Clinical and Prognostic Significance of p-ANCA Positivity in Idiopathic Pulmonary Fibrosis: A Retrospective Observational Study
Abstract
1. Introduction
2. Materials and Methods
2.1. Study Design
2.2. Inclusion Criteria
- Detection of positivity for p-ANCA/anti-MPO using a combination of indirect immunofluorescence (IIF) of normal peripheral blood neutrophils and enzyme-linked immunosorbent assays (ELISAs);
- At least a one-year follow-up period, including lung function testing (spirometry, DLCO, and 6MWT), serological evaluation (See Section 2.5), execution of chest HRCT, and a combined pneumological and rheumatological clinical evaluation;
- The signing of written informed consent.
2.3. Exclusion Criteria
- Patients who do not meet inclusion criteria;
- Individuals with missing data for any variables ≥10%;
- Refusal to sign informed consent;
- Satisfaction of criteria for any CTD or systemic vasculitides at baseline.
2.4. Patients
2.5. Serological Assessment
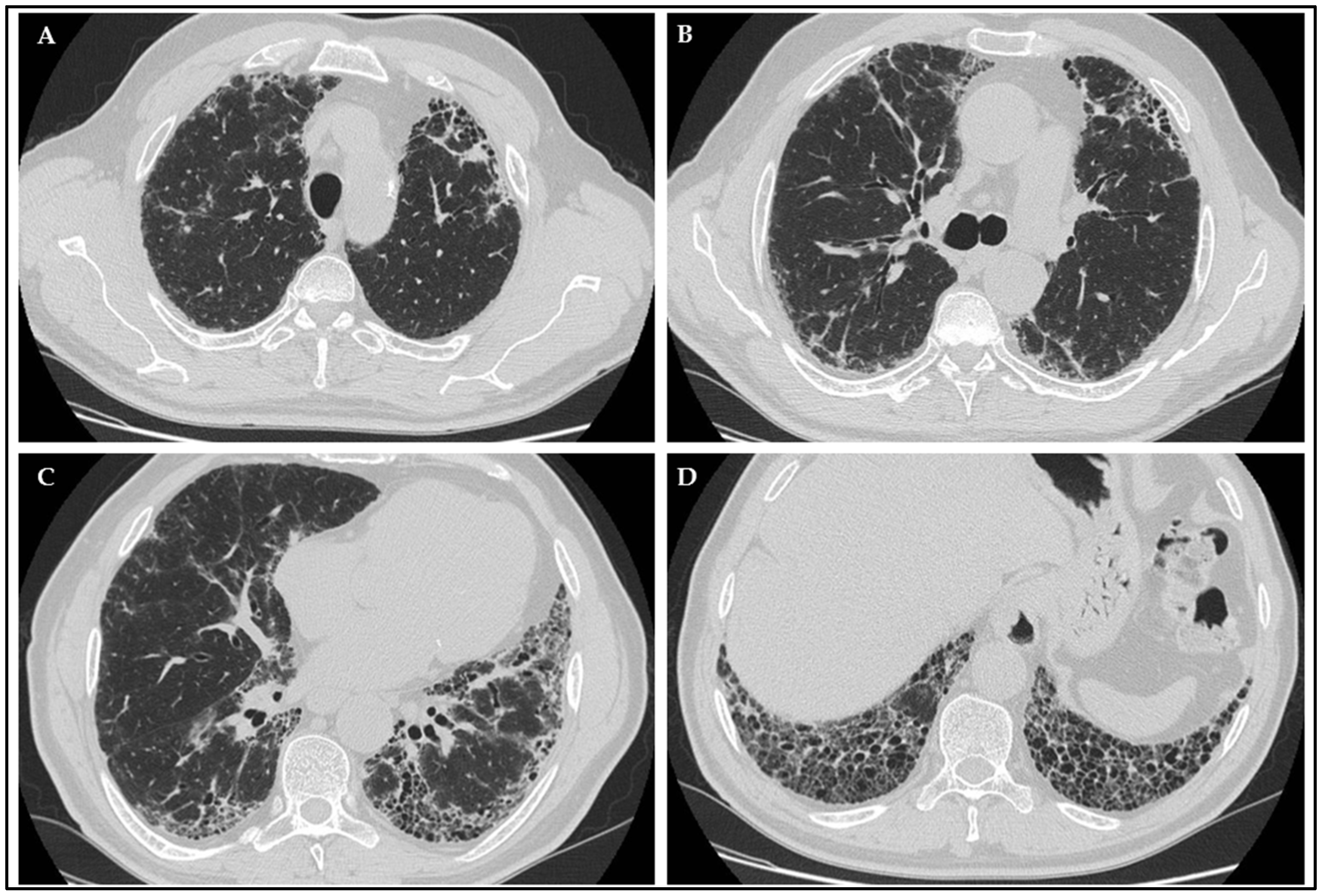
2.6. Radiological Evaluation
2.7. Statistical Analysis
3. Results
4. Discussion
5. Conclusions
Supplementary Materials
Author Contributions
Funding
Institutional Review Board Statement
Informed Consent Statement
Data Availability Statement
Acknowledgments
Conflicts of Interest
References
- Sebastiani, M.; Luppi, F.; Sambataro, G.; Castillo Villegas, D.; Cerri, S.; Tomietto, P.; Cassone, G.; Bocchino, M.; Atienza-Mateo, B.; Cameli, P.; et al. Interstitial Lung Disease and Anti-Myeloperoxidase Antibodies: Not a Simple Association. J. Clin. Med. 2021, 10, 2548. [Google Scholar] [CrossRef]
- Falk, R.J.; Jennette, J.C. Anti-Neutrophil Cytoplasmic Autoantibodies with Specificity for Myeloperoxidase in Patients with Systemic Vasculitis and Idiopathic Necrotizing and Crescentic Glomerulonephritis. N. Engl. J. Med. 1988, 318, 1651–1657. [Google Scholar] [CrossRef]
- Salvador, F. ANCA Associated Vasculitis. Eur. J. Intern. Med. 2020, 74, 18–28. [Google Scholar] [CrossRef] [PubMed]
- Katsumata, Y.; Kawaguchi, Y.; Yamanaka, H. Interstitial Lung Disease with ANCA-Associated Vasculitis. Clin. Med. Insights Circ. Respir. Pulm. Med. 2015, 9, 51–56. [Google Scholar] [CrossRef] [PubMed]
- Traila, D.; Marc, M.S.; Pescaru, C.; Manolescu, D.; Fira-Mladinescu, O.; Saranathan, M. ANCA-Associated Vasculitis in Idiopathic Pulmonary Fibrosis: A Case Report and Brief Review of the Literature. Medicine 2022, 101, E29008. [Google Scholar] [CrossRef] [PubMed]
