Histological Findings in Kidney Biopsies of Patients with Monoclonal Gammopathy—Always a Surprise
Abstract
1. Introduction
2. Materials and Methods
3. Results
3.1. Clinical Characteristics
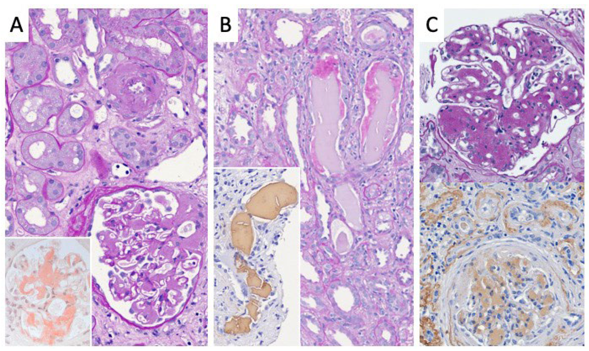
3.2. Histological Findings
3.3. Influence of Kidney Biopsies on Diagnoses and Patient Characteristics
4. Discussion
5. Conclusions
Author Contributions
Funding
Institutional Review Board Statement
Informed Consent Statement
Data Availability Statement
Conflicts of Interest
References
- Landgren, O.; Kyle, R.A.; Pfeiffer, R.M.; Katzmann, J.A.; Caporaso, N.E.; Hayes, R.B.; Dispenzieri, A.; Kumar, S.; Clark, R.J.; Baris, D.; et al. Monoclonal Gammopathy of Undetermined Significance (MGUS) Consistently Precedes Multiple Myeloma: A Prospective Study. Blood 2009, 113, 5412–5417. [Google Scholar] [CrossRef]
- Kyle, R.A.; Larson, D.R.; Therneau, T.M.; Dispenzieri, A.; Kumar, S.; Cerhan, J.R.; Rajkumar, S.V. Long-Term Follow-up of Monoclonal Gammopathy of Undetermined Significance. N. Engl. J. Med. 2018, 378, 241–249. [Google Scholar] [CrossRef]
- Kyle, R.A.; Therneau, T.; Rajkumar, S.V. Prevalence of Monoclonal Gammopathy of Undetermined Significance. N. Engl. J. Med. 2006, 354, 62–69. [Google Scholar] [CrossRef]
- Rosner, M.H.; Edeani, A.; Yanagita, M.; Glezerman, I.G.; Leung, N. Paraprotein-Related Kidney Disease: Diagnosing and Treating Monoclonal Gammopathy of Renal Significance. Clin. J. Am. Soc. Nephrol. 2016, 11, 2280–2287. [Google Scholar] [CrossRef][Green Version]
- Nasr, S.H.; Valeri, A.M.; Sethi, S.; Fidler, M.E.; Cornell, L.D.; Gertz, M.A.; Lacy, M.; Dispenzieri, A.; Rajkumar, S.V.; Kyle, R.A.; et al. Clinicopathologic Correlations in Multiple Myeloma: A Case Series of 190 Patients with Kidney Biopsies. Am. J. Kidney Dis. 2012, 59, 786–794. [Google Scholar] [CrossRef]
- Joly, F.; Cohen, C.; Javaugue, V.; Ebastien Bender, S.; Belmouaz, M.; Arnulf, B.; Knebelmann, B.; Nouvier, M.; Audard, V.; Provot, F.; et al. Randall-Type Monoclonal Immunoglobulin Deposition Disease: Novel Insights from a Nationwide Cohort Study. Blood 2019, 133, 576–587. [Google Scholar] [CrossRef]
- Ryšavá, R. AL Amyloidosis: Advances in Diagnostics and Treatment. Nephrol. Dial. Transplant. 2019, 34, 1460–1466. [Google Scholar] [CrossRef]
- Leung, N. To Biopsy or Not to Biopsy, That Is the Question in Myeloma Cast Nephropathy. Nephrol. Dial. Transplant. 2016, 31, 1–3. [Google Scholar] [CrossRef]
- Montseny, J.J.; Kleinknecht, D.; Meyrier, A.; Vanhille, P.; Simon, P.; Pruna, A.; Eladari, D. Long-Term Outcome According to Renal Histological Lesions in 118 Patients with Monoclonal Gammopathies. Nephrol. Dial. Transplant. 1998, 13, 1438–1445. [Google Scholar] [CrossRef]
- Shaik, M.; Al-Janadi, A. Long Term Survival of Monoclonal Gammopathy of Renal Significance (MGRS): An Analysis of Nhanes III. Blood 2014, 124, 4849. [Google Scholar] [CrossRef]
