Clinical Significance of a Pain Scoring System for Deep Endometriosis by Pelvic Examination: Pain Score
Abstract
1. Introduction
2. Materials and Methods
2.1. Pain Score and Max Pain Score
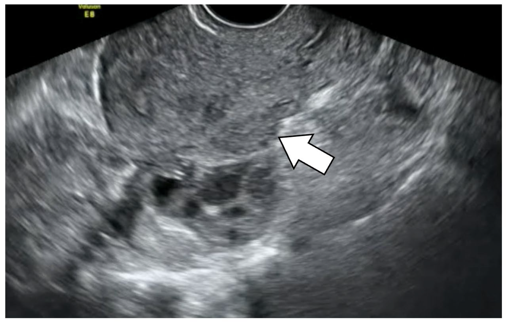
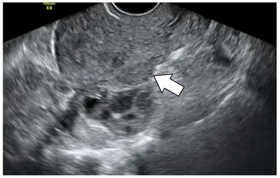
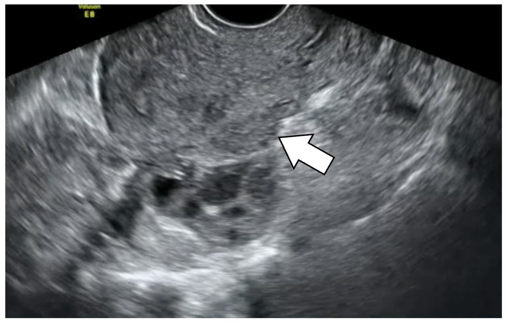
2.2. Evaluation of Endometriotic Lesions
2.3. Statistics
3. Results
3.1. Pain Score Results
3.2. Association between Pain Score and Clinical Symptoms
3.3. Association between Pain Score and Endometriotic Lesions
3.4. Association between Surgical Resection of DE-Related Lesions and Pain Score
4. Discussion
5. Conclusions
Supplementary Materials
Author Contributions
Funding
Institutional Review Board Statement
Informed Consent Statement
Data Availability Statement
Conflicts of Interest
References
- Nisenblat, V.; Prentice, L.; Bossuyt, P.M.; Farquhar, C.; Hull, M.L.; Johnson, N. Combination of the non-invasive tests for the diagnosis of endometriosis. Cochrane Database Syst. Rev. 2016, 7, Cd012281. [Google Scholar] [CrossRef] [PubMed]
- Nisenblat, V.; Bossuyt, P.M.; Farquhar, C.; Johnson, N.; Hull, M.L. Imaging modalities for the non-invasive diagnosis of endometriosis. Cochrane Database Syst. Rev. 2016, 2, Cd009591. [Google Scholar] [CrossRef] [PubMed]
- Johnson, N.P.; Hummelshoj, L.; Adamson, G.D.; Keckstein, J.; Taylor, H.S.; Abrao, M.S.; Bush, D.; Kiesel, L.; Tamimi, R.; Sharpe-Timms, K.L.; et al. World Endometriosis Society consensus on the classification of endometriosis. Hum. Reprod. 2017, 32, 315–324. [Google Scholar] [CrossRef]
- Ichikawa, M.A.S.; Sekine, M.; Ono, S.; Mine, K.; Takeshita, T. Deep Infiltrating Endometriosis: Dawn of Preoperative Diagnosis Using the NMS-E Numerical Multi-Scoring System of Endometriosis. J. Jpn. Soc. Endometr. 2015, 36, 77–81. (In Japanese) [Google Scholar]
- Sekine, M.I.M.; Kaseki, H.; Watanabe, K.; Ono, S.; Mine, M.; Akira, S.; Takeshita, T. New Preoperative Assessment Method for Endometriosis: Interobserver Agreement of Adhesion Evaluation by Transvaginal Ultrasound Using NMS-E (Numerical Multi-Scoring System of Endometriosis. J. Jpn. Soc. Endometr. 2016, 37, 133–135. (In Japanese) [Google Scholar]
- Koga, M.I.Y.O.K. Preoperative Diagnosis Utilization of NMS-E, 1st ed.; Nakayama Shoten Co., Ltd.: Tokyo, Japan, 2021; pp. 26–40. [Google Scholar]
- Ichikawa, M.; Akira, S.; Kaseki, H.; Watanabe, K.; Ono, S.; Takeshita, T. Accuracy and clinical value of an adhesion scoring system: A preoperative diagnostic method using transvaginal ultrasonography for endometriotic adhesion. J. Obstet. Gynaecol. Res. 2020, 46, 466–478. [Google Scholar] [CrossRef]
- Beecham, C.T. Classification of endometriosis. Obstet. Gynecol. 1966, 28, 437. [Google Scholar]
- Society, T.A.F. Revised American Fertility Society classification of endometriosis: 1985. Fertil. Steril. 1985, 43, 351–352. [Google Scholar]
