Noninvasive Follicular Thyroid Neoplasm with Papillary-like Nuclear Features (NIFTP): Tumour Entity with a Short History. A Review on Challenges in Our Microscopes, Molecular and Ultrasonographic Profile
Abstract
:1. NIFTP: Historical Overview
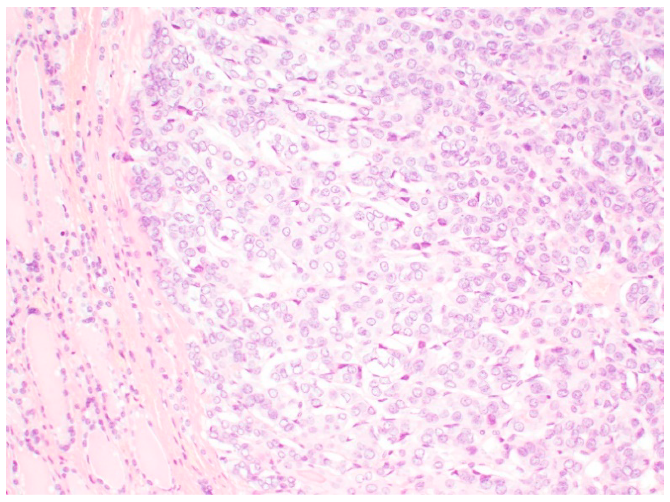
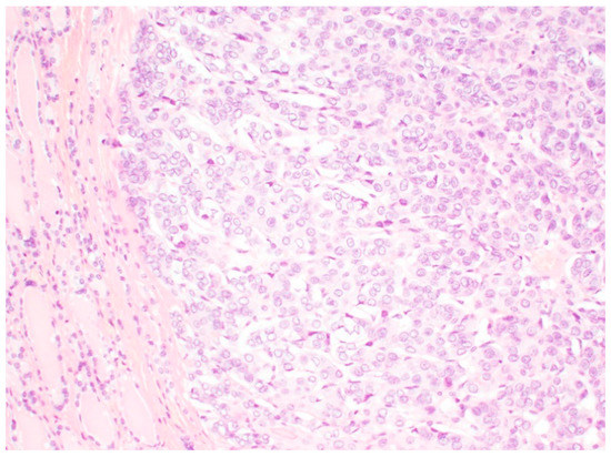
2. NIFTP: Histopathology
3. NIFTP: Epidemiology
4. NIFTP: Molecular Studies
5. NIFTP: Ultrasonographic Studies
6. NIFTP: Cytopathology and Summary of Cytological Studies
7. NIFTP: Bethesda Categories and ROM
8. NIFTP: Prognosis and Clinical Work-Up
9. Conclusions
Author Contributions
Funding
Institutional Review Board Statement
Informed Consent Statement
Data Availability Statement
Conflicts of Interest
References
- Tallini, G.; Tuttle, R.M.; Ghossein, R.A. The History of the Follicular Variant of Papillary Thyroid Carcinoma. J. Clin. Endocrinol. Metab. 2017, 102, 15–22. [Google Scholar] [CrossRef] [Green Version]
- Lindsay, S. Natural history of thyroid carcinoma. Ariz. Med. 1960, 17, 623–627. [Google Scholar] [PubMed]
- Chem, K.T.; Rosai, J. Follicular variant of thyroid papillary carcinoma: A clinicopathologic study of six cases. Am. J. Surg. Pathol. 1977, 1, 123–130. [Google Scholar] [CrossRef]
- Williams, E.D. Guest Editorial: Two Proposals Regarding the Terminology of Thyroid Tumors. Int. J. Surg. Pathol. 2000, 8, 181–183. [Google Scholar] [CrossRef] [PubMed]
- Nikiforov, Y.E.; Seethala, R.R.; Tallini, G.; Baloch, Z.W.; Basolo, F.; Thompson, L.D.; Barletta, J.A.; Wenig, B.M.; Al Ghuzlan, A.; Kakudo, K.; et al. Nomenclature Revision for Encapsulated Follicular Variant of Papillary Thyroid Carcinoma: A Paradigm Shift to Reduce Overtreatment of Indolent Tumors. JAMA Oncol. 2016, 2, 1023–1029. [Google Scholar] [CrossRef] [Green Version]
- Lloyd, R.V.; Osamura, R.Y.; Klöppel, G.; Rosai, J. WHO Classification of Tumours of Endocrine Organs; International Agency for Research on Cancer: Lyon, France, 2017. [Google Scholar]
- Haugen, B.R.; Sawka, A.M.; Alexander, E.K.; Bible, K.C.; Caturegli, P.; Doherty, G.M.; Mandel, S.J.; Morris, J.C.; Nassar, A.; Pacini, F.; et al. American Thyroid Association Guidelines on the Management of Thyroid Nodules and Differentiated Thyroid Cancer Task Force Review and Recommendation on the Proposed Renaming of Encapsulated Follicular Variant Papillary Thyroid Carcinoma Without Invasion to Noninvasive Follicular Thyroid Neoplasm with Papillary-Like Nuclear Features. Thyroid 2017, 27, 481–483. [Google Scholar] [CrossRef]
- Hodak, S.; Tuttle, R.M.; Maytal, G.; Nikiforov, Y.E.; Randolph, G. Changing the Cancer Diagnosis: The Case of Follicular Variant of Papillary Thyroid Cancer-Primum Non Nocere and NIFTP. Thyroid 2016, 26, 869–871. [Google Scholar] [CrossRef]
- Parente, D.N.; Kluijfhout, W.P.; Bongers, P.J.; Verzijl, R.; Devon, K.M.; Rotstein, L.E.; Goldstein, D.P.; Asa, S.L.; Mete, O.; Pasternak, J.D. Clinical Safety of Renaming Encapsulated Follicular Variant of Papillary Thyroid Carcinoma: Is NIFTP Truly Benign? World J. Surg. 2018, 42, 321–326. [Google Scholar] [CrossRef]
- Kim, T.H.; Lee, M.; Kwon, A.Y.; Choe, J.H.; Kim, J.H.; Kim, J.S.; Hahn, S.Y.; Shin, J.H.; Chung, M.K.; Son, Y.I.; et al. Molecular genotyping of the non-invasive encapsulated follicular variant of papillary thyroid carcinoma. Histopathology 2018, 72, 648–661. [Google Scholar] [CrossRef]
- Cho, U.; Mete, O.; Kim, M.H.; Bae, J.S.; Jung, C.K. Molecular correlates and rate of lymph node metastasis of non-invasive follicular thyroid neoplasm with papillary-like nuclear features and invasive follicular variant papillary thyroid carcinoma: The impact of rigid criteria to distinguish non-invasive follicular thyroid neoplasm with papillary-like nuclear features. Mod. Pathol. 2017, 30, 810–825. [Google Scholar] [CrossRef] [PubMed]
- Nikiforov, Y.E.; Baloch, Z.W.; Hodak, S.P.; Giordano, T.J.; Lloyd, R.V.; Seethala, R.R.; Wenig, B.M. Change in Diagnostic Criteria for Noninvasive Follicular Thyroid Neoplasm With Papillarylike Nuclear Features. JAMA Oncol. 2018, 4, 1125–1126. [Google Scholar] [CrossRef]
- Alves, V.A.F.; Kakudo, K.; LiVolsi, V.; Lloyd, R.V.; Nikiforov, Y.E.; Nose, V.; Papotti, M.; Thompson, L.D.R. Noninvasive Follicular Thyroid Neoplasm With Papillary-Like Nuclear Features (NIFTP): Achieving Better Agreement By Refining Diagnostic Criteria. Clinics 2018, 73, e576. [Google Scholar] [CrossRef]
