Yolk Sac Tumor of the Omentum: A Case Report and Literature Review
Abstract
:1. Introduction
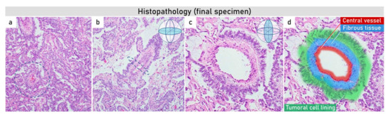
2. Case Presentation
3. Discussion
4. Conclusions
Supplementary Materials
Author Contributions
Funding
Institutional Review Board Statement
Informed Consent Statement
Data Availability Statement
Acknowledgments
Conflicts of Interest
References
- Ronchi, A.; Cozzolino, I.; Montella, M.; Panarese, I.; Zito Marino, F.; Rossetti, S.; Chieffi, P.; Accardo, M.; Facchini, G.; Franco, R. Extragonadal germ cell tumors: Not just a matter of location. A review about clinical, molecular and pathological features. Cancer Med. 2019, 8, 6832–6840. [Google Scholar] [CrossRef]
 - Shaaban, A.M.; Rezvani, M.; Elsayes, K.M.; Baskin, H., Jr.; Mourad, A.; Foster, B.R.; Jarboe, E.A.; Menias, C.O. Ovarian malignant germ cell tumors: Cellular classification and clinical and imaging features. Radiographics 2014, 34, 777–801. [Google Scholar] [CrossRef] [PubMed]
 - Göbel, U.; Schneider, D.T.; Calaminus, G.; Haas, R.J.; Schmidt, P.; Harms, D. Germ-cell tumors in childhood and adolescence. GPOH MAKEI and the MAHO study groups. Ann. Oncol. 2000, 11, 263–271. [Google Scholar] [CrossRef] [PubMed]
 - Chen, L.H.; Yip, K.-C.; Wu, H.-J.; Yong, S.-B. Yolk Sac Tumor in an Eight-Year-Old Girl: A Case Report and Literature Review. Front. Pediatrics 2019, 7, 169. [Google Scholar] [CrossRef]
 - Goff, B.A.; Mandel, L.S.; Drescher, C.W.; Urban, N.; Gough, S.; Schurman, K.M.; Patras, J.; Mahony, B.S.; Andersen, M.R. Development of an ovarian cancer symptom index: Possibilities for earlier detection. Cancer 2007, 109, 221–227. [Google Scholar] [CrossRef]
 - Andersen, M.R.; Goff, B.A.; Lowe, K.A.; Scholler, N.; Bergan, L.; Dresher, C.W.; Paley, P.; Urban, N. Combining a symptoms index with CA 125 to improve detection of ovarian cancer. Cancer 2008, 113, 484–489. [Google Scholar] [CrossRef] [PubMed] [Green Version]
 - Prat, J. Staging classification for cancer of the ovary, fallopian tube, and peritoneum. Int. J. Gynaecol. Obstet. Off. Organ Int. Fed. Gynaecol. Obstet. 2014, 124, 1–5. [Google Scholar] [CrossRef] [PubMed]
 - Nogales, F.F.; Preda, O.; Nicolae, A. Yolk sac tumours revisited. A review of their many faces and names. Histopathology 2012, 60, 1023–1033. [Google Scholar] [CrossRef]
 - Ray-Coquard, I.; Morice, P.; Lorusso, D.; Prat, J.; Oaknin, A.; Pautier, P.; Colombo, N. Non-epithelial ovarian cancer: ESMO Clinical Practice Guidelines for diagnosis, treatment and follow-up. Ann. Oncol. 2018, 29 (Suppl. 4), iv1–iv18. [Google Scholar] [CrossRef] [PubMed]
 - Kattuoa, M.L.; Kumar, A. Yolk Sac Tumors. In StatPearls; StatPearls Publishing LLC.: Treasure Island, FL, USA, 2021. [Google Scholar]
 - McNamee, T.; Damato, S.; McCluggage, W.G. Yolk sac tumours of the female genital tract in older adults derive commonly from somatic epithelial neoplasms: Somatically derived yolk sac tumours. Histopathology 2016, 69, 739–751. [Google Scholar] [CrossRef]
 - Ravishankar, S.; Malpica, A.; Ramalingam, P.; Euscher, E.D. Yolk Sac Tumor in Extragonadal Pelvic Sites: Still a Diagnostic Challenge. Am. J. Surg. Pathol. 2017, 41, 1–11. [Google Scholar] [CrossRef] [PubMed]
 - Tamura, D.; Maeda, D.; Sato, T.; Sugawara, T.; Shirasawa, H.; Shimizu, D.; Sato, N.; Goto, A.; Terada, Y. An extragonadal yolk sac tumor presumed to be of postmeiotic germ cell origin by genetic zygosity analysis via single nucleotide polymorphism array. Genes Chromosomes Cancer 2020, 59, 209–213. [Google Scholar] [CrossRef] [PubMed]
