An Unenhanced Breast MRI Protocol Based on Diffusion-Weighted Imaging: A Retrospective Single-Center Study on High-Risk Population for Breast Cancer
Abstract
1. Introduction
2. Material and Methods
2.1. Patient Population
2.2. MRI Technique
2.3. Image Analysis and Readers’ Characteristics
2.4. Statistical Analysis
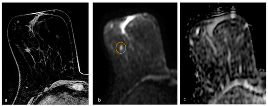
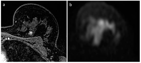
3. Results
4. Discussion
5. Conclusions
Author Contributions
Funding
Institutional Review Board Statement
Informed Consent Statement
Data Availability Statement
Conflicts of Interest
References
- World Cancer Research Fund International. Breast Cancer Statistics. Available online: https://www.wcrf.org/cancer-trends/breast-cancer-statistics/ (accessed on 28 December 2022).
- Breast Cancer Association, C.; Dorling, L.; Carvalho, S.; Allen, J.; Gonzalez-Neira, A.; Luccarini, C.; Wahlstrom, C.; Pooley, K.A.; Parsons, M.T.; Fortuno, C.; et al. Breast Cancer Risk Genes—Association Analysis in More than 113,000 Women. N. Engl. J. Med. 2021, 384, 428–439. [Google Scholar] [CrossRef]
- Lakhani, S.R.; Jacquemier, J.; Sloane, J.P.; Gusterson, B.A.; Anderson, T.J.; van de Vijver, M.J.; Farid, L.M.; Venter, D.; Antoniou, A.; Storfer-Isser, A.; et al. Multifactorial analysis of differences between sporadic breast cancers and cancers involving BRCA1 and BRCA2 mutations. J. Natl. Cancer Inst. 1998, 90, 1138–1145. [Google Scholar] [CrossRef]
- Lakhani, S.R.; Van De Vijver, M.J.; Jacquemier, J.; Anderson, T.J.; Osin, P.P.; McGuffog, L.; Easton, D.F. The pathology of familial breast cancer: Predictive value of immunohistochemical markers estrogen receptor, progesterone receptor, HER-2, and p53 in patients with mutations in BRCA1 and BRCA2. J. Clin. Oncol. 2002, 20, 2310–2318. [Google Scholar] [CrossRef]
- Sardanelli, F.; Boetes, C.; Borisch, B.; Decker, T.; Federico, M.; Gilbert, F.J.; Helbich, T.; Heywang-Kobrunner, S.H.; Kaiser, W.A.; Kerin, M.J.; et al. Magnetic resonance imaging of the breast: Recommendations from the EUSOMA working group. Eur. J. Cancer 2010, 46, 1296–1316. [Google Scholar] [CrossRef]
- Lee, C.H.; Dershaw, D.D.; Kopans, D.; Evans, P.; Monsees, B.; Monticciolo, D.; Brenner, R.J.; Bassett, L.; Berg, W.; Feig, S.; et al. Breast cancer screening with imaging: Recommendations from the Society of Breast Imaging and the ACR on the use of mammography, breast MRI, breast ultrasound, and other technologies for the detection of clinically occult breast cancer. J. Am. Coll. Radiol. 2010, 7, 18–27. [Google Scholar] [CrossRef]
- Kuhl, C.K.; Schrading, S.; Strobel, K.; Schild, H.H.; Hilgers, R.D.; Bieling, H.B. Abbreviated breast magnetic resonance imaging (MRI): First postcontrast subtracted images and maximum-intensity projection-a novel approach to breast cancer screening with MRI. J. Clin. Oncol. 2014, 32, 2304–2310. [Google Scholar] [CrossRef]
- Grimm, L.J.; Soo, M.S.; Yoon, S.; Kim, C.; Ghate, S.V.; Johnson, K.S. Abbreviated screening protocol for breast MRI: A feasibility study. Acad. Radiol. 2015, 22, 1157–1162. [Google Scholar] [CrossRef] [PubMed]
