Chemotherapy-Induced Liver Injury in Patients with Colorectal Liver Metastases: Findings from MR Imaging
Abstract
1. Introduction
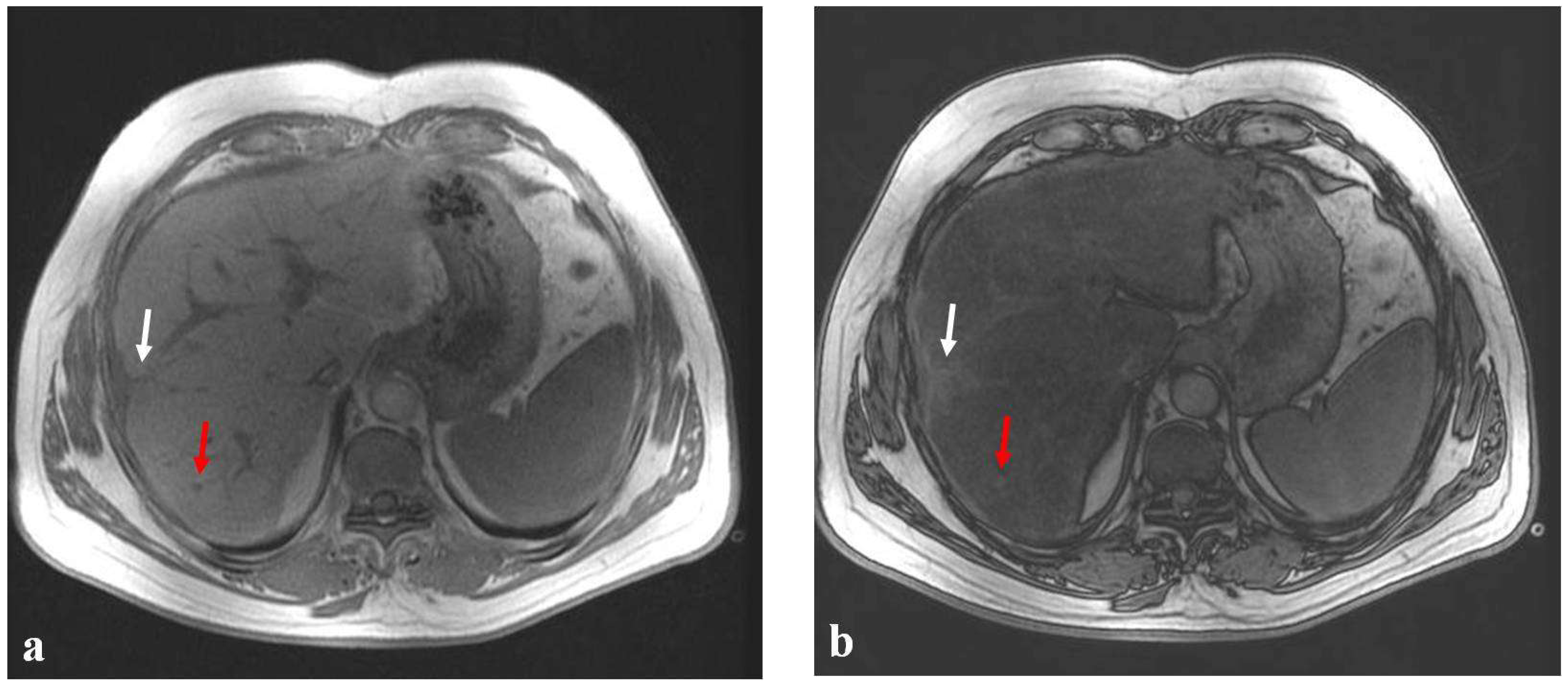
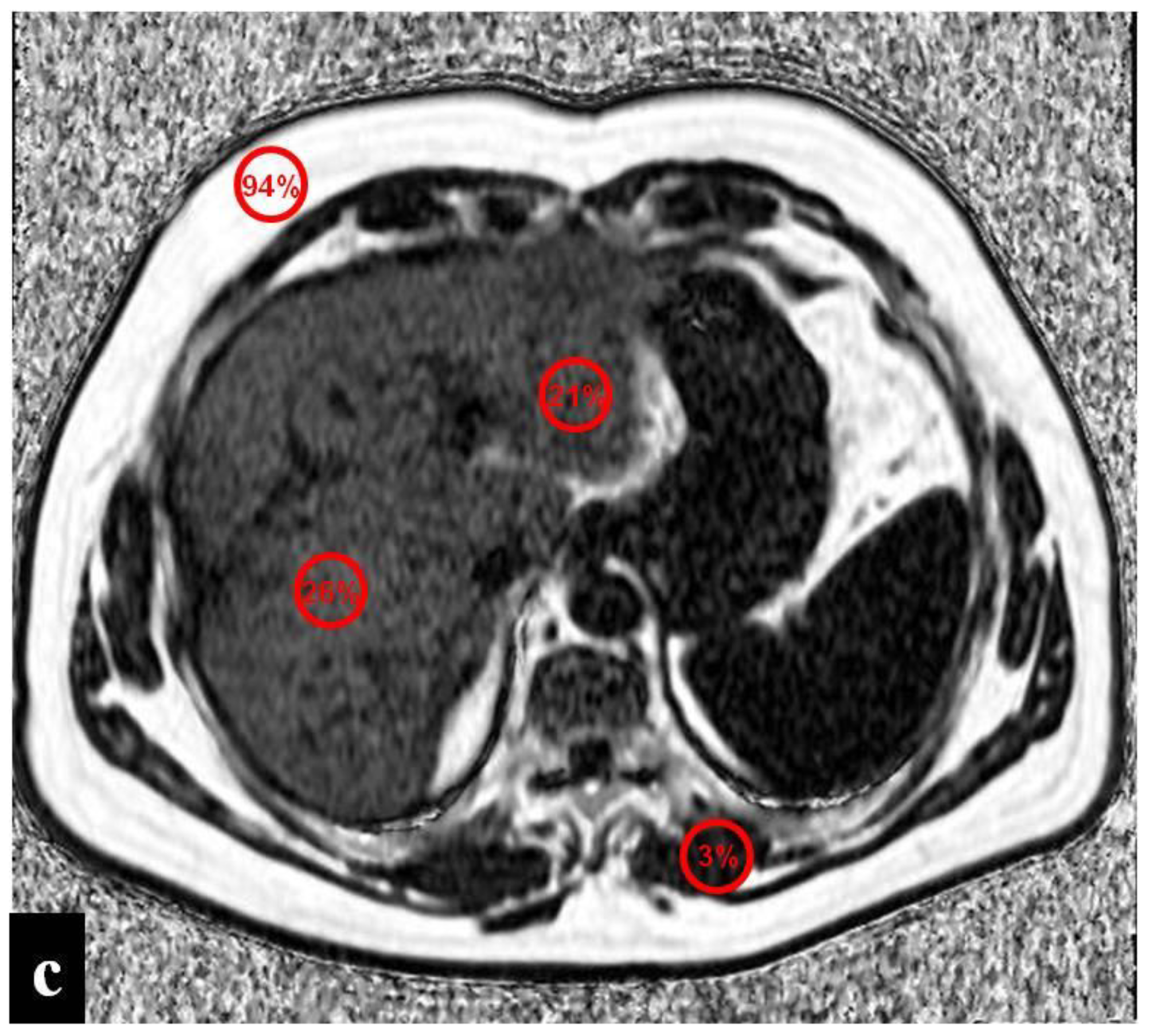
2. Hepatic Steatosis, Steatohepatitis, and Cirrhosis
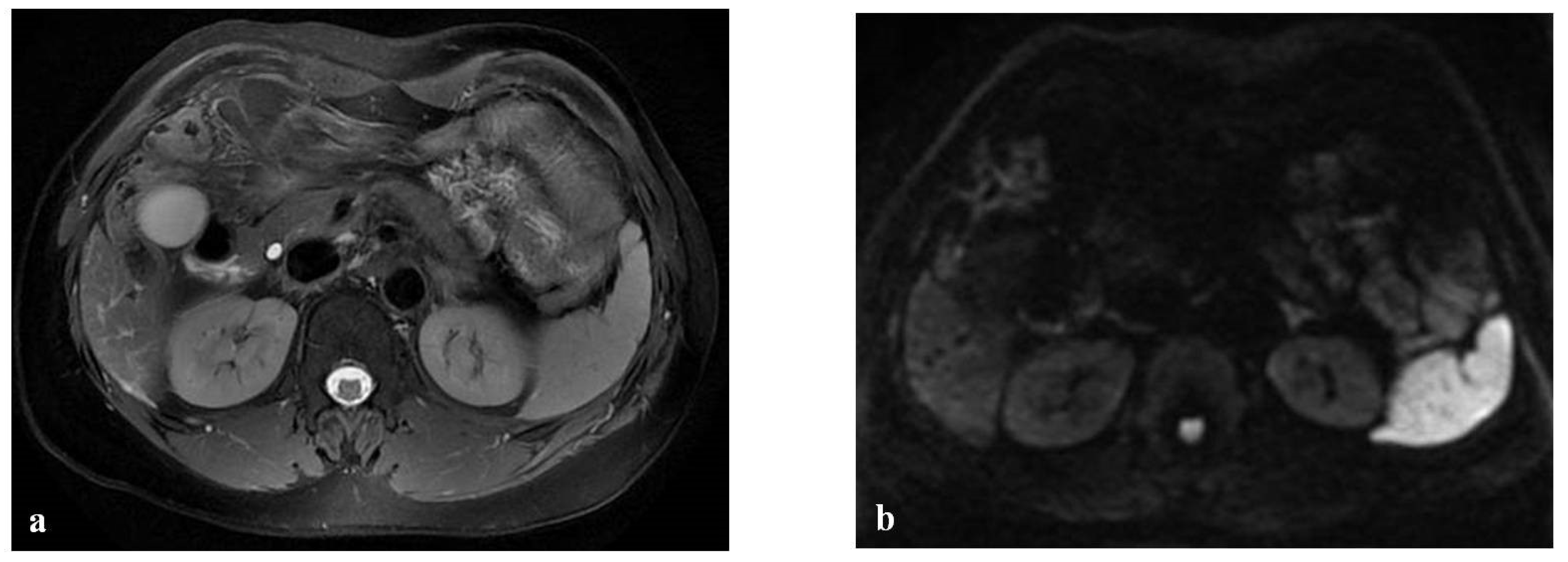
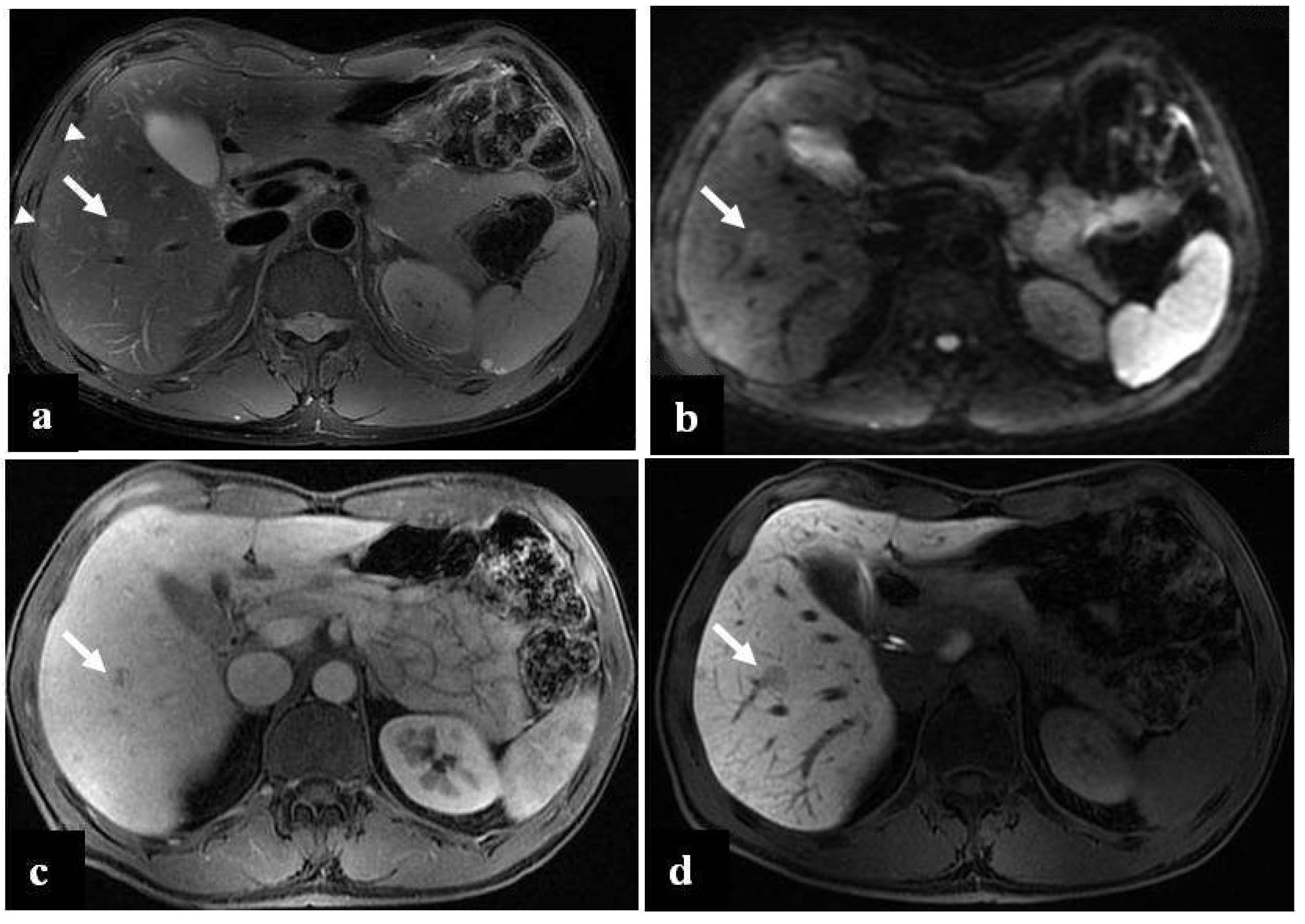
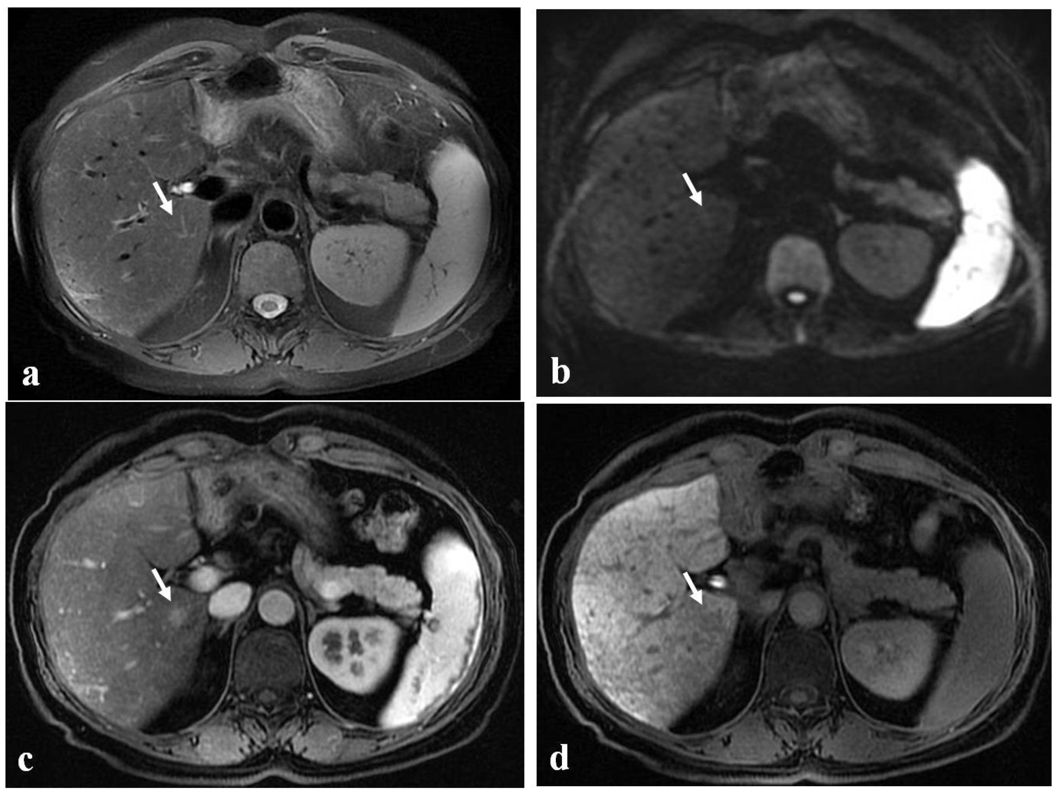
3. Sinusoidal Obstruction Syndrome (SOS)
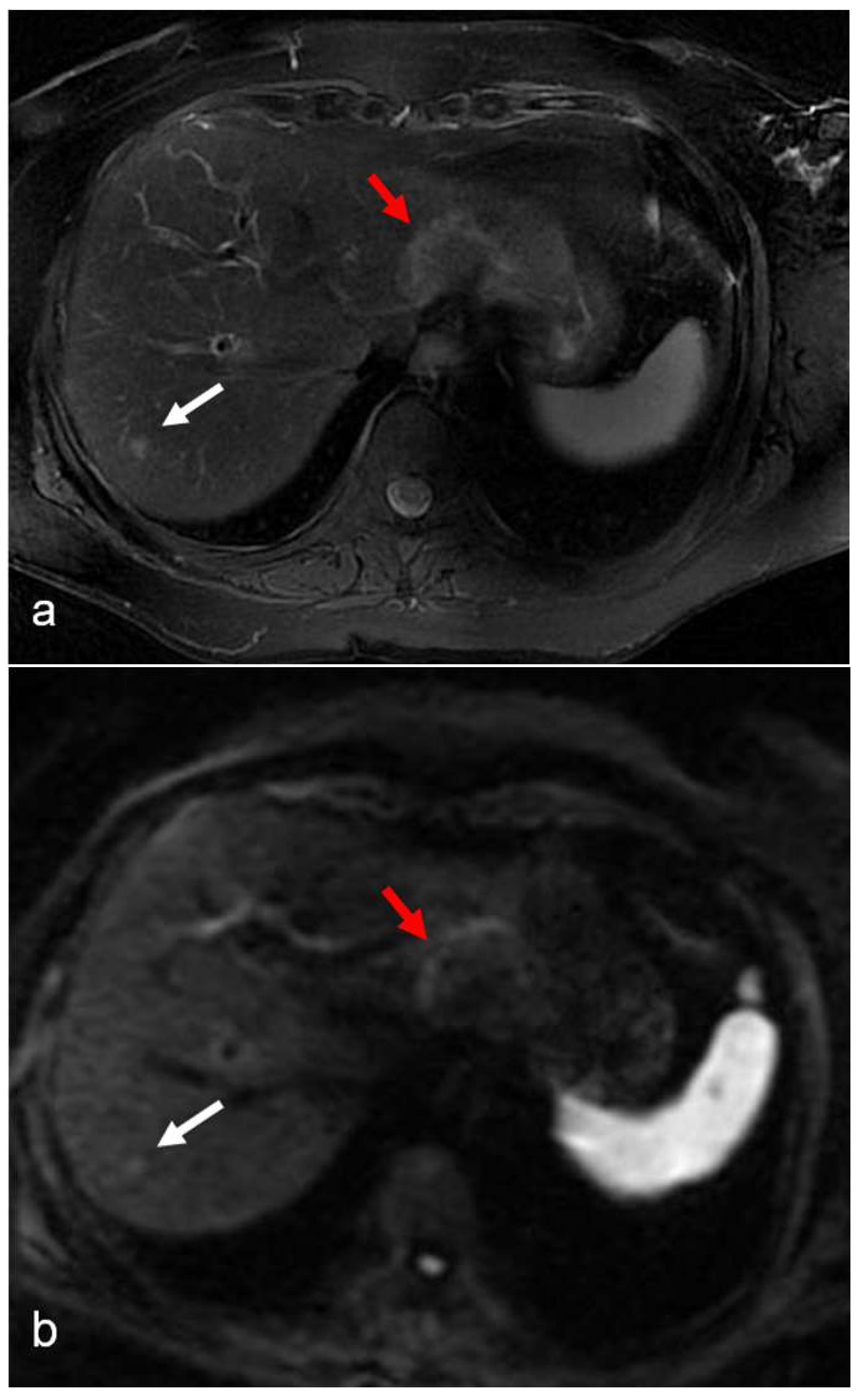
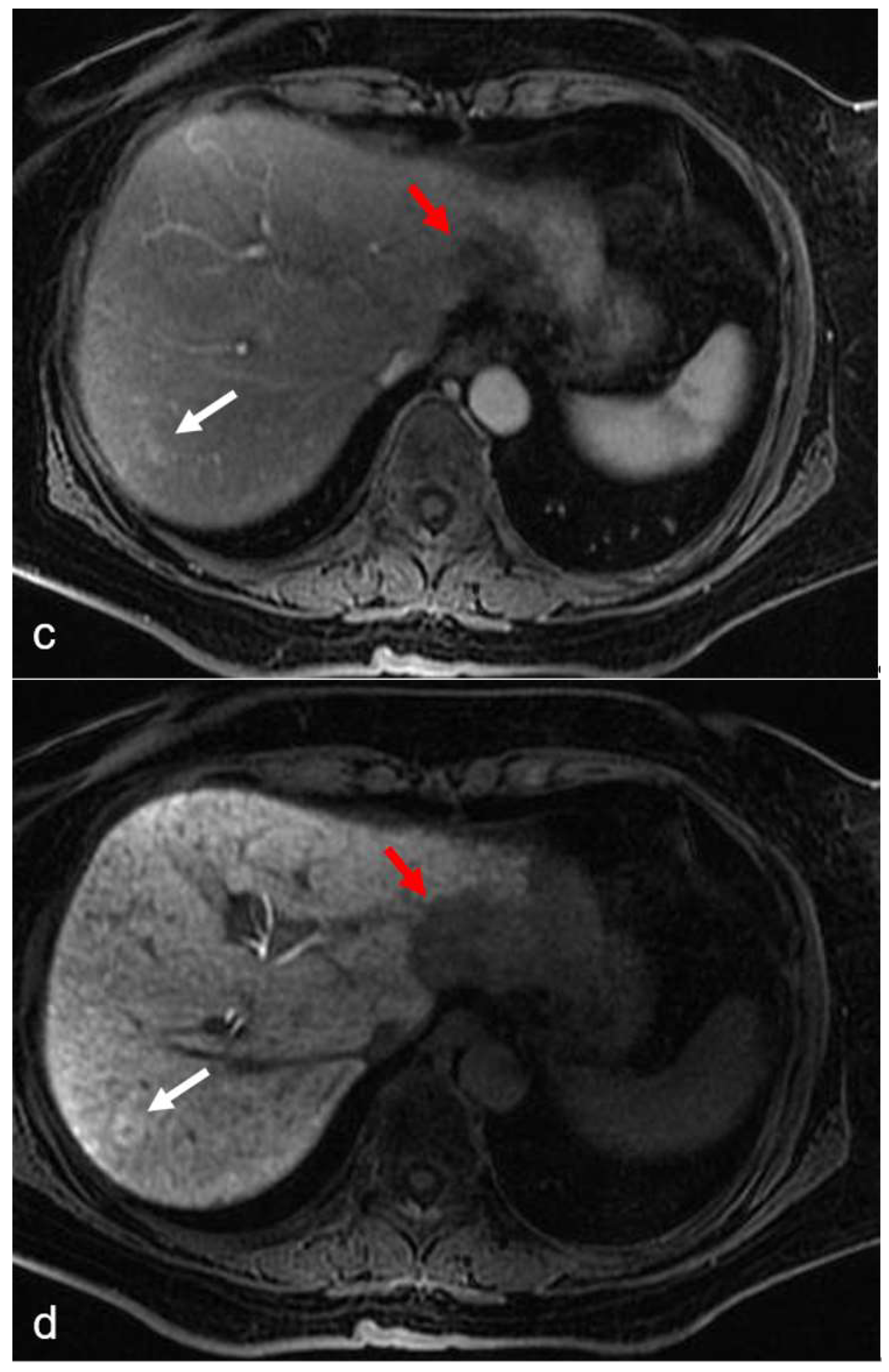
Focal Chemotherapy-Induced Hepatopathy
4. Conclusions
Author Contributions
Funding
Institutional Review Board Statement
Informed Consent Statement
Conflicts of Interest
References
- Rubbia-Brandt, L.; Audard, V.; Sartoretti, P.; Roth, A.D.; Brezault, C.; Le Charpentier, M.; Dousset, B.; Morel, P.; Soubrane, O.; Chaussade, S.; et al. Severe hepatic sinusoidal obstruction associated with oxaliplatin-based chemotherapy in patients with metastatic colorectal cancer. Ann. Oncol. 2004, 15, 460–466. [Google Scholar] [CrossRef] [PubMed]
- Viganò, L.; Rubbia-Brandt, L.; De Rosa, G.; Majno, P.; Langella, S.; Toso, C.; Mentha, G.; Capussotti, L. Nodular Regenerative Hyperplasia in Patients Undergoing Liver Resection for Colorectal Metastases after Chemotherapy: Risk Factors, Preoperative Assessment and Clinical Impact. Ann. Surg. Oncol. 2015, 13, 4149–4157. [Google Scholar] [CrossRef] [PubMed]
- Stern, C.; Castera, L. Non-invasive diagnosis of hepatic steatosis. Hepatol. Int. 2017, 11, 70–78. [Google Scholar] [CrossRef] [PubMed]
- Vernuccio, F.; Dioguardi Burgio, M.; Barbiera, F.; Cusmà, S.; Badalamenti, G.; Midiri, M.; Vilgrain, V.; Brancatelli, G. CT and MR imaging of chemotherapy-induced hepatopathy. Abdom. Radiol. 2019, 44, 3312–3324. [Google Scholar] [CrossRef]
- Jang, J.K.; Jang, H.; Kim, J.S.; Kim, T.K. Focal fat deposition in the liver: Diagnostic challenges on imaging. Abdom. Radiol. 2017, 42, 1667–1678. [Google Scholar] [CrossRef]
