The Utility of Fine Needle Aspiration (FNA) Biopsy in the Diagnosis of Mediastinal Lesions
Abstract
1. Introduction
1.1. Specimen Procurement and Triage
1.2. Cytologic Characteristics
2. Non-Neoplastic Lesions
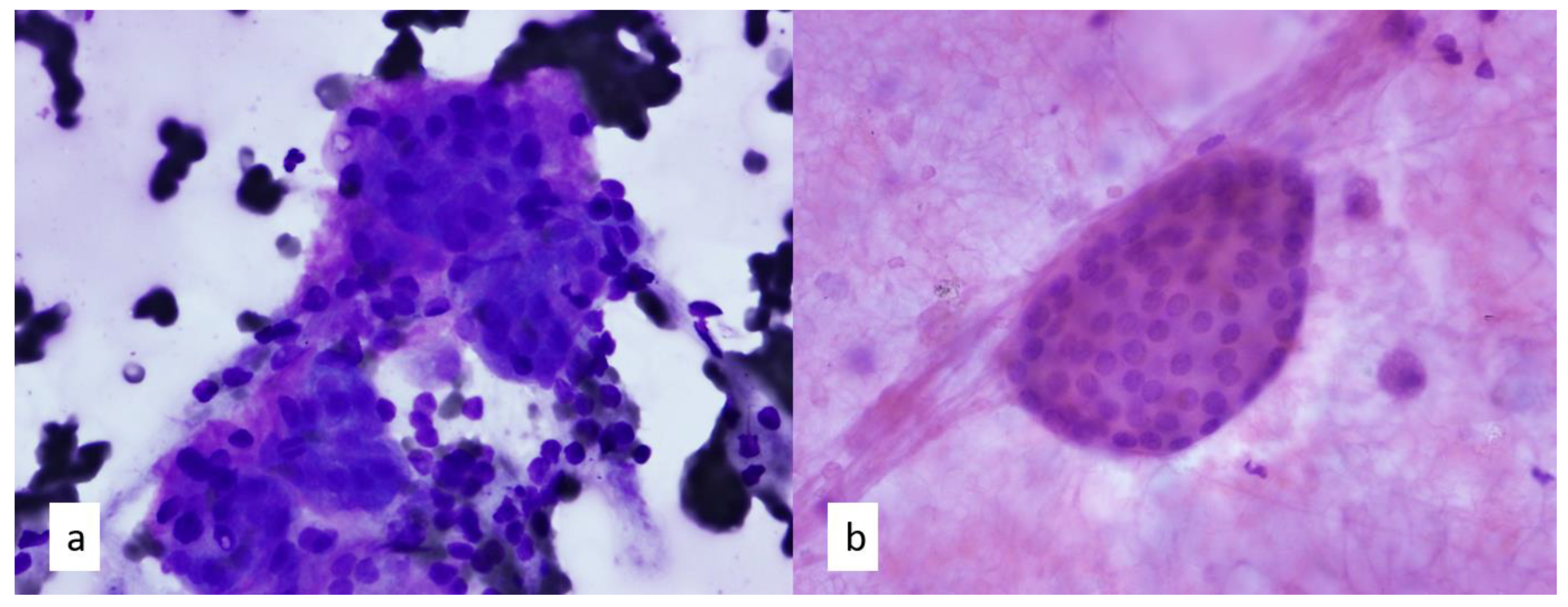
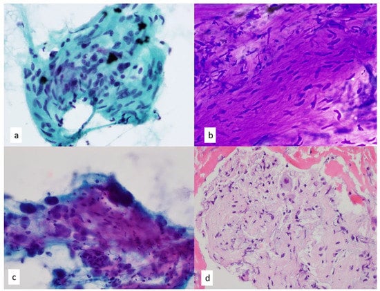
2.1. Cystic Lesions
2.2. Inflammatory Lesions
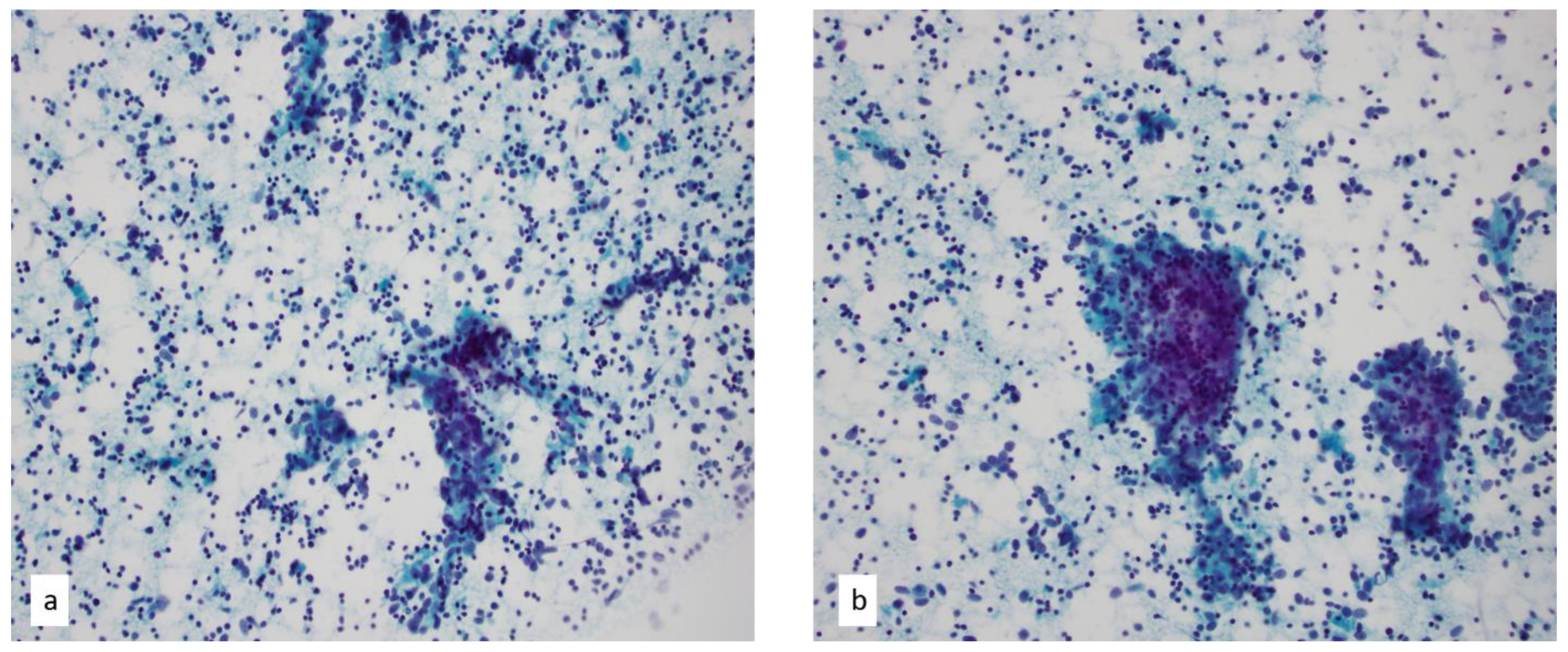
Mediastinitis and Granulomatous Inflammation
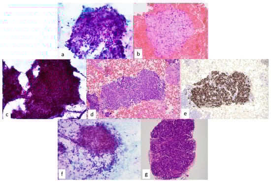
2.3. Ectopic Tissue
2.4. Thymic Hyperplasia
3. Neoplastic Lesions
3.1. Epithelial Neoplasms
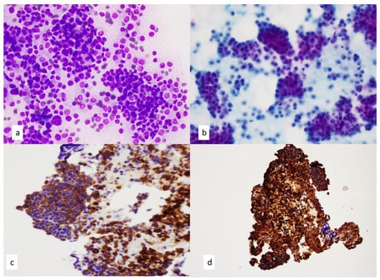
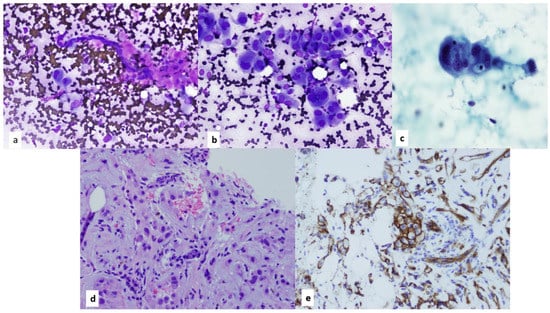
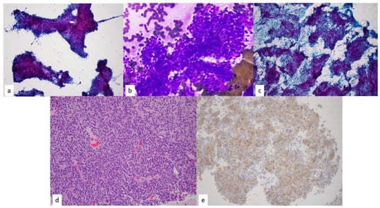
3.1.1. Thymic Epithelial Neoplasms
3.1.2. Neuroendocrine Neoplasms
3.2. Mesenchymal Neoplasms
3.2.1. Neural Neoplasms
3.2.2. Smooth Muscle Neoplasms
3.2.3. Lipomatous Tumors
3.2.4. Vascular Tumors
3.2.5. Other Spindle Cell Neoplasms
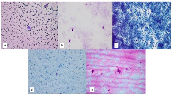
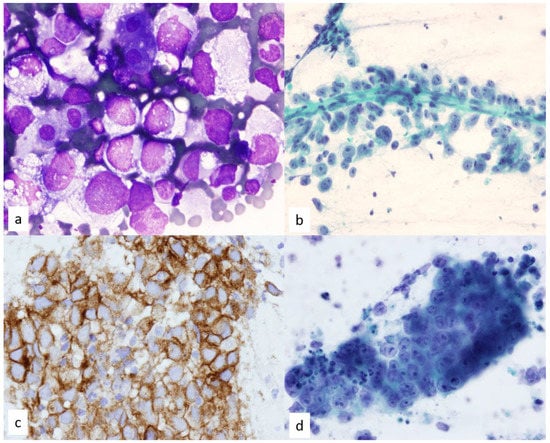
3.3. Germ Cell Tumors (GCTs)
3.3.1. Seminoma
3.3.2. Non-Seminomatous GCTs
3.4. Hematologic Malignancies
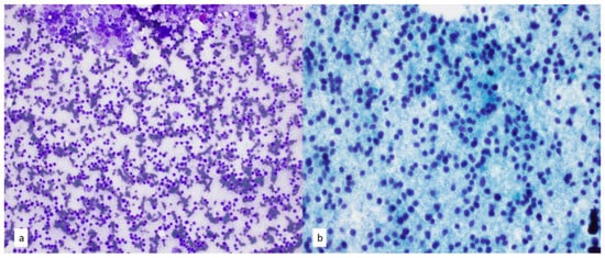
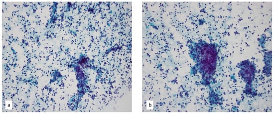
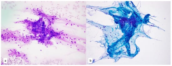
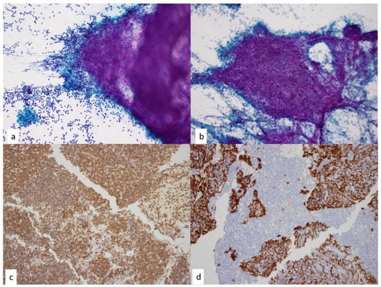
3.4.1. Classical Hodgkin Lymphoma (CHL)
3.4.2. Primary Mediastinal Large B-Cell Lymphoma
3.4.3. Mediastinal Gray Zone Lymphoma
3.4.4. T-Cell Lymphoblastic Lymphoma
4. Conclusions
Author Contributions
Funding
Institutional Review Board Statement
Informed Consent Statement
Data Availability Statement
Acknowledgments
Conflicts of Interest
References
- Zhao, Y.; Wang, R.; Wang, Y.; Chen, Q.; Chen, L.; Hou, W.; Liu, L.; Gao, W.; Cheng, B. Application of endoscopic ultrasound-guided-fine needle aspiration combined with cyst fluid analysis for the diagnosis of mediastinal cystic lesions. Thorac. Cancer 2019, 10, 156–162. [Google Scholar] [PubMed]
- McAdams, H.P.; Kirejczyk, W.M.; Rosado-de-Christenson, M.L.; Matsumoto, S. Bronchogenic cyst: Imaging features with clinical and histopathologic correlation. Radiology 2000, 217, 441–446. [Google Scholar] [CrossRef] [PubMed]
- Stewart, B.D.; VandenBussche, C.J.; Leon, M.E. Benign lesions of the mediastinum: A review with emphasis on cytology and small biopsy specimens. Semin. Diagn. Pathol. 2020, 37, 199–210. [Google Scholar]
- Fazel, A.; Moezardalan, K.; Varadarajulu, S.; Draganov, P.; Eloubeidi, M.A. The utility and the safety of EUS-guided FNA in the evaluation of duplication cysts. Gastrointest. Endosc. 2005, 62, 575–580. [Google Scholar] [CrossRef]
- Nachef, Z.; Harris, K.; Dhillon, S.S. Bronchogenic Cyst: Fluid-thrill Sign on Endobronchial Ultrasound. J. Bronchol. Interv. Pulmonol. 2018, 25, 224–227. [Google Scholar] [CrossRef]
- Syred, K.; Weissferdt, A. Non-Neoplastic Mediastinal Cysts. Adv. Anat. Pathol. 2020, 27, 294–302. [Google Scholar] [PubMed]
- Huang, H.; Solanki, M.H.; Giorgadze, T. Cytomorphology of ciliated foregut cyst of the pancreas. Diagn. Cytopathol. 2019, 47, 347–350. [Google Scholar] [PubMed]
- Li, Z.; Xu, H.; Fan, F. Approach to Mediastinal Fine Needle Aspiration Cytology. Adv. Anat. Pathol. 2022, 29, 337–348. [Google Scholar]
- Eloubeidi, M.A.; Cohn, M.; Cerfolio, R.J.; Chhieng, D.C.; Jhala, N.; Jhala, D.; Eltoum, I.A. Endoscopic ultrasound-guided fine-needle aspiration in the diagnosis of foregut duplication cysts: The value of demonstrating detached ciliary tufts in cyst fluid. Cancer 2004, 102, 253–258. [Google Scholar] [CrossRef]
- Hattori, H. Ciliated cyst of probable mullerian origin arising in the posterior mediastinum. Virchows Arch. 2005, 446, 82–84. [Google Scholar] [CrossRef]
- Simmons, M.; Duckworth, L.V.; Scherer, K.; Drew, P.; Rush, D. Mullerian cysts of the posterior mediastinum: Report of two cases and review of the literature. J. Thorac. Dis. 2013, 5, E8–E10. [Google Scholar]
- Suster, S.; Rosai, J. Multilocular thymic cyst: An acquired reactive process. Study of 18 cases. Am. J. Surg. Pathol. 1991, 15, 388–398. [Google Scholar] [CrossRef] [PubMed]
- Rieker, R.J.; Aulmann, S.; Schnabel, P.A.; Sack, F.U.; Otto, H.F.; Mechtersheimer, G.; Schirmacher, P.; Blaker, H. Cystic thymoma. Pathol. Oncol. Res. 2005, 11, 57–60. [Google Scholar] [CrossRef] [PubMed]
- Kluge, J. Acute and chronic mediastinitis. Der Chir. 2016, 87, 469–477. [Google Scholar]
- Ng, D.L.; Balassanian, R. Granulomatous inflammation diagnosed by fine-needle aspiration biopsy. J. Am. Soc. Cytopathol. 2019, 8, 317–323. [Google Scholar] [CrossRef]
- Fritscher-Ravens, A.; Ghanbari, A.; Topalidis, T.; Pelling, M.; Kon, O.M.; Patel, K.; Arlt, A.; Bhowmik, A. Granulomatous mediastinal adenopathy: Can endoscopic ultrasound-guided fine-needle aspiration differentiate between tuberculosis and sarcoidosis? Endoscopy 2011, 43, 955–961. [Google Scholar]
- Panagopoulos, N.; Leivaditis, V.; Kraniotis, P.; Ravazoula, P.; Koletsis, E.; Dougenis, D. Sclerosing Mediastinitis Causing Unilateral Pulmonary Edema Due to Left Atrial and Pulmonary Venous Compression. A Case Report and Literature Review. Braz. J. Cardiovasc. Surg. 2019, 34, 85–92. [Google Scholar] [CrossRef]
