Histological Features of Celiac-Disease-like Conditions Related to Immune Checkpoint Inhibitors Therapy: A Signal to Keep in Mind for Pathologists
Abstract
:1. Introduction
2. CD, CD-like Conditions, and Duodenitis
3. Materials and Methods
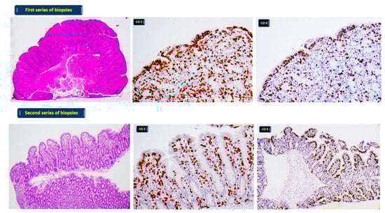
4. Results
5. Discussion
6. Conclusions
Author Contributions
Funding
Conflicts of Interest
References
- Baumgart, D.C.; Le Berre, C. Newer Biologic and Small-Molecule Therapies for Inflammatory Bowel Disease. N. Engl. J. Med. 2021, 385, 1302–1315. [Google Scholar] [CrossRef] [PubMed]
- Antonelli, E.; Villanacci, V.; Bassotti, B. Novel oral-targeted therapies for mucosal healing in ulcerative colitis. World J. Gastroenterol. 2018, 24, 5322–5330. [Google Scholar] [CrossRef] [PubMed]
- Furue, M.; Ito, T.; Wada, N.; Wada, M.; Kadono, T.; Uchi, H. Melanoma and Immune Checkpoint Inhibitors. Curr. Oncol. Rep. 2018, 20, 29. [Google Scholar] [CrossRef] [PubMed]
- Mellman, I.; Coukos, G.; Dranoff, G. Cancer immunotherapy comes of age. Nature 2011, 480, 480–489. [Google Scholar] [CrossRef]
- Pardoll, D.M. The blockade of immune checkpoints in cancer immunotherapy. Nat. Rev. Cancer 2012, 12, 252–264. [Google Scholar] [CrossRef] [Green Version]
- Hodi, F.S.; O’Day, S.J.; McDermott, D.F.; Weber, R.W.; Sosman, J.A.; Haanen, J.B.; Gonzalez, R.; Robert, C.; Schadendorf, D.; Hassel, J.C.; et al. Improved survival with ipilimumab in patients with metastatic melanoma. N. Engl. J. Med. 2010, 363, 711–723. [Google Scholar] [CrossRef]
- Garon, E.B.; Hellmann, M.D.; Rizvi, N.A.; Carcereny, E.; Leighl, N.B.; Ahn, M.J.; Eder, J.P.; Balmanoukian, A.S.; Aggarwal, C.; Horn, L.; et al. Five-Year Overall Survival for Patients With Advanced Non-Small-Cell Lung Cancer Treated With Pembrolizumab: Results From the Phase I KEYNOTE-001 Study. J. Clin. Oncol. 2019, 37, 2518–2527. [Google Scholar] [CrossRef]
- Burtness, B.; Harrington, K.J.; Greil, R.; Soulières, D.; Tahara, M.; de Castro GJr Psyrri, A.; Basté, N.; Neupane, P.; Bratland, Å.; Fuereder, T.; et al. KEYNOTE-048 Investigators. Pembrolizumab alone or with chemotherapy versus cetuximab with chemotherapy for recurrent or metastatic squamous cell carcinoma of the head and neck (KEYNOTE-048): A randomised, open-label, phase 3 study. Lancet 2019, 394, 1915–1928. [Google Scholar] [CrossRef]
- O’Donnell, P.H.; Arkenau, H.T.; Sridhar, S.S.; Ong, M.; Drakaki, A.; Spira, A.I.; Zhang, J.; Gordon, M.S.; Degboe, A.N.; Gupta, A.K.; et al. Patient-reported outcomes and inflammatory biomarkers in patients with locally advanced/metastatic urothelial carcinoma treated with durvalumab in phase 1/2 dose-escalation study 1108. Cancer 2020, 126, 432–443. [Google Scholar] [CrossRef]
- Fuchs, C.S.; Doi, T.; Jang, R.W.; Muro, K.; Satoh, T.; Machado, M.; Sun, W.; Jalal, S.I.; Shah, M.A.; Metges, J.P.; et al. Safety and Efficacy of Pembrolizumab Monotherapy in Patients With Previously Treated Advanced Gastric and Gastroesophageal ction Cancer: Phase 2 Clinical KEYNOTE-059 Trial. JAMA Oncol. 2018, 4, e180013. [Google Scholar] [CrossRef]
