Improvement of Retinal Microcirculation after Pulmonary Vein Isolation in Patients with Atrial Fibrillation—An Optical Coherence Tomography Angiography Study
Abstract
:1. Introduction
2. Methods
2.1. Study Population
2.2. Anticoagulation
2.3. Examination
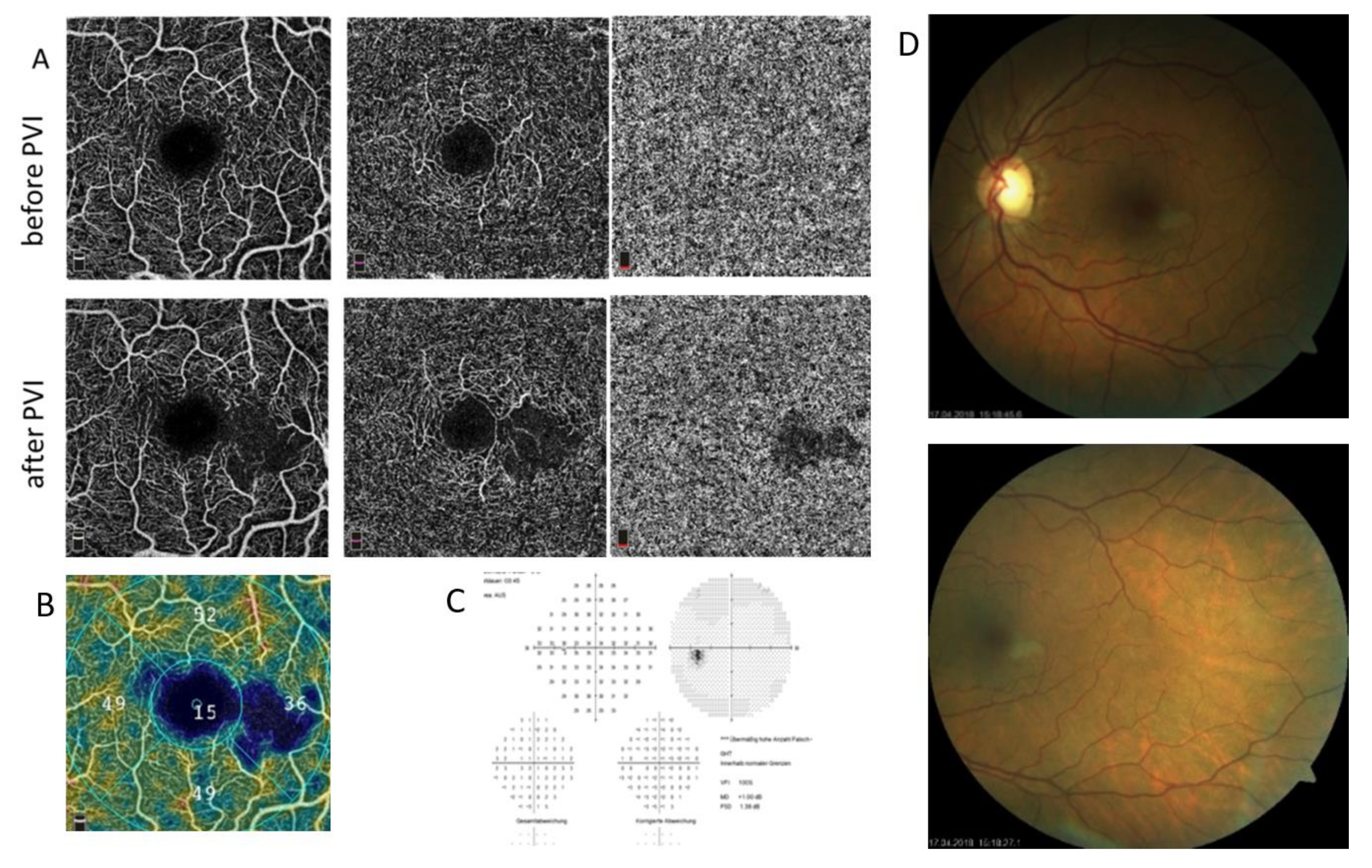
2.4. OCT-A
2.5. Scans
2.6. Data Analysis and Statistics
3. Results
4. Discussion
5. Conclusions
Author Contributions
Funding
Institutional Review Board Statement
Informed Consent Statement
Data Availability Statement
Acknowledgments
Conflicts of Interest
References
- Hindricks, G.; Potpara, T.; Dagres, N.; Arbelo, E.; Bax, J.J.; Blomström-Lundqvist, C.; Boriani, G.; Castella, M.; Dan, G.A.; Dilaveris, P.E.; et al. 2020 ESC Guidelines for the diagnosis and management of atrial fibrillation developed in collaboration with the European Association for Cardio-Thoracic Surgery (EACTS). Eur. Heart J. 2021, 42, 373–498. [Google Scholar] [CrossRef] [PubMed]
- Parameswaran, R.; Al-Kaisey, A.M.; Kalman, J.M. Catheter ablation for atrial fibrillation: Current indications and evolving technologies. Nat. Rev. Cardiol. 2020, 18, 210–225. [Google Scholar] [CrossRef] [PubMed]
- Cappato, R.; Calkins, H.; Chen, S.A.; Davies, W.; Iesaka, Y.; Kalman, J.; Kim, Y.; Klein, G.; Natale, A.; Packer, D.; et al. Updated worldwide survey on the methods, efficacy, and safety of catheter ablation for human atrial fibrillation. Circ. Arrhythm. Electrophysiol. 2010, 3, 32–38. [Google Scholar] [CrossRef] [PubMed] [Green Version]
- Neumann, T.; Kuniss, M.; Conradi, G.; Janin, S.; Berkowitsch, A.; Wojcik, M.; Rixe, J.; Erkapic, D.; Zaltsberg, S.; Rolf, A.; et al. MEDAFI-Trial (Micro-embolization during ablation of atrial fibrillation): Comparison of pulmonary vein isolation using cryoballoon technique vs. radiofrequency energy. Europace 2011, 13, 37–44. [Google Scholar] [CrossRef]
- Gaita, F.; Caponi, D.; Pianelli, M.; Scaglione, M.; Toso, E.; Cesarani, F.; Boffano, C.; Gandini, G.; Valentini, M.C.; de Ponti, R.; et al. Radiofrequency catheter ablation of atrial fibrillation: A cause of silent thromboembolism? Magnetic resonance imaging assessment of cerebral thromboembolism in patients undergoing ablation of atrial fibrillation. Circulation 2010, 122, 1667–1673. [Google Scholar] [CrossRef]
- Madhavan, M.; Graff-Radford, J.; Piccini, J.P.; Gersh, B.J. Cognitive dysfunction in atrial fibrillation. Nat. Rev. Cardiol. 2018, 15, 744–756. [Google Scholar] [CrossRef]
- Alosco, M.L.; Spitznagel, M.B.; Sweet, L.H.; Josephson, R.; Hughes, J.; Gunstad, J. Atrial fibrillation exacerbates cognitive dysfunction and cerebral perfusion in heart failure. Pacing Clin. Electrophysiol. 2015, 38, 178–186. [Google Scholar] [CrossRef]
