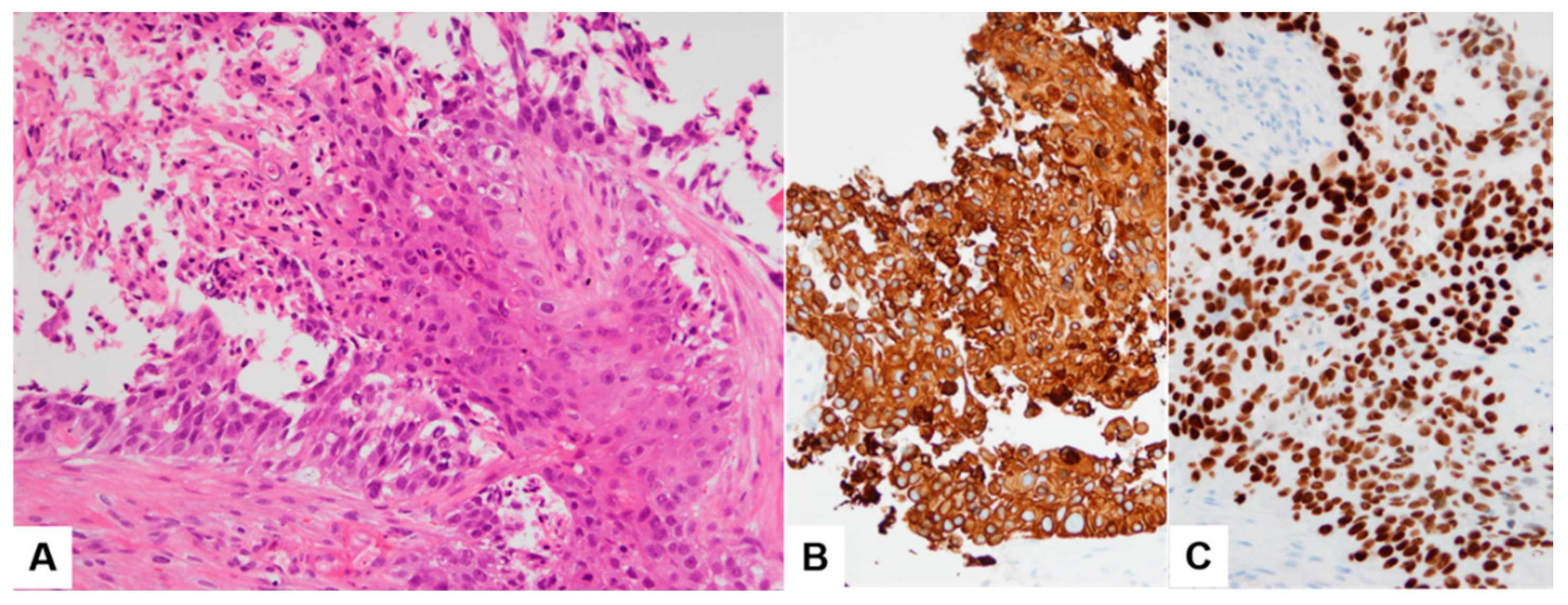
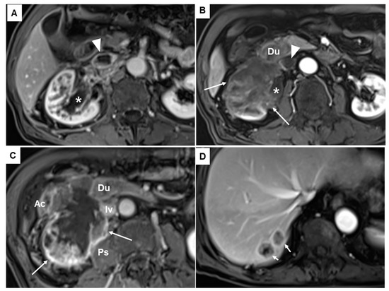
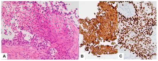
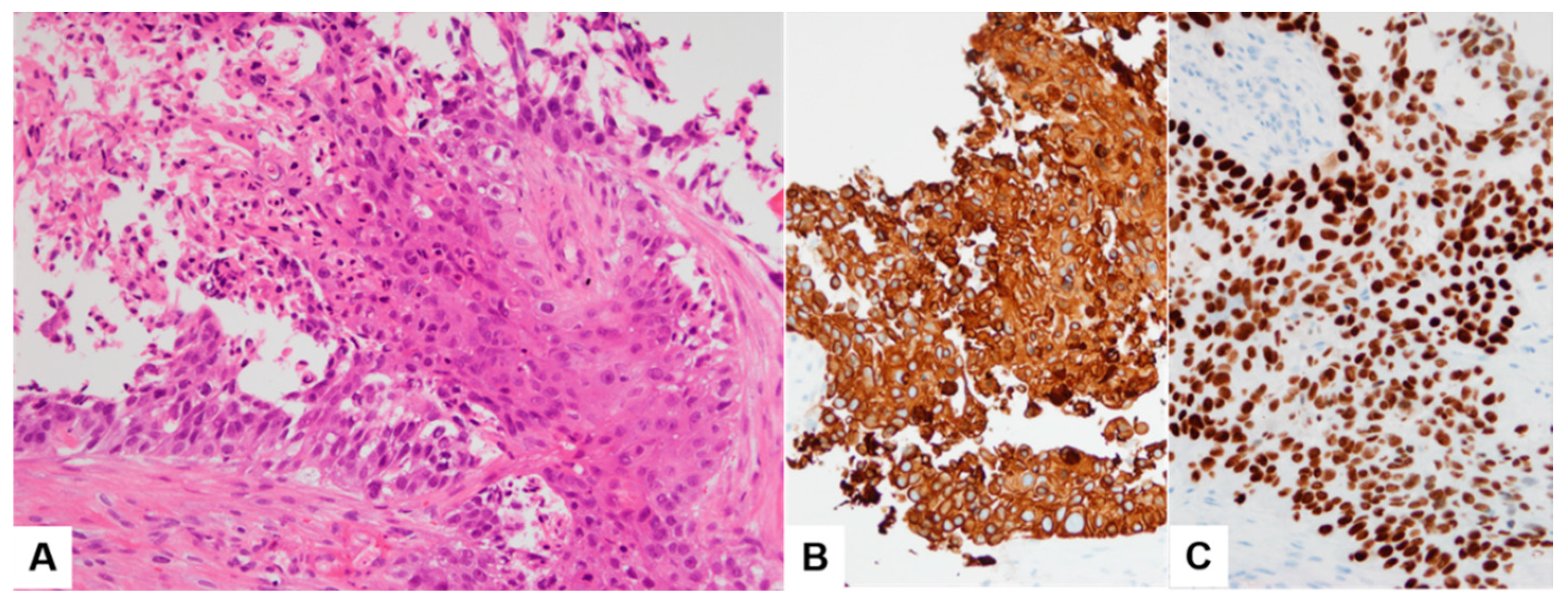
Unusual Duodenal Ulcer: Metastatic Urothelial Carcinoma of the Renal Pelvis
Abstract
Author Contributions
Funding
Institutional Review Board Statement
Informed Consent Statement
Data Availability Statement
Conflicts of Interest
References
- Tufano, A.; Cordua, N.; Nardone, V.; Ranavolo, R.; Flammia, R.S.; D’Antonio, F.; Borea, F.; Anceschi, U.; Leonardo, C.; Morrione, A.; et al. Prognostic Significance of Organ-Specific Metastases in Patients with Metastatic Upper Tract Urothelial Carcinoma. J. Clin. Med. 2022, 11, 5310. [Google Scholar] [CrossRef] [PubMed]
- Bellmunt, J.; von der Maase, H.; Mead, G.M.; Skoneczna, I.; De Santis, M.; Daugaard, G.; Boehle, A.; Chevreau, C.; Paz-Ares, L.; Laufman, L.R.; et al. Randomized phase III study comparing paclitaxel/cisplatin/gemcitabine and gemcitabine/cisplatin in patients with locally advanced or metastatic urothelial cancer without prior systemic therapy: EORTC Intergroup Study 30987. J. Clin. Oncol. 2012, 30, 1107–1113. [Google Scholar] [CrossRef] [PubMed]
- Rink, M.; Ehdaie, B.; Cha, E.K.; Green, D.A.; Karakiewicz, P.I.; Babjuk, M.; Margulis, V.; Raman, J.D.; Svatek, R.S.; Fajkovic, H.; et al. Stage-specific impact of tumor location on oncologic outcomes in patients with upper and lower tract urothelial carcinoma following radical surgery. Eur. Urol. 2012, 62, 677–684. [Google Scholar] [CrossRef] [PubMed]
- Cantley, R.L.; Kapur, U.; Truong, L.; Cimbaluk, D.; Barkan, G.A.; Wojcik, E.; Gattuso, P. Fine-needle aspiration diagnosis of metastatic urothelial carcinoma: A review. Diagn. Cytopathol. 2012, 40, 173–178. [Google Scholar] [CrossRef] [PubMed]
