Chemo-Free Treatment Using Anti-PD-1 Antibodies with Lenvatinib in Unresectable Gallbladder Cancer: PD-L1 May Be a Potential Biomarker for a Better Outcome
Abstract
1. Introduction
2. Materials and Methods
2.1. Patients and Methods
2.2. Treatment
2.3. Follow-Up and Clinical Outcome Assessment
2.4. Statistical Analysis
3. Results
3.1. Baseline Characteristics
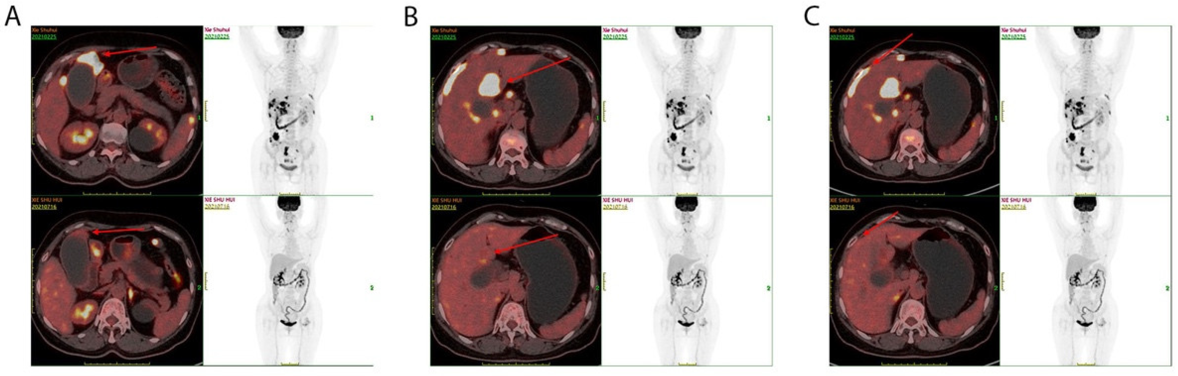
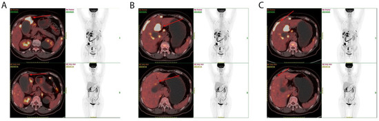
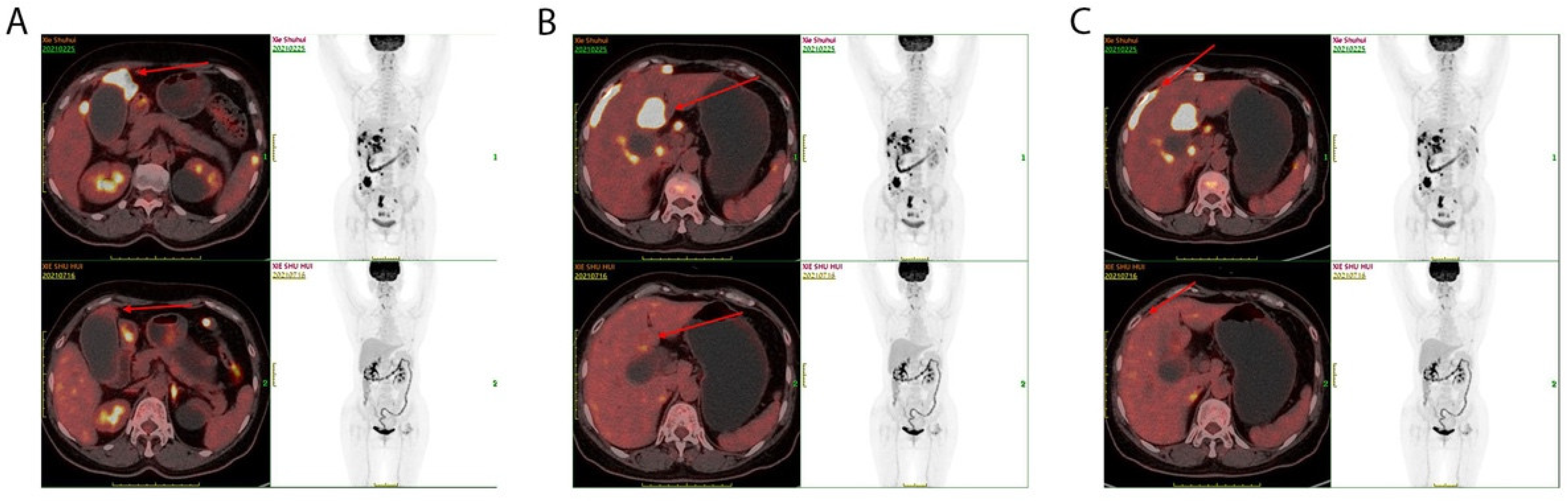
3.2. Clinical Outcome
3.3. Safety
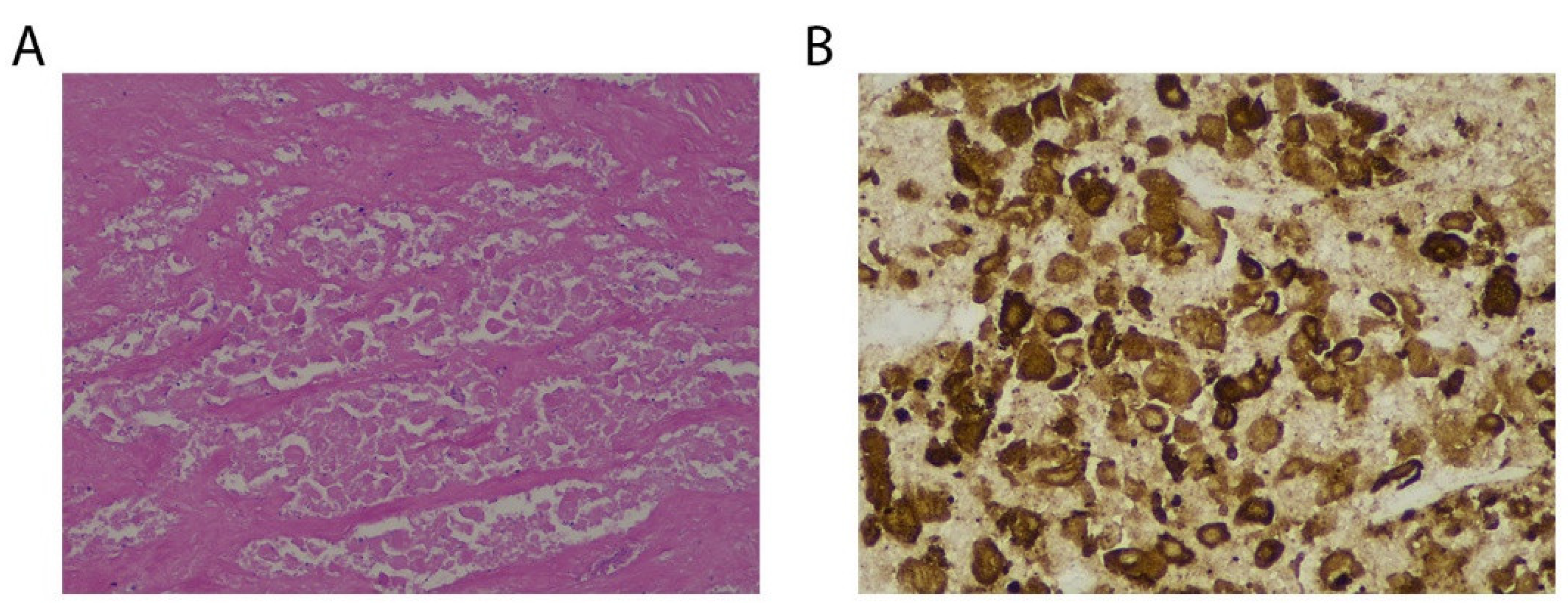
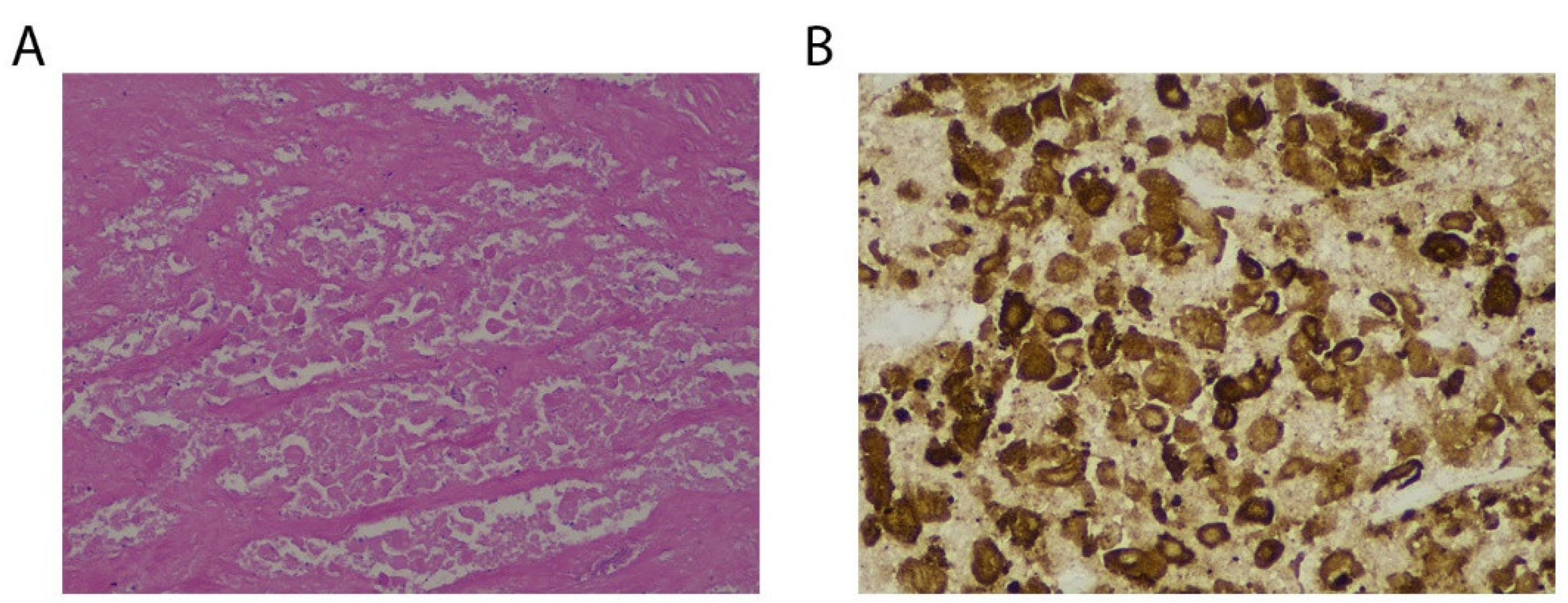
3.4. PD-L1 Expression
4. Discussion
5. Conclusions
Author Contributions
Funding
Institutional Review Board Statement
Informed Consent Statement
Data Availability Statement
Conflicts of Interest
References
- Palucka, A.K.; Coussens, L.M. The Basis of Oncoimmunology. Cell 2016, 164, 1233–1247. [Google Scholar] [CrossRef]
- Shaffer, E.A. Gallbladder Cancer: The Basics. Gastroenterol. Hepatol. 2008, 4, 737–741. [Google Scholar]
- Pilgrim, C.H.; Groeschl, R.T.; Christians, K.K.; Gamblin, T.C. Modern Perspectives on Factors Predisposing to the Development of Gallbladder Cancer. HPB 2013, 15, 839–844. [Google Scholar] [CrossRef] [PubMed]
- Iyer, P.; Barreto, S.G.; Sahoo, B.; Chandrani, P.; Ramadwar, M.R.; Shrikhande, S.V.; Dutt, A. Non-Typhoidal Salmonella DNA Traces in Gallbladder Cancer. Infect. Agent Cancer 2016, 11, 12. [Google Scholar] [CrossRef]
- Randi, G.; Franceschi, S.; La Vecchia, C. Gallbladder Cancer Worldwide: Geographical Distribution and Risk Factors. Int. J. Cancer 2006, 118, 1591–1602. [Google Scholar] [CrossRef] [PubMed]
- Lazcano-Ponce, E.C.; Miquel, J.F.; Munoz, N.; Herrero, R.; Ferrecio, C.; Wistuba; de Ruiz, P.A.; Urista, G.A.; Nervi, F. Epidemiology and Molecular Pathology of Gallbladder Cancer. CA Cancer J. Clin. 2001, 51, 349–364. [Google Scholar] [CrossRef]
