Enhancing Radiation Dose Efficiency in Prospective ECG-Triggered Coronary CT Angiography Using Calcium-Scoring CT
Abstract
1. Introduction
2. Materials and Methods
2.1. Ethics Statement
2.2. Patients
2.3. CT Protocols
2.4. CT Data Analysis
2.4.1. Evaluation of CCTA Image Quality
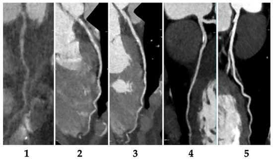
2.4.2. Determination of Scan Range
2.4.3. Assessment of Radiation Dose
2.5. Statistical Analysis
3. Results
3.1. Patients’ Characteristics
3.2. Evaluation of Image Quality
3.3. Determination of Scan Range
3.4. Assessment of Radiation Dose
4. Discussion
4.1. Scan Range
4.2. Radiation Dose
4.3. Calcium-Scoring CT
4.4. Limitations
5. Conclusions
Author Contributions
Funding
Institutional Review Board Statement
Informed Consent Statement
Data Availability Statement
Conflicts of Interest
Appendix A
| Criteria | 1-Point | 2-Points | 3-Points |
| Heart Rate (bpm) | <65 | 65–80 | >80 |
| Elevated heart rate variability * | No | Yes | Absolute Arrhythmia |
| Body mass index (kg/m2) | ≤25 | 25–30 | ≥30 |
| Coronary plaque † | None/Minimal (CACS 0–100) | Moderate (CACS 101–300) | Severe (CACS > 301) |
| Pretest probability of obstructive CAD ¥ (%) | 0–15 | >15 |
| Sum Score | Scanning Recommendation |
| 4–6 points | High-pitch spiral CCTA |
| 7–8 points | Sequential CCTA |
| 9–12 points | Sequential CCTA with extended ECG–padding |
| 13–14 points | Retrospective Spiral CCTA or alternative diagnostic approach |
Appendix B

Appendix C
| Radiation Dose of CCTA | |||
| Linear Regression | β | p-Value | 95% CI |
| Gender | 0.08 | 0.25 | (−40.6, 70.7) |
| Age | 0.20 | 0.005 | (1.0, 5.6) |
| BMI | 0.39 | 0.001 | (6.8, 19.3) |
| Tube Voltage | 0.47 | <0.001 | (3.8, 9.0) |
| Scan Range | 0.18 | 0.014 | (0.8, 6.8) |
References
- Vos, T.; Lim, S.S.; Abbafati, C.; Abbas, K.M.; Abbasi, M.; Abbasifard, M.; Abbasi-Kangevari, M.; Abbastabar, H.; Abd-Allah, F.; Abdelalim, A.; et al. Global Burden of 369 Diseases and Injuries in 204 Countries and Territories, 1990–2019: A Systematic Analysis for the Global Burden of Disease Study 2019. Lancet 2020, 396, 1204–1222. [Google Scholar] [CrossRef]
- Arnett, D.K.; Blumenthal, R.S.; Albert, M.A.; Buroker, A.B.; Goldberger, Z.D.; Hahn, E.J.; Himmelfarb, C.D.; Khera, A.; Lloyd-Jones, D.; McEvoy, J.W.; et al. 2019 ACC/AHA Guideline on the Primary Prevention of Cardiovascular Disease: Executive Summary: A Report of the American College of Cardiology/American Heart Association Task Force on Clinical Practice Guidelines. J. Am. Coll. Cardiol. 2019, 74, 1376–1414. [Google Scholar] [CrossRef]
- Schoepf, U.J.; Zwerner, P.L.; Savino, G.; Herzog, C.; Kerl, J.M.; Costello, P. Coronary CT Angiography. Radiology 2007, 244, 48–63. [Google Scholar] [CrossRef]
- Martuscelli, E.; Romagnoli, A.; D’Eliseo, A.; Razzini, C.; Tomassini, M.; Sperandio, M.; Simonetti, G.; Romeo, F. Accuracy of Thin-Slice Computed Tomography in the Detection of Coronary Stenoses. Eur. Heart J. 2004, 25, 1043–1048. [Google Scholar] [CrossRef] [PubMed]
- Leschka, S.; Alkadhi, H.; Plass, A.; Desbiolles, L.; Grünenfelder, J.; Marincek, B.; Wildermuth, S. Accuracy of MSCT Coronary Angiography with 64-Slice Technology: First Experience. Eur. Heart J. 2005, 26, 1482–1487. [Google Scholar] [CrossRef]
- Menke, J.; Kowalski, J. Diagnostic Accuracy and Utility of Coronary CT Angiography with Consideration of Unevaluable Results: A Systematic Review and Multivariate Bayesian Random-Effects Meta-Analysis with Intention to Diagnose. Eur. Radiol. 2016, 26, 451–458. [Google Scholar] [CrossRef] [PubMed]
