Pathological Appearance of Focal Liver Reactions after Radiotherapy for Hepatocellular Carcinoma
Abstract
:1. Introduction
2. Materials and Methods
2.1. Patients
2.2. Albumin-Bilirubin (ALBI) Scores
2.3. Radiotherapy
2.4. Imaging Methods
2.5. Image Evaluation
2.6. Pathology Materials and Pathological Analysis
2.7. Statistical Analysis
3. Results
3.1. Patient Characteristics
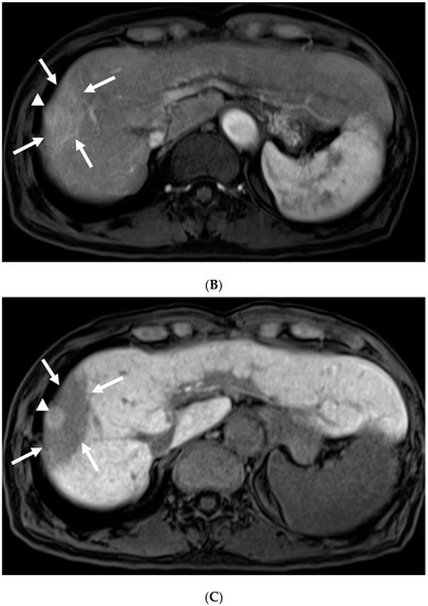
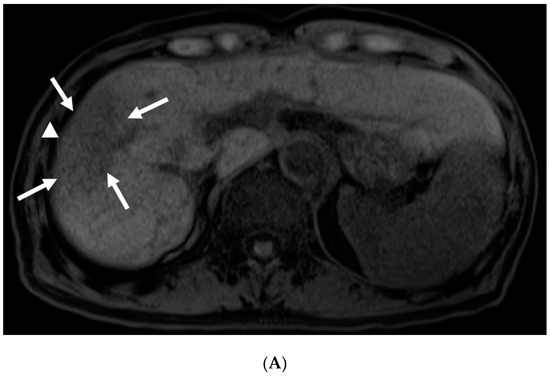
3.2. Imaging Follow-Up
3.3. Albumin-Bilirubin (ALBI) Score and Grade
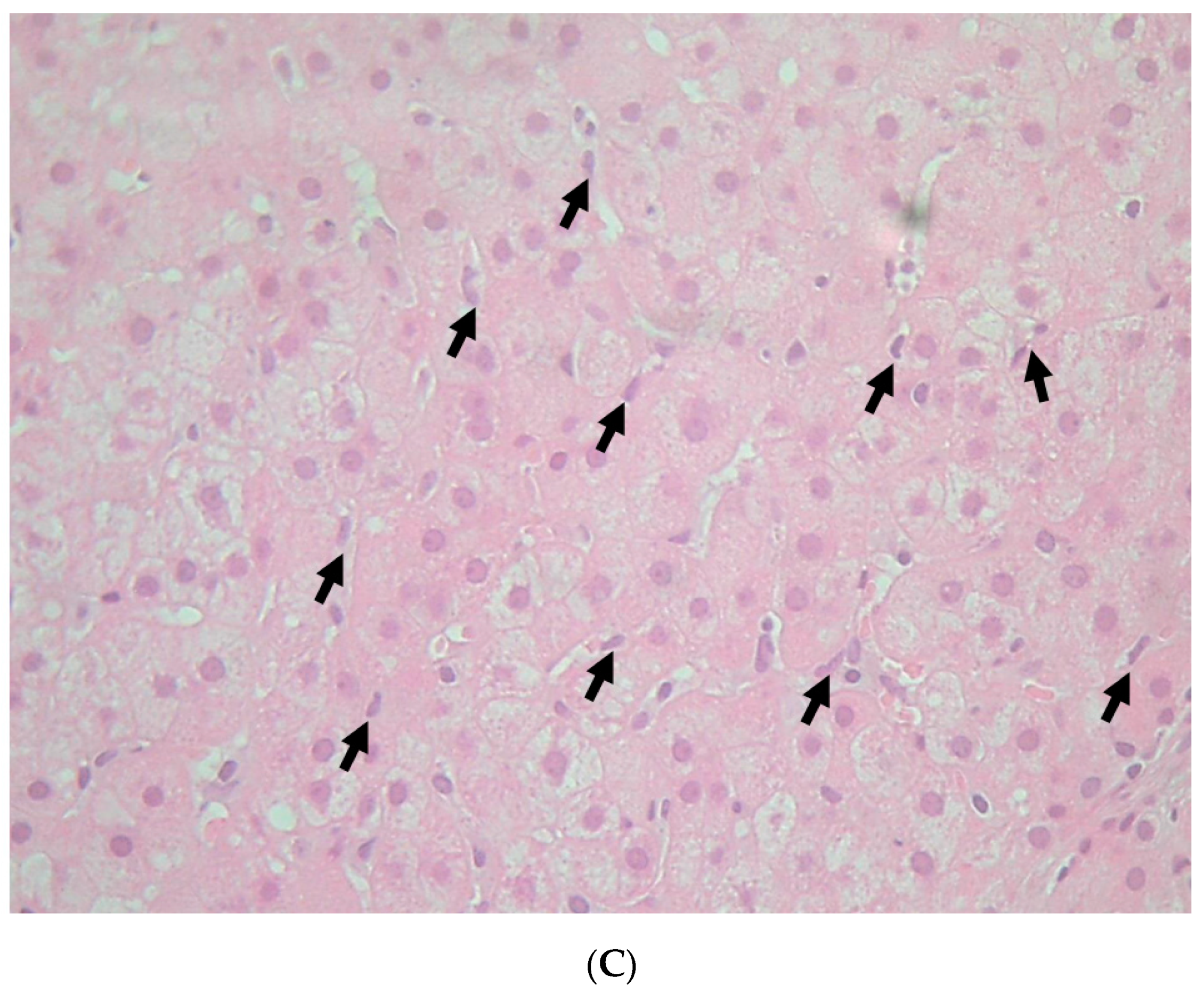
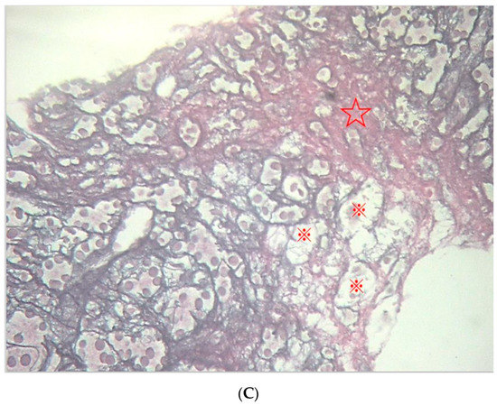
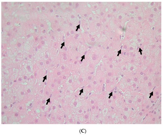
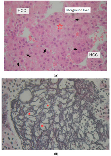
3.4. Pathological Findings and Estimated Theory of FLR Mechanisms
4. Discussion
Author Contributions
Funding
Institutional Review Board Statement
Informed Consent Statement
Data Availability Statement
Conflicts of Interest
Abbreviations
| AASLD | American Association for the Study of Liver Diseases |
| AFP | alfa-fetoprotein |
| ALBI | score; albumin-bilirubin score |
| CD31 | cluster of differentiation 31 |
| CD34 | cluster of differentiation 34 |
| CECT | contrast-enhanced CT |
| FLR | focal liver reaction |
| Gd-EOB-DTPA | gadolinium-ethoxybenzyl-diethylenetriamine pentaacetic acid |
| HCC | hepatocellular carcinoma |
| HFRT | hypofractionated radiotherapy |
| PIVKA-II | protein induced by vitamin K absence or antagonist-II |
| PTPE | percutaneous transhepatic portal vein embolization |
| SBRT | stereotactic body radiotherapy |
| TACE | transcatheter arterial chemo embolization |
References
- Takeda, A.; Sanuki, N.; Eriguchi, T.; Kobayashi, T.; Iwabutchi, S.; Matsunaga, K.; Mizuno, T.; Yashiro, K.; Nisimura, S.; Kunieda, E. Stereotactic ablative body radiotherapy for previously untreated solitary hepatocellular carcinoma. J. Gastroenterol. Hepatol. 2014, 29, 372–379. [Google Scholar] [CrossRef] [PubMed]
- Takeda, A.; Sanuki, N.; Tsurugai, Y.; Iwabuchi, S.; Matsunaga, K.; Ebinuma, H.; Imajo, K.; Aoki, Y.; Saito, H.; Kunieda, E. Phase 2 study of stereotactic body radiotherapy and optional transarterial chemoembolization for solitary hepatocellular carcinoma not amenable to resection and radiofrequency ablation. Cancer 2016, 122, 2041–2049. [Google Scholar] [CrossRef] [PubMed] [Green Version]