 - Anfelter, P.; Testa, A.; Chiappa, V.; Froyman, W.; Fruscio, R.; Guerriero, S.; Alcazar, J.L.; Mascillini, F.; Pascual, M.A.; Sibal, M.; et al. Imaging in gynecological disease (17): Ultrasound features of malignant ovarian yolk sac tumors (endodermal sinus tumors). Ultrasound Obstet. Gynecol. 2020, 56, 276–284. [Google Scholar] [CrossRef] [PubMed] [Green Version]
 - Yamaoka, T.; Togashi, K.; Koyama, T.; Ueda, H.; Nakai, A.; Fujii, S.; Yamabe, H.; Konishi, J. Yolk sac tumor of the ovary: Radiologic-pathologic correlation in four cases. J. Comput. Assist. Tomogr. 2000, 24, 605–609. [Google Scholar] [CrossRef] [PubMed]
 - Rudaitis, V.; Mickys, U.; Katinaitė, J.; Dulko, J. Successful treatment of advanced stage yolk sac tumour of extragonadal origin: A case report and review of literature. Acta Med. Litu. 2016, 23, 110–116. [Google Scholar] [CrossRef]
 - Pectasides, D.; Skarlos, D.; Dimopoulos, A.M.; Farmakis, D.; Pectasides, M.; Fountzilas, G.; Aravantinos, G. Two cycles of carboplatin-based adjuvant chemotherapy for high-risk clinical stage I and stage IM non-seminomatous germ cell tumours of the testis: A HECOG trial. Anticancer Res. 2003, 23, 4239–4244. [Google Scholar]
 - Armstrong, D.K.; Alvarez, R.D.; Bakkum-Gamez, J.N.; Barroilhet, L.; Behbakht, K.; Berchuck, A.; Chen, L.M.; Cristea, M.; DeRosa, M.; Eisenhauer, E.L.; et al. Ovarian Cancer, Version 2.2020, NCCN Clinical Practice Guidelines in Oncology. J. Natl. Compr. Cancer Netw. 2021, 19, 191–226. [Google Scholar] [CrossRef] [PubMed]
 - International Germ Cell Consensus Classification; International Germ Cell Cancer Collaborative Group. A prognostic factor-based staging system for metastatic germ cell cancers. J. Clin. Oncol. 1997, 15, 594–603. [Google Scholar] [CrossRef]
 - Stang, A.; Trabert, B.; Wentzensen, N.; Cook, M.B.; Rusner, C.; Oosterhuis, J.W.; McGlynn, K.A. Gonadal and extragonadal germ cell tumours in the United States, 1973–2007. Int. J. Androl. 2012, 35, 616–625. [Google Scholar] [CrossRef]
 - Singh, M.; Arya, M.; Anand, S.; Sandar, N. Gastric adenocarcinoma with features of endodermal sinus tumor. World J. Gastroenterol. 2007, 13, 4781–4783. [Google Scholar] [CrossRef]
 - McKenney, J.K.; Heerema-McKenney, A.; Rouse, R.V. Extragonadal germ cell tumors: A review with emphasis on pathologic features, clinical prognostic variables, and differential diagnostic considerations. Adv. Anat. Pathol. 2007, 14, 69–92. [Google Scholar] [CrossRef] [PubMed]
 - Azzopardi, J.G.; Mostofi, F.K.; Theiss, E.A. Lesions of testes observed in certain patients with widespread choriocarcinoma and related tumors. The significance and genesis of hematoxylin-staining bodies in the human testis. Am. J. Pathol. 1961, 38, 207–225. [Google Scholar] [PubMed]
 - Sadler, T.W.L.J. Langman’s Medical Embryology; Lippincott William & Wilkins: Philadelphia, PA, USA, 2010. [Google Scholar]
 - Park, N.H.; Ryu, S.Y.; Park, I.A.; Kang, S.B.; Lee, H.P. Primary endodermal sinus tumor of the omentum. Gynecol. Oncol. 1999, 72, 427–430. [Google Scholar] [CrossRef] [PubMed]
 - Xinghui, Y.; Jing, H.; Mingju, L.; Weizhong, G. Endodermal sinus tumour of the omentum in a child. Pediatr. Radiol. 2004, 34, 985–987. [Google Scholar] [CrossRef]
 - Geminiani, M.L.; Panetta, A.; Pajetta, V.; Bacci, F.; Negri, L.; Maccaferri, R.; Virzì, S.; Ventrucci, M. Endodermal sinus tumor of the omentum: Case report. Tumori 2005, 91, 563–566. [Google Scholar] [CrossRef]
