Gastrointestinal Stromal Tumors Mimicking Gynecologic Disease: Clinicopathological Analysis of 20 Cases
Abstract
1. Introduction
2. Materials and Methods
2.1. Case Selection
2.2. Immunohistochemistry
2.3. DNA Extraction
2.4. Molecular Analysis
3. Results
3.1. Clinicopathological Features
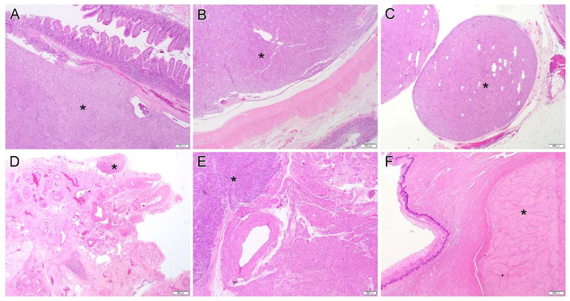
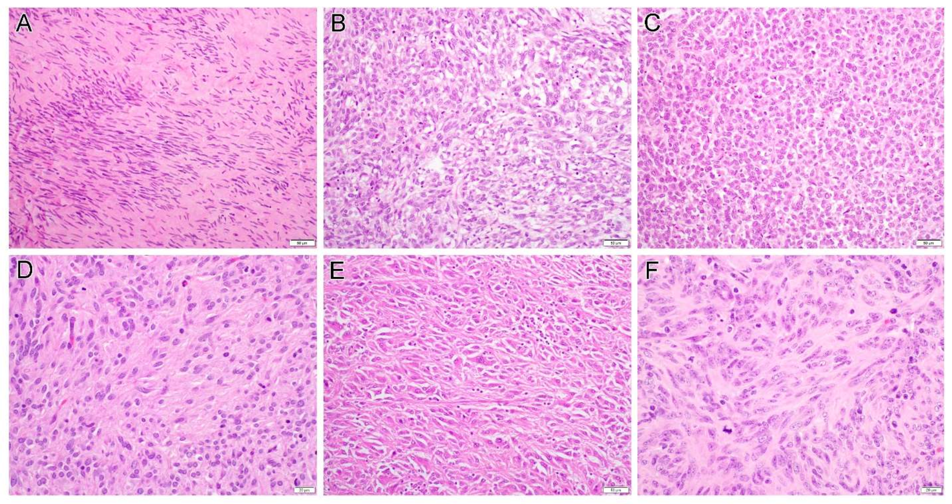
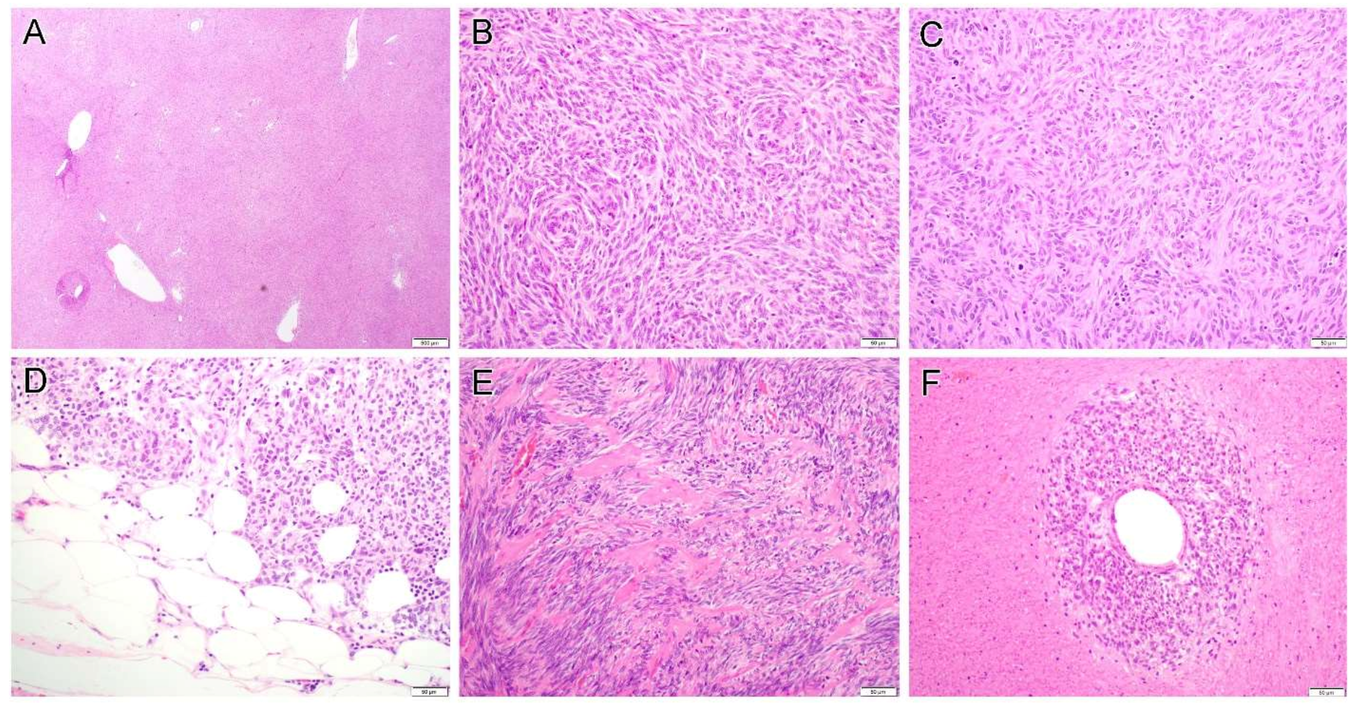
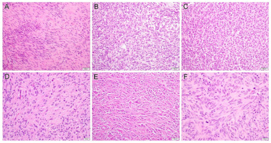
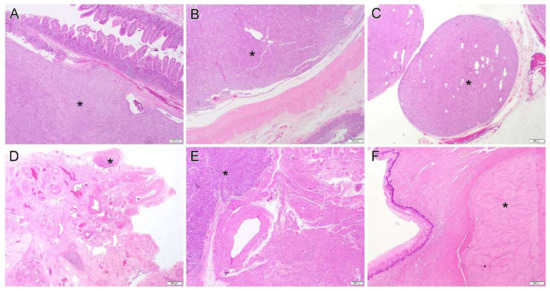
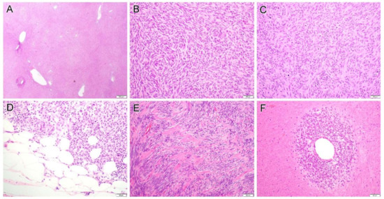
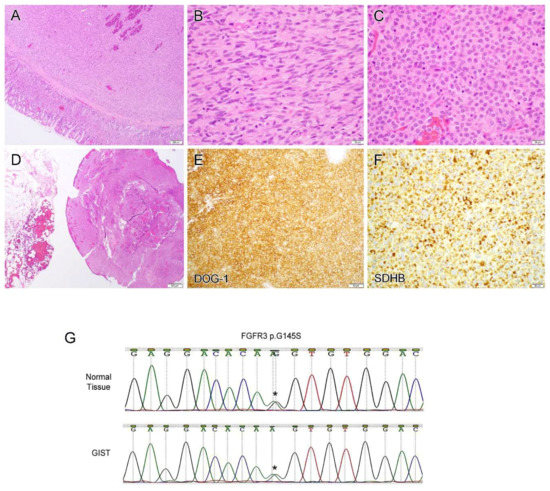
3.2. Morphology and Immunohistochemical Findings
3.3. Molecular Findings
4. Discussion
Author Contributions
Funding
Institutional Review Board Statement
Informed Consent Statement
Acknowledgments
Conflicts of Interest
References
- Søreide, K.; Sandvik, O.M.; Søreide, J.A.; Giljaca, V.; Jureckova, A.; Bulusu, V.R. Global epidemiology of gastrointestinal stromal tumours (GIST): A systematic review of population-based cohort studies. Cancer Epidemiol. 2016, 40, 39–46. [Google Scholar] [CrossRef] [PubMed]
- Nilsson, B.; Bümming, P.; Meis-Kindblom, J.M.; Odén, A.; Dortok, A.; Gustavsson, B.; Sablinska, K.; Kindblom, L.G. Gastrointestinal stromal tumors: The incidence, prevalence, clinical course, and prognostication in the preimatinib mesylate era--a population-based study in western Sweden. Cancer 2005, 103, 821–829. [Google Scholar] [CrossRef] [PubMed]
- Rossi, S.; Miceli, R.; Messerini, L.; Bearzi, I.; Mazzoleni, G.; Capella, C.; Arrigoni, G.; Sonzogni, A.; Sidoni, A.; Toffolatti, L.; et al. Natural history of imatinib-naive GISTs: A retrospective analysis of 929 cases with long-term follow-up and development of a survival nomogram based on mitotic index and size as continuous variables. Am. J. Surg. Pathol. 2011, 35, 1646–1656. [Google Scholar] [CrossRef]
- Kindblom, L.G.; Remotti, H.E.; Aldenborg, F.; Meis-Kindblom, J.M. Gastrointestinal pacemaker cell tumor (GIPACT): Gastrointestinal stromal tumors show phenotypic characteristics of the interstitial cells of Cajal. Am. J. Pathol. 1998, 152, 1259–1269. [Google Scholar] [PubMed]
- Miettinen, M.; Lasota, J. Gastrointestinal stromal tumors: Review on morphology, molecular pathology, prognosis, and differential diagnosis. Arch. Pathol. Lab. Med. 2006, 130, 1466–1478. [Google Scholar] [CrossRef]
- Miettinen, M.; Lasota, J. Gastrointestinal stromal tumors: Pathology and prognosis at different sites. Semin. Diagn. Pathol. 2006, 23, 70–83. [Google Scholar] [CrossRef] [PubMed]
