Safe Follow-Up after Endovascular Aortic Repair with Unenhanced MRI: The SAFEVAR Study
Abstract
1. Introduction
2. Materials and Methods
2.1. Study Population
2.2. Image Acquisition
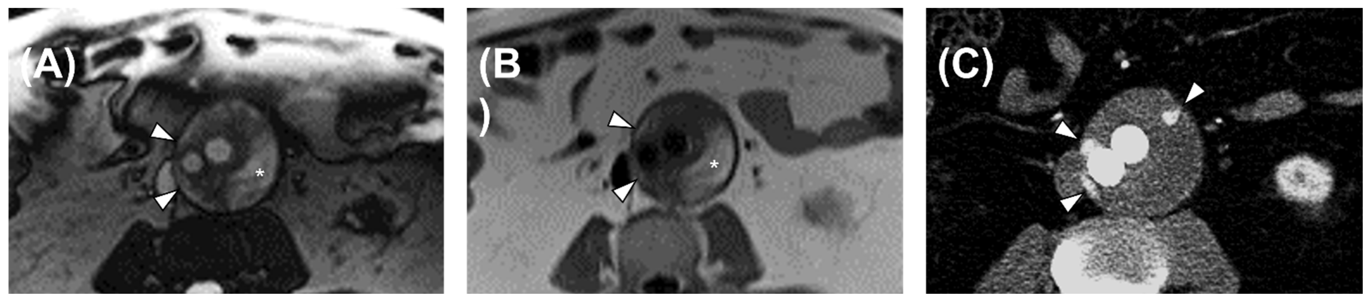
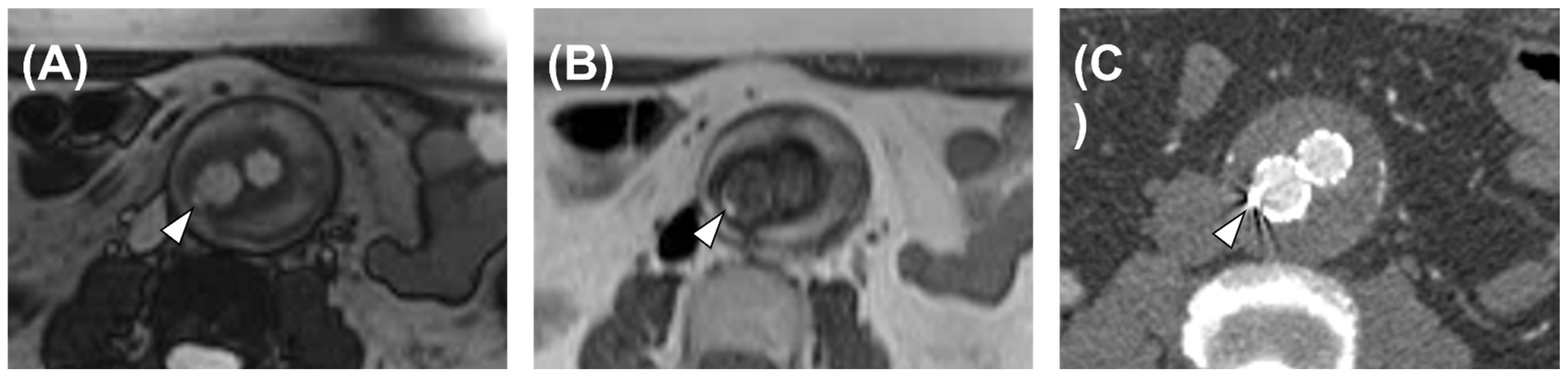
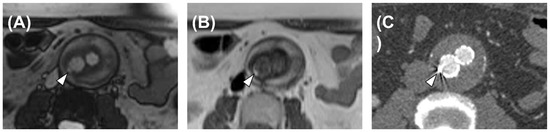
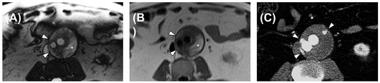
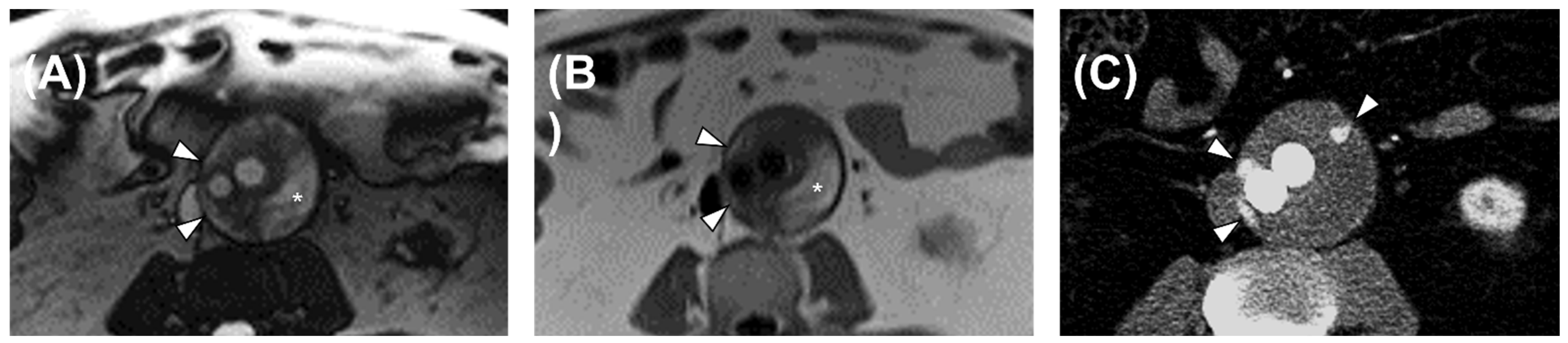
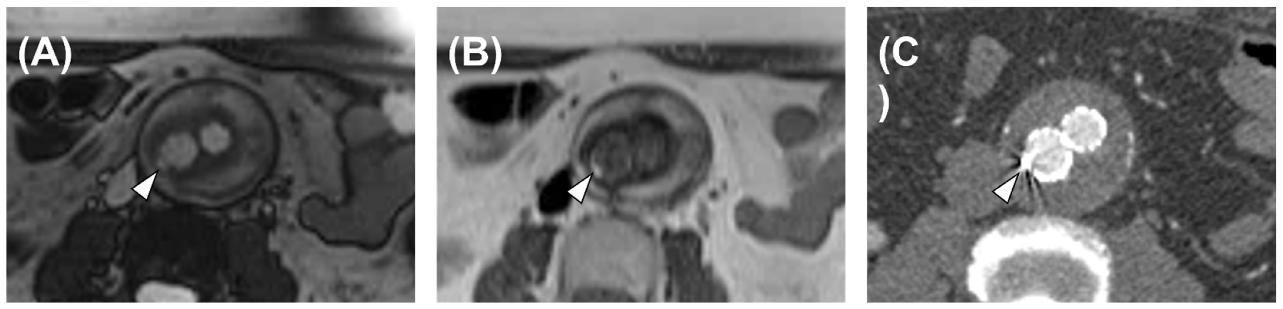
2.3. Image Analysis
2.4. Statistical Analysis
3. Results
3.1. Study Population
3.2. Morphological MRI Diagnostic Performance
3.3. Flow MRI Diagnostic Performance
4. Discussion
5. Conclusions
Author Contributions
Funding
Institutional Review Board Statement
Informed Consent Statement
Data Availability Statement
Conflicts of Interest
References
- Parodi, J.C.; Palmaz, J.C.; Barone, H.D. Transfemoral Intraluminal Graft Implantation for Abdominal Aortic Aneurysms. Ann. Vasc. Surg. 1991, 5, 491–499. [Google Scholar] [CrossRef] [PubMed]
- Yin, K.; Locham, S.S.; Schermerhorn, M.L.; Malas, M.B. Trends of 30-Day Mortality and Morbidities in Endovascular Repair of Intact Abdominal Aortic Aneurysm during the Last Decade. J. Vasc. Surg. 2019, 69, 64–73. [Google Scholar] [CrossRef] [PubMed]
- Li, B.; Khan, S.; Salata, K.; Hussain, M.A.; de Mestral, C.; Greco, E.; Aljabri, B.A.; Forbes, T.L.; Verma, S.; Al-Omran, M. A Systematic Review and Meta-Analysis of the Long-Term Outcomes of Endovascular versus Open Repair of Abdominal Aortic Aneurysm. J. Vasc. Surg. 2019, 70, 954–969.e30. [Google Scholar] [CrossRef] [PubMed]
- Antoniou, G.A.; Antoniou, S.A.; Torella, F. Editor’s Choice—Endovascular vs. Open Repair for Abdominal Aortic Aneurysm: Systematic Review and Meta-Analysis of Updated Peri-Operative and Long Term Data of Randomised Controlled Trials. Eur. J. Vasc. Endovasc. Surg. 2020, 59, 385–397. [Google Scholar] [CrossRef] [PubMed]
- Zaiem, F.; Almasri, J.; Tello, M.; Prokop, L.J.; Chaikof, E.L.; Murad, M.H. A Systematic Review of Surveillance after Endovascular Aortic Repair. J. Vasc. Surg. 2018, 67, 320–331.e37. [Google Scholar] [CrossRef]
- Chaikof, E.L.; Dalman, R.L.; Eskandari, M.K.; Jackson, B.M.; Lee, W.A.; Mansour, M.A.; Mastracci, T.M.; Mell, M.; Murad, M.H.; Nguyen, L.L.; et al. The Society for Vascular Surgery Practice Guidelines on the Care of Patients with an Abdominal Aortic Aneurysm. J. Vasc. Surg. 2018, 67, 2–77.e2. [Google Scholar] [CrossRef]