- Tsai, A.; Rafferty, W.; Ren, S. Mediastinal ectopic thyroid tissue, an imitator of an enlarged lymph node with metastatic pulmonary neoplasia. Diagn. Cytopathol. 2021, 49, E471–E474. [Google Scholar] [CrossRef]
- Moran, C.A.; Suster, S. Primary parathyroid tumors of the mediastinum: A clinicopathologic and immunohistochemical study of 17 cases. Am. J. Clin. Pathol. 2005, 124, 749–754. [Google Scholar] [CrossRef]
- Vaidya, A.; Gouri, M.; Sudha, H.M.; Mysorekar, V.; Balekudura, A. Ectopic Parathyroid Adenoma Presenting as a Mediastinal Mass. J. Clin. Diagn. Res. 2017, 11, ED40–ED42. [Google Scholar] [CrossRef]
- Heo, I.; Park, S.; Jung, C.W.; Koh, J.S.; Lee, S.S.; Seol, H.; Choi, H.S.; Cho, S.Y. Fine needle aspiration cytology of parathyroid lesions. Korean J. Pathol. 2013, 47, 466–471. [Google Scholar] [CrossRef]
- Haller, J.A., Jr.; Mazur, D.O.; Morgan, W.W., Jr. Diagnosis and management of mediastinal masses in children. J. Thorac. Cardiovasc. Surg. 1969, 58, 385–393. [Google Scholar] [CrossRef]
- Weinblatt, M.E.; Zanzi, I.; Belakhlef, A.; Babchyck, B.; Kochen, J. False-positive FDG-PET imaging of the thymus of a child with Hodgkin’s disease. J. Nucl. Med. 1997, 38, 888–890. [Google Scholar] [PubMed]
- Cohen, M.; Hill, C.A.; Cangir, A.; Sullivan, M.P. Thymic rebound after treatment of childhood tumors. AJR Am. J. Roentgenol. 1980, 135, 151–156. [Google Scholar] [CrossRef] [PubMed]
- Bangerter, M.; Behnisch, W.; Griesshammer, M. Mediastinal masses diagnosed as thymus hyperplasia by fine needle aspiration cytology. Acta Cytol. 2000, 44, 743–747. [Google Scholar] [CrossRef]
- Illei, P.B.; Shyu, S. Fine needle aspiration of thymic epithelial neoplasms and non-neoplastic lesions. Semin. Diagn. Pathol. 2020, 37, 166–173. [Google Scholar] [CrossRef] [PubMed]
- Riazmontazer, N.; Bedayat, G. Aspiration cytology of an enlarged thymus presenting as a mediastinal mass. A case report. Acta Cytol. 1993, 37, 427–430. [Google Scholar]
- Chen, P.; Wang, Y.P.; Mou, D.L.; Li, Z.Y.; Qu, Q.M.; Wang, H.Y.; Deng, Y.; Li, X.F.; Wang, T.; Xu, X.H.; et al. Pathological Findings in Myasthenia Gravis Patients with Thymic Hyperplasia and Thymoma. Pathol. Oncol. Res. 2018, 24, 67–74. [Google Scholar] [CrossRef]
- Hsu, L.H.; Chen, J.C.; Tsai, G.J.; Tsou, M.H.; Hsu, W.H. Thymic hyperplasia in a patient with Graves’ disease. Chin. Med. J. 2001, 64, 115–120. [Google Scholar]
- Zhang, K.; Wu, W.; Wu, Y.; Bai, M.; Li, X.; Zhang, J.; Gu, L.; Chen, H. Thymic lymphoid hyperplasia with Graves’ disease in a 28-year-old female: A case report. Gland Surg. 2020, 9, 437–441. [Google Scholar] [CrossRef]
- Marx, A.; Chan, J.K.C.; Chalabreysse, L.; Dacic, S.; Detterbeck, F.; French, C.A.; Hornick, J.L.; Inagaki, H.; Jain, D.; Lazar, A.J.; et al. The 2021 WHO Classification of Tumors of the Thymus and Mediastinum: What Is New in Thymic Epithelial, Germ Cell, and Mesenchymal Tumors? J. Thorac. Oncol. 2022, 17, 200–213. [Google Scholar] [CrossRef]
- Suster, S.; Moran, C.A. Thymoma, atypical thymoma, and thymic carcinoma—A novel conceptual approach to the classification of thymic epithelial neoplasms. Am. J. Clin. Pathol. 1999, 111, 826–833. [Google Scholar] [CrossRef]
- Wang, M.; Kundu, U.; Gong, Y. Pitfalls of FNA diagnosis of thymic tumors. Cancer Cytopathol. 2020, 128, 57–67. [Google Scholar] [CrossRef]
- Willner, J.; Zhou, F.; Moreira, A.L. Diagnostic Challenges in the Cytology of Thymic Epithelial Neoplasms. Cancers 2022, 14, 2013. [Google Scholar] [CrossRef] [PubMed]
- Wakely, P.E., Jr. Fine needle aspiration in the diagnosis of thymic epithelial neoplasms. Hematol. Oncol. Clin. N. Am. 2008, 22, 433–442. [Google Scholar] [CrossRef]
- Hishima, T.; Fukayama, M.; Fujisawa, M.; Hayashi, Y.; Arai, K.; Funata, N.; Koike, M. CD5 expression in thymic carcinoma. Am. J. Pathol. 1994, 145, 268–275. [Google Scholar]
- Li, S.; Juco, J.; Mann, K.P.; Holden, J.T. Flow cytometry in the differential diagnosis of lymphocyte-rich thymoma from precursor T-cell acute lymphoblastic leukemia/lymphoblastic lymphoma. Am. J. Clin. Pathol. 2004, 121, 268–274. [Google Scholar] [CrossRef]
- Bhaker, P.; Das, A.; Rajwanshi, A.; Gautam, U.; Trehan, A.; Bansal, D.; Varma, N.; Srinivasan, R. Precursor T-lymphoblastic lymphoma: Speedy diagnosis in FNA and effusion cytology by morphology, immunochemistry, and flow cytometry. Cancer Cytopathol. 2015, 123, 557–565. [Google Scholar] [CrossRef]
- Balslev, E.; Francis, D.; Jacobsen, G.K. Testicular Germ-Cell Tumors—Classification Based on Fine Needle Aspiration Biopsy. Acta Cytol. 1990, 34, 690–694. [Google Scholar]
- Caraway, N.P.; Fanning, C.V.; Amato, R.J.; Sneige, N. Fine-needle aspiration cytology of seminoma: A review of 16 cases. Diagn. Cytopathol. 1995, 12, 327–333. [Google Scholar] [CrossRef]
- Kwon, M.S. Aspiration cytology of mediastinal seminoma: Report of a case with emphasis on the diagnostic role of aspiration cytology, cell block and immunocytochemistry. Acta Cytol. 2005, 49, 669–672. [Google Scholar] [CrossRef]
