The Accuracy of Cytology, Colposcopy and Pathology in Evaluating Precancerous Cervical Lesions
Abstract
:1. Introduction
2. Material and Methods
2.1. Study Participants
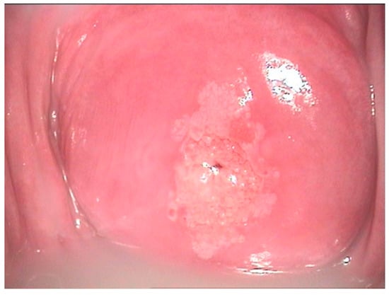
2.2. Clinical Examination
2.3. Statistical Analysis
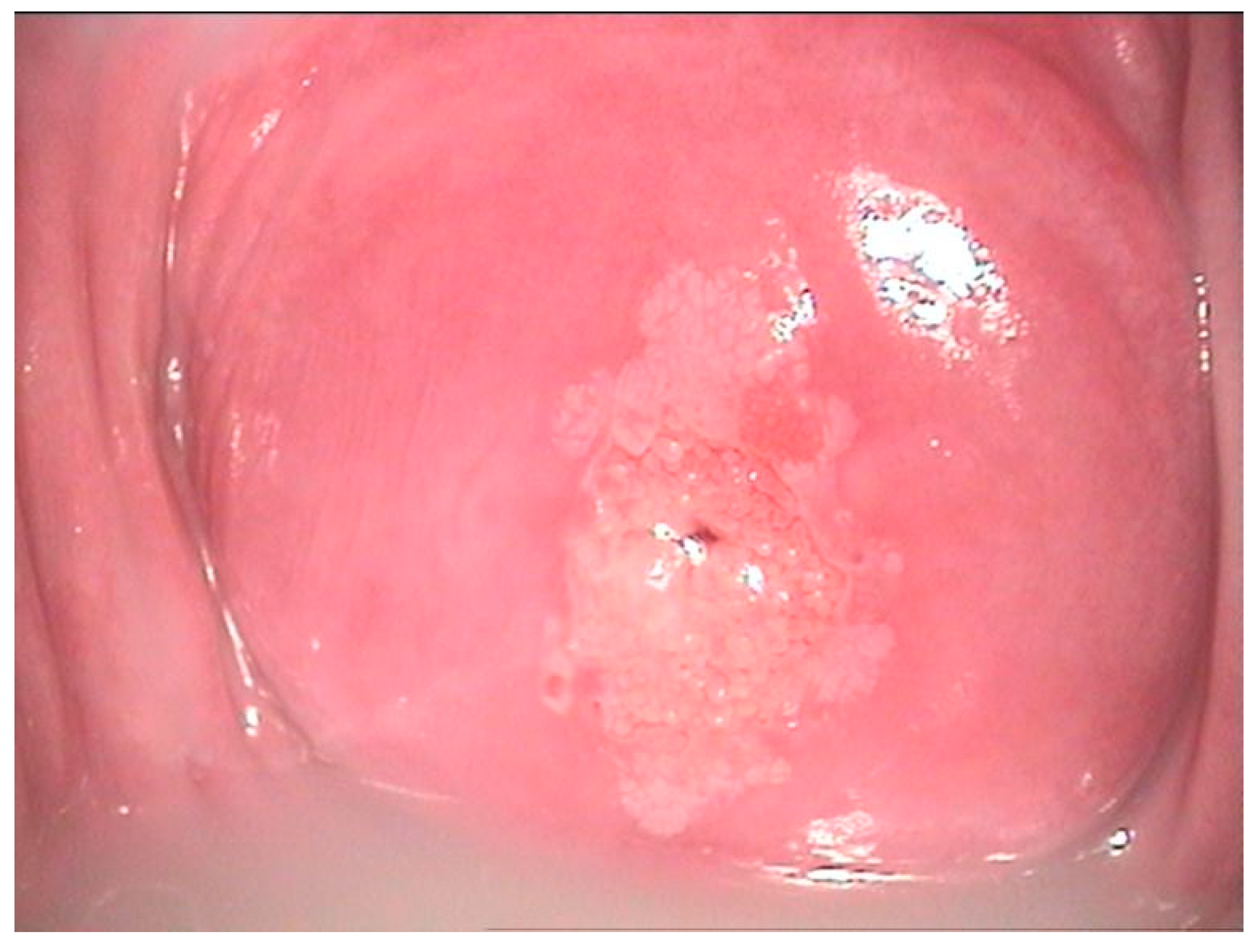
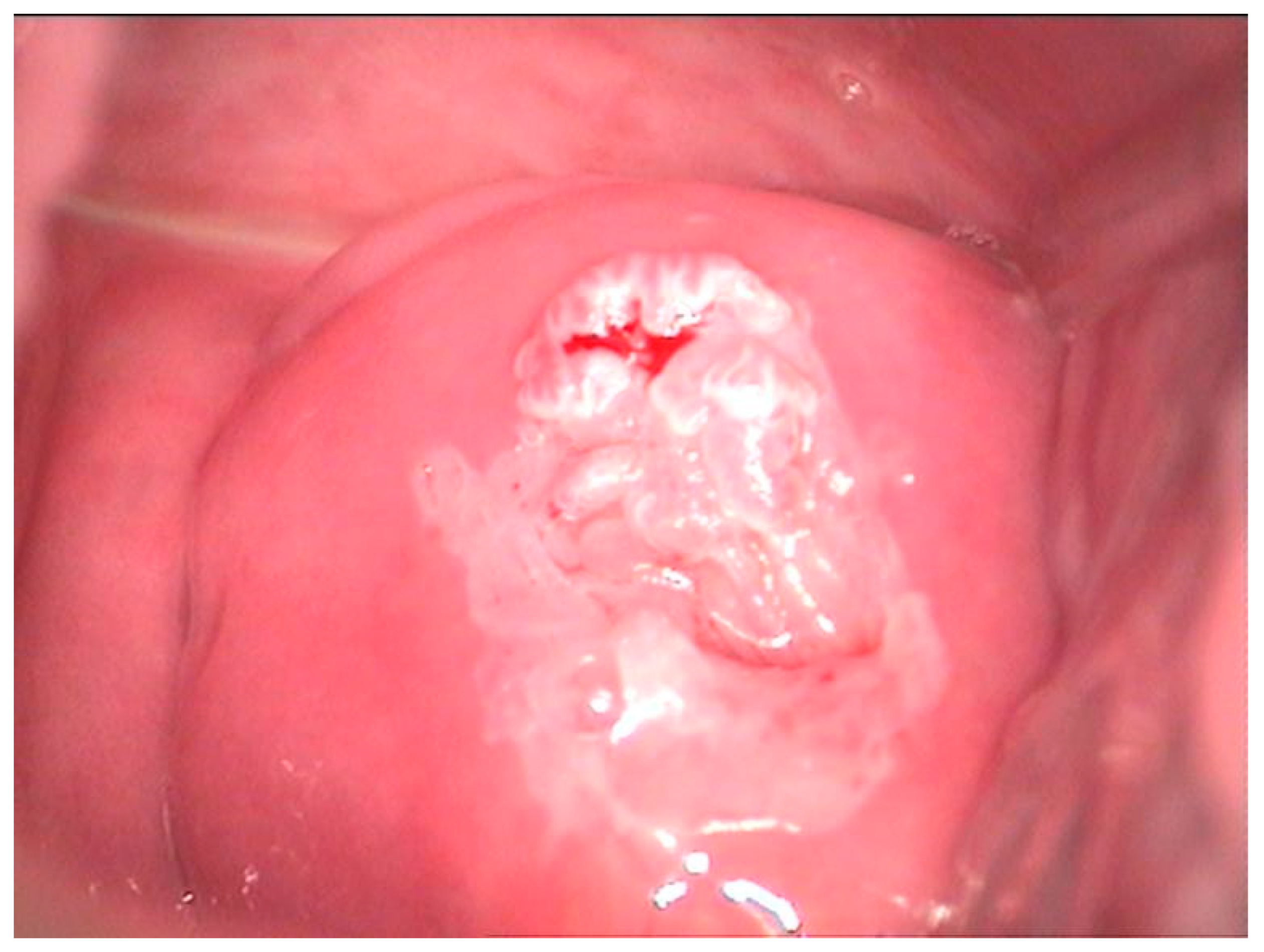
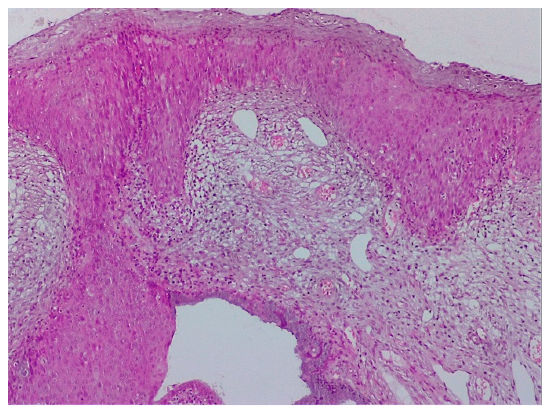
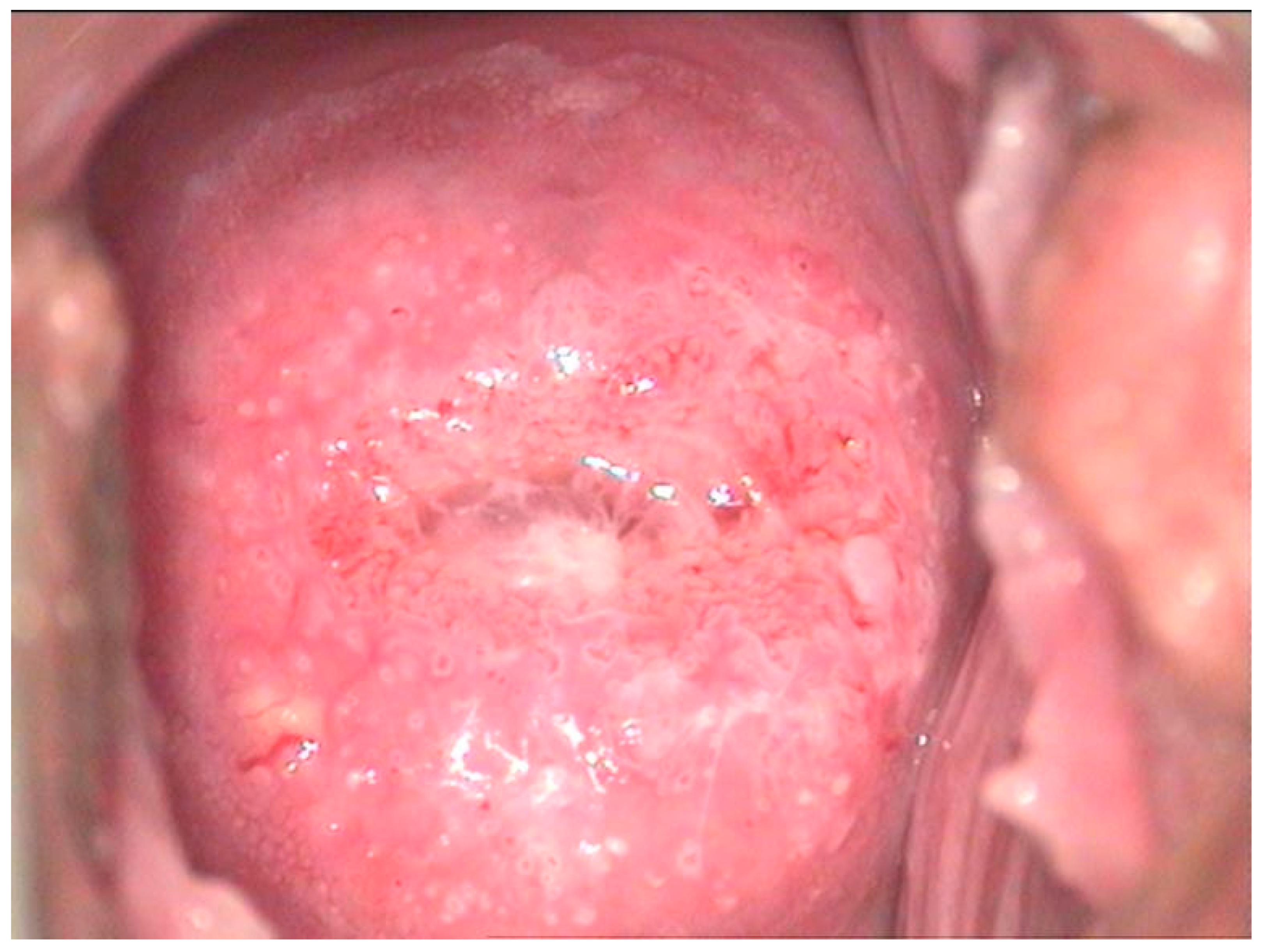
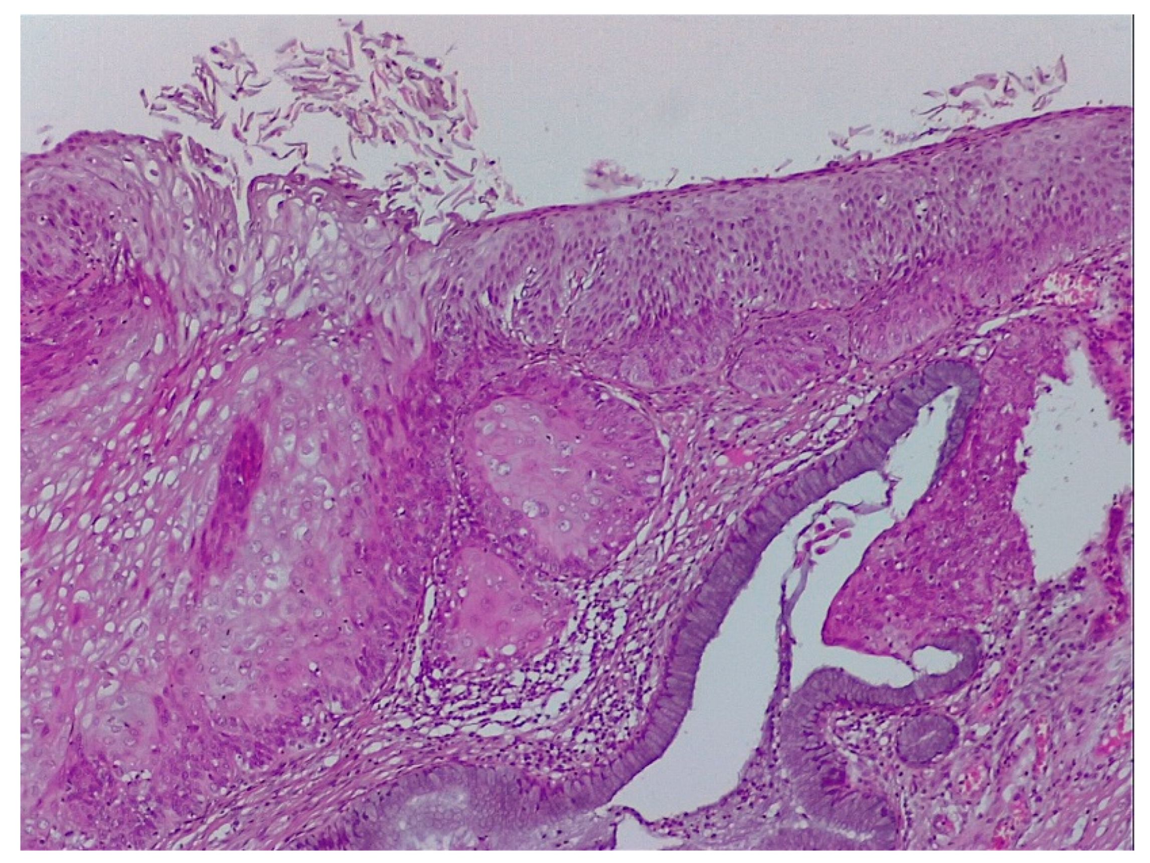
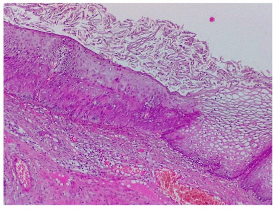
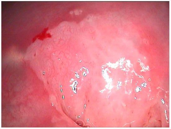
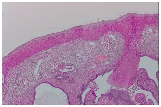
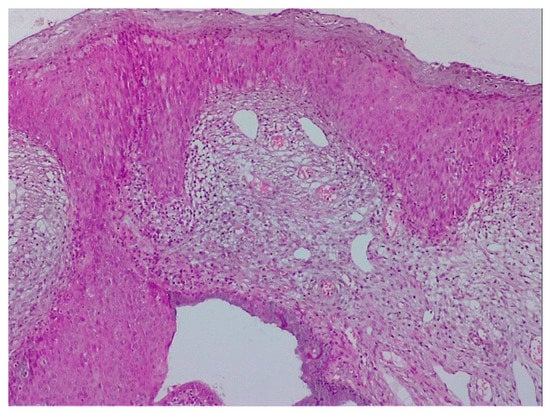
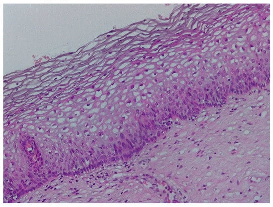
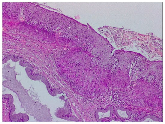
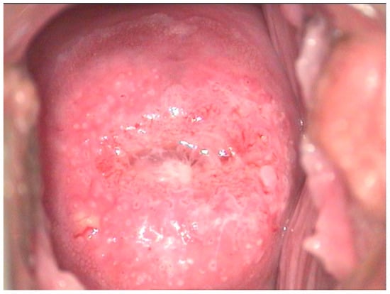
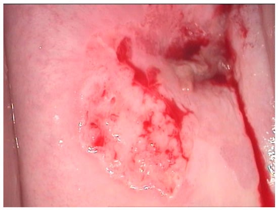
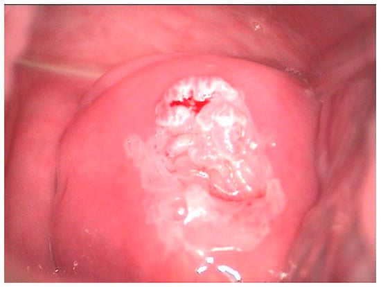
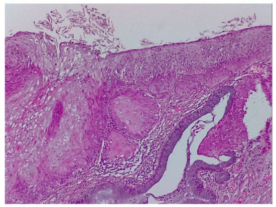
3. Results
4. Discussion
5. Conclusions
Author Contributions
Funding
Institutional Review Board Statement
Informed Consent Statement
Conflicts of Interest
Abbreviations
References
- Buskwofie, A.; David-West, G.; Clare, C.A. A Review of Cervical Cancer: Incidence and Disparities. J. Natl. Med. Assoc. 2020, 112, 229–232. [Google Scholar] [CrossRef] [PubMed]
- Ferlay, J.; Soerjomataram, I.; Dikshit, R.; Eser, S.; Mathers, C.; Rebelo, M.; Parkin, D.M.; Forman, D.; Bray, F. Cancer incidence and mortality worldwide: Sources, methods and major patterns in GLOBOCAN 2012. Int. J. Cancer 2015, 136, E359–E386. [Google Scholar] [CrossRef]
