Diagnostic Performance of High-Resolution Vessel Wall Magnetic Resonance Imaging and Digital Subtraction Angiography in Intracranial Vertebral Artery Dissection
Abstract
:1. Introduction
2. Materials and Methods
2.1. Patient Selection
2.2. Imaging Protocol
2.2.1. Magnetic Resonance Image (MRI) Protocol
2.2.2. DSA Imaging Protocol
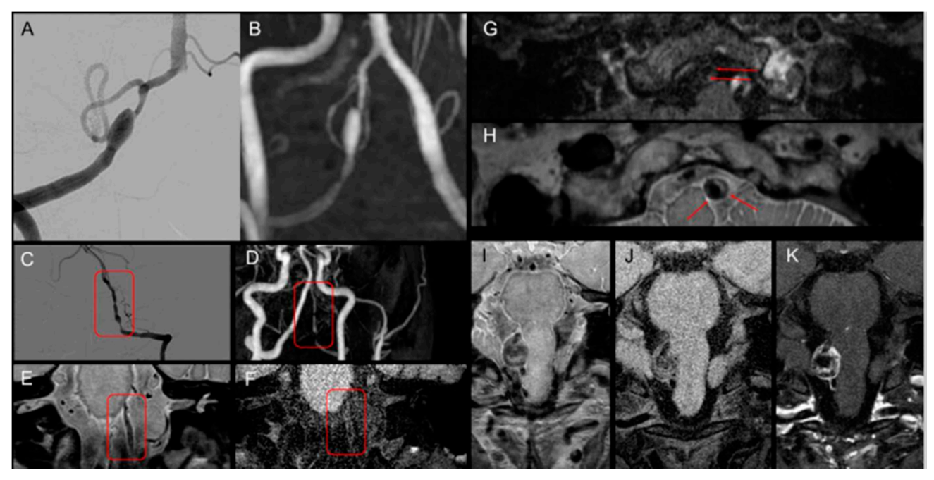
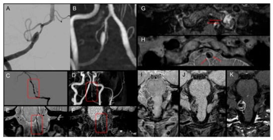
2.3. Image Analysis
2.4. Statistical Analysis
3. Results
3.1. Diagnostic Performance of HR-VWI Compared with MRA and DSA
3.2. Radiological Performance of HR-VWI Compared with MRA and DSA
3.3. Comparison of the Diagnostic Accuracy, Sensitivity, and PPV between HR-VWI with MRA and DSA
3.4. ROC Curves
4. Discussion
Author Contributions
Funding
Institutional Review Board Statement
Informed Consent Statement
Data Availability Statement
Conflicts of Interest
References
- Provenzale, J.M. Dissection of the internal carotid and vertebral arteries: Imaging features. AJR Am. J. Roentgenol. 1995, 165, 1099–1104. [Google Scholar] [CrossRef] [PubMed]
- Debette, S.; Compter, A.; Labeyrie, M.A.; Uyttenboogaart, M.; Metso, T.M.; Majersik, J.J.; Goeggel-Simonetti, B.; Engelter, S.T.; Pezzini, A.; Bijlenga, P.; et al. Epidemiology, pathophysiology, diagnosis, and management of intracranial artery dissection. Lancet Neurol. 2015, 14, 640–654. [Google Scholar] [CrossRef] [Green Version]
- Schievink, W.I. Spontaneous dissection of the carotid and vertebral arteries. N. Engl. J. Med. 2001, 344, 898–906. [Google Scholar] [CrossRef]
- Giroud, M.; Fayolle, H.; André, N.; Dumas, R.; Becker, F.; Martin, D.; Baudoin, N.; Krause, D. Incidence of internal carotid artery dissection in the community of Dijon. J. Neurol. Neurosurg. Psychiatry 1994, 57, 1443. [Google Scholar] [CrossRef] [PubMed] [Green Version]
- Kanoto, M.; Hosoya, T. Diagnosis of intracranial artery dissection. Neurol. Med.-Chir. 2016, 56, 524–533. [Google Scholar] [CrossRef] [Green Version]
- Pelkonen, O.; Tikkakoski, T.; Pyhtinen, J.; Sotaniemi, K. Cerebral CT and MRI findings in cervicocephalic artery dissection. Acta Radiol. 2004, 45, 259–265. [Google Scholar] [CrossRef]
- Chiras, J.; Marciano, S.; Vega Molina, J.; Touboul, J.; Poirier, B.; Bories, J. Spontaneous dissecting aneurysm of the extracranial vertebral artery (20 cases). Neuroradiology 1985, 27, 327–333. [Google Scholar] [CrossRef]
- Yamaura, A.; Watanabe, Y.; Saeki, N. Dissecting aneurysms of the intracranial vertebral artery. J. Neurosurg. 1990, 72, 183–188. [Google Scholar] [CrossRef]
- Hosoya, T.; Watanabe, N.; Yamaguchi, K.; Kubota, H.; Onodera, Y. Intracranial vertebral artery dissection in Wallenberg syndrome. AJNR Am. J. Neuroradiol. 1994, 15, 1161–1165. [Google Scholar]
- Ishida, F.; Kawaguchi, K.; Mizuno, M.; Hoshino, T.; Murao, K.; Taki, W. The accuracy and usefulness of 3D-DSA and 3D-CT angiography for cerebral aneurysms. Interv. Neuroradiol. J. Peritherapeutic Neuroradiol. Surg. Proced. Relat. Neurosci. 2001, 7 (Suppl. 1), 181–186. [Google Scholar] [CrossRef] [Green Version]