- Everson, G.T.; McKinley, C.; Kern, F., Jr. Mechanisms of Gallstone Formation in Women. Effects of Exogenous Estrogen (Premarin) and Dietary Cholesterol on Hepatic Lipid Metabolism. J. Clin. Investig. 1991, 87, 237–246. [Google Scholar] [CrossRef]
- Barreto, S.G.; Haga, H.; Shukla, P.J. Hormones and Gallbladder Cancer in Women. Indian J. Gastroenterol. 2009, 28, 126–130. [Google Scholar] [CrossRef]
- Jain, K.; Sreenivas, V.; Velpandian, T.; Kapil, U.; Garg, P.K. Risk Factors for Gallbladder Cancer: A Case-Control Study. Int. J. Cancer 2013, 132, 1660–1666. [Google Scholar] [CrossRef]
- Mishra, K.; Behari, A.; Shukla, P.; Tsuchiya, Y.; Endoh, K.; Asai, T.; Ikoma, T.; Nakamura, K.; Kapoor, V.K. Risk Factors for Gallbladder Cancer Development in Northern India: A Gallstones-Matched, Case-Control Study. Indian J. Med. Res. 2021, 154, 699–706. [Google Scholar]
- Hsing, A.W.; Bai, Y.; Andreotti, G.; Rashid, A.; Deng, J.; Chen, J.; Goldstein, A.M.; Han, T.Q.; Shen, M.C.; Fraumeni, J.F., Jr.; et al. Family History of Gallstones and the Risk of Biliary Tract Cancer and Gallstones: A Population-Based Study in Shanghai, China. Int. J. Cancer 2007, 121, 832–838. [Google Scholar] [CrossRef]
- Valle, J.W.; Borbath, I.; Khan, S.A.; Huguet, F.; Gruenberger, T.; Arnold, D.; Esmo Guidelines Committee. Biliary Cancer: Esmo Clinical Practice Guidelines for Diagnosis, Treatment and Follow-Up. Ann. Oncol. 2016, 27, v28–v37. [Google Scholar] [CrossRef] [PubMed]
- Hogdall, D.; O’Rourke, C.J.; Taranta, A.; Oliveira, D.V.; Andersen, J.B. Molecular Pathogenesis and Current Therapy in Intrahepatic Cholangiocarcinoma. Dig. Dis. 2016, 34, 440–451. [Google Scholar] [CrossRef] [PubMed]
- Park, K.; Kim, K.P.; Park, S.; Chang, H.M. Comparison of Gemcitabine Plus Cisplatin Versus Capecitabine Plus Cisplatin as First-Line Chemotherapy for Advanced Biliary Tract Cancer. Asia Pac. J. Clin. Oncol. 2017, 13, 13–20. [Google Scholar] [CrossRef] [PubMed]