- Doshi, M.; Lahoti, A.; Danesh, F.R.; Batuman, V.; Sanders, P.W. Paraprotein-Related Kidney Disease: Kidney Injury from Paraproteins—What Determines the Site of Injury? Clin. J. Am. Soc. Nephrol. 2016, 11, 2288–2294. [Google Scholar] [CrossRef]
- Solomon, A.; Weiss, D.T.; Kattine, A.A. Nephrotoxic Potential of Bence Jones Proteins. N. Engl. J. Med. 1991, 329, 977–986. [Google Scholar] [CrossRef]
- Steiner, N.; Göbel, G.; Suchecki, P.; Prokop, W.; Neuwirt, H.; Gunsilius, E. Monoclonal Gammopathy of Renal Significance (MGRS) Increases the Risk for Progression to Multiple Myeloma: An Observational Study of 2935 MGUS Patients. Oncotarget 2018, 9, 2344–2356. [Google Scholar] [CrossRef]
- Leung, N.; Bridoux, F.; Nasr, S.H. Monoclonal Gammopathy of Renal Significance. N. Engl. J. Med. 2021, 384, 1931–1941. [Google Scholar] [CrossRef]
- Leung, N.; Bridoux, F.; Batuman, V.; Chaidos, A.; Cockwell, P.; D’Agati, V.D.; Dispenzieri, A.; Fervenza, F.C.; Fermand, J.P.; Gibbs, S.; et al. The Evaluation of Monoclonal Gammopathy of Renal Significance: A Consensus Report of the International Kidney and Monoclonal Gammopathy Research Group. Nat. Rev. Nephrol. 2019, 15, 45–59. [Google Scholar] [CrossRef]
- Tang, X.; Wan, F.; Yu, J.; Li, X.; Yang, R.; Zhu, B. Clinicopathological Characteristics of Patients with Paraproteinemia and Renal Damage. Eur. J. Med. Res. 2021, 26, 68. [Google Scholar] [CrossRef]
- Klomjit, N.; Leung, N.; Fervenza, F.; Sethi, S.; Zand, L. Rate and Predictors of Finding Monoclonal Gammopathy of Renal Significance (MGRS) Lesions on Kidney Biopsy in Patients with Monoclonal Gammopathy. J. Am. Soc. Nephrol. 2020, 31, 2400–2411. [Google Scholar] [CrossRef]
- Yong, Z.H.; Yu, X.J.; Liu, J.X.; Zhou, F.D.; Wang, S.X.; Zhao, M.H. Kidney Histopathologic Spectrum and Clinical Indicators Associated with MGRS. Clin. J. Am. Soc. Nephrol. 2022, 17, 527–534. [Google Scholar] [CrossRef]
- Keri, K.C.; Blumenthal, S.; Kulkarni, V.; Beck, L.; Chongkrairatanakul, T. Primary Membranous Nephropathy: Comprehensive Review and Historical Perspective. Postgrad. Med. J. 2019, 95, 23–31. [Google Scholar] [CrossRef]
- Heilman, R.L.; Velosa, J.A.; Holley, K.E.; Offord, K.P.; Kyle, R.A. Long-Term Follow-up and Response to Chemotherapy in Patients with Light-Chain Deposition Disease. Am. J. kidney Dis. Off. J. Natl. Kidney Found. 1992, 20, 34–41. [Google Scholar] [CrossRef]
- Rajkumar, S.V. Updated Diagnostic Criteria and Staging System for Multiple Myeloma. Am. Soc. Clin. Oncol. Educ. B 2016, 36, e418–e423. [Google Scholar] [CrossRef]
- Dimopoulos, M.A.; Sonneveld, P.; Leung, N.; Merlini, G.; Ludwig, H.; Kastritis, E.; Goldschmidt, H.; Joshua, D.; Orlowski, R.Z.; Powles, R.; et al. International Myeloma Working Group Recommendations for the Diagnosis and Management of Myeloma-Related Renal Impairment. J. Clin. Oncol. 2016, 34, 1544–1557. [Google Scholar] [CrossRef]