- Medicine, A.S.f.R. Revised American Society for Reproductive Medicine classification of endometriosis: 1996. Fertil. Steril. 1997, 67, 817–821. [Google Scholar]
- Tuttlies, F.; Keckstein, J.; Ulrich, U.; Possover, M.; Schweppe, K.W.; Wustlich, M.; Buchweitz, O.; Greb, R.; Kandolf, O.; Mangold, R.; et al. [ENZIAN-score, a classification of deep infiltrating endometriosis]. Zent. Gynakol. 2005, 127, 275–281. [Google Scholar] [CrossRef]
- Haas, D.; Oppelt, P.; Shebl, O.; Shamiyeh, A.; Schimetta, W.; Mayer, R. Enzian classification: Does it correlate with clinical symptoms and the rASRM score? Acta Obstet. Gynecol. Scand. 2013, 92, 562–566. [Google Scholar] [CrossRef] [PubMed]
- Di Paola, V.; Manfredi, R.; Castelli, F.; Negrelli, R.; Mehrabi, S.; Pozzi Mucelli, R. Detection and localization of deep endometriosis by means of MRI and correlation with the ENZIAN score. Eur. J. Radiol. 2015, 84, 568–574. [Google Scholar] [CrossRef] [PubMed]
- Haas, D.; Wurm, P.; Shamiyeh, A.; Shebl, O.; Chvatal, R.; Oppelt, P. Efficacy of the revised Enzian classification: A retrospective analysis. Does the revised Enzian classification solve the problem of duplicate classification in rASRM and Enzian? Arch. Gynecol. Obstet. 2013, 287, 941–945. [Google Scholar] [CrossRef] [PubMed]
- Koninckx, P.R.; Ussia, A.; Adamyan, L.; Wattiez, A.; Donnez, J. Deep endometriosis: Definition, diagnosis, and treatment. Fertil. Steril. 2012, 98, 564–571. [Google Scholar] [CrossRef]
- Cagnacci, A.; Grandi, G.; Cannoletta, M.; Xholli, A.; Piacenti, I.; Volpe, A. Intensity of menstrual pain and estimated angle of uterine flexion. Acta Obstet. Gynecol. Scand. 2014, 93, 58–63. [Google Scholar] [CrossRef]
- Kataoka, M.L.; Togashi, K.; Yamaoka, T.; Koyama, T.; Ueda, H.; Kobayashi, H.; Rahman, M.; Higuchi, T.; Fujii, S. Posterior cul-de-sac obliteration associated with endometriosis: MR imaging evaluation. Radiology 2005, 234, 815–823. [Google Scholar] [CrossRef]
- Lima, R.; Abdalla-Ribeiro, H.; Nicola, A.L.; Eras, A.; Lobao, A.; Ribeiro, P.A. Endometriosis on the uterosacral ligament: A marker of ureteral involvement. Fertil. Steril. 2017, 107, 1348–1354. [Google Scholar] [CrossRef]
- Koninckx, P.R.; Martin, D.C. Deep endometriosis: A consequence of infiltration or retraction or possibly adenomyosis externa? Fertil. Steril. 1992, 58, 924–928. [Google Scholar] [CrossRef]
- Hudelist, G.; Oberwinkler, K.H.; Singer, C.F.; Tuttlies, F.; Rauter, G.; Ritter, O.; Keckstein, J. Combination of transvaginal sonography and clinical examination for preoperative diagnosis of pelvic endometriosis. Hum. Reprod. 2009, 24, 1018–1024. [Google Scholar] [CrossRef]
- Hudelist, G.; Ballard, K.; English, J.; Wright, J.; Banerjee, S.; Mastoroudes, H.; Thomas, A.; Singer, C.F.; Keckstein, J. Transvaginal sonography vs. clinical examination in the preoperative diagnosis of deep infiltrating endometriosis. Ultrasound Obstet. Gynecol. Off. J. Int. Soc. Ultrasound Obstet. Gynecol. 2011, 37, 480–487. [Google Scholar] [CrossRef]
