Acoustic Neurinoma with Synchronous Ipsilateral Cerebellopontine Angle Lipoma: A Case Report and Review of the Literature
Abstract
1. Introduction
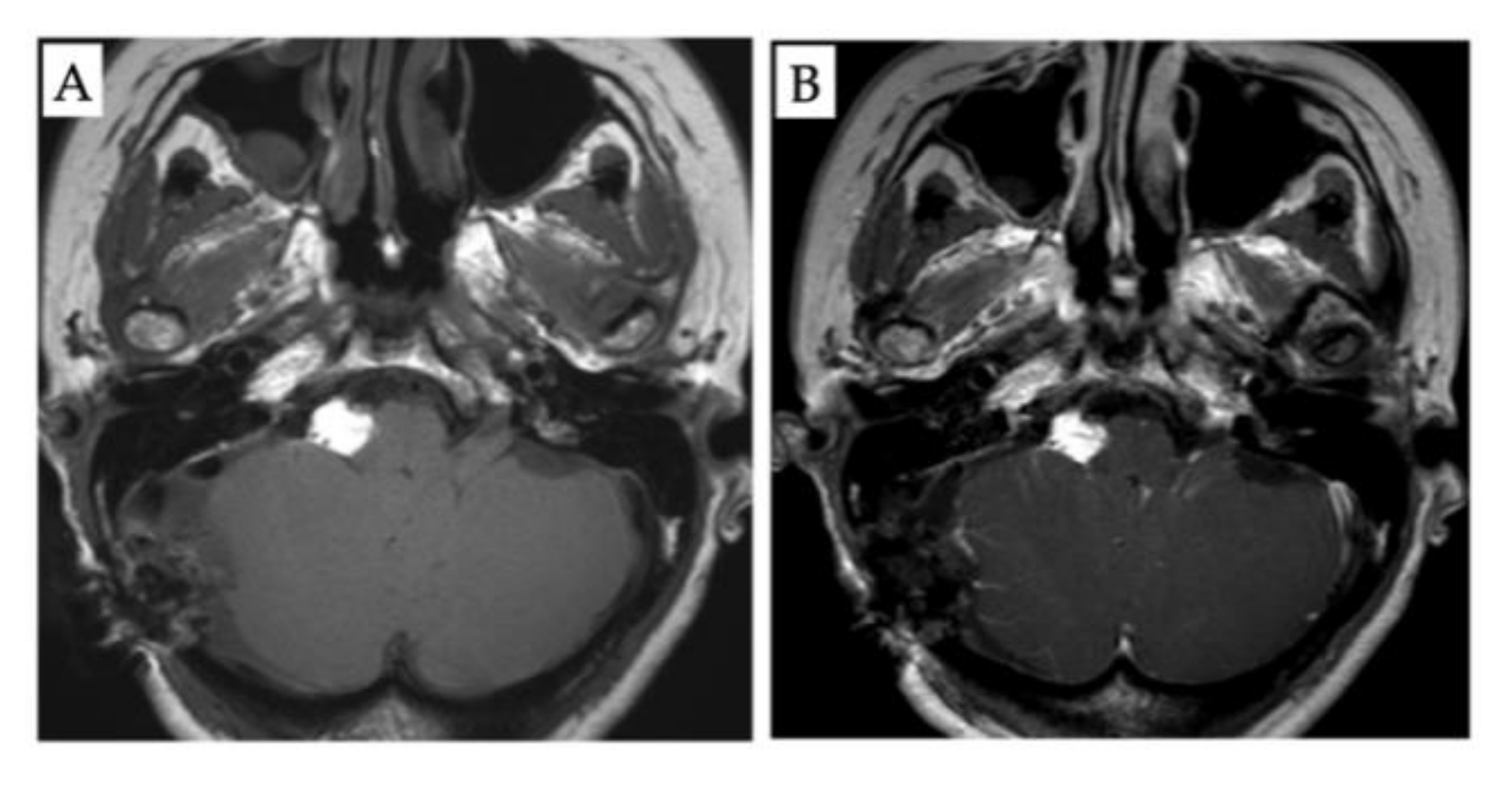
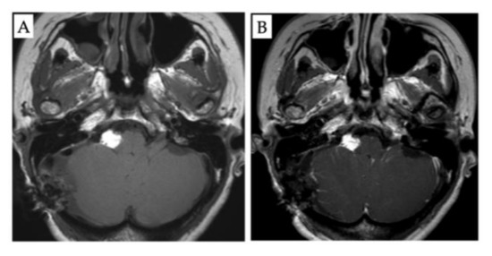
2. Case Presentation
3. Discussion
4. Conclusions
Supplementary Materials
Author Contributions
Funding
Institutional Review Board Statement
Informed Consent Statement
Data Availability Statement
Conflicts of Interest
References
- Tankéré, F.; Vitte, E.; Martin-Duverneuil, N.; Soudant, J. Cerebellopontine angle lipomas: Report of four cases and review of the literature. Neurosurgery 2002, 50, 626–631, discussion 631–632. [Google Scholar] [PubMed]
- Scuotto, A.; Cappabianca, S.; D’Errico, C.; Cirillo, S.; Natale, M.; D’Avanzo, R.; Rotondo, M. Lipomas of the cerebellopontine angle: Neuroradiological and surgical considerations. Review of the literature and report of our experience. Clin. Neurol. Neurosurg. 2013, 115, 2280–2283. [Google Scholar] [CrossRef] [PubMed]
- Truwit, C.L.; Barkovich, A.J. Pathogenesis of intracranial lipoma: An MR study in 42 patients. AJR Am. J. Roentgenol. 1990, 155, 855–864, discussion 865. [Google Scholar] [CrossRef] [PubMed]
- Bacciu, A.; Di Lella, F.; Ventura, E.; Pasanisi, E.; Russo, A.; Sanna, M. Lipomas of the internal auditory canal and cerebellopontine angle. Ann. Otol. Rhinol. Laryngol. 2014, 123, 58–64. [Google Scholar] [CrossRef] [PubMed]
- Christensen, W.N.; Long, D.M.; Epstein, J.I. Cerebellopontine angle lipoma. Hum. Pathol. 1986, 17, 739–743. [Google Scholar] [CrossRef]
- Nakao, S.; Yamamoto, T.; Fukumitsu, T.; Ban, S.; Motozaki, T.; Sato, S.; Otsuka, S.; Nakatsu, S.; Tabuchi, T.; Saiwai, S. Cerebellopontine angle lipoma. Case report. Neurol. Med. Chir. 1988, 28, 1113–1138. (In Japanese) [Google Scholar] [CrossRef] [PubMed][Green Version]
