Clinicopathological Relevance of PAX8 Expression Patterns in Acute Kidney Injury and Chronic Kidney Diseases
Abstract
1. Introduction
2. Materials and Methods
2.1. Human Kidney Samples and Patients Data
2.2. Animals Samples with Induced Postischemic AKI
2.3. Immunohistochemistry
2.4. Statistical Analysis
3. Results
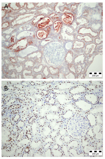
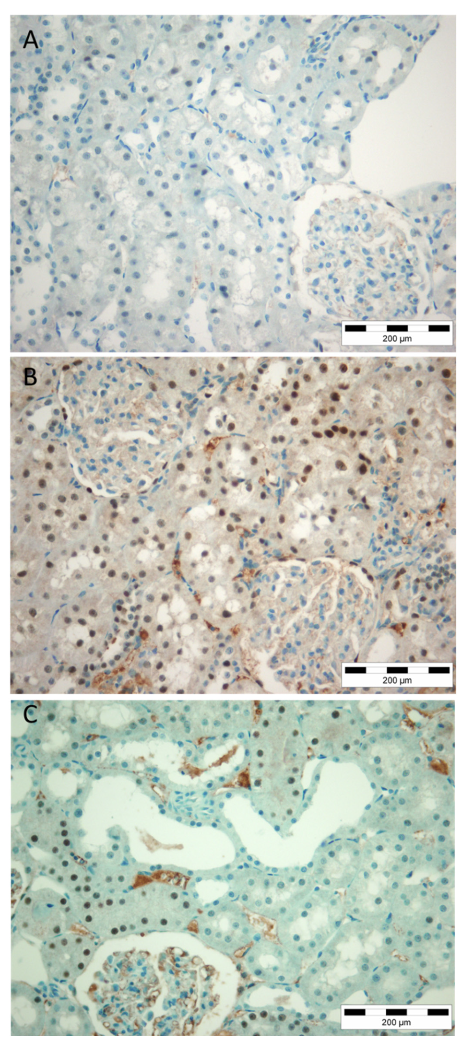
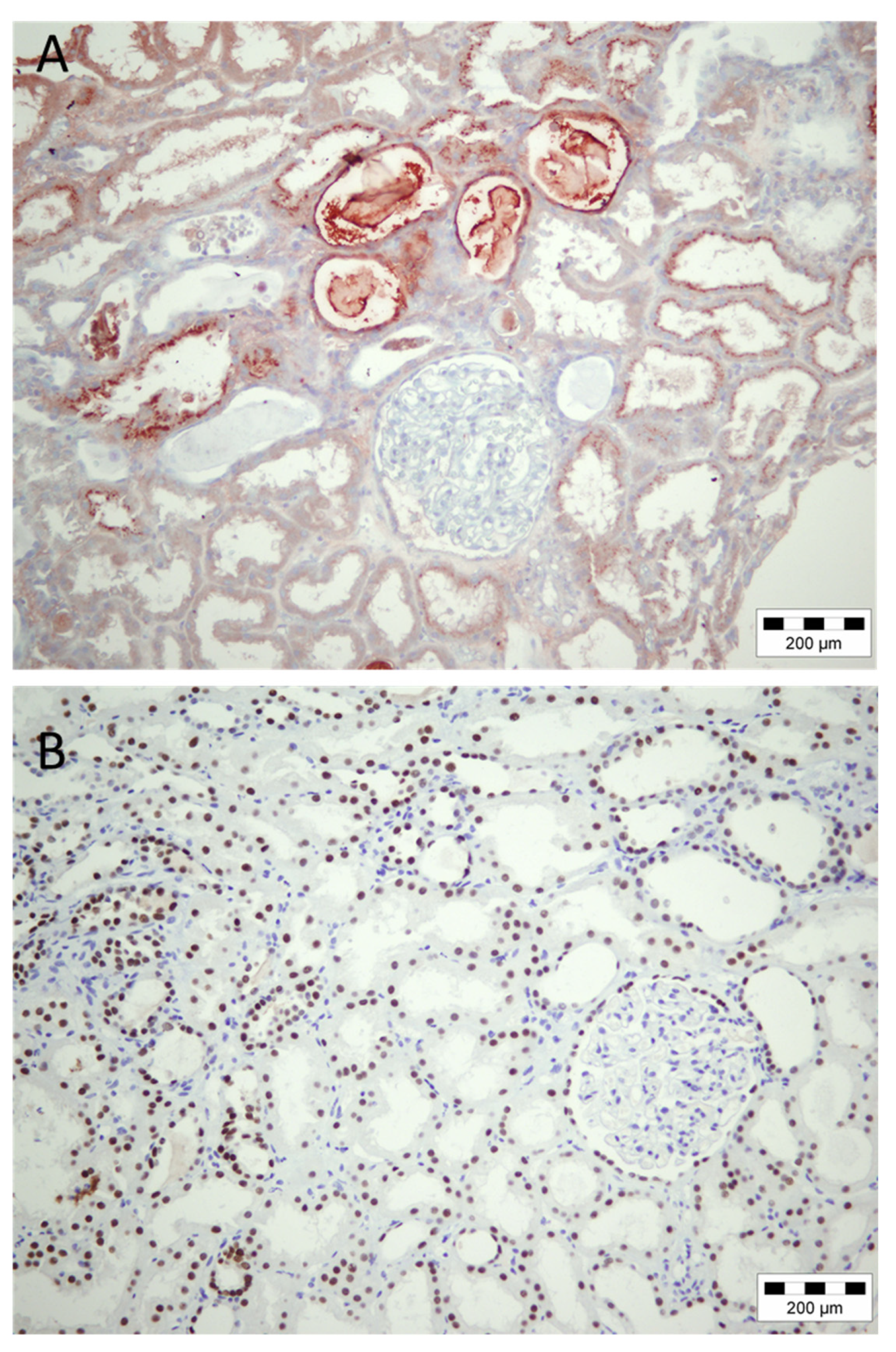
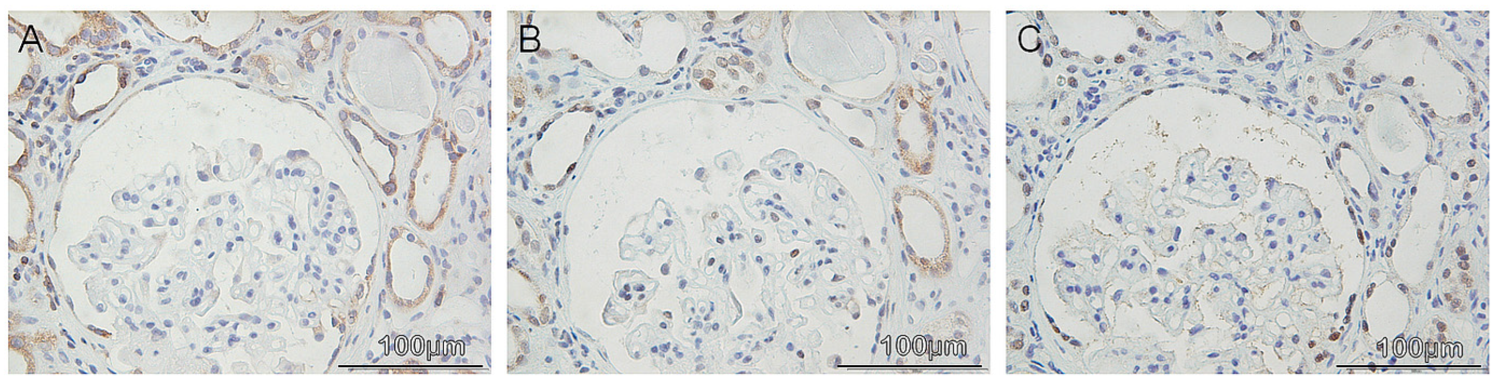
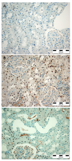
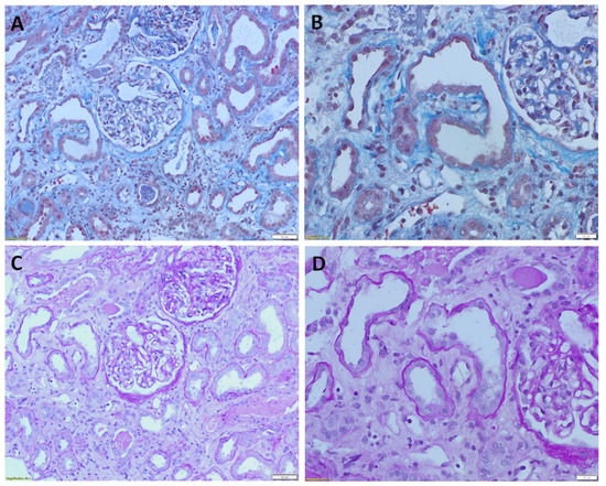
3.1. Immunohistochemical Detection of PAX8 in Human Kidney Biopsies and Autopsy Cases
3.2. Immunohistochemical Detection of PAX8 in Kidney Animal Samples
3.3. Clinicopathological Relevance of PAX8 Expression in Proximal Tubuli
3.4. Relationship of PAX8 with BCL-2 and p53 Expressions
4. Discussion
5. Conclusions
Author Contributions
Funding
Institutional Review Board Statement
Informed Consent Statement
Data Availability Statement
Conflicts of Interest
References
- Lang, D.; Powell, S.K.; Plummer, R.S.; Young, K.P.; Ruggeri, B.A. PAX genes: Roles in development, pathophysiology, and cancer. Biochem. Pharmacol. 2007, 73, 1–14. [Google Scholar] [CrossRef] [PubMed]
- Mansouri, A.; Hallonet, M.; Gruss, P. Pax genes and their roles in cell differentiation and development. Curr. Opin. Cell Biol. 1996, 8, 851–857. [Google Scholar] [CrossRef] [PubMed]
- Plachov, D.; Chowdhury, K.; Walther, C.; Simon, D.; Guenet, J.L.; Gruss, P. Pax8, a murine paired box gene expressed in the developing excretory system and thyroid gland. Development 1990, 110, 643–651. [Google Scholar] [PubMed]
- Grimley, E.; Dressler, G.R. Are Pax proteins potential therapeutic targets in kidney disease and cancer? Kidney Int. 2018, 94, 259–267. [Google Scholar] [CrossRef] [PubMed]
- Chi, N.; Epstein, J.A. Getting your Pax straight: Pax proteins in development and disease. Trends Genet. 2002, 18, 41–47. [Google Scholar] [CrossRef]
- Kusaba, T.; Lalli, M.; Kramann, R.; Kobayashi, A.; Humphreys, B.D. Differentiated kidney epithelialcells repair injured proximal tubule. Proc. Natl. Acad. Sci. USA 2014, 111, 1527–1532. [Google Scholar] [CrossRef]
