Basaloid Follicular Hamartoma of the Eyelid: A Case Report and Literature Review about an Unusual Lesion in the Ocular Region
Abstract
:1. Introduction
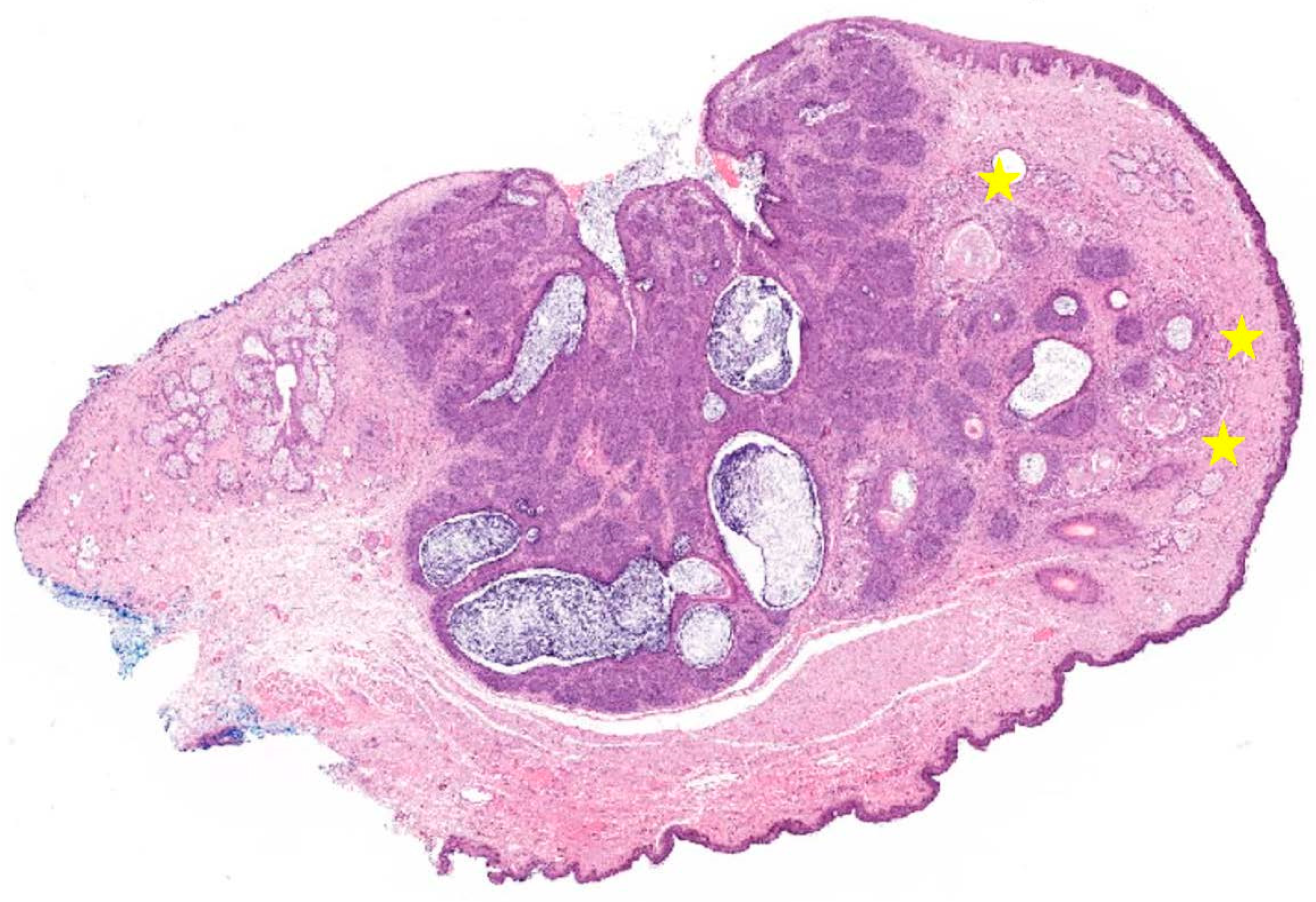
2. Case Presentation
3. Discussion
4. Conclusions
Author Contributions
Funding
Institutional Review Board Statement
Informed Consent Statement
Data Availability Statement
Acknowledgments
Conflicts of Interest
References
- Mills, O.; Thomas, L.B. Basaloid follicular hamartoma. Arch. Pathol. Lab. Med. 2010, 134, 1215–1219. [Google Scholar] [CrossRef] [PubMed]
- Brown, A.C.; Crounse, R.G.; Winkelmann, R.K. Generalized hair-follicle hamartoma, associated with alopecia, aminoacidura, and myasthenia gravis. Arch. Dermatol. 1969, 99, 478–493. [Google Scholar] [CrossRef] [PubMed]
- Mehregan, A.H.; Baker, S. Basaloid follicular hamartoma: Three cases with localized and systematized unilateral lesions. J. Cutan. Pathol. 1985, 12, 55–65. [Google Scholar] [CrossRef] [PubMed]
- Jakobiec, F.A.; Zakka, F.R.; Kim, N. Basaloid follicular hamartoma of the eyelid. Ophthalmic Plast. Reconstr. Surg. 2012, 28, e127–e130. [Google Scholar] [CrossRef] [PubMed]
- Uyar, B.; Sivrikoz, O.N.; Sacar, H. Basaloid follicular hamartoma on the upper eyelid. Postepy Dermatol. I Alergol. 2015, 32, 221–224. [Google Scholar] [CrossRef] [PubMed]
- Jedrzynski, N.; Plum, W.; Tran, A.Q.; Tooley, A.A.; Dowlatshahi, M.; Kazim, M. Basaloid follicular hamartoma of the eyelid in a pediatric patient. Am. J. Ophthalmol. Case Rep. 2020, 19, 100855. [Google Scholar] [CrossRef] [PubMed]
- Ponti, G.; Manfredini, M.; Pastorino, L.; Maccaferri, M.; Tomasi, A.; Pellacani, G. PTCH1 Germline Mutations and the Basaloid Follicular Hamartoma Values in the Tumor Spectrum of Basal Cell Carcinoma Syndrome (NBCCS). Anticancer. Res. 2018, 38, 471–476. [Google Scholar] [CrossRef] [PubMed]
- Shevchenko, A.; Durkin, J.R.; Moon, A.T. Generalized basaloid follicular hamartoma syndrome versus Gorlin syndrome: A diagnostic challenge. Pediatr. Dermatol. 2018, 35, e396–e397. [Google Scholar] [CrossRef]
- Morton, S.; Stevens, A.; Powell, R.J. Basaloid follicular hamartoma, total body hair loss and SLE. Lupus 1998, 7, 207–209. [Google Scholar] [CrossRef] [PubMed]
- Akasaka, T.; Kon, S.; Mihm, M.C., Jr. Multiple basaloid cell hamartoma with alopecia and autoimmune disease (systemic lupus erythematosus). J. Dermatol. 1996, 23, 821–824. [Google Scholar] [CrossRef]
