Review of Retinal Imaging Modalities for Hydroxychloroquine Retinopathy
Abstract
1. Introduction
2. Standard Retinal Imaging for HCQ Retinopathy
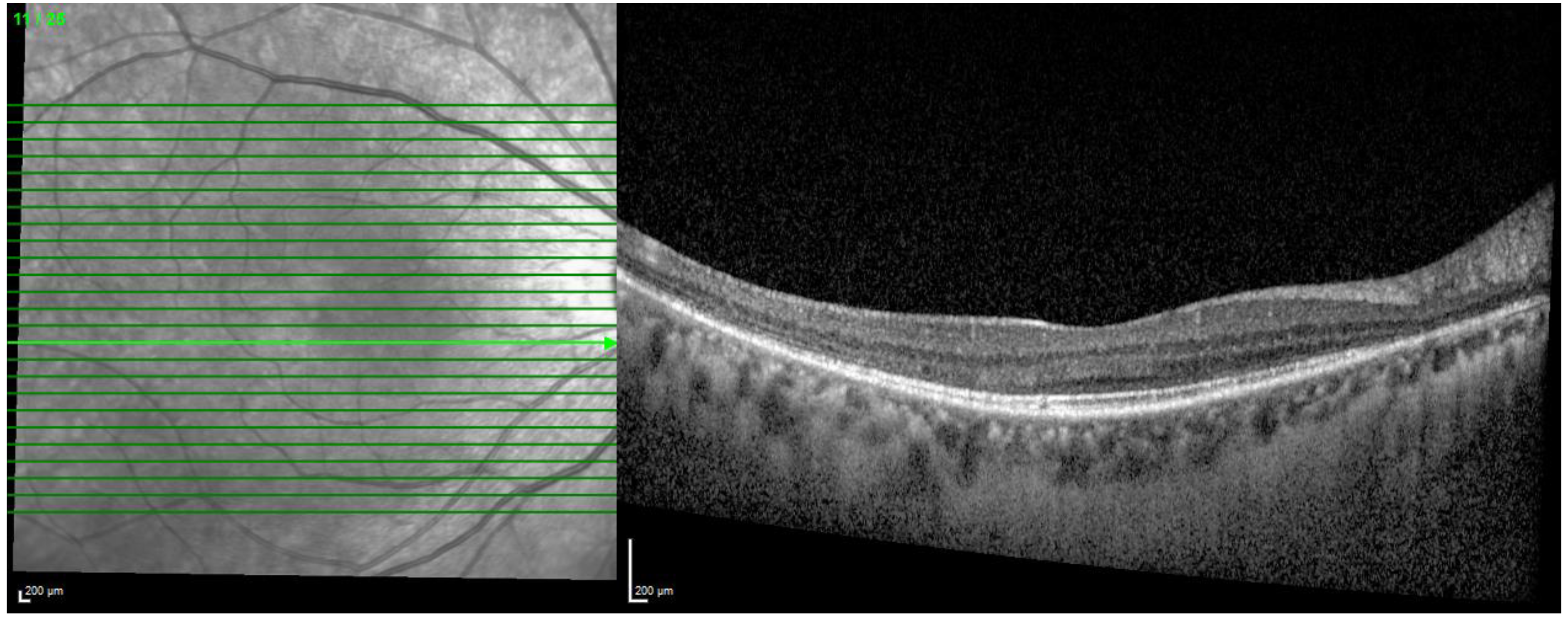
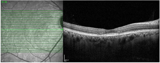
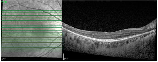
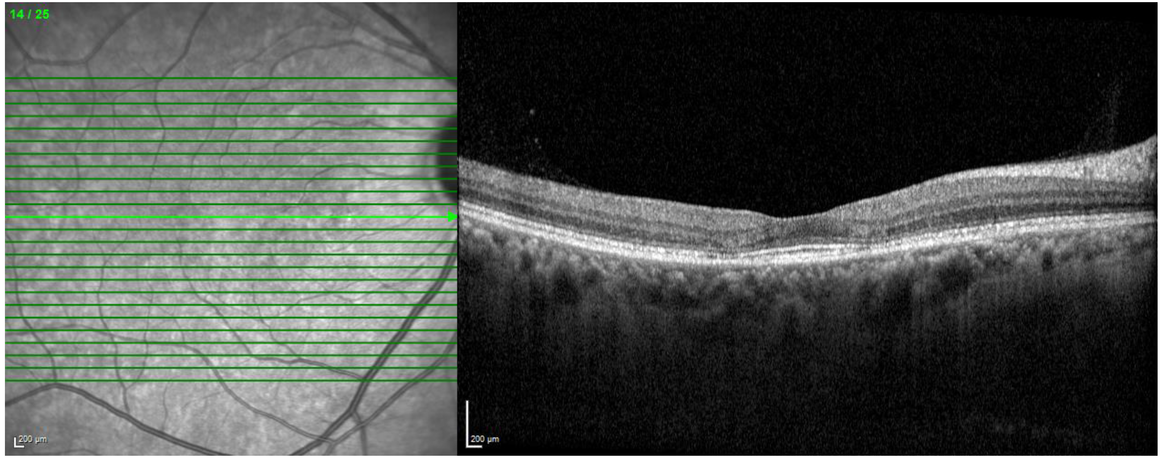
2.1. Optical Coherence Tomography
2.2. Fundus Autofluorescence
2.3. Comparison of OCT and FAF
3. Novel Retinal Imaging for HCQ Retinopathy
3.1. Novel OCT Analysis
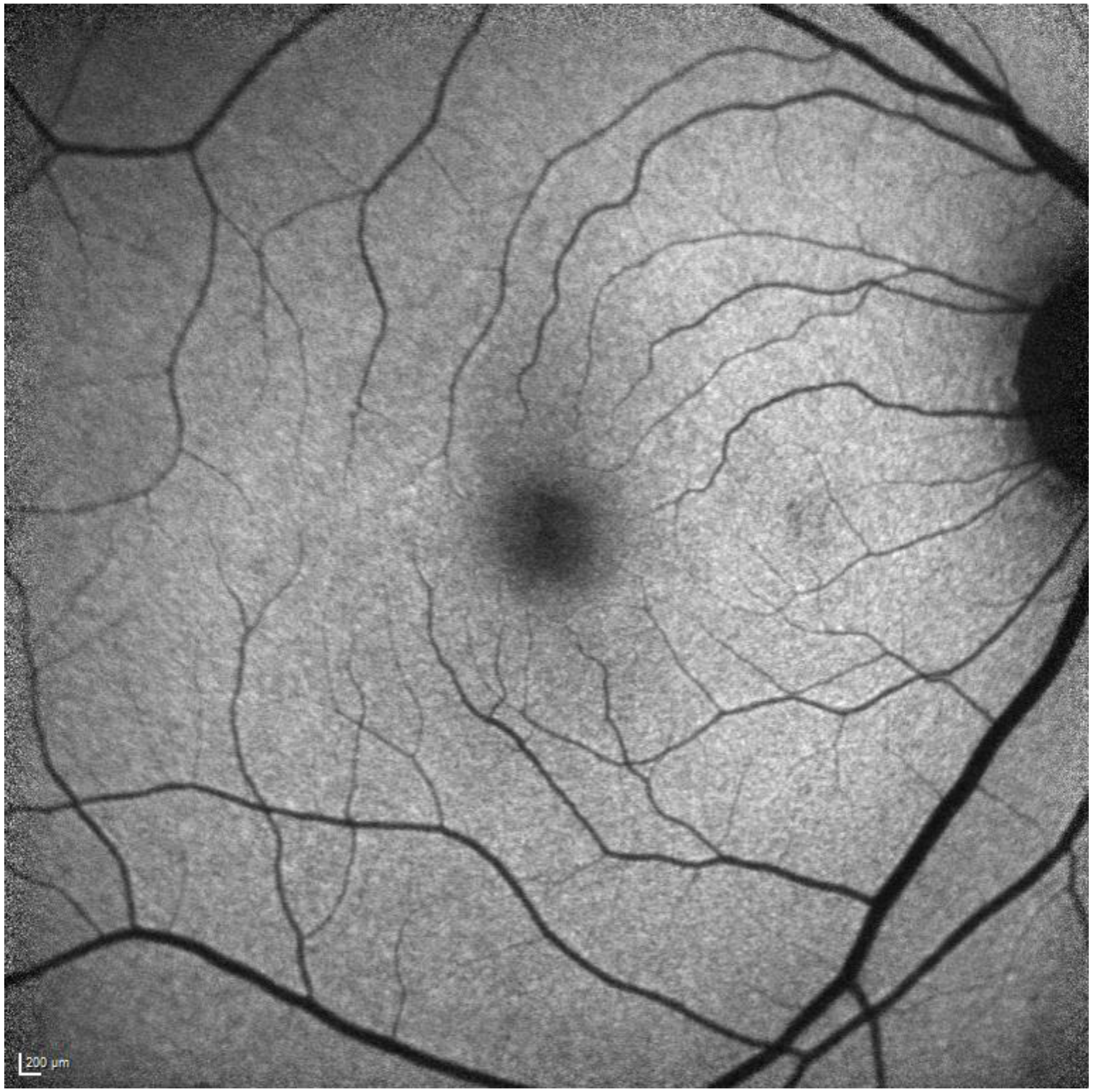
3.1.1. Retinal Changes
Inner RT
Outer RT
Retinal Volume
Longitudinal Changes in RT
3.1.2. Choroidal Changes
CT
CVI
3.1.3. Widefield OCT
3.1.4. En Face OCT
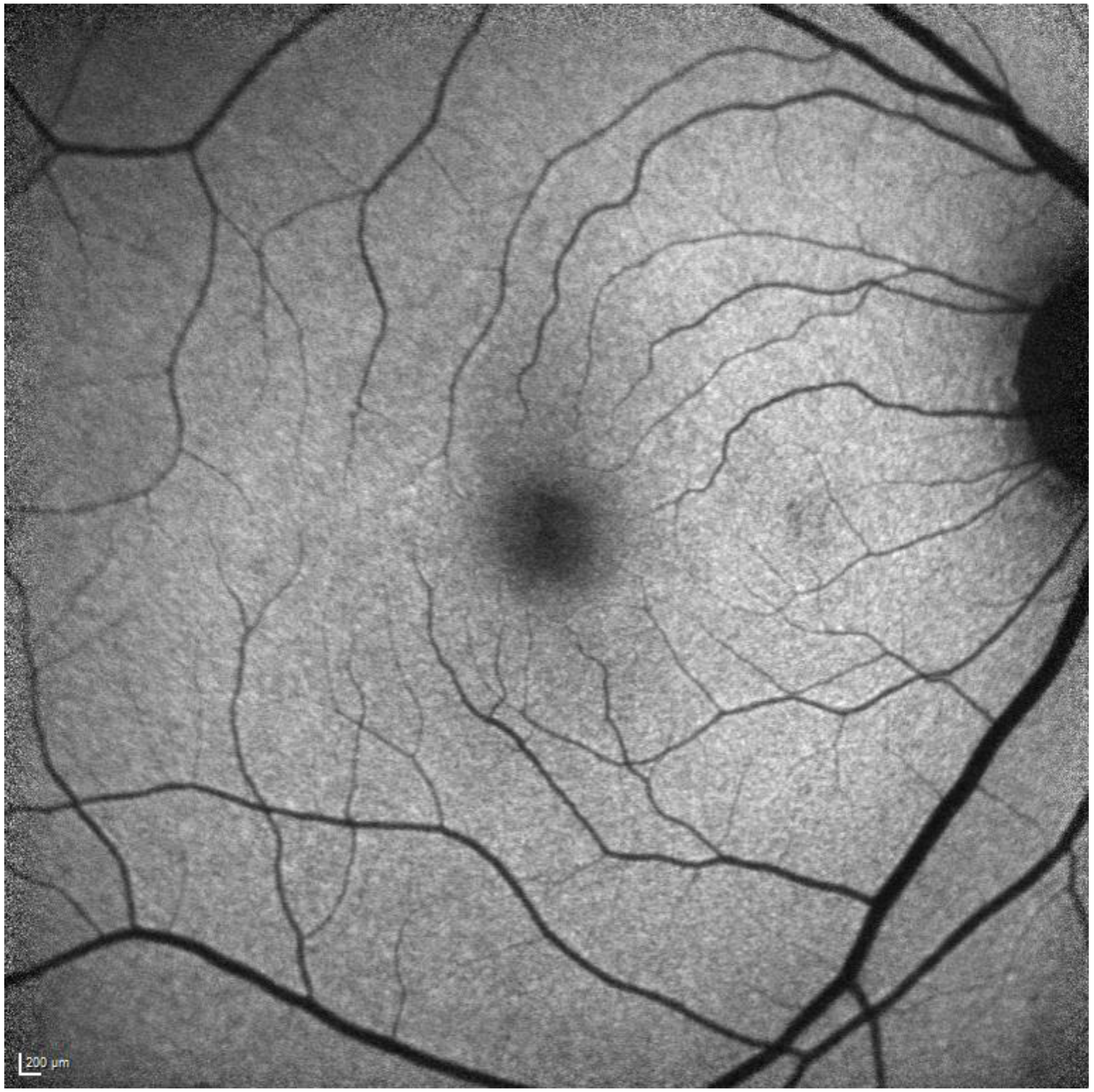
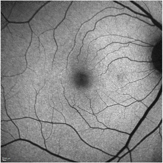
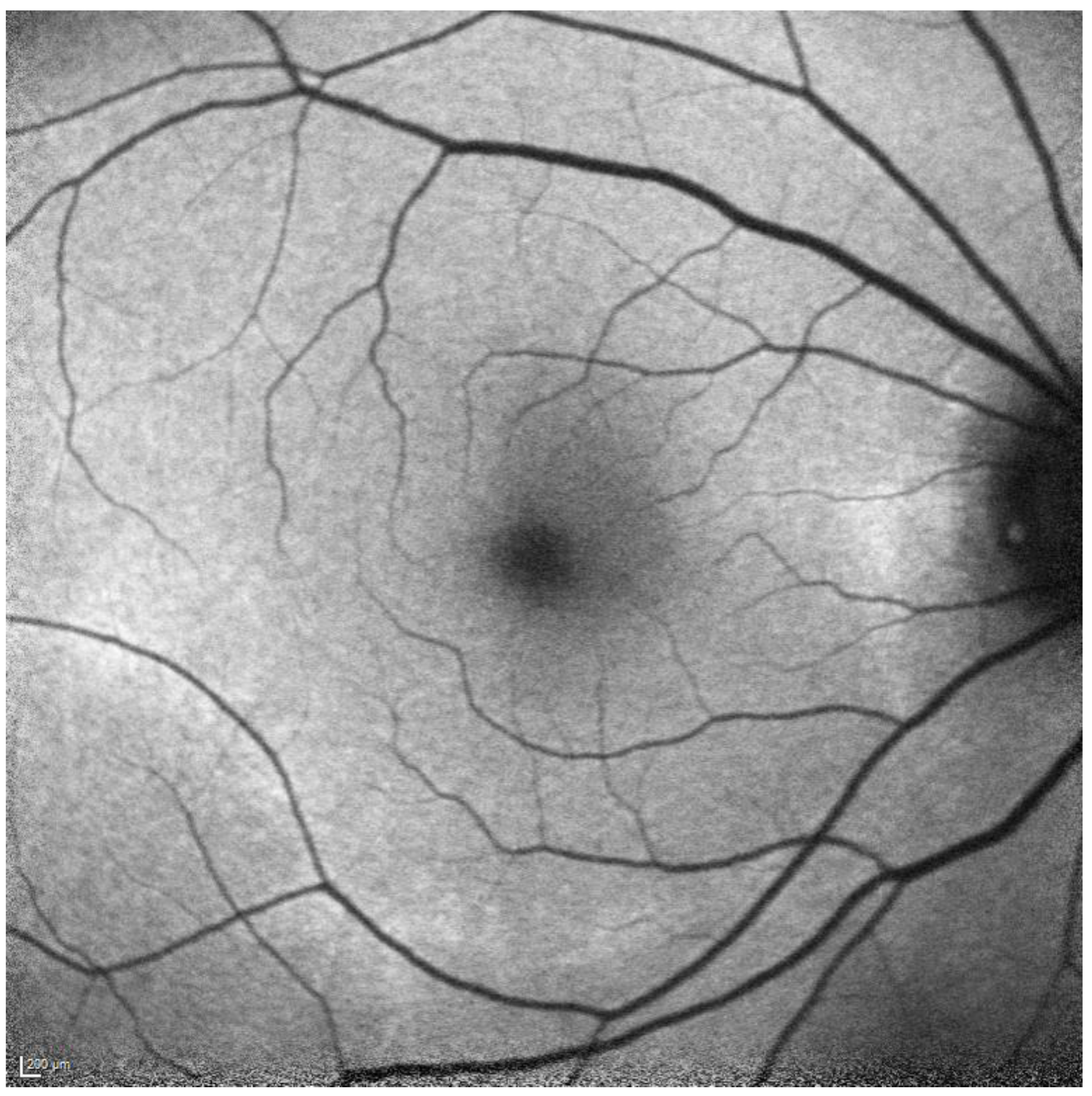
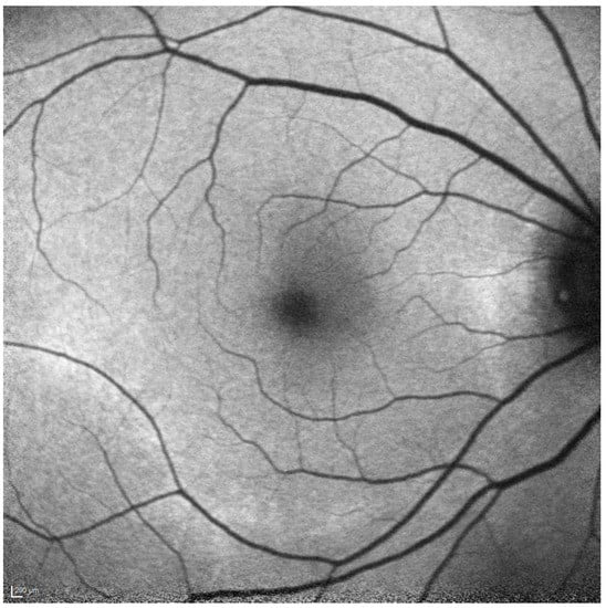
3.1.5. Minimum Intensity Analysis
3.1.6. Artificial Intelligence
3.2. Novel FAF Analysis
3.2.1. Quantitative Autofluorescence
3.2.2. Near-Infrared Autofluorescence
3.2.3. Fluorescence Lifetime Imaging Ophthalmoscopy
3.2.4. Widefield FAF
3.3. OCT Angiography
3.4. Multicolour Imaging
3.5. Adaptive Optics
3.6. Retromode Imaging
4. Conclusions
Author Contributions
Funding
Institutional Review Board Statement
Informed Consent Statement
Data Availability Statement
Conflicts of Interest
References
- Ponticelli, C.; Moroni, G. Hydroxychloroquine in Systemic Lupus Erythematosus (SLE). Expert Opin. Drug Saf. 2017, 16, 411–419. [Google Scholar] [CrossRef] [PubMed]
- Penn, S.K.; Kao, A.H.; Schott, L.L.; Elliott, J.R.; Toledo, F.G.S.; Kuller, L.; Manzi, S.; Wasko, M.C.M. Hydroxychloroquine and Glycemia in Women with Rheumatoid Arthritis and Systemic Lupus Erythematosus. J. Rheumatol. 2010, 37, 1136–1142. [Google Scholar] [CrossRef] [PubMed]
- Abarientos, C.; Sperber, K.; Shapiro, D.L.; Aronow, W.S.; Chao, C.P.; Ash, J.Y. Hydroxychloroquine in Systemic Lupus Erythematosus and Rheumatoid Arthritis and Its Safety in Pregnancy. Expert Opin. Drug Saf. 2011, 10, 705–714. [Google Scholar] [CrossRef] [PubMed]
- Olsen, N.J.; Schleich, M.A.; Karp, D.R. Multifaceted Effects of Hydroxychloroquine in Human Disease. Semin. Arthritis Rheum. 2013, 43, 264–272. [Google Scholar] [CrossRef] [PubMed]
- Rainsford, K.D.; Parke, A.L.; Clifford-Rashotte, M.; Kean, W.F. Therapy and Pharmacological Properties of Hydroxychloroquine and Chloroquine in Treatment of Systemic Lupus Erythematosus, Rheumatoid Arthritis and Related Diseases. Inflammopharmacology 2015, 23, 231–269. [Google Scholar] [CrossRef]
- Mindell, J.A. Lysosomal Acidification Mechanisms. Annu. Rev. Physiol. 2012, 74, 69–86. [Google Scholar] [CrossRef]
- Fox, R.I. Mechanism of Action of Hydroxychloroquine as an Antirheumatic Drug. Semin. Arthritis Rheum. 1993, 23, 82–91. [Google Scholar] [CrossRef]
- Dos Reis Neto, E.T.; Kakehasi, A.M.; de Medeiros Pinheiro, M.; Ferreira, G.A.; Marques, C.D.L.; da Mota, L.M.H.; Dos Santos Paiva, E.; Pileggi, G.C.S.; Sato, E.I.; Reis, A.P.M.G.; et al. Revisiting Hydroxychloroquine and Chloroquine for Patients with Chronic Immunity-Mediated Inflammatory Rheumatic Diseases. Adv. Rheumatol. 2020, 60, 32. [Google Scholar] [CrossRef]
- Yam, J.C.S.; Kwok, A.K.H. Ocular Toxicity of Hydroxychloroquine. Hong Kong Med. J. 2006, 12, 294–304. [Google Scholar]
- Doyno, C.; Sobieraj, D.M.; Baker, W.L. Toxicity of Chloroquine and Hydroxychloroquine Following Therapeutic Use or Overdose. Clin. Toxicol. 2021, 59, 12–23. [Google Scholar] [CrossRef]
- Stokkermans, T.J.; Goyal, A.; Trichonas, G. Chloroquine And Hydroxychloroquine Toxicity. In StatPearls; StatPearls Publishing: Treasure Island, FL, USA, 2022. [Google Scholar]
- Kao, J.-H.; Lai, T.-T.; Lu, C.-H.; Lan, T.-Y.; Hsieh, Y.-T.; Shen, C.-Y.; Li, K.-J.; Hsieh, S.-C. Characteristics and Potential Risk Factors of Hydroxychloroquine Retinopathy in Patients with Systemic Lupus Erythematosus: Focusing on Asian Population. J. Ocul. Pharmacol. Ther. 2022, 38, 728–733. [Google Scholar] [CrossRef] [PubMed]
- Hasan, H.; Lotery, A.; Price, E.J.; Smith, G.T. An Objective Method of Diagnosing Hydroxychloroquine Maculopathy. Eye 2021, 35, 1922–1929. [Google Scholar] [CrossRef] [PubMed]
- Xu, C.; Zhu, L.; Chan, T.; Lu, X.; Shen, W.; Madigan, M.C.; Gillies, M.C.; Zhou, F. Chloroquine and Hydroxychloroquine Are Novel Inhibitors of Human Organic Anion Transporting Polypeptide 1A2. J. Pharm. Sci. 2016, 105, 884–890. [Google Scholar] [CrossRef] [PubMed]
- Yusuf, I.H.; Sharma, S.; Luqmani, R.; Downes, S.M. Hydroxychloroquine Retinopathy. Eye 2017, 31, 828–845. [Google Scholar] [CrossRef] [PubMed]
- Rosenthal, A.R.; Kolb, H.; Bergsma, D.; Huxsoll, D.; Hopkins, J.L. Chloroquine Retinopathy in the Rhesus Monkey. Investig. Ophthalmol. Vis. Sci. 1978, 17, 1158–1175. [Google Scholar]
- Duncker, G.; Bredehorn, T. Chloroquine-Induced Lipidosis in the Rat Retina: Functional and Morphological Changes after Withdrawal of the Drug. Graefes Arch. Clin. Exp. Ophthalmol. 1996, 234, 378–381. [Google Scholar] [CrossRef]