- You, S.; Park, B.J.; Kim, Y.H. Hepatic lesions that mimic metastasis on radiological imaging during chemotherapy for gastrointestinal malignancy. Korean J. Radiol. 2017, 18, 413–426. [Google Scholar] [CrossRef]
- Robinson, S.M.; Wilson, C.H.; Burt, A.D.; Manas, D.M.; White, S.A. Chemotherapy-associated liver injury in patients with colorectal liver metastases: A systematic review and meta-analysis. Ann. Surg. Oncol. 2012, 19, 4287–4299. [Google Scholar] [CrossRef]
- Vigano, L.; De Rosa, G.; Toso, C.; Andres, A.; Ferrero, A.; Roth, A.; Sperti, E.; Majno, P.; Rubbia-Brandt, L. Reversibility of Chemotherapy-Related Liver Injury. J. Hepatol. 2017, 67, 84–91. [Google Scholar] [CrossRef]
- Idilman, I.S.; Ozdeniz, I.; Karcaaltincaba, M. Hepatic Steatosis: Etiology, Patterns, and Quantification. Semin. Ultrasound CT MR 2016, 37, 501–510. [Google Scholar] [CrossRef]
- Zhao, J.; van Mierlo, K.M.C.; Gómez-Ramírez, J.; Kim, H.; Pilgrim, C.H.C.; Pessaux, P.; Rensen, S.S.; van der Stok, E.P.; Schaap, F.G.; Soubrane, O.; et al. Chemotherapy-Associated Liver Injury (CALI) consortium. Systematic review of the influence of chemotherapy-associated liver injury on outcome after partial hepatectomy for colorectal liver metastases. Br. J. Surg. 2017, 104, 990–1002. [Google Scholar] [CrossRef]
- Vauthey, J.N.; Mizuno, T.; Overman, M.J.; Soubrane, O. Can we navigate chemotherapy-induced hepatic injuries from pathology to bedside? J. Hepatol. 2017, 67, 10–11. [Google Scholar] [CrossRef] [PubMed][Green Version]
- Zhang, Y.N.; Fowler, K.J.; Hamilton, G.; Cui, J.Y. The role of imaging in obesity special feature: Review Article Liver fat imaging—A clinical overview of ultrasound, CT, and MR imaging. Br. J. Radiol. 2018, 91, 20170959. [Google Scholar] [CrossRef] [PubMed]
- Wells, M.M.; Li, Z.; Addeman, B.; McKenzie, C.A.; Mujoomdar, A.; Beaton, M.; Bird, J. Computed tomography measurement of hepatic steatosis: Prevalence of hepatic steatosis in a Canadian population. Can. J. Gastroenterol. Hepatol. 2016, 2016, 4930987. [Google Scholar] [CrossRef] [PubMed]
