Idiopathic Multicentric Castleman Disease with Strikingly Elevated IgG4 Concentration in the Serum and Abundant IgG4-Positive Cells in the Tissue: A Case Report
Abstract
1. Introduction
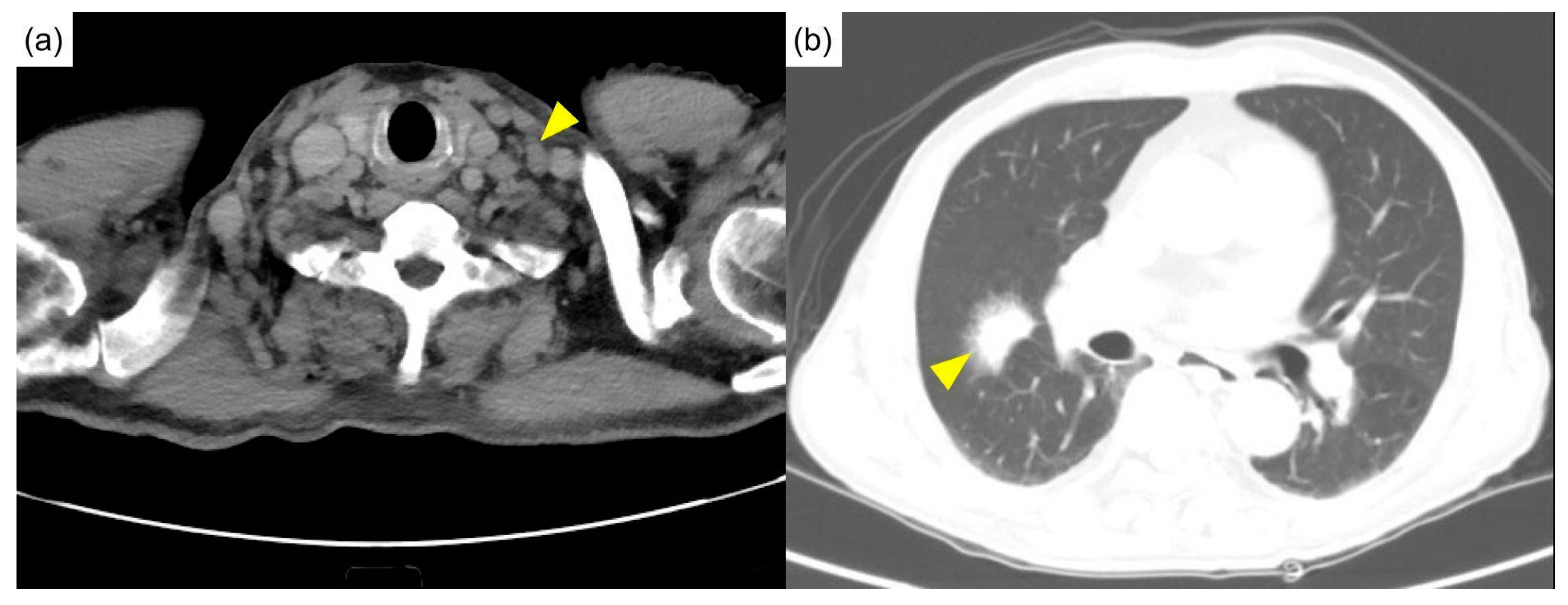
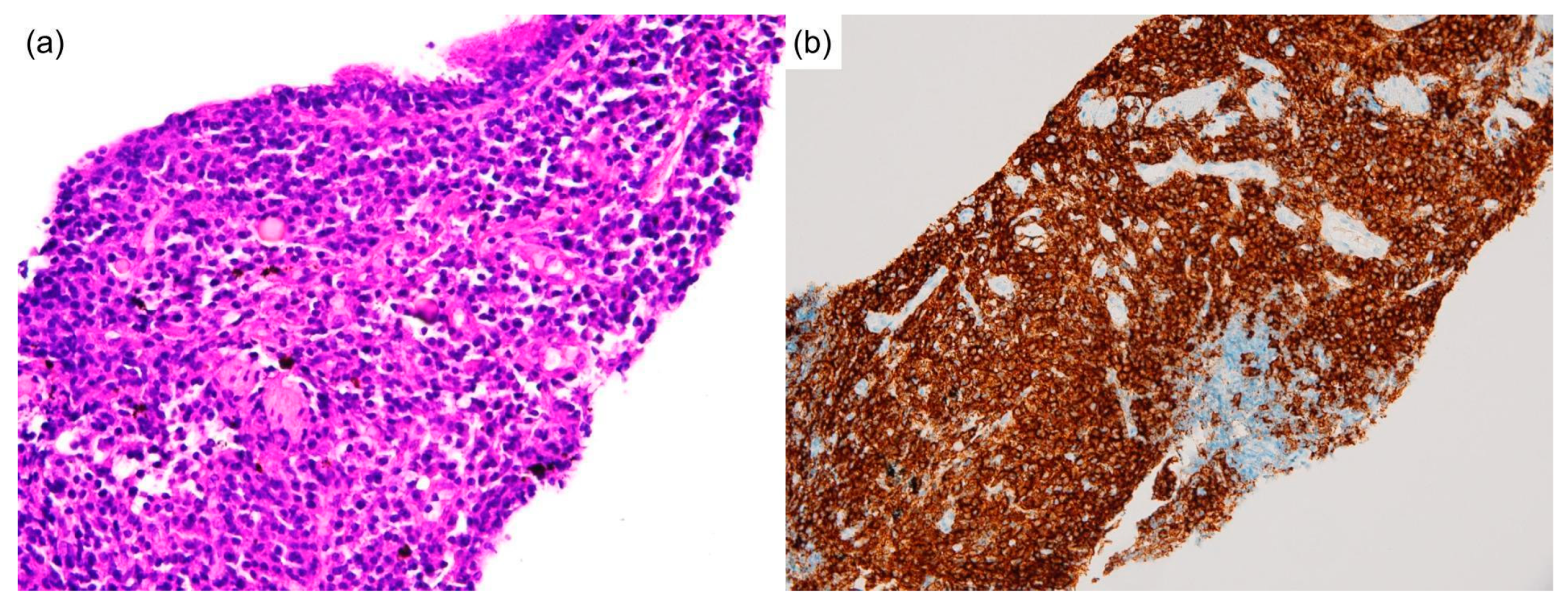
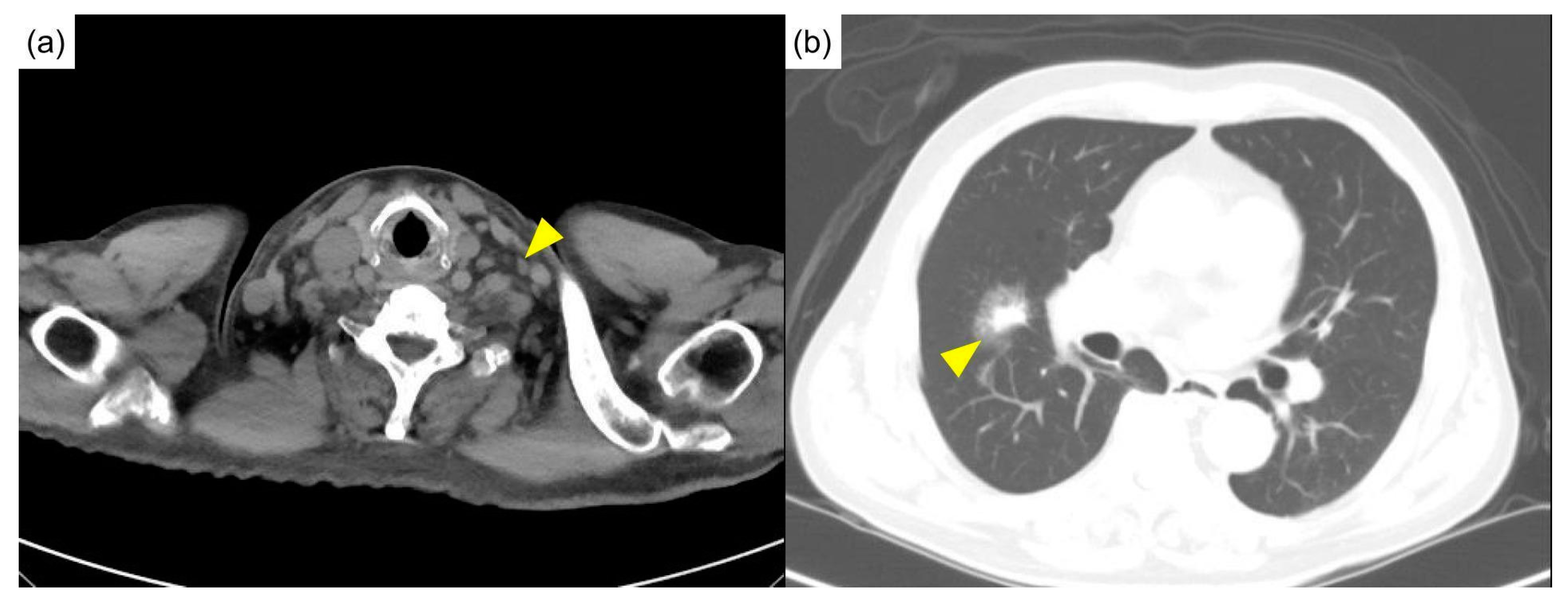
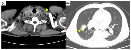
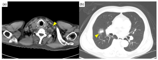
2. Case Presentation
3. Discussion
4. Conclusions
Author Contributions
Funding
Institutional Review Board Statement
Informed Consent Statement
Data Availability Statement
Acknowledgments
Conflicts of Interest
References
- Keller, A.R.; Hochholzer, L.; Castleman, B. Hyaline-vascular and plasma-cell types of giant lymph node hyperplasia of the mediastinum and other locations. Cancer 1972, 29, 670–683. [Google Scholar] [CrossRef]
- Fajgenbaum, D.C.; Uldrick, T.S.; Bagg, A.; Frank, D.; Wu, D.; Srkalovic, G.; Simpson, D.; Liu, A.; Menke, D.; Chandrakasan, S.; et al. International, evidence-based consensus diagnostic criteria for HHV-8–negative/idiopathic multicentric Castleman disease. Blood 2017, 129, 1646–1657. [Google Scholar] [CrossRef]
- Andreas, K.; Achim, W.; Erik, S.; Georg, H.; Charles, J.K. Bone Marrow Findings in Multicentric Castleman Disease in HIV-negative Patients. Am. J. Surg. Pathol. 2007, 31, 398–402. [Google Scholar] [CrossRef]
- Masaki, Y.; Kawabata, H.; Takai, K.; Tsukamoto, N.; Fujimoto, S.; Ishigaki, Y.; Kurose, N.; Miura, K.; Nakamura, S.; Aoki, S. 2019 Updated diagnostic criteria and disease severity classification for TAFRO syndrome. Int. J. Hematol. 2020, 111, 155–158. [Google Scholar] [CrossRef] [PubMed]