- Ulviye, Y.; Betul, T.; Nur, T.H.; Selda, C. Spectral Domain Optical Coherence Tomography for Early Detection of Retinal Alterations in Patients Using Hydroxychloroquine. Indian J. Ophthalmol. 2013, 61, 168–171. [Google Scholar] [CrossRef]
- Sundelin, S.P.; Terman, A. Different Effects of Chloroquine and Hydroxychloroquine on Lysosomal Function in Cultured Retinal Pigment Epithelial Cells. APMIS 2002, 110, 481–489. [Google Scholar] [CrossRef]
- Aylward, J.M. Hydroxychloroquine and Chloroquine: Assessing the Risk of Retinal Toxicity. J. Am. Optom. Assoc. 1993, 64, 787–797. [Google Scholar]
- Bernstein, H.N. Ocular Safety of Hydroxychloroquine. Ann. Ophthalmol. 1991, 23, 292–296. [Google Scholar]
- Block, J.A. Hydroxychloroquine and Retinal Safety. Lancet 1998, 351, 771. [Google Scholar] [CrossRef] [PubMed]
- Yusuf, I.H.; Foot, B.; Galloway, J.; Ardern-Jones, M.R.; Watson, S.-L.; Yelf, C.; Burdon, M.A.; Bishop, P.N.; Lotery, A.J. The Royal College of Ophthalmologists Recommendations on Screening for Hydroxychloroquine and Chloroquine Users in the United Kingdom: Executive Summary. Eye 2018, 32, 1168–1173. [Google Scholar] [CrossRef] [PubMed]
- Rosenbaum, J.T.; Costenbader, K.H.; Desmarais, J.; Ginzler, E.M.; Fett, N.; Goodman, S.M.; O’Dell, J.R.; Schmajuk, G.; Werth, V.P.; Melles, R.B.; et al. Collaboration for the Management of Hydroxychloroquine. Ophthalmology 2021, 128, 1115–1116. [Google Scholar] [CrossRef] [PubMed]
- Pham, B.H.; Marmor, M.F. SEQUENTIAL CHANGES IN HYDROXYCHLOROQUINE RETINOPATHY UP TO 20 YEARS AFTER STOPPING THE DRUG: Implications for Mild Versus Severe Toxicity. Retina 2019, 39, 492–501. [Google Scholar] [CrossRef] [PubMed]
- Schroeder, R.L.; Gerber, J.P. Chloroquine and Hydroxychloroquine Binding to Melanin: Some Possible Consequences for Pathologies. Toxicol. Rep. 2014, 1, 963–968. [Google Scholar] [CrossRef]
- Pandya, H.K.; Robinson, M.; Mandal, N.; Shah, V.A. Hydroxychloroquine Retinopathy: A Review of Imaging. Indian J. Ophthalmol. 2015, 63, 570–574. [Google Scholar] [CrossRef]
- Yusuf, I.H.; Charbel Issa, P.; Ahn, S.J. Novel Imaging Techniques for Hydroxychloroquine Retinopathy. Front. Med. 2022, 9, 1026934. [Google Scholar] [CrossRef]
- Metrangolo, C.; Donati, S.; Mazzola, M.; Fontanel, L.; Messina, W.; D’alterio, G.; Rubino, M.; Radice, P.; Premi, E.; Azzolini, C. OCT Biomarkers in Neovascular Age-Related Macular Degeneration: A Narrative Review. J. Ophthalmol. 2021, 2021, 9994098. [Google Scholar] [CrossRef]
- Hanson, R.L.W.; Airody, A.; Sivaprasad, S.; Gale, R.P. Optical Coherence Tomography Imaging Biomarkers Associated with Neovascular Age-Related Macular Degeneration: A Systematic Review. Eye 2022, 1–16. [Google Scholar] [CrossRef]
- Fercher, A.F.; Drexler, W.; Hitzenberger, C.K.; Lasser, T. Optical Coherence Tomography—Principles and Applications. Rep. Prog. Phys. 2003, 66, 239–303. [Google Scholar] [CrossRef]
- Delori, F.C.; Dorey, C.K.; Staurenghi, G.; Arend, O.; Goger, D.G.; Weiter, J.J. In Vivo Fluorescence of the Ocular Fundus Exhibits Retinal Pigment Epithelium Lipofuscin Characteristics. Investig. Ophthalmol. Vis. Sci. 1995, 36, 718–729. [Google Scholar]
- Bessho, K.; Gomi, F.; Harino, S.; Sawa, M.; Sayanagi, K.; Tsujikawa, M.; Tano, Y. Macular Autofluorescence in Eyes with Cystoid Macula Edema, Detected with 488 Nm-Excitation but Not with 580 Nm-Excitation. Graefes Arch. Clin. Exp. Ophthalmol. 2009, 247, 729–734. [Google Scholar] [CrossRef] [PubMed]
- Sekiryu, T.; Iida, T.; Maruko, I.; Horiguchi, M. Clinical Application of Autofluorescence Densitometry with a Scanning Laser Ophthalmoscope. Investig. Ophthalmol. Vis. Sci. 2009, 50, 2994–3002. [Google Scholar] [CrossRef] [PubMed]
- Marmor, M.F.; Kellner, U.; Lai, T.Y.Y.; Melles, R.B.; Mieler, W.F. American Academy of Ophthalmology Recommendations on Screening for Chloroquine and Hydroxychloroquine Retinopathy (2016 Revision). Ophthalmology 2016, 123, 1386–1394. [Google Scholar] [CrossRef] [PubMed]
- Marmor, M.F.; Hu, J. Effect of Disease Stage on Progression of Hydroxychloroquine Retinopathy. JAMA Ophthalmol. 2014, 132, 1105. [Google Scholar] [CrossRef]
- Marmor, M.F. Comparison of Screening Procedures in Hydroxychloroquine Toxicity. Arch. Ophthalmol. 2012, 130, 461–469. [Google Scholar] [CrossRef]
- Ugwuegbu, O.; Uchida, A.; Singh, R.P.; Beven, L.; Hu, M.; Kaiser, S.; Srivastava, S.K.; Ehlers, J.P. Quantitative Assessment of Outer Retinal Layers and Ellipsoid Zone Mapping in Hydroxychloroquine Retinopathy. Br. J. Ophthalmol. 2019, 103, 3–7. [Google Scholar] [CrossRef] [PubMed]
- Kellner, S.; Weinitz, S.; Kellner, U. Spectral Domain Optical Coherence Tomography Detects Early Stages of Chloroquine Retinopathy Similar to Multifocal Electroretinography, Fundus Autofluorescence and near-Infrared Autofluorescence. Br. J. Ophthalmol. 2009, 93, 1444–1447. [Google Scholar] [CrossRef]
- Ahn, S.J.; Ryu, S.J.; Lim, H.W.; Lee, B.R. Toxic Effects of Hydroxychloroquine on the Choroid: Evidence from Multimodal Imaging. Retina 2019, 39, 1016–1026. [Google Scholar] [CrossRef]