- Gardarsdottir, M.; Sigurdsson, S.; Aspelund, T.; Rokita, H.; Launer, L.J.; Gudnason, V.; Arnar, D.O. Atrial fibrillation is associated with decreased total cerebral blood flow and brain perfusion. Europace 2018, 20, 1252–1258. [Google Scholar] [CrossRef]
- Alnawaiseh, M.; Schubert, F.; Heiduschka, P.; Eter, N. Optical Coherence Tomography Angiography in Patients with Retinitis Pigmentosa. Retina 2017, 39, 210–217. [Google Scholar] [CrossRef]
- Al-Sheikh, M.; Tepelus, T.C.; Nazikyan, T.; Sadda, S.R. Repeatability of automated vessel density measurements using optical coherence tomography angiography. Br. J. Ophthalmol. 2017, 101, 449–452. [Google Scholar] [CrossRef]
- Kashania, A.H.; Chen, C.L.; Gahm, J.K.; Zheng, F.; Richter, G.M.; Rosenfeld, P.J.; Shi, Y.; Wang, R.K. Optical coherence tomography angiography: A comprehensive review of current methods and clinical applications. Prog. Retin Eye Res. 2017, 60, 66–100. [Google Scholar] [CrossRef]
- Yarmohammadi, A.; Zangwill, L.M.; Diniz-Filho, A.; Suh, M.H.; Manalastas, P.I.; Fatehee, N.; Yousefi, S.; Belghith, A.; Saunders, L.J.; Medeiros, F.A.; et al. Optical Coherence Tomography Angiography Vessel Density in Healthy, Glaucoma Suspect, and Glaucoma Eyes. Investig. Ophthalmol. Vis. Sci. 2016, 57, OCT451–OCT459. [Google Scholar] [CrossRef] [PubMed]
- Lange, P.S.; Lahme, L.; Esser, E.; Frommeyer, G.; Fischer, A.J.; Bode, N.; Höwel, D.; Mihailovic, N.; Hessler, M.; Eter, N.; et al. Reduced flow density in patients with atrial fibrillation measured using optical coherence tomography angiography. Acta Ophthalmol. 2020, 98, e789–e790. [Google Scholar] [CrossRef]
- Wenning, C.; Lange, P.S.; Schülke, C.; Vrachimis, A.; Mönnig, G.; Schober, O.; Eckardt, L.; Schäfers, M. Pulmonary vein isolation in patients with paroxysmal atrial fibrillation is associated with regional cardiac sympathetic denervation. EJNMMI Res. 2013, 3, 81. [Google Scholar] [CrossRef] [PubMed] [Green Version]
- Cordes, F.; Ellermann, C.; Dechering, D.G.; Frommeyer, G.; Kochhäuser, S.; Lange, P.S.; Pott, C.; Lenze, F.; Kabar, I.; Schmidt, H.; et al. Pre-procedural proton pump inhibition is associated with fewer perioesophageal lesions after cryoballoon pulmonary vein isolation. Sci. Rep. 2021, 11, 4728. [Google Scholar] [CrossRef]
- Cordes, F.; Ellermann, C.; Dechering, D.G.; Frommeyer, G.; Kochhäuser, S.; Lange, P.S.; Pott, C.; Lenze, F.; Schmidt, H.; Ullerich, H.; et al. Time-to-isolation-guided cryoballoon ablation reduces oesophageal and mediastinal alterations detected by endoscopic ultrasound: Results of the MADE-PVI trial. Europace 2019, 21, 1325–1333. [Google Scholar] [CrossRef] [PubMed]