- Novelli, M.; Rossi, S.; Rodriguez-Justo, M.; Taniere, P.; Seddon, B.; Toffolatti, L.; Sartor, C.; Hogendoorn, P.C.; Sciot, R.; Van Glabbeke, M.; et al. DOG1 and CD117 are the antibodies of choice in the diagnosis of gastrointestinal stromal tumours. Histopathology 2010, 57, 259–270. [Google Scholar] [CrossRef] [PubMed]
- Joensuu, H.; Rutkowski, P.; Nishida, T.; Steigen, S.E.; Brabec, P.; Plank, L.; Nilsson, B.; Braconi, C.; Bordoni, A.; Magnusson, M.K.; et al. KIT and PDGFRA mutations and the risk of GI stromal tumor recurrence. J. Clin. Oncol. 2015, 33, 634–642. [Google Scholar] [CrossRef]
- Emile, J.F.; Brahimi, S.; Coindre, J.M.; Bringuier, P.P.; Monges, G.; Samb, P.; Dosucet, L.; Hostein, I.; Landi, B.; Buisine, M.P.; et al. Frequencies of KIT and PDGFRA mutations in the MolecGIST prospective population-based study differ from those of advanced GISTs. Med. Oncol. 2012, 29, 1765–1772. [Google Scholar] [CrossRef]
- Corless, C.L.; Schroeder, A.; Griffith, D.; Town, A.; McGreevey, L.; Harrell, P.; Shiraga, S.; Bainbridge, T.; Morich, J.; Heinrich, M.C. PDGFRA mutations in gastrointestinal stromal tumors: Frequency, spectrum and in vitro sensitivity to imatinib. J. Clin. Oncol. 2005, 23, 5357–5364. [Google Scholar] [CrossRef]
- Daniels, M.; Lurkin, I.; Pauli, R.; Erbstösser, E.; Hildebrandt, U.; Hellwig, K.; Zschille, U.; Lüders, P.; Krüger, G.; Knolle, J.; et al. Spectrum of KIT/PDGFRA/BRAF mutations and Phosphatidylinositol-3-Kinase pathway gene alterations in gastrointestinal stromal tumors (GIST). Cancer Lett. 2011, 312, 43–54. [Google Scholar] [CrossRef] [PubMed]
- Gasparotto, D.; Rossi, S.; Polano, M.; Tamborini, E.; Lorenzetto, E.; Sbaraglia, M.; Mondello, A.; Massani, M.; Lamon, S.; Bracci, R.; et al. Quadruple-Negative GIST Is a Sentinel for Unrecognized Neurofibromatosis Type 1 Syndrome. Clin. Cancer Res. 2017, 23, 273–282. [Google Scholar] [CrossRef] [PubMed]
- Boikos, S.A.; Pappo, A.S.; Killian, J.K.; LaQuaglia, M.P.; Weldon, C.B.; George, S.; Trent, J.C.; von Mehren, M.; Wright, J.A.; Schiffman, J.D.; et al. Molecular Subtypes of KIT/PDGFRA Wild-Type Gastrointestinal Stromal Tumors: A Report from the National Institutes of Health Gastrointestinal Stromal Tumor Clinic. JAMA Oncol. 2016, 2, 922–928. [Google Scholar] [CrossRef] [PubMed]
- Belinsky, M.G.; Rink, L.; Cai, K.Q.; Capuzzi, S.J.; Hoang, Y.; Chien, J.; Godwin, A.K.; von Mehren, M. Somatic loss of function mutations in neurofibromin 1 and MYC associated factor X genes identified by exome-wide sequencing in a wild-type GIST case. BMC Cancer 2015, 15, 887. [Google Scholar] [CrossRef] [PubMed]
- Menge, F.; Jakob, J.; Kasper, B.; Smakic, A.; Gaiser, T.; Hohenberger, P. Clinical Presentation of Gastrointestinal Stromal Tumors. Visc. Med. 2018, 34, 335–340. [Google Scholar] [CrossRef]