- Suarez-Cuartin, G.; Molina-Molina, M. Clinical Implications of ANCA Positivity in Idiopathic Pulmonary Fibrosis Patients. Breathe 2020, 16, 190321. [Google Scholar] [CrossRef]
- Nada, A.K.; Torres, V.E.; Ryu, J.H.; Lie, J.T.; Holley, K.E. Pulmonary Fibrosis as an Unusual Clinical Manifestation of a Pulmonary-Renal Vasculitis in Elderly Patients. Mayo Clin. Proc. 1990, 65, 847–856. [Google Scholar] [CrossRef]
- Foulon, G.; Delaval, P.; Valeyre, D.; Wallaert, B.; Debray, M.P.; Brauner, M.; Nicaise, P.; Cadranel, J.; Cottin, V.; Tazi, A.; et al. ANCA-Associated Lung Fibrosis: Analysis of 17 Patients. Respir. Med. 2008, 102, 1392–1398. [Google Scholar] [CrossRef]
- Arulkumaran, N.; Periselneris, N.; Gaskin, G.; Strickland, N.; Ind, P.W.; Pusey, C.D.; Salama, A.D. Interstitial Lung Disease and ANCA-Associated Vasculitis: A Retrospective Observational Cohort Study. Rheumatology 2011, 50, 2035–2043. [Google Scholar] [CrossRef]
- Fernandez Casares, M.; Gonzalez, A.; Fielli, M.; Caputo, F.; Bottinelli, Y.; Zamboni, M. Microscopic Polyangiitis Associated with Pulmonary Fibrosis. Clin. Rheumatol. 2015, 34, 1273–1277. [Google Scholar] [CrossRef]
- Nozu, T.; Kondo, M.; Suzuki, K. A Comparison of the Clinical Features of ANCA-Positive and ANCA-Negative Idiopathic Pulmonary Fibrosis Patients. Respir. Int. Rev. Thorac. Dis. 2009, 77, 407–415. [Google Scholar] [CrossRef] [PubMed]
- Tanaka, T.; Otani, K.; Egashira, R.; Kashima, Y.; Taniguchi, H.; Kondoh, Y.; Kataoka, K.; Shiraki, A.; Kitasato, Y.; Leslie, K.O.; et al. Interstitial Pneumonia Associated with MPO-ANCA: Clinicopathological Features of Nine Patients. Respir. Med. 2012, 106, 1765–1770. [Google Scholar] [CrossRef] [PubMed]
- Ando, M.; Miyazaki, E.; Ishii, T.; Mukai, Y.; Yamasue, M.; Fujisaki, H.; Ito, T.; Nureki, S.I.; Kumamoto, T. Incidence of Myeloperoxidase Anti-Neutrophil Cytoplasmic Antibody Positivity and Microscopic Polyangitis in the Course of Idiopathic Pulmonary Fibrosis. Respir. Med. 2013, 107, 608–615. [Google Scholar] [CrossRef]
- Hozumi, H.; Enomoto, N.; Oyama, Y.; Kono, M.; Fujisawa, T.; Inui, N.; Nakamura, Y.; Suda, T. Clinical Implication of Proteinase-3-Antineutrophil Cytoplasmic Antibody in Patients with Idiopathic Interstitial Pneumonias. Lung 2016, 194, 235–242. [Google Scholar] [CrossRef]
- Hozumi, H.; Oyama, Y.; Yasui, H.; Suzuki, Y.; Kono, M.; Karayama, M.; Furuhashi, K.; Enomoto, N.; Fujisawa, T.; Inui, N.; et al. Clinical Significance of Myeloperoxidase-Anti-Neutrophil Cytoplasmic Antibody in Idiopathic Interstitial Pneumonias. PLoS ONE 2018, 13, e0199659. [Google Scholar] [CrossRef] [PubMed]