- Powles, T.; Plimack, E.R.; Soulières, D.; Waddell, T.; Stus, V.; Gafanov, R.; Nosov, D.; Pouliot, F.; Melichar, B.; Vynnychenko, I.; et al. Pembrolizumab plus axitinib versus sunitinib monotherapy as first-line treatment of advanced renal cell carcinoma (KEYNOTE-426): Extended follow-up from a randomised, open-label, phase 3 trial. Lancet Oncol. 2020, 21, 1563–1573. [Google Scholar] [CrossRef]
- Le, D.T.; Kim, T.W.; Van Cutsem, E.; Geva, R.; Jäger, D.; Hara, H.; Burge, M.; O’Neil, B.; Kavan, P.; Yoshino, T.; et al. Phase II Open-Label Study of Pembrolizumab in Treatment-Refractory, Microsatellite Instability-High/Mismatch Repair-Deficient Metastatic Colorectal Cancer: KEYNOTE-164. J. Clin. Oncol. 2020, 38, 11–19. [Google Scholar] [CrossRef] [PubMed]
- Zhu, A.X.; Finn, R.S.; Edeline, J.; Cattan, S.; Ogasawara, S.; Palmer, D.; Verslype, C.; Zagonel, V.; Fartoux, L.; Vogel, A.; et al. KEYNOTE-224 investigators. Pembrolizumab in patients with advanced hepatocellular carcinoma previously treated with sorafenib (KEYNOTE-224): A non-randomised, open-label phase 2 trial. Lancet Oncol. 2018, 19, 940–952. [Google Scholar] [CrossRef]
- Bekoz, H.; Ozbalak, M.; Karadurmus, N.; Paydas, S.; Turker, A.; Toptas, T.; Tuglular, T.F.; Altuntas, F.; Cakar, M.K.; Sonmez, M.; et al. Nivolumab for relapsed or refractory Hodgkin lymphoma: Real-life experience. Ann. Hematol. 2020, 99, 2565–2576. [Google Scholar] [CrossRef]
- D’Angelo, S.P.; Bhatia, S.; Brohl, A.S.; Hamid, O.; Mehnert, J.M.; Terheyden, P.; Shih, K.C.; Brownell, I.; Lebbé, C.; Lewis, K.D.; et al. Avelumab in patients with previously treated metastatic Merkel cell carcinoma: Long-term data and biomarker analyses from the single-arm phase 2 JAVELIN Merkel 200 trial. J. Immunother. Cancer 2020, 8, e000674. [Google Scholar] [CrossRef] [PubMed]
- Darnell, E.P.; Mooradian, M.J.; Baruch, E.N.; Yilmaz, M.; Reynolds, K.L. Immune-Related Adverse Events (irAEs): Diagnosis, Management, and Clinical Pearls. Curr. Oncol. Rep. 2020, 22, 39. [Google Scholar] [CrossRef]
- Michot, J.M.; Bigenwald, C.; Champiat, S.; Collins, M.; Carbonnel, F.; Postel-Vinay, S.; Berdelou, A.; Varga, A.; Bahleda, R.; Hollebecque, A.; et al. Immune-related adverse events with immune checkpoint blockade: A comprehensive review. Eur. J. Cancer 2016, 54, 139–148. [Google Scholar] [CrossRef]
- Postow, M.A.; Sidlow, R.; Hellmann, M.D. Immune-Related Adverse Events Associated with Immune Checkpoint Blockade. N. Engl. J. Med. 2018, 378, 158–168. [Google Scholar] [CrossRef]
- Oble, D.A.; Mino-Kenudson, M.; Goldsmith, J.; Hodi, F.S.; Seliem, R.M.; Dranoff, G.; Mihm, M.; Hasserjian, R.; Lauwers, G.Y. Alpha-CTLA-4 mAb-associated panenteritis: A histologic and immunohistochemical analysis. Am. J. Surg. Pathol. 2008, 32, 1130–1137. [Google Scholar] [CrossRef]
- García-Varona, A.; Odze, R.D.; Makrauer, F. Lymphocytic colitis secondary to ipilimumab treatment. Inflamm. Bowel Dis. 2013, 19, E15–E16. [Google Scholar] [CrossRef]