- de Sisternes, L.; Hu, J.; Rubin, D.L.; Marmor, M.F. Localization of Damage in Progressive Hydroxychloroquine Retinopathy on and off the Drug: Inner versus Outer Retina, Parafovea versus Peripheral Fovea. Investig. Ophthalmol. Vis. Sci. 2015, 56, 3415–3426. [Google Scholar] [CrossRef]
- Lally, D.R.; Heier, J.S.; Baumal, C.; Witkin, A.J.; Maler, S.; Shah, C.P.; Reichel, E.; Waheed, N.K.; Bussel, I.; Rogers, A.; et al. Expanded Spectral Domain-OCT Findings in the Early Detection of Hydroxychloroquine Retinopathy and Changes Following Drug Cessation. Int. J. Retin. Vitr. 2016, 2, 18. [Google Scholar] [CrossRef] [PubMed]
- Melles, R.B.; Marmor, M.F. Pericentral Retinopathy and Racial Differences in Hydroxychloroquine Toxicity. Ophthalmology 2015, 122, 110–116. [Google Scholar] [CrossRef] [PubMed]
- Marmor, M.F. Fundus Autofluorescence Is Not the Best Early Screen for Hydroxychloroquine Toxicity. JAMA Ophthalmol. 2013, 131, 1487. [Google Scholar] [CrossRef] [PubMed]
- Chen, E.; Brown, D.M.; Benz, M.S.; Fish, R.H.; Wong, T.P.; Kim, R.Y.; Major, J.C. Spectral Domain Optical Coherence Tomography as an Effective Screening Test for Hydroxychloroquine Retinopathy (the “Flying Saucer” Sign). OPTH 2010, 2010, 1151–1158. [Google Scholar] [CrossRef] [PubMed]
- Rodriguez-Padilla, J.A.; Hedges, T.R.; Monson, B.; Srinivasan, V.; Wojtkowski, M.; Reichel, E.; Duker, J.S.; Schuman, J.S.; Fujimoto, J.G. High-Speed Ultra-High-Resolution Optical Coherence Tomography Findings in Hydroxychloroquine Retinopathy. Arch. Ophthalmol. 2007, 125, 775–780. [Google Scholar] [CrossRef]
- Stepien, K.E.; Han, D.P.; Schell, J.; Godara, P.; Rha, J.; Carroll, J. Spectral-Domain Optical Coherence Tomography and Adaptive Optics May Detect Hydroxychloroquine Retinal Toxicity before Symptomatic Vision Loss. Trans. Am. Ophthalmol. Soc. 2009, 107, 28–33. [Google Scholar]
- Omri, S.; Omri, B.; Savoldelli, M.; Jonet, L.; Thillaye-Goldenberg, B.; Thuret, G.; Gain, P.; Jeanny, J.C.; Crisanti, P.; Behar-Cohen, F. The Outer Limiting Membrane (OLM) Revisited: Clinical Implications. Clin. Ophthalmol. 2010, 4, 183–195. [Google Scholar] [CrossRef]
- Garrity, S.T.; Jung, J.Y.; Zambrowski, O.; Pichi, F.; Su, D.; Arya, M.; Waheed, N.K.; Duker, J.S.; Chetrit, Y.; Miserocchi, E.; et al. Early Hydroxychloroquine Retinopathy: Optical Coherence Tomography Abnormalities Preceding Humphrey Visual Field Defects. Br. J. Ophthalmol. 2019, 103, 1600–1604. [Google Scholar] [CrossRef]
- Frampton, G.K.; Kalita, N.; Payne, L.; Colquitt, J.L.; Loveman, E.; Downes, S.M.; Lotery, A.J. Fundus Autofluorescence Imaging: Systematic Review of Test Accuracy for the Diagnosis and Monitoring of Retinal Conditions. Eye 2017, 31, 995–1007. [Google Scholar] [CrossRef]
- Pole, C.; Ameri, H. Fundus Autofluorescence and Clinical Applications. J. Ophthalmic Vis. Res. 2021, 16, 432–461. [Google Scholar] [CrossRef]
- Schmitz-Valckenberg, S.; Holz, F.G.; Bird, A.C.; Spaide, R.F. Fundus Autofluorescence Imaging: Review and Perspectives. Retina 2008, 28, 385–409. [Google Scholar] [CrossRef] [PubMed]
- Oh, J.K.; Lima de Carvalho, J.R.; Ryu, J.; Tsang, S.H.; Sparrow, J.R. Short-Wavelength and Near-Infrared Autofluorescence in Patients with Deficiencies of the Visual Cycle and Phototransduction. Sci. Rep. 2020, 10, 8998. [Google Scholar] [CrossRef] [PubMed]
- Kellner, S.; Weinitz, S.; Farmand, G.; Kellner, U. Cystoid Macular Oedema and Epiretinal Membrane Formation during Progression of Chloroquine Retinopathy after Drug Cessation. Br. J. Ophthalmol. 2014, 98, 200–206. [Google Scholar] [CrossRef] [PubMed]
- Kellner, U.; Renner, A.B.; Tillack, H. Fundus Autofluorescence and MfERG for Early Detection of Retinal Alterations in Patients Using Chloroquine/Hydroxychloroquine. Investig. Ophthalmol. Vis. Sci. 2006, 47, 3531–3538. [Google Scholar] [CrossRef]
- Gorovoy, I.R.; Gorovoy, M.S. Fundus Autofluorescence in Hydroxychloroquine Toxicity. JAMA Ophthalmol. 2013, 131, 506. [Google Scholar] [CrossRef] [PubMed]
- Cukras, C.; Huynh, N.; Vitale, S.; Wong, W.T.; Ferris, F.L.; Sieving, P.A. Subjective and Objective Screening Tests for Hydroxychloroquine Toxicity. Ophthalmology 2015, 122, 356–366. [Google Scholar] [CrossRef] [PubMed]
- Jauregui, R.; Parmann, R.; Nuzbrokh, Y.; Tsang, S.H.; Sparrow, J.R. Spectral-Domain Optical Coherence Tomography Is More Sensitive for Hydroxychloroquine-Related Structural Abnormalities Than Short-Wavelength and Near-Infrared Autofluorescence. Transl. Vis. Sci. Technol. 2020, 9, 8. [Google Scholar] [CrossRef] [PubMed]
- Arora, S.; Sachdeva, A.; Goel, T.; Singh, K.; Aggarwal, M. To Study the Correlation of Mean Macular Thickness Using Optical Coherence Tomography with Distant and near Visual Acuity in Patients of Diabetic Maculopathy. Int. J. Res. Med. Sci. 2018, 6, 863. [Google Scholar] [CrossRef]
