A Case of Non-Irradiated Balloon Cell Melanoma of the Choroid: Expanding the Morphological Spectrum of Primary Uveal Melanomas
Abstract
:1. Introduction
2. Materials and Methods
2.1. DNA Extraction and Real Time PCR Analysis
2.2. DNA Extraction and Next Generation Sequencing (NGS)
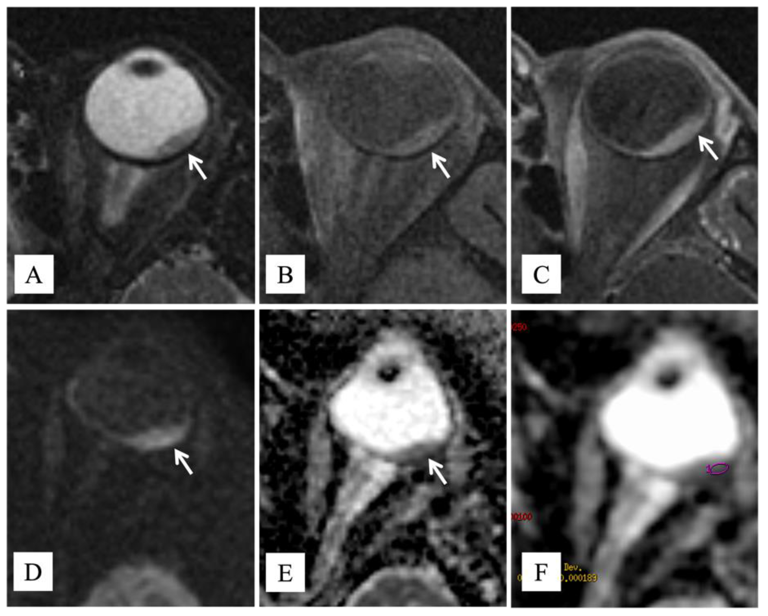
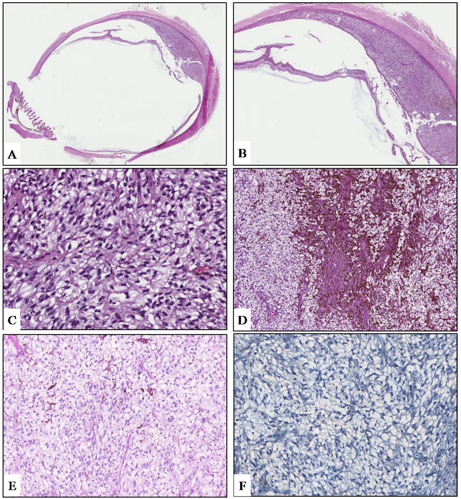
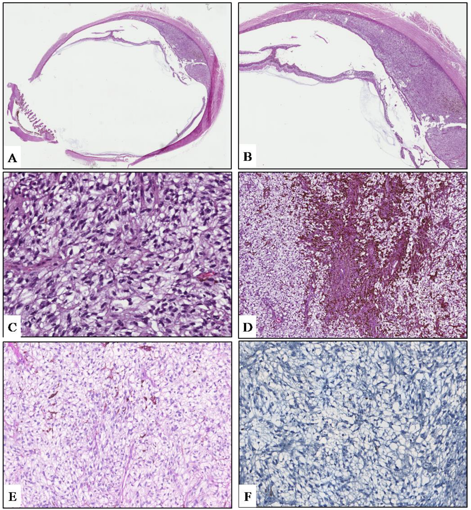
3. Case Presentation
4. Discussion
5. Conclusions
Author Contributions
Funding
Institutional Review Board Statement
Informed Consent Statement
Data Availability Statement
Conflicts of Interest
References
- Spagnolo, F.; Caltabiano, G.; Queirolo, P. Uveal melanoma. Cancer Treat. Rev. 2012, 38, 549–553. [Google Scholar] [CrossRef] [PubMed]
- van der Kooij, M.K.; Speetjens, F.M.; van der Burg, S.H.; Kapiteijn, E. Uveal Versus Cutaneous Melanoma; Same Origin, Very Distinct Tumor Types. Cancers 2019, 11, 845. [Google Scholar] [CrossRef] [PubMed] [Green Version]
- Broggi, G.; Russo, A.; Reibaldi, M.; Russo, D.; Varricchio, S.; Bonfiglio, V.; Spatola, C.; Barbagallo, C.; Foti, P.V.; Avitabile, T.; et al. Histopathology and Genetic Biomarkers of Choroidal Melanoma. Appl. Sci. 2020, 10, 8081. [Google Scholar] [CrossRef]
- Yanoff, M.; Zimmerman, L.E. Histogenesis of malignant melanomas of the uvea. II. Relationship of uveal nevi to malignant melanomas. Cancer 1967, 20, 493–507. [Google Scholar] [CrossRef]
- Foti, P.V.; Travali, M.; Farina, R.; Palmucci, S.; Spatola, C.; Liardo, R.L.E.; Milazzotto, R.; Raffaele, L.; Salamone, V.; Caltabiano, R.; et al. Diagnostic methods and therapeutic options of uveal melanoma with emphasis on MR imaging-Part II: Treatment indications and complications. Insights Imaging 2021, 12, 67. [Google Scholar] [CrossRef] [PubMed]
- Rodríguez, A.; Dueñas-Gonzalez, A.; Delgado-Pelayo, S. Clinical presentation and management of uveal melanoma. Mol. Clin. Oncol. 2016, 5, 675–677. [Google Scholar] [CrossRef] [PubMed] [Green Version]
- Seddon, J.M.; Gragoudas, E.S.; Albert, D.M. Ciliary body and choroidal melanomas treated by proton beam irradiation. Histopathologic study of eyes. Arch. Ophthalmol. 1983, 101, 1402–1408. [Google Scholar] [CrossRef] [PubMed]
- Messmer, E.; Bornfeld, N.; Foerster, M.; Schilling, H.; Wessing, A. Histopathologic findings in eyes treated with a ruthenium plaque for uveal melanoma. Graefes Arch. Clin. Exp. Ophthalmol. 1992, 230, 391–396. [Google Scholar] [CrossRef] [PubMed]
- Saornil, M.A.; Egan, K.M.; Gragoudas, E.S.; Seddon, J.M.; Walsh, S.M.; Albert, D.M. Histopathology of proton beam-irradiated vs enucleated uveal melanomas. Arch. Ophthalmol. 1992, 110, 1112–1118. [Google Scholar] [CrossRef] [PubMed]
