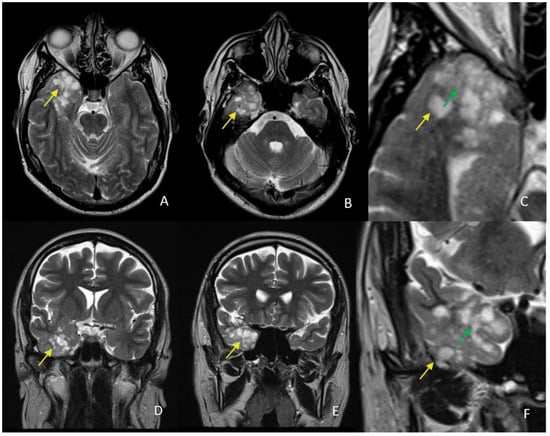
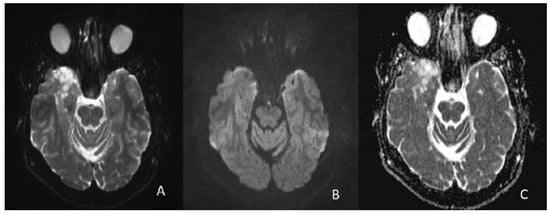
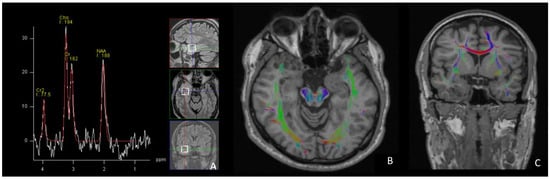
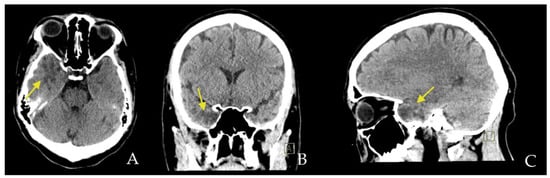
New Imaging Features of Multinodular and Vacuolating Neuronal Tumor Revealed by Alcohol and Illicit Drugs Consumption
Abstract
Author Contributions
Funding
Institutional Review Board Statement
Informed Consent Statement
Data Availability Statement
Conflicts of Interest
References
- Nunes, R.H.; Hsu, C.C.; da Rocha, A.J.; do Amaral, L.L.F.; Godoy, L.F.S.; Watkins, T.W.; Marussi, V.H.; Warmuth-Metz, M.; Alves, H.C.; Goncalves, F.G.; et al. Multinodular and Vacuolating Neuronal Tumor of the Cerebrum: A New “Leave Me Alone” Lesion with a Characteristic Imaging Pattern. Am. J. Neuroradiol. 2017, 38, 1899–1904. [Google Scholar] [CrossRef] [PubMed]
- Torp, S.H.; Solheim, O.; Skjulsvik, A.J. The WHO 2021 Classification of Central Nervous System tumours: A practical update on what neurosurgeons need to know-a minireview. Acta Neurochir. 2022, 164, 2453–2464. [Google Scholar] [CrossRef] [PubMed]
- Nishizawa, T.; Saito, R.; Chonan, M.; Kanamori, M.; Takanami, K.; Watanabe, M.; Tominaga, T. A multinodular and vacuolating neuronal tumor in the right temporal lobe with positive methionine uptake: A case report. Interdisciplinary Neurosurgery: Interdiscip. Neurosurg. Adv. Tech. Case Manag. 2022, 22, 100861. [Google Scholar] [CrossRef]
- Pekmezci, M.; Stevers, M.; Phillips, J.J. Multinodular and vacuolating neuronal tumor of the cerebrum is a clonal neoplasm defined by genetic alterations that activate the MAP kinase signaling pathway. Acta Neuropathol. 2018, 135, 485–488. [Google Scholar] [CrossRef] [PubMed]
- Louis, D.N.; Wesseling, P.; Aldape, K.; Brat, D.J.; Capper, D.; Cree, I.A.; Eberhart, C.; Figarella-Branger, D.; Fouladi, M.; Fuller, G.N.; et al. cIMPACT-NOW update 6: New entity and diagnostic principle recommendations of the cIMPACT-Utrecht meeting on future CNS tumor classification and grading. Brain Pathol. 2020, 30, 844–856. [Google Scholar] [CrossRef] [PubMed]
- Louis, D.N.; Perry, A.; Wesseling, P.; Brat, D.J.; Cree, I.A.; Figarella-Branger, D.; Hawkins, C.; Ng, H.K.; Pfister, S.M.; Reifenberger, G.; et al. The 2021 WHO Classification of Tumors of the Central Nervous System: A summary. Neuro-Oncology 2021, 23, 1231–1251. [Google Scholar] [CrossRef] [PubMed]
- Gökçe, E. Magnetic resonance imaging findings of two cases with multinodular and vacuolating neuronal tumor. Acta Neurol. Belg. 2020, 120, 457–461. [Google Scholar] [CrossRef] [PubMed]
- Gonzalez-Quarante, L.H.; Ruiz-Juretschke, F.; Sola Vendrell, E.; Gil de Sagredo Del Corral, O.L.; Agarwal, V.; Garcia-Leal, R. Multinodular and vacuolating neuronal tumor of the cerebrum. A rare entity. New case and review of the literature. Neurocirugia 2018, 29, 44–55. [Google Scholar] [CrossRef] [PubMed]
- Alsufayan, R.; Alcaide-Leon, P.; de Tilly, L.N.; Mandell, D.M.; Krings, T. Natural history of lesions with the MR imaging appearance of multinodular and vacuolating neuronal tumor. Neuroradiology 2017, 59, 873–883. [Google Scholar] [CrossRef] [PubMed]
