Technical Performance, Overall Accuracy and Complications of EUS-Guided Interventional Procedures: A Dynamic Landscape
Abstract
:1. Introduction
2. Materials and Methods
2.1. Study Design
2.2. Ethical Statements
2.3. Study Population
2.4. EUS Equipment and Techniques
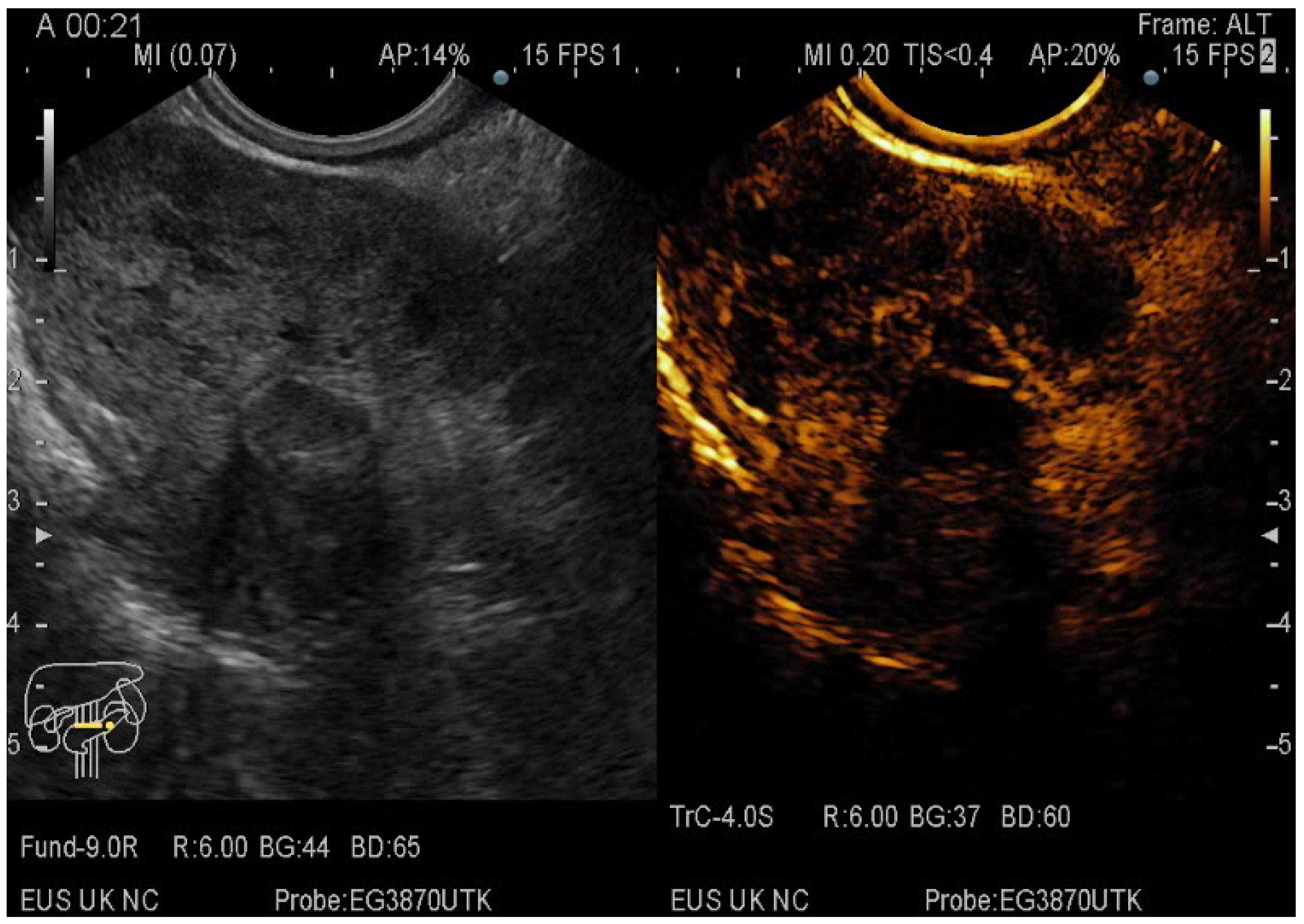
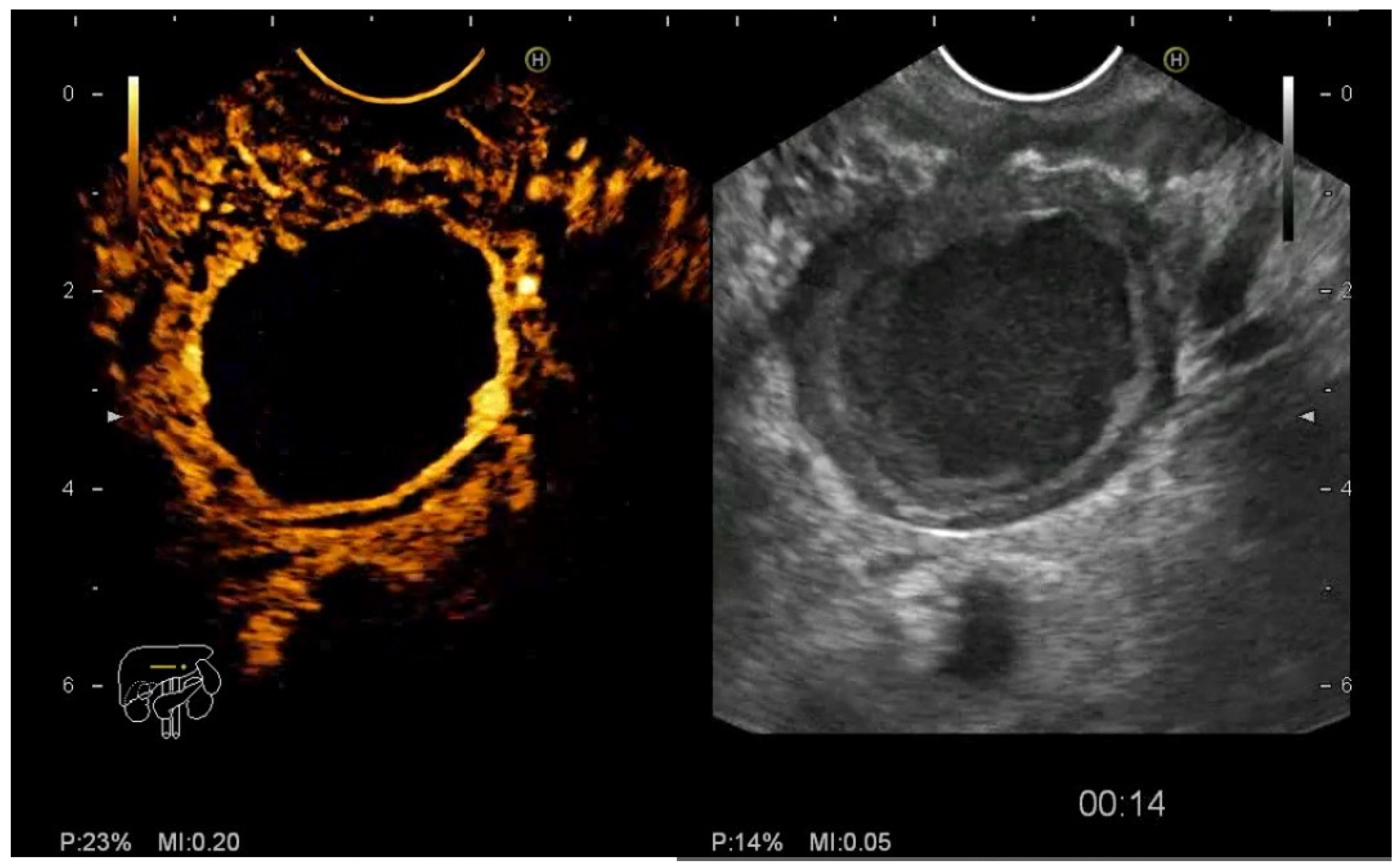
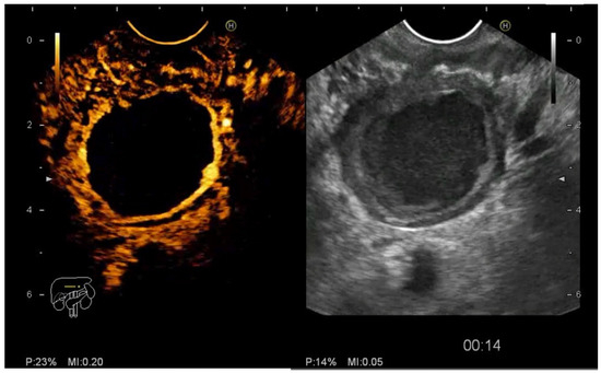
2.5. CE-EUS Procedure
2.6. EUS-FNA/FNB Sampling Procedure
2.7. Histologic Assessment
2.8. Final Diagnosis
2.9. Study Outcomes
- -
- to assess the complication rate of EUS-guided diagnostic and interventional procedures, including EUS-FNA/FNB
- -
- the EUS-FNA/FNB sensitivity and specificity for the diagnosis of pancreatic lesions
- -
- the contribution of associating CE-EUS with EUS-FNB for differentiating solid pancreatic lesions without on-site cytopathology
- -
- the entanglement of CE-EUS in describing pseudocysts and the benign/premalignant/malignant character of pancreatic cystic lesions
- -
- the diagnostic sensitivity of CE-EUS guided FNA/FNB sampling and conventional EUS-guided FNA/FNB sampling of solid pancreatic masses
2.10. Statistical Analysis
3. Results
3.1. 20 Years of EUS Study Group
3.2. EUS-FNA/FNB + CE-EUS of Solid Pancreatic Lesions Subgroup
3.3. EUS-FNA/FNB + CE-EUS of Pancreatic Cystic Lesions Subgroup
3.4. EUS-FNA versus EUS-FNB of Solid Pancreatic Lesions Subgroup
4. Discussion
5. Conclusions
Author Contributions
Funding
Institutional Review Board Statement
Informed Consent Statement
Data Availability Statement
Conflicts of Interest
References
- Hewitt, M.J.; McPhail, M.J.; Possamai, L.; Dhar, A.; Vlavianos, P.; Monahan, K.J. EUS-guided FNA for diagnosis of solid pancreatic neoplasms: A meta-analysis. Gastrointest. Endosc. 2012, 75, 319–331. [Google Scholar] [CrossRef] [PubMed]
- Wiersema, M.J.; Vilmann, P.; Giovannini, M.; Chang, K.J.; Wiersema, L.M. Endosonographguided fine-needle aspiration biopsy: Diagnostic accuracy and complication assessment. Gastroenterology 1997, 112, 1087–1095. [Google Scholar] [CrossRef]
- Dumonceau, J.-M.; Polkowski, M.; Larghi, A.; Vilmann, P.; Giovannini, M.; Frossard, J.-L.; Heresbach, D.; Pujol, B.; Fernández-Esparrach, G.; Vazquez-Sequeiros, E.; et al. Indications, results, and clinical impact of endoscopic ultrasound (EUS)-guided sampling in gastroenterology: European Society of Gastrointestinal Endoscopy (ESGE) Clinical Guideline. Laryngo-Rhino-Otologie 2011, 43, 897–912. [Google Scholar] [CrossRef] [PubMed] [Green Version]