- Bonventre, J.V. Dedifferentiation and proliferation of surviving epithelial cells in acute renal failure. J. Am. Soc. Nephrol. 2003, 14, S55–S61. [Google Scholar]
- Narlis, M.; Grote, D.; Gaitan, Y.; Boualia, S.K.; Bouchard, M. Pax2 and Pax8 regulate branching morphogenesis and nephron differentiation in the developing kidney. J. Am. Soc. Nephrol. 2007, 18, 1121–1129. [Google Scholar] [CrossRef]
- Laszczyk, A.M.; Higashi, A.Y.; Patel, S.R.; Johnson, C.N.; Soofi, A.; Abraham, S.; Dressler, G.R. Pax2 and Pax8 proteins regulate urea transporters and aquaporins to control urine concentration in adult kidney. J. Am. Soc. Nephrol. 2020, 31, 1212–1225. [Google Scholar] [CrossRef]
- Stewart, K.; Bouchard, M. Coordinated cell behaviours in early urogenital system morphogenesis. Semin. Cell Dev. Biol. 2014, 36, 13–20. [Google Scholar] [CrossRef]
- Tong, G.X.; Yu, W.M.; Beaubier, N.T.; Weeden, E.M.; Hamele-Bena, D.; Mansukhani, M.M.; O’Toole, K.M. Expression of PAX8 in normal and neoplastic renal tissues: An immunohistochemical study. Mod. Pathol. 2009, 22, 1218–1227. [Google Scholar] [CrossRef] [PubMed]
- Ozcan, A.; Shen, S.S.; Hamilton, C.; Ajana, K.; Coffey, D.; Krishnan, B.; Truong, L.D. PAX8 expression in non-neoplastic tissues, primary tumors, and metastatic tumors: A comprehensive immunohistochemical study. Mod. Pathol. 2011, 24, 751–764. [Google Scholar] [CrossRef] [PubMed]
- Ozcan, A.; de la Roza, G.; Ro, J.Y.; Shen, S.S.; Truong, L.D. PAX 2 and PAX8 expression in primary and metastatic renal tumors: A comprehensive comparison. Arch. Pathol. Lab. Med. 2012, 136, 1541–1551. [Google Scholar] [CrossRef]
- Nonaka, D.; Tang, Y.; Chiriboga, L.; Rivera, M.; Ghossein, R. Diagnostic utility of thyroid transcription factors Pax8 and TTF-2 (FoxE1) in thyroid epithelial neoplasms. Mod. Pathol. 2008, 21, 192–200. [Google Scholar] [CrossRef]
- Bowen, N.J.; Logani, S.; Dickerson, E.B.; Kapa, L.B.; Akhtar, M.; Benigno, B.B.; McDonald, J.F. Emerging roles for PAX8 in ovarian cancer and endosalpingeal development. Gynecol. Oncol. 2007, 104, 331–337. [Google Scholar] [CrossRef] [PubMed]