- LiVolsi, V.A.; Baloch, Z. Noninvasive Follicular Tumor with Papillary-like Nuclear Features: A Practice Changer in Thyroid Pathology. Arch. Pathol. Lab. Med. 2021, 145, 659–663. [Google Scholar] [CrossRef] [Green Version]
- Seethala, R.R.; Baloch, Z.W.; Barletta, J.A.; Khanafshar, E.; Mete, O.; Sadow, P.M.; LiVolsi, V.A.; Nikiforov, Y.E.; Tallini, G.; Thompson, L.D. Noninvasive follicular thyroid neoplasm with papillary-like nuclear features: A review for pathologists. Mod. Pathol. 2018, 31, 39–55. [Google Scholar] [CrossRef] [PubMed] [Green Version]
- Fakhar, Y.; Khooei, A.; Aghaee, A.; Mohammadzadeh Kosari, H.; Wartofsky, L.; Zakavi, S.R. Bone metastasis from noninvasive follicular thyroid neoplasm with papillary-like nuclear features (NIFTP); a case report. BMC Endocr. Disord. 2021, 21, 221. [Google Scholar] [CrossRef]
- Rosario, P.W.; Mourao, G.F. Noninvasive follicular thyroid neoplasm with papillary-like nuclear features (NIFTP): A review for clinicians. Endocr.-Relat. Cancer 2019, 26, R259–R266. [Google Scholar] [CrossRef] [PubMed]
- Rana, C.; Vuong, H.G.; Nguyen, T.Q.; Nguyen, H.C.; Jung, C.K.; Kakudo, K.; Bychkov, A. The Incidence of Noninvasive Follicular Thyroid Neoplasm with Papillary-Like Nuclear Features: A Meta-Analysis Assessing Worldwide Impact of the Reclassification. Thyroid 2021, 31, 1502–1513. [Google Scholar] [CrossRef]
- Liu, Z.; Bychkov, A.; Jung, C.K.; Hirokawa, M.; Sui, S.; Hong, S.; Lai, C.R.; Jain, D.; Canberk, S.; Kakudo, K. Interobserver and intraobserver variation in the morphological evaluation of noninvasive follicular thyroid neoplasm with papillary-like nuclear features in Asian practice. Pathol. Int. 2019, 69, 202–210. [Google Scholar] [CrossRef] [PubMed]
- Lloyd, R.V.; Erickson, L.A.; Casey, M.B.; Lam, K.Y.; Lohse, C.M.; Asa, S.L.; Chan, J.K.; DeLellis, R.A.; Harach, H.R.; Kakudo, K.; et al. Observer variation in the diagnosis of follicular variant of papillary thyroid carcinoma. Am. J. Surg. Pathol. 2004, 28, 1336–1340. [Google Scholar] [CrossRef]
- Elsheikh, T.M.; Asa, S.L.; Chan, J.K.; DeLellis, R.A.; Heffess, C.S.; LiVolsi, V.A.; Wenig, B.M. Interobserver and intraobserver variation among experts in the diagnosis of thyroid follicular lesions with borderline nuclear features of papillary carcinoma. Am. J. Clin. Pathol. 2008, 130, 736–744. [Google Scholar] [CrossRef]
- Jung, C.K.; Bychkov, A.; Song, D.E.; Kim, J.H.; Zhu, Y.; Liu, Z.; Keelawat, S.; Lai, C.R.; Hirokawa, M.; Kameyama, K.; et al. Molecular Correlates and Nuclear Features of Encapsulated Follicular-Patterned Thyroid Neoplasms. Endocrinol. Metab. 2021, 36, 123–133. [Google Scholar] [CrossRef]
- Bychkov, A.; Jung, C.K.; Liu, Z.; Kakudo, K. Noninvasive Follicular Thyroid Neoplasm with Papillary-Like Nuclear Features in Asian Practice: Perspectives for Surgical Pathology and Cytopathology. Endocr. Pathol. 2018, 29, 276–288. [Google Scholar] [CrossRef] [Green Version]
- Ruanpeng, D.; Cheungpasitporn, W.; Thongprayoon, C.; Hennessey, J.V.; Shrestha, R.T. Systematic Review and Meta-analysis of the Impact of Noninvasive Follicular Thyroid Neoplasm with Papillary-Like Nuclear Features (NIFTP) on Cytological Diagnosis and Thyroid Cancer Prevalence. Endocr. Pathol. 2019, 30, 189–200. [Google Scholar] [CrossRef]
- Cancer Genome Atlas Research, N. Integrated genomic characterization of papillary thyroid carcinoma. Cell 2014, 159, 676–690. [Google Scholar] [CrossRef] [Green Version]
- Song, Y.S.; Park, Y.J. Mechanisms of TERT Reactivation and Its Interaction with BRAFV600E. Endocrinol. Metab. 2020, 35, 515–525. [Google Scholar] [CrossRef] [PubMed]
- Lee, S.E.; Hwang, T.S.; Choi, Y.L.; Kim, W.Y.; Han, H.S.; Lim, S.D.; Kim, W.S.; Yoo, Y.B.; Kim, S.K. Molecular Profiling of Papillary Thyroid Carcinoma in Korea with a High Prevalence of BRAF(V600E) Mutation. Thyroid 2017, 27, 802–810. [Google Scholar] [CrossRef]
- Brandler, T.C.; Zhou, F.; Liu, C.Z.; Cho, M.; Lau, R.P.; Simsir, A.; Patel, K.N.; Sun, W. Can noninvasive follicular thyroid neoplasm with papillary-like nuclear features be distinguished from classic papillary thyroid carcinoma and follicular adenomas by fine-needle aspiration? Cancer Cytopathol. 2017, 125, 378–388. [Google Scholar] [CrossRef] [PubMed]