- Keane, P.A.; Sadda, S.R. Predicting Visual Outcomes for Macular Disease Using Optical Coherence Tomography. Saudi J. Ophthalmol. 2011, 25, 145–158. [Google Scholar] [CrossRef]
- Pelosini, L.; Hull, C.C.; Boyce, J.F.; McHugh, D.; Stanford, M.R.; Marshall, J. Optical Coherence Tomography May Be Used to Predict Visual Acuity in Patients with Macular Edema. Investig. Ophthalmol. Vis. Sci. 2011, 52, 2741. [Google Scholar] [CrossRef] [PubMed]
- Chen, L.; Liu, M.; Xie, A.-M.; Liu, Y. A Study on Change of Macular Retinal Thickness and Its Relationship with Vision before and after Operation to Idiopathic Macular Epiretinal Membranes. Int. J. Clin. Exp. Med. 2015, 8, 18571–18580. [Google Scholar] [PubMed]
- Kim, K.E.; Ahn, S.J.; Woo, S.J.; Park, K.H.; Lee, B.R.; Lee, Y.-K.; Sung, Y.-K. Use of OCT Retinal Thickness Deviation Map for Hydroxychloroquine Retinopathy Screening. Ophthalmology 2021, 128, 110–119. [Google Scholar] [CrossRef] [PubMed]
- Uslu, H.; Gurler, B.; Yildirim, A.; Tatar, M.G.; Aylin Kantarcı, F.; Goker, H.; Pehlevan, H.S.; Colak, H.N. Effect of Hydroxychloroquine on the Retinal Layers: A Quantitative Evaluation with Spectral-Domain Optical Coherence Tomography. J. Ophthalmol. 2016, 2016, 8643174. [Google Scholar] [CrossRef] [PubMed]
- Gil, P.; Nunes, A.; Farinha, C.; Teixeira, D.; Pires, I.; Silva, R. Structural and Functional Characterization of the Retinal Effects of Hydroxychloroquine Treatment in Healthy Eyes. Ophthalmologica 2019, 241, 226–233. [Google Scholar] [CrossRef] [PubMed]
- Kan, E.; Yakar, K.; Demirag, M.D.; Gok, M. Macular Ganglion Cell-Inner Plexiform Layer Thickness for Detection of Early Retinal Toxicity of Hydroxychloroquine. Int. Ophthalmol. 2018, 38, 1635–1640. [Google Scholar] [CrossRef] [PubMed]
- Bulut, M.; Akıdan, M.; Gözkaya, O.; Erol, M.K.; Cengiz, A.; Çay, H.F. Optical Coherence Tomography Angiography for Screening of Hydroxychloroquine-Induced Retinal Alterations. Graefes Arch. Clin. Exp. Ophthalmol. 2018, 256, 2075–2081. [Google Scholar] [CrossRef] [PubMed]
- Pasadhika, S.; Fishman, G.A. Effects of Chronic Exposure to Hydroxychloroquine or Chloroquine on Inner Retinal Structures. Eye 2010, 24, 340–346. [Google Scholar] [CrossRef] [PubMed]
- Polat, O.A.; Okçu, M.; Yılmaz, M. Hydroxychloroquine Treatment Alters Retinal Layers and Choroid without Apparent Toxicity in Optical Coherence Tomography. Photodiagnosis Photodyn. Ther. 2022, 38, 102806. [Google Scholar] [CrossRef]
- Casado, A.; López-de-Eguileta, A.; Fonseca, S.; Muñoz, P.; Demetrio, R.; Gordo-Vega, M.A.; Cerveró, A. Outer Nuclear Layer Damage for Detection of Early Retinal Toxicity of Hydroxychloroquine. Biomedicines 2020, 8, 54. [Google Scholar] [CrossRef]
- Modi, Y.S.; Au, A.; Parikh, V.S.; Ehlers, J.P.; Schachat, A.P.; Singh, R.P. Volumetric Single-Layer Inner Retinal Analysis in Patients with Hydroxychloroquine Toxicity. Retina 2016, 36, 1941–1950. [Google Scholar] [CrossRef]
- Melles, R.B.; Marmor, M.F. Rapid Macular Thinning Is an Early Indicator of Hydroxychloroquine Retinal Toxicity. Ophthalmology 2022, 129, 1004–1013. [Google Scholar] [CrossRef] [PubMed]
- Godinho, G.; Madeira, C.; Falcão, M.; Penas, S.; Dinah-Bragança, T.; Brandão, E.; Carneiro, Â.; Santos-Silva, R.; Falcão-Reis, F.; Beato, J. Longitudinal Retinal Changes Induced by Hydroxychloroquine in Eyes without Retinal Toxicity. Ophthalmic Res. 2021, 64, 290–296. [Google Scholar] [CrossRef] [PubMed]
- Cheong, K.X.; Lim, L.W.; Li, K.Z.; Tan, C.S. A Novel and Faster Method of Manual Grading to Measure Choroidal Thickness Using Optical Coherence Tomography. Eye 2018, 32, 433–438. [Google Scholar] [CrossRef] [PubMed]
- Song, Y.; Tham, Y.-C.; Chong, C.; Ong, R.; Fenner, B.J.; Cheong, K.X.; Takahashi, K.; Jordan-Yu, J.M.; Teo, K.Y.C.; Tan, A.C.S.; et al. Patterns and Determinants of Choroidal Thickness in a Multiethnic Asian Population: The Singapore Epidemiology of Eye Diseases Study. Ophthalmol. Retin. 2021, 5, 458–467. [Google Scholar] [CrossRef] [PubMed]
- Tan, C.S.H.; Cheong, K.X. Macular Choroidal Thicknesses in Healthy Adults—Relationship with Ocular and Demographic Factors. Investig. Ophthalmol. Vis. Sci. 2014, 55, 6452–6458. [Google Scholar] [CrossRef] [PubMed]
- Tan, C.S.H.; Cheong, K.X.; Lim, L.W.; Li, K.Z. Topographic Variation of Choroidal and Retinal Thicknesses at the Macula in Healthy Adults. Br. J. Ophthalmol. 2014, 98, 339–344. [Google Scholar] [CrossRef] [PubMed]
- Agrawal, R.; Gupta, P.; Tan, K.-A.; Cheung, C.M.G.; Wong, T.-Y.; Cheng, C.-Y. Choroidal Vascularity Index as a Measure of Vascular Status of the Choroid: Measurements in Healthy Eyes from a Population-Based Study. Sci. Rep. 2016, 6, 21090. [Google Scholar] [CrossRef] [PubMed]
- Betzler, B.K.; Ding, J.; Wei, X.; Lee, J.M.; Grewal, D.S.; Fekrat, S.; Sadda, S.R.; Zarbin, M.A.; Agarwal, A.; Gupta, V.; et al. Choroidal Vascularity Index: A Step towards Software as a Medical Device. Br. J. Ophthalmol. 2022, 106, 149–155. [Google Scholar] [CrossRef]