- Khizer, K.; Padda, J.; Khedr, A.; Tasnim, F.; Al-Ewaidat, O.A.; Palet, V.; Ismali, D.; Melt Campos, V.Y.; Jean-Charles, G. Paired-Box Gene 8 (PAX8) and its association with epithelial carcinomas. Cureus 2021, 13, e17208. [Google Scholar] [CrossRef] [PubMed]
- Laury, A.R.; Hornick, J.L.; Perets, R.; Krane, J.F.; Corson, J.; Drapkin, R.; Hirsch, M.S. PAX8 reliably distinguishes ovarian serous tumors from malignant mesothelioma. Am. J. Surg. Pathol. 2010, 34, 627–635. [Google Scholar] [CrossRef]
- Nonaka, D.; Chiriboga, L.; Soslow, R.A. Expression of pax8 as a useful marker in distinguishing ovarian carcinomas from mammary carcinomas. Am. J. Surg. Pathol. 2008, 32, 1566–1571. [Google Scholar] [CrossRef]
- Laury, A.R.; Perets, R.; Piao, H.; Krane, J.F.; Barletta, J.A.; French, C.; Chirieac, L.R.; Lis, R.; Loda, M.; Hornick, J.L.; et al. A comprehensive analysis of PAX8 expression in human epithelial tumors. Am. J. Surg. Pathol. 2011, 35, 816–826. [Google Scholar] [CrossRef]
- Ye, J.; Hameed, O.; Findeis-Hosey, J.J.; Fan, L.; Li, F.; McMahon, L.A.; Yang, Q.; Wang, H.L.; Xu, H. Diagnostic utility of PAX8, TTF-1 and napsin A for discriminating metastatic carcinoma from primary adenocarcinoma of the lung. Biotech. Histochem. 2012, 87, 30–34. [Google Scholar] [CrossRef]
- Hewitt, S.M.; Hamada, S.; Monarres, A.; Kottical, L.V.; Saunders, G.F.; McDonnell, T.J. Transcriptional activation of the bcl-2 apoptosis suppressor gene by the paired box transcription factor PAX8. Anticancer Res. 1997, 17, 3211–3215. [Google Scholar] [PubMed]
- Stuart, E.T.; Haffner, R.; Oren, M.; Gruss, P. Loss of p53 function through PAX-mediated transcriptional repression. EMBO J. 1995, 14, 5638–5645. [Google Scholar] [CrossRef] [PubMed]
- CKD work group. KDOQI 2012 Clinical Practice Guideline for the Evaluation and Management of Chronic Kidney Disease. Kidney Int. Suppl. 2013, 3, 1–163. [Google Scholar]
- Kanteti, R.; El-Hashani, E.; Dhanasingh, I.; Tretiakova, M.; Husain, A.N.; Sharma, S.; Sharma, J.; Vokes, E.E.; Salgia, R. Role of PAX8 in the regulation of MET and RON receptor tyrosine kinases in non-small cell lung cancer. BMC Cancer 2014, 14, 185. [Google Scholar] [CrossRef] [PubMed]