- Yoshii, K.; Yamada, S.; Aiba, T.; Miyoshi, S. Cerebellopontine angle lipoma with abnormal bony structures—Case report. Neurol. Med. Chir. 1989, 29, 48–51. [Google Scholar] [CrossRef] [PubMed]
- Nishizawa, S.; Yokoyama, T.; Ohta, S.; Ryu, H.; Ninchoji, T.; Shimoyama, I.; Yamamoto, S.; Sugiura, Y.; Uemura, K.; Nozue, M. Lipoma in the cerebellopontine angle—Case report. Neurol. Med. Chir. 1990, 30, 137–142. [Google Scholar] [CrossRef] [PubMed]
- Ferreira, M.P.; Ferreira, N.P.; Lenhardt, R. Lipoma of the cerebellopontine angle. Case reports and literature review. Arq. Neuropsiquiatr. 1994, 52, 58–63. [Google Scholar] [CrossRef] [PubMed][Green Version]
- Schuhmann, M.U.; Lüdemann, W.O.; Schreiber, H.; Samii, M. Cerebellopontine angle lipoma: A rare differential diagnosis. Skull Base Surg. 1997, 7, 199–205. [Google Scholar] [CrossRef] [PubMed][Green Version]
- Mukherjee, P.; Street, I.; Irving, R.M. Intracranial lipomas affecting the cerebellopontine angle and internal auditory canal: A case series. Otol. Neurotol. 2011, 32, 670–675. [Google Scholar] [CrossRef] [PubMed]
- Filli, L.; Huber, A.; Husain, N.A. Symptomatic Lipoma of the Internal Auditory Canal: CT and MRI Findings. A Case Report. Neuroradiol. J. 2014, 27, 479–481. [Google Scholar] [CrossRef] [PubMed]
- Saunders, J.E.; Kwartler, J.A.; Wolf, H.K.; Brackmann, D.E.; McElveen, J.T. Lipomas of the internal auditory canal. Laryngoscope 1991, 101, 1031–1037. [Google Scholar] [CrossRef] [PubMed]
- Greinwald, J.H.; Lassen, L.F. Lipomas of the internal auditory canal. Laryngoscope 1997, 107, 364–368. [Google Scholar] [CrossRef] [PubMed]
- Totten, D.J.; Manzoor, N.F.; Perkins, E.L.; Labadie, R.F.; Bennett, M.L.; Haynes, D.S. Cerebellopontine Angle and Internal Auditory Canal Lipomas: Case Series and Systematic Review. Laryngoscope 2021, 131, 2081–2087. [Google Scholar] [CrossRef] [PubMed]



| n | % | |
|---|---|---|
| No additional symptoms after operation | 4 | 16.7 |
| Additional symptoms after operation | 20 | 83.3 |