- Herfarth, K.K.; Hof, H.; Bahner, M.L.; Lohr, F.; Höss, A.; van Kaick, G.; Wannenmacher, M.; Debus, J. Assessment of focal liver reaction by multiphasic CT after stereotactic single-dose radiotherapy of liver tumors. Int. J. Radiat. Oncol. Biol. Phys. 2003, 57, 444–451. [Google Scholar] [CrossRef]
- Shiozawa, K.; Watanabe, M.; Ikehara, T.; Kobayashi, K.; Ochi, Y.; Suzuki, Y.; Fuchinoue, K.; Yoneda, M.; Kenmochi, T.; Okubo, Y.; et al. Evaluation of contrast-enhanced ultrasonography for hepatocellular carcinoma prior to and following stereotactic body radiation therapy using the CyberKnife® system: A preliminary report. Oncol. Lett. 2016, 11, 208–212. [Google Scholar] [CrossRef] [PubMed] [Green Version]
- Sanuki-Fujimoto, N.; Takeda, A.; Ohashi, T.; Kunieda, E.; Iwabuchi, S.; Takatsuka, K.; Koike, N.; Shigematsu, N. CT evaluations of focal liver reactions following stereotactic body radiotherapy for small hepatocellular carcinoma with cirrhosis: Relation-ship between imaging appearance and baseline liver function. Br. J. Radiol. 2010, 83, 1063–1071. [Google Scholar] [CrossRef] [PubMed]
- Sanuki, N.; Takeda, A.; Oku, Y.; Eriguchi, T.; Nishimura, S.; Aoki, Y.; Mizuno, T.; Iwabuchi, S.; Kunieda, E. Threshold doses for focal liver reaction after stereotactic ablative body radiation therapy for small hepatocellular carcinoma depend on liver func-tion: Evaluation on magnetic resonance imaging with Gd-EOB-DTPA. Int. J. Radiat. Oncol. Biol. Phys. 2014, 88, 306–311. [Google Scholar] [CrossRef]
- Takamatsu, S.; Kozaka, K.; Kobayashi, S.; Yoneda, N.; Yoshida, K.; Inoue, D.; Kitao, A.; Ogi, T.; Minami, T.; Kouda, W.; et al. Pathology and images of radiation-induced hepatitis: A review article. Jpn. J. Radiol. 2018, 36, 241–256. [Google Scholar] [CrossRef] [PubMed] [Green Version]
- Kim, J.; Jung, Y. Radiation-induced liver disease: Current understanding and future perspectives. Exp. Mol. Med. 2017, 49, e359. [Google Scholar] [CrossRef] [PubMed] [Green Version]