- Mascaro, J.M., Jr.; Ferrando, J.; Bombi, J.A.; Lambruschini, N.; Mascaro, J.M. Congenital generalized follicular hamartoma associated with alopecia and cystic fibrosis in three siblings. Arch. Dermatol. 1995, 131, 454–458. [Google Scholar] [CrossRef] [PubMed]
- Ridley, C.M.; Smith, N. Generalized hair follicle hamartoma associated with alopecia and myasthenia gravis: Report of a second case. Clin. Exp. Dermatol. 1981, 6, 283–289. [Google Scholar] [CrossRef]
- Stanoszek, L.M.; Wang, G.Y.; Harms, P.W. Histologic Mimics of Basal Cell Carcinoma. Arch. Pathol. Lab. Med. 2017, 141, 1490–1502. [Google Scholar] [CrossRef] [PubMed] [Green Version]
- North, V.S.; Habib, L.A.; Yoon, M.K. Merkel cell carcinoma of the eyelid: A review. Surv. Ophthalmol. 2019, 64, 659–667. [Google Scholar] [CrossRef] [PubMed]
- Metz, K.A.; Jacob, M.; Schmidt, U.; Steuhl, K.P.; Leder, L.D. Merkel cell carcinoma of the eyelid: Histological and immunohistochemical features with special respect to differential diagnosis. Graefe’s Arch. Clin. Exp. Ophthalmol. 1998, 236, 561–566. [Google Scholar] [CrossRef] [PubMed]
- Dinarvand, P.; Davaro, E.P.; Doan, J.V.; Ising, M.E.; Evans, N.R.; Phillips, N.J.; Lai, J.; Guzman, M.A. Familial Adenomatous Polyposis Syndrome: An Update and Review of Extraintestinal Manifestations. Arch. Pathol. Lab. Med. 2019, 143, 1382–1398. [Google Scholar] [CrossRef] [PubMed] [Green Version]
- Burger, B.; Cattani, N.; Trueb, S.; de Lorenzo, R.; Albertini, M.; Bontognali, E.; Itin, C.; Schaub, N.; Itin, P.H.; Heinimann, K. Prevalence of skin lesions in familial adenomatous polyposis: A marker for presymptomatic diagnosis? Oncologist 2011, 16, 1698–1705. [Google Scholar] [CrossRef]
- Giardiello, F.M.; Petersen, G.M.; Piantadosi, S.; Gruber, S.B.; Traboulsi, E.I.; Offerhaus, G.J.; Muro, K.; Krush, A.J.; Booker, S.V.; Luce, M.C.; et al. APC gene mutations and extraintestinal phenotype of familial adenomatous polyposis. Gut 1997, 40, 521–525. [Google Scholar] [CrossRef] [PubMed]
- Li, C.J.; Yaghy, A.; Shields, C.L. Pigmented Ocular Fundus Lesions Associated With Familial Adenomatous Polyposis. Ophthalmic Surg. Lasers Imaging Retin. 2020, 51, 124. [Google Scholar] [CrossRef]
- Briscoe, J.; Ericson, J. The specification of neuronal identity by graded Sonic Hedgehog signalling. Semin. Cell Dev. Biol. 1999, 10, 353–362. [Google Scholar] [CrossRef] [PubMed] [Green Version]
- Sigafoos, A.N.; Paradise, B.D.; Fernandez-Zapico, M.E. Hedgehog/GLI Signaling Pathway: Transduction, Regulation, and Implications for Disease. Cancers 2021, 13, 3410. [Google Scholar] [CrossRef]