- Okumura, M.; Miyoshi, S.; Fujii, Y.; Takeuchi, Y.; Shiono, H.; Inoue, M.; Fukuhara, K.; Kadota, Y.; Tateyama, H.; Eimoto, T.; et al. Clinical and functional significance of WHO classification on human thymic epithelial neoplasms: A study of 146 consecutive tumors. Am. J. Surg. Pathol. 2001, 25, 103–110. [Google Scholar] [CrossRef]
- Asirvatham, J.R.; Esposito, M.J.; Bhuiya, T.A. Role of PAX-8, CD5, and CD117 in distinguishing thymic carcinoma from poorly differentiated lung carcinoma. Appl. Immunohistochem. Mol. Morphol. 2014, 22, 372–376. [Google Scholar] [CrossRef] [PubMed]
- Klijanienko, J.; Le Tourneau, C.; Rodriguez, J.; Caly, M.; Theocharis, S. Cytological features of NUT midline carcinoma arising in sino-nasal tract and parotid gland: Report of two new cases and review of the literature. Diagn. Cytopathol. 2016, 44, 753–756. [Google Scholar] [CrossRef]
- Horadagoda, D.; Smith, T.; Varikatt, W. Nuclear protein in testis (NUT) carcinoma diagnosed using only FNA material in the absence of a histological sample. Cytopathology 2018, 29, 390–393. [Google Scholar] [CrossRef]
- de Perrot, M.; Spiliopoulos, A.; Fischer, S.; Totsch, M.; Keshavjee, S. Neuroendocrine carcinoma (carcinoid) of the thymus associated with Cushing’s syndrome. Ann. Thorac. Surg. 2002, 73, 675–681. [Google Scholar] [CrossRef]
- Wick, M.R.; Scott, R.E.; Li, C.Y.; Carney, J.A. Carcinoid tumor of the thymus: A clinicopathologic report of seven cases with a review of the literature. Mayo Clin. Proc. 1980, 55, 246–254. [Google Scholar]
- Filosso, P.L.; Ruffini, E.; Solidoro, P.; Roffinella, M.; Lausi, P.O.; Lyberis, P.; Oliaro, A.; Guerrera, F. Neuroendocrine tumors of the thymus. J. Thorac. Dis. 2017, 9, S1484–S1490. [Google Scholar] [CrossRef]
- Ahn, S.; Lee, J.J.; Ha, S.Y.; Sung, C.O.; Kim, J.; Han, J. Clinicopathological analysis of 21 thymic neuroendocrine tumors. Korean J. Pathol. 2012, 46, 221–225. [Google Scholar] [CrossRef]
- Suster, S.; Moran, C.A. Neuroendocrine neoplasms of the mediastinum. Am. J. Clin. Pathol. 2001, 115 (Suppl. S1), S17–S27. [Google Scholar] [CrossRef]
- Nicholson, A. 2021 WHO Thoracic Tumour Classification: What has Changed? J. Pathol. 2021, 255, S10. [Google Scholar]
- Tsao, M.S.; Nicholson, A.G.; Maleszewski, J.J.; Marx, A.; Travis, W.D. Introduction to 2021 WHO Classification of Thoracic Tumors. J. Thorac. Oncol. 2022, 17, E1–E4. [Google Scholar] [PubMed]
- Hou, T.; Gan, Q.; Joseph, C.T.; Sun, X.; Gong, Y. Insulinoma-associated protein 1 immunostaining for various types of neuroendocrine tumors on FNA smears. Cancer Cytopathol. 2020, 128, 725–732. [Google Scholar] [CrossRef]
- Abdel-Rahman, O. An analysis of clinical characteristics and patient outcomes in primary mediastinal sarcomas. Expert Rev. Anticancer Ther. 2017, 17, 1071–1076. [Google Scholar]
- Marchevsky, A.M. Mediastinal tumors of peripheral nervous system origin. Semin. Diagn. Pathol. 1999, 16, 65–78. [Google Scholar]
- Suster, D. Spindle cell tumors of the mediastinum. Ann. Diagn. Pathol. 2022, 60, 152018. [Google Scholar] [PubMed]
- Shadmehr, M.B.; Gaissert, H.A.; Wain, J.C.; Moncure, A.C.; Grillo, H.C.; Borges, L.F.; Mathisen, D.J. The surgical approach to “dumbbell tumors” of the mediastinum. Ann. Thorac. Surg. 2003, 76, 1650–1654. [Google Scholar] [CrossRef]
- Sheikh, M.M.; De Jesus, O. Schwannoma. In StatPearls; StatPearls Publishing: Treasure Island, FL, USA, 2022. [Google Scholar]
- Dodd, L.G.; Marom, E.M.; Dash, R.C.; Matthews, M.R.; McLendon, R.E. Fine-needle aspiration cytology of “ancient” schwannoma. Diagn. Cytopathol. 1999, 20, 307–311. [Google Scholar] [CrossRef]
- Mettler, T.; Stuart, J., 3rd; Racila, E.; Mallery, S.; Amin, K. Mediastinal ganglioneuroma diagnosed by transesophageal endoscopic ultrasound guided fine needle aspiration (EUS-FNA). Diagn. Cytopathol. 2020, 48, 769–772. [Google Scholar] [CrossRef]
- Wakely, P.E., Jr. Cytopathology-histopathology of the mediastinum II. Mesenchymal, neural, and neuroendocrine neoplasms. Ann. Diagn. Pathol. 2005, 9, 24–32. [Google Scholar] [CrossRef]
- Domanski, H.A. Fine-needle aspiration of ganglioneuroma. Diagn. Cytopathol. 2005, 32, 363–366. [Google Scholar] [CrossRef]
- Cole, C.D.; Wu, H.H. Fine-needle aspiration in pediatric patients 12 years of age and younger: A 20-year retrospective study from a single tertiary medical center. Diagn. Cytopathol. 2014, 42, 600–605. [Google Scholar] [CrossRef]
- Rastogi, K.; Mahajan, N.; Khatri, A.; Khan, N.A. Neuroblastoma: Application of International Neuroblastoma Pathology Classification on fine needle aspiration cytology smears. Indian J. Pathol. Microbiol. 2022, 65, 387–391. [Google Scholar] [PubMed]
- Wiles, A.B.; Karrs, J.X.; Pitt, S.; Almenara, J.; Powers, C.N.; Smith, S.C. GATA3 is a reliable marker for neuroblastoma in limited samples, including FNA Cell Blocks, core biopsies, and touch imprints. Cancer Cytopathol. 2017, 125, 940–946. [Google Scholar] [CrossRef] [PubMed]