 - Kim, S.W.; Park, J.H.; Lim, M.C.; Park, J.Y.; Yoo, C.W.; Park, S.Y. Primary yolk sac tumor of the omentum: A case report and review of the literature. Arch. Gynecol. Obstet. 2009, 279, 189–192. [Google Scholar] [CrossRef]
 - Haibin, Z.; Yue, J.; Yaxian, X. Primary yolk sac tumor of the omentum: A case report and literature review. Eur. J. Gynaecol. Oncol. 2010, 31, 682–684. [Google Scholar]
 - Harano, K.; Ando, M.; Sasajima, Y.; Yunokawa, M.; Yonemori, K.; Shimizu, C.; Tamura, K.; Katsumata, N.; Tsuda, H.; Fujiwara, Y. Primary yolk sac tumor of the omentum: A case report and literature review. Case Rep. Oncol. 2012, 5, 671–675. [Google Scholar] [CrossRef]
 - Lim, S.H.; Kim, Y.H.; Yim, G.W.; Nam, E.J.; Kim, Y.T.; Kim, S. Primary omental yolk sac tumor. Obstet. Gynecol. Sci. 2013, 56, 412–415. [Google Scholar] [CrossRef] [Green Version]
 - Lin, Y.X.; Jia, Q.B.; Fu, Y.Y.; Cheng, N.S. An unusual primary omental tumor: Mixed germ cell tumor. Dig. Liver Dis. 2018, 50, 413. [Google Scholar] [CrossRef]
 - Hubbard, A.K.; Poynter, J.N. Global incidence comparisons and trends in ovarian germ cell tumors by geographic region in girls, adolescents and young women: 1988–2012. Gynecol. Oncol. 2019, 154, 608–615. [Google Scholar] [CrossRef] [PubMed]
 - Fischerova, D.; Cornelli, B.; Crnobrnja, B.; Frühauf, F.; Kocian, R.; Indrova, D.; Němejcová, K.; Dostalkova, I.; Cibula, D. P54 Comparison of clinical and ultrasound characteristics in low and high grade serous cancer. Int. J. Gynecol. Cancer 2019, 29, A88–A89. [Google Scholar]
 - Hanbidge, A.E.; Lynch, D.; Wilson, S.R. US of the peritoneum. Radiographics 2003, 23, 663–684, discussion 684–665. [Google Scholar] [CrossRef] [PubMed]
 - Fischerova, D.; Cibula, D.; Dundr, P.; Zikan, M.; Calda, P.; Freitag, P.; Slama, J. Ultrasound-guided tru-cut biopsy in the management of advanced abdomino-pelvic tumors. Int. J. Gynecol. Cancer 2008, 18, 833–837. [Google Scholar] [CrossRef] [PubMed]
 - Zikan, M.; Fischerova, D.; Pinkavova, I.; Dundr, P.; Cibula, D. Ultrasound-guided tru-cut biopsy of abdominal and pelvic tumors in gynecology. Ultrasound Obstet. Gynecol. 2010, 36, 767–772. [Google Scholar] [CrossRef]
 - Epstein, E.; Van Calster, B.; Timmerman, D.; Nikman, S. Subjective ultrasound assessment, the ADNEX model and ultrasound-guided tru-cut biopsy to differentiate disseminated primary ovarian cancer from metastatic non-ovarian cancer. Ultrasound Obstet. Gynecol. 2016, 47, 110–116. [Google Scholar] [CrossRef] [Green Version]
 




| Author | Symptoms | Age at  Diagnosis (Gender)  | Occurrence | Level of α-FP (ng/mL) | Preoperative Biopsy | Surgery | Chemotherapy | Follow-Up | Year of Publication | 
|---|---|---|---|---|---|---|---|---|---|
| Park et al. [25] | Abdominal distension | 45  (female)  | Asia  (Korea)  | 20,250  (preoperatively)  | No | Total abdominal hysterectomy, bilateral salpingo-oophorectomy, infracolic omentectomy | Adjuvant BEP (4×) | CR  (10 months)  | 1999 | 
| Xinghui et al. [26] | Abdominal distension | 3  (male)  | Asia  (China)  | >1210  (preoperatively)  | Yes | Omentectomy | Neoadjuvant CT * | Not  available  | 2004 | 
| Geminiani et al. [27] | Abdominal pain | 46  (female)  | Europe  (Italy)  | 21,550  (preoperatively)  | No | Hysterectomy, bilateral salpingo-oophorectomy, omentectomy, resection of bowel with terminal ileostomy. | Adjuvant BEP (4×) | CR  (24 months)  | 2005 | 