- Dey, P.; Amir, T.; Jogai, S.; Al Jussar, A. Fine-needle aspiration cytology of metastatic transitional cell carcinoma. Diagn. Cytopathol. 2005, 32, 226–228. [Google Scholar] [CrossRef] [PubMed]
- Layfield, L.J.; Jones, C.; Hirschowitz, S. Statistical analysis of cytologic features useful in separation of metastatic urothelial carcinoma from other metastatic epithelial malignancies. Diagn. Cytopathol. 2003, 29, 334–338. [Google Scholar] [CrossRef] [PubMed]
- Holmäng, S.; Lele, S.M.; Johansson, S.L. Squamous Cell Carcinoma of the Renal Pelvis and Ureter: Incidence, Symptoms, Treatment and Outcome. J. Urol. 2007, 178, 51–56. [Google Scholar] [CrossRef] [PubMed]
- Ho, C.C.; Nguyen, G.K.; Schumann, G.B. Needle aspiration cytology of metastatic high-grade transitional-cell carcinomas of the urinary tract. Diagn. Cytopathol. 1998, 18, 409–415. [Google Scholar] [CrossRef]
- Powers, C.N.; Elbadawi, A. “Cercariform” cells: A clue to the cytodiagnosis of transitional cell origin of metastatic neoplasms? Diagn. Cytopathol. 1995, 13, 15–21. [Google Scholar] [CrossRef] [PubMed]
- Chu, P.; Wu, E.; Weiss, L.M. Cytokeratin 7 and cytokeratin 20 expression in epithelial neoplasms: A survey of 435 cases. Mod. Pathol. 2000, 13, 962–972. [Google Scholar] [CrossRef] [PubMed]
- Siddiqui, M.T.; Seydafkan, S.; Cohen, C. GATA3 expression in metastatic urothelial carcinoma in fine needle aspiration cell blocks: A review of 25 cases. Diagn. Cytopathol. 2014, 42, 809–815. [Google Scholar] [CrossRef] [PubMed]
