Case Report: MRI, CEUS, and CT Imaging Features of Metanephric Adenoma with Histopathological Correlation and Literature Review
Abstract
1. Introduction
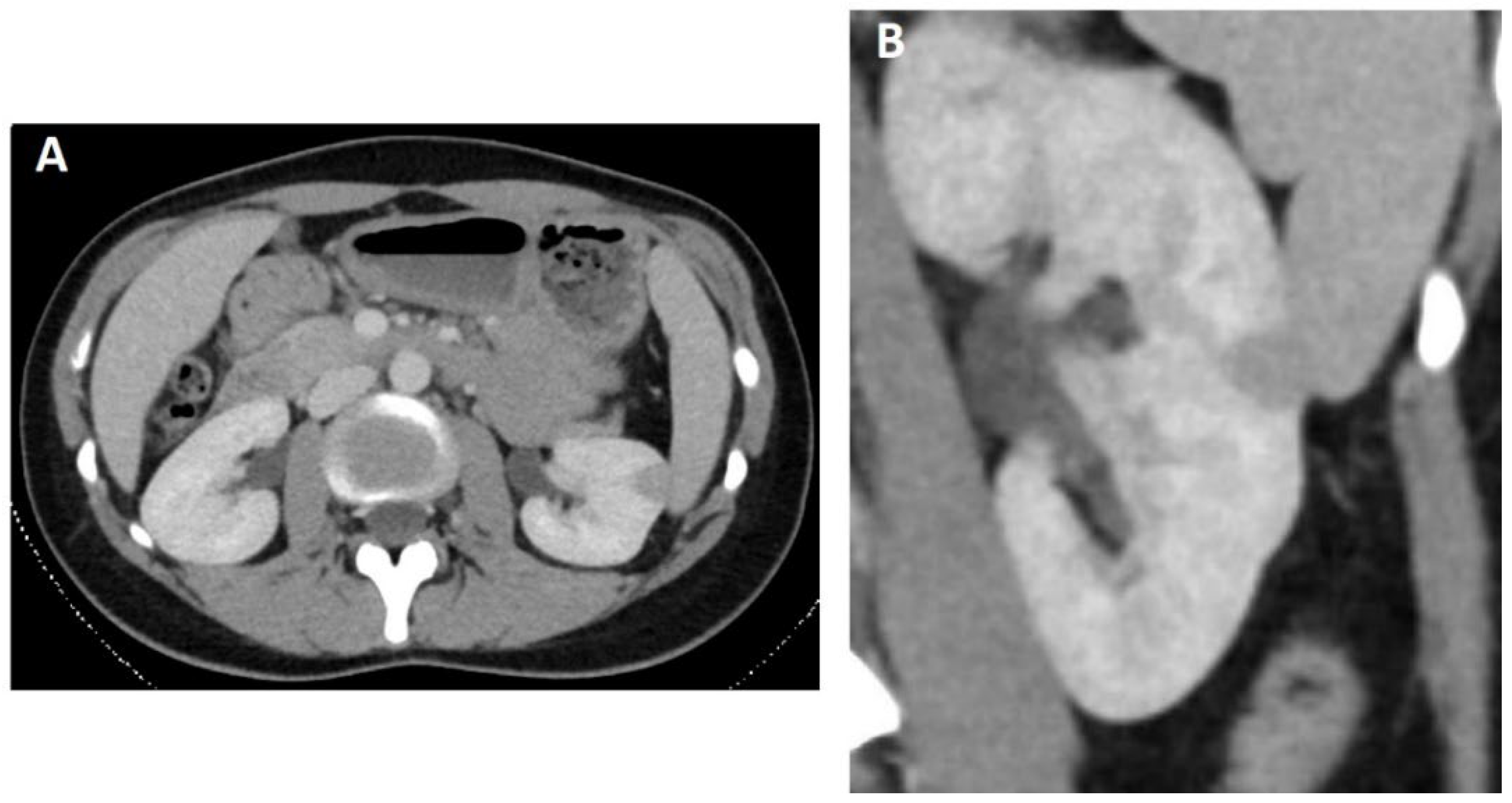
2. Case Study
3. Discussion
4. Conclusions
Author Contributions
Funding
Informed Consent Statement
Data Availability Statement
Acknowledgments
Conflicts of Interest
References
- Brisigotti, M.; Cozzutto, C.; Fabbretti, G.; Sergi, C.; Callea, F. Metanephric adenoma. Histol. Histopathol. 1992, 7, 689–692. [Google Scholar] [PubMed]
- Spaner, S.J.; Yu, Y.; Cook, A.J.; Boag, G. Pediatric metanephric adenoma: Case report and review of the literature. Int. Urol. Nephrol. 2014, 46, 677–680. [Google Scholar] [CrossRef] [PubMed]
- Mantoan Padilha, M.; Billis, A.; Allende, D.; Zhou, M.; Magi-Galluzzi, C. Metanephric adenoma and solid variant of papillary renal cell carcinoma: Common and distinctive features. Histopathology 2013, 62, 941–953. [Google Scholar] [CrossRef] [PubMed]
- Amin, M.B.; Amin, M.B.; Tamboli, P.; Javidan, J.; Stricker, H.; de-Peralta Venturina, M.; Deshpande, A.; Menon, M. Prognostic impact of histologic subtyping of adult renal epithelial neoplasms: An experience of 405 cases. Am. J. Surg. Pathol. 2002, 26, 281–291. [Google Scholar] [CrossRef] [PubMed]
- Snyder, M.E.; Bach, A.; Kattan, M.W.; Raj, G.V.; Reuter, V.E.; Russo, P. Incidence of benign lesions for clinically localized renal masses smaller than 7 cm in radiological diameter: Influence of sex. J. Urol. 2006, 176, 2391–2395, discussion 2395–2396. [Google Scholar] [CrossRef] [PubMed]
- Pins, M.R.; Jones, E.C.; Martul, E.V.; Kamat, B.R.; Umlas, J.; Renshaw, A.A. Metanephric adenoma-like tumors of the kidney: Report of 3 malignancies with emphasis on discriminating features. Arch. Pathol. Lab. Med. 1999, 123, 415–420. [Google Scholar] [CrossRef]
- Nakagawa, T.; Kanai, Y.; Fujimoto, H.; Kitamura, H.; Furukawa, H.; Maeda, S.; Oyama, T.; Takesaki, T.; Hasegawa, T. Malignant mixed epithelial and stromal tumours of the kidney: A report of the first two cases with a fatal clinical outcome. Histopathology 2004, 44, 302–304. [Google Scholar] [CrossRef]
- Schmelz, H.U.; Stoschek, M.; Schwerer, M.; Danz, B.; Hauck, E.W.; Weidner, W.; Sparwasser, C. Metanephric adenoma of the kidney: Case report and review of the literature. Int. Urol. Nephrol. 2005, 37, 213–217. [Google Scholar] [CrossRef]
- Fan, H.; Shao, Q.Q.; Li, H.Z.; Xiao, Y.; Zhang, Y.S. The Clinical Characteristics of Metanephric Adenoma: A Case Report and Literature Review. Medicine 2016, 95, e3486. [Google Scholar] [CrossRef]
- Wang, P.; Tian, Y.; Xiao, Y.; Zhang, Y.; Sun, F.A.; Tang, K. A metanephric adenoma of the kidney associated with polycythemia: A case report. Oncol. Lett. 2016, 11, 352–354. [Google Scholar] [CrossRef][Green Version]