- Fujimoto, S.; Koga, T.; Kawakami, A.; Kawabata, H.; Okamoto, S.; Mizuki, M.; Yano, S.; Ide, M.; Uno, K.; Yagi, K.; et al. Tentative diagnostic criteria and disease severity classification for Castleman disease: A report of the research group on Castleman disease in Japan. Mod. Rheumatol. 2018, 28, 161–167. [Google Scholar] [CrossRef] [PubMed]
- Mukherjee, S.; Martin, R.; Sande, B.; Paige, J.S.; Fajgenbaum, D.C. Epidemiology and treatment patterns of idiopathic multicentric Castleman disease in the era of IL-6–directed therapy. Blood Adv. 2022, 6, 359–367. [Google Scholar] [CrossRef] [PubMed]
- Otani, K.; Inoue, D.; Fujikura, K.; Komori, T.; Abe-Suzuki, S.; Tajiri, T.; Itoh, T.; Zen, Y. Idiopathic multicentric Castleman’s disease: A clinicopathologic study in comparison with IgG4-related disease. Oncotarget 2018, 9, 6691–6706. [Google Scholar] [CrossRef]
- Liu, A.Y.; Nabel, C.S.; Finkelman, B.S.; Ruth, J.R.; Kurzrock, R.; van Rhee, F.; Krymskaya, V.P.; Kelleher, D.; Rubenstein, A.H.; Fajgenbaum, D.C. Idiopathic multicentric Castleman’s disease: A systematic literature review. Lancet Haematol. 2016, 3, e163–e175. [Google Scholar] [CrossRef]
- Sánchez-Oro, R.; Alonso-Muñoz, E.M.; Romero, L.M. Review of IgG4-related disease. Gastroenterol. Hepatol. 2019, 42, 638–647. [Google Scholar] [CrossRef]