- Garon, E.B.; Rizvi, N.A.; Hui, R.; Leighl, N.; Balmanoukian, A.S.; Eder, J.P.; Patnaik, A.; Aggarwal, C.; Gubens, M.; Horn, L.; et al. Pembrolizumab for the Treatment of Non-Small-Cell Lung Cancer. N. Engl. J. Med. 2015, 372, 2018–2028. [Google Scholar] [CrossRef] [PubMed]
- Kang, J.; Jeong, J.H.; Hwang, H.S.; Lee, S.S.; Park, D.H.; Oh, D.W.; Song, T.J.; Kim, K.H.; Hwang, S.; Hwang, D.W.; et al. Efficacy and Safety of Pembrolizumab in Patients with Refractory Advanced Biliary Tract Cancer: Tumor Proportion Score as a Potential Biomarker for Response. Cancer Res. Treat. 2020, 52, 594–603. [Google Scholar] [CrossRef]
- Kudo, M.; Finn, R.S.; Qin, S.; Han, K.H.; Ikeda, K.; Piscaglia, F.; Baron, A.; Park, J.W.; Han, G.; Jassem, J.; et al. Lenvatinib Versus Sorafenib in First-Line Treatment of Patients with Unresectable Hepatocellular Carcinoma: A Randomised Phase 3 Non-Inferiority Trial. Lancet 2018, 391, 1163–1173. [Google Scholar] [CrossRef]
- Ueno, M.; Ikeda, M.; Sasaki, T.; Nagashima, F.; Mizuno, N.; Shimizu, S.; Ikezawa, H.; Hayata, N.; Nakajima, R.; Morizane, C. Phase 2 Study of Lenvatinib Monotherapy as Second-Line Treatment in Unresectable Biliary Tract Cancer: Primary Analysis Results. BMC Cancer 2020, 20, 1105. [Google Scholar] [CrossRef]
- Gunda, V.; Gigliotti, B.; Ashry, T.; Ndishabandi, D.; McCarthy, M.; Zhou, Z.; Amin, S.; Lee, K.E.; Stork, T.; Wirth, L.; et al. Anti-Pd-1/Pd-L1 Therapy Augments Lenvatinib’s Efficacy by Favorably Altering the Immune Microenvironment of Murine Anaplastic Thyroid Cancer. Int. J. Cancer 2019, 144, 2266–2278. [Google Scholar] [CrossRef]