- Riley, F.C. Balloon Cell Melanoma of the Choroid. Arch. Ophthalmol. 1974, 92, 131–133. [Google Scholar] [CrossRef] [PubMed]
- Khalil, M.K. Balloon cell malignant melanoma of the choroid: Ultrastructural studies. Br. J. Ophthalmol. 1983, 67, 579–584. [Google Scholar] [CrossRef]
- Foti, P.V.; Travali, M.; Farina, R.; Palmucci, S.; Spatola, C.; Raffaele, L.; Salamone, V.; Caltabiano, R.; Broggi, G.; Puzzo, L.; et al. Diagnostic methods and therapeutic options of uveal melanoma with emphasis on MR imaging-Part I: MR imaging with pathologic correlation and technical considerations. Insights Imaging 2021, 12, 66. [Google Scholar] [CrossRef] [PubMed]
- Yavuzyigitoglu, S.; Kilic, E.; Vaarwater, J.; de Klein, A.; Paridaens, D.; Verdijk, R.M.; Rotterdam Ocular Melanoma Study Group (ROMS). Lipomatous Change in Uveal Melanoma: Histopathological, Immunohistochemical and Cytogenetic Analysis. Ocul. Oncol. Pathol. 2016, 2, 133–135. [Google Scholar] [CrossRef] [PubMed] [Green Version]
- Friedman, B.J.; Stoner, R.; Sahu, J.; Lee, J.B. Association of Clinical, Dermoscopic, and Histopathologic Findings with Gene Expression in Patients with Balloon Cell Melanoma. JAMA Dermatol. 2018, 154, 77–81. [Google Scholar] [CrossRef] [PubMed]
- Rodrigues, M.M.; Shields, J.A. Malignant melanoma of the choroid with balloon cells a clinicopathologic study of three cases. Can. J. Ophthalmol. 1976, 11, 208–216. [Google Scholar] [PubMed]
- Jakobiec, F.A.; Shields, J.A.; Desjardins, L.; Iwamoto, T. Balloon cell melanomas of the ciliary body. Arch. Ophthalmol. 1979, 97, 1687–1692. [Google Scholar] [CrossRef] [PubMed]
- Heindl, L.M.; Lotter, M.; Strnad, V.; Sauer, R.; Naumann, G.O.; Knorr, H.L. Hochdosisbrachytherapie des malignen Aderhaut- und Ziliarkörpermelanoms mit 106Ruthenium. Eine klinisch-pathologische Studie [High-dose 106Ruthenium plaque brachytherapy for posterior uveal melanoma. A clinicopathologic study]. Ophthalmologe 2007, 104, 149–157. [Google Scholar] [CrossRef] [PubMed]
- Sepahdari, A.R.; Kapur, R.; Aakalu, V.K.; Villablanca, J.P.; Mafee, M.F. Diffusion-weighted imaging of malignant ocular masses: Initial results and directions for further study. AJNR Am. J. Neuroradiol. 2012, 33, 314–319. [Google Scholar] [CrossRef] [Green Version]
- Erb-Eigner, K.; Willerding, G.; Taupitz, M.; Hamm, B.; Asbach, P. Diffusion-weighted imaging of ocular melanoma. Investig. Radiol. 2013, 48, 702–707. [Google Scholar] [CrossRef]
- Foti, P.V.; Farina, R.; Coronella, M.; Palmucci, S.; Montana, A.; Sigona, A.; Reibaldi, M.; Longo, A.; Russo, A.; Avitabile, T.; et al. Diffusion-weighted magnetic resonance imaging for predicting and detecting the response of ocular melanoma to proton beam therapy: Initial results. Radiol. Med. 2015, 120, 526–535. [Google Scholar] [CrossRef]
