Solitary Pulmonary Capillary Hemangioma: CT and PET-CT Features with Clinicopathologic Correlation
Abstract
1. Introduction
2. Methods
2.1. Patients
2.2. CT Imaging Analysis
2.3. Pathology Analysis
3. Results
3.1. Demographics and Follow-Up Results
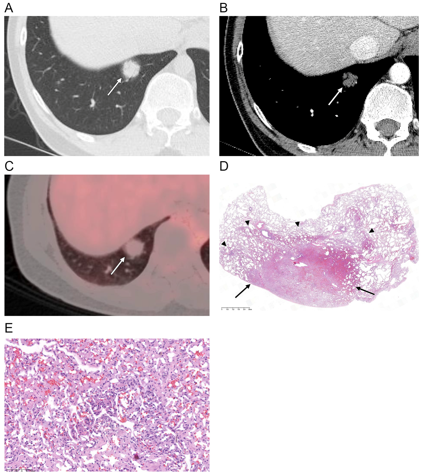
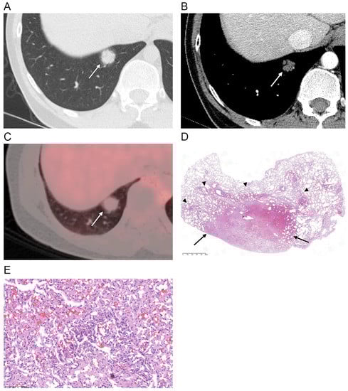
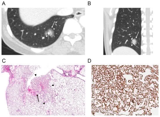
3.2. CT and PET-CT Features
3.3. Histopathologic Findings and Correlation with CT Features
4. Discussion
Author Contributions
Funding
Institutional Review Board Statement
Informed Consent Statement
Data Availability Statement
Conflicts of Interest
Abbreviations
| SPCH | Solitary pulmonary capillary hemangioma |
| SUVmax | Maximum standardized uptake value |
References
- Hashimoto, H.; Kurata, A.; Fujiwara, M.; Hara, K.; Matsumoto, J.; Kusakabe, M.; Tachibana, K.; Nashiro, T.; Terado, Y.; Akahane, M.; et al. Solitary pulmonary capillary hemangioma of adult cases: Clinicopathologic characteristics as an unrecognized entity. Am. J. Surg. Pathol. 2016, 40, 1380–1389. [Google Scholar] [CrossRef]
- Havlik, D.M.; Massie, L.W.; Williams, W.L.; Crooks, L.A. Pulmonary capillary hemangiomatosis-like foci. An autopsy study of 8 cases. Am. J. Clin. Pathol. 2000, 113, 655–662. [Google Scholar] [CrossRef]
- Isaka, T.; Yokose, T.; Ito, H.; Washimi, K.; Imamura, N.; Watanabe, M.; Imai, K.; Nishii, T.; Yamada, K.; Nakayama, H.; et al. Case of solitary pulmonary capillary hemangioma: Pathological features based on frozen section analysis. Pathol. Int. 2013, 63, 615–618. [Google Scholar] [CrossRef]
- Zhao, J.; Shao, J.; Zhu, L.; Yu, K.; Zhao, R.; Ding, W.; Zhang, J.; Han, Y. Solitary pulmonary capillary hemangioma: Clinicopathologic and radiologic characteristics of nine surgically resected cases. Pathol. Res. Pract. 2018, 214, 1885–1891. [Google Scholar] [CrossRef]
- Almagro, P.; Julia, J.; Sanjaume, M.; Gonzalez, G.; Casalots, J.; Heredia, J.L.; Martinez, J.; Garau, J. Pulmonary capillary hemangiomatosis associated with primary pulmonary hypertension: Report of 2 new cases and review of 35 cases from the literature. Medicine 2002, 81, 417–424. [Google Scholar] [CrossRef]
- Frazier, A.A.; Franks, T.J.; Mohammed, T.L.; Ozbudak, I.H.; Galvin, J.R. From the Archives of the AFIP: Pulmonary veno-occlusive disease and pulmonary capillary hemangiomatosis. Radiographics 2007, 27, 867–882. [Google Scholar] [CrossRef]
- Lau, E.M.; Humbert, M. A critical appraisal of the updated 2014 Nice Pulmonary Hypertension Classification System. Can. J. Cardiol. 2015, 31, 367–374. [Google Scholar] [CrossRef]