- Knuuti, J.; Wijns, W.; Saraste, A.; Capodanno, D.; Barbato, E.; Funck-Brentano, C.; Prescott, E.; Storey, R.F.; Deaton, C.; Cuisset, T. 2019 ESC Guidelines for the Diagnosis and Management of Chronic Coronary Syndromes: The Task Force for the Diagnosis and Management of Chronic Coronary Syndromes of the European Society of Cardiology (ESC). Eur. Heart J. 2020, 41, 407–477. [Google Scholar] [CrossRef]
- Abbara, S.; Blanke, P.; Maroules, C.D.; Cheezum, M.; Choi, A.D.; Han, B.K.; Marwan, M.; Naoum, C.; Norgaard, B.L.; Rubinshtein, R.; et al. SCCT Guidelines for the Performance and Acquisition of Coronary Computed Tomographic Angiography: A Report of the Society of Cardiovascular Computed Tomography Guidelines Committee. J. Cardiovasc. Comput. Tomogr. 2016, 10, 435–449. [Google Scholar] [CrossRef]
- Abada, H.T.; Larchez, C.; Daoud, B.; Sigal-Cinqualbre, A.; Paul, J.-F. MDCT of the Coronary Arteries: Feasibility of Low-Dose CT with ECG-Pulsed Tube Current Modulation to Reduce Radiation Dose. Am. J. Roentgenol. 2006, 186, S387–S390. [Google Scholar] [CrossRef]
- Leschka, S.; Stolzmann, P.; Schmid, F.T.; Scheffel, H.; Stinn, B.; Marincek, B.; Alkadhi, H.; Wildermuth, S. Low Kilovoltage Cardiac Dual-Source CT: Attenuation, Noise, and Radiation Dose. Eur. Radiol. 2008, 18, 1809–1817. [Google Scholar] [CrossRef] [PubMed]
- Pontana, F.; Duhamel, A.; Pagniez, J.; Flohr, T.; Faivre, J.-B.; Hachulla, A.-L.; Remy, J.; Remy-Jardin, M. Chest Computed Tomography Using Iterative Reconstruction vs Filtered Back Projection (Part 2): Image Quality of Low-Dose CT Examinations in 80 Patients. Eur. Radiol. 2011, 21, 636–643. [Google Scholar] [CrossRef] [PubMed]
- Halliburton, S.S.; Abbara, S.; Chen, M.Y.; Gentry, R.; Mahesh, M.; Raff, G.L.; Shaw, L.J.; Hausleiter, J. Society of Cardiovascular Computed Tomography SCCT Guidelines on Radiation Dose and Dose-Optimization Strategies in Cardiovascular CT. J. Cardiovasc. Comput. Tomogr. 2011, 5, 198–224. [Google Scholar] [CrossRef] [PubMed]
- Gang, Y.; Chen, X.; Li, H.; Wang, H.; Li, J.; Guo, Y.; Zeng, J.; Hu, Q.; Hu, J.; Xu, H. A Comparison between Manual and Artificial Intelligence—Based Automatic Positioning in CT Imaging for COVID-19 Patients. Eur. Radiol. 2021, 31, 6049–6058. [Google Scholar] [CrossRef] [PubMed]
- Demircioğlu, A.; Kim, M.-S.; Stein, M.C.; Guberina, N.; Umutlu, L.; Nassenstein, K. Automatic Scan Range Delimitation in Chest CT Using Deep Learning. Radiol. Artif. Intell. 2021, 3, e200211. [Google Scholar] [CrossRef]
- Gitsioudis, G.; Hosch, W.; Iwan, J.; Voss, A.; Atsiatorme, E.; Hofmann, N.P.; Buss, S.J.; Siebert, S.; Kauczor, H.-U.; Giannitsis, E.; et al. When Do We Really Need Coronary Calcium Scoring Prior to Contrast-Enhanced Coronary Computed Tomography Angiography? Analysis by Age, Gender and Coronary Risk Factors. PLoS ONE 2014, 9, e92396. [Google Scholar] [CrossRef]
- Menke, J.; Unterberg-Buchwald, C.; Staab, W.; Sohns, J.M.; Seif Amir Hosseini, A.; Schwarz, A. Head-to-Head Comparison of Prospectively Triggered vs Retrospectively Gated Coronary Computed Tomography Angiography: Meta-Analysis of Diagnostic Accuracy, Image Quality, and Radiation Dose. Am. Heart J. 2013, 165, 154–163.e3. [Google Scholar] [CrossRef]