- Iovino, C.; Pellegrini, M.; Bernabei, F.; Borrelli, E.; Sacconi, R.; Govetto, A.; Vagge, A.; Di Zazzo, A.; Forlini, M.; Finocchio, L.; et al. Choroidal Vascularity Index: An In-Depth Analysis of This Novel Optical Coherence Tomography Parameter. J. Clin. Med. 2020, 9, 595. [Google Scholar] [CrossRef]
- Cheong, K.X.; Teo, K.Y.C.; Tham, Y.C.; Sim, R.; Majithia, S.; Lee, J.M.; Tan, A.C.S.; Cheng, C.-Y.; Cheung, C.M.G.; Agrawal, R. Three-Dimensional Modelling of the Choroidal Angioarchitecture in a Multi-Ethnic Asian Population. Sci. Rep. 2022, 12, 3831. [Google Scholar] [CrossRef]
- Ahn, S.J.; Ryu, S.J.; Joung, J.Y.; Lee, B.R. Choroidal Thinning Associated With Hydroxychloroquine Retinopathy. Am. J. Ophthalmol. 2017, 183, 56–64. [Google Scholar] [CrossRef] [PubMed]
- Halouani, S.; Le, H.M.; Querques, G.; Borrelli, E.; Sacconi, R.; Battista, M.; Jung, C.; Souied, E.H.; Miere, A. Choroidal Vascularity Index in Hydroxychloroquine Toxic Retinopathy: A Quantitative Comparative Analysis Using Enhanced Depth Imaging in Spectral Domain Optical Coherence Tomography. Retina 2023, 43, 94–101. [Google Scholar] [CrossRef] [PubMed]
- Patel, S.N.; Shi, A.; Wibbelsman, T.D.; Klufas, M.A. Ultra-Widefield Retinal Imaging: An Update on Recent Advances. Ther. Adv. Ophthalmol. 2020, 12, 1–12. [Google Scholar] [CrossRef] [PubMed]
- Choudhry, N.; Duker, J.S.; Freund, K.B.; Kiss, S.; Querques, G.; Rosen, R.; Sarraf, D.; Souied, E.H.; Stanga, P.E.; Staurenghi, G.; et al. Classification and Guidelines for Widefield Imaging: Recommendations from the International Widefield Imaging Study Group. Ophthalmol. Retin. 2019, 3, 843–849. [Google Scholar] [CrossRef] [PubMed]
- Choudhry, N.; Golding, J.; Manry, M.W.; Rao, R.C. Ultra-Widefield Steering-Based Spectral-Domain Optical Coherence Tomography Imaging of the Retinal Periphery. Ophthalmology 2016, 123, 1368–1374. [Google Scholar] [CrossRef] [PubMed]
- Lee, D.H.; Melles, R.B.; Joe, S.G.; Lee, J.Y.; Kim, J.-G.; Lee, C.-K.; Yoo, B.; Koo, B.S.; Kim, J.T.; Marmor, M.F.; et al. Pericentral Hydroxychloroquine Retinopathy in Korean Patients. Ophthalmology 2015, 122, 1252–1256. [Google Scholar] [CrossRef] [PubMed]
- Corradetti, G.; Violanti, S.; Au, A.; Sarraf, D. Wide field retinal imaging and the detection of drug associated retinal toxicity. Int. J. Retin. Vitr. 2019, 5 (Suppl. S1), 26. [Google Scholar] [CrossRef]
- Ahn, S.J.; Joung, J.; Lim, H.W.; Lee, B.R. Optical Coherence Tomography Protocols for Screening of Hydroxychloroquine Retinopathy in Asian Patients. Am. J. Ophthalmol. 2017, 184, 11–18. [Google Scholar] [CrossRef] [PubMed]
- Wolff, B.; Matet, A.; Vasseur, V.; Sahel, J.-A.; Mauget-Faÿsse, M. En Face OCT Imaging for the Diagnosis of Outer Retinal Tubulations in Age-Related Macular Degeneration. J. Ophthalmol. 2012, 2012, 542417. [Google Scholar] [CrossRef]
- Leitgeb, R.A. En Face Optical Coherence Tomography: A Technology Review [Invited]. Biomed. Opt. Express 2019, 10, 2177–2201. [Google Scholar] [CrossRef]
- Lau, T.; Wong, I.Y.; Iu, L.; Chhablani, J.; Yong, T.; Hideki, K.; Lee, J.; Wong, R. En-Face Optical Coherence Tomography in the Diagnosis and Management of Age-Related Macular Degeneration and Polypoidal Choroidal Vasculopathy. Indian J. Ophthalmol. 2015, 63, 378–383. [Google Scholar] [CrossRef] [PubMed]
- Ahn, S.J.; Joung, J.; Lee, B.R. En Face Optical Coherence Tomography Imaging of the Photoreceptor Layers in Hydroxychloroquine Retinopathy. Am. J. Ophthalmol. 2019, 199, 71–81. [Google Scholar] [CrossRef]
- de Sisternes, L.; Hu, J.; Rubin, D.L.; Marmor, M.F. Analysis of Inner and Outer Retinal Thickness in Patients Using Hydroxychloroquine Prior to Development of Retinopathy. JAMA Ophthalmol. 2016, 134, 511–519. [Google Scholar] [CrossRef] [PubMed]
- Stetson, P.F.; Yehoshua, Z.; Garcia Filho, C.A.A.; Portella Nunes, R.; Gregori, G.; Rosenfeld, P.J. OCT Minimum Intensity as a Predictor of Geographic Atrophy Enlargement. Investig. Ophthalmol. Vis. Sci. 2014, 55, 792–800. [Google Scholar] [CrossRef] [PubMed]
- Schmitz-Valckenberg, S.; Fleckenstein, M.; Göbel, A.P.; Hohman, T.C.; Holz, F.G. Optical Coherence Tomography and Autofluorescence Findings in Areas with Geographic Atrophy Due to Age-Related Macular Degeneration. Investig. Ophthalmol. Vis. Sci. 2011, 52, 1–6. [Google Scholar] [CrossRef] [PubMed]
- Allahdina, A.M.; Stetson, P.F.; Vitale, S.; Wong, W.T.; Chew, E.Y.; Ferris, F.L.; Sieving, P.A.; Cukras, C. Optical Coherence Tomography Minimum Intensity as an Objective Measure for the Detection of Hydroxychloroquine Toxicity. Investig. Ophthalmol. Vis. Sci. 2018, 59, 1953–1963. [Google Scholar] [CrossRef] [PubMed]
- Kalra, G.; Talcott, K.E.; Kaiser, S.; Ugwuegbu, O.; Hu, M.; Srivastava, S.K.; Ehlers, J.P. Machine Learning-Based Automated Detection of Hydroxychloroquine Toxicity and Prediction of Future Toxicity Using Higher-Order OCT Biomarkers. Ophthalmol. Retin. 2022, 6, 1241–1252. [Google Scholar] [CrossRef]