- Foti, P.V.; Longo, A.; Reibaldi, M.; Russo, A.; Privitera, G.; Spatola, C.; Raffaele, L.; Salamone, V.; Farina, R.; Palmucci, S.; et al. Uveal melanoma: Quantitative evaluation of diffusion-weighted MR imaging in the response assessment after proton-beam therapy, long-term follow-up. Radiol. Med. 2017, 122, 131–139. [Google Scholar] [CrossRef] [PubMed]


| Locus | Genes | Ref | Alt | AF % | Coding | AA Change | FATHMM |
|---|---|---|---|---|---|---|---|
| chr5:112175769 | APC | G | A | 45.28 | c.4479G > A | p.Thr1493= | Neutral (score 0.46) |
| chr17:7579472 | TP53 | G | C | 94.79 | c.215C > G | p.Pro72Arg | Neutral (score 0.36) |
| chr19:3118942 | GNA11 | A | T | 34.92 | c.626A > T | p.Gln209Leu | Pathogenic (score 0.98) |
Publisher’s Note: MDPI stays neutral with regard to jurisdictional claims in published maps and institutional affiliations. |
© 2022 by the authors. Licensee MDPI, Basel, Switzerland. This article is an open access article distributed under the terms and conditions of the Creative Commons Attribution (CC BY) license (https://creativecommons.org/licenses/by/4.0/).
Share and Cite
Failla, M.; Caltabiano, R.; Longo, A.; Russo, A.; Reibaldi, M.; Avitabile, T.; Piombino, E.; Colarossi, C.; Colarossi, L.; Tirrò, E.; et al. A Case of Non-Irradiated Balloon Cell Melanoma of the Choroid: Expanding the Morphological Spectrum of Primary Uveal Melanomas. Diagnostics 2022, 12, 642. https://doi.org/10.3390/diagnostics12030642
Failla M, Caltabiano R, Longo A, Russo A, Reibaldi M, Avitabile T, Piombino E, Colarossi C, Colarossi L, Tirrò E, et al. A Case of Non-Irradiated Balloon Cell Melanoma of the Choroid: Expanding the Morphological Spectrum of Primary Uveal Melanomas. Diagnostics. 2022; 12(3):642. https://doi.org/10.3390/diagnostics12030642
Chicago/Turabian StyleFailla, Maria, Rosario Caltabiano, Antonio Longo, Andrea Russo, Michele Reibaldi, Teresio Avitabile, Eliana Piombino, Cristina Colarossi, Lorenzo Colarossi, Elena Tirrò, and et al. 2022. "A Case of Non-Irradiated Balloon Cell Melanoma of the Choroid: Expanding the Morphological Spectrum of Primary Uveal Melanomas" Diagnostics 12, no. 3: 642. https://doi.org/10.3390/diagnostics12030642
APA StyleFailla, M., Caltabiano, R., Longo, A., Russo, A., Reibaldi, M., Avitabile, T., Piombino, E., Colarossi, C., Colarossi, L., Tirrò, E., Vigneri, P., Foti, P. V., & Broggi, G. (2022). A Case of Non-Irradiated Balloon Cell Melanoma of the Choroid: Expanding the Morphological Spectrum of Primary Uveal Melanomas. Diagnostics, 12(3), 642. https://doi.org/10.3390/diagnostics12030642