- Berger-Kulemann, V.; Schima, W.; Baroud, S.; Koelblinger, C.; Kaczirek, K.; Gruenberger, T.; Schindl, M.; Maresch, J.; Weber, M.; Ba-Ssalamah, A. Gadoxetic acid-enhanced 3.0 T MR imaging versus multidetector-row CT in the detection of colorectal metastases in fatty liver using intraoperative ultrasound and histopathology as a standard of reference. Eur. J. Surg. Oncol. 2012, 38, 670–676. [Google Scholar] [CrossRef] [PubMed]
- Bannas, P.; Kramer, H.; Hernando, D.; Agni, R.; Cunningham, A.M.; Mandal, R.; Motosugi, U.; Sharma, S.D.; Munoz del Rio, A.; Fernandez, L.; et al. Quantitative magnetic resonance imaging of hepatic steatosis: Validation in ex vivo human livers. Hepatology 2015, 62, 1444–1455. [Google Scholar] [CrossRef] [PubMed]
- Hines, C.D.; Frydrychowicz, A.; Hamilton, G.; Tudorascu, D.L.; Vigen, K.K.; Yu, H.; McKenzie, C.A.; Sirlin, C.B.; Brittain, J.H.; Reeder, S.B. T1 independent, T2* corrected chemical shift based fat-water separation with multi-peak fat spectral modeling is an accurate and precise measure of hepatic steatosis. J. Magn. Reson. Imaging 2011, 33, 873–881. [Google Scholar] [CrossRef] [PubMed]
- Idilman, I.S.; Aniktar, H.; Idilman, R.; Kabacam, G.; Savas, B.; Elhan, A.; Celik, A.; Bahar, K.; Karcaaltincaba, M. Hepatic steatosis: Quantification by proton, density fat fraction with MR imaging versus liver biopsy. Radiology 2013, 267, 767–775. [Google Scholar] [CrossRef]
- Idilman, I.S.; Keskin, O.; Elhan, A.H.; Idilman, R.; Karcaaltincaba, M. Impact of sequential proton density fat fraction for quantification of hepatic steatosis in nonalcoholic fatty liver disease. Scand. J. Gastroenterol. 2014, 49, 617–624. [Google Scholar] [CrossRef]
- Wong, V.W.; Adams, L.A.; de Lédinghen, V.; Wong, G.L.; Sookoian, S. Noninvasive biomarkers in NAFLD and NASH—current progress and future promise. Nat. Rev. Gastroenterol. Hepatol. 2018, 15, 461–478. [Google Scholar] [CrossRef]
- Rubbia-Brandt, L.; Lauwers, G.Y.; Wang, H.; Majno, P.E.; Tanabe, K.; Zhu, A.X.; Brezault, C.; Soubrane, O.; Abdalla, E.K.; Vauthey, J.N.; et al. Sinusoidal obstruction syndrome and nodular regenerative hyperplasia are frequent oxaliplatin-associated liver lesions and partially prevented by bevacizumab in patients with hepatic colorectal metastasis. Histopathology 2010, 56, 430–439. [Google Scholar] [CrossRef]