- De Silva, T.; Jayakar, G.; Grisso, P.; Hotaling, N.; Chew, E.Y.; Cukras, C.A. Deep Learning-Based Automatic Detection of Ellipsoid Zone Loss in Spectral-Domain OCT for Hydroxychloroquine Retinal Toxicity Screening. Ophthalmol. Sci. 2021, 1, 100060. [Google Scholar] [CrossRef]
- Deitch, I.; Ferenchak, K.; Miller, J.B. Quantitative Autofluorescence: Review of Current Technical Aspects and Applications in Chorioretinal Disease. Semin. Ophthalmol. 2021, 36, 346–350. [Google Scholar] [CrossRef]
- Greenberg, J.P.; Duncker, T.; Woods, R.L.; Smith, R.T.; Sparrow, J.R.; Delori, F.C. Quantitative Fundus Autofluorescence in Healthy Eyes. Investig. Ophthalmol. Vis. Sci. 2013, 54, 5684. [Google Scholar] [CrossRef]
- Sparrow, J.R.; Duncker, T.; Schuerch, K.; Paavo, M.; de Carvalho, J.R.L. Lessons Learned from Quantitative Fundus Autofluorescence. Prog. Retin. Eye Res. 2020, 74, 100774. [Google Scholar] [CrossRef] [PubMed]
- Pröbster, C.; Tarau, I.-S.; Berlin, A.; Kleefeldt, N.; Hillenkamp, J.; Nentwich, M.M.; Sloan, K.R.; Ach, T. Quantitative Fundus Autofluorescence in the Developing and Maturing Healthy Eye. Trans. Vis. Sci. Tech. 2021, 10, 15. [Google Scholar] [CrossRef] [PubMed]
- Greenstein, V.C.; Lima de Carvalho, J.R.; Parmann, R.; Amaro-Quireza, L.; Lee, W.; Hood, D.C.; Tsang, S.H.; Sparrow, J.R. Quantitative Fundus Autofluorescence in HCQ Retinopathy. Investig. Ophthalmol. Vis. Sci. 2020, 61, 41. [Google Scholar] [CrossRef] [PubMed]
- Parrulli, S.; Cozzi, M.; Airaldi, M.; Romano, F.; Viola, F.; Sarzi-Puttini, P.; Staurenghi, G.; Invernizzi, A. Quantitative Autofluorescence Findings in Patients Undergoing Hydroxychloroquine Treatment. Clin. Exp. Ophthalmol. 2022, 50, 500–509. [Google Scholar] [CrossRef]
- Reichel, C.; Berlin, A.; Radun, V.; Tarau, I.-S.; Hillenkamp, J.; Kleefeldt, N.; Sloan, K.R.; Ach, T. Quantitative Fundus Autofluorescence in Systemic Chloroquine/Hydroxychloroquine Therapy. Transl. Vis. Sci. Technol. 2020, 9, 42. [Google Scholar] [CrossRef]
- Abdolrahimzadeh, S.; Ciancimino, C.; Grassi, F.; Sordi, E.; Fragiotta, S.; Scuderi, G. Near-Infrared Reflectance Imaging in Retinal Diseases Affecting Young Patients. J. Ophthalmol. 2021, 2021, 5581851. [Google Scholar] [CrossRef]
- Pilotto, E.; Vujosevic, S.; Melis, R.; Convento, E.; Sportiello, P.; Alemany-Rubio, E.; Segalina, S.; Midena, E. Short Wavelength Fundus Autofluorescence versus Near-Infrared Fundus Autofluorescence, with Microperimetric Correspondence, in Patients with Geographic Atrophy Due to Age-Related Macular Degeneration. Br. J. Ophthalmol. 2011, 95, 1140–1144. [Google Scholar] [CrossRef] [PubMed]
- Hassenstein, A.; Meyer, C.H. Clinical Use and Research Applications of Heidelberg Retinal Angiography and Spectral-Domain Optical Coherence Tomography—A Review. Clin. Exp. Ophthalmol. 2009, 37, 130–143. [Google Scholar] [CrossRef]
- Keilhauer, C.N.; Delori, F.C. Near-Infrared Autofluorescence Imaging of the Fundus: Visualization of Ocular Melanin. Investig. Ophthalmol. Vis. Sci. 2006, 47, 3556–3564. [Google Scholar] [CrossRef]
- Elsner, A.E.; Burns, S.A.; Weiter, J.J.; Delori, F.C. Infrared Imaging of Sub-Retinal Structures in the Human Ocular Fundus. Vis. Res. 1996, 36, 191–205. [Google Scholar] [CrossRef]
- Wong, K.L.; Pautler, S.E.; Browning, D.J. Near-Infrared Reflectance Bull’s Eye Maculopathy as an Early Indication of Hydroxychloroquine Toxicity. Clin. Ophthalmol. 2015, 9, 521–525. [Google Scholar] [CrossRef] [PubMed]
- Santos, M.; Leal, I.; Morais Sarmento, T.; Mano, S.S.; José, P.; Vaz-Pereira, S. Bull’s Eye Maculopathy in Near-Infrared Reflectance as An Early Sign of Hydroxychloroquine Toxicity. Diagnostics 2023, 13, 445. [Google Scholar] [CrossRef] [PubMed]
- Chew, A.L.; Sampson, D.M.; Chelva, E.; Khan, J.C.; Chen, F.K. Perifoveal Interdigitation Zone Loss in Hydroxychloroquine Toxicity Leads to Subclinical Bull’s Eye Lesion Appearance on near-Infrared Reflectance Imaging. Doc. Ophthalmol. 2018, 136, 57–68. [Google Scholar] [CrossRef] [PubMed]
- Sauer, L.; Vitale, A.S.; Modersitzki, N.K.; Bernstein, P.S. Fluorescence Lifetime Imaging Ophthalmoscopy: Autofluorescence Imaging and Beyond. Eye 2021, 35, 93–109. [Google Scholar] [CrossRef] [PubMed]
- Sauer, L.; Andersen, K.M.; Dysli, C.; Zinkernagel, M.S.; Bernstein, P.S.; Hammer, M. Review of Clinical Approaches in Fluorescence Lifetime Imaging Ophthalmoscopy. J. Biomed. Opt. 2018, 23, 091415. [Google Scholar] [CrossRef] [PubMed]
- Hammer, M.; Simon, R.; Meller, D.; Klemm, M. Combining Fluorescence Lifetime with Spectral Information in Fluorescence Lifetime Imaging Ophthalmoscopy (FLIO). Biomed. Opt. Express 2022, 13, 5483–5494. [Google Scholar] [CrossRef] [PubMed]
- Sauer, L.; Calvo, C.M.; Vitale, A.S.; Henrie, N.; Milliken, C.M.; Bernstein, P.S. Imaging of Hydroxychloroquine Toxicity with Fluorescence Lifetime Imaging Ophthalmoscopy. Ophthalmol. Retin. 2019, 3, 814–825. [Google Scholar] [CrossRef] [PubMed]
- Solberg, Y.; Dysli, C.; Möller, B.; Wolf, S.; Zinkernagel, M.S. Fluorescence Lifetimes in Patients with Hydroxychloroquine Retinopathy. Investig. Ophthalmol. Vis. Sci. 2019, 60, 2165. [Google Scholar] [CrossRef] [PubMed]
