Unusual Histology in Mesothelioma: A Report of Two Cases with a Brief Review
Abstract
:1. Introduction
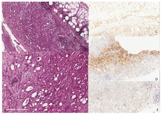
2. Case N°1
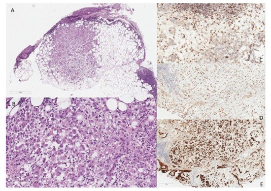
3. Case N°2
4. Discussion
Author Contributions
Funding
Institutional Review Board Statement
Informed Consent Statement
Conflicts of Interest
References
- Sauter, J.L.; Bueno, R.; Dacic, S.; Gill, R.R.; Husain, A.N.; Kadota, K.; Ladanyi, M.; Nowak, A.; Schmitt, F. Diffuse Pleural Mesothelioma, WHO Classification of Tumors Editorial Board, 5th ed.; IARC Press: Lyon, France, 2021; pp. 204–219. [Google Scholar]
- Kadota, K.; Suzuki, K.; Colovos, C.; Sima, C.S.; Rusch, V.W.; Travis, W.D.; Adusumilli, P.S. A nuclear grading system is a strong predictor of survival in epithelioid diffuse malignant pleural mesothelioma. Mod. Pathol. 2012, 25, 260–271. [Google Scholar] [CrossRef] [PubMed] [Green Version]
- Pelosi, G.; Papotti, M.; Righi, L.; Rossi, G.; Ferrero, S.; Bosari, S.; Calabrese, F.; Kern, I.; Maisonneuve, P.; Sonzogni, A.; et al. Pathologic Grading of Malignant Pleural Mesothelioma: An Evidence-Based Proposal. J. Thorac. Oncol. 2018, 13, 1750–1761. [Google Scholar] [CrossRef] [Green Version]
- Rosen, L.E.; Karrison, T.; Ananthanarayanan, V.; Gallan, A.J.; Adusumilli, P.S.; Alchami, F.S.; Attanoos, R.; Brcic, L.; Butnor, K.J.; Salle, F.G.; et al. Nuclear grade and necrosis predict prognosis in malignant epithelioid pleural mesothelioma: A multi-institutional study. Mod. Pathol. 2018, 31, 598–606. [Google Scholar] [CrossRef] [PubMed] [Green Version]
- Schulte, J.J.; Chapel, D.B.; Attanoos, R.; Brcic, L.; Burn, J.; Butnor, K.J.; Chang, N.; Chen, H.; Dacic, S.; Perrot, M.D.; et al. Comparison of Nuclear Grade, Necrosis, and Histologic Subtype Between Biopsy and Resection in Pleural Malignant Mesothelioma. Am. J. Clin. Pathol. 2021, 156, 989–999. [Google Scholar] [CrossRef] [PubMed]
- Shia, J.; Qin, J.; Erlandson, R.A.; King, R.; Illei, P.; Nobrega, J.; Yao, D.; Klimstra, D.S. Malignant mesothelioma with a pronounced myxoid stroma: A clinical and pathological evaluation of 19 cases. Virchows Arch. 2005, 447, 828–834. [Google Scholar] [CrossRef] [PubMed]
- Alchami, F.S.; Attanoos, R.L.; Bamber, A.R. Myxoid variant epithelioid pleural mesothelioma defines a favourable prognosis group: An analysis of 191 patients with pleural malignant mesothelioma. J. Clin. Pathol. 2017, 70, 179–182. [Google Scholar] [CrossRef] [PubMed]
- Fernandez-Cuesta, L.; Mangiante, L.; Alcala, N.; Foll, M. Challenges in lung and thoracic pathology: Molecular advances in the classification of pleural mesotheliomas. Virchows Arch. 2021, 478, 73–80. [Google Scholar] [CrossRef]
- Berg, K.B.; Dacic, S.; Miller, C.; Cheung, S.; Churg, A. Utility of Methylthioadenosine Phosphorylase Compared with BAP1 Immunohistochemistry, and CDKN2A and NF2 Fluorescence In Situ Hybridization in Separating Reactive Mesothelial Proliferations from Epithelioid Malignant Mesotheliomas. Arch. Pathol. Lab. Med. 2018, 142, 1549–1553. [Google Scholar] [CrossRef] [PubMed] [Green Version]
- Cigognetti, M.; Lonardi, S.; Fisogni, S.; Balzarini, P.; Pellegrini, V.; Tironi, A.; Bercich, L.; Bugatti, M.; De Rossi, G.; Murer, B.; et al. BAP1 (BRCA1-associated protein 1) is a highly specific marker for differentiating mesothelioma from reactive mesothelial proliferations. Mod. Pathol. 2015, 28, 1043–1057. [Google Scholar] [CrossRef] [Green Version]
- Beasley, M.B.; Galateau-Salle, F.; Dacic, S. Pleural mesothelioma classification update. Virchows Archiv. 2021, 478, 59–72. [Google Scholar] [CrossRef]