- Bashir, M.R.; Ferral, H.; Jacobs, C.; McCarthy, W.; Goldin, M. Endoleaks After Endovascular Abdominal Aortic Aneurysm Repair: Management Strategies According to CT Findings. Am. J. Roentgenol. 2009, 192, W178–W186. [Google Scholar] [CrossRef]
- Zhou, W.; Blay, E.; Varu, V.; Ali, S.; Jin, M.Q.; Sun, L.; Joh, J.H. Outcome and Clinical Significance of Delayed Endoleaks after Endovascular Aneurysm Repair. J. Vasc. Surg. 2014, 59, 915–920. [Google Scholar] [CrossRef]
- Wanhainen, A.; Verzini, F.; Van Herzeele, I.; Allaire, E.; Bown, M.; Cohnert, T.; Dick, F.; van Herwaarden, J.; Karkos, C.; Koelemay, M.; et al. Editor’s Choice—European Society for Vascular Surgery (ESVS) 2019 Clinical Practice Guidelines on the Management of Abdominal Aorto-Iliac Artery Aneurysms. Eur. J. Vasc. Endovasc. Surg. 2019, 57, 8–93. [Google Scholar] [CrossRef]
- Hansen, N.J.; Kaza, R.K.; Maturen, K.E.; Liu, P.S.; Platt, J.F. Evaluation of Low-Dose CT Angiography With Model-Based Iterative Reconstruction After Endovascular Aneurysm Repair of a Thoracic or Abdominal Aortic Aneurysm. Am. J. Roentgenol. 2014, 202, 648–655. [Google Scholar] [CrossRef]
- Smith, T.; Quencer, K.B. Best Practice Guidelines: Imaging Surveillance after Endovascular Aneurysm Repair. Am. J. Roentgenol. 2020, 214, 1165–1174. [Google Scholar] [CrossRef]
- Kalender, G.; Lisy, M.; Stock, U.A.; Endisch, A.; Kornberger, A. Identification of Factors Influencing Cumulative Long-Term Radiation Exposure in Patients Undergoing EVAR. Int. J. Vasc. Med. 2017, 2017, 1–10. [Google Scholar] [CrossRef]
- Lu, C.Y.; Diao, Y.K.; Guo, Y.Q.; Zhang, X.H.; Bai, H.L.; Li, Z.L. Can Multiphase Dynamic CT Angiography Provide a Better Assessment of Aortic Dissection Compared with the Standard Triphasic Protocol? Acta Radiol. 2018, 59, 58–64. [Google Scholar] [CrossRef]
- Walsh, S.R.; Tang, T.Y.; Boyle, J.R. Renal Consequences of Endovascular Abdominal Aortic Aneurysm Repair. J. Endovasc. Ther. 2008, 15, 73–82. [Google Scholar] [CrossRef]
- Habets, J.; Zandvoort, H.J.A.; Reitsma, J.B.; Bartels, L.W.; Moll, F.L.; Leiner, T.; Van Herwaarden, J.A. Magnetic Resonance Imaging Is More Sensitive than Computed Tomography Angiography for the Detection of Endoleaks after Endovascular Abdominal Aortic Aneurysm Repair: A Systematic Review. Eur. J. Vasc. Endovasc. Surg. 2013, 45, 340–350. [Google Scholar] [CrossRef]