- Del Vecchio Blanco, G.; Coppola, M.; Mannisi, E.; Formica, V.; Portarena, I.; Romeo, S.; Sileri, P.; Roselli, M.; Pallone, F.; Paoluzi, A.O. Impact of endoscopic ultrasound-guided fine-needle aspiration and multidisciplinary approach in the management of abdominal or mediastinal mass. Eur. J. Gastroenterol. Hepatol. 2015, 27, 1045–1051. [Google Scholar] [CrossRef] [PubMed]
- Dumonceau, J.-M.; Deprez, P.H.; Jenssen, C.; Iglesias-Garcia, J.; Larghi, A.; Vanbiervliet, G.; Aithal, G.P.; Arcidiacono, P.G.; Bastos, P.; Carrara, S.; et al. Indications, results, and clinical impact of endoscopic ultrasound (EUS)-guided sampling in gastroenterology: European Society of Gastrointestinal Endoscopy (ESGE) Clinical Guideline–Updated January 2017. Endoscopy 2017, 49, 695–714. [Google Scholar] [CrossRef] [PubMed] [Green Version]
- Chang, K.J.; Nguyen, P.M.; Erickson, R.A.; Durbin, T.E.; Katz, K.D. The clinical utility of endoscopic ultrasound-guided fine-needle aspiration in the diagnosis and staging of pancreatic carcinoma. Gastrointest. Endosc. 1997, 45, 387–393. [Google Scholar] [CrossRef]
- Anand, D.; E Barroeta, J.; Gupta, P.K.; Kochman, M.; Baloch, Z.W. Endoscopic ultrasound guided fine needle aspiration of non-pancreatic lesions: An institutional experience. J. Clin. Pathol. 2007, 60, 1254–1262. [Google Scholar] [CrossRef] [Green Version]
- Srinivasan, R.; Bhutani, M.S.; Thosani, N.; Săftoiu, A.; Rice, D.C.; Ioncică, A.M.; Eapen, G.A.; Gupta, P.; Jaganmohan, S.; Artifon, E.L.; et al. Clinical impact of EUSFNA of mediastinal lymph nodes in patients with known or suspected lung cancer or mediastinal lymph nodesof unknown etiology. J. Gastrointest. Liver Dis. 2012, 21, 145–152. [Google Scholar]
- Vilmann, P.; Jacobsen, G.K.; Henriksen, F.W.; Hancke, S. Endoscopic ultrasonography with guided fine needle aspiration biopsy in pancreatic disease. Gastrointest. Endosc. 1992, 38, 172–173. [Google Scholar] [CrossRef]
- Vilmann, P.; Hancke, S. A new biopsy handle instrument for endoscopic ultrasound–guided fine-needle aspiration biopsy. Gastrointest. Endosc. 1996, 43, 238–242. [Google Scholar] [CrossRef]
