Claudin-10 Expression Is Increased in Endometriosis and Adenomyosis and Mislocalized in Ectopic Endometriosis
Abstract
1. Introduction
2. Materials and Methods
2.1. Patients
2.2. Immunohistochemical Analysis and Quantification
2.3. Statistics
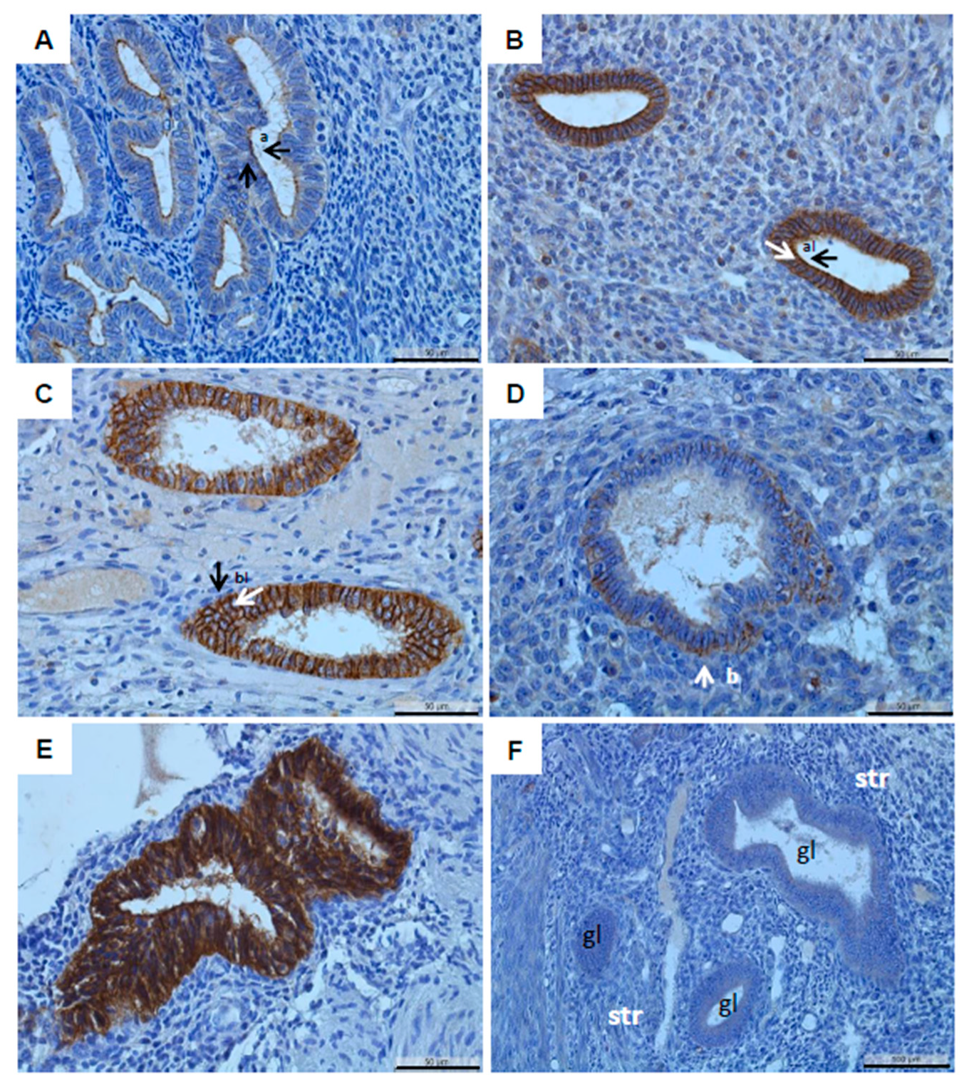
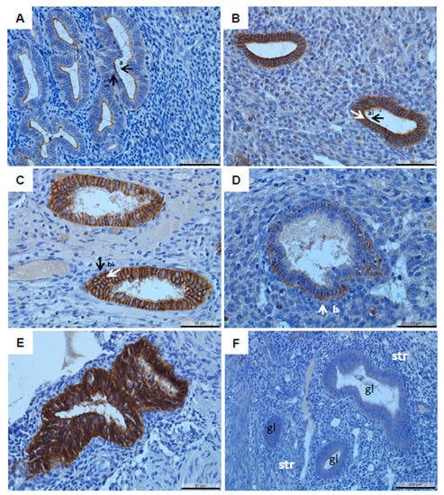
3. Results
4. Discussion
5. Conclusions
Author Contributions
Funding
Institutional Review Board Statement
Informed Consent Statement
Data Availability Statement
Acknowledgments
Conflicts of Interest
References
- Guo, S.W.; Groothuis, P.G. Is it time for a paradigm shift in drug research and development in endometriosis/adenomyosis? Hum. Reprod. Update 2018, 24, 577–598. [Google Scholar] [CrossRef] [PubMed]
- Bulun, S.E.; Yilmaz, B.D.; Sison, C.; Miyazaki, K.; Bernardi, L.; Liu, S.; Kohlmeier, A.; Yin, P.; Milad, M.; Wei, J.J. Endometriosis. Endocr. Rev. 2019, 40, 1048–1079. [Google Scholar] [CrossRef] [PubMed]
- Sampson, J.A. Peritoneal endometriosis due to menstrual dissemination of endometrial tissue into the peritoneal cavity. Am. J. Obstet. Gynecol. 1927, 14, 422–469. [Google Scholar] [CrossRef]
- Blumenkrantz, M.J.; Gallagher, N.; Bashore, R.A.; Tenckhoff, H. Retrograde menstruation in women undergoing chronic peritoneal dialysis. Obstet. Gynecol. 1981, 57, 667–670. [Google Scholar]
- Halme, J.; Hammond, M.G.; Hulka, J.F.; Raj, S.G.; Talbert, L.M. Retrograde menstruation in healthy women and in patients with endometriosis. Obstet. Gynecol. 1984, 64, 151–154. [Google Scholar] [PubMed]
- Liu, D.T.; Hitchcock, A. Endometriosis: Its association with retrograde menstruation, dysmenorrhea and tubal pathology. BJOG Br. J. Obstet. Gynaecol. 1986, 93, 859–862. [Google Scholar] [CrossRef]
- Ghiasi, M.; Kulkarni, M.T.; Missmer, S.A. Is endometriosis more common and more severe than it was 30 years ago? J. Minim. Invasive Gynecol. 2020, 27, 452–461. [Google Scholar] [CrossRef]
- Nisolle, M.; Donnez, J. Peritoneal endometriosis, ovarian endometriosis, and adenomyotic nodules of the rectovaginal septum are three different entities. Fertil. Steril. 1997, 68, 585–595. [Google Scholar] [CrossRef]
- Clement, P.B. The pathology of endometriosis: A survey of the many faces of a common disease emphasizing diagnostic pitfalls and unusual and newly appreciated aspects. Adv. Anat. Pathol. 2007, 14, 241–260. [Google Scholar] [CrossRef]