- Ayuso, J.R.; De Caralt, T.M.; Pages, M.; Riambau, V.; Ayuso, C.; Sanchez, M.; Real, M.I.; Montaña, X. MRA Is Useful as a Follow-up Technique after Endovascular Repair of Aortic Aneurysms with Nitinol Endoprostheses. J. Magn. Reson. Imaging 2004, 20, 803–810. [Google Scholar] [CrossRef]
- Kanda, T.; Ishii, K.; Kawaguchi, H.; Kitajima, K.; Takenaka, D. High Signal Intensity in the Dentate Nucleus and Globus Pallidus on Unenhanced T1-Weighted MR Images: Relationship with Increasing Cumulative Dose of a Gadolinium-Based Contrast Material. Radiology 2014, 270, 834–841. [Google Scholar] [CrossRef]
- Kanda, T.; Fukusato, T.; Matsuda, M.; Toyoda, K.; Oba, H.; Kotoku, J.; Haruyama, T.; Kitajima, K.; Furui, S. Gadolinium-Based Contrast Agent Accumulates in the Brain Even in Subjects without Severe Renal Dysfunction: Evaluation of Autopsy Brain Specimens with Inductively Coupled Plasma Mass Spectroscopy. Radiology 2015, 276, 228–232. [Google Scholar] [CrossRef]
- Lenkinski, R.E. Gadolinium Deposition and Retention in the Brain: Should We Be Concerned? Radiol. Cardiothorac. Imaging 2019, 1, e190104. [Google Scholar] [CrossRef]
- Iozzelli, A.; D’Orta, G.; Aliprandi, A.; Secchi, F.; Di Leo, G.; Sardanelli, F. The Value of True-FISP Sequence Added to Conventional Gadolinium-Enhanced MRA of Abdominal Aorta and Its Major Branches. Eur. J. Radiol. 2009, 72, 489–493. [Google Scholar] [CrossRef]
- Resta, E.C.; Secchi, F.; Giardino, A.; Nardella, V.G.; Di Leo, G.; Flor, N.; Sardanelli, F. Non-Contrast MR Imaging for Detecting Endoleak after Abdominal Endovascular Aortic Repair. Int. J. Cardiovasc. Imaging 2013, 29, 229–235. [Google Scholar] [CrossRef] [PubMed]
- Henningsson, M.; Malik, S.; Botnar, R.; Castellanos, D.; Hussain, T.; Leiner, T. Black-Blood Contrast in Cardiovascular MRI. J. Magn. Reson. Imaging 2022, 55, 61–80. [Google Scholar] [CrossRef] [PubMed]
- Wymer, D.T.; Patel, K.P.; Burke, W.F.; Bhatia, V.K. Phase-Contrast MRI: Physics, Techniques, and Clinical Applications. RadioGraphics 2020, 40, 122–140. [Google Scholar] [CrossRef] [PubMed]
- Landis, J.R.; Koch, G.G. The Measurement of Observer Agreement for Categorical Data. Biometrics 1977, 33, 159–174. [Google Scholar] [CrossRef]
- Di Leo, G.; Sardanelli, F. Statistical Significance: P Value, 0.05 Threshold, and Applications to Radiomics—Reasons for a Conservative Approach. Eur. Radiol. Exp. 2020, 4, 18. [Google Scholar] [CrossRef]