- Ahn, S.J.; Joung, J.; Lee, B.R. Evaluation of Hydroxychloroquine Retinopathy Using Ultra-Widefield Fundus Autofluorescence: Peripheral Findings in the Retinopathy. Am. J. Ophthalmol. 2020, 209, 35–44. [Google Scholar] [CrossRef] [PubMed]
- Gao, S.S.; Jia, Y.; Zhang, M.; Su, J.P.; Liu, G.; Hwang, T.S.; Bailey, S.T.; Huang, D. Optical Coherence Tomography Angiography. Investig. Ophthalmol. Vis. Sci. 2016, 57, OCT27–OCT36. [Google Scholar] [CrossRef]
- Chalam, K.V.; Sambhav, K. Optical Coherence Tomography Angiography in Retinal Diseases. J. Ophthalmic Vis. Res. 2016, 11, 84–92. [Google Scholar] [CrossRef] [PubMed]
- Sambhav, K.; Grover, S.; Chalam, K.V. The Application of Optical Coherence Tomography Angiography in Retinal Diseases. Surv. Ophthalmol. 2017, 62, 838–866. [Google Scholar] [CrossRef] [PubMed]
- McNabb, R.P.; Grewal, D.S.; Mehta, R.; Schuman, S.G.; Izatt, J.A.; Mahmoud, T.H.; Jaffe, G.J.; Mruthyunjaya, P.; Kuo, A.N. Wide Field of View Swept-Source Optical Coherence Tomography for Peripheral Retinal Disease. Br. J. Ophthalmol. 2016, 100, 1377–1382. [Google Scholar] [CrossRef] [PubMed]
- Akhlaghi, M.; Kianersi, F.; Radmehr, H.; Dehghani, A.; Naderi Beni, A.; Noorshargh, P. Evaluation of Optical Coherence Tomography Angiography Parameters in Patients Treated with Hydroxychloroquine. BMC Ophthalmol. 2021, 21, 209. [Google Scholar] [CrossRef]
- Halouani, S.; Le, H.M.; Cohen, S.Y.; Terkmane, N.; Herda, N.; Souied, E.H.; Miere, A. Choriocapillaris Flow Deficits Quantification in Hydroxychloroquine Retinopathy Using Swept-Source Optical Coherence Tomography Angiography. J. Pers. Med. 2022, 12, 1445. [Google Scholar] [CrossRef]
- Forte, R.; Haulani, H.; Dyrda, A.; Jürgens, I. Swept Source Optical Coherence Tomography Angiography in Patients Treated with Hydroxychloroquine: Correlation with Morphological and Functional Tests. Br. J. Ophthalmol. 2021, 105, 1297–1301. [Google Scholar] [CrossRef]
- Ozek, D.; Onen, M.; Karaca, E.E.; Omma, A.; Kemer, O.E.; Coskun, C. The Optical Coherence Tomography Angiography Findings of Rheumatoid Arthritis Patients Taking Hydroxychloroquine. Eur. J. Ophthalmol. 2019, 29, 532–537. [Google Scholar] [CrossRef] [PubMed]
- Mihailovic, N.; Leclaire, M.D.; Eter, N.; Brücher, V.C. Altered Microvascular Density in Patients with Systemic Lupus Erythematosus Treated with Hydroxychloroquine-an Optical Coherence Tomography Angiography Study. Graefes Arch. Clin. Exp. Ophthalmol. 2020, 258, 2263–2269. [Google Scholar] [CrossRef] [PubMed]
- Conigliaro, P.; Cesareo, M.; Chimenti, M.S.; Triggianese, P.; Canofari, C.; Aloe, G.; Nucci, C.; Perricone, R. Response to: ‘OCTA, a Sensitive Screening for Asymptomatic Retinopathy, Raises Alarm over Systemic Involvements in Patients with SLE’ by Mizuno et al. Ann. Rheum. Dis. 2020, 79, e18. [Google Scholar] [CrossRef] [PubMed]
- Esser, E.L.; Zimmermann, J.A.; Storp, J.J.; Eter, N.; Mihailovic, N. Retinal Microvascular Density Analysis in Patients with Rheumatoid Arthritis Treated with Hydroxychloroquine. Graefes Arch. Clin. Exp. Ophthalmol. 2022, 261, 1433–1442. [Google Scholar] [CrossRef]
- Tan, A.C.S.; Fleckenstein, M.; Schmitz-Valckenberg, S.; Holz, F.G. Clinical Application of Multicolor Imaging Technology. Ophthalmologica 2016, 236, 8–18. [Google Scholar] [CrossRef] [PubMed]
- Arrigo, A.; Teussink, M.; Aragona, E.; Bandello, F.; Battaglia Parodi, M. MultiColor Imaging to Detect Different Subtypes of Retinal Microaneurysms in Diabetic Retinopathy. Eye 2021, 35, 277–281. [Google Scholar] [CrossRef] [PubMed]
- Ben Moussa, N.; Georges, A.; Capuano, V.; Merle, B.; Souied, E.H.; Querques, G. MultiColor Imaging in the Evaluation of Geographic Atrophy Due to Age-Related Macular Degeneration. Br. J. Ophthalmol. 2015, 99, 842–847. [Google Scholar] [CrossRef] [PubMed]
- Graham, K.W.; Chakravarthy, U.; Hogg, R.E.; Muldrew, K.A.; Young, I.S.; Kee, F. IDENTIFYING FEATURES OF EARLY AND LATE AGE-RELATED MACULAR DEGENERATION: A Comparison of Multicolor Versus Traditional Color Fundus Photography. Retina 2018, 38, 1751–1758. [Google Scholar] [CrossRef] [PubMed]
- Kilic Muftuoglu, I.; Bartsch, D.-U.; Barteselli, G.; Gaber, R.; Nezgoda, J.; Freeman, W.R. Visualization of Macular Pucker by Multicolor Scanning Laser Imaging. Retina 2018, 38, 352–358. [Google Scholar] [CrossRef] [PubMed]
- Saurabh, K.; Roy, R.; Thomas, N.R.; Chowdhury, M. Multimodal Imaging Characteristics of Hydroxychloroquine Retinopathy. Indian J. Ophthalmol. 2018, 66, 324–327. [Google Scholar] [CrossRef] [PubMed]
- Godara, P.; Dubis, A.M.; Roorda, A.; Duncan, J.L.; Carroll, J. Adaptive Optics Retinal Imaging: Emerging Clinical Applications. Optom. Vis. Sci. 2010, 87, 930–941. [Google Scholar] [CrossRef]
- Akyol, E.; Hagag, A.M.; Sivaprasad, S.; Lotery, A.J. Adaptive Optics: Principles and Applications in Ophthalmology. Eye 2021, 35, 244–264. [Google Scholar] [CrossRef]