- Hutchison, C.A.; Heyne, N.; Airia, P.; Schindler, R.; Zickler, D.; Cook, M.; Cockwell, P.; Grima, D. Immunoglobulin Free Light Chain Levels and Recovery from Myeloma Kidney on Treatment with Chemotherapy and High Cut-off Haemodialysis. Nephrol. Dial. Transplant. 2012, 27, 3823–3828. [Google Scholar] [CrossRef]
- Zannetti, B.A.; Zamagni, E.; Santostefano, M.; De Sanctis, L.B.; Tacchetti, P.; Mancini, E.; Pantani, L.; Brioli, A.; Rizzo, R.; Mancuso, K.; et al. Bortezomib-Based Therapy Combined with High Cut-off Hemodialysis Is Highly Effective in Newly Diagnosed Multiple Myeloma Patients with Severe Renal Impairment. Am. J. Hematol. 2015, 90, 647–652. [Google Scholar] [CrossRef]
- Gerth, H.U.; Pohlen, M.; Görlich, D.; Thölking, G.; Kropff, M.; Berdel, W.E.; Pavenstädt, H.; Brand, M.; Kümpers, P. Impact of High-Cut-off Dialysis on Renal Recovery in Dialysis-Dependent Multiple Myeloma Patients: Results from a Case-Control Study. PLoS ONE 2016, 11, e0154993. [Google Scholar] [CrossRef]
- Curti, A.; Schwarz, A.; Trachsler, J.; Tomonaga, Y.; Ambühl, P.M. Therapeutic Efficacy and Cost Effectiveness of High Cut-off Dialyzers Compared to Conventional Dialysis in Patients with Cast Nephropathy. PLoS ONE 2016, 11, e0159942. [Google Scholar] [CrossRef]
- Clark, W.F.; Stewart, A.K.; Rock, G.A.; Sternbach, M.; Sutton, D.M.; Barrett, B.J.; Heidenheim, A.P.; Garg, A.X.; Churchill, D.N. Plasma Exchange When Myeloma Presents as Acute Renal Failure: A Randomized, Controlled Trial. Ann. Intern. Med. 2005, 143, 777–784. [Google Scholar] [CrossRef]
- Ecotière, L.; Thierry, A.; Debiais-Delpech, C.; Chevret, S.; Javaugue, V.; Desport, E.; Belmouaz, S.; Quellard, N.; Kaaki, S.; Goujon, J.M.; et al. Prognostic Value of Kidney Biopsy in Myeloma Cast Nephropathy: A Retrospective Study of 70 Patients. Nephrol. Dial. Transplant. 2016, 31, 64–72. [Google Scholar] [CrossRef]
- Chauvet, S.; Frémeaux-Bacchi, V.; Petitprez, F.; Karras, A.; Daniel, L.; Burtey, S.; Choukroun, G.; Delmas, Y.; Guerrot, D.; François, A.; et al. Treatment of B-Cell Disorder Improves Renal Outcome of Patients with Monoclonal Gammopathy-Associated C3 Glomerulopathy. Blood 2017, 129, 1437–1447. [Google Scholar] [CrossRef]
- Chauvet, S.; Bridoux, F.; Ecotière, L.; Javaugue, V.; Sirac, C.; Arnulf, B.; Thierry, A.; Quellard, N.; Milin, S.; Bender, S.; et al. Kidney Diseases Associated with Monoclonal Immunoglobulin M-Secreting B-Cell Lymphoproliferative Disorders: A Case Series of 35 Patients. Am. J. Kidney Dis. Off. J. Natl. Kidney Found. 2015, 66, 756–767. [Google Scholar] [CrossRef]
- Cacoub, P.; Comarmond, C.; Domont, F.; Savey, L.; Saadoun, D. Cryoglobulinemia Vasculitis. Am. J. Med. 2015, 128, 950–955. [Google Scholar] [CrossRef]
