Factors Affecting Patients with Concurrent Deep Neck Infection and Cervical Necrotizing Fasciitis
Abstract
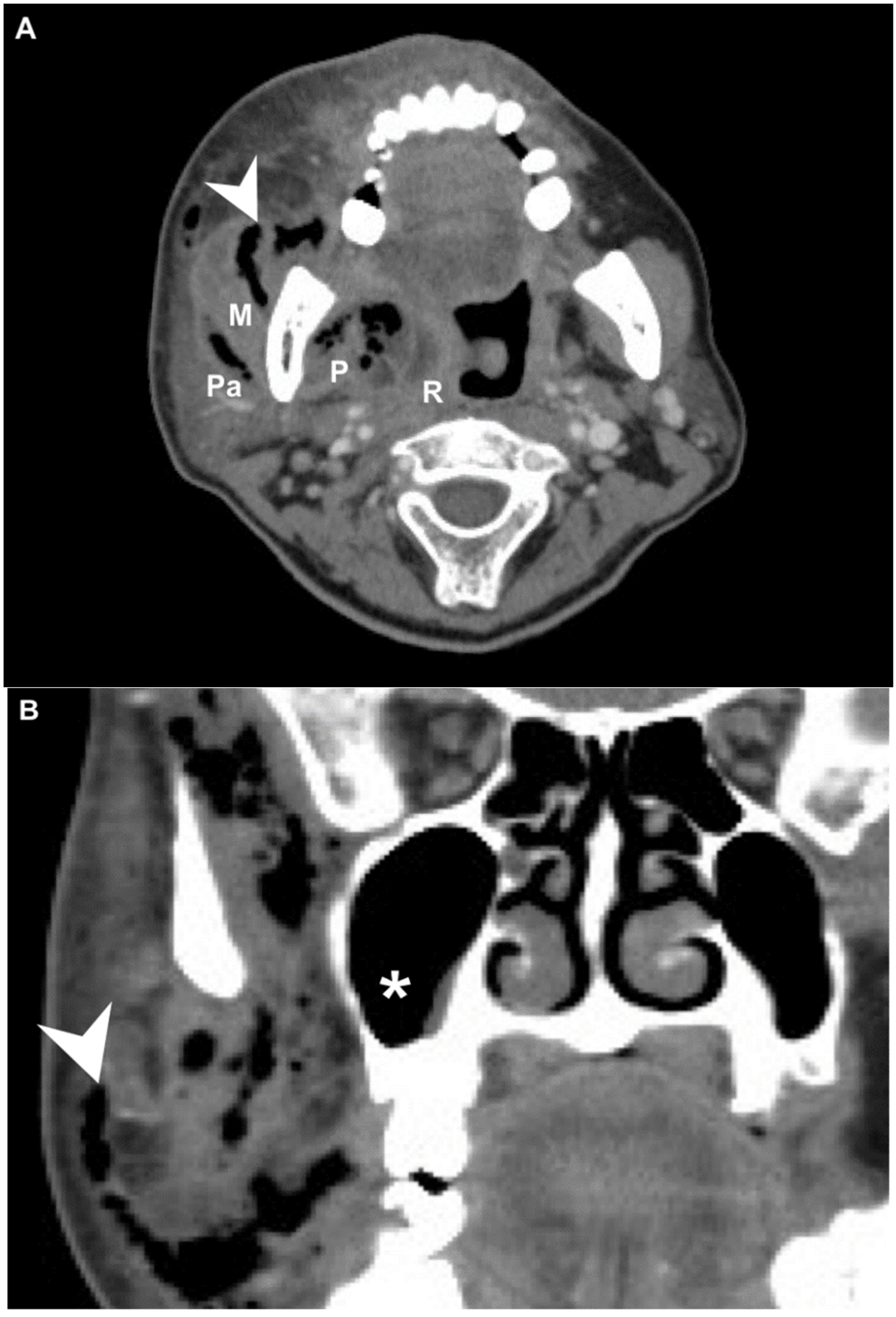
1. Introduction
2. Materials and Methods
2.1. Exclusion Criteria
2.2. Data Collection
2.3. Ethics Statement
2.4. Statistical Analysis
3. Results
4. Discussion
Limitations of the Study
5. Conclusions
Author Contributions
Funding
Institutional Review Board Statement
Informed Consent Statement
Data Availability Statement
Acknowledgments
Conflicts of Interest
Abbreviations
References
- Velhonoja, J.; Laaveri, M.; Soukka, T.; Irjala, H.; Kinnunen, I. Deep neck space infections: An upward trend and changing characteristics. Eur. Arch. Otorhinolaryngol. 2020, 277, 863–872. [Google Scholar] [CrossRef] [PubMed]
- Chen, S.L.; Young, C.K.; Liao, C.T.; Tsai, T.Y.; Kang, C.J.; Huang, S.F. Parotid Space, a Different Space from Other Deep Neck Infection Spaces. Microorganisms 2021, 9, 2361. [Google Scholar] [CrossRef] [PubMed]
- Tapiovaara, L.; Back, L.; Aro, K. Comparison of intubation and tracheotomy in patients with deep neck infection. Eur. Arch. Otorhinolaryngol. 2017, 274, 3767–3772. [Google Scholar] [CrossRef]
- Rzepakowska, A.; Rytel, A.; Krawczyk, P.; Osuch-Wojcikiewicz, E.; Widlak, I.; Deja, M.; Niemczyk, K. The Factors Contributing to Efficiency in Surgical Management of Purulent Infections of Deep Neck Spaces. Ear Nose Throat J. 2021, 100, 354–359. [Google Scholar] [CrossRef] [PubMed]
- Boscolo-Rizzo, P.; Marchiori, C.; Montolli, F.; Vaglia, A.; Da Mosto, M.C. Deep neck infections: A constant challenge. ORL J. Otorhinolaryngol. Relat. Spec. 2006, 68, 259–265. [Google Scholar] [CrossRef] [PubMed]
- Prado-Calleros, H.M.; Jimenez-Fuentes, E.; Jimenez-Escobar, I. Descending necrotizing mediastinitis: Systematic review on its treatment in the last 6 years, 75 years after its description. Head Neck 2016, 38 (Suppl. 1), E2275–E2283. [Google Scholar] [CrossRef]
- Aizawa, N.; Tsuchiya, A.; Takahashi, S. Two cases of deep neck infection with esophageal perforation. J.-STAGE 2013, 26, 149–154. [Google Scholar] [CrossRef]
- Ho, C.-Y.; Wang, Y.-C.; Chin, S.-C.; Chen, S.-L. Factors Affecting Patients with Concurrent Deep Neck Infection and Acute Epiglottitis. Diagnostics 2022, 12, 29. [Google Scholar] [CrossRef]
- Bahu, S.J.; Shibuya, T.Y.; Meleca, R.J.; Mathog, R.H.; Yoo, G.H.; Stachler, R.J.; Tyburski, J.G. Craniocervical necrotizing fasciitis: An 11-year experience. Otolaryngol. Head Neck Surg. 2001, 125, 245–252. [Google Scholar] [CrossRef]