- Alnawaiseh, M.; Lahme, L.; Treder, M.; Rosentreter, A.; Eter, N. Short-Term Effects of Exercise on Optic Nerve and Macular Perfusion Measured by Optical Coherence Tomography Angiography. Retina 2017, 37, 1642–1646. [Google Scholar] [CrossRef] [PubMed]
- Alnawaiseh, M.; Brand, C.; Bormann, E.; Wistuba, J.; Eter, N.; Heiduschka, P. Quantitative analysis of retinal perfusion in mice using optical coherence tomography angiography. Exp. Eye Res. 2017, 164, 151–156. [Google Scholar] [CrossRef] [PubMed]
- Alnawaiseh, M.; Hömberg, L.; Eter, N.; Prokosch, V. Comparison between the Correlations of Retinal Nerve Fiber Layer Thickness Measured by Spectral Domain Optical Coherence Tomography and Visual Field Defects in Standard Automated White-on-White Perimetry versus Pulsar Perimetry. J. Ophthalmol. 2017, 2017, 8014294. [Google Scholar] [CrossRef] [PubMed] [Green Version]
- Alnawaiseh, M.; Ertmer, C.; Seidel, L.; Arnemann, P.H.; Lahme, L.; Kampmeier, T.; Rehberg, S.W.; Heiduschka, P.; Eter, N.; Hessler, M. Feasibility of optical coherence tomography angiography to assess changes in retinal microcirculation in ovine haemorrhagic shock. Crit. Care 2018, 22, 138. [Google Scholar] [CrossRef] [PubMed] [Green Version]
- Brand, C.; Zitzmann, M.; Eter, N.; Kliesch, S.; Wistuba, J.; Alnawaiseh, M.; Heiduschka, P. Aberrant ocular architecture and function in patients with Klinefelter syndrome. Sci. Rep. 2017, 7, 13130. [Google Scholar] [CrossRef] [PubMed]
- Larissa, L.; Luisa, E.E.; Natasa, M.; Friederike, S.; Jost, L.; Andreas, J.; Nicolea, E.; Thomasb, D.; Mageda, A. Evaluation of Ocular Perfusion in Alzheimer’s Disease Using Optical Coherence Tomography Angiography. J. Alzheimers Dis. 2018, 66, 1745–1752. [Google Scholar]
- Lahme, L.; Marchiori, E.; Panuccio, G.; Nelis, P.; Schubert, F.; Mihailovic, N.; Torsello, G.; Eter, N.; Alnawaiseh, M. Changes in retinal flow density measured by optical coherence tomography angiography in patients with carotid artery stenosis after carotid endarterectomy. Sci. Rep. 2018, 8, 17161. [Google Scholar] [CrossRef] [PubMed]
- Boyle, P.M.; Del Álamo, J.C.; Akoum, N. Fibrosis, atrial fibrillation and stroke: Clinical updates and emerging mechanistic models. Heart 2020, 107, 99–105. [Google Scholar] [CrossRef]
- Essa, H.; Hill, A.M.; Lip, G.Y.H. Atrial Fibrillation and Stroke. Card. Electrophysiol. Clin. 2021, 13, 243–255. [Google Scholar] [CrossRef] [PubMed]
- Kotalczyk, A.; Mazurek, M.; Kalarus, Z.; Potpara, T.S.; Lip, G.Y. Stroke prevention strategies in high-risk patients with atrial fibrillation. Nat. Rev. Cardiol. 2021, 18, 276–290. [Google Scholar] [CrossRef] [PubMed]