- Vilmann, P.; Hancke, S.; Henriksen, F.W.; Jacobsen, G.K. Endosonographically-guided fine needle aspiration biopsy of malignant lesions in the upper gastrointestinal tract. Endoscopy. Laryngo-Rhino-Otologie 1993, 25, 523–527. [Google Scholar] [CrossRef]
- Wiersema, M.J.; Hawes, R.H.; Tao, L.-C.; Wiersema, L.M.; Kopecky, K.K.; Rex, D.K.; Kumar, S.; Lehman, G.A. Endoscopic ultrasonography as an adjunct to fine needle aspiration cytology of the upper and lower gastrointestinal tract. Gastrointest. Endosc. 1992, 38, 35–39. [Google Scholar] [CrossRef]
- Bhutani, M.S.; Cazacu, I.M.; Chavez, A.A.L.; Saftoiu, A.; Vilmann, P. A quarter century of EUS-FNA: Progress, milestones, and future directions. Endosc. Ultrasound 2018, 7, 141–160. [Google Scholar] [CrossRef] [PubMed] [Green Version]
- Forbes, N.; Coelho-Prabhu, N.; Al-Haddad, M.A.; Kwon, R.S.; Amateau, S.K.; Buxbaum, J.L.; Calderwood, A.H.; Elhanafi, S.E.; Fujii-Lau, L.L.; Kohli, D.R.; et al. Adverse events associated with EUS and EUS-guided procedures. Gastrointest. Endosc. 2021, 95, 16–26.e2. [Google Scholar] [CrossRef] [PubMed]
- Wang, K.-X.; Ben, Q.-W.; Jin, Z.-D.; Du, Y.-Q.; Zou, D.-W.; Liao, Z.; Li, Z.-S. Assessment of morbidity and mortality associated with EUS-guided FNA: A systematic review. Gastrointest. Endosc. 2011, 73, 283–290. [Google Scholar] [CrossRef] [PubMed]
- Kuraoka, N.; Hashimoto, S.; Matsui, S.; Terai, S. Effectiveness of EUS-Guided Fine-Needle Biopsy versus EUS-Guided Fine-Needle Aspiration: A Retrospective Analysis. Diagnostics 2021, 11, 965. [Google Scholar] [CrossRef] [PubMed]
- Clavien, P.A.; Barkun, J.; de Oliveira, M.L.; Vauthey, J.N.; Dindo, D.; Schulick, R.D.; de Santibañes, E.; Pekolj, J.; Slankamenac, K.; Bassi, C.; et al. The Clavien-Dindo classification of surgical complications: Five-year ex-perience. Ann. Surg. 2009, 250, 187–196. [Google Scholar] [CrossRef] [Green Version]
- Blanco, G.D.V.; Palmieri, G.; Giannarelli, D.; Formica, V.; Portarena, I.; Nardecchia, A.; Troncone, E.; Benassi, M.; Giudice, E.; Anselmo, A.; et al. Factors influencing diagnostic accuracy of endoscopic ultrasound-guided fine-needle aspiration (EUS-FNA) in pancreatic and biliary tumors. Scand. J. Gastroenterol. 2021, 56, 498–504. [Google Scholar] [CrossRef]
- Chen, G.; Liu, S.; Zhao, Y.; Dai, M.; Zhang, T. Diagnostic accuracy of endoscopic ultrasound-guided fine-needle aspiration for pancreatic cancer: A meta-analysis. Pancreatology 2013, 13, 298–304. [Google Scholar] [CrossRef]