- Cruz Toro, P.; Callejo Castillo, A.; Tornero Salto, J.; Gonzalez Compta, X.; Farre, A.; Manos, M. Cervical necrotizing fasciitis: Report of 6 cases and review of literature. Eur. Ann. Otorhinolaryngol. Head Neck Dis. 2014, 131, 357–359. [Google Scholar] [CrossRef]
- Ferzli, G.; Sukato, D.C.; Mourad, M.; Kadakia, S.; Gordin, E.A.; Ducic, Y. Aggressive Necrotizing Fasciitis of the Head and Neck Resulting in Massive Defects. Ear Nose Throat J. 2019, 98, 197–200. [Google Scholar] [CrossRef] [PubMed]
- Kim, Y.J.; Kim, J.D.; Ryu, H.I.; Cho, Y.H.; Kong, J.H.; Ohe, J.Y.; Kwon, Y.D.; Choi, B.J.; Kim, G.T. Application of radiographic images in diagnosis and treatment of deep neck infections with necrotizing fasciitis: A case report. Imaging Sci. Dent. 2011, 41, 189–193. [Google Scholar] [CrossRef] [PubMed][Green Version]
- Wang, Y.; Chen, H.C. Necrotizing Fasciitis of the Neck. Ear Nose Throat J. 2021, 100, 222–223. [Google Scholar] [CrossRef] [PubMed]
- Becker, M.; Zbaren, P.; Hermans, R.; Becker, C.D.; Marchal, F.; Kurt, A.M.; Marre, S.; Rufenacht, D.A.; Terrier, F. Necrotizing fasciitis of the head and neck: Role of CT in diagnosis and management. Radiology 1997, 202, 471–476. [Google Scholar] [CrossRef] [PubMed]
- Yang, S.W.; Lee, M.H.; See, L.C.; Huang, S.H.; Chen, T.M.; Chen, T.A. Deep neck abscess: An analysis of microbial etiology and the effectiveness of antibiotics. Infect. Drug Resist. 2008, 1, 1–8. [Google Scholar] [CrossRef] [PubMed]
- Chen, M.K.; Wen, Y.S.; Chang, C.C.; Lee, H.S.; Huang, M.T.; Hsiao, H.C. Deep neck infections in diabetic patients. Am. J. Otolaryngol. 2000, 21, 169–173. [Google Scholar] [CrossRef]
- Lanisnik, B.; Cizmarevic, B. Necrotizing fasciitis of the head and neck: 34 cases of a single institution experience. Eur. Arch. Otorhinolaryngol. 2010, 267, 415–421. [Google Scholar] [CrossRef]
- Sideris, G.; Sapountzi, M.; Malamas, V.; Papadimitriou, N.; Maragkoudakis, P.; Delides, A. Early detecting cervical necrotizing fasciitis from deep neck infections: A study of 550 patients. Eur. Arch. Otorhinolaryngol. 2021, 278, 4587–4592. [Google Scholar] [CrossRef]
- Stevens, D.L.; Bryant, A.E. Necrotizing Soft-Tissue Infections. N. Engl. J. Med. 2017, 377, 2253–2265. [Google Scholar] [CrossRef]