- Yoshioka, K.; Miyakawa, A.; Ohno, Y.; Namiki, K.; Horiguchi, Y.; Murai, M.; Mukai, M.; Tachibana, M. Production of erythropoietin and multiple cytokines by metanephric adenoma results in erythrocytosis. Pathol. Int. 2007, 57, 529–536. [Google Scholar] [CrossRef]
- Paner, G.P.; Turk, T.M.; Clark, J.I.; Lindgren, V.; Picken, M.M. Passive seeding in metanephric adenoma: A review of pseudometastatic lesions in perinephric lymph nodes. Arch. Pathol. Lab. Med. 2005, 129, 1317–1321. [Google Scholar] [CrossRef]
- Kumar, S.; Mandal, A.K.; Acharya, N.R.; Kakkad, N.; Singh, S.K. Laparoscopic nephron-sparing surgery for metanephric adenoma. Surg. Laparosc. Endosc. Percutan. Tech. 2007, 17, 573–575. [Google Scholar] [CrossRef]
- Picken, M.M.; Curry, J.L.; Lindgren, V.; Clark, J.I.; Eble, J.N. Metanephric adenosarcoma in a young adult: Morphologic, immunophenotypic, ultrastructural, and fluorescence in situ hybridization analyses: A case report and review of the literature. Am. J. Surg. Pathol. 2001, 25, 1451–1457. [Google Scholar] [CrossRef]
- Drut, R.; Drut, R.M.; Ortolani, C. Metastatic metanephric adenoma with foci of papillary carcinoma in a child: A combined histologic, immunohistochemical, and FISH study. Int. J. Surg. Pathol. 2001, 9, 241–247. [Google Scholar] [CrossRef]
- Amie, F.; Andre, D.; Foulet Roge, A.; Goura, E.; Chautard, D.; Colombel, P. Bilateral renal metanephric adenoma. Prog. Urol. 2004, 14, 534–537, discussion 537. [Google Scholar]
- Hu, Y.C.; Wu, L.; Yan, L.F.; Zhang, W.; Cui, G.B. The imaging features of metanephric adenoma: A case report and review of literature. OncoTargets Ther. 2015, 8, 445–449. [Google Scholar] [CrossRef][Green Version]
- Jinzaki, M.; Tanimoto, A.; Mukai, M.; Ikeda, E.; Kobayashi, S.; Yuasa, Y.; Narimatsu, Y.; Murai, M. Double-phase helical CT of small renal parenchymal neoplasms: Correlation with pathologic findings and tumor angiogenesis. J. Comput. Assist. Tomogr. 2000, 24, 835–842. [Google Scholar] [CrossRef]
- Zhang, L.J.; Yang, G.F.; Shen, W.; Lu, G.M. CT and ultrasound findings of metanephric adenoma: A report of two cases and literature review. Br. J. Radiol. 2011, 84, e51–e54. [Google Scholar] [CrossRef]
- Yuan, J.; Gong, J. CT features of metanephric adenoma: A case report and review of the literature. Quant. Imaging Med. Surg. 2014, 4, 505–508. [Google Scholar] [CrossRef]
- Masuda, A.; Kamai, T.; Mizuno, T.; Kambara, T.; Abe, H.; Tomita, S.; Fukabori, Y.; Yamanishi, T.; Kaji, Y.; Yoshida, K. Renal metanephric adenoma mimicking papillary renal cell carcinoma on computed tomography: A case report. Urol. Int. 2013, 90, 369–372. [Google Scholar] [CrossRef]
- Araki, T.; Hata, H.; Asakawa, E.; Araki, T. MRI of metanephric adenoma. J. Comput. Assist. Tomogr. 1998, 22, 87–90. [Google Scholar] [CrossRef]