- Guerriero, S.; Ajossa, S.; Pagliuca, M.; Borzacchelli, A.; Deiala, F.; Springer, S.; Pilloni, M.; Taccori, V.; Pascual, M.A.; Graupera, B.; et al. Advances in Imaging for Assessing Pelvic Endometriosis. Diagnostics 2022, 12, 2960. [Google Scholar] [CrossRef] [PubMed]
- Noventa, M.; Saccardi, C.; Litta, P.; Vitagliano, A.; D’Antona, D.; Abdulrahim, B.; Duncan, A.; Alexander-Sefre, F.; Aldrich, C.J.; Quaranta, M.; et al. Ultrasound techniques in the diagnosis of deep pelvic endometriosis: Algorithm based on a systematic review and meta-analysis. Fertil. Steril. 2015, 104, 366–383.e2. [Google Scholar] [CrossRef] [PubMed]
- Hensen, J.H.; Puylaert, J.B. Endometriosis of the posterior cul-de-sac: Clinical presentation and findings at transvaginal ultrasound. Am. J. Roentgenol. 2009, 192, 1618–1624. [Google Scholar] [CrossRef] [PubMed]
- Chiu, L.C.; Leonardi, M.; Lu, C.; Mein, B.; Nadim, B.; Reid, S.; Ludlow, J.; Casikar, I.; Condous, G. Predicting Pouch of Douglas Obliteration Using Ultrasound and Laparoscopic Video Sets: An Interobserver and Diagnostic Accuracy Study. J. Ultrasound Med. 2019, 38, 3155–3161. [Google Scholar] [CrossRef]
- Matsuda, S.; Ichikawa, M.; Kaseki, H.; Watanabe, K.; Ono, S.; Akira, S.; Takeshita, T. Accuracy of transvaginal ultrasonographic diagnosis of retroflexed uterus in endometriosis, with magnetic resonance imaging as reference. J. Nippon Med. Sch. 2022, 90, 26–32. [Google Scholar] [CrossRef]
- Ferrero, S.; Anserini, P.; Abbamonte, L.H.; Ragni, N.; Camerini, G.; Remorgida, V. Fertility after bowel resection for endometriosis. Fertil. Steril. 2009, 92, 41–46. [Google Scholar] [CrossRef]
- Darai, E.; Lesieur, B.; Dubernard, G.; Rouzier, R.; Bazot, M.; Ballester, M. Fertility after colorectal resection for endometriosis: Results of a prospective study comparing laparoscopy with open surgery. Fertil. Steril. 2011, 95, 1903–1908. [Google Scholar] [CrossRef]
- Gray, L.A. The surgical treatment of endometriosis. J. Okla State Med. Assoc. 1949, 42, 192–196. [Google Scholar] [CrossRef]
- Swarm, R.A.; Paice, J.A.; Anghelescu, D.L.; Are, M.; Bruce, J.Y.; Buga, S.; Chwistek, M.; Cleeland, C.; Craig, D.; Gafford, E.; et al. Adult Cancer Pain, Version 3.2019, NCCN Clinical Practice Guidelines in Oncology. J. Natl. Compr. Cancer Netw. 2019, 17, 977–1007. [Google Scholar] [CrossRef]
- Wellings, K.; Palmer, M.J.; Machiyama, K.; Slaymaker, E. Changes in, and factors associated with, frequency of sex in Britain: Evidence from three National Surveys of Sexual Attitudes and Lifestyles (Natsal). BMJ 2019, 365, l1525. [Google Scholar] [CrossRef]
- Japan Sex Survey. 2020. Available online: https://www.jfpa.or.jp/sexsurvey2020/ (accessed on 24 February 2020).



