Bilateral Cervical Lymphadenopathy after mRNA COVID-19 Vaccination on Oral Squamous Cell Carcinoma Patient: A Case Report
Abstract
:1. Introduction
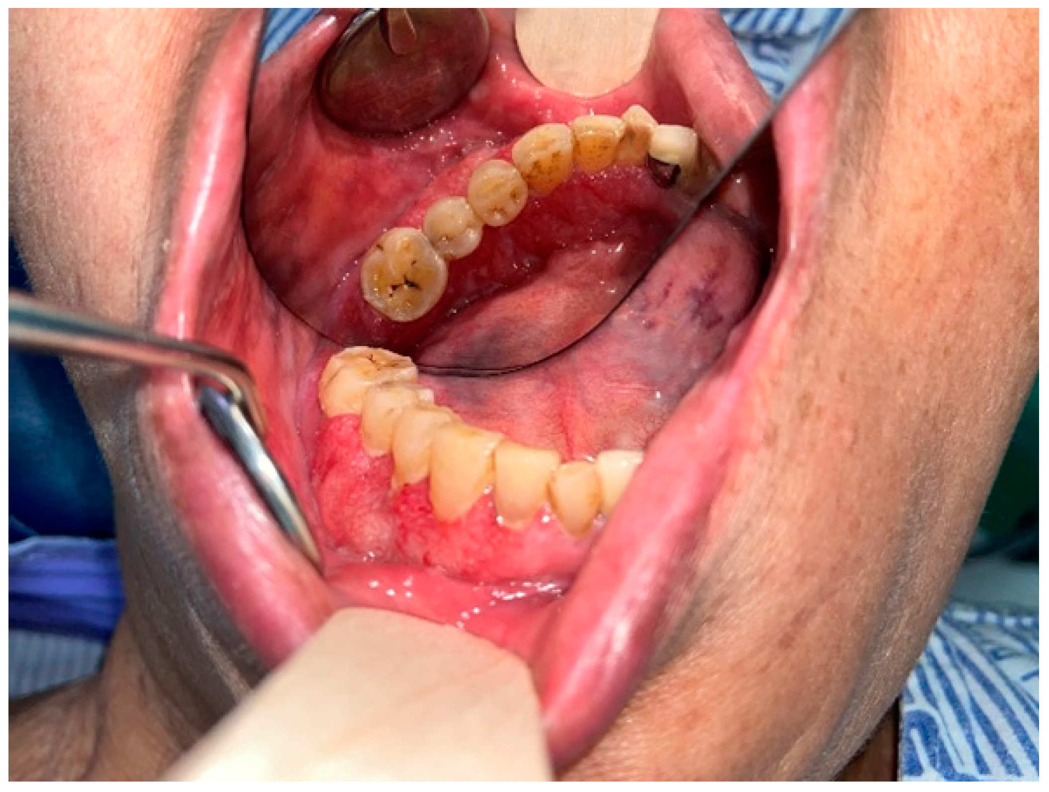
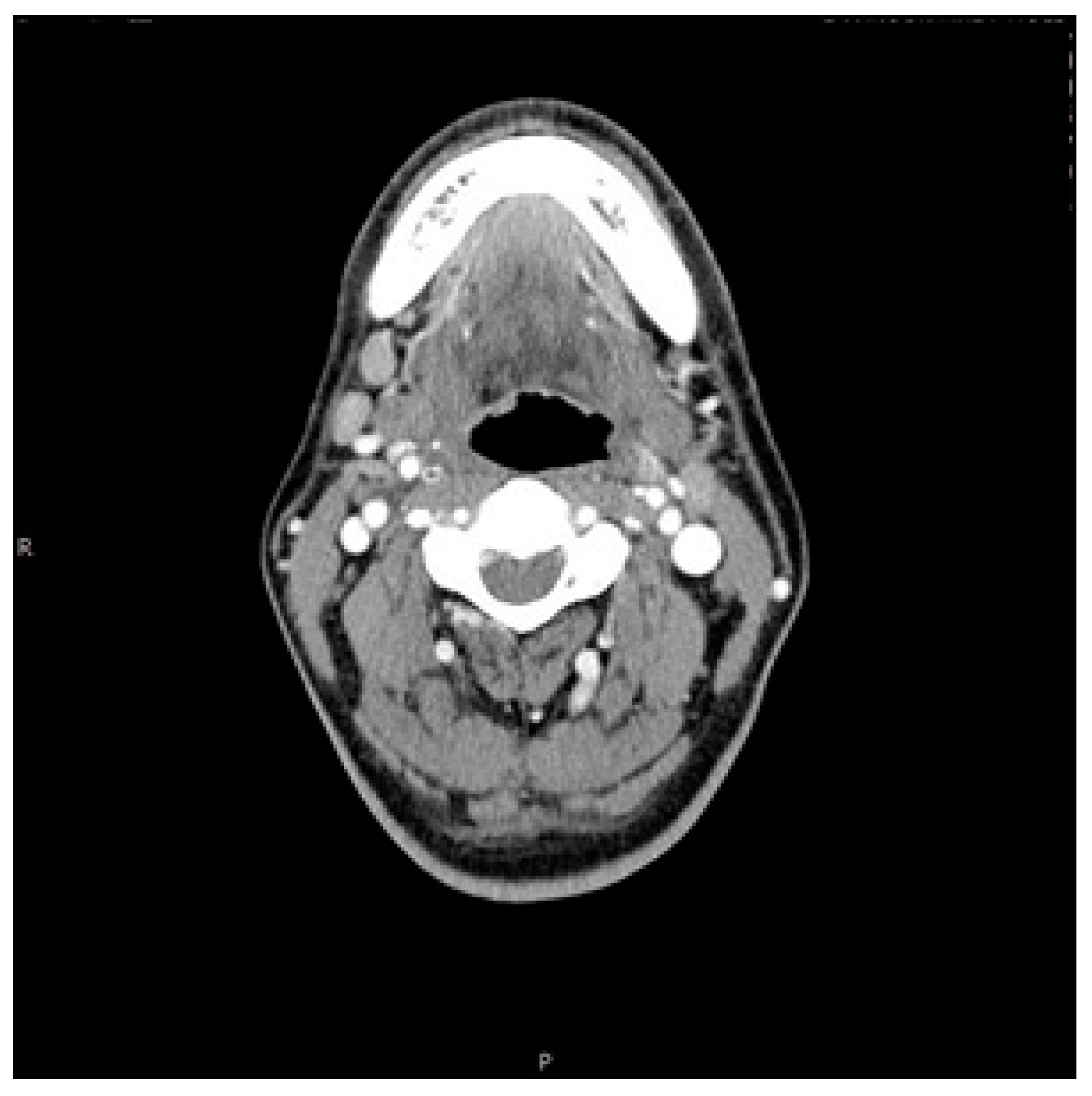
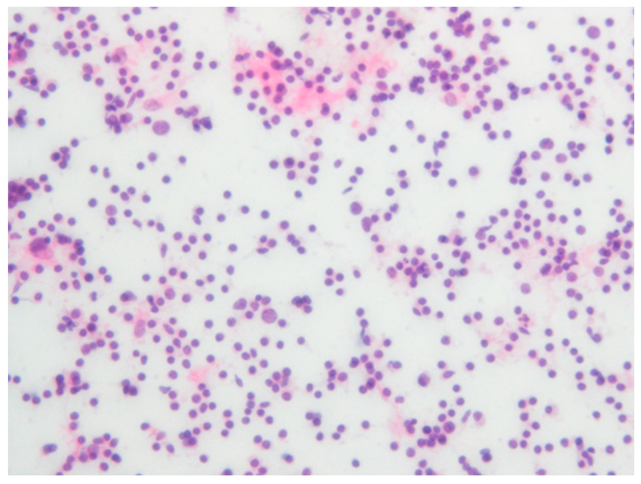
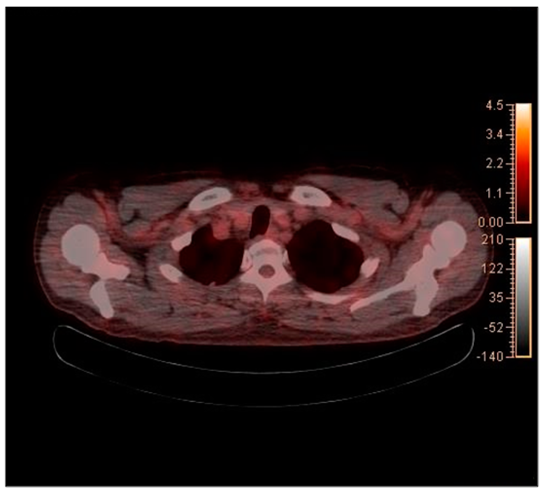
2. Case Report
3. Discussion
4. Conclusions
Author Contributions
Funding
Institutional Review Board Statement
Informed Consent Statement
Conflicts of Interest
References
- Adin, M.E.; Isufi, E.; Kulon, M.; Pucar, D. Association of COVID-19 mRNA Vaccine With Ipsilateral Axillary Lymph Node Reactivity on Imaging. JAMA Oncol. 2021, 7, 1241–1242. [Google Scholar] [CrossRef] [PubMed]
- Ahn, R.W.; Mootz, A.R.; Brewington, C.C.; Abbara, S. Axillary Lymphadenopathy After mRNA COVID-19 Vaccination. Radiol. Cardiothorac. Imaging 2021, 3, e210008. [Google Scholar] [CrossRef] [PubMed]
- Fernandez-Prada, M.; Rivero-Calle, I.; Calvache-Gonzalez, A.; Martinon-Torres, F. Acute onset supraclavicular lymphadenopathy coinciding with intramuscular mRNA vaccination against COVID-19 may be related to vaccine injection technique, Spain, January and February 2021. Euro Surveill. 2021, 26, 2100193. [Google Scholar] [CrossRef] [PubMed]
- Ganga, K.; Solyar, A.Y.; Ganga, R. Massive Cervical Lymphadenopathy Post-COVID-19 Vaccination. Ear Nose Throat J. 2021, 1455613211048984. [Google Scholar] [CrossRef] [PubMed]
- Hanneman, K.; Iwanochko, R.M.; Thavendiranathan, P. Evolution of Lymphadenopathy at PET/MRI after COVID-19 Vaccination. Radiology 2021, 299, E282. [Google Scholar] [CrossRef]