- Zhang, Y.; Yan, Y.; Song, B. Noninvasive imaging diagnosis of sinusoidal obstruction syndrome: A pictorial review. Insights Imaging 2019, 10, 110. [Google Scholar] [CrossRef] [PubMed]
- Cayet, S.; Pasco, J.; Dujardin, F.; Besson, M.; Orain, I.; De Muret, A.; Miquelestorena-Standley, E.; Thiery, J.; Genet, T.; Le Bayon, A.G. Diagnostic performance of contrast-enhanced CT-scan in sinusoidal obstruction syndrome induced by chemotherapy of colorectal liver metastases: Radio-pathological correlation. Eur. J. Radiol. 2017, 94, 180–190. [Google Scholar] [CrossRef] [PubMed]
- Han, N.Y.; Park, B.J.; Yang, K.S.; Kim, M.J.; Sung, D.J.; Sim, K.C.; Cho, S.B. Hepatic Parenchymal Heterogeneity as a Marker for Oxaliplatin-Induced Sinusoidal Obstruction Syndrome: Correlation With Treatment Response of Colorectal Cancer Liver Metastases. AJR Am. J. Roentgenol. 2017, 209, 1039–1045. [Google Scholar] [CrossRef]
- Hubert, C.; Sempoux, C.; Humblet, Y.; van den Eynde, M.; Zech, F.; Leclercq, I.; Gigot, J.F. Sinusoidal obstruction syndrome (SOS) related to chemotherapy for colorectal liver metastases: Factors predictive of severe SOS lesions and protective effect of bevacizumab. HPB 2013, 15, 858–864. [Google Scholar] [CrossRef] [PubMed]
- Hubert, C.; Fervaille, C.; Sempoux, C.; Horsmans, Y.; Humblet, Y.; Machiels, J.P.; Zech, F.; Ceratti, A.; Gigot, J.F. Prevalence and clinical relevance of pathological hepatic changes occurring after neoadjuvant chemotherapy for colorectal liver metastases. Surgery 2010, 147, 185–194. [Google Scholar] [CrossRef] [PubMed]
- Martins, J.; Alexandrino, H.; Oliveira, R.; Cipriano, M.A.; Falcão, D.; Ferreira, L.; Martins, R.; Serôdio, M.; Martins, M.; Tralhão, J.G.; et al. Sinusoidal dilation increases the risk of complications in hepatectomy for CRCLM-Protective effect of bevacizumab and diabetes mellitus, serum gamma-glutamyltranspeptidase as predictive factor. Eur. J. Surg. Oncol. 2016, 42, 713–721. [Google Scholar] [CrossRef] [PubMed]