- Taghavi, K.; Moono, M.; Mwanahamuntu, M.; Basu, P.; Limacher, A.; Tembo, T.; Kapesa, H.; Hamusonde, K.; Asangbeh, S.; Sznitman, R.; et al. Screening test accuracy to improve detection of precancerous lesions of the cervix in women living with HIV: A study protocol. BMJ Open 2020, 10, e037955. [Google Scholar] [CrossRef]
- Gheit, T. Mucosal and Cutaneous Human Papillomavirus Infections and Cancer Biology. Front. Oncol. 2019, 9, 355. [Google Scholar] [CrossRef]
- Rotondo, J.C.; Oton-Gonzalez, L.; Mazziotta, C.; Lanzillotti, C.; Iaquinta, M.R.; Tognon, M.; Martini, F. Simultaneous Detection and Viral DNA Load Quantification of Different Human Papillomavirus Types in Clinical Specimens by the High Analytical Droplet Digital PCR Method. Front. Microbiol. 2020, 11, 591452. [Google Scholar] [CrossRef] [PubMed]
- Furtunescu, F.; Bohiltea, R.E.; Neacsu, A.; Grigoriu, C.; Pop, C.S.; Bacalbasa, N.; Ducu, I.; Iordache, A.M.; Costea, R.V. Cervical Cancer Mortality in Romania: Trends, Regional and Rural-Urban Inequalities, and Policy Implications. Medicina 2021, 58, 18. [Google Scholar] [CrossRef] [PubMed]
- Todor, R.D.; Bratucu, G.; Moga, M.A.; Candrea, A.N.; Marceanu, L.G.; Anastasiu, C.V. Challenges in the Prevention of Cervical Cancer in Romania. Int. J. Environ. Res. Public Health 2021, 18, 1721. [Google Scholar] [CrossRef]
- American College of Obstetricians and Gynecologists. ACOG Practice Bulletin Number 66, September 2005. Management of Abnormal Cervical Cytology and Histology. Obstet. Gynecol. 2005, 106, 645–664. [Google Scholar] [CrossRef]