- Liu, G.Y.; Ventura, I.B.; Achtar-Zadeh, N.; Elicker, B.M.; Jones, K.D.; Wolters, P.J.; Collard, H.R.; Adegunsoye, A.; Strek, M.E.; Ley, B. Prevalence and Clinical Significance of Antineutrophil Cytoplasmic Antibodies in North American Patients with Idiopathic Pulmonary Fibrosis. Chest 2019, 156, 715–723. [Google Scholar] [CrossRef]
- Kagiyama, N.; Takayanagi, N.; Kanauchi, T.; Ishiguro, T.; Yanagisawa, T.; Sugita, Y. Antineutrophil Cytoplasmic Antibody-Positive Conversion and Microscopic Polyangiitis Development in Patients with Idiopathic Pulmonary Fibrosis. BMJ Open. Respir. Res. 2015, 2, e000058. [Google Scholar] [CrossRef]
- Raghu, G.; Remy-Jardin, M.; Myers, J.L.; Richeldi, L.; Ryerson, C.J.; Lederer, D.J.; Behr, J.; Cottin, V.; Danoff, S.K.; Morell, F.; et al. Diagnosis of Idiopathic Pulmonary Fibrosis an Official ATS/ERS/JRS/ALAT Clinical Practice Guideline. Am. J. Respir. Crit. Care Med. 2018, 198, e44–e68. [Google Scholar] [CrossRef]
- Fischer, A.; Antoniou, K.M.; Brown, K.K.; Cadranel, J.; Corte, T.J.; du Bois, R.M.; Lee, J.S.; Leslie, K.O.; Lynch, D.A.; Matteson, E.L.; et al. An Official European Respiratory Society/American Thoracic Society Research Statement: Interstitial Pneumonia with Autoimmune Features. Eur. Respir. J. 2015, 46, 976–987. [Google Scholar] [CrossRef] [PubMed]
- Sambataro, G.; Vancheri, A.; Torrisi, S.E.; Colaci, M.; Pavone, M.; Libra, A.; Martorana, E.; Rosso, R.; Pignataro, F.; Del Papa, N.; et al. The Morphological Domain Does Not Affect the Rate of Progression to Defined Autoimmune Diseases in Patients with Interstitial Pneumonia with Autoimmune Features. Chest 2020, 157, 238–242. [Google Scholar] [CrossRef]
- Yamagata, M.; Ikeda, K.; Tsushima, K.; Iesato, K.; Abe, M.; Ito, T.; Kashiwakuma, D.; Kagami, S.I.; Iwamoto, I.; Nakagomi, D.; et al. Prevalence and Responsiveness to Treatment of Lung Abnormalities on Chest Computed Tomography in Patients with Microscopic Polyangiitis: A Multicenter, Longitudinal, Retrospective Study of One Hundred Fifty Consecutive Hospital-Based Japanese Patients. Arthritis Rheumatol. 2016, 68, 713–723. [Google Scholar] [CrossRef] [PubMed]
- Suzuki, A.; Sakamoto, S.; Kurosaki, A.; Kurihara, Y.; Satoh, K.; Usui, Y.; Nanki, T.; Arimura, Y.; Makino, H.; Okada, Y.; et al. Chest High-Resolution CT Findings of Microscopic Polyangiitis: A Japanese First Nationwide Prospective Cohort Study. AJR Am. J. Roentgenol. 2019, 213, 104–114. [Google Scholar] [CrossRef] [PubMed]