- Wallace, Z.S.; Naden, R.P.; Chari, S.; Choi, H.; Della-Torre, E.; Dicaire, J.-F.; Hart, P.A.; Inoue, D.; Kawano, M.; Khosroshahi, A.; et al. The 2019 American College of Rheumatology/European League Against Rheumatism Classification Criteria for IgG4-Related Disease. Arthritis Rheumatol. 2019, 72, 7–19. [Google Scholar] [CrossRef]
- Sasaki, T.; Akiyama, M.; Kaneko, Y.; Takeuchi, T. Immunoglobulin G4–related disease and idiopathic multicentric Castleman’s disease: Confusable immune-mediated disorders. Rheumatology 2022, 61, 490–501. [Google Scholar] [CrossRef] [PubMed]
- Sasaki, T.; Akiyama, M.; Kaneko, Y.; Mori, T.; Yasuoka, H.; Suzuki, K.; Yamaoka, K.; Okamoto, S.; Takeuchi, T. Distinct features distinguishing IgG4-related disease from multicentric Castleman’s disease. RMD Open 2017, 3, 432. [Google Scholar] [CrossRef] [PubMed]
- Yamamoto, M.; Takahashi, H.; Shinomura, Y. Mechanisms and assessment of IgG4-related disease: Lessons for the rheumatologist. Nat. Rev. Rheumatol. 2014, 10, 148–159. [Google Scholar] [CrossRef] [PubMed]
- Sato, Y.; Kojima, M.; Takata, K.; Morito, T.; Mizobuchi, K.; Tanaka, T.; Inoue, D.; Shiomi, H.; Iwao, H.; Yoshino, T. Multicentric Castleman’s disease with abundant IgG4-positive cells: A clinical and pathological analysis of six cases. J. Clin. Pathol. 2010, 63, 12. [Google Scholar] [CrossRef]
- Nishikori, A.; Nishimura, M.F.; Nishimura, Y.; Notohara, K.; Satou, A.; Moriyama, M.; Nakamura, S.; Sato, Y. Investigation of IgG4-positive cells in idiopathic multicentric Castleman disease and validation of the 2020 exclusion criteria for IgG4-related disease. Pathol. Int. 2022, 72, 43–52. [Google Scholar] [CrossRef]