- Ijeri, S.K.; Rathod, P.S.; Kundargi, R.; Pallavi, V.R.; Shobha, K.; Shankaranand; Vijay, C.R.; Uma Devi, K.; Bafna, U.D. Gastrointestinal Stromal Tumor Mimicking as Ovarian Tumor in Gynaecologic Oncology. Indian J. Surg. Oncol. 2016, 7, 56–61. [Google Scholar] [CrossRef]
- Yamaguchi, T.; Kinoshita, J.; Saito, H.; Shimada, M.; Terai, S.; Moriyama, H.; Okamoto, K.; Nakamura, K.; Tajima, H.; Ninomiya, I.; et al. Gastrointestinal stromal tumor metastasis to the ovary: A case report. SAGE Open Med. Case Rep. 2021, 9, 2050313X211012511. [Google Scholar] [CrossRef]
- Hwang, S.Y.; Choi, C.I.; Cho, H.J.; Kim, D.H.; Hong, S.B.; Choi, K.U.; Suh, D.S. A ruptured jejunal gastrointestinal stromal tumor with hemoperitoneum mimicking ovarian carcinoma. Int. J. Clin. Exp. Pathol. 2020, 13, 49–53. [Google Scholar]
- Irving, J.A.; Lerwill, M.F.; Young, R.H. Gastrointestinal stromal tumors metastatic to the ovary: A report of five cases. Am. J. Surg. Pathol. 2005, 29, 920–926. [Google Scholar] [CrossRef]
- Angioli, R.; Battista, C.; Muzii, L.; Terracina, G.M.; Cafà, E.V.; Sereni, M.I.; Montera, R.; Plotti, F.; Rabitti, C.; Panici, P.B. A gastrointestinal stromal tumor presenting as a pelvic mass: A case report. Oncol. Rep. 2009, 21, 899–902. [Google Scholar] [CrossRef][Green Version]
- De Leo, A.; Nannini, M.; Dondi, G.; Santini, D.; Urbini, M.; Gruppioni, E.; De Iaco, P.; Perrone, A.M.; Pantaleo, M.A. Unusual bilateral ovarian metastases from ileal gastrointestinal stromal tumor (GIST): A case report. BMC Cancer 2018, 18, 301. [Google Scholar] [CrossRef] [PubMed]
- Rahma, D.Y.; Atmaja, M.H.S. Gastrointestinal stromal tumor as mimicking gynecological mass finding on CT scan imaging: A case report. Int. J. Surg. Case Rep. 2022, 94, 107092. [Google Scholar] [CrossRef] [PubMed]
- Kobayashi, M.; Otsuki, Y.; Kobayashi, H.; Suzuki, T.; Nakayama, S.; Adachi, H. Gastrointestinal Stromal Tumor with Repeated Multiple Cerebral Infarction Mimicking Ovarian Cancer with Trousseau’s Syndrome. Case Rep. Obstet. Gynecol. 2022, 2022, 5537990. [Google Scholar] [CrossRef] [PubMed]
- Pelz, A.F.; Agaimy, A.; Daniels, M.; Evert, M.; Schulz, H.U.; Lüders, P.; Müller, G.; Lasota, J.; Röpke, A.; Wieacker, P.; et al. Gastrointestinal stromal tumor presenting as a rectovaginal mass. Clinicopathologic and molecular-genetic characterization of a rare tumor with a literature review. Hum. Pathol. 2011, 42, 586–593. [Google Scholar] [CrossRef]