- Johnson, P.J.; Berhane, S.; Kagebayashi, C.; Satomura, S.; Teng, M.; Reeves, H.L.; O’Beirne, J.; Fox, R.; Skowronska, A.; Palmer, D.; et al. Assessment of liver function in patients with hepatocellular carcinoma: A new evidence-based approach-the ALBI grade. J. Clin. Oncol. Off. J. Am. Soc. Clin. Oncol. 2015, 33, 550–558. [Google Scholar] [CrossRef] [PubMed]
- Hiraoka, A.; Michitaka, K.; Kumada, T.; Izumi, N.; Kadoya, M.; Kokudo, N.; Kubo, S.; Matsuyama, Y.; Nakashima, O.; Sa-kamoto, M.; et al. Validation and Potential of Albumin-Bilirubin Grade and Prognostication in a Nationwide Survey of 46,681 Hepatocellular Carcinoma Patients in Japan: The Need for a More Detailed Evaluation of Hepatic Function. Liver Cancer 2017, 6, 325–336. [Google Scholar] [CrossRef] [PubMed]
- Bruix, J.; Sherman, M. Management of hepatocellular carcinoma: An update. Hepatology 2011, 53, 1020–1022. [Google Scholar] [CrossRef] [PubMed]
- DeLeve, L.D.; Shulman, H.M.; McDonald, G.B. Toxic injury to hepatic sinusoids: Sinusoidal obstruction syndrome (veno-occlusive disease). Semin. Liver Dis. 2002, 22, 27–42. [Google Scholar] [CrossRef] [PubMed]
- Kellock, T.; Liang, T.; Harris, A.; Schellenberg, D.; Ma, R.; Ho, S.; Yap, W.W. Stereotactic body radiation therapy (SBRT) for hepatocellular carcinoma: Imaging evaluation post treatment. Br. J. Radiol. 2018, 91, 20170118. [Google Scholar] [CrossRef] [PubMed]
- Nakamura, Y.; Kimura, T.; Higaki, T.; Honda, Y.; Komoto, D.; Yamagami, T.; Iida, M.; Nagata, Y.; Honda, Y.; Aikata, H.; et al. Clinical utility of gadoxetate disodium-enhanced hepatic MRI for stereotactic body radiotherapy of hepatocellular carcinoma. Jpn. J. Radiol. 2015, 33, 627–635. [Google Scholar] [CrossRef] [PubMed]
- Jung, J.; Yoon, S.M.; Kim, S.Y.; Cho, B.; Park, J.-H.; Kim, S.S.; Song, S.Y.; Lee, S.-W.; Ahn, S.D.; Choi, E.K.; et al. Radia-tion-induced liver disease after stereotactic body radiotherapy for small hepatocellular carcinoma: Clinical and dose-volumetric parameters. Radiat. Oncol. 2013, 8, 249. [Google Scholar] [CrossRef] [PubMed] [Green Version]









| No/Age/Sex | Hcc Seg/Size | RT Do/Fr/Da | Time | Pshology after RT | T-Bil/Alb (Pre-rad) ALBI Score/Grade | T-Bil/Alb (Post-rad) ALBI Score/Grade | |
|---|---|---|---|---|---|---|---|