- Cheung, N.K.; Dyer, M.A. Neuroblastoma: Developmental biology, cancer genomics and immunotherapy. Nat. Rev. Cancer 2013, 13, 397–411. [Google Scholar]
- Resnick, J.M.; Fanning, C.V.; Caraway, N.P.; Varma, D.G.; Johnson, M. Percutaneous needle biopsy diagnosis of benign neurogenic neoplasms. Diagn. Cytopathol. 1997, 16, 17–25. [Google Scholar] [CrossRef]
- Miettinen, M.M.; Antonescu, C.R.; Fletcher, C.D.M.; Kim, A.; Lazar, A.J.; Quezado, M.M.; Reilly, K.M.; Stemmer-Rachamimov, A.; Stewart, D.R.; Viskochil, D.; et al. Histopathologic evaluation of atypical neurofibromatous tumors and their transformation into malignant peripheral nerve sheath tumor in patients with neurofibromatosis 1—A consensus overview. Hum. Pathol. 2017, 67, 1–10. [Google Scholar] [CrossRef] [PubMed]
- Bholah, R.; Bunchman, T.E. Review of Pediatric Pheochromocytoma and Paraganglioma. Front. Pediatr. 2017, 5, 155. [Google Scholar] [PubMed]
- Fite, J.J.; Maleki, Z. Paraganglioma: Cytomorphologic features, radiologic and clinical findings in 12 cases. Diagn. Cytopathol. 2018, 46, 473–481. [Google Scholar] [CrossRef]
- Zhang, W.; Policarpio-Nicolas, M.L. Aspiration cytology of primary thyroid paraganglioma. Diagn. Cytopathol. 2015, 43, 838–843. [Google Scholar] [CrossRef]
- So, J.S.; Epstein, J.I. GATA3 expression in paragangliomas: A pitfall potentially leading to misdiagnosis of urothelial carcinoma. Mod. Pathol. 2013, 26, 1365–1370. [Google Scholar] [CrossRef]
- Nikas, I.P.; Ishak, A.; AlRawashdeh, M.M.; Klapsinou, E.; Sepsa, A.; Tzimas, G.N.; Panagiotakopoulos, D.; Papaioannou, D.; Salla, C. Preoperative Diagnosis of Abdominal Extra-Adrenal Paragangliomas with Fine-Needle Biopsy. Diagnostics 2022, 12, 1819. [Google Scholar] [CrossRef]
- Moran, C.A.; Suster, S.; Koss, M.N. Smooth-Muscle Tumors Presenting as Pleural Neoplasms. Histopathology 1995, 27, 227–234. [Google Scholar] [CrossRef]
- Rasaretnam, R.; Panabokke, R.G. Leiomyosarcoma of the mediastinum. Br. J. Dis. Chest 1975, 69, 63–69. [Google Scholar] [CrossRef]
- Bean, S.M.; Baker, A.; Eloubeidi, M.; Eltoum, I.; Jhala, N.; Crowe, R.; Jhala, D.; Chhieng, D.C. Endoscopic ultrasound-guided fine-needle aspiration of intrathoracic and intra-abdominal spindle cell and mesenchymal lesions. Cancer Cytopathol. 2011, 119, 37–48. [Google Scholar] [CrossRef] [PubMed]
- Varghese, L.; Ngae, M.Y.; Wilson, A.P.; Crowder, C.D.; Gulbahce, H.E.; Pambuccian, S.E. Diagnosis of metastatic pancreatic mesenchymal tumors by endoscopic ultrasound-guided fine-needle aspiration. Diagn. Cytopathol. 2009, 37, 792–802. [Google Scholar] [CrossRef] [PubMed]
- Greif, J.; Marmor, S.; Merimsky, O.; Kovner, F.; Inbar, M. Primary liposarcoma of the mediastinum. Sarcoma 1998, 2, 205–207. [Google Scholar] [CrossRef]
- Gupta, R.; Verma, S.; Bansal, K.; Mohta, A. Thymolipoma in child: A case diagnosed by correlation of ultrasound-guided fine needle aspiration (EUS-FNA) cytology and computed tomography with histological confirmation. Cytopathology 2014, 25, 278–279. [Google Scholar] [CrossRef]
- Romero-Guadarrama, M.B.; Duran-Padilla, M.A.; Cruz-Ortiz, H.; Castro-Gomez, L.; Lopez-Vancell, D.; Novelo-Retana, V.; Santiago-Prieto, A.C.; Fierro-Chavez, E.; Rodriguez-Martinez, H.A. Diagnosis of thymolipoma with fine needle aspiration biopsy. Report of a case initially misdiagnosed as liposarcoma. Acta Cytol. 2004, 48, 441–446. [Google Scholar] [CrossRef] [PubMed]
- Smith, A.P.; Dueber, J.C.; Allison, D.B. A diagnostic review of carcinomas and sarcomas of the mediastinum: Making the diagnosis on fine-needle aspiration and core needle biopsy specimens. Semin. Diagn. Pathol. 2020, 37, 187–198. [Google Scholar] [CrossRef]
- Choi, J.H.; Ro, J.Y. Mesenchymal Tumors of the Mediastinum: An Update on Diagnostic Approach. Adv. Anat. Pathol. 2021, 28, 351–381. [Google Scholar]
- Inuganti, R.V.; Bala, S.G.; Bharathi, K.Y. Metastatic myxoid liposarcoma of lung and mediastinum diagnosed by fine needle aspiration. J. Cytol. 2011, 28, 33–35. [Google Scholar] [CrossRef] [PubMed]
- Wakely, P.E., Jr.; Jin, M. Myxoid liposarcoma: Fine-needle aspiration cytopathology in the molecular era. A report of 24 cases. J. Am. Soc. Cytopathol. 2016, 5, 162–169. [Google Scholar] [CrossRef] [PubMed]
- Limbach, A.L.; Lingen, M.W.; McElherne, J.; Mashek, H.; Fitzpatrick, C.; Hyjek, E.; Mostofi, R.; Cipriani, N.A. The Utility of MDM2 and CDK4 Immunohistochemistry and MDM2 FISH in Craniofacial Osteosarcoma. Head Neck Pathol. 2020, 14, 889–898. [Google Scholar] [CrossRef] [PubMed]
- Marino-Enriquez, A.; Hornick, J.L.; Dal Cin, P.; Cibas, E.S.; Qian, X. Dedifferentiated liposarcoma and pleomorphic liposarcoma: A comparative study of cytomorphology and MDM2/CDK4 expression on fine-needle aspiration. Cancer Cytopathol. 2014, 122, 128–137. [Google Scholar] [CrossRef]
- Geller, R.L.; Hookim, K.; Sullivan, H.C.; Stuart, L.N.; Edgar, M.A.; Reid, M.D. Cytologic features of angiosarcoma: A review of 26 cases diagnosed on FNA. Cancer Cytopathol. 2016, 124, 659–668. [Google Scholar] [CrossRef]