- Yamaura, A.; Ono, J.; Hirai, S. Clinical picture of intracranial non-traumatic dissecting aneurysm. Neuropathol. Off. J. Jpn. Soc. Neuropathol. 2000, 20, 85–90. [Google Scholar] [CrossRef]
- Ahn, S.S.; Kim, B.M.; Suh, S.H.; Kim, D.J.; Kim, D.I.; Shin, Y.S.; Ha, S.Y.; Kwon, Y.S. Spontaneous symptomatic intracranial vertebrobasilar dissection: Initial and follow-up imaging findings. Radiology 2012, 264, 196–202. [Google Scholar] [CrossRef]
- Siebert, E.; Bohner, G.; Zweynert, S.; Maus, V.; Mpotsaris, A.; Liebig, T.; Kabbasch, C. Revascularization techniques for acute basilar artery occlusion: Technical considerations and outcome in the setting of severe posterior circulation steno-occlusive disease. Clin. Neuroradiol. 2019, 29, 435–443. [Google Scholar] [CrossRef]
- Alexandre, A.M.; Valente, I.; Consoli, A.; Trombatore, P.; Scarcia, L.; Piano, M.; Limbucci, N.; Gabrieli, J.D.; Russo, R.; Caragliano, A.A.; et al. Posterior circulation endovascular thrombectomy for large vessels occlusion in patients presenting with NIHSS score ≤ 10. Life 2021, 11, 1423. [Google Scholar] [CrossRef]
- Lindenholz, A.; van der Kolk, A.G.; Zwanenburg, J.J.M.; Hendrikse, J. The use and pitfalls of intracranial vessel wall imaging: How we do it. Radiology 2018, 286, 12–28. [Google Scholar] [CrossRef]
- Dieleman, N.; van der Kolk, A.G.; Zwanenburg, J.J.; Harteveld, A.A.; Biessels, G.J.; Luijten, P.R.; Hendrikse, J. Imaging intracranial vessel wall pathology with magnetic resonance imaging: Current prospects and future directions. Circulation 2014, 130, 192–201. [Google Scholar] [CrossRef] [Green Version]
- Turley, T.N.; O’Byrne, M.M.; Kosel, M.L.; de Andrade, M.; Gulati, R.; Hayes, S.N.; Tweet, M.S.; Olson, T.M. Identification of susceptibility loci for spontaneous coronary artery dissection. JAMA Cardiol. 2020, 5, 929–938. [Google Scholar] [CrossRef]
- Choi, Y.J.; Jung, S.C.; Lee, D.H. Vessel wall imaging of the intracranial and cervical carotid arteries. J. Stroke 2015, 17, 238–255. [Google Scholar] [CrossRef] [Green Version]
- Wang, Y.; Lou, X.; Li, Y.; Sui, B.; Sun, S.; Li, C.; Jiang, P.; Siddiqui, A.; Yang, X. Imaging investigation of intracranial arterial dissecting aneurysms by using 3 T high-resolution MRI and DSA: From the interventional neuroradiologists’ view. Acta Neurochir. 2014, 156, 515–525. [Google Scholar] [CrossRef]
- Bachmann, R.; Nassenstein, I.; Kooijman, H.; Dittrich, R.; Kugel, H.; Niederstadt, T.; Kuhlenbaumer, G.; Ringelstein, E.B.; Kramer, S.; Heindel, W. Spontaneous acute dissection of the internal carotid artery: High-resolution magnetic resonance imaging at 3.0 tesla with a dedicated surface coil. Investig. Radiol. 2006, 41, 105–111. [Google Scholar] [CrossRef]
- Bachmann, R.; Nassenstein, I.; Kooijman, H.; Dittrich, R.; Stehling, C.; Kugel, H.; Niederstadt, T.; Kuhlenbaumer, G.; Ringelstein, E.B.; Kramer, S.; et al. High-resolution magnetic resonance imaging (MRI) at 3.0 Tesla in the short-term follow-up of patients with proven cervical artery dissection. Investig. Radiol. 2007, 42, 460–466. [Google Scholar] [CrossRef]