- Kato, Y.; Tabata, K.; Kimura, T.; Yachie-Kinoshita, A.; Ozawa, Y.; Yamada, K.; Ito, J.; Tachino, S.; Hori, Y.; Matsuki, M.; et al. Lenvatinib Plus Anti-Pd-1 Antibody Combination Treatment Activates Cd8+ T Cells through Reduction of Tumor-Associated Macrophage and Activation of the Interferon Pathway. PLoS ONE 2019, 14, e0212513. [Google Scholar] [CrossRef]
- Zuo, B.; Yang, X.; Yang, X.; Bian, J.; Long, J.; Wang, D.; Ning, C.; Wang, Y.; Xun, Z.; Wang, Y.; et al. A Real-World Study of the Efficacy and Safety of Anti-Pd-1 Antibodies Plus Lenvatinib in Patients with Advanced Gallbladder Cancer. Cancer Immunol. Immunother. 2022, 71, 1889–1896. [Google Scholar] [CrossRef] [PubMed]
- Eisenhauer, E.A.; Therasse, P.; Bogaerts, J.; Schwartz, L.H.; Sargent, D.; Ford, R.; Dancey, J.; Arbuck, S.; Gwyther, S.; Mooney, M.; et al. New Response Evaluation Criteria in Solid Tumours: Revised Recist Guideline (Version 1.1). Eur. J. Cancer 2009, 45, 228–247. [Google Scholar] [CrossRef]
- Salmaninejad, A.; Valilou, S.F.; Shabgah, A.G.; Aslani, S.; Alimardani, M.; Pasdar, A.; Sahebkar, A. Pd-1/Pd-L1 Pathway: Basic Biology and Role in Cancer Immunotherapy. J. Cell. Physiol. 2019, 234, 16824–16837. [Google Scholar] [CrossRef] [PubMed]
- Kim, R.D.; Chung, V.; Alese, O.B.; El-Rayes, B.F.; Li, D.; Al-Toubah, T.E.; Schell, M.J.; Zhou, J.M.; Mahipal, A.; Kim, B.H.; et al. A Phase 2 Multi-Institutional Study of Nivolumab for Patients with Advanced Refractory Biliary Tract Cancer. JAMA Oncol. 2020, 6, 888–894. [Google Scholar] [CrossRef] [PubMed]
- Piha-Paul, S.A.; Oh, D.Y.; Ueno, M.; Malka, D.; Chung, H.C.; Nagrial, A.; Kelley, R.K.; Ros, W.; Italiano, A.; Nakagawa, K.; et al. Efficacy and Safety of Pembrolizumab for the Treatment of Advanced Biliary Cancer: Results from the Keynote-158 and Keynote-028 Studies. Int. J. Cancer 2020, 147, 2190–2198. [Google Scholar] [CrossRef]
- Simone, V.; Brunetti, O.; Lupo, L.; Testini, M.; Maiorano, E.; Simone, M.; Longo, V.; Rolfo, C.; Peeters, M.; Scarpa, A.; et al. Targeting Angiogenesis in Biliary Tract Cancers: An Open Option. Int. J. Mol. Sci. 2017, 18, 418. [Google Scholar] [CrossRef]