- Hubert, C.; Lucidi, V.; Weerts, J.; Dili, A.; Demetter, P.; Massart, B.; Komuta, M.; Navez, J.; Reding, R.; Gigot, J.F.; et al. Impact of biological agents on the prevalence of chemotherapy associated liver injury (CALI): Multicentric study of patients operated for colorectal liver metastases. Eur. J. Surg. Oncol. 2018, 44, 1532–1538. [Google Scholar] [CrossRef] [PubMed]
- Overman, M.J.; Ferrarotto, R.; Raghav, K.; George, B.; Qiao, W.; Machado, K.K.; Saltz, L.B.; Mazard, T.; Vauthey, J.N.; Hoff, P.M.; et al. The addition of bevacizumab to oxaliplatin-based chemotherapy: Impact upon hepatic sinusoidal injury and thrombocytopenia. J. Natl. Cancer Inst. 2018, 110, 888–894. [Google Scholar] [CrossRef]
- Deleve, L.D.; Wang, X.; Tsai, J.; Kanel, G.; Strasberg, S.; Tokes, Z.A. Sinusoidal obstruction syndrome (veno-occlusive disease) in the rat is prevented by matrix metalloproteinase inhibition. Gastroenterology 2003, 125, 882–890. [Google Scholar] [CrossRef]
- Iguchi, A.; Kobayashi, R.; Yoshida, M.; Kobayashi, K.; Matsuo, K.; Kitajima, I.; Maruyama, I. Vascular endothelial growth factor (VEGF) is one of the cytokines causative and predictive of hepatic veno-occlusive disease (VOD) in stem cell transplantation. Bone Marrow Transplant. 2001, 27, 1173–1180. [Google Scholar] [CrossRef]
- Ravaioli, F.; Colecchia, A.; Alemanni, L.V.; Vestito, A.; Dajti, E.; Marasco, G.; Sessa, M.; Pession, A.; Bonifazi, F.; Festi, D. Role of imaging techniques in liver veno-occlusive disease diagnosis: Recent advances and literature review. Expert Rev. Gastroenterol. Hepatol. 2019, 13, 463–484. [Google Scholar] [CrossRef] [PubMed]
- Yoneda, N.; Matsui, O.; Ikeno, H.; Inoue, D.; Yoshida, K.; Kitao, A.; Kozaka, K.; Kobayashi, S.; Gabata, T.; Ikeda, H.; et al. Correlation between Gd-EOB-DTPA-enhanced MR imaging findings and OATP1B3 expression in chemotherapy-associated sinusoidal obstruction syndrome. Abdom. Imaging 2015, 40, 3099–3103. [Google Scholar] [CrossRef] [PubMed]