- Valotassiou, V.; Papatriantafyllou, J.; Sifakis, N.; Tzavara, C.; Tsougos, I.; Psimadas, D.; Fezoulidis, I.; Kapsalaki, E.; Hadjigeorgiou, G.; Georgoulias, P. Clinical Evaluation of Brain Perfusion SPECT with Brodmann Areas Mapping in Early Diagnosis of Alzheimer’s Disease. J. Alzheimers Dis. 2015, 47, 773–785. [Google Scholar] [CrossRef] [PubMed]
- Valotassiou, V.; Papatriantafyllou, J.; Sifakis, N.; Tzavara, C.; Tsougos, I.; Psimadas, D.; Kapsalaki, E.; Fezoulidis, I.; Hadjigeorgiou, G.; Georgoulias, P. Brain perfusion SPECT with Brodmann areas analysis in differentiating frontotemporal dementia subtypes. Curr. Alzheimer Res. 2014, 11, 941–954. [Google Scholar] [CrossRef] [PubMed]
- Van der Thiel, M.; Rodriguez, C.; Van De Ville, D.; Giannakopoulos, P.; Haller, S. Regional Cerebral Perfusion and Cerebrovascular Reactivity in Elderly Controls with Subtle Cognitive Deficits. Front. Aging Neurosci. 2019, 11, 19. [Google Scholar] [CrossRef] [Green Version]
- Piccini, J.P.; Todd, D.M.; Massaro, T.; Lougee, A.; Haeusler, K.G.; Blank, B.; de Bono, J.P.; Callans, D.J.; Elvan, A.; Fetsch, T.; et al. Changes in quality of life, cognition and functional status following catheter ablation of atrial fibrillation. Heart 2020, 106, 1919–1926. [Google Scholar] [CrossRef]

| Study Group | Control Group | p-Value | |
|---|---|---|---|
| Median (25th; 75th percentile) | Median (25th; 75th percentile) | ||
| n | 34 | 35 | |
| age (years) | 60.50 (52.00; 65.25) | 50.70 (51.00; 70.00) | 0.908 |
| sex (male/female) | 24/10 | 17/18 | 0.06 |
| spherical equivalent (diopters) | 0.375 (−1.31; 1.00) | 0.500 (0.00; 1.50) | 0.076 |
| IOP | 15.00 (14.00; 17.00) | 15.00 (13.00; 17.00) | 0.506 |
| visual acuity (decimals) | 1.00 (0.80; 1.00) | 1.00 (0.80; 1.00) | 0.651 |
| comorbidity | |||
| diabetes | 2 | 0 | |
| arterial hypertension | 24 | 0 | |
| hyperlipoproteinemia | 7 | 0 | |
| Study Group before Therapy (n = 34) | Control Group (n = 35) | p-Value | |
|---|---|---|---|
| Median (25th; 75th percentile) | Median (25th; 75th percentile) | ||
| OCT-A superficial | |||
| whole en face | 48.77 (45.19; 52.12) | 53.01 (50.00; 54.25) | 0.000 |
| fovea | 26.65 (21.39; 30.95) | 31.99 (26.94; 34.78) | 0.005 |
| parafovea | 50.97 (47.09; 54.52) | 54.78 (52.01; 56.34) | 0.001 |
| OCT-A deep | |||
| whole en face | 55.61 (49.40; 57.79) | 57.15 (56.20; 58.64) | 0.005 |
| fovea | 32.63 (28.89; 36.21) | 29.45 (25.55; 32.18) | 0.099 |
| parafovea | 57.22 (51.05; 60.43) | 59.60 (58.12; 61.40) | 0.004 |
| OCT-A RPC | |||
| whole en face | 51.82 (48.41; 54.03) | 56.00 (54.35; 57.70) | 0.000 |
| inside disc | 47.83 (36.56; 52.47) | 45.42 (38.79; 50.00) | 0.670 |
| peripapillary | 57.02 (51.60; 63.35) | 64.80 (61.74; 65.78) | 0.000 |
| before PVI | after PVI | p-Value | |
|---|---|---|---|