- Corlu, L.; Rioux-Leclercq, N.; Ganard, M.; Decaux, O.; Houot, R.; Vigneau, C. Renal Dysfunction in Patients With Direct Infiltration by B-Cell Lymphoma. Kidney Int. Rep. 2019, 4, 688–697. [Google Scholar] [CrossRef]
- Comenzo, R.L.; Zhou, P.; Fleisher, M.; Clark, B.; Teruya-Feldstein, J. Seeking Confidence in the Diagnosis of Systemic AL (Ig Light-Chain) Amyloidosis: Patients Can Have Both Monoclonal Gammopathies and Hereditary Amyloid Proteins. Blood 2006, 107, 3489–3491. [Google Scholar] [CrossRef]
- Lachmann, H.J.; Booth, D.R.; Booth, S.E.; Bybee, A.; Gilbertson, J.A.; Gillmore, J.D.; Pepys, M.B.; Hawkins, P.N. Misdiagnosis of Hereditary Amyloidosis as AL (Primary) Amyloidosis. N. Engl. J. Med. 2002, 346, 1786–1791. [Google Scholar] [CrossRef]



| MGUS | MM | B-NHL | No Oncologic Diagnosis | p-Value | |
|---|---|---|---|---|---|
| n | 44 | 71 | 12 | 51 | |
| Age (years) ± SD | 68.2 ± 11.4 | 70.8 ± 8.9 | 71.7 ± 8.0 | 67.2 ± 10.8 | MM vs. NOD, p < 0.05 |
| Sex (m/f) | 27/17 | 38/33 | 10/2 | 32/19 | |
| Mean creatinin (mg/dL) ± SD | 2.3 ± 2.3 | 3.2 ± 2.9 | 2.0 ± 1.2 | 3.1 ± 2.6 | n.s. |
| eGFR (MDRD formula, mL/min) | 48.6 ± 34.9 | 37.2 ± 32.8 | 46.3 ± 29 | 31.8 ± 39.1 | n.s. |
| CKD | |||||
| Stage 1 | 4 (9.1%) | 8 (11.3%) | 1 (8.3%) | 5 (9.8%) | |
| Stage 2 | 12 (27.3%) | 7 (9.9%) | 3 (25%) | 8 (15.7%) | |
| Stage 3 | 13 (29.5%) | 15 (21.1%) | 4 (33.3%) | 11 (21.6%) | |
| Stage 4 | 11 (25%) | 19 (26.8%) | 3 (25%) | 13 (25.5%) | |
| Stage 5 | 4 (9.1%) | 22 (31%) | 1 (8.3%) | 14 (27.5%) | |
| Proteinuria (mg/24 h) | 3192 ± 2905 | 2638 ± 2219 | 1565 ± 1533 | 3329 ± 2522 | MGUS vs. NOD, p < 0.05 MM vs. NOD, p < 0.0005 BNHL vs. NOD, p < 0.05 |
| Serum monoclonal protein | |||||
| Light chain | 3 | 25 | 2 | 29 | |
| IgG | 31 | 33 | 4 | 13 | |
| IgA | 3 | 13 | 1 | 6 | |
| IgM | 5 | 0 | 5 | 1 | |
| IgD | 0 | 0 | 0 | 2 | |
| Urine monoclonal light chain type | |||||
| Kappa | 25 | 40 | 9 | 22 | |
| Lambda | 18 | 31 | 3 | 29 |
| Pathologic Diagnosis | Number of Patients (%) |
|---|---|
| Paraprotein-associated renal lesions | |
| Castnephropathy | 66 (37.1%) |
| AL amyloidosis | 31 (17.4%) |
| Monoclonal immunoglobulin deposition disease | 7 (3.9%) |
| MPGN with cryoglobulinemia type I | 8 (4.5%) |
| C3GN | 4 (2.2%) |
| Non-paraprotein-associated renal lesions | |
| Glomerular | |
| Membranous GN | 3 (1.68%) |
| FSGS | 7 (3.9%) |
| Diabetic nephropathy | 9 (5%) |
| IgA glomerulonephritis | 1 (0.56%) |
| Minimal change GN | 1 (0.56%) |
| Tubulointerstitial | |
| Nephrocalcinosis | 8 (4.5%) |
| Interstitial nephritis | 9 (5%) |
| Vascular | |
| Nephrosclerosis | 11 (6.2%) |
| Thrombotic microangiopathy | 2 (1.1%) |
| Renal cell carcinoma | 1 (0.56%) |
| Interstitial infiltration by malignant myeloma cells | 2 (1.1%) |
| Interstitial infiltration by malignant lymphoma cells | 4 (2.2%) |
| Acute kidney failure | 1 (0.56%) |
| No pathologic finding | 3 (1.68%) |
| MGUS | MM | B-NHL | ALA | MIDD | p-Value | |