- Zhou, H.; Wang, Y.J.; Lou, H.; Xu, X.; Zhang, M. Hepatic sinusoidal obstruction syndrome caused by herbal medicine: CT and MRI Features. Korean J. Radiol. 2014, 15, 218–225. [Google Scholar] [CrossRef] [PubMed]
- Furlan, A.; Minervini, M.I.; Borhani, A.A.; Dioguardi Burgio, M.; Tublin, M.E.; Brancatelli, G. Hepatic sinusoidal dilatation: A review of causes with imaging-pathologic correlation. Semin. Ultrasound CT MR 2016, 37, 525–532. [Google Scholar] [CrossRef]
- Brancatelli, G.; Furlan, A.; Calandra, A.; Burgio, M.D. Hepatic sinusoidal dilatation. Abdom. Radiol. 2018, 43, 2011–2022. [Google Scholar] [CrossRef]
- Shin, N.Y.; Kim, M.J.; Lim, J.S.; Park, M.S.; Chung, Y.E.; Choi, J.Y.; Kim, K.W.; Park, Y.N. Accuracy of gadoxetic acid-enhanced magnetic resonance imaging for the diagnosis of sinusoidal obstruction syndrome in patients with chemotherapy-treated colorectal liver metastases. Eur. Radiol. 2012, 22, 864–871. [Google Scholar] [CrossRef]
- Kim, H.; Baek, S.E.; Moon, J.; Roh, Y.H.; Lee, N.; Cho, A. Increased hepatic FDG uptake on PET/CT in hepatic sinusoidal obstructive syndrome. Oncotarget 2016, 7, 69024–69031. [Google Scholar] [CrossRef]
- Han, N.Y.; Park, B.J.; Sung, D.J.; Kim, M.J.; Cho, S.B.; Lee, C.H.; Jang, Y.J.; Kim, S.Y.; Kim, D.S.; Um, S.H.; et al. Chemotherapy-induced focal hepatopathy in patients with gastrointestinal malignancy: Gadoxetic acid–enhanced and diffusion-weighted MR imaging with clinical-pathologic correlation. Radiology 2014, 271, 416–425. [Google Scholar] [CrossRef]
- Staal, F.C.; Beets-Tan, R.G.; Heeres, B.C.; Houwers, J.; de Boer, M.; van Dorth, D.; Lambregts, D.M.; Maas, M. Magnetic resonance assessment of sinusoidal obstruction syndrome after neoadjuvant chemotherapy for colorectal liver metastases is not reproducible. Acta Radiol. 2021, 62, 1133–1141. [Google Scholar] [CrossRef]
- Choi, J.H.; Won, Y.W.; Kim, H.S.; Oh, Y.H.; Lim, S.; Kim, H.J. Oxaliplatin-induced sinusoidal obstruction syndrome mimicking metastatic colon cancer in the liver. Oncol. Lett. 2016, 11, 2861–2864. [Google Scholar] [CrossRef]