- Strickland, K.C.; Eszlinger, M.; Paschke, R.; Angell, T.E.; Alexander, E.K.; Marqusee, E.; Nehs, M.A.; Jo, V.Y.; Lowe, A.; Vivero, M.; et al. Molecular Testing of Nodules with a Suspicious or Malignant Cytologic Diagnosis in the Setting of Non-Invasive Follicular Thyroid Neoplasm with Papillary-Like Nuclear Features (NIFTP). Endocr. Pathol. 2018, 29, 68–74. [Google Scholar] [CrossRef] [PubMed]
- Zhao, L.; Dias-Santagata, D.; Sadow, P.M.; Faquin, W.C. Cytological, molecular, and clinical features of noninvasive follicular thyroid neoplasm with papillary-like nuclear features versus invasive forms of follicular variant of papillary thyroid carcinoma. Cancer Cytopathol. 2017, 125, 323–331. [Google Scholar] [CrossRef] [PubMed] [Green Version]
- Paulson, V.A.; Shivdasani, P.; Angell, T.E.; Cibas, E.S.; Krane, J.F.; Lindeman, N.I.; Alexander, E.K.; Barletta, J.A. Noninvasive Follicular Thyroid Neoplasm with Papillary-Like Nuclear Features Accounts for More Than Half of “Carcinomas” Harboring RAS Mutations. Thyroid 2017, 27, 506–511. [Google Scholar] [CrossRef]
- Pusztaszeri, M.; Bongiovanni, M. The impact of non-invasive follicular thyroid neoplasm with papillary-like nuclear features (NIFTP) on the diagnosis of thyroid nodules. Gland Surg. 2019, 8, S86–S97. [Google Scholar] [CrossRef] [PubMed]
- Pool, C.; Walter, V.; Bann, D.; Goldenberg, D.; Broach, J.; Hennessy, M.; Cottrill, E.; Washburn, E.; Williams, N.; Crist, H.; et al. Molecular characterization of tumors meeting diagnostic criteria for the non-invasive follicular thyroid neoplasm with papillary-like nuclear features (NIFTP). Virchows Arch. 2019, 474, 341–351. [Google Scholar] [CrossRef] [PubMed]
- Zajkowska, K.; Kopczynski, J.; Gozdz, S.; Kowalska, A. Noninvasive follicular thyroid neoplasm with papillary-like nuclear features: A problematic entity. Endocr. Connect. 2020, 9, R47–R58. [Google Scholar] [CrossRef] [PubMed] [Green Version]
- Brandler, T.C.; Yee, J.; Zhou, F.; Cho, M.; Cangiarella, J.; Wei, X.J.; Yee-Chang, M.; Sun, W. Does noninvasive follicular thyroid neoplasm with papillary-like nuclear features have distinctive features on sonography? Diagn. Cytopathol. 2018, 46, 139–147. [Google Scholar] [CrossRef]
- Afkhami, M.; Karunamurthy, A.; Chiosea, S.; Nikiforova, M.N.; Seethala, R.; Nikiforov, Y.E.; Coyne, C. Histopathologic and Clinical Characterization of Thyroid Tumors Carrying the BRAF(K601E) Mutation. Thyroid 2016, 26, 242–247. [Google Scholar] [CrossRef]
- Johnson, D.N.; Furtado, L.V.; Long, B.C.; Zhen, C.J.; Wurst, M.; Mujacic, I.; Kadri, S.; Segal, J.P.; Antic, T.; Cipriani, N.A. Noninvasive Follicular Thyroid Neoplasms with Papillary-like Nuclear Features Are Genetically and Biologically Similar to Adenomatous Nodules and Distinct From Papillary Thyroid Carcinomas with Extensive Follicular Growth. Arch. Pathol. Lab. Med. 2018, 142, 838–850. [Google Scholar] [CrossRef]
- Geramizadeh, B.; Maleki, Z. Non-invasive follicular thyroid neoplasm with papillary-like nuclearfeatures (NIFTP): A review and update. Endocrine 2019, 64, 433–440. [Google Scholar] [CrossRef] [PubMed]
- Kim, M.J.; Won, J.K.; Jung, K.C.; Kim, J.H.; Cho, S.W.; Park, D.J.; Park, Y.J. Clinical Characteristics of Subtypes of Follicular Variant Papillary Thyroid Carcinoma. Thyroid 2018, 28, 311–318. [Google Scholar] [CrossRef]
- Song, Y.S.; Won, J.K.; Yoo, S.K.; Jung, K.C.; Kim, M.J.; Kim, S.J.; Cho, S.W.; Lee, K.E.; Yi, K.H.; Seo, J.S.; et al. Comprehensive Transcriptomic and Genomic Profiling of Subtypes of Follicular Variant of Papillary Thyroid Carcinoma. Thyroid 2018, 28, 1468–1478. [Google Scholar] [CrossRef]
- Melo, M.; da Rocha, A.G.; Vinagre, J.; Batista, R.; Peixoto, J.; Tavares, C.; Celestino, R.; Almeida, A.; Salgado, C.; Eloy, C.; et al. TERT promoter mutations are a major indicator of poor outcome in differentiated thyroid carcinomas. J. Clin. Endocrinol. Metab. 2014, 99, E754–E765. [Google Scholar] [CrossRef] [Green Version]
- Kuchareczko, A.; Kopczynski, J.; Kowalik, A.; Hincza, K.; Plusa, A.; Gozdz, S.; Kowalska, A. Are molecular tests necessary to diagnose NIFTP? Genes Cancer 2021, 12, 39–50. [Google Scholar] [CrossRef] [PubMed]