- Ogawa, A.; Miyaji, K.; Yamadori, I.; Shinno, Y.; Miura, A.; Kusano, K.F.; Ito, H.; Date, H.; Matsubara, H. Safety and efficacy of epoprostenol therapy in pulmonary veno-occlusive disease and pulmonary capillary hemangiomatosis. Circ. J. 2012, 76, 1729–1736. [Google Scholar] [CrossRef]
- Fugo, K.; Matsuno, Y.; Okamoto, K.; Kusumoto, M.; Maeshima, A.; Kaji, M.; Takabatake, H.; Kondo, H.; Moriyama, N. Solitary capillary hemangioma of the lung: Report of 2 resected cases detected by high-resolution CT. Am. J. Surg. Pathol. 2006, 30, 750–753. [Google Scholar] [CrossRef]
- Hashimoto, H.; Yanagiya, M.; Suzuki, Y.; Kusakabe, M.; Usui, G.; Matsumoto, J.; Horiuchi, H. A case of solitary pulmonary capillary hemangioma indicating true gross appearance. Pathol. Int. 2017, 67, 322–323. [Google Scholar] [CrossRef]
- Kadowaki, T.; Yano, S.; Kobayashi, K.; Araki, K.; Tokushima, T.; Yamadori, I. Pulmonary capillary hemangiomatosis-like foci detected by high resolution computed tomography. Intern. Med. 2010, 49, 175–178. [Google Scholar] [CrossRef]
- Lee, H.W.; Ahn, S.; Shim, Y.M.; Choi, Y.S.; Lee, K.S.; Han, J. Solitary capillary hemangioma of the lung: A report of two cases. J. Lung Cancer 2012, 11, 102–104. [Google Scholar] [CrossRef]
- Matsushita, M.; Kawakami, S.; Matsushita, T.; Sugiyama, Y.; Endo, M.; Shimojo, H.; Toishi, M.; Kadoya, M. Changes in CT density of solitary capillary hemangioma of the lung upon varying patient position. Jpn. J. Radiol. 2012, 30, 772–776. [Google Scholar] [CrossRef]
- Sakaguchi, Y.; Isowa, N.; Tokuyasu, H.; Miura, H. A resected case of solitary pulmonary capillary hemangioma showing pure ground glass opacity. Ann. Thorac. Cardiovasc. Surg. 2014, 20, 578–581. [Google Scholar] [CrossRef]
- Zhu, Y.; Qu, N.; Sun, L.; Meng, X.; Li, X.; Zhang, Y. Solitary pulmonary capillary hemangioma presents as ground glass opacity on computed tomography indicating adenocarcinoma in situ/atypical adenomatous hyperplasia: A case report. Biomed. Rep. 2017, 7, 515–519. [Google Scholar] [CrossRef][Green Version]
- Lin, M.W.; Wang, H.J.; Chen, Y.C.; Chen, L.W.; Hsieh, M.S.; Yang, S.M.; Chen, H.F.; Wang, C.W.; Chen, J.S.; Chang, Y.C.; et al. Radiomic Feature Analysis for Distinguishing Solitary Pulmonary Capillary Hemangioma from Lepidic-Predominant Lung Adenocarcinoma in Ground Glass Lung Nodules. 2020. Available online: https://www.researchsquare.com/article/rs-125479/v1 (accessed on 1 August 2021).