| Pain Score | ||||||||
|---|---|---|---|---|---|---|---|---|
| Max | A | rO | Cx | lO | rU | D | lU | |
| Preoperative Mean pain score (n = 131) | 5.93 | 2.07 | 1.92 | 4.52 | 2.18 | 3.63 | 4.04 | 3.75 |
| Postoperative Mean pain score (n = 131) | 3.08 | 1.40 | 1.53 | 2.02 | 1.28 | 1.75 | 1.88 | 1.75 |
| p value | 7.70 × 10−20 | 0.0028 | 0.13 | 1.78 × 10−16 | 0.0004 | 2.59 × 10−10 | 3.27 × 10−12 | 3.45 × 10−11 |
| Pain Score | ||||||||
|---|---|---|---|---|---|---|---|---|
| Max | A | rO | Cx | lO | rU | D | lU | |
| Dysmenorrhoea (n = 119) | 0.329 * | 0.237 | 0.272 | 0.215 | 0.145 | 0.267 | 0.206 | 0.307 |
| Dyspareunia (n = 110) | 0.453 | 0.234 | 0.183 | 0.375 | 0.095 | 0.350 | 0.379 | 0.190 |
| Dyschezia (n = 119) | 0.253 | 0.141 | 0.216 | 0.050 | −0.027 | 0.219 | 0.148 | 0.221 |
| Chronic pelvic pain (n = 119) | 0.239 | 0.076 | 0.216 | 0.222 | 0.025 | 0.118 | 0.150 | 0.192 |
| Pain Score | |||||||||
|---|---|---|---|---|---|---|---|---|---|
| Max | A | rO | Cx | lO | rU | D | lU | ||
| POD | Normal (n = 37) | 5.24 | 1.86 | 2.03 | 4.19 | 2.11 | 2.81 | 2.97 | 3.41 |
| Complete or Partial obliteration of POD (n = 94) | 6.20 | 2.15 | 1.87 | 4.65 | 2.21 | 3.95 | 4.46 | 3.88 | |
| p value | 0.06 | 0.47 | 0.72 | 0.38 | 0.81 | 0.03 | 0.006 | 0.37 | |
| Uterus | Retroflexion *: <180 (n = 64) | 6.30 | 2.14 | 1.98 | 4.52 | 2.23 | 4.00 | 4.88 | 3.97 |
| Anteflexion: ≥180 (n = 67) | 5.58 | 2.00 | 1.85 | 4.52 | 2.13 | 3.27 | 3.24 | 3.54 | |
| P value | 0.12 | 0.69 | 0.73 | 0.99 | 0.80 | 0.12 | 0.0007 | 0.36 | |
| DE ** + (n = 60) | 7.07 | 2.28 | 2.08 | 5.32 | 2.35 | 4.62 | 4.85 | 4.40 | |
| DE − (n = 71) | 4.97 | 1.89 | 1.77 | 3.85 | 2.04 | 2.79 | 3.35 | 3.20 | |
| p-value | 1.71 × 10−6 | 0.27 | 0.43 | 0.00 | 0.44 | 7.28 × 10−5 | 0.002 | 0.011 | |
| Adenomyosis *** + (n = 25) | 6.40 | 1.96 | 1.88 | 5.04 | 2.12 | 4.12 | 4.24 | 4.52 | |
| Adenomyosis − (n = 106) | 5.82 | 2.09 | 1.92 | 4.40 | 2.20 | 3.51 | 3.99 | 3.57 | |
| p-value | 0.32 | 0.77 | 0.93 | 0.29 | 0.88 | 0.31 | 0.69 | 0.11 | |
| Pain Score | ||||||||
|---|---|---|---|---|---|---|---|---|
| Max | A | rO | Cx | lO | rU | D | lU | |
| 1. Preoperative Mean pain score in cases with normal POD * (n = 37) | 5.24 | 1.86 | 2.03 | 4.19 | 2.11 | 2.81 | 2.97 | 3.41 |
| 2. Preoperative Mean pain score in cases with obliterated POD ** (n = 85) | 6.52 | 2.20 | 1.94 | 4.91 | 2.25 | 4.13 | 4.72 | 4.06 |
| p value | 0.0098 | 0.40 | 0.85 | 0.18 | 0.76 | 0.01 | 0.001 | 0.23 |
| 1′. Postoperative Mean pain score in cases with normal POD *** (n = 37) | 3.30 | 1.51 | 1.59 | 2.46 | 1.35 | 1.89 | 1.76 | 2.11 |
| 2′. Postoperative Mean pain score in cases with obliterated POD *** (n = 85) | 3.02 | 1.31 | 1.52 | 1.82 | 1.22 | 1.67 | 1.91 | 1.52 |
| p value | 0.49 | 0.5 | 0.86 | 0.08 | 0.71 | 0.55 | 0.69 | 0.11 |
| 1 vs. 1’ (n = 37) † p-value | 0.0007 | 0.36 | 0.41 | 0.001 | 0.09 | 0.10 | 0.03 | 0.02 |
| 2 vs. 2’ (n = 85) † p-value | 9.66 × 10−20 | 0.002 | 0.18 | 2.72 × 10−15 | 0.002 | 4.83 × 10−11 | 6.03 × 10−13 | 2.43 × 10−11 |
| Pain Score | ||||||||
|---|---|---|---|---|---|---|---|---|
| Max | Cx | rU | D | lU | Healthy USLs | Affected USLs | p value | |
| 1. Preoperative Mean pain score in cases without USL resections (n = 25) | 3.92 | 3.08 | 2.12 | 2.24 | 2.28 | - | - | 0.76 * |
