Association of Left Atrial Size Measured by Non-Contrast Computed Tomography with Cardiovascular Risk Factors—The Danish Cardiovascular Screening Trial (DANCAVAS)
Abstract
:1. Introduction
2. Materials and Methods
2.1. Study Population
2.2. Non-Contrast Cardiac Computed Tomography
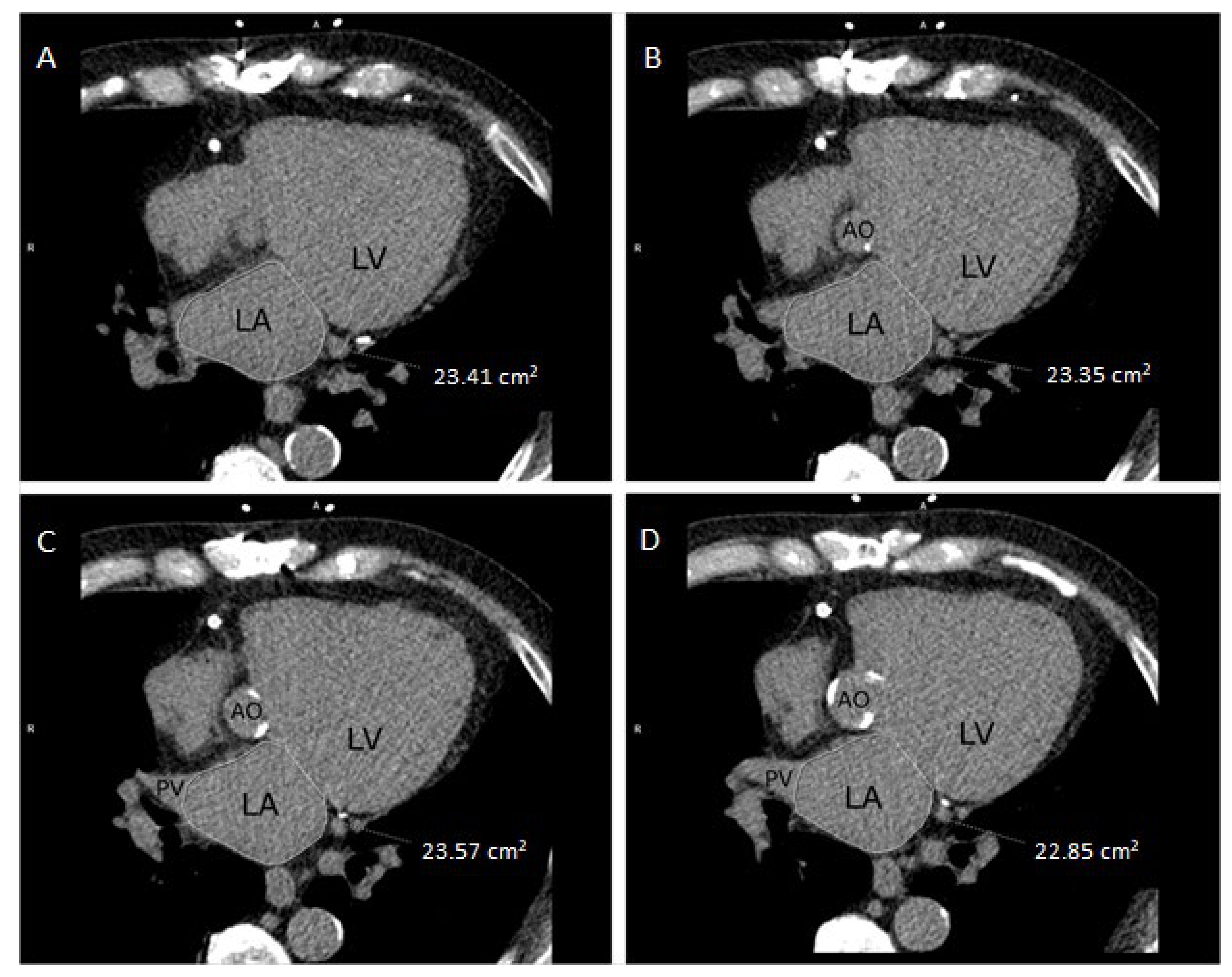
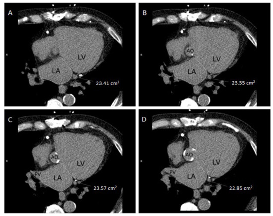
2.3. LA Size Measurement
2.4. Risk Factors
2.5. Echocardiography
2.6. Statistical Analysis
3. Results
| Univariate | Multivariable # | |||||
|---|---|---|---|---|---|---|
| Variable | Δ LA Area Index (95% CI) | p-Value | R-Squared | Δ LA area index (95% CI) | p-Value | R-Squared |
| No anti-hypertensive treatment (n = 6693) | ||||||
| Pulse blood pressure (mmHg) * | 0.031 (0.027; 0.035) | <0.0001 | 0.036 | 0.028 (0.024; 0.032) | <0.001 | 0.070 |
| No anti-diabetic treatment (n = 9976) | ||||||
| HbA1c (mmol/mol) * | −0.009 (−0.018; −0.001) | 0.04 | 0.0004 | −0.010 (−0.018; −0.001) | 0.03 | 0.067 |
| No lipid-lowering treatment (n = 8319) | ||||||
| Total cholesterol (mmol/L) * | −0.11 (−0.17; −0.06) | <0.0001 | 0.0020 | −0.13 (−0.19; −0.08) | <0.001 | 0.072 |
| Atrial Area (cm2/m2) Derived by Cardiac CT | Atrial Volume (mL/m2) Derived by Echocardiographic | |||
|---|---|---|---|---|
| Variable | Δ LA Area Index (95% CI) | p-Value | Δ LA Area Index (95% CI) | p-Value |
| Age (years) * | 0.08 (0.02; 0.14) | 0.01 | 0.05 (−0.15; 0.25) | 0.61 |
| Smoking | ||||
| Former | −0.93 (−1.31; −0.55) | <0.001 | −0.98 (−2.19; 0.24) | 0.12 |
| Current | −1.30 (−1.80; −0.80) | <0.001 | −2.50 (−4.10; −0.91) | 0.002 |
| Pulse pressure (mmHg) * | 0.02 (0.01; −0.03) | <0.01 | 0.03 (−0.01; 0.07) | 0.10 |
| HbA1c (mmol/mol) * | −0.03 (-0.05; −0.01) | <0.01 | −0.06 (−0.13; 0.00) | 0.06 |
| Total cholesterol (mmol/L) * | −0.17 (-0.32; −0.01) | 0.04 | −0.27 (−0.77; 0.22) | 0.28 |
| Left ventricle ejection fraction (%) * | −0.03 (−0.06; −0.00) | 0.04 | −0.08 (−0.17; 0.00) | 0.054 |
| Left ventricle mass (g) * | 0.01 (0.01; 0.01) | <0.001 | 0.04 (0.03; 0.05) | <0.001 |
| Univariate | Multivariable (R-Squared = 0.082) | ||||
|---|---|---|---|---|---|
| Variable | Δ LA Area Index (95% CI) | p-Value | R-Squared | Δ LA Area Index (95% CI) | p-Value |
| Age (years) * | 0.07 (0.01; 0.12) | 0.01 | 0.0097 | 0.02 (−0.03; 0.08) | 0.42 |
| Smoking | |||||
| Former | −0.09 (−0.48; 0.30) | 0.64 | 0.0117 | −0.10 (−0.49; 0.29) | 0.62 |
| Current | −0.77 (−1.33; −0.21) | 0.007 | −0.54 (−1.10; 0.03) | 0.06 | |
| Pulse pressure (mmHg) * | 0.04 (0.02; 0.05) | <0.0001 | 0.0641 | 0.03 (0.02; −0.05) | <0.001 |
| HbA1c (mmol/mol) * | 0.03 (−0.01; 0.07) | 0.11 | 0.0044 | 0.01 (−0.03; 0.05) | 0.57 |
| Total cholesterol (mmol/L) * | −0.20 (−0.77; −0.03) | 0.02 | 0.0083 | −0.22 (−0.40; −0.05) | 0.01 |