- Hansell, D.M.; Bankier, A.A.; MacMahon, H.; McLoud, T.C.; Muller, N.L.; Remy, J. Fleischner Society: Glossary of terms for thoracic imaging. Radiology 2008, 246, 697–722. [Google Scholar] [CrossRef]
- Shin, S.H.; Jeong, D.Y.; Lee, K.S.; Cho, J.H.; Choi, Y.S.; Lee, K.; Um, S.W.; Kim, H.; Jeong, B.H. Which definition of a central tumour is more predictive of occult mediastinal metastasis in nonsmall cell lung cancer patients with radiological N0 disease? Eur. Respir. J. 2019, 53, 1801508. [Google Scholar] [CrossRef]
- Asamura, H.; Suzuki, K.; Watanabe, S.; Matsuno, Y.; Maeshima, A.; Tsuchiya, R. A clinicopathological study of resected subcentimeter lung cancers: A favorable prognosis for ground glass opacity lesions. Ann. Thorac. Surg. 2003, 76, 1016–1022. [Google Scholar] [CrossRef]
- Travis, W.D.; Garg, K.; Franklin, W.A.; Wistuba, I.I.; Sabloff, B.; Noguchi, M.; Kakinuma, R.; Zakowski, M.; Ginsberg, M.; Padera, R.; et al. Evolving concepts in the pathology and computed tomography imaging of lung adenocarcinoma and bronchioloalveolar carcinoma. J. Clin. Oncol. 2005, 23, 3279–3287. [Google Scholar] [CrossRef]
- Suzuki, K.; Kusumoto, M.; Watanabe, S.; Tsuchiya, R.; Asamura, H. Radiologic classification of small adenocarcinoma of the lung: Radiologic-pathologic correlation and its prognostic impact. Ann. Thorac. Surg. 2006, 81, 413–419. [Google Scholar] [CrossRef]
- Austin, J.H.; Garg, K.; Aberle, D.; Yankelevitz, D.; Kuriyama, K.; Lee, H.J.; Brambilla, E.; Travis, W.D. Radiologic implications of the 2011 classification of adenocarcinoma of the lung. Radiology 2013, 266, 62–71. [Google Scholar] [CrossRef]
- Chung, M.J.; Lee, K.S.; Han, J.; Sung, Y.M.; Chong, S.; Kwon, O.J. Pulmonary sclerosing hemangioma presenting as solitary pulmonary nodule: Dynamic CT findings and histopathologic comparisons. AJR Am. J. Roentgenol. 2006, 187, 430–437. [Google Scholar] [CrossRef]
- Kim, E.Y.; Kim, T.S.; Han, J.; Kim, H.; Choi, Y.S. Recurrent pulmonary capillary hemangioma: Dynamic contrast-enhanced CT and histopathologic findings. Korean J. Radiol. 2012, 13, 350–354. [Google Scholar] [CrossRef]
- Groheux, D.; Quere, G.; Blanc, E.; Lemarignier, C.; Vercellino, L.; de Margerie-Mellon, C.; Merlet, P.; Querellou, S. FDG PET-CT for solitary pulmonary nodule and lung cancer: Literature review. Diagn. Interv. Imaging 2016, 97, 1003–1017. [Google Scholar] [CrossRef]
- Hasegawa, M.; Sone, S.; Takashima, S.; Li, F.; Yang, Z.G.; Maruyama, Y.; Watanabe, T. Growth rate of small lung cancers detected on mass CT screening. Br. J. Radiol. 2000, 73, 1252–1259. [Google Scholar] [CrossRef]
- MacMahon, H.; Naidich, D.P.; Goo, J.M.; Lee, K.S.; Leung, A.N.C.; Mayo, J.R.; Mehta, A.C.; Ohno, Y.; Powell, C.A.; Prokop, M.; et al. Guidelines for management of incidental pulmonary nodules detected on CT images: From the Fleischner Society 2017. Radiology 2017, 284, 228–243. [Google Scholar] [CrossRef]
- Yankelevitz, D.F.; Yip, R.; Smith, J.P.; Liang, M.; Liu, Y.; Xu, D.M.; Salvatore, M.M.; Wolf, A.S.; Flores, R.M.; Henschke, C.I.; et al. CT screening for lung cancer: Nonsolid nodules in baseline and annual repeat rounds. Radiology 2015, 277, 555–564. [Google Scholar] [CrossRef]