- Jung, S.C.; Kim, H.S.; Choi, C.G.; Kim, S.J.; Kwon, S.U.; Kang, D.W.; Kim, J.S. Spontaneous and unruptured chronic intracranial artery dissection high-resolution magnetic resonance imaging findings. Clin. Neuroradiol. 2018, 28, 171–181. [Google Scholar] [CrossRef]
- Jung, S.C.; Kim, H.S.; Choi, C.G.; Kim, S.J.; Lee, D.H.; Suh, D.C.; Kwon, S.U.; Kang, D.W.; Kim, J.S. Quantitative analysis using high-resolution 3T MRI in acute intracranial artery dissection. J. Neuroimaging 2016, 26, 612–617. [Google Scholar] [CrossRef]
- Jung, S.C.; Lee, W.; Park, E.A.; Jae, H.J.; Chung, J.W.; Park, J.H. Spontaneous dissection of the splanchnic arteries: CT findings, treatment, and outcome. Am. J. Roentgenol. 2013, 200, 219–225. [Google Scholar] [CrossRef]
- Han, M.; Rim, N.J.; Lee, J.S.; Kim, S.Y.; Choi, J.W. Feasibility of high-resolution MR imaging for the diagnosis of intracranial vertebrobasilar artery dissection. Eur. Radiol. 2014, 24, 3017–3024. [Google Scholar] [CrossRef]
- Hassan, A.E.; Qureshi, A.I. Three-dimensional digital subtraction angiography in evaluation of vertebrobasilar artery dissections: Comparison with 2D DSA. J. Neuroimaging 2010, 20, 221–222. [Google Scholar] [CrossRef]
- Maruyama, H.; Nagoya, H.; Kato, Y.; Deguchi, I.; Fukuoka, T.; Ohe, Y.; Horiuchi, Y.; Dembo, T.; Uchino, A.; Tanahashi, N. Spontaneous cervicocephalic arterial dissection with headache and neck pain as the only symptom. J. Headache Pain 2012, 13, 247–253. [Google Scholar] [CrossRef] [Green Version]
- Landis, J.R.; Koch, G.G. The measurement of observer agreement for categorical data. Biometrics 1977, 33, 159–174. [Google Scholar] [CrossRef] [Green Version]
- Hanley, J.A.; McNeil, B.J. The meaning and use of the area under a receiver operating characteristic (ROC) curve. Radiology 1982, 143, 29–36. [Google Scholar] [CrossRef] [Green Version]
- Hanley, J.A. Receiver operating characteristic (ROC) methodology: The state of the art. Crit. Rev. Diagn. Imaging 1989, 29, 307–335. [Google Scholar]
- Mohan, I.V. Current optimal assessment and management of carotid and vertebral spontaneous and traumatic dissection. Angiology 2014, 65, 274–283. [Google Scholar] [CrossRef] [PubMed]
- Aoki, S.; Yoshikawa, T.; Hori, M.; Ishigame, K.; Nambu, A.; Kumagai, H.; Araki, T. Two-dimensional thick-slice MR digital subtraction angiography for assessment of cerebrovascular occlusive diseases. Eur. Radiol. 2000, 10, 1858–1864. [Google Scholar] [CrossRef] [PubMed]
- Garg, S.K.; Mohan, S.; Kumar, S. Diagnostic value of 3D contrast-enhanced magnetic resonance angiography in Takayasu’s arteritis--a comparative study with digital subtraction angiography. Eur. Radiol. 2011, 21, 1658–1666. [Google Scholar] [CrossRef] [PubMed]
- Ono, H.; Nakatomi, H.; Tsutsumi, K.; Inoue, T.; Teraoka, A.; Yoshimoto, Y.; Ide, T.; Kitanaka, C.; Ueki, K.; Imai, H.; et al. Symptomatic recurrence of intracranial arterial dissections: Follow-up study of 143 consecutive cases and pathological investigation. Stroke A J. Cereb. Circ. 2013, 44, 126–131. [Google Scholar] [CrossRef] [Green Version]
- Ro, A.; Kageyama, N.; Abe, N.; Takatsu, A.; Fukunaga, T. Intracranial vertebral artery dissection resulting in fatal subarachnoid hemorrhage: Clinical and histopathological investigations from a medicolegal perspective. J. Neurosurg. 2009, 110, 948–954. [Google Scholar] [CrossRef]