- Bilyk, O.; Coatham, M.; Jewer, M.; Postovit, L.M. Epithelial-to-mesenchymal transition in the female reproductive tract: From normal functioning to disease pathology. Front. Oncol. 2017, 7, 145. [Google Scholar] [CrossRef]
- Yang, Y.M.; Yang, W.X. Epithelial-to-mesenchymal transition in the development of endometriosis. Oncotarget 2017, 8, 41679–41689. [Google Scholar] [CrossRef] [PubMed]
- García-Solares, J.; Donnez, J.; Donnez, O.; Dolmans, M.M. Pathogenesis of uterine adenomyosis: Invagination or metaplasia? Fertil. Steril. 2018, 109, 371–379. [Google Scholar] [CrossRef] [PubMed]
- Horné, F.; Dietze, R.; Berkes, E.; Oehmke, F.; Tinneberg, H.R.; Meinhold-Heerlein, I.; Konrad, L. Impaired localization of claudin-11 in endometriotic epithelial cells compared to endometrial cells. Reprod. Sci. 2019, 26, 1181–1192. [Google Scholar] [CrossRef] [PubMed]
- Hoerscher, A.; Horné, F.; Dietze, R.; Berkes, E.; Oehmke, F.; Tinneberg, H.R.; Meinhold-Heerlein, I.; Konrad, L. Localization of claudin-2 and claudin-3 in eutopic and ectopic endometrium is highly similar. Arch. Gynecol. Obstet. 2020, 301, 1003–1011. [Google Scholar] [CrossRef] [PubMed]
- Konrad, L.; Dietze, R.; Riaz, M.A.; Scheiner-Bobis, G.; Behnke, J.; Horné, F.; Hoerscher, A.; Reising, C.; Meinhold-Heerlein, I. Epithelial-Mesenchymal transition in endometriosis—When does it happen? J. Clin. Med. 2020, 9, 1915. [Google Scholar] [CrossRef]
- Günzel, D.; Yu, A.S. Claudins and the modulation of tight junction permeability. Physiol. Rev. 2013, 93, 525–569. [Google Scholar] [CrossRef] [PubMed]
- Rosenthal, R.; Günzel, D.; Theune, D.; Czichos, C.; Schulzke, J.D.; Fromm, M. Water channels and barriers formed by claudins. Ann. N. Y. Acad. Sci. 2017, 1397, 100–109. [Google Scholar] [CrossRef]
- Meoli, L.; Günzel, D. Channel functions of claudins in the organization of biological systems. Biochim. Biophys. Acta (BBA)-Biomembr. 2020, 1862, 183344. [Google Scholar] [CrossRef]
- Klar, J.; Piontek, J.; Milatz, S.; Tariq, M.; Jameel, M.; Breiderhoff, T.; Schuster, J.; Fatima, A.; Asif, M.; Sher, M.; et al. Altered paracellular permeability due to a rare CLDN10B variant causes anhidrosis and kidney damage. PLoS Genet. 2017, 13, e1006897. [Google Scholar] [CrossRef]
- Breiderhoff, T.; Himmerkus, N.; Stuiver, M.; Mutig, K.; Will, C.; Meji, I.C.; Bachmann, S.; Bleich, M.; Willnow, T.E.; Müller, D. Deletion of claudin-10 (Cldn10) in the thick ascending limb impairs paracellular sodium permeability and leads to hypermagnesemia and nephrocalcinosis. Proc. Natl. Acad. Sci. USA 2012, 35, 14241–14246. [Google Scholar] [CrossRef]