- Lam, M.M.; Corless, C.L.; Goldblum, J.R.; Heinrich, M.C.; Downs-Kelly, E.; Rubin, B.P. Extragastrointestinal stromal tumors presenting as vulvovaginal/rectovaginal septal masses: A diagnostic pitfall. Int. J. Gynecol. Pathol. 2006, 25, 288–292. [Google Scholar] [CrossRef]
- Xing, D.; Zheng, G.; Schoolmeester, J.K.; Li, Z.; Pallavajjala, A.; Haley, L.; Conner, M.G.; Vang, R.; Hung, C.F.; Wu, T.C.; et al. Next-generation Sequencing Reveals Recurrent Somatic Mutations in Small Cell Neuroendocrine Carcinoma of the Uterine Cervix. Am. J. Surg. Pathol. 2018, 42, 750–760. [Google Scholar] [CrossRef]
- Xing, D.; Schoolmeester, J.K.; Ren, Z.; Isacson, C.; Ronnett, B.M. Lower Female Genital Tract Tumors With Adenoid Cystic Differentiation: P16 Expression and High-risk HPV Detection. Am. J. Surg. Pathol. 2016, 40, 529–536. [Google Scholar] [CrossRef]
- Xing, D.; Zheng, G.; Pallavajjala, A.; Schoolmeester, J.K.; Liu, Y.; Haley, L.; Hu, Y.; Liu, L.; Logan, L.; Lin, Y.; et al. Lineage-Specific Alterations in Gynecologic Neoplasms with Choriocarcinomatous Differentiation: Implications for Origin and Therapeutics. Clin. Cancer Res. 2019, 25, 4516–4529. [Google Scholar] [CrossRef]
- Shrestha, S.; Shrestha, B.M.; Kharel, S.; Rijal, Y.; Joshi, J.P.; Tiwari, S.B.; Sah, J.K.; Ghimire, B. Jejunal GIST masquerading as an ovarian mass: A case report. Int. J. Surg. Case Rep. 2021, 82, 105960. [Google Scholar] [CrossRef]
- Turner, L.M.; Jeans, P.; Robson, S. A pedunculated small bowel gastrointestinal stromal tumour (GIST) masquerading as an ovarian tumour. J. Surg. Case Rep. 2021, 2021, rjab514. [Google Scholar] [CrossRef]
- Kurman, R.J.; Carcangiu, M.L.; Herrington, C.S.; Young, R.H. WHO Classification of Tumors of Female Reproductive Organs; IARC: Lyon, France, 2014. [Google Scholar]
- Fletcher, C.D.; Berman, J.J.; Corless, C.; Gorstein, F.; Lasota, J.; Longley, B.J.; Miettinen, M.; O’Leary, T.J.; Remotti, H.; Rubin, B.P.; et al. Diagnosis of gastrointestinal stromal tumors: A consensus approach. Hum. Pathol. 2002, 33, 459–465. [Google Scholar] [CrossRef] [PubMed]
- Sanneh, A.; Murdock, T.; Wethington, S.L.; Fader, A.N.; Xing, D.; Beavis, A.L. Low-Grade Endometrial Stromal Sarcoma Diagnosed 8 Years After Hysterectomy With Morcellation. Obstet. Gynecol. 2020, 136, 365–368. [Google Scholar] [CrossRef]
- Schoolmeester, J.K.; Howitt, B.E.; Hirsch, M.S.; Dal Cin, P.; Quade, B.J.; Nucci, M.R. Perivascular epithelioid cell neoplasm (PEComa) of the gynecologic tract: Clinicopathologic and immunohistochemical characterization of 16 cases. Am. J. Surg. Pathol. 2014, 38, 176–188. [Google Scholar] [CrossRef] [PubMed]