- Miller, B.H.; Rosado-De-Christenson, M.L.; Mason, A.C.; Fleming, M.V.; White, C.C.; Krasna, M.J. From the archives of the AFIP. Malignant pleural mesothelioma: Radiologic-pathologic correlation. RadioGraphics 1996, 16, 613–644. [Google Scholar] [CrossRef] [PubMed] [Green Version]
- Bueno, R.; Stawiski, E.W.; Goldstein, L.D.; Durinck, S.; Rienzo, A.D.; Modrusan, Z.; Gnad, F.; Nguyen, T.T.; Jaiswal, B.S.; Chirieac, L.R.; et al. Comprehensive genomic analysis of malignant pleural mesothelioma identifies recurrent mutations, gene fusions and splicing alterations. Nat. Genet. 2016, 48, 407–416. [Google Scholar] [CrossRef] [PubMed]
- Kukuyan, A.-M.; Sementino, E.; Kadariya, Y.; Menges, C.W.; Cheung, M.; Tan, Y.; Cai, K.Q.; Slifker, M.J.; Peri, S.; Klein-Szanto, A.J.; et al. Inactivation of Bap1 Cooperates with Losses of Nf2 and Cdkn2a to Drive the Development of Pleural Malignant Mesothelioma in Conditional Mouse Models. Cancer Res. 2019, 79, 4113–4123. [Google Scholar] [CrossRef] [PubMed]
- Zhang, M.; Luo, J.-L.; Sun, Q.; Harber, J.; Dawson, A.G.; Nakas, A.; Busacca, S.; Sharkey, A.J.; Waller, D.; Sheaff, M.T.; et al. Clonal architecture in mesothelioma is prognostic and shapes the tumour microenvironment. Nat. Commun. 2021, 12, 1751. [Google Scholar] [CrossRef]
- Kettunen, E.; Savukoski, S.; Salmenkivi, K.; Böhling, T.; Vanhala, E.; Kuosma, E.; Anttila, S.; Wolff, H. CDKN2A copy number and p16 expression in malignant pleural mesothelioma in relation to asbestos exposure. BMC Cancer 2019, 19, 507. [Google Scholar] [CrossRef]
- Hmeljak, J.; Sanchez-Vega, F.; Hoadley, K.A.; Shih, J.; Stewart, C.; Heiman, D.; Tarpey, P.; Danilova, L.; Drill, E.; Gibb, E.A.; et al. Integrative Molecular Characterization of Malignant Pleural Mesothelioma. Cancer Discov. 2018, 8, 1548–1565. [Google Scholar] [CrossRef] [Green Version]
- Field, M.G.; Durante, M.A.; Anbunathan, H.; Cai, L.Z.; Decatur, C.L.; Bowcock, A.M.; Kurtenbach, S.; Harbour, J.W. Punctuated evolution of canonical genomic aberrations in uveal melanoma. Nat. Commun. 2018, 9, 116. [Google Scholar] [CrossRef]
- Shrestha, R.; Nabavi, N.; Lin, Y.-Y.; Mo, F.; Anderson, S.; Volik, S.; Adomat, H.H.; Lin, D.; Xue, H.; Dong, X.; et al. BAP1 haploinsufficiency predicts a distinct immunogenic class of malignant peritoneal mesothelioma. Genome Med. 2019, 11, 8. [Google Scholar] [CrossRef] [Green Version]
- Bott, M.; Brevet, M.; Taylor, B.S.; Shimizu, S.; Ito, T.; Wang, L.; Creaney, J.; Lake, A.R.; Zakowski, M.F.; Reva, B.; et al. The nuclear deubiquitinase BAP1 is commonly inactivated by somatic mutations and 3p21.1 losses in malignant pleural mesothelioma. Nat. Genet. 2011, 43, 668–672. [Google Scholar] [CrossRef]
- Stang, N.L.; Burke, L.; Blaizot, G.; Gibbs, A.R.; LeBailly, P.; Clin, B.; Girard, N.; Galateau-Sallé, F. Differential Diagnosis of Epithelioid Malignant Mesothelioma with Lung and Breast Pleural Metastasis: A Systematic Review Compared with a Standardized Panel of Antibodies—A New Proposal That May Influence Pathologic Practice. Arch. Pathol. Lab. Med. 2020, 144, 446–456. [Google Scholar] [CrossRef] [Green Version]
- Mneimneh, W.S.; Jiang, Y.; Harbhajanka, A.; Michael, C.W. Immunochemistry in the work-up of mesothelioma and its differential diagnosis and mimickers. Diagn. Cytopathol. 2021, 49, 582–595. [Google Scholar] [CrossRef] [PubMed]
- Rossi, G.; Davoli, F.; Poletti, V.; Cavazza, A.; Lococo, F. When the Diagnosis of Mesothelioma Challenges Textbooks and Guidelines. J. Clin. Med. 2021, 10, 2434. [Google Scholar] [CrossRef] [PubMed]
- Masclef, L.; Ahmed, O.; Estavoyer, B.; Larrivée, B.; Labrecque, N.; Nijnik, A.; Affar, E.B. Roles and mechanisms of BAP1 deubiquitinase in tumor suppression. Cell Death Differ. 2021, 28, 606–625. [Google Scholar] [CrossRef] [PubMed]