- Mango, V.L.; Morris, E.A.; David Dershaw, D.; Abramson, A.; Fry, C.; Moskowitz, C.S.; Hughes, M.; Kaplan, J.; Jochelson, M.S. Abbreviated protocol for breast MRI: Are multiple sequences needed for cancer detection? Eur. J. Radiol. 2015, 84, 65–70. [Google Scholar] [CrossRef]
- Kuhl, C.K. Abbreviated Magnetic Resonance Imaging (MRI) for Breast Cancer Screening: Rationale, Concept, and Transfer to Clinical Practice. Annu. Rev. Med. 2019, 70, 501–519. [Google Scholar] [CrossRef] [PubMed]
- McDonald, R.J.; McDonald, J.S.; Kallmes, D.F.; Jentoft, M.E.; Paolini, M.A.; Murray, D.L.; Williamson, E.E.; Eckel, L.J. Gadolinium Deposition in Human Brain Tissues after Contrast-enhanced MR Imaging in Adult Patients without Intracranial Abnormalities. Radiology 2017, 285, 546–554. [Google Scholar] [CrossRef] [PubMed]
- Mithal, L.B.; Patel, P.S.; Mithal, D.; Palac, H.L.; Rozenfeld, M.N. Use of gadolinium-based magnetic resonance imaging contrast agents and awareness of brain gadolinium deposition among pediatric providers in North America. Pediatr. Radiol. 2017, 47, 657–664. [Google Scholar] [CrossRef]
- Baltzer, P.; Mann, R.M.; Iima, M.; Sigmund, E.E.; Clauser, P.; Gilbert, F.J.; Martincich, L.; Partridge, S.C.; Patterson, A.; Pinker, K.; et al. Diffusion-weighted imaging of the breast—A consensus and mission statement from the EUSOBI International Breast Diffusion-Weighted Imaging working group. Eur. Radiol. 2020, 30, 1436–1450. [Google Scholar] [CrossRef]
- Le Bihan, D.; Breton, E.; Lallemand, D.; Grenier, P.; Cabanis, E.; Laval-Jeantet, M. MR imaging of intravoxel incoherent motions: Application to diffusion and perfusion in neurologic disorders. Radiology 1986, 161, 401–407. [Google Scholar] [CrossRef] [PubMed]
- Rotili, A.; Trimboli, R.M.; Penco, S.; Pesapane, F.; Tantrige, P.; Cassano, E.; Sardanelli, F. Double reading of diffusion-weighted magnetic resonance imaging for breast cancer detection. Breast Cancer Res. Treat. 2020, 180, 111–120. [Google Scholar] [CrossRef]
- Le Bihan, D.; Poupon, C.; Amadon, A.; Lethimonnier, F. Artifacts and pitfalls in diffusion MRI. J. Magn. Reson. Imaging 2006, 24, 478–488. [Google Scholar] [CrossRef] [PubMed]
- D’Orsi, C.J.S.E.; Mendelson, E.B.; Morris, E.A. ACR BI-RADS® Atlas, Breast Imaging Reporting and Data System, 5th ed.; American College of Radiology: Reston, VA, USA, 2013. [Google Scholar]
- Cohen, J. A coefficient of agreement for nominal scales. Educ. Psychol. Meas. 1960, 20, 37–46. [Google Scholar] [CrossRef]
- Pesapane, F.; Penco, S.; Rotili, A.; Nicosia, L.; Bozzini, A.; Trentin, C.; Dominelli, V.; Priolo, F.; Farina, M.; Marinucci, I.; et al. How we provided appropriate breast imaging practices in the epicentre of the COVID-19 outbreak in Italy. Br. J. Radiol. 2020, 93, 20200679. [Google Scholar] [CrossRef]
- Pesapane, F.; Ierardi, A.M.; Arrichiello, A.; Carrafiello, G. Providing optimal interventional oncology procedures at one of the COVID-19 referral center in Italy. Med. Oncol. 2020, 37, 83. [Google Scholar] [CrossRef]
- Hussein, H.; Abbas, E.; Keshavarzi, S.; Fazelzad, R.; Bukhanov, K.; Kulkarni, S.; Au, F.; Ghai, S.; Alabousi, A.; Freitas, V. Supplemental Breast Cancer Screening in Women with Dense Breasts and Negative Mammography: A Systematic Review and Meta-Analysis. Radiology 2023, 306, e221785. [Google Scholar] [CrossRef] [PubMed]