- Breiderhoff, T.; Himmerkus, N.; Drewell, H.; Plain, A.; Günzel, D.; Mutig, K.; Willnow, T.E.; Müller, D.; Bleich, M. Deletion of claudin-10 rescues claudin-16-deficient mice from hypomagnesemia and hypercalciuria. Kidney Int. 2018, 93, 580–588. [Google Scholar] [CrossRef] [PubMed]
- Milatz, S. A novel claudinopathy based on claudin-10 mutations. Int. J. Mol. Med. 2019, 20, 5396. [Google Scholar] [CrossRef] [PubMed]
- Gaetje, R.; Holtrich, U.; Engels, K. Differential expression of claudins in human endometrium and endometriosis. Gynecol. Endocrinol. 2008, 24, 442–449. [Google Scholar] [CrossRef] [PubMed]
- Pan, X.Y.; Li, X.; Weng, Z.P.; Wang, B. Altered expression of claudin-3 and claudin-4 in ectopic endometrium of women with endometriosis. Fertil. Steril. 2009, 91, 1692–1699. [Google Scholar] [CrossRef]
- Okada, T.; Konno, T.; Kohno, T.; Shimada, H.; Saito, K.; Satohisa, S.; Saito, T.; Kojima, T. Possibility of targeting claudin-2 in therapy for human endometrioid endometrial carcinoma. Reprod. Sci. 2020, 27, 2092–2103. [Google Scholar] [CrossRef]
- Schumann, S.; Buck, V.U.; Classen-Linke, I. Claudin-3, claudin-7, and claudin-10 show different distribution patterns during decidualization and trophoblast invasion in mouse and human. Histochem. Cell Biol. 2015, 144, 571–585. [Google Scholar] [CrossRef]
- Ganieva, U.; Schneiderman, S.; Bu, P.; Beaman, K.; Dambaeva, S. IL-22 regulates endometrial regeneration by enhancing tight junctions and orchestrating extracellular matrix. Front. Immunol. 2022, 13, 955576. [Google Scholar] [CrossRef]
- Haas, D.; Chvatal, R.; Habelsberger, A.; Wurm, P.; Schimetta, W.; Oppelt, P. Comparison of revised American Fertility Society and ENZIAN staging: A critical evaluation of classifications of endometriosis on the basis of our patient population. Fertil. Steril. 2011, 95, 1574–1578. [Google Scholar] [CrossRef]
- Konrad, L.; Gronbach, J.; Horné, F.; Mecha, E.O.; Berkes, E.; Frank, M.; Gattenlöhner, S.; Omwandho, C.O.; Oehmke, F.; Tinneberg, H.R. Similar characteristics of the endometrial and endometriotic epithelium. Reprod. Sci. 2019, 26, 49–59. [Google Scholar] [CrossRef]
- Maier, V.; Höll, M.; Dietze, R.; Mecha, E.O.; Omwandho, C.O.A.; Tinneberg, H.R.; Meinhold-Heerlein, I.; Konrad, L. Adenomyotic glands are highly related to endometrial glands. Reprod. BioMed. Online 2020, 40, 769–778. [Google Scholar] [CrossRef]