- Boström, K.; Liliequist, B. Primary dissecting aneurysm of the extracranial part of the internal carotid and vertebral arteries. A report of three cases. Neurology 1967, 17, 179–186. [Google Scholar] [CrossRef]
- Tsukahara, T.; Minematsu, K. Overview of spontaneous cervicocephalic arterial dissection in Japan. Acta Neurochir. Suppl. 2010, 107, 35–40. [Google Scholar]
- Naggara, O.; Oppenheim, C.; Louillet, F.; Touzé, E.; Mas, J.L.; Leclerc, X.; Meder, J.F. Traumatic intracranial dissection: Mural hematoma on high-resolution MRI. J. Neuroradiol. 2010, 37, 136–137. [Google Scholar] [CrossRef]
- Narata, A.P.; Yilmaz, H.; Schaller, K.; Lovblad, K.O.; Pereira, V.M. Flow-diverting stent for ruptured intracranial dissecting aneurysm of vertebral artery. Neurosurgery 2012, 70, 982–988. [Google Scholar] [CrossRef]
- Kerwin, W.; Hooker, A.; Spilker, M.; Vicini, P.; Ferguson, M.; Hatsukami, T.; Yuan, C. Quantitative magnetic resonance imaging analysis of neovasculature volume in carotid atherosclerotic plaque. Circulation 2003, 107, 851–856. [Google Scholar] [CrossRef] [Green Version]
- Park, K.J.; Jung, S.C.; Kim, H.S.; Choi, C.G.; Kim, S.J.; Lee, D.H.; Suh, D.C.; Kwon, S.U.; Kang, D.W.; Kim, J.S. Multi-contrast high-resolution magnetic resonance findings of spontaneous and unruptured intracranial vertebral artery dissection: Qualitative and quantitative analysis according to stages. Cerebrovasc. Dis. 2016, 42, 23–31. [Google Scholar] [CrossRef]
- Thompson, B.G.; Brown, R.D.; Amin-Hanjani, S., Jr.; Broderick, J.P.; Cockroft, K.M.; Connolly, E.S.; Duckwiler, G.R., Jr.; Harris, C.C.; Howard, V.J.; Johnston, S.C.; et al. Guidelines for the management of patients with unruptured intracranial aneurysms: A guideline for healthcare professionals from the american heart Association/American stroke association. Stroke 2015, 46, 2368–2400. [Google Scholar] [CrossRef] [Green Version]





| Diagnostic Criteria |
|---|
| Definite case |
| Satisfying any of Diagnostic Criteria I, II, or III below |
| I. Either intimal flap or double lumen visible on cerebral angiogram |
| II. Either intimal flap or double lumen visible on MRI or MRA (tomogram image). Handled identically if the transverse image on 3D-CTA and ultrasound examination is sufficiently delineated and a clear intimal flap and double lumen are visible. |
| III. If any of Findings IV, V, or VI are observed and a clear change is seen in the findings over time with repeated imaging examinations. Limited to cases in which a cause other than dissection can be ruled out |
| Suspected case |
| Satisfying any of Diagnostic Criteria IV, V, or VI below |
| IV. Nonspecific findings suggesting arterial dissection (pearl sign, tapered occlusion) are visible on cerebral angiogram other than the findings in I above |
| V. Findings are visible on MRA angiogram that appear to correspond to the pearl and string sign, string sign, or tapered occlusion on cerebral angiogram |
| VI. Intense signal suggesting intramural hematoma visible on MRI T1-weighted image |