- Di Palma, T.; Conti, A.; de Cristofaro, T.; Scala, S.; Nitsch, L.; Zannini, M. Identification of novel Pax8 targets in FRTL5 thyroid cells by gene silencing and expression microarrayanalysis. PLoS ONE 2011, 6, e25162. [Google Scholar] [CrossRef]
- Di Palma, T.; Filippone, M.G.; Pierantoni, G.M.; Fusco, A.; Soddu, S.; Zannini, M. Pax8 has a critical role in epithelial cell survival and proliferation. Cell Death Dis. 2013, 4, e729. [Google Scholar] [CrossRef]
- Chen, Y.J.; Campbell, H.G.; Wiles, A.K.; Eccles, M.R.; Reddel, R.R.; Braithwaite, A.W.; Royds, J.A. PAX8 regulates telomerase reverse transcriptase and telomerase RNA component in glioma. Cancer Res. 2008, 68, 5724–5732. [Google Scholar] [CrossRef]
- Ordonez, N.G. Value of PAX 8 immunostaining in tumor diagnosis: A review and update. Adv. Anat. Pathol. 2012, 19, 140–151. [Google Scholar] [CrossRef]
- Cybulsky, A.V. Growth factor pathways in proliferative glomerulonephritis. Curr. Opin. Nephrol. Hypertens. 2000, 9, 217–223. [Google Scholar] [CrossRef]
- Hallman, M.A.; Zhuang, S.; Schnellmann, R.G. Regulation of dedifferentiation and redifferentiation in renal proximal tubular cells by the epidermal growth factor receptor. J. Pharmacol. Exp. Ther. 2008, 325, 520–528. [Google Scholar] [CrossRef]
- Duffield, J.S.; Humphreys, B.D. Origin of new cells in the adult kidney: Results from genetic labeling techniques. Kidney Int. 2011, 79, 494–501. [Google Scholar] [CrossRef] [PubMed]
- Humphreys, B.D.; Czerniak, S.; DiRocco, D.P.; Hasnain, W.; Cheema, R.; Bonventre, J.V. Repair of injured proximal tubule does not involve specialized progenitors. Proc. Natl. Acad. Sci. USA 2011, 108, 9226–9231. [Google Scholar] [CrossRef] [PubMed]
- Chang-Panesso, M.; Humphreys, B.D. Cellular plasticity in kidney injury and repair. Nat. Rev. Nephrol. 2017, 13, 39–46. [Google Scholar] [CrossRef] [PubMed]
- Nadasdy, T.; Laszik, Z.; Blick, K.E.; Johnson, L.D.; Silva, F.G. Proliferative activity of intrinsic cell populations in the normal human kidney. J. Am. Soc. Nephrol. 1994, 4, 2032–2039. [Google Scholar] [CrossRef]
- Soofi, A.; Kutschat, A.P.; Azam, M.; Laszczyk, A.M.; Dressler, G.R. Regeneration after acute kidney injury requires PTIP-mediated epigenetic modifications. JCI Insight 2020, 5, e130204. [Google Scholar] [CrossRef]