- Alba, M.A.; Flores-Suárez, L.F.; Henderson, A.G.; Xiao, H.; Hu, P.; Nachman, P.H.; Falk, R.J.; Charles Jennette, J. Interstital lung disease in ANCA vasculitis. Autoimmun. Rev. 2017, 16, 722–729. [Google Scholar] [CrossRef]
- Raghu, G.; Remy-Jardin, M.; Richeldi, L.; Thomson, C.C.; Inoue, Y.; Johkoh, T.; Kreuter, M.; Lynch, D.A.; Maher, T.M.; Martinez, F.J.; et al. Idiopathic Pulmonary Fibrosis (an Update) and Progressive Pulmonary Fibrosis in Adults: An Official ATS/ERS/JRS/ALAT Clinical Practice Guideline. Am. J. Respir. Crit. Care Med. 2022, 205, e18–e47. [Google Scholar] [CrossRef] [PubMed]
- Tomassetti, S.; Piciucchi, S.; Tantalocco, P.; Dubini, A.; Poletti, V. The Multidisciplinary Approach in the Diagnosis of Idiopathic Pulmonary Fibrosis: A Patient Case-Based Review. Eur. Respir. Rev. 2015, 24, 69–77. [Google Scholar] [CrossRef]
- Suppiah, R.; Robson, J.C.; Grayson, P.C.; Ponte, C.; Craven, A.; Khalid, S.; Judge, A.; Hutchings, A.; Merkel, P.A.; Luqmani, R.A.; et al. 2022 American College of Rheumatology/European Alliance of Associations for Rheumatology Classification Criteria for Microscopic Polyangiitis. Ann. Rheum. Dis. 2022, 81, 321–326. [Google Scholar] [CrossRef]
- Savige, J.; Gillis, D.; Benson, E.; Davies, D.; Esnault, V.; Falk, R.J.; Chris Hagen, E.; Jayne, D.; Charles Jennette, J.; Paspaliaris, B.; et al. International Consensus Statement on Testing and Reporting of Antineutrophil Cytoplasmic Antibodies (ANCA). Am. J. Clin. Pathol. 1999, 111, 507–513. [Google Scholar] [CrossRef]
- Sambataro, D.; Sambataro, G.; Pignataro, F.; Zanframundo, G.; Codullo, V.; Fagone, E.; Martorana, E.; Ferro, F.; Orlandi, M.; Del Papa, N.; et al. Patients with Interstitial Lung Disease Secondary to Autoimmune Diseases: How to Recognize Them? Diagnostics 2020, 10, 208. [Google Scholar] [CrossRef]
- Lynch, D.A.; Sverzellati, N.; Travis, W.D.; Brown, K.K.; Colby, T.V.; Galvin, J.R.; Goldin, J.G.; Hansell, D.M.; Inoue, Y.; Johkoh, T.; et al. Diagnostic Criteria for Idiopathic Pulmonary Fibrosis: A Fleischner Society White Paper. Lancet Respir. Med. 2018, 6, 138–153. [Google Scholar] [CrossRef]
- Yamano, Y.; Kataoka, K.; Takei, R.; Sasano, H.; Yokoyama, T.; Matsuda, T.; Kimura, T.; Mori, Y.; Furukawa, T.; Fukuoka, J.; et al. Interstitial Pneumonia with Autoimmune Features and Histologic Usual Interstitial Pneumonia Treated with Anti-Fibrotic versus Immunosuppressive Therapy. Respir. Investig. 2023, 61, 297–305. [Google Scholar] [CrossRef]