- Stocker, T.J.; Deseive, S.; Leipsic, J.; Hadamitzky, M.; Chen, M.Y.; Rubinshtein, R.; Heckner, M.; Bax, J.J.; Fang, X.-M.; Grove, E.L.; et al. Reduction in Radiation Exposure in Cardiovascular Computed Tomography Imaging: Results from the PROspective Multicenter Registry on RadiaTion Dose Estimates of Cardiac CT AngIOgraphy iN Daily Practice in 2017 (PROTECTION VI). Eur. Heart J. 2018, 39, 3715–3723. [Google Scholar] [CrossRef]
- Soschynski, M.; Hagar, M.T.; Taron, J.; Krauss, T.; Ruile, P.; Hein, M.; Nührenberg, T.; Russe, M.F.; Bamberg, F.; Schlett, C.L. Update for the Performance of CT Coronary Angiography. RöFo-Fortschr. Auf Dem Geb. Röntgenstrahlen Bildgeb. Verfahr. 2022, 194, 613–624. [Google Scholar] [CrossRef]
- Juarez-Orozco, L.E.; Saraste, A.; Capodanno, D.; Prescott, E.; Ballo, H.; Bax, J.J.; Wijns, W.; Knuuti, J. Impact of a Decreasing Pre-Test Probability on the Performance of Diagnostic Tests for Coronary Artery Disease. Eur. Heart J. Cardiovasc. Imaging 2019, 20, 1198–1207. [Google Scholar] [CrossRef]
- Leschka, S.; Kim, C.-H.; Baumueller, S.; Stolzmann, P.; Scheffel, H.; Marincek, B.; Alkadhi, H. Scan Length Adjustment of CT Coronary Angiography Using the Calcium Scoring Scan: Effect on Radiation Dose. Am. J. Roentgenol. 2010, 194, W272–W277. [Google Scholar] [CrossRef]
- European Commission. European Guidelines on Quality Criteria for Diagnostic Radiographic Images: Eur 16260 EN; European Commission: Brussels, Belgium, 1996; ISBN 978-92-827-7284-3. [Google Scholar]
- Shuman, W.P.; Branch, K.R.; May, J.M.; Mitsumori, L.M.; Lockhart, D.W.; Dubinsky, T.J.; Warren, B.H.; Caldwell, J.H. Prospective versus Retrospective ECG Gating for 64-Detector CT of the Coronary Arteries: Comparison of Image Quality and Patient Radiation Dose. Radiology 2008, 248, 431–437. [Google Scholar] [CrossRef] [PubMed]
- Kosmala, A.; Petritsch, B.; Weng, A.M.; Bley, T.A.; Gassenmaier, T. Radiation Dose of Coronary CT Angiography with a Third-Generation Dual-Source CT in a “Real-World” Patient Population. Eur. Radiol. 2019, 29, 4341–4348. [Google Scholar] [CrossRef] [PubMed]
- Apfaltrer, G.; Albrecht, M.H.; Schoepf, U.J.; Duguay, T.M.; De Cecco, C.N.; Nance, J.W.; De Santis, D.; Apfaltrer, P.; Eid, M.H.; Eason, C.D.; et al. High-Pitch Low-Voltage CT Coronary Artery Calcium Scoring with Tin Filtration: Accuracy and Radiation Dose Reduction. Eur. Radiol. 2018, 28, 3097–3104. [Google Scholar] [CrossRef]
- Mitchell, J.D.; Fergestrom, N.; Gage, B.F.; Paisley, R.; Moon, P.; Novak, E.; Cheezum, M.; Shaw, L.J.; Villines, T.C. Impact of Statins on Cardiovascular Outcomes Following Coronary Artery Calcium Scoring. J. Am. Coll. Cardiol. 2018, 72, 3233–3242. [Google Scholar] [CrossRef] [PubMed]
- Kalia, N.K.; Cespedes, L.; Youssef, G.; Li, D.; Budoff, M.J. Motivational Effects of Coronary Artery Calcium Scores on Statin Adherence and Weight Loss. Coron. Artery Dis. 2015, 26, 225–230. [Google Scholar] [CrossRef]
- Cury, R.C.; Leipsic, J.; Abbara, S.; Achenbach, S.; Berman, D.; Bittencourt, M.; Budoff, M.; Chinnaiyan, K.; Choi, A.D.; Ghoshhajra, B.; et al. CAD-RADSTM 2.0—2022 Coronary Artery Disease-Reporting and Data System: An Expert Consensus Document of the Society of Cardiovascular Computed Tomography (SCCT), the American College of Cardiology (ACC), the American College of Radiology (ACR), and the North America Society of Cardiovascular Imaging (NASCI). J. Cardiovasc. Comput. Tomogr. 2022, 16, 536–557. [Google Scholar] [CrossRef]



| Characteristics | Values |
|---|---|
| Number of subjects | 182 (100%) |
| Age (years) | 58 ± 12 |
| Gender | |
| Male | 97 (53.3%) |