- Kuhl, C.K.; Schrading, S.; Leutner, C.C.; Morakkabati-Spitz, N.; Wardelmann, E.; Fimmers, R.; Kuhn, W.; Schild, H.H. Mammography, breast ultrasound, and magnetic resonance imaging for surveillance of women at high familial risk for breast cancer. J. Clin. Oncol. 2005, 23, 8469–8476. [Google Scholar] [CrossRef]
- Bakker, M.F.; de Lange, S.V.; Pijnappel, R.M.; Mann, R.M.; Peeters, P.H.M.; Monninkhof, E.M.; Emaus, M.J.; Loo, C.E.; Bisschops, R.H.C.; Lobbes, M.B.I.; et al. Supplemental MRI Screening for Women with Extremely Dense Breast Tissue. N. Engl. J. Med. 2019, 381, 2091–2102. [Google Scholar] [CrossRef] [PubMed]
- Mann, R.M.; Cho, N.; Moy, L. Breast MRI: State of the Art. Radiology 2019, 292, 520–536. [Google Scholar] [CrossRef] [PubMed]
- Covington, M.F.; Young, C.A.; Appleton, C.M. American College of Radiology Accreditation, Performance Metrics, Reimbursement, and Economic Considerations in Breast MR Imaging. Magn. Reson. Imaging Clin. N. Am. 2018, 26, 303–314. [Google Scholar] [CrossRef]
- Warner, E.; Hill, K.; Causer, P.; Plewes, D.; Jong, R.; Yaffe, M.; Foulkes, W.D.; Ghadirian, P.; Lynch, H.; Couch, F.; et al. Prospective study of breast cancer incidence in women with a BRCA1 or BRCA2 mutation under surveillance with and without magnetic resonance imaging. J. Clin. Oncol. 2011, 29, 1664–1669. [Google Scholar] [CrossRef] [PubMed]
- Warner, E.; Plewes, D.B.; Hill, K.A.; Causer, P.A.; Zubovits, J.T.; Jong, R.A.; Cutrara, M.R.; DeBoer, G.; Yaffe, M.J.; Messner, S.J.; et al. Surveillance of BRCA1 and BRCA2 mutation carriers with magnetic resonance imaging, ultrasound, mammography, and clinical breast examination. JAMA 2004, 292, 1317–1325. [Google Scholar] [CrossRef]
- Plevritis, S.K.; Kurian, A.W.; Sigal, B.M.; Daniel, B.L.; Ikeda, D.M.; Stockdale, F.E.; Garber, A.M. Cost-effectiveness of screening BRCA1/2 mutation carriers with breast magnetic resonance imaging. JAMA 2006, 295, 2374–2384. [Google Scholar] [CrossRef]
- Pesapane, F.; Suter, M.B.; Rotili, A.; Penco, S.; Nigro, O.; Cremonesi, M.; Bellomi, M.; Jereczek-Fossa, B.A.; Pinotti, G.; Cassano, E. Will traditional biopsy be substituted by radiomics and liquid biopsy for breast cancer diagnosis and characterisation? Med. Oncol. 2020, 37, 29. [Google Scholar] [CrossRef]
- Penco, S.; Rotili, A.; Pesapane, F.; Trentin, C.; Dominelli, V.; Faggian, A.; Farina, M.; Marinucci, I.; Bozzini, A.; Pizzamiglio, M.; et al. MRI-guided vacuum-assisted breast biopsy: Experience of a single tertiary referral cancer centre and prospects for the future. Med. Oncol. 2020, 37, 36. [Google Scholar] [CrossRef]
- Partovi, S.; Sin, D.; Lu, Z.; Sieck, L.; Marshall, H.; Pham, R.; Plecha, D. Fast MRI breast cancer screening—Ready for prime time. Clin. Imaging 2020, 60, 160–168. [Google Scholar] [CrossRef]
- Mann, R.M.; Hooley, R.; Barr, R.G.; Moy, L. Novel Approaches to Screening for Breast Cancer. Radiology 2020, 297, 266–285. [Google Scholar] [CrossRef]