- Ozutemiz, C.; Krystosek, L.A.; Church, A.L.; Chauhan, A.; Ellermann, J.M.; Domingo-Musibay, E.; Steinberger, D. Lymphadenopathy in COVID-19 Vaccine Recipients: Diagnostic Dilemma in Oncologic Patients. Radiology 2021, 300, E296–E300. [Google Scholar] [CrossRef]
- Ho, A.S.; Kim, S.; Tighiouart, M.; Gudino, C.; Mita, A.; Scher, K.S.; Laury, A.; Prasad, R.; Shiao, S.L.; Van Eyk, J.E.; et al. Metastatic Lymph Node Burden and Survival in Oral Cavity Cancer. J. Clin. Oncol. 2017, 35, 3601–3609. [Google Scholar] [CrossRef] [PubMed] [Green Version]
- Toy, H.; Karasoy, D.; Keser, M. Lymphadenitis caused by H1N1 vaccination: Case report. Vaccine 2010, 28, 2158–2160. [Google Scholar] [CrossRef] [PubMed]
- Bshesh, K.; Khan, W.; Vattoth, A.L.; Janjua, E.; Nauman, A.; Almasri, M.; Mohamed Ali, A.; Ramadorai, V.; Mushannen, B.; AlSubaie, M.; et al. Lymphadenopathy post-COVID-19 vaccination with increased FDG uptake may be falsely attributed to oncological disorders: A systematic review. J. Med. Virol. 2022, 94, 1833–1845. [Google Scholar] [CrossRef] [PubMed]
- Wolfson, S.; Kim, E.; Plaunova, A.; Bukhman, R.; Sarmiento, R.D.; Samreen, N.; Awal, D.; Sheth, M.M.; Toth, H.B.; Moy, L.; et al. Axillary Adenopathy after COVID-19 Vaccine: No Reason to Delay Screening Mammogram. Radiology 2022, 303, 297–299. [Google Scholar] [CrossRef] [PubMed]