- Yamaguchi, M.; Yoshihara, K.; Suda, K.; Nakaoka, H.; Yachida, N.; Ueda, H.; Sugino, K.; Mori, Y.; Yamawaki, K.; Tamura, R.; et al. Three-dimensional understanding of the morphological complexity of the human uterine endometrium. iScience 2021, 24, 102258. [Google Scholar] [CrossRef] [PubMed]
- Benagiano, G.; Brosens, I.; Habiba, M. Structural and molecular features of the endomyometrium in endometriosis and adenomyosis. Hum. Reprod. Update 2014, 20, 386–402. [Google Scholar] [CrossRef] [PubMed]
- Koninckx, P.R.; Kennedy, S.H.; Barlow, D.H. Endometriotic disease: The role of the peritoneal fluid. Hum. Reprod. Update 1998, 4, 741–751. [Google Scholar] [CrossRef] [PubMed]
- Koninckx, P.; Barlow, D.; Kennedy, S. Implantation versus infiltration: The Sampson versus the endometriotic disease theory. Gynecol. Obstet. Investig. 1999, 47, 3–10. [Google Scholar] [CrossRef]
- Huang, G.W.; Ding, X.; Chen, S.L.; Zeng, L. Expression of claudin 10 protein in hepatocellular carcinoma: Impact on survival. J. Cancer Res. Clin. Oncol. 2011, 137, 1213–1218. [Google Scholar] [CrossRef]
- Bongers, E.M.H.F.; Shelton, L.M.; Milatz, S.; Verkaart, S.; Bech, A.P.; Schoots, J.; Cornelissen, E.A.M.; Bleich, M.; Hoenderop, J.G.J.; Wetzels, J.F.M.; et al. A novel hypokalemic-alkalotic salt-losing tubulopathy in patients with cldn10 mutations. J. Am. Soc. Nephrol. 2017, 28, 3118–3128. [Google Scholar] [CrossRef]
- Zhou, Y.; Xiang, J.; Bhandari, A.; Guan, Y.; Xia, E.; Zhou, X.; Wang, Y.; Wang, O. CLDN10 is associated with papillary thyroid cancer progression. J. Cancer 2018, 9, 4712–4717. [Google Scholar] [CrossRef]
- Németh, Z.; Szász, A.M.; Tátrai, P.; Németh, J.; Gyorffy, H.; Somorácz, A.; Szíjártó, A.; Kupcsulik, P.; Kiss, A.; Schaff, Z. Claudin-1, -2, -3, -4, -7, -8, and -10 protein expression in biliary tract cancers. J. Histochem. Cytochem. 2009, 57, 113–121. [Google Scholar] [CrossRef]
- Ip, Y.C.; Cheung, S.T.; Lee, Y.T.; Ho, J.C.; Fan, S.T. Inhibition of hepatocellular carcinoma invasion by suppression of claudin-10 in HLE cells. Mol. Cancer Ther. 2007, 6, 2858–2867. [Google Scholar] [CrossRef]
- Tiwari, M.; Prasad, S.; Shrivastav, T.G.; Chaube, S.K. Calcium signaling during meiotic cell cycle regulation and apoptosis in mammalian oocytes. J. Cell. Physiol. 2017, 232, 976–981. [Google Scholar] [CrossRef]