4. Discussion
5. Conclusions
Supplementary Materials
Author Contributions
Funding
Institutional Review Board Statement
Informed Consent Statement
Data Availability Statement
Conflicts of Interest
Abbreviations
| AVC | aortic valve calcification |
| BMI | body mass index |
| BSA | body surface area |
| CAC | coronary artery calcium |
| HDL | high density lipoprotein |
| EF | ejection fraction |
| LA | left atrial |
| LDL | low density lipoprotein |
| NCCT | non-contrast computed tomography |
References
- Tsang, T.S.; Barnes, M.E.; Bailey, K.R.; Leibson, C.L.; Montgomery, S.C.; Takemoto, Y.; Diamond, P.M.; Marra, M.A.; Gersh, B.J.; Wiebers, D.O.; et al. Left atrial volume: Important risk marker of incident atrial fibrillation in 1655 older men and women. Mayo Clin. Proc. 2001, 76, 467–475. [Google Scholar] [CrossRef] [PubMed]
- Kizer, J.R.; Bella, J.N.; Palmieri, V.; Liu, J.E.; Best, L.G.; Lee, E.T.; Roman, M.J.; Devereux, R.B. Left atrial diameter as an independent predictor of first clinical cardiovascular events in middle-aged and elderly adults: The Strong Heart Study (SHS). Am. Heart J. 2006, 151, 412–418. [Google Scholar] [CrossRef] [PubMed]
- Rossi, A.; Temporelli, P.L.; Quintana, M.; Dini, F.L.; Ghio, S.; Hillis, G.S.; Klein, A.L.; Marsan, N.A.; Prior, D.L.; Yu, C.M.; et al. Independent relationship of left atrial size and mortality in patients with heart failure: An individual patient meta-analysis of longitudinal data (MeRGE Heart Failure). Eur. J. Heart Fail. 2009, 11, 929–936. [Google Scholar] [CrossRef] [PubMed]
- Fredgart, M.H.; Lindholt, J.S.; Brandes, A.; Steffensen, F.H.; Frost, L.; Lambrechtsen, J.; Karon, M.; Busk, M.; Urbonaviciene, G.; Egstrup, K.; et al. Prognostic importance of left atrial size measured by non-contrast cardiac computed tomography—A DANCAVAS study. Int. J. Cardiol. 2021, 328, 220–226. [Google Scholar] [CrossRef]
- Miller, J.D.; Aronis, K.N.; Chrispin, J.; Patil, K.D.; Marine, J.E.; Martin, S.S.; Blaha, M.J.; Blumenthal, R.S.; Calkins, H. Obesity, Exercise, Obstructive Sleep Apnea, and Modifiable Atherosclerotic Cardiovascular Disease Risk Factors in Atrial Fibrillation. J. Am. Coll. Cardiol. 2015, 66, 2899–2906. [Google Scholar] [CrossRef] [Green Version]
- Erbel, R.; Möhlenkamp, S.; Moebus, S.; Schmermund, A.; Lehmann, N.; Stang, A.; Dragano, N.; Grönemeyer, D.; Seibel, R.; Kälsch, H.; et al. Coronary risk stratification, discrimination, and reclassification improvement based on quantification of subclinical coronary atherosclerosis: The Heinz Nixdorf Recall study. J. Am. Coll. Cardiol. 2010, 56, 1397–1406. [Google Scholar] [CrossRef] [Green Version]