- Harvey, S.C.; Di Carlo, P.A.; Lee, B.; Obadina, E.; Sippo, D.; Mullen, L. An Abbreviated Protocol for High-Risk Screening Breast MRI Saves Time and Resources. J. Am. Coll. Radiol. 2016, 13, R74–R80. [Google Scholar] [CrossRef]
- Petrillo, A.; Fusco, R.; Sansone, M.; Cerbone, M.; Filice, S.; Porto, A.; Rubulotta, M.R.; D’Aiuto, M.; Avino, F.; Di Bonito, M.; et al. Abbreviated breast dynamic contrast-enhanced MR imaging for lesion detection and characterization: The experience of an Italian oncologic center. Breast Cancer Res. Treat. 2017, 164, 401–410. [Google Scholar] [CrossRef] [PubMed]
- Stelzer, P.D.; Clauser, P.; Vatteroni, G.; Kapetas, P.; Helbich, T.H.; Baltzer, P.A. How much can abbreviated protocols for breast MRI increase patient throughput? A multi-centric evaluation. Eur. J. Radiol. 2022, 154, 110436. [Google Scholar] [CrossRef] [PubMed]
- Dekkers, I.A.; Roos, R.; van der Molen, A.J. Gadolinium retention after administration of contrast agents based on linear chelators and the recommendations of the European Medicines Agency. Eur. Radiol. 2018, 28, 1579–1584. [Google Scholar] [CrossRef]
- Rahbar, H.; Zhang, Z.; Chenevert, T.L.; Romanoff, J.; Kitsch, A.E.; Hanna, L.G.; Harvey, S.M.; Moy, L.; DeMartini, W.B.; Dogan, B.; et al. Utility of Diffusion-weighted Imaging to Decrease Unnecessary Biopsies Prompted by Breast MRI: A Trial of the ECOG-ACRIN Cancer Research Group (A6702). Clin. Cancer Res. 2019, 25, 1756–1765. [Google Scholar] [CrossRef] [PubMed]
- Partridge, S.C.; DeMartini, W.B.; Kurland, B.F.; Eby, P.R.; White, S.W.; Lehman, C.D. Quantitative diffusion-weighted imaging as an adjunct to conventional breast MRI for improved positive predictive value. AJR Am. J. Roentgenol. 2009, 193, 1716–1722. [Google Scholar] [CrossRef]
- Sugita, R.; Ito, K.; Fujita, N.; Takahashi, S. Diffusion-weighted MRI in abdominal oncology: Clinical applications. World J. Gastroenterol. 2010, 16, 832–836. [Google Scholar] [CrossRef] [PubMed]
- Camps-Herrero, J. Diffusion-weighted imaging of the breast: Current status as an imaging biomarker and future role. BJR Open 2019, 1, 20180049. [Google Scholar] [CrossRef]
- Chen, X.; Li, W.L.; Zhang, Y.L.; Wu, Q.; Guo, Y.M.; Bai, Z.L. Meta-analysis of quantitative diffusion-weighted MR imaging in the differential diagnosis of breast lesions. BMC Cancer 2010, 10, 693. [Google Scholar] [CrossRef]
- Amornsiripanitch, N.; Bickelhaupt, S.; Shin, H.J.; Dang, M.; Rahbar, H.; Pinker, K.; Partridge, S.C. Diffusion-weighted MRI for Unenhanced Breast Cancer Screening. Radiology 2019, 293, 504–520. [Google Scholar] [CrossRef]
- Trimboli, R.M.; Verardi, N.; Cartia, F.; Carbonaro, L.A.; Sardanelli, F. Breast cancer detection using double reading of unenhanced MRI including T1-weighted, T2-weighted STIR, and diffusion-weighted imaging: A proof of concept study. AJR Am. J. Roentgenol. 2014, 203, 674–681. [Google Scholar] [CrossRef]
- Baltzer, P.A.; Benndorf, M.; Dietzel, M.; Gajda, M.; Camara, O.; Kaiser, W.A. Sensitivity and specificity of unenhanced MR mammography (DWI combined with T2-weighted TSE imaging, ueMRM) for the differentiation of mass lesions. Eur. Radiol. 2010, 20, 1101–1110. [Google Scholar] [CrossRef] [PubMed]