- Tso, D.K.; Singh, A.K. Necrotizing fasciitis of the lower extremity: Imaging pearls and pitfalls. Br. J. Radiol. 2018, 91, 20180093. [Google Scholar] [CrossRef]
- McGurk, M. Diagnosis and treatment of necrotizing fasciitis in the head and neck region. Oral Maxillofac Surg. Clin. N. Am. 2003, 15, 59–67. [Google Scholar] [CrossRef]
- Anaya, D.A.; Dellinger, E.P. Necrotizing soft-tissue infection: Diagnosis and management. Clin. Infect. Dis. 2007, 44, 705–710. [Google Scholar] [CrossRef] [PubMed]
- Chou, P.Y.; Hsieh, Y.H.; Lin, C.H. Necrotizing fasciitis of the entire head and neck: Literature review and case report. Biomed. J. 2020, 43, 94–98. [Google Scholar] [CrossRef]
- Gunaratne, D.A.; Tseros, E.A.; Hasan, Z.; Kudpaje, A.S.; Suruliraj, A.; Smith, M.C.; Riffat, F.; Palme, C.E. Cervical necrotizing fasciitis: Systematic review and analysis of 1235 reported cases from the literature. Head Neck 2018, 40, 2094–2102. [Google Scholar] [CrossRef] [PubMed]
- Fisher, J.R.; Conway, M.J.; Takeshita, R.T.; Sandoval, M.R. Necrotizing fasciitis. Importance of roentgenographic studies for soft-tissue gas. JAMA 1979, 241, 803–806. [Google Scholar] [CrossRef]
- Wysoki, M.G.; Santora, T.A.; Shah, R.M.; Friedman, A.C. Necrotizing fasciitis: CT characteristics. Radiology 1997, 203, 859–863. [Google Scholar] [CrossRef]
- Chen, S.L.; Young, C.K.; Tsai, T.Y.; Chien, H.T.; Kang, C.J.; Liao, C.T.; Huang, S.F. Factors Affecting the Necessity of Tracheostomy in Patients with Deep Neck Infection. Diagnostics 2021, 11, 1536. [Google Scholar] [CrossRef]
- Dworkin, M.S.; Westercamp, M.D.; Park, L.; McIntyre, A. The epidemiology of necrotizing fasciitis including factors associated with death and amputation. Epidemiol. Infect. 2009, 137, 1609–1614. [Google Scholar] [CrossRef]
- Khamnuan, P.; Chongruksut, W.; Jearwattanakanok, K.; Patumanond, J.; Yodluangfun, S.; Tantraworasin, A. Necrotizing fasciitis: Risk factors of mortality. Risk Manag. Healthc. Policy 2015, 8, 1–7. [Google Scholar] [CrossRef]
- Cheng, N.C.; Tai, H.C.; Chang, S.C.; Chang, C.H.; Lai, H.S. Necrotizing fasciitis in patients with diabetes mellitus: Clinical characteristics and risk factors for mortality. BMC Infect. Dis. 2015, 15, 417. [Google Scholar] [CrossRef]
- Golger, A.; Ching, S.; Goldsmith, C.H.; Pennie, R.A.; Bain, J.R. Mortality in patients with necrotizing fasciitis. Plast Reconstr. Surg. 2007, 119, 1803–1807. [Google Scholar] [CrossRef] [PubMed]