- Matson, S.M.; Baqir, M.; Moua, T.; Marll, M.; Kent, J.; Iannazzo, N.S.; Boente, R.D.; Donatelli, J.M.; Dai, J.; Diaz, F.J.; et al. Treatment Outcomes for Rheumatoid Arthritis-Associated Interstitial Lung Disease: A Real-World, Multisite Study of the Impact of Immunosuppression on Pulmonary Function Trajectory. Chest 2023, 163, 861–869. [Google Scholar] [CrossRef] [PubMed]
- Jarrot, P.A.; Kaplanski, G. Pathogenesis of ANCA-Associated Vasculitis: An Update. Autoimmun. Rev. 2016, 15, 704–713. [Google Scholar] [CrossRef]
- Bantis, K.; Stangou, M.; Kalpakidis, S.; Hatziadamou, M.; Daikidou, D.V.; Lioulios, G.; Mitsoglou, Z.; Chatzidrosou, H.; Nikolaidou, C.; Fylaktou, A.; et al. Systemic Complement Activation in Anti-Neutrophil Cytoplasmic Antibody-Associated Vasculitis and Necrotizing Glomerulonephritis. Nephrology 2021, 26, 30–37. [Google Scholar] [CrossRef]
- Moon, J.-S.; Da, D.; Lee, D.D.-H.; Park, Y.-B.; Lee, S.-W. Rheumatoid Factor False Positivity in Patients with ANCA-Associated Vasculitis Not Having Medical Conditions Producing Rheumatoid Factor. Clin. Rheumatol. 2018, 37, 2771–2779. [Google Scholar] [CrossRef]
- Watanabe, S.; Gono, T.; Nishina, K.; Sugitani, N.; Watanabe, E.; Yabe, H.; Terai, C. Rheumatoid Factor Is Correlated with Disease Activity and Inflammatory Markers in Antineutrophil Cytoplasmic Antibody-Associated Vasculitis. BMC Immunol. 2017, 18, 1–7. [Google Scholar] [CrossRef]
- Flaherty, K.R.; Wells, A.U.; Cottin, V.; Devaraj, A.; Walsh, S.L.F.; Inoue, Y.; Richeldi, L.; Kolb, M.; Tetzlaff, K.; Stowasser, S.; et al. Nintedanib in Progressive Fibrosing Interstitial Lung Diseases. N. Engl. J. Med. 2019, 381, 1718–1727. [Google Scholar] [CrossRef] [PubMed]
- Idiopathic Pulmonary Fibrosis Clinical Research Network; Raghu, G.; Anstrom, K.J.; King, T.E.; Lasky, J.A.; Martinez, F.J. Prednisone, Azathioprine, and N-Acetylcysteine for Pulmonary Fibrosis. N. Engl. J. Med. 2012, 366, 1968–1977. [Google Scholar] [CrossRef] [PubMed]
- Nieto, M.A.; Sanchez-Pernaute, O.; Vadillo, C.; Rodriguez-Nieto, M.J.; Romero-Bueno, F.; López-Muñiz, B.; Cebrian, L.; Rio-Ramirez, M.T.; Laporta, R.; Bonilla, G.; et al. Functional Respiratory Impairment and Related Factors in Patients with Interstitial Pneumonia with Autoimmune Features (IPAF): Multicenter Study from NEREA Registry. Respir. Res. 2023, 24, 19. [Google Scholar] [CrossRef]