|---|---|---|---|---|---|---|
| n | 31 | 107 | 13 | 22 | 5 | |
| Age (years) ± SD | 69.4 ± 10.3 | 70.3 ± 9,5 | 71.7 ± 7.8 | 65.5 ± 11.2 | 54.0 ± 9.6 | MGUS vs. MIDD, p < 0.005 MM vs. MIDD, p < 0.0005 B-NHL vs. MIDD, p < 0.005 ALA vs. MIDD, p < 0.05 |
| Sex (m/f) | 18/13 | 56/51 | 11/2 | 17/5 | 3/2 | |
| Mean creatinin (mg/dL) ± SD | 2.2 ± 2.56 | 3.4 ± 2.9 | 2.0 ± 1.2 | 1.6 ± 1.4 | 3.6 ± 1.3 | MGUS vs. MM, p < 0.05 MM vs. ALA, p < 0.005 B-NHL vs. MIDD, p < 0.05 ALA vs. MIDD, p < 0.05 |
| eGFR (MDRD formula, mL/min) ± SD | 55.1 ± 38.8 | 33.3 ± 31 | 44.9 ± 28.3 | 67.2 ± 33.7 | 19.6 ± 8.6 | MGUS vs. MM, p < 0.005 MGUS vs. MIDD, p = 0.05 MM vs. ALA, p < 0.00005 B-NHL vs. ALA, p = 0.05 ALA vs. MIDD, p < 0.005 |
| CKD | ||||||
| Stage 1 | 2 (6.5%) | 9 (8.4%) | 1 (7.7%) | 4 (18.2%) | 0 (0%) | |
| Stage 2 | 9 (29.0%) | 8 (7.5%) | 3 (23.1%) | 10 (45.5%) | 0 (0%) | |
| Stage 3 | 10 (32.3%) | 25 (23.4%) | 4 (30.8%) | 4 (18.2%) | 1 (20%) | |
| Stage 4 | 2 (22.1%) | 31 (29.0%) | 4 (30.8%) | 3 (13.6%) | 1 (20%) | |
| Stage 5 | 5 (9.7%) | 34 (31.8%) | 1 (7.7%) | 1 (4.5%) | 3 (60%) | |
| Proteinuria (mg/24 h) ± SD | 2951 ± 2910 | 3640 ± 3780 | 1659 ± 1506 | 4978 ± 4401 | 1704 ± 833 | MGUS vs. ALA, p = 0.05 B-NHL vs. ALA, p < 0.05 |
| Serum monoclonal protein | ||||||
| Light chain | 1 | 36 | 2 | 16 | 4 | |
| IgG | 22 | 49 | 5 | 4 | 1 | |
| IgA | 2 | 17 | 1 | 1 | 0 | |
| IgM | 5 | 1 | 5 | 0 | 0 | |
| IgD | 0 | 2 | 0 | 0 | 0 | |
| Urine monoclonal light chain type | ||||||
| Kappa | 20 | 57 | 10 | 5 | 5 | |
| Lambda | 11 | 50 | 3 | 17 | 0 |
Publisher’s Note: MDPI stays neutral with regard to jurisdictional claims in published maps and institutional affiliations. |
© 2022 by the authors. Licensee MDPI, Basel, Switzerland. This article is an open access article distributed under the terms and conditions of the Creative Commons Attribution (CC BY) license (https://creativecommons.org/licenses/by/4.0/).
Share and Cite
Klank, D.; Hoffmann, M.; Porubsky, S.; Bergner, R. Histological Findings in Kidney Biopsies of Patients with Monoclonal Gammopathy—Always a Surprise. Diagnostics 2022, 12, 1912. https://doi.org/10.3390/diagnostics12081912
Klank D, Hoffmann M, Porubsky S, Bergner R. Histological Findings in Kidney Biopsies of Patients with Monoclonal Gammopathy—Always a Surprise. Diagnostics. 2022; 12(8):1912. https://doi.org/10.3390/diagnostics12081912
Chicago/Turabian StyleKlank, David, Martin Hoffmann, Stefan Porubsky, and Raoul Bergner. 2022. "Histological Findings in Kidney Biopsies of Patients with Monoclonal Gammopathy—Always a Surprise" Diagnostics 12, no. 8: 1912. https://doi.org/10.3390/diagnostics12081912
APA StyleKlank, D., Hoffmann, M., Porubsky, S., & Bergner, R. (2022). Histological Findings in Kidney Biopsies of Patients with Monoclonal Gammopathy—Always a Surprise. Diagnostics, 12(8), 1912. https://doi.org/10.3390/diagnostics12081912