| Kim et al. [28] | Lower abdominal pain and distension | 37  (female)  | Asia  (Korea)  | 2980  (postoperatively)  | No | Supracolic omentectomy, total abdominal hysterectomy, bilateral salpingo-oophorectomy, multiple peritoneal biopsies, cytology, pelvic and paraaortic lymph node dissection, appendectomy | Adjuvant BEP (4×) | CR  (12 months)  | 2009 | 
| Haibin et al. [29] | Abdominal distension | 44  (female)  | Asia (China) | 27,612  (preoperatively)  | No | Abdominal hysterectomy with bilateral salpingo-oophorectomy and infracolic omentectomy | Adjuvant BEP (4×) | CR  (7 months)  | 2010 | 
| Harano et al. [30] | Abdominal distension. | 35  (male)  | Asia (Japan) | 7144  (preoperatively)  | Yes | Neoadjuvant CT (BEP) for 4 cycles + surgery (omentectomy) | Neoadjuvant BEP (4×) | CR  (6 months)  | 2012 | 
| Lim et al. [31] | Abdominal distension | 32  (female)  | Asia  (Korea)  | 11,577  (postoperatively)  | No | Surgery (total abdominal hysterectomy with bilateral salpingo-oophorectomy, bilateral pelvic lymph nodes dissection, paraaortic lymph nodes sampling, total omentectomy, appendectomy) | Adjuvant BEP (6×) | CR  (48 months)  | 2013 | 
| Lin et al. [32] | Abdominal discomfort | 58  (female)  | Asia  (China)  | 2865  (preoperatively)  | No | Omentectomy | Adjuvant BEP (4×) | CR  (18 months)  | 2018 | 
| Fischerova et al. Current report | Abdominal bloating, nausea and vomiting, shortness of breath | 37  (female)  | Europe (Czech Republic) | 496  (postoperatively)  | Yes | Total abdominal hysterectomy with bilateral salpingo-ophorectomy was performed with pelvic peritonectomy, total omentectomy, partial diaphragmatic stripping and extirpation of abdominal peritoneum | Adjuvant BEP (4×) | CR  (12 months)  | 2022 | 
Publisher’s Note: MDPI stays neutral with regard to jurisdictional claims in published maps and institutional affiliations.  | 
© 2022 by the authors. Licensee MDPI, Basel, Switzerland. This article is an open access article distributed under the terms and conditions of the Creative Commons Attribution (CC BY) license (https://creativecommons.org/licenses/by/4.0/).
Share and Cite
Fischerova, D.; Indrielle-Kelly, T.; Burgetova, A.; Bennett, R.J.; Gregova, M.; Dundr, P.; Nanka, O.; Gambino, G.; Frühauf, F.; Kocian, R.; et al. Yolk Sac Tumor of the Omentum: A Case Report and Literature Review. Diagnostics 2022, 12, 304. https://doi.org/10.3390/diagnostics12020304
Fischerova D, Indrielle-Kelly T, Burgetova A, Bennett RJ, Gregova M, Dundr P, Nanka O, Gambino G, Frühauf F, Kocian R, et al. Yolk Sac Tumor of the Omentum: A Case Report and Literature Review. Diagnostics. 2022; 12(2):304. https://doi.org/10.3390/diagnostics12020304
Chicago/Turabian StyleFischerova, Daniela, Tereza Indrielle-Kelly, Andrea Burgetova, Rosalie Jana Bennett, Maria Gregova, Pavel Dundr, Ondrej Nanka, Giulia Gambino, Filip Frühauf, Roman Kocian, and et al. 2022. "Yolk Sac Tumor of the Omentum: A Case Report and Literature Review" Diagnostics 12, no. 2: 304. https://doi.org/10.3390/diagnostics12020304
APA StyleFischerova, D., Indrielle-Kelly, T., Burgetova, A., Bennett, R. J., Gregova, M., Dundr, P., Nanka, O., Gambino, G., Frühauf, F., Kocian, R., Borcinova, M., & Cibula, D. (2022). Yolk Sac Tumor of the Omentum: A Case Report and Literature Review. Diagnostics, 12(2), 304. https://doi.org/10.3390/diagnostics12020304
        
                                                
