Sign in to use this feature.

Years

Between: -

Subjects

remove_circle_outline
remove_circle_outline
remove_circle_outline

Journals

Article Types

Countries / Regions

Search Results (3)

Search Parameters:
Keywords = retroflexed uterus

Order results
Result details
Results per page
Select all
Export citation of selected articles as:
11 pages, 1184 KB  
Article
Clinical Significance of a Pain Scoring System for Deep Endometriosis by Pelvic Examination: Pain Score
by Masao Ichikawa, Tatunori Shiraishi, Naofumi Okuda, Kimihiko Nakao, Yuka Shirai, Hanako Kaseki, Shigeo Akira, Masafumi Toyoshima, Yoshimitu Kuwabara and Shunji Suzuki
Diagnostics 2023, 13(10), 1774; https://doi.org/10.3390/diagnostics13101774 - 17 May 2023
Cited by 4 | Viewed by 4078
Abstract
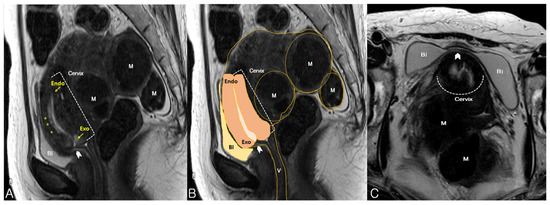
Endometriosis-associated pain is an essential factor in deciding surgical indications of endometriosis. However, there is no quantitative method to diagnose the intensity of local pain in endometriosis (especially deep endometriosis). This study aims to examine the clinical significance of the pain score, a [...] Read more.
Endometriosis-associated pain is an essential factor in deciding surgical indications of endometriosis. However, there is no quantitative method to diagnose the intensity of local pain in endometriosis (especially deep endometriosis). This study aims to examine the clinical significance of the pain score, a preoperative diagnostic scoring system for endometriotic pain that can be performed only with pelvic examination, devised for the above purpose. The data from 131 patients from a previous study were included and evaluated using the pain score. This score measures the pain intensity in each of the seven areas of the uterus and its surroundings via a pelvic examination using a numeric rating scale (NRS) which contains 10 points. The maximum value was then defined as the max pain score. This study investigated the relationship between the pain score and clinical symptoms of endometriosis or endometriotic lesions related to deep endometriosis. The preoperative max pain score was 5.93 ± 2.6, which significantly decreased to 3.08 ± 2.0 postoperatively (p = 7.70 × 10−20). Regarding preoperative pain scores for each area, those of the uterine cervix, pouch of Douglas, and left and right uterosacral ligament areas were high (4.52, 4.04, 3.75, and 3.63, respectively). All scores decreased significantly after surgery (2.02, 1.88, 1.75, and 1.75, respectively). The correlations between the max pain score and dysmenorrhea, dyspareunia, perimenstrual dyschezia (pain with defecation), and chronic pelvic pain were 0.329, 0.453, 0.253, and 0.239, respectively, and were strongest with dyspareunia. Regarding the pain score of each area, the combination of the pain score of the pouch of Douglas area and the VAS score of dyspareunia showed the strongest correlation (0.379). The max pain score in the group with deep endometriosis (endometrial nodules) was 7.07 ± 2.4, which was significantly higher than the 4.97 ± 2.3 score obtained in the group without (p = 1.71 × 10−6). The pain score can indicate the intensity of endometriotic pain, especially dyspareunia. A local high value of this score could suggest the presence of deep endometriosis, depicted as endometriotic nodules at that site. Therefore, this method could help develop surgical strategies for deep endometriosis. Full article
(This article belongs to the Special Issue Advances in Diagnosis and Management of Endometriosis)
Show Figures