- Davis, C.J., Jr.; Barton, J.H.; Sesterhenn, I.A.; Mostofi, F.K. Metanephric adenoma. Clinicopathological study of fifty patients. Am. J. Surg. Pathol. 1995, 19, 1101–1114. [Google Scholar] [CrossRef]
- Pesti, T.; Sukosd, F.; Jones, E.C.; Kovacs, G. Mapping a tumor suppressor gene to chromosome 2p13 in metanephric adenoma by microsatellite allelotyping. Hum. Pathol. 2001, 32, 101–104. [Google Scholar] [CrossRef]
- Brown, J.A.; Anderl, K.L.; Borell, T.J.; Qian, J.; Bostwick, D.G.; Jenkins, R.B. Simultaneous chromosome 7 and 17 gain and sex chromosome loss provide evidence that renal metanephric adenoma is related to papillary renal cell carcinoma. J. Urol. 1997, 158, 370–374. [Google Scholar] [CrossRef]
- Fraggetta, F.; Galia, A.; Lopes, M.; Cosentino, A.; Vasquez, E. Metanephric adenoma of the kidney: Histologic, immunohistochemical and DNA content analysis study. A case report. Gen. Diagn. Pathol. 1997, 143, 59–62. [Google Scholar]
- Tsuji, M.; Murakami, Y.; Kanayama, H.; Sano, T.; Kagawa, S. A case of renal metanephric adenoma: Histologic, immunohistochemical and cytogenetic analyses. Int. J. Urol. 1999, 6, 203–207. [Google Scholar] [CrossRef]
- Ding, Y.; Wang, C.; Li, X.; Jiang, Y.; Mei, P.; Huang, W.; Song, G.; Wang, J.; Ping, G.; Hu, R.; et al. Novel clinicopathological and molecular characterization of metanephric adenoma: A study of 28 cases. Diagn. Pathol. 2018, 13, 54. [Google Scholar] [CrossRef]




Publisher’s Note: MDPI stays neutral with regard to jurisdictional claims in published maps and institutional affiliations. |
© 2022 by the authors. Licensee MDPI, Basel, Switzerland. This article is an open access article distributed under the terms and conditions of the Creative Commons Attribution (CC BY) license (https://creativecommons.org/licenses/by/4.0/).
Share and Cite
Gohla, G.; Bongers, M.N.; Kaufmann, S.; Kraus, M.S. Case Report: MRI, CEUS, and CT Imaging Features of Metanephric Adenoma with Histopathological Correlation and Literature Review. Diagnostics 2022, 12, 2071. https://doi.org/10.3390/diagnostics12092071
Gohla G, Bongers MN, Kaufmann S, Kraus MS. Case Report: MRI, CEUS, and CT Imaging Features of Metanephric Adenoma with Histopathological Correlation and Literature Review. Diagnostics. 2022; 12(9):2071. https://doi.org/10.3390/diagnostics12092071
Chicago/Turabian StyleGohla, Georg, Malte N. Bongers, Sascha Kaufmann, and Mareen S. Kraus. 2022. "Case Report: MRI, CEUS, and CT Imaging Features of Metanephric Adenoma with Histopathological Correlation and Literature Review" Diagnostics 12, no. 9: 2071. https://doi.org/10.3390/diagnostics12092071
APA StyleGohla, G., Bongers, M. N., Kaufmann, S., & Kraus, M. S. (2022). Case Report: MRI, CEUS, and CT Imaging Features of Metanephric Adenoma with Histopathological Correlation and Literature Review. Diagnostics, 12(9), 2071. https://doi.org/10.3390/diagnostics12092071