- Jiang, L.; Liu, M.; Cai, X.; Xie, L.; She, F.; Chen, Y. Serum Vascular Endothelial Growth Factor-C Levels Predict Lymph Node Metastasis and Prognosis of Patients with Gallbladder Cancer. Oncol. Lett. 2018, 16, 6065–6070. [Google Scholar] [CrossRef]
- Sun, X.N.; Cao, W.G.; Wang, X.; Wang, Q.; Gu, B.X.; Yang, Q.C.; Hu, J.B.; Liu, H.; Zheng, S. Prognostic Impact of Vascular Endothelial Growth Factor-a Expression in Resected Gallbladder Carcinoma. Tumour Biol. 2011, 32, 1183–1190. [Google Scholar] [CrossRef]
- Xu, D.; Li, J.; Jiang, F.; Cai, K.; Ren, G. The Effect and Mechanism of Vascular Endothelial Growth Factor (Vegf) on Tumor Angiogenesis in Gallbladder Carcinoma. Iran. J. Public Health 2019, 48, 713–721. [Google Scholar]
- Ye, J.; Qi, L.; Liang, J.; Zong, K.; Liu, W.; Li, R.; Feng, R.; Zhai, W. Lenvatinib Induces Anticancer Activity in Gallbladder Cancer by Targeting Akt. J. Cancer 2021, 12, 3548–3557. [Google Scholar] [CrossRef]
- Deng, M.; Li, S.H.; Fu, X.; Yan, X.P.; Chen, J.; Qiu, Y.D.; Guo, R.P. Relationship between Pd-L1 Expression, Cd8+ T-Cell Infiltration and Prognosis in Intrahepatic Cholangiocarcinoma Patients. Cancer Cell Int. 2021, 21, 371. [Google Scholar] [CrossRef] [PubMed]
- Tian, L.; Ma, J.; Ma, L.; Zheng, B.; Liu, L.; Song, D.; Wang, Y.; Zhang, Z.; Gao, Q.; Song, K.; et al. Pd-1/Pd-L1 Expression Profiles within Intrahepatic Cholangiocarcinoma Predict Clinical Outcome. World J. Surg. Oncol. 2020, 18, 303. [Google Scholar] [CrossRef]
- Albrecht, T.; Brinkmann, F.; Albrecht, M.; Lonsdorf, A.S.; Mehrabi, A.; Hoffmann, K.; Kulu, Y.; Charbel, A.; Vogel, M.N.; Rupp, C.; et al. Programmed Death Ligand-1 (Pd-L1) Is an Independent Negative Prognosticator in Western-World Gallbladder Cancer. Cancers 2021, 13, 7. [Google Scholar] [CrossRef] [PubMed]