- Yeboah, J.; McClelland, R.L.; Polonsky, T.S.; Burke, G.L.; Sibley, C.T.; O’Leary, D.; Carr, J.J.; Goff, D.C.; Greenland, P.; Herrington, D.M. Comparison of novel risk markers for improvement in cardiovascular risk assessment in intermediate-risk individuals. JAMA 2012, 308, 788–795. [Google Scholar] [CrossRef] [Green Version]
- Diederichsen, A.C.; Rasmussen, L.M.; Søgaard, R.; Lambrechtsen, J.; Steffensen, F.H.; Frost, L.; Egstrup, K.; Urbonaviciene, G.; Busk, M.; Olsen, M.H.; et al. The Danish Cardiovascular Screening Trial (DANCAVAS): Study protocol for a randomized controlled trial. Trials 2015, 16, 554. [Google Scholar] [CrossRef] [Green Version]
- Kvist, T.V.; Lindholt, J.S.; Rasmussen, L.M.; Søgaard, R.; Lambrechtsen, J.; Steffensen, F.H.; Frost, L.; Olsen, M.H.; Mickley, H.; Hallas, J.; et al. The DanCavas Pilot Study of Multifaceted Screening for Subclinical Cardiovascular Disease in Men and Women Aged 65–74 Years. Eur. J. Vasc. Endovasc. Surg. 2017, 53, 123–131. [Google Scholar] [CrossRef] [Green Version]
- Du Bois, D.; Du Bois, E.F. A formula to estimate the approximate surface area if height and weight be known, 1916. Nutrition 1989, 5, 303–311; discussion 312–313. [Google Scholar]
- Lindholt, J.S.; Rasmussen, L.M.; Søgaard, R.; Lambrechtsen, J.; Steffensen, F.H.; Frost, L.; Egstrup, K.; Urbonaviciene, G.; Busk, M.; Olsen, M.H.; et al. Baseline findings of the population-based, randomized, multifaceted Danish cardiovascular screening trial (DANCAVAS) of men aged 65-74 years. Br. J. Surg. 2019, 106, 862–871. [Google Scholar] [CrossRef]
- Agatston, A.S.; Janowitz, W.R.; Hildner, F.J.; Zusmer, N.R.; Viamonte, M., Jr.; Detrano, R. Quantification of coronary artery calcium using ultrafast computed tomography. J. Am. Coll. Cardiol. 1990, 15, 827–832. [Google Scholar] [CrossRef] [Green Version]
- Khurrami, L.; Møller, J.E.; Lindholt, J.S.; Dahl, J.S.; Fredgart, M.H.; Obel, L.M.; Steffensen, F.H.; Urbonaviciene, G.; Lambrechtsen, J.; Diederichsen, A.C.P. Aortic valve calcification among elderly males from the general population, associated echocardiographic findings, and clinical implications. Eur. Heart J. Cardiovasc. Imaging, 2021; in press. [Google Scholar] [CrossRef]
- Lang, R.M.; Badano, L.P.; Mor-Avi, V.; Afilalo, J.; Armstrong, A.; Ernande, L.; Flachskampf, F.A.; Foster, E.; Goldstein, S.A.; Kuznetsova, T.; et al. Recommendations for cardiac chamber quantification by echocardiography in adults: An update from the American Society of Echocardiography and the European Association of Cardiovascular Imaging. Eur. Heart J. Cardiovasc. Imaging 2015, 16, 233–270. [Google Scholar] [CrossRef]
- D’Agostino, R.B.; Belanger, A.J.; D’Agostino, R.B., Jr. A suggestion for using powerful and informative tests of normality. Am. Stat. 1990, 44, 316–321. [Google Scholar] [CrossRef]