- Banafea, O.; Mghanga, F.P.; Zhao, J.; Zhao, R.; Zhu, L. Endoscopic ultrasonography with fine-needle aspiration for histological diagnosis of solid pancreatic masses: A meta-analysis of diagnostic accuracy studies. BMC Gastroenterol. 2016, 16, 108. [Google Scholar] [CrossRef] [Green Version]
- Zhang, X.-C.; Li, Q.; Yu, Y.; Yao, L.-Q.; Xu, M.-D.; Zhang, Y.-Q.; Zhong, Y.-S.; Chen, W.-F.; Zhou, P.-H. Diagnostic efficacy of endoscopic ultrasound-guided needle sampling for upper gastrointestinal subepithelial lesions: A meta-analysis. Surg. Endosc. 2015, 30, 2431–2441. [Google Scholar] [CrossRef] [PubMed]
- Turner, B.G.; Cizginer, S.; Agarwal, D.; Yang, J.; Pitman, M.B.; Brugge, W.R. Diagnosis of pancreatic neoplasia with EUS and FNA: A report of accuracy. Gastrointest. Endosc. 2010, 71, 91–98. [Google Scholar] [CrossRef] [PubMed]
- Siddiqui, A.A.; Brown, L.J.; Hong, S.-K.S.; Draganova-Tacheva, R.A.; Korenblit, J.; Loren, D.E.; Kowalski, T.E.; Solomides, C. Relationship of Pancreatic Mass Size and Diagnostic Yield of Endoscopic Ultrasound-Guided Fine Needle Aspiration. Am. J. Dig. Dis. 2011, 56, 3370–3375. [Google Scholar] [CrossRef] [PubMed]
- Hébert-Magee, S.; Bae, S.; Varadarajulu, S.; Ramesh, J.; Frost, A.R.; Eloubeidi, M.A.; Eltoum, I.A. The presence of a cytopathologist increases the diagnostic accuracy of endoscopic ultrasound-guided fine needle aspiration cytology for pancreatic adenocarcinoma: A meta-analysis. Cytopathology 2013, 24, 159–171. [Google Scholar] [CrossRef] [Green Version]
- Matynia, A.P.; Schmidt, R.L.; Barraza, G.; Layfield, L.J.; A Siddiqui, A.; Adler, D.G. Impact of rapid on-site evaluation on the adequacy of endoscopic-ultrasound guided fine-needle aspiration of solid pancreatic lesions: A systematic review and meta-analysis. J. Gastroenterol. Hepatol. 2013, 29, 697–705. [Google Scholar] [CrossRef]
- Khoury, T.; Kadah, A.; Farraj, M.; Barhoum, M.; Livoff, A.; Mari, A.; Mahamid, M.; Sbeit, W. The role of rapid on-site evaluation on diagnostic accuracy of endoscopic ultrasound fine needle aspiration for pancreatic, submucosal upper gastrointestinal tract and adjacent lesions. Cytopathology 2019, 30, 499–503. [Google Scholar] [CrossRef]