- Brambilla, M.; Cerini, P.; Lizio, D.; Vigna, L.; Carriero, A.; Fossaceca, R. Cumulative Radiation Dose and Radiation Risk from Medical Imaging in Patients Subjected to Endovascular Aortic Aneurysm Repair. Radiol. Medica 2015, 120, 563–570. [Google Scholar] [CrossRef]
- Frija, G.; Damilakis, J.; Paulo, G.; Loose, R.; Vano, E. Cumulative Effective Dose from Recurrent CT Examinations in Europe: Proposal for Clinical Guidance Based on an ESR EuroSafe Imaging Survey. Eur. Radiol. 2021, 31, 5514–5523. [Google Scholar] [CrossRef]
- Stemerman, D.H.; Krinsky, G.A.; Lee, V.S.; Johnson, G.; Yang, B.M.; Rofsky, N.M. Thoracic Aorta: Rapid Black-Blood MR Imaging with Half-Fourier Rapid Acquisition with Relaxation Enhancement with or without Electrocardiographic Triggering. Radiology 1999, 213, 185–191. [Google Scholar] [CrossRef]
- Habets, J.; Zandvoort, H.J.A.; Moll, F.L.; Bartels, L.W.; Vonken, E.P.A.; van Herwaarden, J.A.; Leiner, T. Magnetic Resonance Imaging with a Weak Albumin Binding Contrast Agent Can Reveal Additional Endoleaks in Patients with an Enlarging Aneurysm after EVAR. Eur. J. Vasc. Endovasc. Surg. 2015, 50, 331–340. [Google Scholar] [CrossRef]
- Alerci, M.; Oberson, M.; Fogliata, A.; Gallino, A.; Vock, P.; Wyttenbach, R. Prospective, Intraindividual Comparison of MRI versus MDCT for Endoleak Detection after Endovascular Repair of Abdominal Aortic Aneurysms. Eur. Radiol. 2009, 19, 1223–1231. [Google Scholar] [CrossRef]
- Pitton, M.B.; Schmenger, R.P.; Neufang, A.; Konerding, M.A.; Düber, C.; Thelen, M. Endovascular Aneurysm Repair: Magnetic Resonance Monitoring of Histological Organization Processes in the Excluded Aneurysm. Circulation 2002, 105, 1995–1999. [Google Scholar] [CrossRef]
- Kawada, H.; Goshima, S.; Sakurai, K.; Noda, Y.; Kajita, K.; Tanahashi, Y.; Kawai, N.; Ishida, N.; Shimabukuro, K.; Doi, K.; et al. Utility of Noncontrast Magnetic Resonance Angiography for Aneurysm Follow-Up and Detection of Endoleaks after Endovascular Aortic Repair. Korean J. Radiol. 2020, 21, 513–524. [Google Scholar] [CrossRef]
- Wieners, G.; Meyer, F.; Halloul, Z.; Peters, N.; Rühl, R.; Dudeck, O.; Tautenhahn, J.; Ricke, J.; Pech, M. Detection of Type II Endoleak After Endovascular Aortic Repair: Comparison Between Magnetic Resonance Angiography and Blood-Pool Contrast Agent and Dual-Phase Computed Tomography Angiography. Cardiovasc. Intervent. Radiol. 2010, 33, 1135–1142. [Google Scholar] [CrossRef]