- Ong, J.; Zarnegar, A.; Corradetti, G.; Singh, S.R.; Chhablani, J. Advances in Optical Coherence Tomography Imaging Technology and Techniques for Choroidal and Retinal Disorders. J. Clin. Med. 2022, 11, 5139. [Google Scholar] [CrossRef]
- Lombardo, M.; Serrao, S.; Devaney, N.; Parravano, M.; Lombardo, G. Adaptive Optics Technology for High-Resolution Retinal Imaging. Sensors 2012, 13, 334–366. [Google Scholar] [CrossRef]
- Bae, E.J.; Kim, K.R.; Tsang, S.H.; Park, S.P.; Chang, S. Retinal damage in chloroquine maculopathy, revealed by high resolution imaging: A case report utilizing adaptive optics scanning laser ophthalmoscopy. Korean J. Ophthalmol. 2014, 28, 100–107. [Google Scholar] [CrossRef] [PubMed]
- Debellemanière, G.; Flores, M.; Tumahai, P.; Meillat, M.; Bidaut Garnier, M.; Delbosc, B.; Saleh, M. Assessment of Parafoveal Cone Density in Patients Taking Hydroxychloroquine in the Absence of Clinically Documented Retinal Toxicity. Acta Ophthalmol. 2015, 93, e534–e540. [Google Scholar] [CrossRef] [PubMed]
- Babeau, F.; Busetto, T.; Hamel, C.; Villain, M.; Daien, V. Adaptive Optics: A Tool for Screening Hydroxychloroquine-Induced Maculopathy? Acta Ophthalmol. 2017, 95, e424–e425. [Google Scholar] [CrossRef] [PubMed]
- Ueda-Consolvo, T.; Oiwake, T.; Abe, S.; Nakamura, T.; Numata, A.; Hayashi, A. Hydroxychloroquine’s Early Impact on Cone Density. J. Ophthalmol. 2021, 2021, 1389805. [Google Scholar] [CrossRef] [PubMed]
- Ahn, S.J.; Lee, S.U.; Lee, S.H.; Lee, B.R. Evaluation of Retromode Imaging for Use in Hydroxychloroquine Retinopathy. Am. J. Ophthalmol. 2018, 196, 44–52. [Google Scholar] [CrossRef] [PubMed]
- Acton, J.H.; Cubbidge, R.P.; King, H.; Galsworthy, P.; Gibson, J.M. Drusen Detection in Retro-Mode Imaging by a Scanning Laser Ophthalmoscope. Acta Ophthalmol. 2011, 89, e404–e411. [Google Scholar] [CrossRef] [PubMed]
- Giansanti, F.; Mercuri, S.; Serino, F.; Caporossi, T.; Savastano, A.; Rizzo, C.; Faraldi, F.; Rizzo, S.; Bacherini, D. Scanning Laser Ophthalmoscopy Retromode Imaging Compared to Fundus Autofluorescence in Detecting Outer Retinal Features in Central Serous Chorioretinopathy. Diagnostics 2022, 12, 2638. [Google Scholar] [CrossRef]
- Rosenbaum, J.T.; Costenbader, K.H.; Desmarais, J.; Ginzler, E.M.; Fett, N.; Goodman, S.M.; O’Dell, J.R.; Schmajuk, G.; Werth, V.P.; Melles, R.B.; et al. American College of Rheumatology, American Academy of Dermatology, Rheumatologic Dermatology Society, and American Academy of Ophthalmology 2020 Joint Statement on Hydroxychloroquine Use With Respect to Retinal Toxicity. Arthritis Rheumatol. 2021, 73, 908–911. [Google Scholar] [CrossRef]











| Modality | Findings | Advantages and Disadvantages |
|---|---|---|
| Optical coherence tomography |
|
|
| Fundus autofluorescence |
|
|
| Modality | Findings | Advantages and Disadvantages |
|---|---|---|
| Optical coherence tomography | ||
| Retinal thickness |
|
|
| Retinal volume |
|
|
| Choroidal thickness |
|
|
| Choroidal vascularity index |
|
|
| Widefield OCT |
|
|
| En face imaging |
|
|
| Minimum intensity analysis |
|
|
| Fundus autofluorescence | ||
| Quantitative FAF |
|
|
| Near-infrared autofluorescence |
|
|
| Fluorescence lifetime imaging ophthalmoscopy |
|
|
| Widefield FAF |
|
|
| Optical coherence tomography angiography |
|
|
| Multicolour imaging |
|
|
| Adaptive optics |
|
|
| Retromode imaging |
|
|
Disclaimer/Publisher’s Note: The statements, opinions and data contained in all publications are solely those of the individual author(s) and contributor(s) and not of MDPI and/or the editor(s). MDPI and/or the editor(s) disclaim responsibility for any injury to people or property resulting from any ideas, methods, instructions or products referred to in the content. |
© 2023 by the authors. Licensee MDPI, Basel, Switzerland. This article is an open access article distributed under the terms and conditions of the Creative Commons Attribution (CC BY) license (https://creativecommons.org/licenses/by/4.0/).
Share and Cite
Cheong, K.X.; Ong, C.J.T.; Chandrasekaran, P.R.; Zhao, J.; Teo, K.Y.C.; Mathur, R. Review of Retinal Imaging Modalities for Hydroxychloroquine Retinopathy. Diagnostics 2023, 13, 1752. https://doi.org/10.3390/diagnostics13101752
Cheong KX, Ong CJT, Chandrasekaran PR, Zhao J, Teo KYC, Mathur R. Review of Retinal Imaging Modalities for Hydroxychloroquine Retinopathy. Diagnostics. 2023; 13(10):1752. https://doi.org/10.3390/diagnostics13101752
Chicago/Turabian StyleCheong, Kai Xiong, Charles Jit Teng Ong, Priya R Chandrasekaran, Jinzhi Zhao, Kelvin Yi Chong Teo, and Ranjana Mathur. 2023. "Review of Retinal Imaging Modalities for Hydroxychloroquine Retinopathy" Diagnostics 13, no. 10: 1752. https://doi.org/10.3390/diagnostics13101752
APA StyleCheong, K. X., Ong, C. J. T., Chandrasekaran, P. R., Zhao, J., Teo, K. Y. C., & Mathur, R. (2023). Review of Retinal Imaging Modalities for Hydroxychloroquine Retinopathy. Diagnostics, 13(10), 1752. https://doi.org/10.3390/diagnostics13101752