| Demographics | |
|---|---|
| No. of patients (lesions) | 24 (27) |
| No. of female (%) | 11 (45.8%) |
| Mean age (range) | 56.6 (31–78) |
| Risk factors | |
| Hypertension | 14 (58.3%) |
| Hyperlipidemia | 11 (45.8%) |
| Diabetes mellitus | 6 (25.0%) |
| Clinical Presentation | |
| Headache | 11 (45.8%) |
| Ischemic stroke | 6 (24%) |
| Dizziness | 4 (16.6%) |
| Subarachnoid hemorrhage | 3 (12.5%) |
| Treatment | |
| Medication | 16 (66.6%) |
| Intervention | 8 (33.4%) |
| Final Diagnosis | Total | ||
|---|---|---|---|
| Definite VAD | Suspicious VAD | ||
| HR-VWI | |||
| Definite VAD | 19 | 0 | 19 |
| Suspicious VAD | 2 | 6 | 8 |
| Total | 21 | 6 | 27 |
| DSA | |||
| Definite VAD | 7 | 0 | 7 |
| Suspicious VAD | 14 | 6 | 20 |
| Total | 21 | 6 | 27 |
| HR-VWI | DSA | |
|---|---|---|
| Angiographic finding | ||
| Fusiform dilatation | 12 (44.4%) | 11 (40.7%) |
| Interobserver agreement | 0.78 (95% CI = 0.55–1.00) | 0.77 (95% CI = 0.49–1.00) |
| Pearl–string sign | 16 (59.2%) | 16 (59.2%) |
| Interobserver agreement | 0.76 (95% CI = 0.49–1.00) | 0.69 (95% CI = 0.37–0.93) |
| Dissection sign | ||
| Double-lumen sign or intimal flap | 21 (77.7%) | 6 (22.2%) |
| Interobserver agreement | 0.88 (95% CI = 0.58–1.00) | 0.75 (0.36–1.00) |
| Intramural hematoma | 20 (74.0%) | Not evaluated |
| Interobserver agreement | 0.72 (95% CI = 0.36–1.00) | |
| Diagnosis | ||
| Definite VAD | 19 (70.3%) | 7 (25.9%) |
| Interobserver agreement | 0.91 (95% CI = 0.67–100) | 0.58 (95% CI = 0.13–0.89) |
Publisher’s Note: MDPI stays neutral with regard to jurisdictional claims in published maps and institutional affiliations. |
© 2022 by the authors. Licensee MDPI, Basel, Switzerland. This article is an open access article distributed under the terms and conditions of the Creative Commons Attribution (CC BY) license (https://creativecommons.org/licenses/by/4.0/).
Share and Cite
Ryu, J.; Lee, K.M.; Kim, H.-G.; Choi, S.K.; Kim, E.J. Diagnostic Performance of High-Resolution Vessel Wall Magnetic Resonance Imaging and Digital Subtraction Angiography in Intracranial Vertebral Artery Dissection. Diagnostics 2022, 12, 432. https://doi.org/10.3390/diagnostics12020432
Ryu J, Lee KM, Kim H-G, Choi SK, Kim EJ. Diagnostic Performance of High-Resolution Vessel Wall Magnetic Resonance Imaging and Digital Subtraction Angiography in Intracranial Vertebral Artery Dissection. Diagnostics. 2022; 12(2):432. https://doi.org/10.3390/diagnostics12020432
Chicago/Turabian StyleRyu, Jiwook, Kyung Mi Lee, Hyug-Gi Kim, Seok Keun Choi, and Eui Jong Kim. 2022. "Diagnostic Performance of High-Resolution Vessel Wall Magnetic Resonance Imaging and Digital Subtraction Angiography in Intracranial Vertebral Artery Dissection" Diagnostics 12, no. 2: 432. https://doi.org/10.3390/diagnostics12020432
APA StyleRyu, J., Lee, K. M., Kim, H.-G., Choi, S. K., & Kim, E. J. (2022). Diagnostic Performance of High-Resolution Vessel Wall Magnetic Resonance Imaging and Digital Subtraction Angiography in Intracranial Vertebral Artery Dissection. Diagnostics, 12(2), 432. https://doi.org/10.3390/diagnostics12020432