- Verschuren, E.C.; van den Eertwegh, A.J.; Wonders, J.; Slangen, R.M.; van Delft, F.; van Bodegraven, A.; Neefjes-Borst, A.; de Boer, N.K. Clinical, Endoscopic, and Histologic Characteristics of Ipilimumab-Associated Colitis. Clin. Gastroenterol. Hepatol. 2016, 14, 836–842. [Google Scholar] [CrossRef] [PubMed]
- Chen, J.H.; Pezhouh, M.K.; Lauwers, G.Y.; Masia, R. Histopathologic Features of Colitis Due to Immunotherapy With Anti-PD-1 Antibodies. Am. J. Surg. Pathol. 2017, 41, 643–654. [Google Scholar] [CrossRef] [PubMed]
- Zhang, M.L.; Deshpande, V. Histopathology of Gastrointestinal Immune-related Adverse Events: A Practical Review for the Practicing Pathologist. Am. J. Surg. Pathol. 2022, 46, 15–26. [Google Scholar] [CrossRef] [PubMed]
- Arora, K.; Zhang, M.L.; Goiburú-Chenu, M.B.; England, J. Pathology of immune checkpoint inhibitor-induced injury of the gastrointestinal tract and hepatobiliary system. Diagn. Histopathol. 2021, 27, 62–68. [Google Scholar] [CrossRef]
- Karamchandani, D.M.; Chetty, R. Immune checkpoint inhibitor-induced gastrointestinal and hepatic injury: Pathologists’ perspective. J. Clin. Pathol 2018, 71, 665–671. [Google Scholar] [CrossRef]
- Marthey, L.; Mateus, C.; Mussini, C.; Nachury, M.; Nancey, S.; Grange, F.; Zallot, C.; Peyrin-Biroulet, L.; Rahier, J.F.; Bourdier de Beauregard, M.; et al. Cancer Immunotherapy with Anti-CTLA-4 Monoclonal Antibodies Induces an Inflammatory Bowel Disease. J. Crohns Colitis 2016, 10, 395–401. [Google Scholar] [CrossRef]
- Cañete, F.; Mañosa, M.; Lobatón, T.; Mesonero, F.; Rodríguez-Lago, I.; Cabré, E.; Cabriada, J.L.; López-Sanromán, A.; Domènech, E. Nivolumab-induced immune-mediated colitis: An ulcerative colitis look-alike-report of new cases and review of the literature. Int. J. Colorectal. Dis. 2019, 34, 861–865. [Google Scholar] [CrossRef]
- Wang, Y.; Abu-Sbeih, H.; Mao, E.; Ali, N.; Qiao, W.; Trinh, V.A.; Zobniw, C.; Johnson, D.H.; Samdani, R.; Lum, P.; et al. Endoscopic and Histologic Features of Immune Checkpoint Inhibitor-Related Colitis. Inflamm. Bowel Dis. 2018, 24, 1695–1705. [Google Scholar] [CrossRef]
- Parente, P.; Graziano, P.; Scalzulli, P.; Mastracci, L.; Grillo, F. Brentuximab-related apoptotic colopathy. Pathology 2020, 52, 483–484. [Google Scholar] [CrossRef]
- Irshaid, L.; Robert, M.E.; Zhang, X. Immune Checkpoint Inhibitor-Induced Upper Gastrointestinal Tract Inflammation Shows Morphologic Similarities to, but Is Immunologically Distinct From, Helicobacter pylori Gastritis and Celiac Disease. Arch. Pathol. Lab. Med. 2021, 145, 191–200. [Google Scholar] [CrossRef]
- Collins, M.; Michot, J.M.; Danlos, F.X.; Mussini, C.; Soularue, E.; Mateus, C.; Loirat, D.; Buisson, A.; Rosa, I.; Lambotte, O.; et al. Inflammatory gastrointestinal diseases associated with PD-1 blockade antibodies. Ann. Oncol. 2017, 28, 2860–2865. [Google Scholar] [CrossRef] [PubMed]
- Zhang, M.L.; Neyaz, A.; Patil, D.; Chen, J.; Dougan, M.; Deshpande, V. Immune-related adverse events in the gastrointestinal tract: Diagnostic utility of upper gastrointestinal biopsies. Histopathology 2020, 76, 233–243. [Google Scholar] [CrossRef]