| Variables | Data (n = 17) |
|---|---|
| Age (y) | 47 (30–60) * |
| Female | 10 (59) |
| Smoking history | 6 (35) |
| Medical history | |
| Diabetes mellitus | 1 (6) |
| Hypertension | 1 (6) |
| Malignancy ** | 3 (18) |
| Lung cancer | 1 (6) |
| Tuberculosis or NTM disease | 2 (12) |
| Emphysema | 0 (0) |
| Interstitial lung abnormality † | 0 (0) |
| Variables | Data (n = 17) |
|---|---|
| Mode of detection | |
| Screening | 13 (76) |
| Cancer work-up | 4 (24) |
| Mode of histologic confirmation | |
| Core needle biopsy | 2 (12) |
| Surgical resection | 15 (88) |
| Current disease status | |
| No evidence of disease | 14 (82) |
| No interval change | 2 (12) * |
| Decrease in size/density | 1 (6) ** |
| Variables | All Patients (n = 17) |
|---|---|
| Max. diameter of the whole lesion (mm) | 13.4 ± 4.2 |
| Max. diameter of the solid component (mm) | 9.1 ± 4.7 |
| Percentage of the solid component (%) | 67.5 ± 28.2 |
| Nodule density | |
| Ground-glass | 1 (6) |
| Part-solid | 15 (88) |
| Solid | 1 (6) |
| Lobe | |
| RUL/RML/RLL | 1 (6)/1 (6)/8 (48) |
| LUL/LLL | 2 (12)/5 (30) |
| Location | |
| Central | 2 (12) |
| Peripheral | 15 (88) |
| Contour | |
| Smooth | 16 (94) |
| Lobulated | 1 (6) |
| Margin | |
| Well-defined | 8 (47) |
| Ill-defined | 9 (53) |
| Perivascular lucency | 2 (12) |
| Air bronchogram | 10 (59) |
| Pleural retraction * | 0 (0) |
| Enhancement ** | |
| Hypoattenuation | 14 (93) |
| Isoattenuation | 1 (7) |
| FDG uptake on PET-CT † | |
| Hypometabolic | 10 (100) |
| Change during follow-up period | |
| None | 10 (59) |
| Decrease in size/density or fluctuation in size/shape/density | 3 (18) |
| Increase in size/density | 4 (24) |
Publisher’s Note: MDPI stays neutral with regard to jurisdictional claims in published maps and institutional affiliations. |
© 2022 by the authors. Licensee MDPI, Basel, Switzerland. This article is an open access article distributed under the terms and conditions of the Creative Commons Attribution (CC BY) license (https://creativecommons.org/licenses/by/4.0/).
Share and Cite
Kim, M.J.; Hong, W.; Kim, T.J.; Han, J.; Choi, Y.-L.; Choi, J.Y.; Lee, S.M.; Hwang, S.H. Solitary Pulmonary Capillary Hemangioma: CT and PET-CT Features with Clinicopathologic Correlation. Diagnostics 2022, 12, 2618. https://doi.org/10.3390/diagnostics12112618
Kim MJ, Hong W, Kim TJ, Han J, Choi Y-L, Choi JY, Lee SM, Hwang SH. Solitary Pulmonary Capillary Hemangioma: CT and PET-CT Features with Clinicopathologic Correlation. Diagnostics. 2022; 12(11):2618. https://doi.org/10.3390/diagnostics12112618
Chicago/Turabian StyleKim, Min Ju, Wonju Hong, Tae Jung Kim, Joungho Han, Yoon-La Choi, Joon Young Choi, Sang Min Lee, and Sung Ho Hwang. 2022. "Solitary Pulmonary Capillary Hemangioma: CT and PET-CT Features with Clinicopathologic Correlation" Diagnostics 12, no. 11: 2618. https://doi.org/10.3390/diagnostics12112618
APA StyleKim, M. J., Hong, W., Kim, T. J., Han, J., Choi, Y.-L., Choi, J. Y., Lee, S. M., & Hwang, S. H. (2022). Solitary Pulmonary Capillary Hemangioma: CT and PET-CT Features with Clinicopathologic Correlation. Diagnostics, 12(11), 2618. https://doi.org/10.3390/diagnostics12112618