- Hikichi, T.; Irisawa, A.; Bhutani, M.S.; Takagi, T.; Shibukawa, G.; Yamamoto, G.; Wakatsuki, T.; Imamura, H.; Takahashi, Y.; Sato, A.; et al. Endoscopic ultrasound-guided fine-needle aspiration of solid pancreatic masses with rapid on-site cytological evaluation by endosonographers without attendance of cyto-pathologists. J. Gastroenterol. 2009, 44, 322–328. [Google Scholar] [CrossRef]
- Wani, S.; Mullady, D.; Early, D.S.; Rastogi, A.; Collins, B.; Wang, J.F.; Marshall, C.; Sams, S.B.; Yen, R.; Rizeq, M.; et al. The Clinical Impact of Immediate On-Site Cytopathology Evaluation During Endoscopic Ultrasound-Guided Fine Needle Aspiration of Pancreatic Masses: A Prospective Multicenter Randomized Controlled Trial. Am. J. Gastroenterol. 2015, 110, 1429–1439. [Google Scholar] [CrossRef]
- Saxena, P.; El Zein, M.; Stevens, T.; Abdelgelil, A.; Besharati, S.; Messallam, A.; Kumbhari, V.; Azola, A.; Brainard, J.; Shin, E.J.; et al. Stylet slow-pull versus standard suction for endoscopic ultrasound-guided fine-needle aspiration of solid pancreatic lesions: A multicenter randomized trial. Endoscopy 2017, 50, 497–504. [Google Scholar] [CrossRef]
- Villa, N.A.; Berzosa, M.; Wallace, M.B.; Raijman, I. Endoscopic ultrasound-guided fine needle aspiration: The wet suction technique. Endosc. Ultrasound 2016, 5, 17–20. [Google Scholar] [CrossRef] [Green Version]
- Elfanagely, Y.; Tse, C.S.; Rich, H.; Hyder, S.M. Learning curves for EUS: Single operators, endoscopy teams, and institutions. Gastrointest. Endosc. 2021, 93, 989. [Google Scholar] [CrossRef] [PubMed]
- Polkowski, M.; Larghi, A.; Weynand, B.; Boustière, C.; Giovannini, M.; Pujol, B.; Dumonceau, J.M.; European Society of Gastrointestinal Endoscopy (ESGE). Learning, techniques, and complications of endoscopic ultrasound (EUS)-guided sampling in gastroenterology: European Society of Gastrointestinal Endoscopy (ESGE) Technical Guideline. Endoscopy 2012, 44, 190–206. [Google Scholar] [CrossRef] [PubMed] [Green Version]
- Levy, M.J. Endoscopic Ultrasound-Guided Trucut Biopsy of the Pancreas: Prospects and Problems. Pancreatology 2007, 7, 163–166. [Google Scholar] [CrossRef]
- Conti, C.B.; Cereatti, F.; Grassia, R. Endoscopic ultrasound-guided sampling of solid pancreatic masses: The fine needle aspiration or fine needle biopsy dilemma. Is the best needle yet to come? World J. Gastrointest. Endosc. 2019, 11, 454–471. [Google Scholar] [CrossRef] [PubMed]