- Arezzo, F.; Cormio, G.; Loizzi, V.; Cazzato, G.; Cataldo, V.; Lombardi, C.; Ingravallo, G.; Resta, L.; Cicinelli, E. HPV-Negative Cervical Cancer: A Narrative Review. Diagnostics 2021, 11, 952. [Google Scholar] [CrossRef]
- Sarian, L.O.; Derchain, S.F.; Naud, P.; Roteli-Martins, C.; Longatto-Filho, A.; Tatti, S.; Branca, M.; Erzen, M.; Serpa-Hammes, L.; Matos, J.; et al. Evaluation of visual inspection with acetic acid (VIA), Lugol’s iodine (VILI), cervical cytology and HPV testing as cervical screening tools in Latin America. This report refers to partial results from the LAMS (Latin AMerican Screening) study. J. Med. Screen. 2005, 12, 142–149. [Google Scholar] [CrossRef]
- Sankaranarayanan, R.; Basu, P.; Wesley, R.S.; Mahe, C.; Keita, N.; Mbalawa, C.C.; Sharma, R.; Dolo, A.; Shastri, S.S.; Nacoulma, M.; et al. Accuracy of visual screening for cervical neoplasia: Results from an IARC multicentre study in India and Africa. Int. J. Cancer 2004, 110, 907–913. [Google Scholar] [CrossRef]
- Aydogan Kirmizi, D.; Baser, E.; Demir Caltekin, M.; Onat, T.; Sahin, S.; Yalvac, E.S. Concordance of HPV, conventional smear, colposcopy, and conization results in cervical dysplasia. Diagn. Cytopathol. 2021, 49, 132–139. [Google Scholar] [CrossRef] [PubMed]
- Shahida, S.M.; Mirza, T.T.; Saleh, A.F.; Islam, M.A. Colposcopic evaluation of pre-invasive and early cervical carcinoma with histologic correlation. Mymensingh Med. J. 2012, 21, 200–206. [Google Scholar] [PubMed]
