Perinatal Management in a Pregnant Woman with Ureteropelvic Junction Obstruction: Case Report and Literature Review
Abstract
1. Introduction
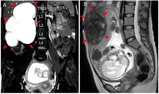
2. Case Presentation
3. Discussion
4. Conclusions
Supplementary Materials
Author Contributions
Funding
Institutional Review Board Statement
Informed Consent Statement
Conflicts of Interest
References
- Toka, H.R.; Toka, O.; Hariri, A.; Nguyen, H.T. Congenital anomalies of kidney and urinary tract. Semin. Nephrol. 2010, 30, 374–386. [Google Scholar] [CrossRef] [PubMed]
- Preston, A.; Lebowitz, R.L. What’s new in pediatric uroradiology. Urol. Radiol. 1989, 11, 217–220. [Google Scholar] [CrossRef] [PubMed]
- Adey, G.S.; Vargas, S.O.; Retik, A.B.; Borer, J.G.; Mandell, J.; Hendren, W.H.; Lebowitz, R.L.; Bauer, S.B. Fibroepithelial polyps causing ureteropelvic junction obstruction in children. J. Urol. 2003, 169, 1834–1836. [Google Scholar] [CrossRef] [PubMed]
- Park, J.M.; Bloom, D.A. The pathophysiology of UPJ obstruction: Current concepts. Urol. Clin. N. Am. 1998, 25, 161–169. [Google Scholar] [CrossRef]
- Zanetta, V.C.; Rosman, B.M.; Bromley, B.; Shipp, T.D.; Chow, J.S.; Campbell, J.B.; Herndon, C.D.A.; Passerotti, C.C.; Cendron, M.; Retik, A.B.; et al. Variations in management of mild prenatal hydronephrosis among maternal-fetal medicine obstetricians, and pediatric urologists and radiologists. J. Urol. 2012, 188, 1935–1939. [Google Scholar] [CrossRef]
- White, J.M.; Kaplan, G.W.; Brock, W.A. Ureteropelvic junction obstruction in children. Am. Fam. Physician 1984, 29, 211–216. [Google Scholar]
- Kaura, K.S.; Kumar, M.; Sokhal, A.K.; Gupta, A.K.; Purkait, B.; Saini, D.; Sankhwar, S. Giant hydronephrosis: Still a reality! Turk. J. Urol. 2017, 43, 337–344. [Google Scholar] [CrossRef]
- Ramly, F.; Mohamad, N.A.N.; Zahid, A.Z.M.; Kasim, N.M.; Teh, K.Y. Adult giant hydronephrosis diagnosed in the second trimester of pregnancy: A case report and literature review. Case Rep. Women’s Health 2020, 29, e00275. [Google Scholar] [CrossRef]
- Nerli, R.B.; Mungarwadi, A.; Mudegowdar, A.S.; Patil, A.; Hiremath, M.B.; Ghagane, S. A giant hydronephrosis mistakenly diagnosed as ovarian tumor in a pregnant woman. Urol. Case Rep. 2015, 4, 20–21. [Google Scholar] [CrossRef][Green Version]
- Lin, Y.-J.; Ou, Y.-C.; Tsang, L.-C.; Lin, H. Diagnostic value of magnetic resonance imaging for successful management of a giant hydronephrosis during pregnancy. J. Obstet. Gynaecol. 2012, 33, 91–93. [Google Scholar] [CrossRef]
- Mastoroudes, H.; Olsburgh, H.; Harding, K.; Dasgupta, P. Retroperitoneoscopic nephrectomy for giant hydronephrosis in pregnancy. Nat. Clin. Pract. Urol. 2007, 4, 512–515. [Google Scholar] [CrossRef] [PubMed]
- Peng, H.-H.; Wang, C.-J.; Yen, C.-F.; Chou, C.-C.; Lee, C.-L. Huge maternal hydronephrosis: A rare complication in pregnancy. Eur. J. Obstet. Gynecol. Reprod. Biol. 2003, 108, 223–225. [Google Scholar] [CrossRef]
- Bernstine, R.L.; Leblanc, G.A.; Richardson, J.F. Giant hydronephrosis complicating pregnancy. Am. J. Obstet. Gynecol. 1959, 78, 431–433. [Google Scholar] [CrossRef]
- Hecht, E.L. Hydronephrosis complicating pregnancy. Am. J. Obstet. Gynecol. 1952, 64, 684–685. [Google Scholar] [CrossRef]
- Albani, J.M.; Desai, M.M.; Gill, I.S.; Streem, S.B. Repair of adult ureteropelvic junction obstruction in the solitary kidney: Effect on renal function. Urology 2006, 68, 718–722. [Google Scholar] [CrossRef] [PubMed]
- Capello, S.A.; Kogan, B.A.; Giorgi, L.J., Jr.; Kaufman, R.P., Jr. Prenatal ultrasound has led to earlier detection and repair of ureteropelvic junction obstruction. J. Urol. 2005, 174, 1425–1428. [Google Scholar] [CrossRef]
- Johnston, J.H.; Evans, J.P.; Glassberg, K.I.; Shapiro, S.R. Pelvic hydronephrosis in children: A review of 219 personal cases. J. Urol. 1977, 117, 97–101. [Google Scholar] [CrossRef]
- Rasmussen, P.E.; Nielsen, F.R. Hydronephrosis during pregnancy: A literature survey. Eur. J. Obstet. Gynecol. Reprod. Biol. 1988, 27, 249–259. [Google Scholar] [CrossRef]
- Weber, S.; Morinière, V.; Knüppel, T.; Charbit, M.; Dusek, J.; Ghiggeri, G.M.; Jankauskiené, A.; Mir, S.; Montini, G.; Peco-Antic, A.; et al. Prevalence of mutations in renal developmental genes in children with renal hypodysplasia: Results of the ESCAPE Study. J. Am. Soc. Nephrol. 2006, 17, 2864–2870. [Google Scholar] [CrossRef]
- Warady, B.A.; Chadha, V. Chronic kidney disease in children: The global perspective. Pediatr. Nephrol. 2007, 22, 1999–2009. [Google Scholar] [CrossRef]
- Hwang, S.S.; Park, Y.H.; Lee, C.B.; Jung, Y.J. Spontaneous rupture of hydronephrotic kidney during pregnancy: Value of serial sonography. J. Clin. Ultrasound 2000, 28, 358–360. [Google Scholar] [CrossRef]
- Antenatal Care, NICE Guideline [NG201] Published: 19 August 2021. Available online: https://www.nice.org.uk/guidance/ng201/chapter/Recommendations#organisation-and-delivery-of-antenatal-care (accessed on 17 March 2022).