- Satou, A.; Notohara, K.; Zen, Y.; Nakamura, S.; Yoshino, T.; Okazaki, K.; Sato, Y. Clinicopathological differential diagnosis of IgG4-related disease: A historical overview and a proposal of the criteria for excluding mimickers of IgG4-related disease. Pathol. Int. 2020, 70, 391–402. [Google Scholar] [CrossRef]
- Tanaka, T.; Kishimoto, T. Targeting Interleukin-6: All the Way to Treat Autoimmune and Inflammatory Disease. Int. J. Biol. Sci. 2012, 8, 1227–1236. [Google Scholar] [CrossRef]
- Sun, D.P.; Chen, W.M.; Wang, L.; Wang, Z.; Liang, J.H.; Zhu, H.Y.; Fan, L.; Wu, Y.J.; Xu, W.; Li, J.Y. Clinical characteristics and immunological abnormalities of Castleman disease complicated with autoimmune diseases. J. Cancer Res. Clin. Oncol. 2021, 147, 2107–2115. [Google Scholar] [CrossRef]
- Sato, Y.; Kojima, M.; Takata, K.; Morito, T.; Asaoku, H.; Takeuchi, T.; Mizobuchi, K.; Fujihara, M.; Kuraoka, K.; Nakai, T.; et al. Systemic IgG4-related lymphadenopathy: A clinical and pathologic comparison to multicentric Castleman’s disease. Mod. Pathol. 2009, 22, 589–599. [Google Scholar] [CrossRef]
- Wu, Y.J.; Su, K.Y. Updates on the diagnosis and management of multicentric Castleman disease. Tzu. Chi. Med. J. 2021, 33, 22–28. [Google Scholar] [CrossRef]
- Van Rhee, F.; Voorhees, P.; Dispenzieri, A.; Fosså, A.; Srkalovic, G.; Ide, M.; Munshi, N.; Schey, S.; Streetly, M.; Pierson, S.K.; et al. International, evidence-based consensus treatment guidelines for idiopathic multicentric Castleman disease. Blood 2018, 132, 2115–2124. [Google Scholar] [CrossRef] [PubMed]