- Giaccari, A.; Sorice, G.; Muscogiuri, G. Glucose toxicity: The leading actor in the pathogenesis and clinical history of type 2 diabetes—Mechanisms and potentials for treatment. Nutr. Metab. Cardiovasc. Dis. 2009, 19, 365–377. [Google Scholar] [CrossRef] [PubMed]
- Zheng, L.; Yang, C.; Zhang, W.; Cai, X.; Kim, E.; Jiang, B.; Wang, B.; Pu, Y.; Wang, J.; Zhang, Z.; et al. Is there association between severe multispace infections of the oral maxillofacial region and diabetes mellitus? J. Oral Maxillofac Surg. 2012, 70, 1565–1572. [Google Scholar] [CrossRef] [PubMed]
- Taneja, V.; Walker, R.J.; Tedla, M. Necrotising fasciitis of the neck: Unusual presentation with aggressive management—Case report with review of literature. Acta Oto-Laryngol. Case Rep. 2017, 2, 11–16. [Google Scholar] [CrossRef]
- Fihman, V.; Raskine, L.; Petitpas, F.; Mateo, J.; Kania, R.; Gravisse, J.; Resche-Rigon, M.; Farhat, I.; Bercot, B.; Payen, D.; et al. Cervical necrotizing fasciitis: 8-years’ experience of microbiology. Eur. J. Clin. Microbiol. Infect. Dis. 2008, 27, 691–695. [Google Scholar] [CrossRef] [PubMed]
- Fliss, D.M.; Tovi, F.; Zirkin, H.J. Necrotizing soft-tissue infections of dental origin. J. Oral Maxillofac Surg. 1990, 48, 1104–1108. [Google Scholar] [CrossRef]
- Whitesides, L.; Cotto-Cumba, C.; Myers, R.A. Cervical necrotizing fasciitis of odontogenic origin: A case report and review of 12 cases. J. Oral Maxillofac Surg 2000, 58, 144–151; discussion 152. [Google Scholar] [CrossRef]
- Vieira, F.; Allen, S.M.; Stocks, R.M.; Thompson, J.W. Deep neck infection. Otolaryngol. Clin. N. Am. 2008, 41, 459–483. [Google Scholar] [CrossRef]
- Brook, I. Microbiology and management of peritonsillar, retropharyngeal, and parapharyngeal abscesses. J. Oral Maxillofac Surg. 2004, 62, 1545–1550. [Google Scholar] [CrossRef]
- Oh, J.H.; Kim, Y.; Kim, C.H. Parapharyngeal abscess: Comprehensive management protocol. ORL J. Otorhinolaryngol. Relat. Spec. 2007, 69, 37–42. [Google Scholar] [CrossRef]
- Ord, R.; Coletti, D. Cervico-facial necrotizing fasciitis. Oral Dis. 2009, 15, 133–141. [Google Scholar] [CrossRef] [PubMed]
- Karkas, A.; Chahine, K.; Schmerber, S.; Brichon, P.Y.; Righini, C.A. Optimal treatment of cervical necrotizing fasciitis associated with descending necrotizing mediastinitis. Br. J. Surg. 2010, 97, 609–615. [Google Scholar] [CrossRef] [PubMed]