- Yu, Y.; Ma, J.; Zhao, W.; Li, Z.; Ding, S. MSCI: A multistate dataset for colposcopy image classification of cervical cancer screening. Int. J. Med. Inform. 2021, 146, 104352. [Google Scholar] [CrossRef] [PubMed]
- Vallikad, E.; Siddartha, P.T.; Kulkarni, K.A.; Firtion, C.; Keswarpu, P.; Vajinepalli, P.; Naik, S.; Gupta, L. Intra and Inter-Observer Variability of Transformation Zone Assessment in Colposcopy: A Qualitative and Quantitative Study. J. Clin. Diagn. Res. 2017, 11, XC04–XC06. [Google Scholar] [CrossRef] [PubMed]
- Gallay, C.; Girardet, A.; Viviano, M.; Catarino, R.; Benski, A.C.; Tran, P.L.; Ecabert, C.; Thiran, J.P.; Vassilakos, P.; Petignat, P. Cervical cancer screening in low-resource settings: A smartphone image application as an alternative to colposcopy. Int. J. Womens Health 2017, 9, 455–461. [Google Scholar] [CrossRef]
- Costa-Fagbemi, M.; Yakubu, M.; Meggetto, O.; Moffatt, J.; Walker, M.J.; Koné, A.P.; Murphy, K.J.; Kupets, R. Risk of Cervical Dysplasia After Colposcopy Care and Risk-Informed Return to Population-Based Screening: A Systematic Review. J. Obstet. Gynaecol. Can. 2020, 42, 607–624. [Google Scholar] [CrossRef]
- Zebitay, A.G.; Güngör, E.S.; Ilhan, G.; Çetin, O.; Dane, C.; Furtuna, C.; Atmaca, F.F.V.; Tuna, M. Cervical Conization and the Risk of Preterm Birth: A Population-Based Multicentric Trial of Turkish Cohort. J. Clin. Diagn Res. 2017, 11, QC21–QC24. [Google Scholar] [CrossRef]