- Kitano, M.; Sakamoto, H.; Kudo, M. Endoscopic Ultrasound: Contrast Enhancement. Gastrointest. Endosc. Clin. N. Am. 2012, 22, 349–358. [Google Scholar] [CrossRef] [PubMed]
- Dietrich, C.; Saftoiu, A.; Napoleon, B.; Arcidiacono, P.; Braden, B.; Burmeister, S.; Carrara, S.; Cui, X.; Fusaroli, P.; Gottschalk, U.; et al. Do we need contrast agents for EUS? Endosc. Ultrasound 2020, 9, 361–368. [Google Scholar] [CrossRef] [PubMed]
- Shil, B.C.; Banik, R.K.; Saha, S.K.; Faruque, O.; Islam, A.N.; Rahman, H. Initial Experience with Endoscopic Ultrasound. Bangladesh Med. Res. Counc. Bull. 2016, 41, 41–45. [Google Scholar] [CrossRef] [PubMed]
- Chong, A.K.; Caddy, G.R.; Desmond, P.V.; Chen, R.Y. Prospective study of the clinical impact of EUS. Gastrointest. Endosc. 2005, 62, 399–405. [Google Scholar] [CrossRef]
- Kalade, A.V.; Desmond, P.V.; Chen, R.Y. Experience of endoscopic ultrasound in an australian tertiary hospital. ANZ J. Surg. 2006, 76, 1075–1080. [Google Scholar] [CrossRef]
- Wani, S. Basic techniques in endoscopic ultrasound-guided fine-needle aspiration: Role of a stylet and suction. Endosc. Ultrasound 2014, 3, 17–21. [Google Scholar] [CrossRef] [Green Version]









| EUS-Diagnostic | EUS-FNA/FNB Overall | Pancreatic EUS-FNA/FNB | Mediastinal EUS-FNA/FNB | Drainage of Pancreatic Fluid Collections | Celiac Plexus Block and Neurolysis | |
|---|---|---|---|---|---|---|
| Percentage of all EUS cases | 64% | 36% | 30% | 5% | 4% | <1% |
| Lesion Localization | Indication | No. of Patients | |
|---|---|---|---|
| EUS procedures | pancreatobiliary | Assessment of the pancreas and ampullary lesions; pancreatic fluid collections drainage; biliary drainage; FNA/FNB of pancreatic cystic and solid lesions; cancer pain relief (celiac plexus neurolysis) | 1937 |
| esophageal and gastric/duodenal | Assessment and FNA/FNB of esophageal subepithelial lesions, paraesophageal lymph nodes, gastric subepithelial lesions, intra-abdominal lymphadenopathy, duodenal subepithelial lesions, metastatic lesions; Staging of esophageal, gastric/duodenal malignancy; Assessment of esophageal and gastroesophageal varices | 381 | |
| mediastinum and lungs | Assessment and FNA/FNB of paraesophageal and mediastinal masses | 293 | |
| liver | Assessment of the left lobe of the liver | 147 | |
| colorectal | Staging of colorectal malignancy; Assessment and FNA/FNB of rectal subepithelial lesions, pelvic lesions and pelvic lymphadenopathy, Assessment of anal sphincter, Crohn disease fistulae | 147 | |