- Baltzer, P.A.T.; Bickel, H.; Spick, C.; Wengert, G.; Woitek, R.; Kapetas, P.; Clauser, P.; Helbich, T.H.; Pinker, K. Potential of Noncontrast Magnetic Resonance Imaging with Diffusion-Weighted Imaging in Characterization of Breast Lesions: Intraindividual Comparison with Dynamic Contrast-Enhanced Magnetic Resonance Imaging. Investig. Radiol. 2018, 53, 229–235. [Google Scholar] [CrossRef]
- Li, J.; Holm, J.; Bergh, J.; Eriksson, M.; Darabi, H.; Lindstrom, L.S.; Tornberg, S.; Hall, P.; Czene, K. Breast cancer genetic risk profile is differentially associated with interval and screen-detected breast cancers. Ann. Oncol. 2015, 26, 517–522. [Google Scholar] [CrossRef]
- Pesapane, F.; Rotili, A.; Penco, S.; Montesano, M.; Agazzi, G.M.; Dominelli, V.; Trentin, C.; Pizzamiglio, M.; Cassano, E. Inter-Reader Agreement of Diffusion-Weighted Magnetic Resonance Imaging for Breast Cancer Detection: A Multi-Reader Retrospective Study. Cancers 2021, 13, 1978. [Google Scholar] [CrossRef] [PubMed]
- Pesapane, F.; Agazzi, G.M.; Rotili, A.; Ferrari, F.; Cardillo, A.; Penco, S.; Dominelli, V.; D’Ecclesiis, O.; Vignati, S.; Raimondi, S.; et al. Prediction of the Pathological Response to Neoadjuvant Chemotherapy in Breast Cancer Patients with MRI-Radiomics: A Systematic Review and Meta-analysis. Curr. Probl. Cancer 2022, 46, 100883. [Google Scholar] [CrossRef] [PubMed]
- Vreemann, S.; Gubern-Merida, A.; Schlooz-Vries, M.S.; Bult, P.; van Gils, C.H.; Hoogerbrugge, N.; Karssemeijer, N.; Mann, R.M. Influence of Risk Category and Screening Round on the Performance of an MR Imaging and Mammography Screening Program in Carriers of the BRCA Mutation and Other Women at Increased Risk. Radiology 2018, 286, 443–451. [Google Scholar] [CrossRef] [PubMed]
- Yamada, T.; Kanemaki, Y.; Okamoto, S.; Nakajima, Y. Comparison of detectability of breast cancer by abbreviated breast MRI based on diffusion-weighted images and postcontrast MRI. Jpn. J. Radiol. 2018, 36, 331–339. [Google Scholar] [CrossRef]
- Bickelhaupt, S.; Tesdorff, J.; Laun, F.B.; Kuder, T.A.; Lederer, W.; Teiner, S.; Maier-Hein, K.; Daniel, H.; Stieber, A.; Delorme, S.; et al. Independent value of image fusion in unenhanced breast MRI using diffusion-weighted and morphological T2-weighted images for lesion characterization in patients with recently detected BI-RADS 4/5 X-ray mammography findings. Eur. Radiol. 2017, 27, 562–569. [Google Scholar] [CrossRef]
- Blomqvist, L.; Nordberg, G.F.; Nurchi, V.M.; Aaseth, J.O. Gadolinium in Medical Imaging—Usefulness, Toxic Reactions and Possible Countermeasures—A Review. Biomolecules 2022, 12, 742. [Google Scholar] [CrossRef]
- Pesapane, F.; Rotili, A.; Penco, S.; Nicosia, L.; Cassano, E. Digital Twins in Radiology. J. Clin. Med. 2022, 11, 6553. [Google Scholar] [CrossRef] [PubMed]
- Lambin, P.; Leijenaar, R.T.H.; Deist, T.M.; Peerlings, J.; de Jong, E.E.C.; van Timmeren, J.; Sanduleanu, S.; Larue, R.; Even, A.J.G.; Jochems, A.; et al. Radiomics: The bridge between medical imaging and personalized medicine. Nat. Rev. Clin. Oncol. 2017, 14, 749–762. [Google Scholar] [CrossRef] [PubMed]