- Ferrer-Buitrago, M.; Bonte, D.; De Sutter, P.; Leybaert, L.; Heindryckx, B. Single Ca2+ transients vs oscillatory Ca2+ signaling for assisted oocyte activation: Limitations and benefits. Reproduction 2017, 155, R105–R119. [Google Scholar] [CrossRef] [PubMed]




| Tissues | EM (ctrl) | EM-EN | EN-AM | AM | Ov-EM | Pe-EM | DIE |
|---|---|---|---|---|---|---|---|
| All samples (n) | 23 | 24 | 17 | 21 | 27 (28) | 18 | 21 |
| Mean age | 42 ± 8.0 | 37 ± 7.5 | 41 ± 4.4 | 44 ± 4.8 | 33 ± 6.7 | 35 ± 4.5 | 36 ± 6.8 |
| Proliferative (n) | 12 | 9 | 8 | 9 | |||
| Mean age | 43 ± 9.6 | 32 ± 5.5 | 44 ± 3.9 | 43 ± 5.5 | |||
| Secretory (n) | 11 | 15 | 9 | 12 | |||
| Median age | 41 ± 6.1 | 39 ± 7.4 | 39 ± 3.5 | 44 ± 4.5 | |||
| Leiomyoma | 16 | 9 | 8 | 11 | |||
| Bladder | 3 | ||||||
| Uterosacral lig. | 4 | ||||||
| Ovarian fossa | 9 | ||||||
| Pouch of Douglas | 1 | ||||||
| Round lig. of uterus | 5 | ||||||
| Peritoneum | 1 | ||||||
| Rectum | 2 | 5 | |||||
| Pararectal fossa | 2 | ||||||
| Rectosigmoid | 2 | ||||||
| Paraurethral | 1 | ||||||
| Sigmoid colon | 2 | ||||||
| Colon | 2 |
| EM without EN | EM with EN | |||
|---|---|---|---|---|
| P | S | P | S | |
| N (median age) | 12 (43) | 11 (41) | 9 (32) | 15 (39) |
| HScore | ||||
| Mean | 103 | 106 | 108 | 95 |
| SEM | 5.5 | 11.3 | 14.6 | 5.0 |
| p-values | n.s. | n.s. | n.s. | n.s. |
| % Positive glands | ||||
| Mean | 98 | 97 | 97 | 98 |
| SEM | 1.2 | 1.7 | 2.5 | 1.3 |
| p-values | n.s. | n.s. | n.s. | n.s. |
| EM (ctrl) EM-EN | EM-EN-AM | EM-AM | ||||
|---|---|---|---|---|---|---|
| (a) | (b) | EM (c) | AM (d) | EM (e) | AM (f) | |
| N | 23 | 24 | 12 | 17 | 14 | 21 |
| Age | 42 ± 8.0 | 37 ± 7.5 | 41 ± 4.4 | 41 ± 4.4 | 43 ± 5.0 | 44 ± 4.8 |
| HScore | ||||||
| Mean | 104 | 100b | 107 | 136d | 97 | 108 |
| SEM | 6.0 | 6.2 | 9.0 | 11.0 | 5.2 | 4.8 |
| p-value | n.s. | 0.05 b,d | n.s | 0. 05 b,d | n.s. | n.s. |
| % Positive glands | ||||||
| Mean | 98 | 98 | 90 | 97 | 95 | 96 |
| SEM | 1.0 | 1.2 | 3.0 | 1.7 | 2.4 | 2.2 |
| p-value | n.s. | 0.05 b,c | 0.05 b,c | 0.05 c,d | 0.05 c,e | n.s. |
| 0.05 c,d | ||||||
| 0.05 c,e | ||||||
| EM-EN | EM (ctrl) | EM-EN-AM | Ov-EN | Pe-EN | DIE | |
|---|---|---|---|---|---|---|
| (a) | (b) | (c) | (d) | (e) | (f) | |
| N | 23 | 24 | 12 | 27 (28) | 18 | 21 |
| Age | 42 ± 8.0 | 37 ± 7.5 | 41 ± 4.4 | 33 ± 6.7 | 35 ± 4.5 | 36 ± 6.8 |
| HScore | ||||||
| Mean | 104 | 100 | 107 | 170 | 136 | 130 |
| SEM | 6.0 | 6.2 | 9.0 | 8.4 | 13.2 | 8.0 |