- Badran, Y.R.; Shih, A.; Leet, D.; Mooradian, M.J.; Coromilas, A.; Chen, J.; Kem, M.; Zheng, H.; Borowsky, J.; Misdraji, J.; et al. Immune checkpoint inhibitor-associated celiac disease. J. Immunother. Cancer 2020, 8, e000958. [Google Scholar] [CrossRef]
- Robert, M.E.; Crowe, S.E.; Burgart, L.; Yantiss, R.K.; Lebwohl, B.; Greenson, J.K.; Guandalini, S.; Murray, J.A. Statement on Best Practices in the Use of Pathology as a Diagnostic Tool for Celiac Disease: A Guide: Clinicians and Pathologists. Am. J. Surg. Pathol. 2018, 42, e44–e58. [Google Scholar] [CrossRef]
- Caio, G.; Volta, U.; Sapone, A.; Leffler, D.A.; De Giorgio, R.; Catassi, C.; Fasano, A. Celiac disease: A comprehensive current review. BMC Med. 2019, 17, 142–162. [Google Scholar] [CrossRef] [PubMed] [Green Version]
- Villanacci, V.; Vanoli, A.; Leoncini, G.; Arpa, G.; Salviato, T.; Bonetti, L.R.; Baronchelli, C.; Saragoni, L.; Parente, P. Celiac disease: Histology-differential diagnosis-complications. A practical approach. Pathologica 2020, 112, 186–196. [Google Scholar] [CrossRef]
- Marsh, M.N. Grains of Truth: Evolutionary Changes in Small Intestinal Mucosa in Response to Environmental Antigen Challenge. Gut 1990, 31, 111–114. [Google Scholar] [CrossRef] [PubMed] [Green Version]
- Oberhuber, G.; Granditsch, G.; Vogelsang, H. The Histopathology of Coeliac Disease: Time for a Standardized Report Scheme for Pathologists. Eur. J. Gastroenterol. Hepatol. 1999, 11, 1185–1194. [Google Scholar] [CrossRef] [PubMed]
- Corazza, G.R.; Villanacci, V. Coeliac disease. J. Clin. Pathol. 2005, 58, 573–574. [Google Scholar] [CrossRef] [PubMed] [Green Version]
- Corazza, G.R.; Villanacci, V.; Zambelli, C.; Milione, M.; Luinetti, O.; Vindigni, C.; Chioda, C.; Albarello, L.; Bartolini, D.; Donato, F. Comparison of the interobserver reproducibility with different histologic criteria used in celiac disease. Clin. Gastroenterol. Hepatol. 2007, 5, 838. [Google Scholar] [CrossRef]
- Brown, I.; Mino-Kenudson, M.; Deshpande, V.; Lawers, G.Y. Intraepithelial lymphocytosis in architecturally preserved proximal small intestinal mucosa: An increasing diagnostic problem with a wide differential diagnosis. Arch. Pathol. Lab. Med. 2006, 130, 1020–1025. [Google Scholar] [CrossRef]
- Brown, I.; Bettington, M.; Rosty, C. The role of histopathology in the diagnosis and management of coeliac disease and other malabsorptive conditions. Histopathology 2021, 78, 88–105. [Google Scholar] [CrossRef] [PubMed]
- Louie, C.Y.; DiMaio, M.A.; Matsukuma, K.E.; Coutre, S.E.; Berry, G.J.; Longacre, T.A. Idelalisib-associated Enterocolitis: Clinicopathologic features and distinction from other Enterocolitides. Am. J. Surg. Pathol. 2015, 39, 1653. [Google Scholar] [CrossRef]
- Rubio-Tapia, A.; Herman, M.L.; Ludvigsson, J.F.; Kelly, D.G.; Mangan, T.F.; Wu, T.T.; Murray, J.A. Severe spruelike enteropathy associated with olmesartan. Mayo Clin. Proc. 2012, 87, 732–738. [Google Scholar] [CrossRef] [Green Version]
- Jehangir, A.; Shaikh, B.; Hunt, J.; Spiegel, A. Severe enteropathy from mycophenolate mofetil. ACG Case Rep. J. 2016, 3, 101–103. [Google Scholar] [CrossRef] [PubMed]