- Liu, K.; Layfield, L.J. Cytomorphologic features of angiosarcoma on fine needle aspiration biopsy. Acta Cytol. 1999, 43, 407–415. [Google Scholar] [CrossRef]
- Li, J.L.; Liu, H.J.; Cui, Y.H.; Lin, X.F.; Guo, Y.; Zheng, Z.J.; Rajiah, P.; Saboo, S. Mediastinal hemangiomas: Spectrum of CT and MRI findings—Retrospective case series study and systematic review of the literature. Eur. J. Radiol. 2020, 126, 108905. [Google Scholar]
- Bai, Y.; Zhao, G.; Tan, Y. CT and MRI manifestations of mediastinal cavernous hemangioma and a review of the literature. World J. Surg. Oncol. 2019, 17, 205. [Google Scholar] [CrossRef]
- Doyle, L.A.; Fletcher, C.D.; Hornick, J.L. Nuclear Expression of CAMTA1 Distinguishes Epithelioid Hemangioendothelioma From Histologic Mimics. Am. J. Surg. Pathol. 2016, 40, 94–102. [Google Scholar] [CrossRef]
- Lotfalla, M.M.; Folpe, A.L.; Fritchie, K.J.; Greipp, P.T.; Galliano, G.G.; Halling, K.C.; Mounajjed, T.; Torres-Mora, J.; Graham, R.P. Hepatic YAP1-TFE3 Rearranged Epithelioid Hemangioendothelioma. Case Rep. Gastrointest. Med. 2019, 2019, 7530845. [Google Scholar] [PubMed]
- Jung, H.; Kim, H.N.; Jang, Y.; Park, C.K.; Ha, S.Y. CAMTA-1 Expression in 24 Cases of Hepatic Epithelioid Hemangioendothelioma in a Single Institute: Diagnostic Utility for Differential Diagnosis from Hepatic Angiosarcoma. In Vivo 2019, 33, 2293–2297. [Google Scholar] [CrossRef]
- Lepe, M.; Hui, Y.; Pisharodi, L.; Canepa, M. Primary diagnosis of angiosarcoma by fine needle aspiration: Lessons learned from 3 cases. Diagn. Cytopathol. 2018, 46, 349–354. [Google Scholar]
- Khandakar, B.; Chen, H. Ultrasound-guided fine needle aspiration cytology of angiosarcoma of head and neck: A review of cytomorphologic features and discussion of diagnostic pitfall of aspiration cytology of vascular lesions. Diagn. Cytopathol. 2021, 49, 902–906. [Google Scholar] [CrossRef] [PubMed]
- Vats, K.; Al-Nourhji, O.; Wang, H.; Wang, C. Primary epithelioid angiosarcoma of the mediastinum, cytomorphologic features of a rare entity-A case report and literature review. Diagn. Cytopathol. 2022, 50, E181–E187. [Google Scholar] [CrossRef]
- Paral, K.; Krausz, T. Vascular tumors of the mediastinum. Mediastinum 2020, 4, 25. [Google Scholar] [CrossRef]
- Anderson, T.; Zhang, L.; Hameed, M.; Rusch, V.; Travis, W.D.; Antonescu, C.R. Thoracic epithelioid malignant vascular tumors: A clinicopathologic study of 52 cases with emphasis on pathologic grading and molecular studies of WWTR1-CAMTA1 fusions. Am. J. Surg. Pathol. 2015, 39, 132–139. [Google Scholar] [CrossRef]
- Wakely, P.E., Jr.; Rekhi, B. Cytopathology of solitary fibrous tumor: A series of 34 cases. J. Am. Soc. Cytopathol. 2021, 10, 382–390. [Google Scholar] [CrossRef] [PubMed]
- Webb, A.J.; Yassin, A.S.; Saeed, A.; Yadav, H.; Utz, J.P. Mediastinal Solitary Fibrous Tumor Diagnosed by Endobronchial Ultrasound-Directed Biopsy. Am. J. Case Rep. 2017, 18, 549–552. [Google Scholar]
- Tani, E.; Wejde, J.; Astrom, K.; Wingmo, I.L.; Larsson, O.; Haglund, F. FNA cytology of solitary fibrous tumors and the diagnostic value of STAT6 immunocytochemistry. Cancer Cytopathol. 2018, 126, 36–43. [Google Scholar] [CrossRef]
- Cho, E.Y.; Han, J.J.; Han, J.; Oh, Y.L. Fine needle aspiration cytology of solitary fibrous tumours of the pleura. Cytopathology 2007, 18, 20–27. [Google Scholar] [CrossRef] [PubMed]
- Doyle, L.A.; Vivero, M.; Fletcher, C.D.; Mertens, F.; Hornick, J.L. Nuclear expression of STAT6 distinguishes solitary fibrous tumor from histologic mimics. Mod. Pathol. 2014, 27, 390–395. [Google Scholar] [CrossRef]
- Demicco, E.G.; Harms, P.W.; Patel, R.M.; Smith, S.C.; Ingram, D.; Torres, K.; Carskadon, S.L.; Camelo-Piragua, S.; McHugh, J.B.; Siddiqui, J.; et al. Extensive survey of STAT6 expression in a large series of mesenchymal tumors. Am. J. Clin. Pathol. 2015, 143, 672–682. [Google Scholar] [CrossRef] [PubMed]
- Hartel, P.H.; Fanburg-Smith, J.C.; Frazier, A.A.; Galvin, J.R.; Lichy, J.H.; Shilo, K.; Franks, T.J. Primary pulmonary and mediastinal synovial sarcoma: A clinicopathologic study of 60 cases and comparison with five prior series. Mod. Pathol. 2007, 20, 760–769. [Google Scholar] [CrossRef]
- Salah, S.; Salem, A. Primary synovial sarcomas of the mediastinum: A systematic review and pooled analysis of the published literature. ISRN Oncol. 2014, 2014, 412527. [Google Scholar] [CrossRef] [PubMed]
- Terra, S.; Aesif, S.W.; Maleszewski, J.J.; Folpe, A.L.; Boland, J.M. Mediastinal Synovial Sarcoma: Clinicopathologic Analysis of 21 Cases With Molecular Confirmation. Am. J. Surg. Pathol. 2018, 42, 761–766. [Google Scholar]
- Suster, S.; Moran, C.A. Primary synovial sarcomas of the mediastinum: A clinicopathologic, immunohistochemical, and ultrastructural study of 15 cases. Am. J. Surg. Pathol. 2005, 29, 569–578. [Google Scholar] [CrossRef]
- Syred, K.; Weissferdt, A. Primary mediastinal synovial sarcomas. Mediastinum 2020, 4, 13. [Google Scholar] [CrossRef]