- Joerns, E.K.; Adams, T.N.; Newton, C.A.; Bermas, B.; Karp, D.; Batra, K.; Torrealba, J.; Davila, L.; Reisch, J.; Glazer, C.; et al. Variables Associated with Response to Therapy in Patients with Interstitial Pneumonia with Autoimmune Features. J. Clin. Rheumatol. 2022, 28, 84–88. [Google Scholar] [CrossRef]
- Sambataro, G.; Vancheri, C.; Sambataro, D. Interstitial Pneumonia with Autoimmune Features (IPAF): Time to Redefine the Classification Criteria. Expert. Rev. Clin. Immunol. 2023, 19, 131–133. [Google Scholar] [CrossRef]
- Yates, M.; Watts, R.A.; Bajema, I.M.; Cid, M.C.; Crestani, B.; Hauser, T.; Hellmich, B.; Holle, J.U.; Laudien, M.; Little, M.A.; et al. EULAR/ERA-EDTA Recommendations for the Management of ANCA-Associated Vasculitis. Ann. Rheum. Dis. 2016, 75, 1583–1594. [Google Scholar] [CrossRef] [PubMed]
- Wells, A.U.; Flaherty, K.R.; Brown, K.K.; Inoue, Y.; Devaraj, A.; Richeldi, L.; Moua, T.; Crestani, B.; Wuyts, W.A.; Stowasser, S.; et al. Nintedanib in Patients with Progressive Fibrosing Interstitial Lung Diseases—Subgroup Analyses by Interstitial Lung Disease Diagnosis in the INBUILD Trial: A Randomised, Double-Blind, Placebo-Controlled, Parallel-Group Trial. Lancet Respir. Med. 2020, 8, 453–460. [Google Scholar] [CrossRef] [PubMed]
- Behr, J.; Prasse, A.; Kreuter, M.; Johow, J.; Rabe, K.F.; Bonella, F.; Bonnet, R.; Grohe, C.; Held, M.; Wilkens, H.; et al. Pirfenidone in Patients with Progressive Fibrotic Interstitial Lung Diseases Other than Idiopathic Pulmonary Fibrosis (RELIEF): A Double-Blind, Randomised, Placebo-Controlled, Phase 2b Trial. Lancet Respir. Med. 2021, 9, 476–486. [Google Scholar] [CrossRef] [PubMed]





| IPF p-ANCA+ (n = 18) | IPF Control Group (n = 36) | p-Value | |
|---|---|---|---|
| Mean Age (years) | 68.83 ± 7.21 | 68.83 ± 7.76 | 1 |
| Sex | 6 females (33.3%) 12 males (66.6%) | 12 females (33.3%) 24 males (66.6%) | 1 |
| Smoking history | 5 never (27.78%) 13 former (72.22%) | 15 never 19 former 2 current | 0.59 |
| Mean Smoking exposure (P-Y) | 35.53 ± 32.36 | 43.26 ± 40.02 | 0.88 |
| Vasculitis | 50% | 0 | <0.001 |
| Deaths | 6 (33.33%) | 8 (22.22%) | 0.38 |
| Mean time of Follow-up (months) | 52.56 ± 26.91 | 50.80 ± 22.96 | 0.79 |
| Mean time to death since diagnosis (months) | 42.83 ± 16.86 | 35.25 ± 24.22 | 0.41 |
| IPF p-ANCA+ | IPF Control Group | p-Value | |
|---|---|---|---|
| Mean FVC (mL) at the baseline | 2906.67 ± 707.53 | 2585.83 ± 822.38 | 0.282 |
| Mean FVC (%) at the baseline | 90.72 ± 18.60 | 81.30 ± 17.92 | 0.127 |