Figure 1

6 pages, 1123 KB  
Article
Incarcerated Gravid Uterus: Spontaneous Resolution Is Not Rare
by Daisuke Tachibana, Takuya Misugi, Kohei Kitada, Yasushi Kurihara, Mie Tahara, Akihiro Hamuro, Akemi Nakano, Akira Yamamoto and Masayasu Koyama
Diagnostics 2021, 11(9), 1544; https://doi.org/10.3390/diagnostics11091544 - 25 Aug 2021
Cited by 15 | Viewed by 7204
Abstract
Aim: Incarcerated gravid uterus is a rare obstetrical complication that leads to adverse outcomes, especially if the uterus remains incarcerated and the condition goes undiagnosed until delivery. However, there is no consensus regarding the optimal management of this complication because of its rarity. [...] Read more.
Aim: Incarcerated gravid uterus is a rare obstetrical complication that leads to adverse outcomes, especially if the uterus remains incarcerated and the condition goes undiagnosed until delivery. However, there is no consensus regarding the optimal management of this complication because of its rarity. In this study, we aimed to elucidate the incidence of incarcerated gravid uterus, as well as its natural courses and perinatal outcomes. Methods: We retrospectively reviewed medical records of patients who had incarcerated gravid uterus and managed at Osaka City University Hospital between April 2011 and March 2021. Incarcerated gravid uterus was defined as a retroverted or retroflexed uterus after 16 weeks of gestation. Results: There were 14 incarcerated cases among 6958 pregnant women, and 13 of them had some kind of gynecological complication and/or history. Spontaneous resolution of incarcerated gravid uterus after 16 gestational weeks was observed in six cases before the late second trimester and five cases at the late second trimester to early third trimester. Three cases remained incarcerated at term or near-term. One case with adenomyosis had severe abdominal pain, although it was difficult to ascertain whether the cause of pain was triggered by adenomyosis and/or incarceration. One case was misdiagnosed as placenta previa, and the uterine cervix was subsequently injured during cesarean delivery, resulting in massive hemorrhaging. Conclusions: Approximately 1 in 2300 pregnancies continued to be in an incarcerated condition at term or near-term, and 78.5% of cases showed a spontaneous resolution after 16 weeks of gestation. Expectant management with careful attention to the incarcerated gravid uterus may be one option in situations where there are no severe symptoms related to the incarceration itself. Full article
(This article belongs to the Section Medical Imaging and Theranostics)
Show Figures

Figure 1

6 pages, 1453 KB  
Case Report
A 30-Month Complete Urinary Obstruction Resulting from Trapped and Incarcerated Uterus: A Case Report
by Gina Nam, Sa Ra Lee, Sung Hoon Kim and Hee Dong Chae
Medicina 2021, 57(3), 207; https://doi.org/10.3390/medicina57030207 - 26 Feb 2021
Cited by 4 | Viewed by 3362
Abstract
Uterine incarceration is rare, but it can cause serious complications, in which the uterus is trapped in the pelvic cavity behind the sacral promontory. Fibroid uterus can cause urinary frequency and retention, which can result from compression of the urinary bladder with an [...] Read more.
Uterine incarceration is rare, but it can cause serious complications, in which the uterus is trapped in the pelvic cavity behind the sacral promontory. Fibroid uterus can cause urinary frequency and retention, which can result from compression of the urinary bladder with an enlarged fibroid uterus and the compression of the bladder neck or urethra, respectively. To our knowledge, there is no report on prolonged complete urinary obstruction because of an incarcerated uterus in nonpregnant women to date. A 51-year-old woman was referred for uterine myomas. She could not void for 30 months after she received an intradetrusor injection of botulinum toxin for urinary frequency management at the urology department of another hospital. She underwent clean intermittent catheterization for 30 months. She was referred to the gynecologic department for the evaluation of uterine myoma found on using abdominopelvic computed tomography. On physical examination, the uterine cervix was extremely displaced in the upward direction and was not exposed on speculum examination. Sonography and magnetic resonance imaging revealed that the urethra and the bladder neck were compressed by an extremely retroflexed fibroid uterus. Manual reduction of the incarcerated uterus failed; hence, we performed robot-assisted laparoscopic total hysterectomy with left salpingo-oophorectomy. She immediately urinated immediately after the operation and had normal urination at 1- and 48-month follow-up visits. Uterine incarceration by a fibroid uterus can cause complete urinary obstruction, as in this case. Uterine incarceration should be considered in women with urinary frequency or retention to avoid prolonged, serious complications. Full article
(This article belongs to the Section Obstetrics and Gynecology)
Show Figures

Figure 1

Back to TopTop