- Reich, O.; Pickel, H. 200 years of diagnosis and treatment of cervical precancer. Eur. J. Obstet. Gynecol. Reprod. Biol. 2020, 255, 165–171. [Google Scholar] [CrossRef]
- Della Fera, A.N.; Warburton, A.; Coursey, T.L.; Khurana, S.; McBride, A.A. Persistent Human Papillomavirus Infection. Viruses 2021, 13, 321. [Google Scholar] [CrossRef]
- Oyervides-Muñoz, M.A.; Pérez-Maya, A.A.; Sánchez-Domínguez, C.N.; Berlanga-Garza, A.; Antonio-Macedo, M.; Valdéz-Chapa, L.D.; Cerda-Flores, R.M.; Trevino, V.; Barrera-Saldaña, H.A.; Garza-Rodríguez, M.L. Multiple HPV Infections and Viral Load Association in Persistent Cervical Lesions in Mexican Women. Viruses 2020, 12, 380. [Google Scholar] [CrossRef] [PubMed]
- Kim, S.H.; Lee, J.M.; Yun, H.G.; Park, U.S.; Hwang, S.U.; Pyo, J.S.; Sohn, J.H. Overall accuracy of cervical cytology and clinicopathological significance of LSIL cells in ASC-H cytology. Cytopathology 2017, 28, 16–23. [Google Scholar] [CrossRef] [PubMed]
- Wright, T.C., Jr.; Stoler, M.H.; Parvu, V.; Yanson, K.; Cooper, C.; Andrews, J. Risk detection for high-grade cervical disease using Onclarity HPV extended genotyping in women, ≥21 years of age, with ASC-US or LSIL cytology. Gynecol. Oncol. 2019, 154, 360–367. [Google Scholar] [CrossRef] [PubMed]
- Pankaj, S.; Nazneen, S.; Kumari, S.; Kumari, A.; Kumari, A.; Kumari, J.; Choudhary, V.; Kumar, S. Comparison of conventional Pap smear and liquid-based cytology: A study of cervical cancer screening at a tertiary care center in Bihar. Indian J. Cancer 2018, 55, 80–83. [Google Scholar] [CrossRef]