- Sohn, S.Y.; Lee, J.J.; Lee, J.H. Molecular Profile and Clinicopathologic Features of Follicular Variant Papillary Thyroid Carcinoma. Pathol. Oncol. Res. 2020, 26, 927–936. [Google Scholar] [CrossRef] [PubMed]
- Amendoeira, I.; Maia, T.; Sobrinho-Simoes, M. Non-invasive follicular thyroid neoplasm with papillary-like nuclear features (NIFTP): Impact on the reclassification of thyroid nodules. Endocr.-Relat. Cancer 2018, 25, R247–R258. [Google Scholar] [CrossRef] [PubMed] [Green Version]
- Paniza, A.C.J.; Mendes, T.B.; Viana, M.D.B.; Thomaz, D.M.D.; Chiappini, P.B.O.; Colozza-Gama, G.A.; Lindsey, S.C.; de Carvalho, M.B.; Alves, V.A.F.; Curioni, O.; et al. Revised criteria for diagnosis of NIFTP reveals a better correlation with tumor biological behavior. Endocr. Connect. 2019, 8, 1529–1538. [Google Scholar] [CrossRef] [PubMed] [Green Version]
- Jahanbani, I.; Al-Abdallah, A.; Ali, R.H.; Al-Brahim, N.; Mojiminiyi, O. Discriminatory miRNAs for the Management of Papillary Thyroid Carcinoma and Noninvasive Follicular Thyroid Neoplasms with Papillary-Like Nuclear Features. Thyroid 2018, 28, 319–327. [Google Scholar] [CrossRef]
- Park, J.L.; Kim, S.K.; Jeon, S.; Jung, C.K.; Kim, Y.S. MicroRNA Profile for Diagnostic and Prognostic Biomarkers in Thyroid Cancer. Cancers 2021, 13, 632. [Google Scholar] [CrossRef] [PubMed]
- Borrelli, N.; Denaro, M.; Ugolini, C.; Poma, A.M.; Miccoli, M.; Vitti, P.; Miccoli, P.; Basolo, F. miRNA expression profiling of ‘noninvasive follicular thyroid neoplasms with papillary-like nuclear features’ compared with adenomas and infiltrative follicular variants of papillary thyroid carcinomas. Mod. Pathol. 2017, 30, 39–51. [Google Scholar] [CrossRef] [PubMed]
- Kalfert, D.; Ludvikova, M.; Pesta, M.; Ludvik, J.; Dostalova, L.; Kholova, I. Multifunctional Roles of miR-34a in Cancer: A Review with the Emphasis on Head and Neck Squamous Cell Carcinoma and Thyroid Cancer with Clinical Implications. Diagnostics 2020, 10, 563. [Google Scholar] [CrossRef] [PubMed]
- Ludvikova, M.; Kalfert, D.; Kholova, I. Pathobiology of MicroRNAs and Their Emerging Role in Thyroid Fine-Needle Aspiration. Acta Cytol. 2015, 59, 435–444. [Google Scholar] [CrossRef] [PubMed]
- Mahmoudian-Sani, M.R.; Jalali, A.; Jamshidi, M.; Moridi, H.; Alghasi, A.; Shojaeian, A.; Mobini, G.R. Long Non-Coding RNAs in Thyroid Cancer: Implications for Pathogenesis, Diagnosis, and Therapy. Oncol. Res. Treat. 2019, 42, 136–142. [Google Scholar] [CrossRef] [PubMed]
- Kwon, M.R.; Shin, J.H.; Hahn, S.Y.; Oh, Y.L.; Kwak, J.Y.; Lee, E.; Lim, Y. Histogram analysis of greyscale sonograms to differentiate between the subtypes of follicular variant of papillary thyroid cancer. Clin. Radiol. 2018, 73, 591.e1–591.e7. [Google Scholar] [CrossRef]
- Yang, G.C.H.; Fried, K.O. Pathologic basis of the sonographic differences between thyroid cancer and noninvasive follicular thyroid neoplasm with papillary-like nuclear features. Ultrasonography 2018, 37, 157–163. [Google Scholar] [CrossRef] [PubMed]
- Hoang, J.K.; Middleton, W.D.; Farjat, A.E.; Langer, J.E.; Reading, C.C.; Teefey, S.A.; Abinanti, N.; Boschini, F.J.; Bronner, A.J.; Dahiya, N.; et al. Reduction in Thyroid Nodule Biopsies and Improved Accuracy with American College of Radiology Thyroid Imaging Reporting and Data System. Radiology 2018, 287, 185–193. [Google Scholar] [CrossRef]
- Watkins, L.; O’Neill, G.; Young, D.; McArthur, C. Comparison of British Thyroid Association, American College of Radiology TIRADS and Artificial Intelligence TIRADS with histological correlation: Diagnostic performance for predicting thyroid malignancy and unnecessary fine needle aspiration rate. Br. J. Radiol. 2021, 94, 20201444. [Google Scholar] [CrossRef]
- Tessler, F.N.; Middleton, W.D.; Grant, E.G. Thyroid Imaging Reporting and Data System (TI-RADS): A User’s Guide. Radiology 2018, 287, 29–36. [Google Scholar] [CrossRef]
- Tessler, F.N.; Middleton, W.D.; Grant, E.G.; Hoang, J.K.; Berland, L.L.; Teefey, S.A.; Cronan, J.J.; Beland, M.D.; Desser, T.S.; Frates, M.C.; et al. ACR Thyroid Imaging, Reporting and Data System (TI-RADS): White Paper of the ACR TI-RADS Committee. J. Am. Coll. Radiol. 2017, 14, 587–595. [Google Scholar] [CrossRef] [Green Version]