- Rostami, K.; Aldulaimi, D.; Holmes, G.; Johnson, M.W.; Robert, M.; Srivastava, A.; Fléjou, J.F.; Sanders, D.S.; Volta, U.; Derakhshan, M.H.; et al. Microscopic enteritis: Bucharest consensus. World J. Gastroenterol. 2015, 21, 2593–2604. [Google Scholar] [CrossRef]
- Ierardi, E.; Losurdo, G.; Iannone, A.; Piscitelli, D.; Amoruso, A.; Barone, M.; Principi, M.; Pisani, A.; Di Leo, A. Lymphocytic duodenitis or microscopic enteritis and gluten-related conditions: What needs to be explored? Ann. Gastroenterol. 2017, 30, 380–392. [Google Scholar] [CrossRef]
- Kumarasinghe, M.P.; Brown, I. Endoscopic Biopsy Interpretation. A Pratical Guide, 1st ed.; Springer Nature: Cham, Switzerland, 2019; pp. 241–247. [Google Scholar]
- Montgomery, E.A.; Voltaggio, L. Small Intestine. In Biopsy Interpretation of the Gastointestinal Tract Mucosa, 3rd ed.; Epstein, J.I., Ed.; Wolters Kluwer: Philadelphia, PA, USA, 2018; Volume 1, pp. 134–194. [Google Scholar]
- Gentile, N.M.; D’Souza, A.; Fujii, L.L.; Wu, T.T.; Murray, J.A. Association between ipilimumab and celiac disease. Mayo Clin. Proc. 2013, 88, 414–417. [Google Scholar] [CrossRef] [PubMed] [Green Version]
- Facchinetti, F.; Gnetti, L.; Caruana, P.; Fornaroli, F.; Luigi de’Angelis, G.; Sabato, M.; Ferri, L.; Cosenza, A.; Bordi, P.; Tiseo, M. Widespread Nivolumab-induced Enteropathy in a Long Responder Non-Small-cell Lung Cancer Patient. Clin. Lung Cancer 2018, 19, e591–e596. [Google Scholar] [CrossRef]
- Duval, L.; Habes, S.; Chatellier, T.; Guerzider, P.; Bossard, C.; Masliah, C.; Archambeaud, I.; Touchefeu, Y.; Matysiak-Budnik, T. Nivolumab-induced celiac-like enteropathy in patient with metastatic renal cell carcinoma: Case report and review of the literature. Clin. Case Rep. 2019, 7, 1689–1693. [Google Scholar] [CrossRef] [Green Version]
- Alsaadi, D.; Shah, N.J.; Charabaty, A.; Atkins, M.B. A case of checkpoint inhibitor-induced celiac disease. J. Immunother. Cancer 2019, 7, 203. [Google Scholar] [CrossRef] [Green Version]
- Kokorian, R.; Grainville, T.; Robert, L.; Corre, R.; Lena, H.; Lievre, A.; Ricordel, C. Coeliac-Like Disease Is a Rare Immune-Related Complication Induced by Nivolumab in NSCLC. J. Thorac. Oncol. 2020, 15, e147–e148. [Google Scholar] [CrossRef]
- Arnouk, J.; Mathew, D.; Nulton, E.; Rachakonda, V. A Celiac Disease Phenotype After Checkpoint Inhibitor Exposure: An Example of Immune Dysregulation After Immunotherapy. ACG Case Rep. J. 2019, 6, e00158. [Google Scholar] [CrossRef]
- Schoenfeld, S.R.; Aronow, M.E.; Leaf, R.K.; Dougan, M.; Reynolds, K.L. Diagnosis and Management of Rare Immune-Related Adverse Events. Oncologist 2020, 25, 6–14. [Google Scholar] [CrossRef] [Green Version]
- Sethi, A.; Helfand, A.; Balikani, L.; Bunker, M.; Finley, G. Association of Celiac Disease With Pembrolizumab. Cureus 2021, 13, e15565. [Google Scholar] [CrossRef]
- Theodoraki, E.; Giannarakis, M.; Tzardi, M.; Koutroubakis, I.Ε. Pembrolizumab-induced antiTTG IgA-negative duodenitis treated with gluten withdrawal. Eur. J. Gastroenterol. Hepatol. 2020, 33, 1130–1131. [Google Scholar] [CrossRef] [PubMed]