- Guarino, B.; Catalano, O.; Corvino, A.; Corvino, F.; Amore, A.; Petrillo, A. Hepatic inflammatory pseudotumor: Educational value of an incorrect diagnosis at contrast-enhanced ultrasound. J. Med. Ultrason. 2015, 42, 547–552. [Google Scholar] [CrossRef] [PubMed]
- Yoshida, M.; Utsunomiya, D.; Takada, S.; Komohara, Y.; Mizoshiri, T.; Oda, S.; Harada, K.; Ikeda, O. The imaging findings of Peliosis hepatis on gadoxetic acid enhanced MRI. Radiol. Case Rep. 2020, 15, 1261–1265. [Google Scholar] [CrossRef] [PubMed]
- Morris-Stiff, G.; White, A.D.; Gomez, D.; Cameron, I.C.; Farid, S.; Toogood, G.J.; Lodge, J.P.; Prasad, K.R. Nodular regenerative hyperplasia (NRH) complicating oxaliplatin chemotherapy in patients undergoing resection of colorectal liver metastases. Eur. J. Surg. Oncol. 2014, 40, 1016–1020. [Google Scholar] [CrossRef] [PubMed]
- Alexandrino, H.; Oliveira, D.; Cipriano, M.A.; Ferreira, L.; Tralhão, J.G. Oxaliplatin toxicity presenting as a liver nodule—Case report. BMC Cancer 2015, 15, 247. [Google Scholar] [CrossRef][Green Version]
- Uchino, K.; Fujisawa, M.; Watanabe, T.; Endo, Y.; Nobuhisa, T.; Matsumoto, Y.; Kai, K.; Sato, S.; Notohara, K.; Matsukawa, A. Oxaliplatin-induced liver injury mimicking metastatic tumor on images: A case report. Jpn. J. Clin. Oncol. 2013, 43, 1034–1038. [Google Scholar] [CrossRef]
- Calderaro, J.; Azoulay, D.; Zafrani, E. Hepatocellular carcinoma and nodular regenerative hyperplasia after chemotherapy for metastatic colorectal carcinoma. Hepatology 2014, 60, 1440–1441. [Google Scholar] [CrossRef]
- Furlan, A.; Brancatelli, G.; Dioguardi Burgio, M.; Grazioli, L.; Lee, J.M.; Murmura, E.; Lucidarme, O.; Strauss, C.; Rode, A.; Ronot, M.; et al. Focal Nodular Hyperplasia After Treatment With Oxaliplatin: A Multiinstitutional Series of Cases Diagnosed at MRI. AJR Am. J. Roentgenol. 2018, 210, 775–779. [Google Scholar] [CrossRef]
- Walter, C.J.; Al-Allak, A.; Borley, N.; Goodman, A.; Wheeler, J.M. Fifth-year surveillance computed tomography scanning after potentially curative resections for colorectal cancer. Surgeon 2013, 11, 25–29. [Google Scholar] [CrossRef]