- Guidelines for Perinatal Care (8th Edition). Available online: https://publications.aap.org/aapbooks/book/522/Guidelines-for-Perinatal-Care (accessed on 17 March 2022).
- Byrne, J.J.; Seasely, A.; Nelson, D.B.; Mcintire, D.D.; Cunningham, F.G. Comparing acute fatty liver of pregnancy from hemolysis, elevated liver enzymes, and low platelets syndrome. J. Matern. Fetal Neonatal Med. 2022, 35, 1352–1362. [Google Scholar] [CrossRef] [PubMed]




| First Author | Age | Parity | Family History of Urinary Abnomality | GH Site | Symtom | Diagnostic Method | Timing of GH Detection | Serum Creatinine (mg/dL) | Pregnancy Complication | Treatment during Pregnancy | Delivery Method/Week |
|---|---|---|---|---|---|---|---|---|---|---|---|
| Present case (2022) | 31 | 0 | None | Right | Flank pain | TAU/MRI | 26th | 0.65 | None | Aspiration (3 times) | Vaginal delivery/36th |
| Ramly F [8] (2021) | 27 | 0 | None | Left | Iliac fossa pain | TAU/MRI | 23rd | Normal | GDM/HDP | None | C/S due to pre-eclampsia/32th |
| Nerli RB [9] (2016) | 25 | NA | NA | Left | Colicy pain | TAU/MRI | 24th | 1.4 | None | Double J stenting | NA |
| Lin YJ [10] (2013) | 31 | 0 | NA | Left | None | Ultrasound examination /MRI | 28th | 0.7 | None | None | C/S due to cephalopelvic disproportion/term |
| Mastoroudes H [11] (2007) | 32 | 0 | NA | Left | Sided-pain | Ultrasound scan /Intravenous urograph | Before pregnancy | Normal | None | Nephrectomy | Vaginal delivery/term |
| Peng HH [12] (2003) | 21 | 0 | NA | Left | Flank pain | TAU/MRI | 25th | 0.9 | None | Aspiration (3 times) | Vaginal delivery/39th |
| Bernstine RL [13] (1959) | 19 | NA | NA | Right | Dull aching sensation | Palpation /Intravenous urogram | 26th | Normal | None | Nephrectomy | Vaginal delivery/term |
| Hecht EL [14] (1952) | 17 | 0 | None | Right | None | Palpation | 31st | NA | None | Nephrectomy | Vaginal delivery/34th |
Publisher’s Note: MDPI stays neutral with regard to jurisdictional claims in published maps and institutional affiliations. |
© 2022 by the authors. Licensee MDPI, Basel, Switzerland. This article is an open access article distributed under the terms and conditions of the Creative Commons Attribution (CC BY) license (https://creativecommons.org/licenses/by/4.0/).
Share and Cite
Tamura, D.; Narita, S.; Yamauchi, M.; Watanabe, R.; Yokoyama, S.; Kikuchi, A.; Shitara, A.; Chiba, S.; Saito, F.; Sugita, A.; et al. Perinatal Management in a Pregnant Woman with Ureteropelvic Junction Obstruction: Case Report and Literature Review. Diagnostics 2022, 12, 913. https://doi.org/10.3390/diagnostics12040913
Tamura D, Narita S, Yamauchi M, Watanabe R, Yokoyama S, Kikuchi A, Shitara A, Chiba S, Saito F, Sugita A, et al. Perinatal Management in a Pregnant Woman with Ureteropelvic Junction Obstruction: Case Report and Literature Review. Diagnostics. 2022; 12(4):913. https://doi.org/10.3390/diagnostics12040913
Chicago/Turabian StyleTamura, Daisuke, Shintaro Narita, Misa Yamauchi, Rina Watanabe, Shota Yokoyama, Akane Kikuchi, Akihiro Shitara, Syuji Chiba, Fumiko Saito, Akihiro Sugita, and et al. 2022. "Perinatal Management in a Pregnant Woman with Ureteropelvic Junction Obstruction: Case Report and Literature Review" Diagnostics 12, no. 4: 913. https://doi.org/10.3390/diagnostics12040913
APA StyleTamura, D., Narita, S., Yamauchi, M., Watanabe, R., Yokoyama, S., Kikuchi, A., Shitara, A., Chiba, S., Saito, F., Sugita, A., Sato, K., & Karube, A. (2022). Perinatal Management in a Pregnant Woman with Ureteropelvic Junction Obstruction: Case Report and Literature Review. Diagnostics, 12(4), 913. https://doi.org/10.3390/diagnostics12040913