- Tang, T.; Abu-Sbeih, H.; Luo, W.; Lum, P.; Qiao, W.; Bresalier, R.S.; Richards, D.M.; Wang, Y. Upper gastrointestinal symptoms and associated endoscopic and histological features in patients receiving immune checkpoint inhibitors. Scand. J. Gastroenterol. 2019, 54, 538–545. [Google Scholar] [CrossRef] [PubMed]
- Yang, J.; Lagana, S.M.; Saenger, Y.M.; Carvajal, R.D. Dual checkpoint inhibitor-associated eosinophilic enteritis. J. Immunother. Cancer 2019, 7, 310. [Google Scholar] [CrossRef] [PubMed]
- Hayashi, Y.; Hosoe, N.; Takabayashi, K.; Limpias Kamiya, K.J.L.; Tsugaru, K.; Shimozaki, K.; Hirata, K.; Fukuhara, K.; Fukuhara, S.; Mutaguchi, M.; et al. Clinical, Endoscopic, and Pathological Characteristics of Immune Checkpoint Inhibitor-Induced Gastroenterocolitis. Dig. Dis Sci. 2021, 66, 2129–2134. [Google Scholar] [CrossRef] [PubMed]
- Messmer, M.; Upreti, S.; Tarabishy, Y.; Mazumder, N.; Chowdhury, R.; Yarchoan, M.; Holdhoff, M. Ipilimumab-Induced Enteritis without Colitis: A New Challenge. Case Rep. Oncol. 2016, 9, 705–713. [Google Scholar] [CrossRef] [PubMed]
- Bavi, P.; Butler, M.; Serra, S.; Chetty, R. Immune modulator-induced changes in the gastrointestinal tract. Histopathology 2017, 71, 494–496. [Google Scholar] [CrossRef] [PubMed]
- Gonzalez, R.S.; Salaria, S.N.; Bohannon, C.D.; Huber, A.R.; Feely, M.M.; Shi, C. PD-1 inhibitor gastroenterocolitis: Case series and appraisal of ‘immunomodulatory gastroenterocolitis’. Histopathology 2017, 70, 558–567. [Google Scholar] [CrossRef] [PubMed]
- Freeman, H.J. Sprue-like Intestinal Disease Induced by Checkpoint Inhibitor Immunotherapy. Int. J. Celiac. Dis. 2020, 8, 28–31. [Google Scholar] [CrossRef]
- Villanacci, V.; Del Sordo, R. Angiotensin II receptor antagonist (Olmesartan) associated gastro-entero-colopathy. The multiform expressions of damage due to this class of drugs. Dig. Liver Dis. 2021, 53, 1260–1261. [Google Scholar] [CrossRef]
- Al-Toma, A.; Volta, U.; Auricchio, R.; Castillejo, G.; Sanders, D.S.; Cellier, C.; Mulder, C.J.; Lundin, K.E.A. European Society for the Study of Coeliac Disease (ESsCD) guideline for coeliac disease and other gluten-related disorders. United Eur. Gastroenterol. J. 2019, 7, 583–613. [Google Scholar] [CrossRef] [PubMed]
- Dunne, M.R.; Elliott, L.; Hussey, S.; Mahmud, N.; Kelly, J.; Doherty, D.G.; Feighery, C.F. Persistent changes in circulating and intestinal γδ T cell subsets, invariant natural killer T cells and mucosal-associated invariant T cells in children and adults with coeliac disease. PLoS ONE 2013, 8, e76008. [Google Scholar] [CrossRef] [Green Version]

| Author, Year | No. Cases Histological Documented | Sex Age | Drugs | Duration Exposure ICIs | HLA DQ2 or DQ8 | TTGA U/mL IgA | EMA | Villous Atrophy | IELs | Diagnosis | Others GI Findings | Therapy |
|---|---|---|---|---|---|---|---|---|---|---|---|---|
| Gentile et al. [50], 2013 | 1 | M 62 | Ipilimumab | 6 weeks | Pos | 79.1 | Neg | Partial/Total | 60/100 | ICIs-CD | Colon apoptosis | GFD Budesonide |