| Female | 85 (46.7%) |
| Body mass index (kg/m2) | |
| Non-obese (BMI < 30) | 132 (74.9%) |
| Obese (BMI ≥ 30) | 45 (25.1%) |
| Heart rate during CCTA (bpm) | 62 ± 10 |
| Symptoms | |
| Angina pectoris | 18 (9.9%) |
| Atypical angina pectoris | 19 (10.4%) |
| Non-anginal chest pain | 47 (25.8%) |
| Dyspnea | 21 (11.5%) |
| Other | 77 (42.3%) |
| Tube voltage (kV) | |
| 80 kV | 22 (12.1%) |
| 100 kV | 89 (48.9%) |
| 120 kV | 71 (39.0%) |
| Prospective ECG-triggered CCTA scan mode | |
| High-pitch spiral CCTA | 32 (17.6%) |
| Sequential CCTA | 150 (82.4%) |
| ECG-padding of sequential CCTA | |
| ECG-window ≤ 20% of the R–R interval | 51/150 (33.3%) |
| ECG-window > 20% of the R–R interval | 99/150 (66.7%) |
| Agatston-Score * | 0.2 [0–36] |
| CCTA results | |
| No CAD | 130 (71.4%) |
| 1-vessel CAD | 40 (22%) |
| 2-vessel CAD | 9 (4.9%) |
| 3-vessel CAD | 3 (1.6%) |
| Scenario 1 | Scenario 2 | p-Value | |
|---|---|---|---|
| Total (n = 182) | |||
| CTDIvol (mGy) | 15.3 [7.3–28.5] | 15.3 [7.3–28.5] | NS |
| DLP (mGy*cm) | 191 [103–314] | 198 [94–345] | p < 0.001 |
| Effective dose (mSv) | 3.2 [1.8–5.3] | 3.4 [1.5–5.9] | p < 0.001 |
| Sequential scan mode (n = 150) | |||
| CTDIvol (mGy) | 18.4 [10.9–31] | 18.4 [10.9–31] | NS |
| DLP (mGy*cm) | 214 [138–359] | 227 [141–385] | p < 0.001 |
| Effective dose (mSv) | 3.6 [2.3–6.1] | 3.9 [2.4–6.5] | p < 0.001 |
| High-pitch spiral scan mode (n = 32) | |||
| CTDIvol (mGy) | 3.3 [3.0–5.8] | 3.3 [3.0–5.8] | NS |
| DLP (mGy*cm) | 57 [48–88] | 48 [40–80] | p < 0.001 |
| Effective dose (mSv) | 1.0 [0.8–1.5] | 0.8 [0.6–1.4] | p < 0.001 |
Disclaimer/Publisher’s Note: The statements, opinions and data contained in all publications are solely those of the individual author(s) and contributor(s) and not of MDPI and/or the editor(s). MDPI and/or the editor(s) disclaim responsibility for any injury to people or property resulting from any ideas, methods, instructions or products referred to in the content. |
© 2023 by the authors. Licensee MDPI, Basel, Switzerland. This article is an open access article distributed under the terms and conditions of the Creative Commons Attribution (CC BY) license (https://creativecommons.org/licenses/by/4.0/).
Share and Cite
Hagar, M.T.; Soschynski, M.; Benndorf, M.; Stein, T.; Taron, J.; Schlett, C.L.; Bamberg, F.; Krauss, T. Enhancing Radiation Dose Efficiency in Prospective ECG-Triggered Coronary CT Angiography Using Calcium-Scoring CT. Diagnostics 2023, 13, 2062. https://doi.org/10.3390/diagnostics13122062
Hagar MT, Soschynski M, Benndorf M, Stein T, Taron J, Schlett CL, Bamberg F, Krauss T. Enhancing Radiation Dose Efficiency in Prospective ECG-Triggered Coronary CT Angiography Using Calcium-Scoring CT. Diagnostics. 2023; 13(12):2062. https://doi.org/10.3390/diagnostics13122062
Chicago/Turabian StyleHagar, Muhammad Taha, Martin Soschynski, Matthias Benndorf, Thomas Stein, Jana Taron, Christopher L. Schlett, Fabian Bamberg, and Tobias Krauss. 2023. "Enhancing Radiation Dose Efficiency in Prospective ECG-Triggered Coronary CT Angiography Using Calcium-Scoring CT" Diagnostics 13, no. 12: 2062. https://doi.org/10.3390/diagnostics13122062
APA StyleHagar, M. T., Soschynski, M., Benndorf, M., Stein, T., Taron, J., Schlett, C. L., Bamberg, F., & Krauss, T. (2023). Enhancing Radiation Dose Efficiency in Prospective ECG-Triggered Coronary CT Angiography Using Calcium-Scoring CT. Diagnostics, 13(12), 2062. https://doi.org/10.3390/diagnostics13122062