- Royston, P. sg3.5: Comment on sg3.4 and an improved D’Agostino test. Stata Tech. Bull. 1991, 3, 23–24. Available online: https://www.stata-press.com/journals/stbcontents/stb3.pdf (accessed on 3 January 2022).
- Carkeet, A. Exact parametric confidence intervals for Bland-Altman limits of agreement. Optom. Vis. Sci. 2015, 92, e71–e80. [Google Scholar] [CrossRef] [Green Version]
- Carkeet, A.; Goh, Y.T. Confidence and coverage for Bland-Altman limits of agreement and their approximate confidence intervals. Stat. Methods Med. Res. 2018, 27, 1559–1574. [Google Scholar] [CrossRef]
- Thomas, L.; Levett, K.; Boyd, A.; Leung, D.Y.; Schiller, N.B.; Ross, D.L. Compensatory changes in atrial volumes with normal aging: Is atrial enlargement inevitable? J. Am. Coll. Cardiol. 2002, 40, 1630–1635. [Google Scholar] [CrossRef] [Green Version]
- Tsang, T.S.; Barnes, M.E.; Gersh, B.J.; Bailey, K.R.; Seward, J.B. Left atrial volume as a morphophysiologic expression of left ventricular diastolic dysfunction and relation to cardiovascular risk burden. Am. J. Cardiol. 2002, 90, 1284–1289. [Google Scholar] [CrossRef]
- Zhu, W.; Yuan, P.; Shen, Y.; Wan, R.; Hong, K. Association of smoking with the risk of incident atrial fibrillation: A meta-analysis of prospective studies. Int. J. Cardiol. 2016, 218, 259–266. [Google Scholar] [CrossRef]
- Aune, D.; Schlesinger, S.; Norat, T.; Riboli, E. Tobacco smoking and the risk of atrial fibrillation: A systematic review and meta-analysis of prospective studies. Eur. J. Prev. Cardiol. 2018, 25, 1437–1451. [Google Scholar] [CrossRef]
- Pan, A.; Wang, Y.; Talaei, M.; Hu, F.B.; Wu, T. Relation of active, passive, and quitting smoking with incident type 2 diabetes: A systematic review and meta-analysis. Lancet Diabetes Endocrinol. 2015, 3, 958–967. [Google Scholar] [CrossRef] [Green Version]
- Halperin, R.O.; Gaziano, J.M.; Sesso, H.D. Smoking and the risk of incident hypertension in middle-aged and older men. Am. J. Hypertens. 2008, 21, 148–152. [Google Scholar] [CrossRef] [Green Version]
- Dochi, M.; Sakata, K.; Oishi, M.; Tanaka, K.; Kobayashi, E.; Suwazono, Y. Smoking as an independent risk factor for hypertension: A 14-year longitudinal study in male Japanese workers. Tohoku J. Exp. Med. 2009, 217, 37–43. [Google Scholar] [CrossRef] [Green Version]
- Andriani, H.; Kosasih, R.I.; Putri, S.; Kuo, H.W. Effects of changes in smoking status on blood pressure among adult males and females in Indonesia: A 15-year population-based cohort study. BMJ Open 2020, 10, e038021. [Google Scholar] [CrossRef]
- Goette, A.; Lendeckel, U.; Kuchenbecker, A.; Bukowska, A.; Peters, B.; Klein, H.U.; Huth, C.; Röcken, C. Cigarette smoking induces atrial fibrosis in humans via nicotine. Heart 2007, 93, 1056–1063. [Google Scholar] [CrossRef]