- Ladanyi, M. Implications of P16/CDKN2A deletion in pleural mesotheliomas. Lung Cancer 2005, 49, S95–S98. [Google Scholar] [CrossRef]
- Sato, T.; Sekido, Y. NF2/Merlin Inactivation and Potential Therapeutic Targets in Mesothelioma. Int. J. Mol. Sci. 2018, 19, 988. [Google Scholar] [CrossRef] [Green Version]
- Sekido, Y. Molecular pathogenesis of malignant mesothelioma. Carcinogenesis 2013, 34, 1413–1419. [Google Scholar] [CrossRef]
- Hida, T.; Hamasaki, M.; Matsumoto, S.; Sato, A.; Tsujimura, T.; Kawahara, K.; Iwasaki, A.; Okamoto, T.; Oda, Y.; Honda, H.; et al. Immunohistochemical detection of MTAP and BAP1 protein loss for mesothelioma diagnosis: Comparison with 9p21 FISH and BAP1 immunohistochemistry. Lung Cancer 2017, 104, 98–105. [Google Scholar] [CrossRef]
- Chapel, D.B.; Schulte, J.J.; Berg, K.; Churg, A.; Dacic, S.; Fitzpatrick, C.; Galateau-Salle, F.; Hiroshima, K.; Krausz, T.; Stang, L.N.; et al. MTAP immunohistochemistry is an accurate and reproducible surrogate for CDKN2A fluorescence in situ hybridization in diagnosis of malignant pleural mesothelioma. Mod. Pathol. 2020, 33, 245–254. [Google Scholar] [CrossRef]
- Wu, D.; Hiroshima, K.; Matsumoto, S.; Nabeshima, K.; Yusa, T.; Ozaki, D.; Fujino, M.; Yamakawa, H.; Nakatani, Y.; Tada, Y.; et al. Diagnostic usefulness of p16/cdkn2a fish in distinguishing between sarcomatoid mesothelioma and fibrous pleuritis. Am. J. Clin.Pathol. 2013, 139, 39–46. [Google Scholar] [CrossRef] [Green Version]
- Weissferdt, A.; Kalhor, N.; Suster, S. Malignant mesothelioma with prominent adenomatoid features: A clinicopathologic and immunohistochemical study of 10 cases. Ann. Diagn. Pathol. 2011, 15, 25–29. [Google Scholar] [CrossRef]
- Cook, D.S.; Attanoos, R.L.; Jalloh, S.S. ‘Mucinpositive’ epithelial mesothelioma of the peritoneum: An unusual diagnostic pitfall. Histopathology 2000, 37, 33–36. [Google Scholar] [CrossRef] [PubMed]
- Ordonez, N.G. Mesothelioma with signet-ring cell features: Report of 23 cases. Mod. Pathol. 2013, 26, 370–384. [Google Scholar] [CrossRef] [PubMed] [Green Version]
- Hung, Y.P.; Dong, F.; Watkins, J.C.; Nardi, V.; Bueno, R.; Cin, P.D.; Godleski, J.J.; Crum, C.P.; Chirieac, L.R. Identification of ALK Rear-rangements in Malignant Peritoneal Mesothelioma. JAMA Oncol. 2018, 4, 235–238. [Google Scholar] [CrossRef] [PubMed]


Publisher’s Note: MDPI stays neutral with regard to jurisdictional claims in published maps and institutional affiliations. |
© 2022 by the authors. Licensee MDPI, Basel, Switzerland. This article is an open access article distributed under the terms and conditions of the Creative Commons Attribution (CC BY) license (https://creativecommons.org/licenses/by/4.0/).
Share and Cite
Bono, F.; Ceola, S.; Beretta, C.; Jaconi, M. Unusual Histology in Mesothelioma: A Report of Two Cases with a Brief Review. Diagnostics 2022, 12, 371. https://doi.org/10.3390/diagnostics12020371
Bono F, Ceola S, Beretta C, Jaconi M. Unusual Histology in Mesothelioma: A Report of Two Cases with a Brief Review. Diagnostics. 2022; 12(2):371. https://doi.org/10.3390/diagnostics12020371
Chicago/Turabian StyleBono, Francesca, Stefano Ceola, Carlo Beretta, and Marta Jaconi. 2022. "Unusual Histology in Mesothelioma: A Report of Two Cases with a Brief Review" Diagnostics 12, no. 2: 371. https://doi.org/10.3390/diagnostics12020371
APA StyleBono, F., Ceola, S., Beretta, C., & Jaconi, M. (2022). Unusual Histology in Mesothelioma: A Report of Two Cases with a Brief Review. Diagnostics, 12(2), 371. https://doi.org/10.3390/diagnostics12020371