- Shin, J.H.; Baek, J.H.; Chung, J.; Ha, E.J.; Kim, J.H.; Lee, Y.H.; Lim, H.K.; Moon, W.J.; Na, D.G.; Park, J.S.; et al. Ultrasonography Diagnosis and Imaging-Based Management of Thyroid Nodules: Revised Korean Society of Thyroid Radiology Consensus Statement and Recommendations. Korean J. Radiol. 2016, 17, 370–395. [Google Scholar] [CrossRef] [Green Version]
- Lauria Pantano, A.; Maddaloni, E.; Briganti, S.I.; Beretta Anguissola, G.; Perrella, E.; Taffon, C.; Palermo, A.; Pozzilli, P.; Manfrini, S.; Crescenzi, A. Differences between ATA, AACE/ACE/AME and ACR TI-RADS ultrasound classifications performance in identifying cytological high-risk thyroid nodules. Eur. J. Endocrinol. 2018, 178, 595–603. [Google Scholar] [CrossRef] [PubMed]
- Middleton, W.D.; Teefey, S.A.; Reading, C.C.; Langer, J.E.; Beland, M.D.; Szabunio, M.M.; Desser, T.S. Comparison of Performance Characteristics of American College of Radiology TI-RADS, Korean Society of Thyroid Radiology TIRADS, and American Thyroid Association Guidelines. AJR Am. J. Roentgenol. 2018, 210, 1148–1154. [Google Scholar] [CrossRef]
- Kwon, H.; Jeon, M.J.; Yoon, J.H.; Hong, S.J.; Lee, J.H.; Kim, T.Y.; Shong, Y.K.; Kim, W.B.; Kim, W.G.; Song, D.E. Preoperative clinicopathological characteristics of patients with solitary encapsulated follicular variants of papillary thyroid carcinomas. J. Surg. Oncol. 2017, 116, 746–755. [Google Scholar] [CrossRef]
- Yang, G.C.H.; Fried, K.O.; Scognamiglio, T. Sonographic and cytologic differences of NIFTP from infiltrative or invasive encapsulated follicular variant of papillary thyroid carcinoma: A Review of 179 Cases. Diagn. Cytopathol. 2017, 45, 533–541. [Google Scholar] [CrossRef] [PubMed]
- Yang, G.C.H.; Fried, K.O.; Scognamiglio, T. Can cytology and the Thyroid Imaging, Reporting, and Data System (TI-RADS) identify noninvasive follicular thyroid neoplasm with papillary-like nuclear features (NIFTP) before surgery? J. Am. Soc. Cytopathol. 2020, 9, 159–165. [Google Scholar] [CrossRef] [PubMed]
- Hahn, S.Y.; Shin, J.H.; Lim, H.K.; Jung, S.L.; Oh, Y.L.; Choi, I.H.; Jung, C.K. Preoperative differentiation between noninvasive follicular thyroid neoplasm with papillary-like nuclear features (NIFTP) and non-NIFTP. Clin. Endocrinol. 2017, 86, 444–450. [Google Scholar] [CrossRef]
- Lee, H.S.; Lee, J.W.; Park, J.H.; Kim, W.S.; Han, H.S.; Lee, S.E. Comprehensive analysis for diagnosis of preoperative non-invasive follicular thyroid neoplasm with papillary-like nuclear features. PLoS ONE 2019, 14, e0218046. [Google Scholar] [CrossRef] [PubMed]
- Hahn, S.Y.; Shin, J.H.; Oh, Y.L.; Kim, T.H.; Lim, Y.; Choi, J.S. Role of Ultrasound in Predicting Tumor Invasiveness in Follicular Variant of Papillary Thyroid Carcinoma. Thyroid 2017, 27, 1177–1184. [Google Scholar] [CrossRef]
- Boursier, L.; Clerc Urmes, I.; Garon, J.; Klein, M.; Demarquet, L. Ultrasound and cytological characteristics of non-invasive follicular thyroid neoplasm with papillary-like nuclear features compared to papillary carcinomas. Ann. Endocrinol. 2020, 81, 28–33. [Google Scholar] [CrossRef]
- Rosario, P.W. Is Doppler ultrasonography of value for the differentiation between noninvasive follicular thyroid neoplasm with papillary-like nuclear features (NIFTP) and invasive encapsulated follicular variant of papillary thyroid carcinoma? Clin. Endocrinol. 2018, 88, 506–507. [Google Scholar] [CrossRef] [PubMed]
- You, S.H.; Lee, K.E.; Yoo, R.E.; Choi, H.J.; Jung, K.C.; Won, J.K.; Kang, K.M.; Yoon, T.J.; Choi, S.H.; Sohn, C.H.; et al. Prevention of total thyroidectomy in noninvasive follicular thyroid neoplasm with papillary-like nuclear features (NIFTP) based on combined interpretation of ultrasonographic and cytopathologic results. Clin. Endocrinol. 2018, 88, 114–122. [Google Scholar] [CrossRef] [PubMed] [Green Version]
- Figge, J.J.; Gooding, W.E.; Steward, D.L.; Yip, L.; Sippel, R.S.; Yang, S.P.; Scheri, R.P.; Sipos, J.A.; Mandel, S.J.; Mayson, S.E.; et al. Do Ultrasound Patterns and Clinical Parameters Inform the Probability of Thyroid Cancer Predicted by Molecular Testing in Nodules with Indeterminate Cytology? Thyroid 2021, 31, 1673–1682. [Google Scholar] [CrossRef]
- Trimboli, P.; Castellana, M.; Virili, C.; Havre, R.F.; Bini, F.; Marinozzi, F.; D’Ambrosio, F.; Giorgino, F.; Giovanella, L.; Prosch, H.; et al. Performance of contrast-enhanced ultrasound (CEUS) in assessing thyroid nodules: A systematic review and meta-analysis using histological standard of reference. Radiol. Med. 2020, 125, 406–415. [Google Scholar] [CrossRef]