- Rothenpieler, U.W.; Dressler, G.R. Pax-2 is required for mesenchymeto-epithelium conversion during kidney development. Development 1993, 119, 711–720. [Google Scholar] [CrossRef]
- Lindoso, R.S.; Karine, S.; Verdoorn, K.S.; Einicker-Lamas, M. Renal recovery after injury: The role of Pax-2. Nephrol. Dial. Transplant. 2009, 24, 2628–2633. [Google Scholar] [CrossRef][Green Version]
- Van der Hauwaert, C.; Savary, G.; Gnemmi, V.; Glowacki, F.; Pottier, N.; Bouillez, A.; Maboudou, P.; Zini, L.; Leroy, X.; Cauffiez, C.; et al. Isolation and characterization of a primary proximal tubular epithelial cell model from human kidney by CD10/CD13 double labeling. PLoS ONE 2013, 8, e66750. [Google Scholar] [CrossRef]
- Sari, A.; Calli, A.; Altinboga, A.A.; Pehlivan, F.S.; Gorgel, S.N.; Balci, U.; Ermete, M.; Dincel, C.; Cakalagaoglu, F. Nucleophosmin expression in renal cell carcinoma and oncocytoma. APMIS 2012, 120, 187–194. [Google Scholar] [CrossRef]
- Poleev, A.N.; Fickenscher, H.E.; Mundlos, S.T.; Winterpacht, A.; Zabel, B.; Fidler, A.; Gruss, P.; Plachov, D. PAX8, a human paired box gene: Isolation and expression in developing thyroid, kidney and Wilms’ tumors. Development 1992, 116, 611–623. [Google Scholar] [CrossRef]
- Dahl, E.; Koseki, H.; Balling, R. Pax genes and organogenesis. Bioessays 1997, 19, 755–765. [Google Scholar] [CrossRef] [PubMed]
- Bouchard, M.; Souabni, A.; Mandler, M.; Neubüser, A.; Busslinger, M. Nephric lineage specification by Pax2 and Pax8. Genes Dev. 2002, 16, 2958–2970. [Google Scholar] [CrossRef] [PubMed]






| Clinical and Laboratory Parameters | At the Time of Kidney Biopsy | At the Time of Control Medical Examination | |||||
|---|---|---|---|---|---|---|---|
| PAX8 in Proximal Tubuli | p | PAX8 in Proximal Tubuli | p | ||||
| Absent | Present | Absent | Present | ||||
| Age [year] | mean ± SD | 35.1 ± 16.7 | 44.1 ± 18.1 | 0.243 | 39.0 ± 9.5 | 46.5 ± 22.1 | 0.601 |
| Serum creatinine [μmol/L] | 159.4 ± 166.1 | 167.2 ± 52.4 | 0.895 | 129.8 ± 52.2 | 185.0 ± 136.3 | 0.532 | |
| eGFR [mL/min/1.73 m2] | 64.2 ± 36.9 | 42.8 ± 21.1 | 0.141 | 65.0 ± 44.2 | 46.5 ± 27.8 | 0.458 | |
| Urea [mmol/L] | 11.4 ± 9.7 | 10.9 ± 2.8 | 0.886 | 9.8 ± 2.9 | 17.2 ± 7.5 | 0.154 | |