- Pesapane, F.; Rotili, A.; Agazzi, G.M.; Botta, F.; Raimondi, S.; Penco, S.; Dominelli, V.; Cremonesi, M.; Jereczek-Fossa, B.A.; Carrafiello, G.; et al. Recent Radiomics Advancements in Breast Cancer: Lessons and Pitfalls for the Next Future. Curr. Oncol. 2021, 28, 2351–2372. [Google Scholar] [CrossRef] [PubMed]
- Pesapane, F.; Codari, M.; Sardanelli, F. Artificial intelligence in medical imaging: Threat or opportunity? Radiologists again at the forefront of innovation in medicine. Eur. Radiol. Exp. 2018, 2, 35. [Google Scholar] [CrossRef] [PubMed]




| Inclusion Criteria: | Exclusion Criteria: |
|---|---|
| ≥18 years old women | Pregnancy or breastfeeding |
| At least 1 year of clinical and radiological follow-up or histological analysis through biopsy or surgery. | No follow-up or no pathological gold standard by needle biopsy or surgery. |
| Written informed consent for MRI signed and dated by the patient and the radiologist prior to inclusion. | Patients undergoing neoadjuvant chemotherapy. |
| BRCA1 and BRCA2 mutation carriers. | Common contraindications to MRI (presence of MR-incompatible devices, history of severe claustrophobia, and side effects due to MRI contrast agents). |
| Symptoms or signs of breast cancer or recurrence. | |
| Bilateral breast implants. |
| Acquisition Parameter | Pre-DWI EUSOBI Consensus | Post-DWI EUSOBI Consensus |
|---|---|---|
| Type of sequence | EPI | EPI |
| Orientation | 2D axial | 2D axial |
| Field of view | The field of view covers both breasts | The field of view covers both breasts |
| In-plane resolution | 2 × 3.6 mm2 | 2 × 2 mm2 |
| Slice thickness | 5.0 mm | 3.5 mm |
| Spacing between slices | 0.5 mm | 0.4 mm |
| Number of b values | 2 | 2 |
| Lowest b value | 0 s/mm2 | 0 s/mm2 |
| High b value | 800 s/mm2 | 800 s/mm2 |
| Fat saturation | Yes | Yes |
| TE | Minimum possible | Minimum possible |
| TR | ≥3000 ms | ≥3000 ms |
| Acceleration | 2 | 2 |
| Post-processing | Generation of ADC maps | Generation of ADC maps |
| Patients with Diagnosis of Breast Cancer (n 11) | |||||
|---|---|---|---|---|---|
| Year ** | Histology | Receptor Status | Size * (mm) | Ki-67 (%) ⬫ | |
| 1 | 2021 | DIN 2 | ER+ = 95%; PR+ = 5%; HER2 weakly + in 60% | 12 | 10% |
| 2 | 2021 | DIN 2 | ER−; PR−; HER2 weakly + in 15% | 20 | 28% |
| 3 | 2019 | IDC | TNBC | 13 | 80% |
| 4 | 2021 | DIN 2 | ER+ = 95%; PR+ = 90%; HER2 weakly + in 40% | 20 | 18% |
| 5 | 2019 | Secretory carcinoma | TNBC | 5 | 5% |
| 6 | 2021 | DIN 2 | 4 | ||
| 7 | 2020 | Poorly differentiated IDC | ER-; PR weakly +; HER2 weakly + in 40% | 12 | 40% |
| 8 | 2021 | DIN 2 | ER+ = 95%; PR+ = 5%; HER2 weakly + in 75% | 5 | 14% |
| 9 | 2020 | IDC | TNBC | 18 | 40% |
| 10 | 2021 | Well-differentiated IDC | ER+ = 95%; PR+ = 70%; HER2 neg | 9 | 10% |
| 11 | 2019 | Moderately differentiated apocrine breast cancer | TNBC | 8 | 23% |
| R1 | R2 | ||||||
|---|---|---|---|---|---|---|---|
| 95% CI | 95% CI | ||||||
| Sensitivity | 0.73 | 0.46 | 0.99 | Sensitivity | 0.64 | 0.35 | 0.92 |
| Specificity | 0.90 | 0.87 | 0.94 | Specificity | 0.90 | 0.87 | 0.94 |
| PPV | 0.20 | 0.08 | 0.32 | PPV | 0.18 | 0.06 | 0.30 |