| p-value | 0.001 a,d | 0.001 b,d | 0.001 c,d | 0.001 a,d | n.s. | 0.05 b,f |
| 0.05 b,f | 0.001 b,d | |||||
| 0.001 c,d | ||||||
| % Positive glands | ||||||
| Mean | 98 | 98 | 90 | 99 | 98 | 99 |
| SEM | 1.0 | 1.2 | 3.0 | 0.4 | 1.4 | 0.5 |
| p-value | 0.05 a,c | 0.01 b,c | 0.001 c,d | 0.001 c,d | 0.001 c,e | 0.01 c,f |
| 0.001 c,e | ||||||
| 0.01 c,f | ||||||
| 0.05 a,c | ||||||
| 0.01 b,c | ||||||
| EM (ctrl) | EM-EN | AM | Ov-EN | Pe-EN | DIE | |
|---|---|---|---|---|---|---|
| (a) | (b) | (c) | (d) | (e) | (f) | |
| N | 23 | 24 | 38 | 27 (28) | 18 | 21 |
| Age | 42 ± 8.0 | 37 ± 7.5 | 43 ± 8.0 | 33 ± 6.7 | 35 ± 4.5 | 36 ± 6.8 |
| Mean | 4.52 | 4.58 | 4.61 | 2.75 | 3.39 | 3.14 |
| SEM | 0.14 | 0.15 | 0.12 | 0.26 | 0.42 | 0.33 |
| p-value | 0.001 a,d | 0.001 b,d | 0.001 c,d | 0.001 a,d | 0.01 b,f | 0.01 b,f |
| 0.05 a,f | 0.01 b,f | 0.001 c,f | 0.001 b,d | 0.001 c,f | ||
| 0.001 c,d |
Publisher’s Note: MDPI stays neutral with regard to jurisdictional claims in published maps and institutional affiliations. |
© 2022 by the authors. Licensee MDPI, Basel, Switzerland. This article is an open access article distributed under the terms and conditions of the Creative Commons Attribution (CC BY) license (https://creativecommons.org/licenses/by/4.0/).
Share and Cite
Loeffelmann, A.C.; Hoerscher, A.; Riaz, M.A.; Zeppernick, F.; Meinhold-Heerlein, I.; Konrad, L. Claudin-10 Expression Is Increased in Endometriosis and Adenomyosis and Mislocalized in Ectopic Endometriosis. Diagnostics 2022, 12, 2848. https://doi.org/10.3390/diagnostics12112848
Loeffelmann AC, Hoerscher A, Riaz MA, Zeppernick F, Meinhold-Heerlein I, Konrad L. Claudin-10 Expression Is Increased in Endometriosis and Adenomyosis and Mislocalized in Ectopic Endometriosis. Diagnostics. 2022; 12(11):2848. https://doi.org/10.3390/diagnostics12112848
Chicago/Turabian StyleLoeffelmann, Anna C., Alena Hoerscher, Muhammad A. Riaz, Felix Zeppernick, Ivo Meinhold-Heerlein, and Lutz Konrad. 2022. "Claudin-10 Expression Is Increased in Endometriosis and Adenomyosis and Mislocalized in Ectopic Endometriosis" Diagnostics 12, no. 11: 2848. https://doi.org/10.3390/diagnostics12112848
APA StyleLoeffelmann, A. C., Hoerscher, A., Riaz, M. A., Zeppernick, F., Meinhold-Heerlein, I., & Konrad, L. (2022). Claudin-10 Expression Is Increased in Endometriosis and Adenomyosis and Mislocalized in Ectopic Endometriosis. Diagnostics, 12(11), 2848. https://doi.org/10.3390/diagnostics12112848