- Dahoud, W.; Handler, J.; Parimi, V.; Meyer, C.F.; Wethington, S.L.; Eshleman, J.R.; Vang, R.; Ronnett, B.M.; Xing, D. Adult Granulosa Cell Tumor with Sarcomatous Transformation: A Case Study With Emphasis on Molecular Alterations. Int. J. Gynecol. Pathol. 2021. [Google Scholar] [CrossRef]
- Merten, L.; Agaimy, A.; Moskalev, E.A.; Giedl, J.; Kayser, C.; Geddert, H.; Schaefer, I.M.; Cameron, S.; Werner, M.; Ströbel, P.; et al. Inactivating Mutations of RB1 and TP53 Correlate With Sarcomatous Histomorphology and Metastasis/Recurrence in Gastrointestinal Stromal Tumors. Am. J. Clin. Pathol. 2016, 146, 718–726. [Google Scholar] [CrossRef] [PubMed][Green Version]
- Heinrich, M.C.; Patterson, J.; Beadling, C.; Wang, Y.; Debiec-Rychter, M.; Dewaele, B.; Corless, C.L.; Duensing, A.; Raut, C.P.; Rubin, B.; et al. Genomic aberrations in cell cycle genes predict progression of KIT-mutant gastrointestinal stromal tumors (GISTs). Clin. Sarcoma Res. 2019, 9, 3. [Google Scholar] [CrossRef]
- Astolfi, A.; Pantaleo, M.A.; Indio, V.; Urbini, M.; Nannini, M. The Emerging Role of the FGF/FGFR Pathway in Gastrointestinal Stromal Tumor. Int. J. Mol. Sci. 2020, 21, 3313. [Google Scholar] [CrossRef]
- Mavroeidis, L.; Metaxa-Mariatou, V.; Papoudou-Bai, A.; Lampraki, A.M.; Kostadima, L.; Tsinokou, I.; Zarkavelis, G.; Papadaki, A.; Petrakis, D.; Gκoura, S.; et al. Comprehensive molecular screening by next generation sequencing reveals a distinctive mutational profile of KIT/PDGFRA genes and novel genomic alterations: Results from a 20-year cohort of patients with GIST from north-western Greece. ESMO Open. 2018, 3, e000335. [Google Scholar] [CrossRef]
- Park, J.; Yoo, H.M.; Sul, H.J.; Shin, S.; Lee, S.W.; Kim, J.G. Genetic Characterization of Molecular Targets in Korean Patients with Gastrointestinal Stromal Tumors. J. Gastric Cancer 2020, 20, 29–40. [Google Scholar] [CrossRef]
- Javidi-Sharifi, N.; Traer, E.; Martinez, J.; Gupta, A.; Taguchi, T.; Dunlap, J.; Heinrich, M.C.; Corless, C.L.; Rubin, B.P.; Druker, B.J.; et al. Crosstalk between KIT and FGFR3 Promotes Gastrointestinal Stromal Tumor Cell Growth and Drug Resistance. Cancer Res. 2015, 75, 880–891. [Google Scholar] [CrossRef]






| Case | Age and the Year at the Original Diagnosis | Clinical Presentation | Surgical Procedure * | Site and Size of Primary Tumor | Gynecologic Organ Involvement | Patient Outcome |
|---|---|---|---|---|---|---|
| 1 | 56 (2019) | Abdominal pain and pelvic mass | TAH, LSO, small bowel resection, omental biopsy | Ileum, 12.6 cm | Not involved | 16 months with tumor debulking (multiple pelvic mass, largest 8.4 cm); 29 months with residual disease, on Imatinib |