| 2. Preoperative Mean pain score in cases with right USL resections alone (n = 11) | 5.55 | 4.36 | 4.82 | 4.09 | 3.00 | - | - | 0.18 * |
| 3. Preoperative Mean pain score in cases with left USL resections alone (n = 20) | 5.75 | 4.30 | 2.50 | 3.95 | 4.00 | - | - | 0.06* |
| 4. Preoperative Mean pain score in cases with bilateral USL resections (n = 70) | 6.94 | 5.27 | 4.40 | 4.83 | 4.43 | - | - | 0.95 * |
| Preoperative Mean Pain Score for Individual USLs w/o or w/Lesions (n = 81 vs. 171) ** | - | - | - | - | - | 2.38 | 4.39 | 1.41 × 10−8 |
| 1′. Postoperative Mean pain score in cases without USL resections (n = 25) | 2.72 | 2.04 | 1.52 | 1.52 | 1.96 | - | - | 0.34 * |
| 2′. Postoperative Mean pain score in cases with right USL resections alone (n = 11) | 3.18 | 2.18 | 1.55 | 2.00 | 1.55 | - | - | 1.00 * |
| 3′. Postoperative Mean pain score in cases with left USL resections alone (n = 20) | 2.90 | 2.20 | 1.75 | 1.65 | 1.60 | - | - | 0.81 * |
| 4′. Postoperative Mean pain score in cases with bilateral USL resections (n = 70) | 3.24 | 1.93 | 1.81 | 2.03 | 1.66 | - | - | 0.60 * |
| Postoperative Mean Pain Score for Individual USLs w/o or w/Lesions (n = 81 vs. 171) ** | - | - | - | - | - | 1.72 | 1.71 | 0.97 |
Disclaimer/Publisher’s Note: The statements, opinions and data contained in all publications are solely those of the individual author(s) and contributor(s) and not of MDPI and/or the editor(s). MDPI and/or the editor(s) disclaim responsibility for any injury to people or property resulting from any ideas, methods, instructions or products referred to in the content. |
© 2023 by the authors. Licensee MDPI, Basel, Switzerland. This article is an open access article distributed under the terms and conditions of the Creative Commons Attribution (CC BY) license (https://creativecommons.org/licenses/by/4.0/).
Share and Cite
Ichikawa, M.; Shiraishi, T.; Okuda, N.; Nakao, K.; Shirai, Y.; Kaseki, H.; Akira, S.; Toyoshima, M.; Kuwabara, Y.; Suzuki, S. Clinical Significance of a Pain Scoring System for Deep Endometriosis by Pelvic Examination: Pain Score. Diagnostics 2023, 13, 1774. https://doi.org/10.3390/diagnostics13101774
Ichikawa M, Shiraishi T, Okuda N, Nakao K, Shirai Y, Kaseki H, Akira S, Toyoshima M, Kuwabara Y, Suzuki S. Clinical Significance of a Pain Scoring System for Deep Endometriosis by Pelvic Examination: Pain Score. Diagnostics. 2023; 13(10):1774. https://doi.org/10.3390/diagnostics13101774
Chicago/Turabian StyleIchikawa, Masao, Tatunori Shiraishi, Naofumi Okuda, Kimihiko Nakao, Yuka Shirai, Hanako Kaseki, Shigeo Akira, Masafumi Toyoshima, Yoshimitu Kuwabara, and Shunji Suzuki. 2023. "Clinical Significance of a Pain Scoring System for Deep Endometriosis by Pelvic Examination: Pain Score" Diagnostics 13, no. 10: 1774. https://doi.org/10.3390/diagnostics13101774
APA StyleIchikawa, M., Shiraishi, T., Okuda, N., Nakao, K., Shirai, Y., Kaseki, H., Akira, S., Toyoshima, M., Kuwabara, Y., & Suzuki, S. (2023). Clinical Significance of a Pain Scoring System for Deep Endometriosis by Pelvic Examination: Pain Score. Diagnostics, 13(10), 1774. https://doi.org/10.3390/diagnostics13101774