- Bruehl, F.K.; Dyhdalo, K.S.; Hou, Y.; Clapacs, E.; Przybycin, C.G.; Reynolds, J.P. Cytology and curetting diagnosis of endocervical adenocarcinoma. J. Am. Soc. Cytopathol. 2020, 9, 556–562. [Google Scholar] [CrossRef] [PubMed]
- Coppock, J.D.; Willis, B.C.; Stoler, M.H.; Mills, A.M. HPV RNA in situ hybridization can inform cervical cytology-histology correlation. Cancer Cytopathol. 2018, 126, 533–540. [Google Scholar] [CrossRef]
- Ruan, Y.; Liu, M.; Guo, J.; Zhao, J.; Niu, S.; Li, F. Evaluation of the accuracy of colposcopy in detecting high-grade squamous intraepithelial lesion and cervical cancer. Arch. Gynecol. Obstet. 2020, 302, 1529–1538. [Google Scholar] [CrossRef]
- Schulmeyer, C.E.; Stübs, F.; Gass, P.; Renner, S.K.; Hartmann, A.; Strehl, J.; Mehlhorn, G.; Geppert, C.; Adler, W.; Beckmann, M.W.; et al. Correlation between referral cytology and in-house colposcopy-guided cytology for detecting early cervical neoplasia. Arch. Gynecol. Obstet. 2020, 301, 263–271. [Google Scholar] [CrossRef]
- Bhatla, N.; Aoki, D.; Sharma, D.N.; Sankaranarayanan, R. Cancer of the cervix uteri: 2021 update. Int. J. Gynaecol. Obstet. 2021, 155 (Suppl. S1), 28–44. [Google Scholar] [CrossRef]
- Marcus, J.Z.; Cason, P.; Downs, L.S., Jr.; Einstein, M.H.; Flowers, L. The ASCCP Cervical Cancer Screening Task Force Endorsement and Opinion on the American Cancer Society Updated Cervical Cancer Screening Guidelines. J. Low. Genit. Tract Dis. 2021, 25, 187–191. [Google Scholar] [CrossRef]