- Yoshioka, S.; Ebisu, Y.; Ishida, M.; Miyasaka, C.; Taniguchi, Y.; Murakawa, T.; Tsuta, K. Fine-needle aspiration cytology of primary mediastinal synovial sarcoma: A case report with an immunocytochemical approach. Diagn. Cytopathol. 2020, 48, 499–501. [Google Scholar] [CrossRef]
- den Bakker, M.A.; Marx, A.; Mukai, K.; Strobel, P. Mesenchymal tumours of the mediastinum—Part I. Virchows Arch. 2015, 467, 487–500. [Google Scholar]
- Chaganti, R.S.; Rodriguez, E.; Mathew, S. Origin of adult male mediastinal germ-cell tumours. Lancet 1994, 343, 1130–1132. [Google Scholar] [CrossRef] [PubMed]
- Kubicek, P.; Fenouil, T.; Jacquemus, J.; Chapuis, O.; Flechon, A.; Dumesnil, C.; Faure-Conter, C. Could Aberrant Migration Explain Metachronous Germ Cell Tumors? Cancer Investig. 2021, 39, 195–201. [Google Scholar] [CrossRef] [PubMed]
- Bremmer, F.; Strobel, P. Mediastinal germ cell tumors. Pathologe 2016, 37, 441–448. [Google Scholar] [CrossRef]
- Motoyama, T.; Yamamoto, O.; Iwamoto, H.; Watanabe, H. Fine needle aspiration cytology of primary mediastinal germ cell tumors. Acta Cytol. 1995, 39, 725–732. [Google Scholar]
- Chhieng, D.C.; Lin, O.; Moran, C.A.; Eltoum, I.A.; Jhala, N.C.; Jhala, D.N.; Simsir, A. Fine-needle aspiration biopsy of nonteratomatous germ cell tumors of the mediastinum. Am. J. Clin. Pathol. 2002, 118, 418–424. [Google Scholar] [CrossRef]
- Satturwar, S.P.; Khader, S.N.; Quiroga-Garza, G.M. Fluorescent in-situ hybridization test performed on cell blocks is useful for establishing germ cell origin of metastatic tumors with unusual clinical presentation. Diagn. Cytopathol. 2022, 50, E267–E274. [Google Scholar] [CrossRef]
- Moran, C.A.; Suster, S.; Koss, M.N. Primary germ cell tumors of the mediastinum: III. Yolk sac tumor, embryonal carcinoma, choriocarcinoma, and combined nonteratomatous germ cell tumors of the mediastinum—A clinicopathologic and immunohistochemical study of 64 cases. Cancer 1997, 80, 699–707. [Google Scholar] [CrossRef]
- Weissferdt, A.; Kalhor, N.; Moran, C.A. Combined thymoma-thymic seminoma. Report of 2 cases of a heretofore unreported association. Hum. Pathol. 2014, 45, 2168–2172. [Google Scholar] [CrossRef]
- El-Zaatari, Z.M.; Ro, J.Y. Mediastinal Germ Cell Tumors: A Review and Update on Pathologic, Clinical, and Molecular Features. Adv. Anat. Pathol. 2021, 28, 335–350. [Google Scholar] [CrossRef]
- Pandey, A.; Nandini, N.; Jha, A.; Manjunath, G. Fine needle aspiration cytology and cell block in the diagnosis of seminoma testis. J. Cytol. 2011, 28, 39–41. [Google Scholar] [CrossRef]
- Jimenez-Heffernan, J.A.; Rodriguez-Garcia, A.M.; Cima, L.; Gordillo, C.H.; Lopez-Ferrer, P.; Vicandi, B. A comprehensive review of the “tigroid” background cytological concept: What, when, where and why? Pathologica 2022, 114, 121–127. [Google Scholar] [CrossRef] [PubMed]
- Murshed, K.; Al-Bozom, I.; Vattoth, S.; Akhtar, M. Mediastinal seminoma presenting as a neck mass falsely diagnosed as anaplastic thyroid carcinoma: A case report. Diagn. Cytopathol. 2019, 47, 334–336. [Google Scholar] [CrossRef] [PubMed]
- Iwamoto, N.; Ishida, M.; Yoshida, K.; Kagotani, A.; Iwai, M.; Okabe, H. Mediastinal seminoma: A case report with special emphasis on SALL4 as a new immunocytochemical marker. Diagn. Cytopathol. 2013, 41, 821–824. [Google Scholar] [CrossRef] [PubMed]
- Wang, J.; Bi, N.; Wang, X.; Hui, Z.; Liang, J.; Lv, J.; Zhou, Z.; Feng, Q.F.; Xiao, Z.; Chen, D.; et al. Role of radiotherapy in treating patients with primary malignant mediastinal non-seminomatous germ cell tumor: A 21-year experience at a single institution. Thorac. Cancer 2015, 6, 399–406. [Google Scholar] [PubMed]
- Zhai, Y.; Chen, B.; Feng, X.; Liu, K.; Wang, S.; Hui, Z.; Feng, Q.; Li, J.; Xiao, Z.; Lv, J.; et al. Chemoradiotherapy is an alternative choice for patients with primary mediastinal seminoma. Radiat. Oncol. 2022, 17, 58. [Google Scholar]
- Ahmed, A.; Peng, L.; Agrawal, D. Mature cystic teratoma of the pancreas: Role of endoscopic ultrasound. Pancreatology 2015, 15, 445–448. [Google Scholar] [CrossRef]
- Harms, D.; Zahn, S.; Gobel, U.; Schneider, D.T. Pathology and molecular biology of teratomas in childhood and adolescence. Klin. Padiatr. 2006, 218, 296–302. [Google Scholar] [CrossRef]
- Choi, S.J.; Lee, J.S.; Song, K.S.; Lim, T.H. Mediastinal teratoma: CT differentiation of ruptured and unruptured tumors. AJR Am. J. Roentgenol. 1998, 171, 591–594. [Google Scholar] [CrossRef]
- Yang, X.; Cole, A.; Cajigas, A.; Khader, S. Fine needle aspiration of a metastatic germ cell tumor to supraclavicular lymph node. Lab. Med. 2014, 45, 151–155. [Google Scholar] [CrossRef]
- Weissferdt, A.; Kalhor, N.; Rodriguez Canales, J.; Fujimoto, J.; Wistuba, I.I.; Moran, C.A. Primary Mediastinal Yolk Sac Tumors: An Immunohistochemical Analysis of 14 Cases. Appl. Immunohistochem. Mol. Morphol. 2019, 27, 125–133. [Google Scholar] [CrossRef]
- Moran, C.A.; Suster, S. Primary mediastinal choriocarcinomas: A clinicopathologic and immunohistochemical study of eight cases. Am. J. Surg. Pathol. 1997, 21, 1007–1012. [Google Scholar] [CrossRef] [PubMed]