- Yoneda, N.; Matsui, O.; Kitao, A.; Kozaka, K.; Kobayashi, S.; Sasaki, M.; Yoshida, K.; Inoue, D.; Minami, T.; Gabata, T. Benign hepatocellular nodules: Hepatobiliary phase of gadoxetic acid–enhanced MR imaging based on molecular background. Radiographics 2016, 36, 2010–2027. [Google Scholar] [CrossRef]
- McInnes, M.D.; Hibbert, R.M.; Inacio, J.R.; Schieda, N. Focal nodular hyperplasia and hepatocellular adenoma: Accuracy of gadoxetic acid–enhanced MR imaging—A systematic review. Radiology 2015, 277, 413–423. [Google Scholar] [CrossRef]










Publisher’s Note: MDPI stays neutral with regard to jurisdictional claims in published maps and institutional affiliations. |
© 2022 by the authors. Licensee MDPI, Basel, Switzerland. This article is an open access article distributed under the terms and conditions of the Creative Commons Attribution (CC BY) license (https://creativecommons.org/licenses/by/4.0/).
Share and Cite
Donati, F.; Cioni, D.; Guarino, S.; Mazzeo, M.L.; Neri, E.; Boraschi, P. Chemotherapy-Induced Liver Injury in Patients with Colorectal Liver Metastases: Findings from MR Imaging. Diagnostics 2022, 12, 867. https://doi.org/10.3390/diagnostics12040867
Donati F, Cioni D, Guarino S, Mazzeo ML, Neri E, Boraschi P. Chemotherapy-Induced Liver Injury in Patients with Colorectal Liver Metastases: Findings from MR Imaging. Diagnostics. 2022; 12(4):867. https://doi.org/10.3390/diagnostics12040867
Chicago/Turabian StyleDonati, Francescamaria, Dania Cioni, Salvatore Guarino, Maria Letizia Mazzeo, Emanuele Neri, and Piero Boraschi. 2022. "Chemotherapy-Induced Liver Injury in Patients with Colorectal Liver Metastases: Findings from MR Imaging" Diagnostics 12, no. 4: 867. https://doi.org/10.3390/diagnostics12040867
APA StyleDonati, F., Cioni, D., Guarino, S., Mazzeo, M. L., Neri, E., & Boraschi, P. (2022). Chemotherapy-Induced Liver Injury in Patients with Colorectal Liver Metastases: Findings from MR Imaging. Diagnostics, 12(4), 867. https://doi.org/10.3390/diagnostics12040867