- Chrastek, D.; Hickman, S.; Sitaranjan, D.; Vokshi, I.; Kakisi, O.; Kadlec, J.; Bartosik, W.; Van Tornout, F.; Kouritas, V. Streptococcus constellatus Causing Empyema and Sepsis, Necessitating Early Surgical Decortication. Case Rep. Infect. Dis. 2020, 2020, 4630809. [Google Scholar] [CrossRef] [PubMed]
- Guardiani, E.; Bliss, M.; Harley, E. Supraglottitis in the era following widespread immunization against Haemophilus influenzae type B: Evolving principles in diagnosis and management. Laryngoscope 2010, 120, 2183–2188. [Google Scholar] [CrossRef]
- Islam, A.; Oko, M. Cervical necrotising fasciitis and descending mediastinitis secondary to unilateral tonsillitis: A case report. J. Med. Case Rep. 2008, 2, 368. [Google Scholar] [CrossRef]

| Characteristics | N (%) |
|---|---|
| Gender | 556 (100.00) |
| Male | 352 (63.31) |
| Female | 204 (36.69) |
| Age, years (SD) | 52.66 ± 19.05 |
| CRP, mg/L (SD) | 155.76 ± 109.49 |
| Blood sugar, mg/dL (SD) | 149.50 ± 75.96 |
| Diabetes mellitus | 242 (43.52) |
| Number of deep neck spaces involved | |
| Single space | 195 (35.07) |
| Two spaces | 169 (30.40) |
| Multiple spaces, ≥3 | 192 (34.53) |
| Deep neck space involvement | |
| Parapharyngeal space | 332 (59.71) |
| Submandibular space | 251 (45.14) |
| Retropharyngeal space | 204 (36.69) |
| Masticator space | 115 (20.68) |
| Parotid space | 87 (15.64) |
| Anterior cervical space | 52 (9.35) |
| Visceral space | 47 (8.45) |
| Carotid space | 38 (6.83) |
| Perivertebral space | 25 (4.49) |
| Posterior cervical space | 13 (2.33) |
| Mediastinitis | 77 (13.84) |
| Length of hospital stay, days (SD) | 10.35 ± 8.43 |
| Intubation | 278 (50.00) |
| Tracheostomy | 102 (18.34) |
| Incision and drainage open surgery | 270 (48.56) |
| Pathogens | |
| Streptococcus constellatus | 108 (19.42) |
| Parvimonas micra | 67 (12.05) |
| Prevotella intermedia | 67 (12.05) |
| Klebsiella pneumonia | 63 (11.33) |
| Streptococcus anginosus | 61 (10.97) |
| Prevotella buccae | 58 (10.43) |
| Staphylococcus aureus | 34 (6.11) |
| Streptococcus salivarius | 23 (4.13) |
| Staphylococcus epidemidis | 21 (3.77) |
| Streptococcus oralis | 18 (3.23) |
| Gemella morbillorum | 17 (3.05) |
| Eikenella corrodens | 16 (2.87) |
| Salmonella enterica | 14 (2.51) |
| Slackia exigua | 11 (1.97) |
| Pseudomonas aeruginosa | 7 (1.25) |
| No growth | 89 (16.00) |
| Cervical necrotizing fasciitis | 31 (5.57) |
| Variable | CNF | Univariate Analysis | Multivariate Analysis | |||||
|---|---|---|---|---|---|---|---|---|