- Lecler, A.; Broquet, V.; Bailleux, J.; Carsin, B.; Adle-Biassette, H.; Baloglu, S.; Forestier, G.; Bonneville, F.; Calvier, E.; Chauvet, D.; et al. Advanced multiparametric magnetic resonance imaging of multinodular and vacuolating neuronal tumor. Eur. J. Neurol. 2020, 27, 1561–1569. [Google Scholar] [CrossRef] [PubMed]
- Badat, N.; Savatovsky, J.; Charbonneau, F.; Collin, A.; Lecler, A. Multinodular vacuolating and neuronal tumor of the cerebrum. Neurology 2017, 89, 304–305. [Google Scholar] [CrossRef] [PubMed]
- Herholz, K.; Hölzer, T.; Bauer, B.; Schröder, R.; Voges, J.; Ernestus, R.I.; Mendoza, G.; Weber-Luxenburger, G.; Löttgen, J.; Thiel, A.; et al. 11C-methionine PET for differential diagnosis of low-grade gliomas. Neurology 1998, 50, 1316–1322. [Google Scholar] [CrossRef] [PubMed]
- Yamaguchi, M.; Komori, T.; Nakata, Y.; Yagishita, A.; Morino, M.; Isozaki, E. Multinodular and vacuolating neuronal tumor affecting amygdala and hippocampus: A quasi-tumor? Pathol. Int. 2016, 66, 34–41. [Google Scholar] [CrossRef] [PubMed]
- Shitara, S.; Tokime, T.; Akiyama, Y. Multinodular and vacuolating neuronal tumor: A case report and literature review. Surg. Neurol. Int. 2018, 9, 63. [Google Scholar] [CrossRef] [PubMed]






Publisher’s Note: MDPI stays neutral with regard to jurisdictional claims in published maps and institutional affiliations. |
© 2022 by the authors. Licensee MDPI, Basel, Switzerland. This article is an open access article distributed under the terms and conditions of the Creative Commons Attribution (CC BY) license (https://creativecommons.org/licenses/by/4.0/).
Share and Cite
Sirbu, C.A.; Ștefani, C.; Tuță, S.; Manole, A.M.; Sirbu, O.M.; Ivan, R.; Toma, G.S.; Calu, A.G.; Jianu, D.C. New Imaging Features of Multinodular and Vacuolating Neuronal Tumor Revealed by Alcohol and Illicit Drugs Consumption. Diagnostics 2022, 12, 2779. https://doi.org/10.3390/diagnostics12112779
Sirbu CA, Ștefani C, Tuță S, Manole AM, Sirbu OM, Ivan R, Toma GS, Calu AG, Jianu DC. New Imaging Features of Multinodular and Vacuolating Neuronal Tumor Revealed by Alcohol and Illicit Drugs Consumption. Diagnostics. 2022; 12(11):2779. https://doi.org/10.3390/diagnostics12112779
Chicago/Turabian StyleSirbu, Carmen Adella, Constantin Ștefani, Sorin Tuță, Aida Mihaela Manole, Octavian Mihai Sirbu, Raluca Ivan, Gabriela Simona Toma, Alexandra Giorgiana Calu, and Dragos Catalin Jianu. 2022. "New Imaging Features of Multinodular and Vacuolating Neuronal Tumor Revealed by Alcohol and Illicit Drugs Consumption" Diagnostics 12, no. 11: 2779. https://doi.org/10.3390/diagnostics12112779
APA StyleSirbu, C. A., Ștefani, C., Tuță, S., Manole, A. M., Sirbu, O. M., Ivan, R., Toma, G. S., Calu, A. G., & Jianu, D. C. (2022). New Imaging Features of Multinodular and Vacuolating Neuronal Tumor Revealed by Alcohol and Illicit Drugs Consumption. Diagnostics, 12(11), 2779. https://doi.org/10.3390/diagnostics12112779