| Glucose [mmol/L] | 5.3 ± 0.7 | 5.1 ± 1.3 | 0.247 | 3.9 ± 0.2 | 5.1 ± 0.9 | 0.094 | |
| Proteinuria [g/24 h] | 5.9 ± 4.4 | 6.82 ± 4.8 | 0.673 | 3.7 ± 5.5 | 4.6 ± 5.4 | 0.794 | |
| CKD Stage | PAX8 in Proximal Tubuli | |
|---|---|---|
| Positive | Negative | |
| 1 | 1 | 5 |
| 2 | 0 | 4 |
| 3A | 1 | 0 |
| 3B | 3 | 2 |
| 4 | 4 | 0 |
| 5 | 0 | 0 |
Publisher’s Note: MDPI stays neutral with regard to jurisdictional claims in published maps and institutional affiliations. |
© 2022 by the authors. Licensee MDPI, Basel, Switzerland. This article is an open access article distributed under the terms and conditions of the Creative Commons Attribution (CC BY) license (https://creativecommons.org/licenses/by/4.0/).
Share and Cite
Zivotic, M.; Dundjerovic, D.; Naumovic, R.; Kovacevic, S.; Ivanov, M.; Karanovic, D.; Nikolic, G.; Markovic-Lipkovski, J.; Radojevic Skodric, S.; Nesovic Ostojic, J. Clinicopathological Relevance of PAX8 Expression Patterns in Acute Kidney Injury and Chronic Kidney Diseases. Diagnostics 2022, 12, 2036. https://doi.org/10.3390/diagnostics12092036
Zivotic M, Dundjerovic D, Naumovic R, Kovacevic S, Ivanov M, Karanovic D, Nikolic G, Markovic-Lipkovski J, Radojevic Skodric S, Nesovic Ostojic J. Clinicopathological Relevance of PAX8 Expression Patterns in Acute Kidney Injury and Chronic Kidney Diseases. Diagnostics. 2022; 12(9):2036. https://doi.org/10.3390/diagnostics12092036
Chicago/Turabian StyleZivotic, Maja, Dusko Dundjerovic, Radomir Naumovic, Sanjin Kovacevic, Milan Ivanov, Danijela Karanovic, Gorana Nikolic, Jasmina Markovic-Lipkovski, Sanja Radojevic Skodric, and Jelena Nesovic Ostojic. 2022. "Clinicopathological Relevance of PAX8 Expression Patterns in Acute Kidney Injury and Chronic Kidney Diseases" Diagnostics 12, no. 9: 2036. https://doi.org/10.3390/diagnostics12092036
APA StyleZivotic, M., Dundjerovic, D., Naumovic, R., Kovacevic, S., Ivanov, M., Karanovic, D., Nikolic, G., Markovic-Lipkovski, J., Radojevic Skodric, S., & Nesovic Ostojic, J. (2022). Clinicopathological Relevance of PAX8 Expression Patterns in Acute Kidney Injury and Chronic Kidney Diseases. Diagnostics, 12(9), 2036. https://doi.org/10.3390/diagnostics12092036