| NPV | 0.99 | 0.98 | 1.00 | NPV | 0.99 | 0.97 | 1.00 |
| Accuracy | 0.90 | Accuracy | 0.90 |
| Field Strength | Number of Cancer | Study Population | Sensitivity | Specificity | |
|---|---|---|---|---|---|
| Baltzer at al. 2010 [44] | 1.5 T | 54 | Consecutive BI-RADS 4 and 5 masses | 94.4% (average of R1 and R2) | 85.2% |
| Rotili et al. 2020 [15] | 1.5 T | 96 | Consecutive mixed screening, staging, and follow-up | 87% | 90.5% (average of R1 and R2) |
| Baltzer at al. 2018 [45] | 3.0 T | 67 | Consecutive with conventional imaging BI-RADS 3 and 4 | 91% | 73.2% |
| Yamada et al. 2018 [50] | 1.5 T | 89 | Consecutive with suspicious findings using conventional imaging | 92.7% (average of R1 and R2) | 95.8% (average of R1 and R2) |
| Bickelhaupt S et al. 2017 [51] | 1.5 T | 22 | Consecutive with conventional imaging BI-RADS 4 and 5 | 90% | 85.9% |
| Present study | 1.5 T | 11 | BRCA1 and BRCA2 asymptomatic carriers | 69% (average of R1 and R2) | 90% |
Disclaimer/Publisher’s Note: The statements, opinions and data contained in all publications are solely those of the individual author(s) and contributor(s) and not of MDPI and/or the editor(s). MDPI and/or the editor(s) disclaim responsibility for any injury to people or property resulting from any ideas, methods, instructions or products referred to in the content. |
© 2023 by the authors. Licensee MDPI, Basel, Switzerland. This article is an open access article distributed under the terms and conditions of the Creative Commons Attribution (CC BY) license (https://creativecommons.org/licenses/by/4.0/).
Share and Cite
Rotili, A.; Pesapane, F.; Signorelli, G.; Penco, S.; Nicosia, L.; Bozzini, A.; Meneghetti, L.; Zanzottera, C.; Mannucci, S.; Bonanni, B.; et al. An Unenhanced Breast MRI Protocol Based on Diffusion-Weighted Imaging: A Retrospective Single-Center Study on High-Risk Population for Breast Cancer. Diagnostics 2023, 13, 1996. https://doi.org/10.3390/diagnostics13121996
Rotili A, Pesapane F, Signorelli G, Penco S, Nicosia L, Bozzini A, Meneghetti L, Zanzottera C, Mannucci S, Bonanni B, et al. An Unenhanced Breast MRI Protocol Based on Diffusion-Weighted Imaging: A Retrospective Single-Center Study on High-Risk Population for Breast Cancer. Diagnostics. 2023; 13(12):1996. https://doi.org/10.3390/diagnostics13121996
Chicago/Turabian StyleRotili, Anna, Filippo Pesapane, Giulia Signorelli, Silvia Penco, Luca Nicosia, Anna Bozzini, Lorenza Meneghetti, Cristina Zanzottera, Sara Mannucci, Bernardo Bonanni, and et al. 2023. "An Unenhanced Breast MRI Protocol Based on Diffusion-Weighted Imaging: A Retrospective Single-Center Study on High-Risk Population for Breast Cancer" Diagnostics 13, no. 12: 1996. https://doi.org/10.3390/diagnostics13121996
APA StyleRotili, A., Pesapane, F., Signorelli, G., Penco, S., Nicosia, L., Bozzini, A., Meneghetti, L., Zanzottera, C., Mannucci, S., Bonanni, B., & Cassano, E. (2023). An Unenhanced Breast MRI Protocol Based on Diffusion-Weighted Imaging: A Retrospective Single-Center Study on High-Risk Population for Breast Cancer. Diagnostics, 13(12), 1996. https://doi.org/10.3390/diagnostics13121996