- Garreffa, E.; Hamad, A.; O’Sullivan, C.C.; Hazim, A.Z.; York, J.; Puri, S.; Turnbull, A.; Robertson, J.F.; Goetz, M.P. Regional lymphadenopathy following COVID-19 vaccination: Literature review and considerations for patient management in breast cancer care. Eur. J. Cancer 2021, 159, 38–51. [Google Scholar] [CrossRef] [PubMed]
- Kamiyama, H.; Sakamoto, K.; Niwa, K.; Ishiyama, S.; Takahashi, M.; Kojima, Y.; Goto, M.; Tomiki, Y.; Nakamichi, I.; Oh, S.; et al. Unusual False-Positive Mesenteric Lymph Nodes Detected by PET/CT in a Metastatic Survey of Lung Cancer. Case Rep. Gastroenterol. 2016, 10, 275–282. [Google Scholar] [CrossRef] [PubMed]
- Villanueva-Alcojol, L. Contralateral neck dissection in oral squamous cell carcinoma: When it shoud be done? Plast. Aesthetic Res. 2016, 3, 181. [Google Scholar] [CrossRef] [Green Version]
- Capote-Moreno, A.; Naval, L.; Munoz-Guerra, M.F.; Sastre, J.; Rodriguez-Campo, F.J. Prognostic factors influencing contralateral neck lymph node metastases in oral and oropharyngeal carcinoma. J. Oral Maxillofac. Surg. 2010, 68, 268–275. [Google Scholar] [CrossRef] [PubMed]
- Kim, D.W. Ultrasound-guided fine-needle aspiration for retrojugular lymph nodes in the neck. World J. Surg. Oncol. 2013, 11, 121. [Google Scholar] [CrossRef] [PubMed] [Green Version]
- Izzetti, R.; Vitali, S.; Aringhieri, G.; Caramella, D.; Nisi, M.; Oranges, T.; Dini, V.; Graziani, F.; Gabriele, M. The efficacy of Ultra-High Frequency Ultrasonography in the diagnosis of intraoral lesions. Oral Surg. Oral Med. Oral Pathol. Oral Radiol. 2020, 129, 401–410. [Google Scholar] [CrossRef] [PubMed]