| 1/81/M | S8/1.7 cm | SBRT | 1.5 montha | poor | F1−2 | 0.98/4.2 | 0.4/3.6 |
| 40Gy/5/5days | −2.79/1 | −2.51/2a | |||||
| 2/55/M | S8/2.6 cm | SBRT | 3.0 months | unknown | NASH | 0.7/4.2 | 1.1/4.2− |
| 40Gy/5/5days | −2.86/1 | −2.73/1 | |||||
| 3/69/M | S8/2.3 cm | SBRT | 4.0 months | well | F4 | 0.6/3.3 | 0.5/3.0 |
| 54Gy/5/3days | 2.14/2b | −1.93/2b | |||||
| 4/88/M | S3/3.2 cm | HFRT | 13.5 months | poor | F2 | 0.5/3.2 | 0.8/2.9 |
| 42Gy/14/18days | −2.10/2b | −1.72/2b | |||||
| 5/62/M | S2/1.3cm | HFRTs | 14.0 month | well | F1 | 1.0/3.7 | 1.3/3.8 |
| 42Gy/14/18days | −2.33/2a | −2.34/2a | |||||
Publisher’s Note: MDPI stays neutral with regard to jurisdictional claims in published maps and institutional affiliations. |
© 2022 by the authors. Licensee MDPI, Basel, Switzerland. This article is an open access article distributed under the terms and conditions of the Creative Commons Attribution (CC BY) license (https://creativecommons.org/licenses/by/4.0/).
Share and Cite
Okada, M.; Numata, K.; Nihonmatsu, H.; Tomita, K.; Takeda, A.; Tago, K.; Hyodo, T.; Eriguchi, T.; Nakano, M. Pathological Appearance of Focal Liver Reactions after Radiotherapy for Hepatocellular Carcinoma. Diagnostics 2022, 12, 1072. https://doi.org/10.3390/diagnostics12051072
Okada M, Numata K, Nihonmatsu H, Tomita K, Takeda A, Tago K, Hyodo T, Eriguchi T, Nakano M. Pathological Appearance of Focal Liver Reactions after Radiotherapy for Hepatocellular Carcinoma. Diagnostics. 2022; 12(5):1072. https://doi.org/10.3390/diagnostics12051072
Chicago/Turabian StyleOkada, Masahiro, Kazushi Numata, Hiromi Nihonmatsu, Kengo Tomita, Atsuya Takeda, Kenichiro Tago, Tomoko Hyodo, Takahisa Eriguchi, and Masayuki Nakano. 2022. "Pathological Appearance of Focal Liver Reactions after Radiotherapy for Hepatocellular Carcinoma" Diagnostics 12, no. 5: 1072. https://doi.org/10.3390/diagnostics12051072
APA StyleOkada, M., Numata, K., Nihonmatsu, H., Tomita, K., Takeda, A., Tago, K., Hyodo, T., Eriguchi, T., & Nakano, M. (2022). Pathological Appearance of Focal Liver Reactions after Radiotherapy for Hepatocellular Carcinoma. Diagnostics, 12(5), 1072. https://doi.org/10.3390/diagnostics12051072