- Zhao, C.K.; Xu, H.X. Ultrasound elastography of the thyroid: Principles and current status. Ultrasonography 2019, 38, 106–124. [Google Scholar] [CrossRef]
- Garino, F.; Deandrea, M.; Motta, M.; Mormile, A.; Ragazzoni, F.; Palestini, N.; Freddi, M.; Gasparri, G.; Sgotto, E.; Pacchioni, D.; et al. Diagnostic performance of elastography in cytologically indeterminate thyroid nodules. Endocrine 2015, 49, 175–183. [Google Scholar] [CrossRef]
- Stoian, D.; Borcan, F.; Petre, I.; Mozos, I.; Varcus, F.; Ivan, V.; Cioca, A.; Apostol, A.; Dehelean, C.A. Strain Elastography as a Valuable Diagnosis Tool in Intermediate Cytology (Bethesda III) Thyroid Nodules. Diagnostics 2019, 9, 119. [Google Scholar] [CrossRef] [Green Version]
- Borlea, A.; Stoian, D.; Cotoi, L.; Sporea, I.; Lazar, F.; Mozos, I. Thyroid Multimodal Ultrasound Evaluation—Impact on Presurgical Diagnosis of Intermediate Cytology Cases. Appl. Sci. 2020, 10, 3439. [Google Scholar] [CrossRef]
- Mahajan, S.; Agarwal, S.; Kocheri, N.; Jain, D.; Mathur, S.R.; Iyer, V.K. Cytopathology of non-invasive follicular thyroid neoplasm with papillary-like nuclear features: A comparative study with similar patterned papillary thyroid carcinoma variants. Cytopathology 2018, 29, 233–240. [Google Scholar] [CrossRef]
- Maletta, F.; Massa, F.; Torregrossa, L.; Duregon, E.; Casadei, G.P.; Basolo, F.; Tallini, G.; Volante, M.; Nikiforov, Y.E.; Papotti, M. Cytological features of “noninvasive follicular thyroid neoplasm with papillary-like nuclear features” and their correlation with tumor histology. Hum. Pathol. 2016, 54, 134–142. [Google Scholar] [CrossRef]
- Chandler, J.B.; Colunga, M.; Prasad, M.L.; Callender, G.G.; Quinn, C.; Chhieng, D.; Adeniran, A.J. Identification of distinct cytomorphologic features in the diagnosis of NIFTP at the time of preoperative FNA: Implications for patient management. Cancer Cytopathol. 2017, 125, 865–875. [Google Scholar] [CrossRef]
- Diaz Del Arco, C.; Fernandez Acenero, M.J. Noninvasive Follicular Thyroid Neoplasm with Papillary-Like Nuclear Features: Can Cytology Face the Challenge of Diagnosis in the Light of the New Classification? Acta Cytol. 2018, 62, 265–272. [Google Scholar] [CrossRef]
- Hirokawa, M.; Higuchi, M.; Suzuki, A.; Hayashi, T.; Kuma, S.; Miyauchi, A. Noninvasive follicular thyroid neoplasm with papillary-like nuclear features: A single-institutional experience in Japan. Endocr. J. 2017, 64, 1149–1155. [Google Scholar] [CrossRef] [Green Version]
- Hirokawa, M.; Higuchi, M.; Suzuki, A.; Hayashi, T.; Kuma, S.; Miyauchi, A. Prevalence and diagnostic significance of noninvasive follicular thyroid neoplasm with papillary-like nuclear features among tumors previously diagnosed as follicular adenoma: A single-institutional study in Japan. Endocr. J. 2020, 67, 1071–1075. [Google Scholar] [CrossRef]
- Howitt, B.E.; Chang, S.; Eszlinger, M.; Paschke, R.; Drage, M.G.; Krane, J.F.; Barletta, J.A. Fine-needle aspiration diagnoses of noninvasive follicular variant of papillary thyroid carcinoma. Am. J. Clin. Pathol. 2015, 144, 850–857. [Google Scholar] [CrossRef] [Green Version]
- Jaconi, M.; Manzoni, M.; Pincelli, A.I.; Giardini, V.; Scardilli, M.; Smith, A.; Fellegara, G.; Pagni, F. The impact of the non-invasive follicular thyroid neoplasm with papillary-like nuclear feature terminology in the routine diagnosis of thyroid tumours. Cytopathology 2017, 28, 495–502. [Google Scholar] [CrossRef] [PubMed]
- Koshikawa, T.; Fujita, N.; Ueda, N.; Ota, Y.; Sasaki, E.; Murakami, Y.; Hosoda, W.; Yatabe, Y.; Hanai, N.; Higuchi, M.; et al. Important cytological findings for distinction between follicular variant and conventional papillary thyroid carcinoma, including noninvasive follicular thyroid tumors with papillary-like nuclear features. Endocr. J. 2019, 66, 475–483. [Google Scholar] [CrossRef] [PubMed] [Green Version]
- Legesse, T.; Parker, L.; Heath, J.; Staats, P.N. Distinguishing non-invasive follicular thyroid neoplasm with papillary-like nuclear features (NIFTP) from classic and invasive follicular-variant papillary thyroid carcinomas based on cytologic features. J. Am. Soc. Cytopathol. 2019, 8, 11–17. [Google Scholar] [CrossRef]