| retroperitoneal | Assessment of retroperitoneal lymph nodes and masses. | 30 |
| EUS Procedure | Exploratory | Interventional | Interventional + CE-EUS | Interventional + CE-EUS + Elastography |
|---|---|---|---|---|
| Procedure time (min) median, range | 10.5 (5–15) | 15.8 (10–45) | 18.8 (13–50) | 22.3 (16–55) |
| Complications | No. | FNA | FNB | Pseudocyst Drainage | WOPN | Conservative Treatment | Surgery | Death |
|---|---|---|---|---|---|---|---|---|
| Mild acute pancreatitis | 2 | Small solid tumors | - | - | - | x | - | - |
| Retroperitoneal bleeding | 1 | Neuroendocrine tumor | - | - | - | x | - | - |
| Subcapsular hematoma | 1 | Spleen | - | - | - | x | - | - |
| Peritonitis consequent to abscess | 1 | Malignant celiac trunk ganglia | - | - | - | - | X | - |
| Abscess | 1 | Cystic tumor, tail of the pancreas (IPMN) | - | - | - | - | X | - |
| Myocardial infarction | 2 | - | Advanced pancreatic tumor with peritoneal carcinomatosis | - | - | - | - | x |
| - | - | - | HotAxios stent, severe acute biliary pancreatitis | - | - | x | ||
| Biliary peritonitis | 1 | - | - | x | - | - | X | - |
| Significant bleeding | 1 | - | - | x | - | - | X | - |
| Superinfected pseudocysts | 2 | - | - | x | - | EUS reintervention | - | - |
| Grade | Grade Description | Complications | No. of Patients |
|---|---|---|---|
| I | Any variation of the patients post-endoscopic status without the need of pharmacological, surgical, endoscopic and radiological interventions. Acceptable pharmacological treatment: antiemetics, antipyretics, analgetics, diuretics and electrolytes. | Mild acute pancreatitis | 2 |
| II | Blood transfusions, therapeutic regimens other than those for grade I complications were required. | Retroperitoneal bleeding, subcapsular hematoma | 2 |
| III | Surgical interventions or endoscopic re-interventions were required | ||
| III-a | Intervention not requiring general anesthesia | - | 0 |
| III-b | Intervention requiring general anesthesia | Peritonitis, abscess, significant bleeding | 6 |
| IV | Life-threatening complications | ||
| IV-a | Single organ dysfunction (including dialysis) | - | 0 |
| IV-b | Multi organ dysfunction | - | 0 |
| V | Death of a patient | Myocardial infarction | 2 |
| PDAC | MFP | NETs | Carcinomas | |
|---|---|---|---|---|