- Wang, H.; Shi, H.; Zhang, L.; Pourrier, M.; Yang, B.; Nattel, S.; Wang, Z. Nicotine is a potent blocker of the cardiac A-type K+ channels. Effects on cloned Kv4.3 channels and native transient outward current. Circulation 2000, 102, 1165–1171. [Google Scholar] [CrossRef] [Green Version]
- Mahabadi, A.A.; Lehmann, N.; Sonneck, N.C.; Kälsch, H.; Bauer, M.; Kara, K.; Geisel, M.H.; Moebus, S.; Jöckel, K.H.; Erbel, R.; et al. Left atrial size quantification using non-contrast-enhanced cardiac computed tomography—Association with cardiovascular risk factors and gender-specific distribution in the general population: The Heinz Nixdorf Recall study. Acta Radiol. 2014, 55, 917–925. [Google Scholar] [CrossRef]
- Jörgensen, K.; Müller, M.F.; Nel, J.; Upton, R.N.; Houltz, E.; Ricksten, S.E. Reduced intrathoracic blood volume and left and right ventricular dimensions in patients with severe emphysema: An MRI study. Chest 2007, 131, 1050–1057. [Google Scholar] [CrossRef]
- Tomita, H.; Yamashiro, T.; Matsuoka, S.; Matsushita, S.; Nakajima, Y. Correlation between heart size and emphysema in patients with chronic obstructive pulmonary disease: CT-based analysis using inspiratory and expiratory scans. Chronic Respir. Dis. 2018, 15, 272–278. [Google Scholar] [CrossRef] [PubMed] [Green Version]
- Atas, H.; Kepez, A.; Atas, D.B.; Kanar, B.G.; Dervisova, R.; Kivrak, T.; Tigen, M.K. Effects of diabetes mellitus on left atrial volume and functions in normotensive patients without symptomatic cardiovascular disease. J. Diabetes Its Complicat. 2014, 28, 858–862. [Google Scholar] [CrossRef] [PubMed]
- Hamza, M.; Mamdouh, A.; Ezzeldin, D.; Tawfik, A.; Nayel, A. Three-Dimensional Echocardiography in Evaluating LA Volumes and Functions in Diabetic Normotensive Patients without Symptomatic Cardiovascular Disease. Int. J. Vasc. Med. 2020, 2020, 5923702. [Google Scholar] [CrossRef] [PubMed]
- Mahabadi, A.A.; Truong, Q.A.; Schlett, C.L.; Samy, B.; O’Donnell, C.J.; Fox, C.S.; Bamberg, F.; Hoffmann, U. Axial area and anteroposterior diameter as estimates of left atrial size using computed tomography of the chest: Comparison with 3-dimensional volume. J. Cardiovasc. Comput. Tomogr. 2010, 4, 49–54. [Google Scholar] [CrossRef] [Green Version]
- Fredgart, M.H.; Carter-Storch, R.; Møller, J.E.; Øvrehus, K.A.; Pecini, R.; Dahl, J.S.; Gerke, O.; Alturkmany, R.A.; Brandes, A.; Lindholt, J.S.; et al. Measurement of left atrial volume by 2D and 3D non-contrast computed tomography compared with cardiac magnetic resonance imaging. J. Cardiovasc. Comput. Tomogr. 2018, 12, 316–319. [Google Scholar] [CrossRef] [Green Version]