- Reynolds, J.P.; Liu, S. Fine needle aspiration of mediastinal germ cell tumors. Semin. Diagn. Pathol. 2020, 37, 174–178. [Google Scholar] [CrossRef]
- Fritzsche, F.R.; Kristiansen, G.; Frauenfelder, T.; Opitz, I.; Bode, P.; Moch, H.; Montani, M. Large mixed germ cell tumor in a young patient presenting as an intrapulmonary mass. Pathol. Res. Pract. 2009, 205, 572–578. [Google Scholar] [CrossRef]
- Hu, X.; Li, D.; Xia, J.; Wang, P.; Cai, J. Mediastinal mixed germ cell tumor: A case report and literature review. Open Med. 2021, 16, 892–898. [Google Scholar] [CrossRef] [PubMed]
- Chaganti, R.S.; Ladanyi, M.; Samaniego, F.; Offit, K.; Reuter, V.E.; Jhanwar, S.C.; Bosl, G.J. Leukemic differentiation of a mediastinal germ cell tumor. Genes Chromosomes Cancer 1989, 1, 83–87. [Google Scholar] [CrossRef]
- Ladanyi, M.; Samaniego, F.; Reuter, V.E.; Motzer, R.J.; Jhanwar, S.C.; Bosl, G.J.; Chaganti, R.S. Cytogenetic and immunohistochemical evidence for the germ cell origin of a subset of acute leukemias associated with mediastinal germ cell tumors. J. Natl. Cancer Inst. 1990, 82, 221–227. [Google Scholar] [CrossRef] [PubMed]
- Oshrine, B.R.; Olsen, M.N.; Heneghan, M.; Wertheim, G.; Daber, R.; Wilmoth, D.M.; Biegel, J.A.; Pawel, B.; Aplenc, R.; King, R.L. Acquired isochromosome 12p, somatic TP53 and PTEN mutations, and a germline ATM variant in an adolescent male with concurrent acute megakaryoblastic leukemia and mediastinal germ cell tumor. Cancer Genet. 2014, 207, 153–159. [Google Scholar] [CrossRef]
- Hartmann, J.T.; Nichols, C.R.; Droz, J.P.; Horwich, A.; Gerl, A.; Fossa, S.D.; Beyer, J.; Pont, J.; Fizazi, K.; Einhorn, L.; et al. Hematologic disorders associated with primary mediastinal nonseminomatous germ cell tumors. J. Natl. Cancer Inst. 2000, 92, 54–61. [Google Scholar] [CrossRef]
- Temes, R.; Chavez, T.; Mapel, D.; Ketai, L.; Crowell, R.; Key, C.; Follis, F.; Pett, S.; Wernly, J. Primary mediastinal malignancies: Findings in 219 patients. West. J. Med. 1999, 170, 161–166. [Google Scholar]
- Khazai, L.; Kundu, U.R.; Jacob, B.; Patel, S.; Sneige, N.; Eapen, G.A.; Morice, R.C.; Caraway, N.P. Endobronchial ultrasound-guided transbronchial needle aspiration biopsy is useful evaluating mediastinal lymphadenopathy in a cancer center. Cytojournal 2011, 8, 10. [Google Scholar] [CrossRef]
- Raphael, M.; Brousse, N. The WHO Classification of Hematological Malignancies (2008). In Hematological Malignancies in Children, Adolescents and Young Adults; World Scientific: Singapore, 2012; pp. 15–27. [Google Scholar]
- Brice, P.; de Kerviler, E.; Friedberg, J.W. Classical Hodgkin lymphoma. Lancet 2021, 398, 1518–1527. [Google Scholar]
- Ferry, J.A. Extranodal lymphoma. Arch. Pathol. Lab. Med. 2008, 132, 565–578. [Google Scholar] [PubMed]
- Pina-Oviedo, S. Mediastinal Lymphoproliferative Disorders. Adv. Anat. Pathol. 2021, 28, 307–334. [Google Scholar] [PubMed]
- Martelli, M.; Ferreri, A.; Di Rocco, A.; Ansuinelli, M.; Johnson, P.W.M. Primary mediastinal large B-cell lymphoma. Crit. Rev. Oncol. Hematol. 2017, 113, 318–327. [Google Scholar]
- Hoda, R.S.; Picklesimer, L.; Green, K.M.; Self, S. Fine-needle aspiration of a primary mediastinal large B-cell lymphoma: A case report with cytologic, histologic, and flow cytometric considerations. Diagn. Cytopathol. 2005, 32, 370–373. [Google Scholar] [CrossRef] [PubMed]
- Paulli, M.; Strater, J.; Gianelli, U.; Rousset, M.T.; Gambacorta, M.; Orlandi, E.; Klersy, C.; Lavabre-Bertrand, T.; Morra, E.; Manegold, C.; et al. Mediastinal B-cell lymphoma: A study of its histomorphologic spectrum based on 109 cases. Hum. Pathol. 1999, 30, 178–187. [Google Scholar] [CrossRef]
- Zhang, M.L.; Sohani, A.R. Lymphomas of the Mediastinum and Their Differential Diagnosis. Semin. Diagn. Pathol. 2020, 37, 156–165. [Google Scholar]
- Skinnider, B.F.; Elia, A.J.; Gascoyne, R.D.; Patterson, B.; Trumper, L.; Kapp, U.; Mak, T.W. Signal transducer and activator of transcription 6 is frequently activated in Hodgkin and Reed-Sternberg cells of Hodgkin lymphoma. Blood 2002, 99, 618–626. [Google Scholar] [CrossRef]
- Weniger, M.A.; Melzner, I.; Menz, C.K.; Wegener, S.; Bucur, A.J.; Dorsch, K.; Mattfeldt, T.; Barth, T.F.; Moller, P. Mutations of the tumor suppressor gene SOCS-1 in classical Hodgkin lymphoma are frequent and associated with nuclear phospho-STAT5 accumulation. Oncogene 2006, 25, 2679–2684. [Google Scholar] [CrossRef]
- Jaffe, E.S.; Zarate-Osorno, A.; Kingma, D.W.; Raffeld, M.; Medeiros, L.J. The interrelationship between Hodgkin’s disease and non-Hodgkin’s lymphomas. Ann. Oncol. 1994, 5 (Suppl. S1), 7–11. [Google Scholar] [CrossRef]
- Pittaluga, S.; Nicolae, A.; Wright, G.W.; Melani, C.; Roschewski, M.; Steinberg, S.; Huang, D.; Staudt, L.M.; Jaffe, E.S.; Wilson, W.H. Gene Expression Profiling of Mediastinal Gray Zone Lymphoma and Its Relationship to Primary Mediastinal B-cell Lymphoma and Classical Hodgkin Lymphoma. Blood Cancer Discov. 2020, 1, 155–161. [Google Scholar] [CrossRef]