- Cornelissen, S.A.P.; Prokop, M.; Verhagen, H.J.; Adriaensen, M.E.; Moll, F.L.; Bartels, L.W. Detection of Occult Endoleaks After Endovascular Treatment of Abdominal Aortic Aneurysm Using Magnetic Resonance Imaging with a Blood Pool Contrast Agent. Investig. Radiol. 2010, 45, 548–553. [Google Scholar] [CrossRef]
- Ersoy, H.; Jacobs, P.; Kent, C.K.; Prince, M.R. Blood Pool MR Angiography of Aortic Stent-Graft Endoleak. Am. J. Roentgenol. 2004, 182, 1181–1186. [Google Scholar] [CrossRef]
- Levine, G.N.; Gomes, A.S.; Arai, A.E.; Bluemke, D.A.; Flamm, S.D.; Kanal, E.; Manning, W.J.; Martin, E.T.; Smith, J.M.; Wilke, N.; et al. Safety of Magnetic Resonance Imaging in Patients With Cardiovascular Devices. Circulation 2007, 116, 2878–2891. [Google Scholar] [CrossRef]


| Acquisition Parameters | True-FISP | HASTE | Phase-Contrast |
|---|---|---|---|
| Time of repetition (ms) | 237 | 590 | 37.12 |
| Time of echo (ms) | 1.15 | 44 | 2.47 |
| Section thickness (mm) | 7 | 6 | 6 |
| Flip angle (°) | 80 | 145 | 20 |
| Field of view (mm) | 400 | 400 | 340 |
| Acquisition time (s) | 120 | 22 | 15 |
| Parameter | Value |
|---|---|
| Female sex (n, %) | 5 (11) |
| Male sex (n, %) | 40 (89) |
| Total | 45 (100) |
| Age (median, IQR) | 73 (68–78) |
| Interval EVAR-CTA (days; median, IQR) | 96 (61–562) |
| Interval EVAR-MRI (days; median, IQR) | 92 (57–372) |
| Interval CTA-MRI (days; median, IQR) | 0 (0–0) |
| Type of lesion | |
| AAA (n, %) | 27 (60) |
| TAA (n, %) | 6 (13) |
| T-AAA (n, %) | 7 (16) |
| Iliac AA (n, %) | 3 (7) |
| Type B dissection (n, %) | 2 (4) |
| Total | 45 (100) |
| Lumen diameter (mean, SD) | 56.9 (13.5) |
| Thrombus diameter (mean, SD) | 16.1 (8.6) |
| Stent material | |
| Nitinol (n, %) | 36 (80) |
| Unknown (n, %) | 9 (20) |
| Total | 45 (100) |
| Type of endoleak | |
| Type I (n, %) | 6 (32) |
| Type II (n, %) | 13 (68) |
| Total (n, %) | 19 (100) |
| CTA Positive | CTA Negative | Total | |
|---|---|---|---|
| True-FISP | |||
| Positive | 19 | 21 | 40 |
| Negative | 0 | 5 | 5 |
| Total | 19 | 26 | 45 |
| HASTE | |||
| Positive | 19 | 19 | 38 |
| Negative | 0 | 7 | 7 |
| Total | 19 | 26 | 45 |
| MRI | |||
| Positive | 19 | 21 | 40 |
| Negative | 0 | 5 | 5 |
| Total | 19 | 26 | 45 |
| CTA Positive | CTA Negative | p | |
|---|---|---|---|
| Age (median and IQR) | 72 (67–76) | 76 (69–79) | 0.490 |