| Evaluator 1 | |||||
| Colposcopy Findings | Total | ||||
| HG | LG | Invasion | |||
| Cytology | HSIL | 45 | 29 | 4 | 78 |
| LSIL | 2 | 34 | 0 | 36 | |
| ASCH | 5 | 7 | 0 | 12 | |
| ASC-US-LSIL | 0 | 2 | 0 | 2 | |
| Total | 52 | 72 | 4 | 128 | |
| Evaluator 2 | |||||
| Colposcopy findings | Total | ||||
| invasion | LG | HG | |||
| Cytology | HSIL | 11 | 33 | 34 | 78 |
| LSIL | 0 | 32 | 4 | 36 | |
| ASCH | 0 | 9 | 3 | 12 | |
| ASC-US-LSIL | 0 | 2 | 0 | 2 | |
| Total | 11 | 76 | 41 | 128 | |
| Both Evaluators | |||||
| Count | |||||
| Colposcopy 2 | Total | ||||
| Invasion | LG | HG | |||
| Colposcopy 1 | HG | 9 | 12 | 31 | 52 |
| LG | 1 | 64 | 7 | 72 | |
| invasion | 1 | 0 | 3 | 4 | |
| Total | 11 | 76 | 41 | 128 | |
| Pathology * Colposcopy 1 Crosstabulation | |||||
| Evaluator 1 | |||||
| Colposcopy 1 | Total | ||||
| HG | LG | invasion | |||
| Pathology | LG | 16 | 66 | 0 | 82 |
| HG | 25 | 5 | 2 | 32 | |
| carcinoma | 11 | 1 | 2 | 14 | |
| Total | 52 | 72 | 4 | 128 | |
| Pathology * Colposcopy 2 Crosstabulation | |||||
| Evaluator 2 | |||||
| Colposcopy 2 | Total | ||||
| invasion | LG | HG | |||
| Pathology | LG | 2 | 68 | 12 | 82 |
| HG | 3 | 7 | 22 | 32 | |
| carcinoma | 6 | 1 | 7 | 14 | |
| Total | 11 | 76 | 41 | 128 | |
| Cytology * Pathology Crosstabulation | |||||
| Count | |||||
| Pathology | Total | ||||
| LG | HG | Carcinoma | |||
| Cytology | HSIL | 39 | 26 | 13 | 78 |
| LSIL | 33 | 3 | 0 | 36 | |
| ASCH | 8 | 3 | 1 | 12 | |