- Kühl, J.T.; Lønborg, J.; Fuchs, A.; Andersen, M.J.; Vejlstrup, N.; Kelbæk, H.; Engstrøm, T.; Møller, J.E.; Kofoed, K.F. Assessment of left atrial volume and function: A comparative study between echocardiography, magnetic resonance imaging and multi slice computed tomography. Int. J. Cardiovasc. Imaging 2012, 28, 1061–1071. [Google Scholar] [CrossRef]



| Variable | Men | Women | p-Value |
|---|---|---|---|
| n | 10,902 | 616 | |
| Age (years) | 67 ± 4 | 68 ± 3 | <0.001 |
| LA size (cm2) | 22.7 ± 5.1 | 19.4 ± 4.4 | <0.001 |
| LA index (cm2/m2) | 11.1 ± 2.3 | 10.9 ± 2.3 | 0.19 |
| BMI (kg/m2) | 27.9 ± 4.2 | 26.5 ± 5.0 | <0.001 |
| BSA (m2) | 2.0 ± 0.2 | 1.8 ± 0.2 | <0.001 |
| Smoker | |||
| Active | 1733 (16%) | 76 (12%) | <0.001 |
| Former | 5376 (50%) | 205 (33%) | |
| Never | 3747 (35%) | 334 (54%) | |
| Systolic blood pressure (mmHg) | 150 ± 19 | 155 ± 20 | <0.001 |
| Diastolic blood pressure (mmHg) | 83 ± 10 | 83 ± 9 | 0.38 |
| Pulse pressure (mmHg) | 67 ± 14 | 72 ± 16 | <0.001 |
| Hypertensive medication | 4172 (38%) | 253 (41%) | 0.16 |
| Thiazide | 1166 (11%) | 122 (20%) | <0.001 |
| Beta-blocker | 756 (7%) | 68 (11%) | <0.001 |
| ACE inhibitor/ARB | 3134 (29%) | 166 (27%) | 0.34 |
| Calcium antagonist | 1821 (17%) | 83 (14%) | 0.04 |
| Hypertension | 6074 (56%) | 385 (63%) | 0.001 |
| HbA1c (mmol/mol) | 39 ± 7 | 39 ± 4 | 0.81 |
| Diabetes mellitus | 1166 (11%) | 42 (7%) | 0.002 |
| Total cholesterol (mmol/L) | 5.2 ± 1.0 | 5.8 ± 1.0 | <0.001 |
| LDL (mmol/L) | 3.1 ± 0.9 | 3.2 ± 0.9 | <0.001 |
| HDL (mmol/L) | 1.4 ± 0.4 | 1.7 ± 0.5 | <0.001 |
| Lipid lowering medication | 2539 (23%) | 190 (31%) | <0.001 |
| Dyslipidaemia | 8551 (78%) | 555 (90%) | <0.001 |
| eGFR (mL/min/1.73 m2) | 79 ± 13 | 75 ± 13 | <0.001 |
| CAC score (AU) | 85 (6–358) | 9 (0–93) | <0.001 |
| AVC score (AU) | 3 (0–65) | 0 (0–22) | <0.001 |
| Ascending aortic diameter (mm) | 37 ± 4 | 34 ± 4 | <0.001 |
| Univariate | Multivariable (R-Squared = 0.068) | ||||
|---|---|---|---|---|---|
| Variable | Δ LA Area Index (95% CI) | p-Value | R-Squared | Δ LA Area Index (95% CI) | p-Value |
| Age (years) * | 0.08 (0.07; 0.09) | <0.001 | 0.016 | 0.06 (0.05; 0.07) | <0.001 |
| Smoking | |||||
| Former | −0.40 (−0.50; −0.31) | <0.001 | 0.026 | −0.42 (−0.51; −0.32) | <0.001 |
| Current | −1.13 (−1.26; −1.00) | <0.001 | −1.07 (−1.20; −0.94) | <0.001 | |
| Systolic blood pressure (mmHg) * | 0.021 (0.019; 0.024) | <0.001 | 0.030 | - | - |
| Diastolic blood pressure (mmHg) * | 0.017 (0.012; 0.021) | <0.001 | 0.005 | - | - |
| Pulse pressure (mmHg) * | 0.029 (0.026; 0.032) | <0.001 | 0.031 | 0.026 (0.023; 0.029) | <0.001 |
| Hypertensive medication | 0.36 (0.27; 0.45) | <0.001 | 0.006 | - | - |
| Hypertension | 0.60 (0.52; 0.69) | <0.001 | 0.017 | - | - |
| HbA1c (mmol/mol) * | −0.012 (−0.018; −0.006) | <0.001 | 0.0014 | −0.016 (−0.022; −0.010) | <0.001 |
| Diabetes mellitus | −0.16 (−0.30; −0.02) | 0.02 | 0.0005 | - | - |