- Izzetti, R.; Nisi, M.; Gennai, S.; Oranges, T.; Crocetti, L.; Caramella, D.; Graziani, F. Evaluation of Depth of Invasion in Oral Squamous Cell Carcinoma with Ultra-High Frequency Ultrasound: A Preliminary Study. Appl. Sci. 2021, 11, 7647. [Google Scholar] [CrossRef]









Publisher’s Note: MDPI stays neutral with regard to jurisdictional claims in published maps and institutional affiliations. |
© 2022 by the authors. Licensee MDPI, Basel, Switzerland. This article is an open access article distributed under the terms and conditions of the Creative Commons Attribution (CC BY) license (https://creativecommons.org/licenses/by/4.0/).
Share and Cite
Kang, E.-S.; Kim, M.-Y. Bilateral Cervical Lymphadenopathy after mRNA COVID-19 Vaccination on Oral Squamous Cell Carcinoma Patient: A Case Report. Diagnostics 2022, 12, 1518. https://doi.org/10.3390/diagnostics12071518
Kang E-S, Kim M-Y. Bilateral Cervical Lymphadenopathy after mRNA COVID-19 Vaccination on Oral Squamous Cell Carcinoma Patient: A Case Report. Diagnostics. 2022; 12(7):1518. https://doi.org/10.3390/diagnostics12071518
Chicago/Turabian StyleKang, Eun-Sung, and Moon-Young Kim. 2022. "Bilateral Cervical Lymphadenopathy after mRNA COVID-19 Vaccination on Oral Squamous Cell Carcinoma Patient: A Case Report" Diagnostics 12, no. 7: 1518. https://doi.org/10.3390/diagnostics12071518
APA StyleKang, E.-S., & Kim, M.-Y. (2022). Bilateral Cervical Lymphadenopathy after mRNA COVID-19 Vaccination on Oral Squamous Cell Carcinoma Patient: A Case Report. Diagnostics, 12(7), 1518. https://doi.org/10.3390/diagnostics12071518