| Mean DLCO (%) at the baseline | 58.40 ± 17.92 | 54.08 ± 16.40 | 0.330 |
| Mean 6MWTD (m) at the baseline | 373.75 ± 125.45 | 379.03 ± 129.69 | 0.850 |
| Mean FVC (mL) after 1 year | 2668.12 ± 863.02 | 2508.61 ± 814.32 | 0.744 |
| Mean FVC (%) after 1 year | 85.89 ± 19.06 | 79.52 ± 18.44 | 0.108 |
| Mean DLCO (%) after 1 year | 50.22 ± 18.10 | 50.67 ± 13.77 | 0.837 |
| Mean 6MWTD (m) after 1 year | 352.14 ± 142.26 | 367.88 ± 130.72 | 0.632 |
Disclaimer/Publisher’s Note: The statements, opinions and data contained in all publications are solely those of the individual author(s) and contributor(s) and not of MDPI and/or the editor(s). MDPI and/or the editor(s) disclaim responsibility for any injury to people or property resulting from any ideas, methods, instructions or products referred to in the content. |
© 2023 by the authors. Licensee MDPI, Basel, Switzerland. This article is an open access article distributed under the terms and conditions of the Creative Commons Attribution (CC BY) license (https://creativecommons.org/licenses/by/4.0/).
Share and Cite
Libra, A.; Muscato, G.; Ielo, G.; Spicuzza, L.; Palmucci, S.; Fagone, E.; Fruciano, M.; Gili, E.; Sambataro, G.; Vancheri, C. Clinical and Prognostic Significance of p-ANCA Positivity in Idiopathic Pulmonary Fibrosis: A Retrospective Observational Study. Diagnostics 2023, 13, 1882. https://doi.org/10.3390/diagnostics13111882
Libra A, Muscato G, Ielo G, Spicuzza L, Palmucci S, Fagone E, Fruciano M, Gili E, Sambataro G, Vancheri C. Clinical and Prognostic Significance of p-ANCA Positivity in Idiopathic Pulmonary Fibrosis: A Retrospective Observational Study. Diagnostics. 2023; 13(11):1882. https://doi.org/10.3390/diagnostics13111882
Chicago/Turabian StyleLibra, Alessandro, Giuseppe Muscato, Giuseppe Ielo, Lucia Spicuzza, Stefano Palmucci, Evelina Fagone, Mary Fruciano, Elisa Gili, Gianluca Sambataro, and Carlo Vancheri. 2023. "Clinical and Prognostic Significance of p-ANCA Positivity in Idiopathic Pulmonary Fibrosis: A Retrospective Observational Study" Diagnostics 13, no. 11: 1882. https://doi.org/10.3390/diagnostics13111882
APA StyleLibra, A., Muscato, G., Ielo, G., Spicuzza, L., Palmucci, S., Fagone, E., Fruciano, M., Gili, E., Sambataro, G., & Vancheri, C. (2023). Clinical and Prognostic Significance of p-ANCA Positivity in Idiopathic Pulmonary Fibrosis: A Retrospective Observational Study. Diagnostics, 13(11), 1882. https://doi.org/10.3390/diagnostics13111882