Publisher’s Note: MDPI stays neutral with regard to jurisdictional claims in published maps and institutional affiliations. |
© 2022 by the authors. Licensee MDPI, Basel, Switzerland. This article is an open access article distributed under the terms and conditions of the Creative Commons Attribution (CC BY) license (https://creativecommons.org/licenses/by/4.0/).
Share and Cite
Cheng, C.-C.; Chen, Y.-C.; Hsu, Y.-H.; Su, K.-Y. Idiopathic Multicentric Castleman Disease with Strikingly Elevated IgG4 Concentration in the Serum and Abundant IgG4-Positive Cells in the Tissue: A Case Report. Diagnostics 2022, 12, 2261. https://doi.org/10.3390/diagnostics12092261
Cheng C-C, Chen Y-C, Hsu Y-H, Su K-Y. Idiopathic Multicentric Castleman Disease with Strikingly Elevated IgG4 Concentration in the Serum and Abundant IgG4-Positive Cells in the Tissue: A Case Report. Diagnostics. 2022; 12(9):2261. https://doi.org/10.3390/diagnostics12092261
Chicago/Turabian StyleCheng, Chia-Chun, Ying-Chu Chen, Yung-Hsiang Hsu, and Kuei-Ying Su. 2022. "Idiopathic Multicentric Castleman Disease with Strikingly Elevated IgG4 Concentration in the Serum and Abundant IgG4-Positive Cells in the Tissue: A Case Report" Diagnostics 12, no. 9: 2261. https://doi.org/10.3390/diagnostics12092261
APA StyleCheng, C.-C., Chen, Y.-C., Hsu, Y.-H., & Su, K.-Y. (2022). Idiopathic Multicentric Castleman Disease with Strikingly Elevated IgG4 Concentration in the Serum and Abundant IgG4-Positive Cells in the Tissue: A Case Report. Diagnostics, 12(9), 2261. https://doi.org/10.3390/diagnostics12092261