- Hundal, R.; Shaffer, E.A. Gallbladder Cancer: Epidemiology and Outcome. Clin. Epidemiol. 2014, 6, 99–109. [Google Scholar] [PubMed]





| Parameters | Total (n = 52) |
|---|---|
| Race, n (%) | |
| Han | 52 (100.0%) |
| Age, years (median, IQR) | 69 (13) |
| <60 ≥60 | 14 (26.9%) 38 (73.1%) |
| Sex, n (%) | |
| Female Male | 33 (63.5%) 19 (63.5%) |
| ECOG performance, n (%) | |
| 0 1 | 29 (55.8%) 23 (44.2%) |
| Child–Pugh score, n (%) | |
| A B | 39 (75.0%) 13 (25.0%) |
| CA19-9, U/mL (median, IQR) | 534.3 (446.7–621.9) |
| <200 ≥200 | 7 (13.5%) 45 (86.5%) |
| Histology, n (%) | |
| Adenocarcinoma | 52 (100.0%) |
| Differentiated histology, n (%) | |
| Poor Moderate Undifferentiated | 32 (61.6%) 19 (36.5%) 1 (1.9%) |
| Site of metastases, n (%) | |
| Intrahepatic Lymph nodes Peritoneum Lung | 52 (100.0%) 52 (100.0%) 26 (50.0%) 12 (23.1%) |
| TNM stage, n (%) | |
| IV III | 32 (61.5%) 20 (38.5%) |
| Previous antitumor therapy, n (%) | |
| None | 52 (100.0%) |
| Type of anti-PD-1 antibody, n (%) | |
| Camrelizumab | 52 (100.0%) |
| Therapeutic Response Assessment | Evaluable Patients (n = 52) |
|---|---|
| Confirmed objective response rate (ORR, n, %) | 24 (46.2%) |
| Complete response (CR, n, %) | 0 |
| Partial response (PR, n, %) | 24 (46.2%) |
| Stable disease (SD, n, %) | 10 (19.2%) |
| Disease control rate (DCR, n, %) | 34 (65.4%) |
| Progressive disease (PD, n, %) | 18 (34.6%) |
| Adverse Events (AEs) | Any Grade, n (%) | Grade 3, n (%) | Grade 4–5, n (%) |
|---|---|---|---|
| Fatigue | 43 (82.7) | 0 | 0 |
| Hypertension | 22 (42.3) | 3 (5.8) | 0 |
| ALT or AST elevation | 6 (11.5) | 0 | 0 |
| Decreased appetite | 39 (75.0) | 0 | 0 |
| Abdominal pain | 10 (19.2) | 0 | 0 |
| Vomiting | 8 (15.4) | 0 | 0 |
| Diarrhea | 19 (36.5) | 1 (9.1) | 0 |
| Decreased weight | 22 (42.3) | 0 | 0 |