| ASC-US-LSIL | 2 | 0 | 0 | 2 | |
| Total | 82 | 32 | 14 | 128 | |
Publisher’s Note: MDPI stays neutral with regard to jurisdictional claims in published maps and institutional affiliations. |
© 2022 by the authors. Licensee MDPI, Basel, Switzerland. This article is an open access article distributed under the terms and conditions of the Creative Commons Attribution (CC BY) license (https://creativecommons.org/licenses/by/4.0/).
Share and Cite
Pleş, L.; Radosa, J.-C.; Sima, R.-M.; Chicea, R.; Olaru, O.-G.; Poenaru, M.-O. The Accuracy of Cytology, Colposcopy and Pathology in Evaluating Precancerous Cervical Lesions. Diagnostics 2022, 12, 1947. https://doi.org/10.3390/diagnostics12081947
Pleş L, Radosa J-C, Sima R-M, Chicea R, Olaru O-G, Poenaru M-O. The Accuracy of Cytology, Colposcopy and Pathology in Evaluating Precancerous Cervical Lesions. Diagnostics. 2022; 12(8):1947. https://doi.org/10.3390/diagnostics12081947
Chicago/Turabian StylePleş, Liana, Julia-Carolina Radosa, Romina-Marina Sima, Radu Chicea, Octavian-Gabriel Olaru, and Mircea-Octavian Poenaru. 2022. "The Accuracy of Cytology, Colposcopy and Pathology in Evaluating Precancerous Cervical Lesions" Diagnostics 12, no. 8: 1947. https://doi.org/10.3390/diagnostics12081947
APA StylePleş, L., Radosa, J.-C., Sima, R.-M., Chicea, R., Olaru, O.-G., & Poenaru, M.-O. (2022). The Accuracy of Cytology, Colposcopy and Pathology in Evaluating Precancerous Cervical Lesions. Diagnostics, 12(8), 1947. https://doi.org/10.3390/diagnostics12081947