| Facchinetti et al. [51], 2018 | 1 | F 42 | Nivolumab | Several months | Neg | Neg | Neg | Total | ˃25/100 | CD-like | Collagenous colitis | Budesonide |
| Duval et al. [52], 2019 | 1 | M 58 | Nivolumab | 1 month | NR | Neg | NR | Subtotal | High number | CD-like | Absent | Methylprednisolone |
| Alsaadi et al. [53], 2019 | 1 | F 74 | Ipilimumab+Nivolumab | 1 week | NR | 12 | NR | Total | 20–30/100 | ICIs-CD | Active chronic gastritis | GFD Budesonide |
| Kokorian et al. [54], 2019 | 1 | M 65 | Nivolumab | 13 months | NR | Neg | Neg | Subtotal | 40/100 | CD-like | Absent | Prednisolone |
| Arnouk et al. [55], 2019 | 1 | M 79 | Pembrolizumab | 1 week | NR | 59 | NR | Total | ˃25/100 | ICIs-CD | Absent | GFD |
| Badran et al. [33], 2020 | 6 | M 44-73 | NR | 82.5 days | NR | 121.21 ± 80.29 | NR | Moderate-severe | 25(±11)/ 100 | ICIs-CD | Absent | GFD |
| Schoenfeld et al. [56], 2020 | 1 | F 72 | Pembrolizumab | Five cycles | NR | 37 | NR | NR | Increased | ICIs-CD | Absent | GFD |
| Sethi et al. [57], 2021 | 1 | F 63 | Pembrolizumab | Few months | NR | 5/IgG | Neg | Total | Increased | ICIs-CD | Absent | GFD |
| Theodoraki et al. [58], 2021 | 1 | M 51 | Pembrolizumab | 6 months | NR | Neg | Neg | Present | Present | CD-like | Lymphocytic colitis | GFD |
Publisher’s Note: MDPI stays neutral with regard to jurisdictional claims in published maps and institutional affiliations. |
© 2022 by the authors. Licensee MDPI, Basel, Switzerland. This article is an open access article distributed under the terms and conditions of the Creative Commons Attribution (CC BY) license (https://creativecommons.org/licenses/by/4.0/).
Share and Cite
Del Sordo, R.; Volta, U.; Lougaris, V.; Parente, P.; Sidoni, A.; Facchetti, M.; Bassotti, G.; Carosi, I.; Clemente, C.; Villanacci, V. Histological Features of Celiac-Disease-like Conditions Related to Immune Checkpoint Inhibitors Therapy: A Signal to Keep in Mind for Pathologists. Diagnostics 2022, 12, 395. https://doi.org/10.3390/diagnostics12020395
Del Sordo R, Volta U, Lougaris V, Parente P, Sidoni A, Facchetti M, Bassotti G, Carosi I, Clemente C, Villanacci V. Histological Features of Celiac-Disease-like Conditions Related to Immune Checkpoint Inhibitors Therapy: A Signal to Keep in Mind for Pathologists. Diagnostics. 2022; 12(2):395. https://doi.org/10.3390/diagnostics12020395
Chicago/Turabian StyleDel Sordo, Rachele, Umberto Volta, Vassilios Lougaris, Paola Parente, Angelo Sidoni, Mattia Facchetti, Gabrio Bassotti, Illuminato Carosi, Celeste Clemente, and Vincenzo Villanacci. 2022. "Histological Features of Celiac-Disease-like Conditions Related to Immune Checkpoint Inhibitors Therapy: A Signal to Keep in Mind for Pathologists" Diagnostics 12, no. 2: 395. https://doi.org/10.3390/diagnostics12020395
APA StyleDel Sordo, R., Volta, U., Lougaris, V., Parente, P., Sidoni, A., Facchetti, M., Bassotti, G., Carosi, I., Clemente, C., & Villanacci, V. (2022). Histological Features of Celiac-Disease-like Conditions Related to Immune Checkpoint Inhibitors Therapy: A Signal to Keep in Mind for Pathologists. Diagnostics, 12(2), 395. https://doi.org/10.3390/diagnostics12020395