| Hyperenhancement | 21 (14%) | 45 (79%) | 17 (74%) | 22 (100%) |
| Hypoenhancement | 127 (86%) | 0 | 0 | 0 |
| Isoenhacement | 0 | 12 (21%) | 6 (26%) | 0 |
| Acquire 22 G | EZ shot2 22 G | |
|---|---|---|
| EUS-FNA | N/A | 85.7% |
| EUS-FNB | 92.6% | N/A |
| Pancreatic Tumors | EUS-FNA | EUS-FNB |
|---|---|---|
| Sensitivity (%) | 75.9 | 86.8 |
| Specificity (%) | 100 | 100 |
| Diagnostic accuracy (%) | 84.6 | 90.5 |
Publisher’s Note: MDPI stays neutral with regard to jurisdictional claims in published maps and institutional affiliations. |
© 2022 by the authors. Licensee MDPI, Basel, Switzerland. This article is an open access article distributed under the terms and conditions of the Creative Commons Attribution (CC BY) license (https://creativecommons.org/licenses/by/4.0/).
Share and Cite
Cherciu Harbiyeli, I.F.; Constantin, A.; Cazacu, I.M.; Burtea, D.E.; Gheorghe, E.C.; Popescu, C.F.; Bejinariu, N.; Georgescu, C.V.; Pirici, D.; Ungureanu, B.S.; et al. Technical Performance, Overall Accuracy and Complications of EUS-Guided Interventional Procedures: A Dynamic Landscape. Diagnostics 2022, 12, 1641. https://doi.org/10.3390/diagnostics12071641
Cherciu Harbiyeli IF, Constantin A, Cazacu IM, Burtea DE, Gheorghe EC, Popescu CF, Bejinariu N, Georgescu CV, Pirici D, Ungureanu BS, et al. Technical Performance, Overall Accuracy and Complications of EUS-Guided Interventional Procedures: A Dynamic Landscape. Diagnostics. 2022; 12(7):1641. https://doi.org/10.3390/diagnostics12071641
Chicago/Turabian StyleCherciu Harbiyeli, Irina Florina, Alina Constantin, Irina Mihaela Cazacu, Daniela Elena Burtea, Elena Codruța Gheorghe, Carmen Florina Popescu, Nona Bejinariu, Claudia Valentina Georgescu, Daniel Pirici, Bogdan Silviu Ungureanu, and et al. 2022. "Technical Performance, Overall Accuracy and Complications of EUS-Guided Interventional Procedures: A Dynamic Landscape" Diagnostics 12, no. 7: 1641. https://doi.org/10.3390/diagnostics12071641
APA StyleCherciu Harbiyeli, I. F., Constantin, A., Cazacu, I. M., Burtea, D. E., Gheorghe, E. C., Popescu, C. F., Bejinariu, N., Georgescu, C. V., Pirici, D., Ungureanu, B. S., Copăescu, C., & Săftoiu, A. (2022). Technical Performance, Overall Accuracy and Complications of EUS-Guided Interventional Procedures: A Dynamic Landscape. Diagnostics, 12(7), 1641. https://doi.org/10.3390/diagnostics12071641