| Total cholesterol (mmol/L) * | −0.08 (-0.13; −0.04) | <0.001 | 0.0014 | −0.11 (-0.15; −0.07) | <0.001 |
| LDL (mmol/L) * | −0.08 (−0.12; −0.03) | 0.001 | 0.0010 | - | - |
| HDL (mmol/L) * | 0.14 (0.04; 0.24) | 0.008 | 0.0006 | - | - |
| Lipid lowering medication | 0.004 (−0.010; 0.108) | 0.93 | 0.0000 | - | - |
| Dyslipidaemia | −0.14 (−0.24; −0.03) | 0.01 | 0.0006 | - | - |
| eGFR (mL/min/1.73 m2) * | −0.001 (−0.004; 0.002) | 0.52 | 0.0000 | - | - |
| CAC score (AU) * | 0.0002 (0.0002; 0.0003) | <0.001 | 0.0047 | - | - |
| AVC score (AU) * | 0.0005 (0.0004; 0.0007) | <0.001 | 0.0046 | - | - |
| Ascending aortic diameter (mm) * | 0.11 (0.10; 0.13) | <0.001 | 0.0039 | - | - |
Publisher’s Note: MDPI stays neutral with regard to jurisdictional claims in published maps and institutional affiliations. |
© 2022 by the authors. Licensee MDPI, Basel, Switzerland. This article is an open access article distributed under the terms and conditions of the Creative Commons Attribution (CC BY) license (https://creativecommons.org/licenses/by/4.0/).
Share and Cite
Fredgart, M.H.; Lindholt, J.S.; Brandes, A.; Steffensen, F.H.; Frost, L.; Lambrechtsen, J.; Karon, M.; Busk, M.; Urbonaviciene, G.; Egstrup, K.; et al. Association of Left Atrial Size Measured by Non-Contrast Computed Tomography with Cardiovascular Risk Factors—The Danish Cardiovascular Screening Trial (DANCAVAS). Diagnostics 2022, 12, 244. https://doi.org/10.3390/diagnostics12020244
Fredgart MH, Lindholt JS, Brandes A, Steffensen FH, Frost L, Lambrechtsen J, Karon M, Busk M, Urbonaviciene G, Egstrup K, et al. Association of Left Atrial Size Measured by Non-Contrast Computed Tomography with Cardiovascular Risk Factors—The Danish Cardiovascular Screening Trial (DANCAVAS). Diagnostics. 2022; 12(2):244. https://doi.org/10.3390/diagnostics12020244
Chicago/Turabian StyleFredgart, Maise Høigaard, Jes Sanddal Lindholt, Axel Brandes, Flemming Hald Steffensen, Lars Frost, Jess Lambrechtsen, Marek Karon, Martin Busk, Grazina Urbonaviciene, Kenneth Egstrup, and et al. 2022. "Association of Left Atrial Size Measured by Non-Contrast Computed Tomography with Cardiovascular Risk Factors—The Danish Cardiovascular Screening Trial (DANCAVAS)" Diagnostics 12, no. 2: 244. https://doi.org/10.3390/diagnostics12020244
APA StyleFredgart, M. H., Lindholt, J. S., Brandes, A., Steffensen, F. H., Frost, L., Lambrechtsen, J., Karon, M., Busk, M., Urbonaviciene, G., Egstrup, K., Khurrami, L., Gerke, O., & Diederichsen, A. C. P. (2022). Association of Left Atrial Size Measured by Non-Contrast Computed Tomography with Cardiovascular Risk Factors—The Danish Cardiovascular Screening Trial (DANCAVAS). Diagnostics, 12(2), 244. https://doi.org/10.3390/diagnostics12020244