| 2 | 59 (2006) | Abdominal pain and omental/pelvic mass | TAH, LSO, small bowel and colon resection, OMT | Multiple mass lesions involving small bowel, colon, bladder, and pelvis; largest 21.3 cm | Uterus involved | Diagnosed with small bowel GIST at age 59 and managed conservatively with Imatinib. Debulking procedure was performed at age 72. Currently on palliation |
| 3 | 62 (2006) | Pelvic mass | TAH, BSO, small bowel resection, liver segmental resection, CCY | Small bowel, 4.7 cm | Not involved | No residual GIST. The patient developed acute myeloid leukemia (ALL) at age 76. Died of ALL at age 77 |
| 4 | 80 (2009) | Abdominal pain and pelvic mass | TAH, BSO, small bowel resection, OMT, APPY | Multiple mass lesions involving small bowel, peritoneum and omentum; largest 14 cm | Left ovary involved by microscopic focus of metastatic GIST | Died at age 87 |
| 5 | 53 (2012) | Pelvic mass | TAH, BSO, small bowel and sigmoid colon resection, OMT | Multiple mass lesions involving small bowel, peritoneum and omentum; largest 20 cm | Bilateral ovaries involved by metastatic GIST | NA |
| 6 | 32 (2013) | Pelvic mass | Tumor debulking, APPY, OMT | Multiple mass lesions involving jejunum, mesentery, bladder, appendix; largest 2.7 cm | Bilateral ovaries involved by metastatic GIST | Recurrent at the age 40. Currently (41 years old) on sunitinib |
| 7 | 45 (2011) | Pelvic mass | Tumor debulking, small bowel resection, APPY, OMT, BSO | Multiple mass lesions involving small bowel, mesentery, rectum; largest 10 cm | Not involved | Recurrent at the age 49. Currently (56 years old) on palliation |
| 8 | 44 (2019) | Right pelvic mass | TAH, bilateral ovarian cystectomy, tubal ligation, tumor excision | 2 mass lesions (6.5 cm and 5.3 cm) involving ileum and broad ligament | Not involved | NA |
| 9 | 51 (2020) | Pelvic mass | Excision and APPY | 17 cm, attached to small bowel and sigmoid colon | Not involved | NA |
| 10 | 83 (2011) | Pelvic mass | Small bowel resection, OMT, APPY | Multiple mass lesions involving small bowel, omentum, bladder peritoneum; largest 14.5 cm | Not involved (history of TAH and BSO for benign lesion) | 30 months, died of disease |
| 11 | 53 (2021) | Pelvic mass | Small bowel resection, omental biopsy, APPY, myomectomy, bilateral salpingectomy | 22.5 cm solid and cystic mass arising from the wall of the small bowel; status post neoadjuvant treatment | Not involved | 4 months, no evidence of disease |
| 12 | 36 (2020) | Pelvic mass | TAH, BSO, OMT | 27 cm mass focally attached to the proximal ileum | Not involved | 14 months, no evidence of disease |