- Lamas, N.J.; Roybon, L. Harnessing the potential of human pluripotent stem cell-derived motor neurons for drug discovery in Amyotrophic Lateral Sclerosis (ALS): From the clinic to the laboratory and back to the patient. Front. Drug Discov. 2021, 1, 1–26. [Google Scholar] [CrossRef]
- Jeng, K.S.; Chang, C.F.; Lin, S.S. Sonic Hedgehog Signaling in Organogenesis, Tumors, and Tumor Microenvironments. Int. J. Mol. Sci. 2020, 21, 758. [Google Scholar] [CrossRef] [Green Version]
- Doheny, D.; Manore, S.G.; Wong, G.L.; Lo, H.W. Hedgehog Signaling and Truncated GLI1 in Cancer. Cells 2020, 9, 2114. [Google Scholar] [CrossRef] [PubMed]
- Yoshida, Y.; Urabe, K.; Mashino, T.; Duan, H.; Kiryu, H.; Masuda, T.; Koga, T.; Furue, M. Basal cell carcinomas in association with basaloid follicular hamartoma. Dermatology 2003, 207, 57–60. [Google Scholar] [CrossRef]
- Lee, S.; Seo, J.; Chung, K.Y. Unilateral linear basaloid follicular hamartoma: Its diagnosis and successful treatment with surgical excision and adjuvant dermabrasion. J. Dermatol. 2017, 44, e278–e279. [Google Scholar] [CrossRef]



Publisher’s Note: MDPI stays neutral with regard to jurisdictional claims in published maps and institutional affiliations. |
© 2022 by the authors. Licensee MDPI, Basel, Switzerland. This article is an open access article distributed under the terms and conditions of the Creative Commons Attribution (CC BY) license (https://creativecommons.org/licenses/by/4.0/).
Share and Cite
Lamas, N.J.; Rodrigues, A.P.; Araújo, M.; Vizcaíno, J.R.; Coelho, A. Basaloid Follicular Hamartoma of the Eyelid: A Case Report and Literature Review about an Unusual Lesion in the Ocular Region. Diagnostics 2022, 12, 140. https://doi.org/10.3390/diagnostics12010140
Lamas NJ, Rodrigues AP, Araújo M, Vizcaíno JR, Coelho A. Basaloid Follicular Hamartoma of the Eyelid: A Case Report and Literature Review about an Unusual Lesion in the Ocular Region. Diagnostics. 2022; 12(1):140. https://doi.org/10.3390/diagnostics12010140
Chicago/Turabian StyleLamas, Nuno Jorge, Ana Patrícia Rodrigues, Maria Araújo, José Ramón Vizcaíno, and André Coelho. 2022. "Basaloid Follicular Hamartoma of the Eyelid: A Case Report and Literature Review about an Unusual Lesion in the Ocular Region" Diagnostics 12, no. 1: 140. https://doi.org/10.3390/diagnostics12010140
APA StyleLamas, N. J., Rodrigues, A. P., Araújo, M., Vizcaíno, J. R., & Coelho, A. (2022). Basaloid Follicular Hamartoma of the Eyelid: A Case Report and Literature Review about an Unusual Lesion in the Ocular Region. Diagnostics, 12(1), 140. https://doi.org/10.3390/diagnostics12010140