- Maleki, S.; Zandvakili, A.; Gera, S.; Khutti, S.D.; Gersten, A.; Khader, S.N. Differentiating Noninvasive Follicular Thyroid Neoplasm with Papillary-Like Nuclear Features from Classic Papillary Thyroid Carcinoma: Analysis of Cytomorphologic Descriptions Using a Novel Machine-Learning Approach. J. Pathol. Inform. 2019, 10, 29. [Google Scholar] [CrossRef] [PubMed]
- Selvaggi, S.M. The presence of multinucleated giant cells: Noninvasive follicular thyroid neoplasm with papillary-like nuclear features vs the follicular variant of papillary thyroid carcinoma. Diagn. Cytopathol. 2019, 47, 1007–1010. [Google Scholar] [CrossRef]
- Strickland, K.C.; Howitt, B.E.; Marqusee, E.; Alexander, E.K.; Cibas, E.S.; Krane, J.F.; Barletta, J.A. The Impact of Noninvasive Follicular Variant of Papillary Thyroid Carcinoma on Rates of Malignancy for Fine-Needle Aspiration Diagnostic Categories. Thyroid 2015, 25, 987–992. [Google Scholar] [CrossRef] [Green Version]
- Strickland, K.C.; Vivero, M.; Jo, V.Y.; Lowe, A.C.; Hollowell, M.; Qian, X.; Wieczorek, T.J.; French, C.A.; Teot, L.A.; Sadow, P.M.; et al. Preoperative Cytologic Diagnosis of Noninvasive Follicular Thyroid Neoplasm with Papillary-Like Nuclear Features: A Prospective Analysis. Thyroid 2016, 26, 1466–1471. [Google Scholar] [CrossRef] [Green Version]
- Yan, L.; Sethi, S.; Park, J.W. Cytologic and clinical features of NIFTP: Can we diagnose based on preoperative fine-needle aspiration. Diagn. Cytopathol. 2019, 47, 1259–1266. [Google Scholar] [CrossRef]
- Zhang, Z.; Chhieng, D.; Harshan, M.; Zheng, X.; Zakowski, M. Cytological features of noninvasive follicular thyroid neoplasm with papillary-like nuclear features (NIFTP). J. Am. Soc. Cytopathol. 2019, 8, 5–10. [Google Scholar] [CrossRef]
- Bizzarro, T.; Martini, M.; Capodimonti, S.; Straccia, P.; Lombardi, C.P.; Pontecorvi, A.; Larocca, L.M.; Rossi, E.D. Young investigator challenge: The morphologic analysis of noninvasive follicular thyroid neoplasm with papillary-like nuclear features on liquid-based cytology: Some insights into their identification. Cancer Cytopathol. 2016, 124, 699–710. [Google Scholar] [CrossRef]
- Haaga, E.; Kalfert, D.; Ludvikova, M.; Kholova, I. Non-Invasive Follicular Thyroid Neoplasm with Papillary-Like Nuclear Features Is Not a Cytological Diagnosis, but It Influences Cytological Diagnosis Outcomes: A Systematic Review and Meta-Analysis. Acta Cytol. 2021, 1–21. [Google Scholar] [CrossRef] [PubMed]
- Ali, S.Z.; Cibas, E.S. The Bethesda System for Reporting Thyroid Cytopathology: Definitions, Criteria and Explanatory Notes, 1st ed.; Springer: New York, NY, USA, 2010. [Google Scholar]
- Ali, S.Z.; Cibas, E.S. The Bethesda System for Reporting Thyroid Cytopathology, 2nd ed.; Springer: Cham, Switzerland, 2018. [Google Scholar]
- Bongiovanni, M.; Giovanella, L.; Romanelli, F.; Trimboli, P. Cytological Diagnoses Associated with Noninvasive Follicular Thyroid Neoplasms with Papillary-Like Nuclear Features According to the Bethesda System for Reporting Thyroid Cytopathology: A Systematic Review and Meta-Analysis. Thyroid 2019, 29, 222–228. [Google Scholar] [CrossRef] [PubMed] [Green Version]
- Faquin, W.C.; Wong, L.Q.; Afrogheh, A.H.; Ali, S.Z.; Bishop, J.A.; Bongiovanni, M.; Pusztaszeri, M.P.; VandenBussche, C.J.; Gourmaud, J.; Vaickus, L.J.; et al. Impact of reclassifying noninvasive follicular variant of papillary thyroid carcinoma on the risk of malignancy in The Bethesda System for Reporting Thyroid Cytopathology. Cancer Cytopathol. 2016, 124, 181–187. [Google Scholar] [CrossRef] [PubMed] [Green Version]
- Shrestha, R.T.; Ruanpeng, D.; Hennessey, J.V. Cytomorphology of Noninvasive Follicular Thyroid Neoplasm with Papillary-Like Nuclear Features and the Impact of New Nomenclature on Molecular Testing. Med. Sci. 2019, 7, 15. [Google Scholar] [CrossRef] [Green Version]
- Baloch, Z.W.; Seethala, R.R.; Faquin, W.C.; Papotti, M.G.; Basolo, F.; Fadda, G.; Randolph, G.W.; Hodak, S.P.; Nikiforov, Y.E.; Mandel, S.J. Noninvasive follicular thyroid neoplasm with papillary-like nuclear features (NIFTP): A changing paradigm in thyroid surgical pathology and implications for thyroid cytopathology. Cancer Cytopathol. 2016, 124, 616–620. [Google Scholar] [CrossRef] [Green Version]