- Sarkozy, C.; Hung, S.S.; Chavez, E.A.; Duns, G.; Takata, K.; Chong, L.C.; Aoki, T.; Jiang, A.; Miyata-Takata, T.; Telenius, A.; et al. Mutational landscape of gray zone lymphoma. Blood 2021, 137, 1765–1776. [Google Scholar] [CrossRef]
- Sarkozy, C.; Copie-Bergman, C.; Damotte, D.; Ben-Neriah, S.; Burroni, B.; Cornillon, J.; Lemal, R.; Golfier, C.; Fabiani, B.; Chassagne-Clement, C.; et al. Gray-zone Lymphoma Between cHL and Large B-Cell Lymphoma: A Histopathologic Series from the LYSA. Am. J. Surg. Pathol. 2019, 43, 341–351. [Google Scholar] [CrossRef]
- Aussedat, G.; Traverse-Glehen, A.; Stamatoullas, A.; Molina, T.; Safar, V.; Laurent, C.; Michot, J.M.; Hirsch, P.; Nicolas-Virelizier, E.; Lamure, S.; et al. Composite and sequential lymphoma between classical Hodgkin lymphoma and primary mediastinal lymphoma/diffuse large B-cell lymphoma, a clinico-pathological series of 25 cases. Br. J. Haematol. 2020, 189, 244–256. [Google Scholar] [CrossRef]
- Pilichowska, M.; Pittaluga, S.; Ferry, J.A.; Hemminger, J.; Chang, H.; Kanakry, J.A.; Sehn, L.H.; Feldman, T.; Abramson, J.S.; Kritharis, A.; et al. Clinicopathologic consensus study of gray zone lymphoma with features intermediate between DLBCL and classical HL. Blood Adv. 2017, 1, 2600–2609. [Google Scholar] [CrossRef] [PubMed]
- Anderson, L.M.; Diwan, B.A.; Fear, N.T.; Roman, E. Critical windows of exposure for children’s health: Cancer in human epidemiological studies and neoplasms in experimental animal models. Environ. Health Perspect. 2000, 108 (Suppl. S3), 573–594. [Google Scholar] [PubMed]
- Lightfoot, T.J.; Roman, E. Causes of childhood leukaemia and lymphoma. Toxicol. Appl. Pharmacol. 2004, 199, 104–117. [Google Scholar] [CrossRef] [PubMed]
- Preston, D.L.; Kusumi, S.; Tomonaga, M.; Izumi, S.; Ron, E.; Kuramoto, A.; Kamada, N.; Dohy, H.; Matsuo, T.; Matsui, T.; et al. Cancer incidence in atomic bomb survivors. Part III. Leukemia, lymphoma and multiple myeloma, 1950–1987. Radiat. Res. 1994, 137, S68–S97. [Google Scholar] [CrossRef]
- Intermesoli, T.; Weber, A.; Leoncin, M.; Frison, L.; Skert, C.; Bassan, R. Lymphoblastic Lymphoma: A Concise Review. Curr. Oncol. Rep. 2022, 24, 1–12. [Google Scholar] [CrossRef]
- Gorczyca, W.; Tugulea, S.; Liu, Z.; Li, X.Y.; Wong, J.Y.L.; Weisberger, J. Flow cytometry in the diagnosis of mediastinal tumors with emphasis on differentiating thymocytes from precursor T-lymphoblastic lymphoma/leukemia. Leuk. Lymphoma 2004, 45, 529–538. [Google Scholar] [CrossRef]


















| ANNUBP | Atypical neurofibroma of uncertain malignant potential |
| CHL | Classical Hodgkin lymphoma |
| EBUS | Endobronchial ultrasound |
| EUS | Endoscopic ultrasound |
| FNA | Fine needle aspiration |
| GCT | Germ cell tumor |
| HM | Hematologic malignancy |
| IHC | Immunohistochemistry |
| LBCL | Large B-cell lymphoma |
| MC CHL | Mixed cellularity classical Hodgkin lymphoma |
| MDNEC | Moderately differentiated neuroendocrine carcinoma |
| MGZL | Mediastinal gray zone lymphoma |
| MN | Mesenchymal neoplasm |
| MPNST | Malignant peripheral nerve sheath tumor |
| ND | Non-diagnostic |
| NE | Neuroendocrine neoplasm |
| NF | Neurofibromatosis |
| NS CHL | Nodular sclerosing classical Hodgkin lymphoma |
| PDNEC | Poorly differentiated neuroendocrine carcinoma |
| PMLBCL | Primary mediastinal large B-cell lymphoma |
| ROSE | Rapid on-site evaluation |
| SFT | Solitary fibrous tumor |
| TEN | Thymic epithelial neoplasms |
| T-LL | T-lymphoblastic lymphoma |
| WDNEC | Well differentiated neuroendocrine carcinoma |
Disclaimer/Publisher’s Note: The statements, opinions and data contained in all publications are solely those of the individual author(s) and contributor(s) and not of MDPI and/or the editor(s). MDPI and/or the editor(s) disclaim responsibility for any injury to people or property resulting from any ideas, methods, instructions or products referred to in the content. |
© 2023 by the authors. Licensee MDPI, Basel, Switzerland. This article is an open access article distributed under the terms and conditions of the Creative Commons Attribution (CC BY) license (https://creativecommons.org/licenses/by/4.0/).
Share and Cite
Kundu, U.; Gan, Q.; Donthi, D.; Sneige, N. The Utility of Fine Needle Aspiration (FNA) Biopsy in the Diagnosis of Mediastinal Lesions. Diagnostics 2023, 13, 2400. https://doi.org/10.3390/diagnostics13142400
Kundu U, Gan Q, Donthi D, Sneige N. The Utility of Fine Needle Aspiration (FNA) Biopsy in the Diagnosis of Mediastinal Lesions. Diagnostics. 2023; 13(14):2400. https://doi.org/10.3390/diagnostics13142400
Chicago/Turabian StyleKundu, Uma, Qiong Gan, Deepak Donthi, and Nour Sneige. 2023. "The Utility of Fine Needle Aspiration (FNA) Biopsy in the Diagnosis of Mediastinal Lesions" Diagnostics 13, no. 14: 2400. https://doi.org/10.3390/diagnostics13142400
APA StyleKundu, U., Gan, Q., Donthi, D., & Sneige, N. (2023). The Utility of Fine Needle Aspiration (FNA) Biopsy in the Diagnosis of Mediastinal Lesions. Diagnostics, 13(14), 2400. https://doi.org/10.3390/diagnostics13142400