| 13 | 33 (2016) | Pelvic mass | Small bowel resection, tumor debulking, APPY, CCY | 27 cm small bowel mass with intraperitoneal spread | Not involved | 52 months, no evidence of disease |
| 14 | 47 (2017) | 9 cm posterior vaginal mass, between rectum and vagina | Biopsy | Rectum; 9 cm by imaging | Vagina | NA |
| 15 | 52 (2008) | Pelvic mass | Colectomy | Rectum; 6.4 cm | Posterior vagina | 161 months, multiple recurrence, currently disease progression |
| 16 | 70 (2012) | Anorectal mass | Rectum resection, TAH, BSO | Rectum; 12 cm | Not involved | 17 months, no evidence of disease |
| 17 | 48 (2008) | Pelvic mass; history of GIST | Partial gastrectomy, liver segmental resection, CCY, TAH, RSO | Stomach, 7 cm | Uterus involved by metastatic GIST | Gastric GIST with multiple recurrence involving liver, omentum, diaphragm, pelvic sidewall, uterus, sacrum, and rectus. Died of disease at age 57 |
| 18 | 23 (2018) | Abdominal pain and omental/pelvic mass | OMT, CCY, partial gastrectomy | Stomach origin; multiple mass lesions involving omentum and pelvic cul-de-sac; largest 3.5 cm | Not involved | 36 months, no evidence of disease |
| 19 | 41 (2005) | Pelvic mass; history of GIST | Partial gastrectomy, liver segmental resection, CCY, TAH, BSO | Stomach, 7 cm; liver metastasis; involving gallbladder, mesentery, pelvic sidewall | Not involved | 76 months, multiple recurrence, last follow-up with disease progression |
| 20 | 66 (2019) | Left pelvic mass; history of GIST | Excision | 9 cm, unknown primary site | Unknown | NA |
| Case | Tumor Morphology | Necrosis | MF/50 HPFs | c-KIT | DOG-1 | CD34 | Desmin | Other IHCs | Molecular Analysis |
|---|---|---|---|---|---|---|---|---|---|
| 1 | spindle | Present | 36 | + | + | ND | - | SMA-, SOX10- | c-KIT A502_Y503 (insertion); RB1 c.1128-1G > C |
| 2 | epithelioid and spindle | Present | 8 | + | + | + (weak) | ND | AE1/AE3- | ND |
| 3 | spindle | Absent | 17 | + | ND | + | - | ND | c-KIT exon 11 deletion/insertion mutation |
| 4 | epithelioid and spindle | Present | 35 | + | ND | + | - | Actin+ (weak), S100- | ND |
| 5 | epithelioid and spindle | Absent | 6 | + | ND | - | - | Actin-, SMA+ (weak), Cam5.2-, S100-, HMB45-, Melan A-, Inhibin-, calretinin- | ND |
| 6 | epithelioid and spindle | Absent | 7 | + | + | ND | ND | SMA- | c-KIT Exon 11 mutation (1732_1737dup: p.Y578_D579dup), additional mutations pV654A (exon 13) and L783V (exon 16); RB1 p.R355fs |
| 7 | spindle | Absent | 3 | + | ND | + | ND | ND | c-KIT c.1510insGCCTAT(p.504inAlaTyr) exon 9 mutation |
| 8 | spindle | Present | 2 | + | + | + | - | AE1/AE3-, HMB45-, ER-, PR-, CD68-, S100- | ND |
| 9 | epithelioid and spindle | Present | 20 | + | + | ND | - | SF-1-, Inhibin-, HMB45-, Cathepsin K+ (weak) | ND |