| Yes | No | OR | 95% CI | p Value | OR | 95% CI | p Value | |
| Gender | 31 | 525 | 0.533 | |||||
| Male | 18 | 334 | 0.791 | 0.479–2.085 | ||||
| Female | 13 | 191 | 1.000 | |||||
| Age, years | 0.014 * | - | - | - | ||||
| >60 | 19 | 204 | 2.491 | 1.184–5.241 | ||||
| ≤60 | 12 | 321 | 1.000 | |||||
| CRP, mg/L (SD) | 246.77 ± 67.62 | 150.38 ± 109.16 | 1.007 | 1.004–1.010 | <0.001 * | 1.006 | 1.003–1.010 | <0.001 * |
| Blood sugar, mg/dL (SD) | 216.41 ± 55.56 | 145.55 ± 75.19 | 1.007 | 1.004–1.011 | <0.001 * | 1.006 | 1.002–1.010 | 0.002 * |
| Diabetes mellitus | <0.001 * | - | - | - | ||||
| Yes | 23 | 219 | 4.017 | 1.764–9.148 | ||||
| No | 8 | 306 | 1.000 | |||||
| Multiple spaces, ≥3 | 0.136 | |||||||
| Yes | 7 | 185 | 0.536 | 0.226–1.267 | ||||
| No | 24 | 340 | 1.000 | |||||
| Parapharyngeal space | 0.082 | |||||||
| Yes | 23 | 309 | 2.009 | 0.439–2.277 | ||||
| No | 8 | 216 | 1.000 | |||||
| Submandibular space | 0.063 | |||||||
| Yes | 19 | 232 | 1.999 | 0.951–4.203 | ||||
| No | 12 | 293 | 1.000 | |||||
| Retropharyngeal space | 0.184 | |||||||
| Yes | 8 | 196 | 0.583 | 0.256–1.330 | ||||
| No | 23 | 329 | 1.000 | |||||
| Masticator space | 0.132 | |||||||
| Yes | 3 | 112 | 0.395 | 0.117–1.323 | ||||
| No | 28 | 413 | 1.000 | |||||
| Parotid space | 0.164 | |||||||
| Yes | 2 | 85 | 0.357 | 0.083–1.524 | ||||
| No | 29 | 440 | 1.000 | |||||
| Anterior cervical space | 0.253 | |||||||
| Yes | 1 | 51 | 0.309 | 0.041–2.319 | ||||
| No | 30 | 474 | 1.000 | |||||
| Visceral space | 0.152 | |||||||
| Yes | 5 | 42 | 2.211 | 0.807–6.058 | ||||
| No | 26 | 483 | 1.000 | |||||
| Carotid space | 0.930 | |||||||
| Yes | 2 | 36 | 0.936 | 0.214–4.083 | ||||
| No | 29 | 489 | 1.000 | |||||
| Perivertebral space | 0.591 | |||||||
| Yes | 2 | 23 | 1.505 | 0.338–6.696 | ||||
| No | 29 | 502 | 1.000 | |||||
| Posterior cervical space | 0.191 | |||||||
| Yes | 2 | 11 | 3.222 | 0.682–15.21 | ||||
| No | 29 | 514 | 1.000 | |||||
| Mediastinitis | 0.382 | |||||||
| Yes | 6 | 71 | 1.534 | 0.608–3.872 | ||||
| No | 25 | 454 | 1.000 | |||||
| Characteristics | CNF, N = 31 (%) | Non-CNF, N = 525 (%) | p Value |
|---|---|---|---|
| Length of hospital stay, days (SD) | 12.61 ± 5.79 | 10.21 ± 8.55 | 0.001 * |
| Intubation | <0.001 * | ||
| Yes | 30 (96.77) | 248 (47.23) | |
| No | 1 (3.23) | 277 (52.77) | |
| Tracheostomy | <0.001 * | ||
| Yes | 17 (54.83) | 85 (16.19) | |
| No | 14 (45.17) | 440 (83.81) | |