| Thrombus flow in MR + patients (L/min; median, IQR) | 0.06 (0.03–0.23) | 0.01 (0.01–0.04) | 0.007 * |
| Thrombus flow in all patients (L/min; median, IQR) | 0.06 (0.03–0.23) | 0.01 (0.01–0.08) | 0.016 * |
| Thrombus/aneurysm ratio (median, IQR) | 0.75 (0.66–0.80) | 0.70 (0.62–0.78) | 0.587 |
| CNR hyperintensity–thrombus true-FISP (median, IQR) | 31.67 (22.08–46.57) | 39.05 (21.74–50.64) | 0.778 |
| CNR hyperintensity–thrombus HASTE (median, IQR) | 19.41 (13.88–28.64) | 23.93 (16.11–56.04) | 0.300 |
Disclaimer/Publisher’s Note: The statements, opinions and data contained in all publications are solely those of the individual author(s) and contributor(s) and not of MDPI and/or the editor(s). MDPI and/or the editor(s) disclaim responsibility for any injury to people or property resulting from any ideas, methods, instructions or products referred to in the content. |
© 2022 by the authors. Licensee MDPI, Basel, Switzerland. This article is an open access article distributed under the terms and conditions of the Creative Commons Attribution (CC BY) license (https://creativecommons.org/licenses/by/4.0/).
Share and Cite
Secchi, F.; Capra, D.; Monti, C.B.; Mobini, N.; Ortiz, M.D.M.G.; Trimarchi, S.; Mazzaccaro, D.; Righini, P.; Nano, G.; Sardanelli, F. Safe Follow-Up after Endovascular Aortic Repair with Unenhanced MRI: The SAFEVAR Study. Diagnostics 2023, 13, 20. https://doi.org/10.3390/diagnostics13010020
Secchi F, Capra D, Monti CB, Mobini N, Ortiz MDMG, Trimarchi S, Mazzaccaro D, Righini P, Nano G, Sardanelli F. Safe Follow-Up after Endovascular Aortic Repair with Unenhanced MRI: The SAFEVAR Study. Diagnostics. 2023; 13(1):20. https://doi.org/10.3390/diagnostics13010020
Chicago/Turabian StyleSecchi, Francesco, Davide Capra, Caterina Beatrice Monti, Nazanin Mobini, Maria Del Mar Galimberti Ortiz, Santi Trimarchi, Daniela Mazzaccaro, Paolo Righini, Giovanni Nano, and Francesco Sardanelli. 2023. "Safe Follow-Up after Endovascular Aortic Repair with Unenhanced MRI: The SAFEVAR Study" Diagnostics 13, no. 1: 20. https://doi.org/10.3390/diagnostics13010020
APA StyleSecchi, F., Capra, D., Monti, C. B., Mobini, N., Ortiz, M. D. M. G., Trimarchi, S., Mazzaccaro, D., Righini, P., Nano, G., & Sardanelli, F. (2023). Safe Follow-Up after Endovascular Aortic Repair with Unenhanced MRI: The SAFEVAR Study. Diagnostics, 13(1), 20. https://doi.org/10.3390/diagnostics13010020