| 10 | epithelioid and spindle | Present | 40 | + | ND | + | - | Caldesmon+ (focal), SMA+ (weak), Actin-, ER-, PR-, HMB45-, S100- | ND |
| 11 | spindle | Present | 2 | + | + | ND | - | S100- | c-KIT p.W557R |
| 12 | spindle | Absent | 6 | + | ND | + | ND | AE1/AE3-, Cam5.2-, Calretinin-, Synaptophysin-, SMA- | c-KIT p.M552_V555del |
| 13 | spindle | Absent | 38 | + | + | ND | ND | ND | c-KIT p.A502_Y503dup and p.N822K |
| 14 | spindle | Absent | 3 | + | + | + | - | Actin-, S100-, CD10-, STAT6-, ALK- | ND |
| 15 | spindle | Absent | 3 | + | ND | + | - | SMA-, S100- | ND |
| 16 | epithelioid | Present | 53 | + | ND | + | - | AE1/AE3-, SMA-. S100-, Melan A- | ND |
| 17 | epithelioid and spindle | Present | 33 | + | ND | + | ND | ND | ND |
| 18 | epithelioid and spindle | Absent | 2 | + | + | ND | - | AE1/AE3-, Cam5.2-, CD10-, SF1-, Cyclin D1-, ER-, PR+ (weak), SDHB + | FGFR3 p.G145S |
| 19 | epithelioid | Absent | 27 | + | ND | ND | + (weak) | AE1/AE3-, SMA-, S100- | ND |
| 20 | spindle | Present | 25 | + | + | ND | - | AE1/AE3-, HMB45-, Melan A-, Cathepsin K+ | ND |
Publisher’s Note: MDPI stays neutral with regard to jurisdictional claims in published maps and institutional affiliations. |
© 2022 by the authors. Licensee MDPI, Basel, Switzerland. This article is an open access article distributed under the terms and conditions of the Creative Commons Attribution (CC BY) license (https://creativecommons.org/licenses/by/4.0/).
Share and Cite
Liu, Y.; Shahi, M.; Miller, K.; Meyer, C.F.; Hung, C.-F.; Wu, T.-C.; Vang, R.; Xing, D. Gastrointestinal Stromal Tumors Mimicking Gynecologic Disease: Clinicopathological Analysis of 20 Cases. Diagnostics 2022, 12, 1563. https://doi.org/10.3390/diagnostics12071563
Liu Y, Shahi M, Miller K, Meyer CF, Hung C-F, Wu T-C, Vang R, Xing D. Gastrointestinal Stromal Tumors Mimicking Gynecologic Disease: Clinicopathological Analysis of 20 Cases. Diagnostics. 2022; 12(7):1563. https://doi.org/10.3390/diagnostics12071563
Chicago/Turabian StyleLiu, Ying, Maryam Shahi, Karin Miller, Christian F. Meyer, Chien-Fu Hung, T.-C. Wu, Russell Vang, and Deyin Xing. 2022. "Gastrointestinal Stromal Tumors Mimicking Gynecologic Disease: Clinicopathological Analysis of 20 Cases" Diagnostics 12, no. 7: 1563. https://doi.org/10.3390/diagnostics12071563
APA StyleLiu, Y., Shahi, M., Miller, K., Meyer, C. F., Hung, C.-F., Wu, T.-C., Vang, R., & Xing, D. (2022). Gastrointestinal Stromal Tumors Mimicking Gynecologic Disease: Clinicopathological Analysis of 20 Cases. Diagnostics, 12(7), 1563. https://doi.org/10.3390/diagnostics12071563