| I&D open surgery | <0.001 * | ||
| Yes | 30 (96.77) | 240 (45.71) | |
| No | 1 (3.23) | 285 (54.29) |
| Pathogens | CNF, N = 31 (%) | Non-CNF, N = 525 (%) | p Value |
|---|---|---|---|
| Streptococcus constellatus | 6 (19.35) | 102 (19.42) | 0.992 |
| Parvimonas micra | 3 (9.67) | 64 (12.19) | 1.000 |
| Prevotella intermedia | 4 (12.90) | 63 (12.00) | 0.780 |
| Klebsiella pneumonia | 5 (16.12) | 58 (11.04) | 0.391 |
| Streptococcus anginosus | 5 (16.12) | 56 (10.66) | 0.369 |
| Prevotella buccae | 3 (9.67) | 55 (10.47) | 1.000 |
| Staphylococcus aureus | 4 (12.90) | 30 (5.71) | 0.112 |
| Streptococcus salivarius | 3 (9.67) | 20 (3.80) | 0.130 |
| Staphylococcus epidemidis | 3 (9.67) | 18 (3.42) | 0.105 |
| Streptococcus oralis | 3 (9.67) | 15 (2.85) | 0.072 |
| Gemella morbillorum | 1 (3.22) | 16 (3.04) | 1.000 |
| Eikenella corrodens | 2 (6.45) | 14 (2.66) | 0.222 |
| Salmonella enterica | 2 (6.45) | 12 (2.28) | 0.180 |
| Slackia exigua | 2 (6.45) | 9 (1.71) | 0.120 |
| Pseudomonas aeruginosa | 1 (3.22) | 6 (1.14) | 0.332 |
| No growth | 0 (0.00) | 89 (16.95) | 0.008 * |
Publisher’s Note: MDPI stays neutral with regard to jurisdictional claims in published maps and institutional affiliations. |
© 2022 by the authors. Licensee MDPI, Basel, Switzerland. This article is an open access article distributed under the terms and conditions of the Creative Commons Attribution (CC BY) license (https://creativecommons.org/licenses/by/4.0/).
Share and Cite
Chen, S.-L.; Chin, S.-C.; Wang, Y.-C.; Ho, C.-Y. Factors Affecting Patients with Concurrent Deep Neck Infection and Cervical Necrotizing Fasciitis. Diagnostics 2022, 12, 443. https://doi.org/10.3390/diagnostics12020443
Chen S-L, Chin S-C, Wang Y-C, Ho C-Y. Factors Affecting Patients with Concurrent Deep Neck Infection and Cervical Necrotizing Fasciitis. Diagnostics. 2022; 12(2):443. https://doi.org/10.3390/diagnostics12020443
Chicago/Turabian StyleChen, Shih-Lung, Shy-Chyi Chin, Yu-Chien Wang, and Chia-Ying Ho. 2022. "Factors Affecting Patients with Concurrent Deep Neck Infection and Cervical Necrotizing Fasciitis" Diagnostics 12, no. 2: 443. https://doi.org/10.3390/diagnostics12020443
APA StyleChen, S.-L., Chin, S.-C., Wang, Y.-C., & Ho, C.-Y. (2022). Factors Affecting Patients with Concurrent Deep Neck Infection and Cervical Necrotizing Fasciitis. Diagnostics, 12(2), 443. https://doi.org/10.3390/diagnostics12020443