- Lau, R.P.; Paulsen, J.D.; Brandler, T.C.; Liu, C.Z.; Simsir, A.; Zhou, F. Impact of the Reclassification of “Noninvasive Encapsulated Follicular Variant of Papillary Thyroid Carcinoma” to “Noninvasive Follicular Thyroid Neoplasm with Papillary-Like Nuclear Features” on the Bethesda System for Reporting Thyroid Cytopathology: A Large Academic Institution’s Experience. Am. J. Clin. Pathol. 2017, 149, 50–54. [Google Scholar] [CrossRef] [Green Version]
- Layfield, L.J.; Baloch, Z.W.; Esebua, M.; Kannuswamy, R.; Schmidt, R.L. Impact of the Reclassification of the Non-Invasive Follicular Variant of Papillary Carcinoma as Benign on the Malignancy Risk of the Bethesda System for Reporting Thyroid Cytopathology: A Meta-Analysis Study. Acta Cytol. 2017, 61, 187–193. [Google Scholar] [CrossRef]
- Bongiovanni, M.; Faquin, W.C.; Giovanella, L.; Durante, C.; Kopp, P.; Trimboli, P. Impact of non-invasive follicular thyroid neoplasms with papillary-like nuclear features (NIFTP) on risk of malignancy in patients undergoing lobectomy/thyroidectomy for suspected malignancy or malignant fine-needle aspiration cytology findings: A systematic review and meta-analysis. Eur. J. Endocrinol. 2019, 181, 389–396. [Google Scholar] [CrossRef]
- Chereau, N.; Greilsamer, T.; Mirallié, E.; Sadowski, S.M.; Pusztaszeri, M.; Triponez, F.; Baud, G.; Pattou, F.; Christou, N.; Mathonnet, M.; et al. NIFT-P: Are they indolent tumors? Results of a multi-institutional study. Surgery 2019, 165, 12–16. [Google Scholar] [CrossRef] [PubMed]
- Mao, M.L.; Joyal, T.; Picado, O.; Kerr, D.; Lew, J.I.; Farrá, J.C. Noninvasive follicular thyroid neoplasm with papillary-like nuclear features reclassification and its impact on thyroid malignancy rate and treatment. J. Surg. Res. 2018, 230, 47–52. [Google Scholar] [CrossRef] [PubMed]
- Kiernan, C.M.; Weiss, V.L.; Mehrad, M.; Ely, K.; Baregamian, N.; Solórzano, C.C. New terminology-noninvasive follicular neoplasm with papillary-like nuclear features (NIFTP) and its effect on the rate of malignancy at a single institution. Surgery 2018, 163, 55–59. [Google Scholar] [CrossRef] [PubMed]
- Kakudo, K. How to handle borderline/precursor thyroid tumors in management of patients with thyroid nodules. Gland Surg. 2018, 7, S8–S18. [Google Scholar] [CrossRef]
- Kakudo, K. Unsettled issues in Non-invasive encapsulated/well circumscribed follicular thyroid neoplasm with papillary-like nuclear features (NIFTP) and precursor thyroid tumors. J. Basic Clin. Med. 2017, 6, 3–7. [Google Scholar]


Publisher’s Note: MDPI stays neutral with regard to jurisdictional claims in published maps and institutional affiliations. |
© 2022 by the authors. Licensee MDPI, Basel, Switzerland. This article is an open access article distributed under the terms and conditions of the Creative Commons Attribution (CC BY) license (https://creativecommons.org/licenses/by/4.0/).
Share and Cite
Kholová, I.; Haaga, E.; Ludvik, J.; Kalfert, D.; Ludvikova, M. Noninvasive Follicular Thyroid Neoplasm with Papillary-like Nuclear Features (NIFTP): Tumour Entity with a Short History. A Review on Challenges in Our Microscopes, Molecular and Ultrasonographic Profile. Diagnostics 2022, 12, 250. https://doi.org/10.3390/diagnostics12020250
Kholová I, Haaga E, Ludvik J, Kalfert D, Ludvikova M. Noninvasive Follicular Thyroid Neoplasm with Papillary-like Nuclear Features (NIFTP): Tumour Entity with a Short History. A Review on Challenges in Our Microscopes, Molecular and Ultrasonographic Profile. Diagnostics. 2022; 12(2):250. https://doi.org/10.3390/diagnostics12020250
Chicago/Turabian StyleKholová, Ivana, Elina Haaga, Jaroslav Ludvik, David Kalfert, and Marie Ludvikova. 2022. "Noninvasive Follicular Thyroid Neoplasm with Papillary-like Nuclear Features (NIFTP): Tumour Entity with a Short History. A Review on Challenges in Our Microscopes, Molecular and Ultrasonographic Profile" Diagnostics 12, no. 2: 250. https://doi.org/10.3390/diagnostics12020250
APA StyleKholová, I., Haaga, E., Ludvik, J., Kalfert, D., & Ludvikova, M. (2022). Noninvasive Follicular Thyroid Neoplasm with Papillary-like Nuclear Features (NIFTP): Tumour Entity with a Short History. A Review on Challenges in Our Microscopes, Molecular and Ultrasonographic Profile. Diagnostics, 12(2), 250. https://doi.org/10.3390/diagnostics12020250