| n = 34 | Median (25th; 75th percentile) | Median (25th; 75th percentile) | |
| OCT-A superficial | |||
| whole en face | 48.77 (45.19; 52.12) | 50.30 (44.35; 52.73) | 0.266 |
| fovea | 26.65 (21.39; 30.95) | 29.28 (21.39; 31.90) | 0.969 |
| parafovea | 50.97 (47.09; 54.52) | 52.81 (46.80; 55.13) | 0.221 |
| OCT-A deep | |||
| whole en face | 55.61 (49.40; 57.79) | 56.22 (48.70; 58.15) | 0.166 |
| fovea | 32.63 (28.89; 36.21) | 32.70 (27.19; 36.62) | 0.881 |
| parafovea | 57.22 (51.05; 60.43) | 58.21 (50.60; 61.02) | 0.127 |
| OCT-A RPC | |||
| whole en face | 51.82 (48.41; 54.03) | 52.49 (50.34; 55.62) | 0.007 |
| inside Disc | 47.83 (36.56; 52.47) | 49.36 (36.24; 54.90) | 0.004 |
| peripapillary | 57.02 (51.60; 63.35) | 60.98 (54.03; 65.89) | 0.008 |
Publisher’s Note: MDPI stays neutral with regard to jurisdictional claims in published maps and institutional affiliations. |
© 2021 by the authors. Licensee MDPI, Basel, Switzerland. This article is an open access article distributed under the terms and conditions of the Creative Commons Attribution (CC BY) license (https://creativecommons.org/licenses/by/4.0/).
Share and Cite
Lange, P.S.; Mihailovic, N.; Esser, E.; Frommeyer, G.; Fischer, A.J.; Bode, N.; Höwel, D.; Rosenberger, F.; Eter, N.; Eckardt, L.; et al. Improvement of Retinal Microcirculation after Pulmonary Vein Isolation in Patients with Atrial Fibrillation—An Optical Coherence Tomography Angiography Study. Diagnostics 2022, 12, 38. https://doi.org/10.3390/diagnostics12010038
Lange PS, Mihailovic N, Esser E, Frommeyer G, Fischer AJ, Bode N, Höwel D, Rosenberger F, Eter N, Eckardt L, et al. Improvement of Retinal Microcirculation after Pulmonary Vein Isolation in Patients with Atrial Fibrillation—An Optical Coherence Tomography Angiography Study. Diagnostics. 2022; 12(1):38. https://doi.org/10.3390/diagnostics12010038
Chicago/Turabian StyleLange, Philipp S., Natasa Mihailovic, Eliane Esser, Gerrit Frommeyer, Alicia J. Fischer, Niklas Bode, Dennis Höwel, Friederike Rosenberger, Nicole Eter, Lars Eckardt, and et al. 2022. "Improvement of Retinal Microcirculation after Pulmonary Vein Isolation in Patients with Atrial Fibrillation—An Optical Coherence Tomography Angiography Study" Diagnostics 12, no. 1: 38. https://doi.org/10.3390/diagnostics12010038
APA StyleLange, P. S., Mihailovic, N., Esser, E., Frommeyer, G., Fischer, A. J., Bode, N., Höwel, D., Rosenberger, F., Eter, N., Eckardt, L., Lahme, L., & Alnawaiseh, M. (2022). Improvement of Retinal Microcirculation after Pulmonary Vein Isolation in Patients with Atrial Fibrillation—An Optical Coherence Tomography Angiography Study. Diagnostics, 12(1), 38. https://doi.org/10.3390/diagnostics12010038