| RCCEP | 4 (7.7) | 0 | 0 |
| Gastrointestinal hemorrhage | 1 (1.9) | 0 | 1 (1.9) |
Disclaimer/Publisher’s Note: The statements, opinions and data contained in all publications are solely those of the individual author(s) and contributor(s) and not of MDPI and/or the editor(s). MDPI and/or the editor(s) disclaim responsibility for any injury to people or property resulting from any ideas, methods, instructions or products referred to in the content. |
© 2023 by the authors. Licensee MDPI, Basel, Switzerland. This article is an open access article distributed under the terms and conditions of the Creative Commons Attribution (CC BY) license (https://creativecommons.org/licenses/by/4.0/).
Share and Cite
Wu, T.; Pu, C.; Wu, X.; Wang, Q.; Zhang, K. Chemo-Free Treatment Using Anti-PD-1 Antibodies with Lenvatinib in Unresectable Gallbladder Cancer: PD-L1 May Be a Potential Biomarker for a Better Outcome. Diagnostics 2023, 13, 1833. https://doi.org/10.3390/diagnostics13111833
Wu T, Pu C, Wu X, Wang Q, Zhang K. Chemo-Free Treatment Using Anti-PD-1 Antibodies with Lenvatinib in Unresectable Gallbladder Cancer: PD-L1 May Be a Potential Biomarker for a Better Outcome. Diagnostics. 2023; 13(11):1833. https://doi.org/10.3390/diagnostics13111833
Chicago/Turabian StyleWu, Tiantian, Changsheng Pu, Xianjia Wu, Qiang Wang, and Keming Zhang. 2023. "Chemo-Free Treatment Using Anti-PD-1 Antibodies with Lenvatinib in Unresectable Gallbladder Cancer: PD-L1 May Be a Potential Biomarker for a Better Outcome" Diagnostics 13, no. 11: 1833. https://doi.org/10.3390/diagnostics13111833
APA StyleWu, T., Pu, C., Wu, X., Wang, Q., & Zhang, K. (2023). Chemo-Free Treatment Using Anti-PD-1 Antibodies with Lenvatinib in Unresectable Gallbladder Cancer: PD-L1 May Be a Potential Biomarker for a Better Outcome. Diagnostics, 13(11), 1833. https://doi.org/10.3390/diagnostics13111833