- Blacher, E.J.; Johnson, D.E.; Abdul-Karim, F.W.; Ayala, A.G. Squamous cell carcinoma of renal pelvis. Urology 1985, 25, 124–126. [Google Scholar] [CrossRef] [PubMed]
- Li, M.K.; Cheung, W.L. Squamous cell carcinoma of the renal pelvis. J. Urol. 1987, 138, 269–271. [Google Scholar] [CrossRef] [PubMed]




Disclaimer/Publisher’s Note: The statements, opinions and data contained in all publications are solely those of the individual author(s) and contributor(s) and not of MDPI and/or the editor(s). MDPI and/or the editor(s) disclaim responsibility for any injury to people or property resulting from any ideas, methods, instructions or products referred to in the content. |
© 2023 by the authors. Licensee MDPI, Basel, Switzerland. This article is an open access article distributed under the terms and conditions of the Creative Commons Attribution (CC BY) license (https://creativecommons.org/licenses/by/4.0/).
Share and Cite
Won, Y.D.; Lee, S.L.; Seo, K.J. Unusual Duodenal Ulcer: Metastatic Urothelial Carcinoma of the Renal Pelvis. Diagnostics 2023, 13, 2455. https://doi.org/10.3390/diagnostics13142455
Won YD, Lee SL, Seo KJ. Unusual Duodenal Ulcer: Metastatic Urothelial Carcinoma of the Renal Pelvis. Diagnostics. 2023; 13(14):2455. https://doi.org/10.3390/diagnostics13142455
Chicago/Turabian StyleWon, Yoo Dong, Su Lim Lee, and Kyung Jin Seo. 2023. "Unusual Duodenal Ulcer: Metastatic Urothelial Carcinoma of the Renal Pelvis" Diagnostics 13, no. 14: 2455. https://doi.org/10.3390/diagnostics13142455
APA StyleWon, Y. D., Lee, S. L., & Seo, K. J. (2023). Unusual Duodenal Ulcer: Metastatic Urothelial Carcinoma of the Renal Pelvis. Diagnostics, 13(14), 2455. https://doi.org/10.3390/diagnostics13142455