| Hearing loss | 10 | 41.7 |
| CN VII paresis | 9 | 37.5 |
| CN VI paresis | 3 | 12.5 |
| Vertigo | 2 | 8.3 |
| CN V paresis | 2 | 8.3 |
| CN VIII, IX, X, XI, XII paresis, CSF leakage, meningitis, cerebellar ataxia, dizziness, bitonal voice (one of each case) | 10 | 4.2 |
| n | % | |
|---|---|---|
| No additional symptoms after operation | 1 | 6.7 |
| Additional symptoms after operation | 14 | 93.3 |
| Hearing loss | 8 | 53.3 |
| CN VII paresis | 7 | 46.7 |
| CSF leakage | 1 | 6.7 |
| Severe dizziness | 1 | 6.7 |
Publisher’s Note: MDPI stays neutral with regard to jurisdictional claims in published maps and institutional affiliations. |
© 2022 by the authors. Licensee MDPI, Basel, Switzerland. This article is an open access article distributed under the terms and conditions of the Creative Commons Attribution (CC BY) license (https://creativecommons.org/licenses/by/4.0/).
Share and Cite
Kanaya, T.; Murai, Y.; Yui, K.; Sato, S.; Morita, A. Acoustic Neurinoma with Synchronous Ipsilateral Cerebellopontine Angle Lipoma: A Case Report and Review of the Literature. Diagnostics 2022, 12, 120. https://doi.org/10.3390/diagnostics12010120
Kanaya T, Murai Y, Yui K, Sato S, Morita A. Acoustic Neurinoma with Synchronous Ipsilateral Cerebellopontine Angle Lipoma: A Case Report and Review of the Literature. Diagnostics. 2022; 12(1):120. https://doi.org/10.3390/diagnostics12010120
Chicago/Turabian StyleKanaya, Takahiro, Yasuo Murai, Kanako Yui, Shun Sato, and Akio Morita. 2022. "Acoustic Neurinoma with Synchronous Ipsilateral Cerebellopontine Angle Lipoma: A Case Report and Review of the Literature" Diagnostics 12, no. 1: 120. https://doi.org/10.3390/diagnostics12010120
APA StyleKanaya, T., Murai, Y., Yui, K., Sato, S., & Morita, A. (2022). Acoustic Neurinoma with Synchronous Ipsilateral Cerebellopontine Angle Lipoma: A Case Report and Review of the Literature. Diagnostics, 12(1), 120. https://doi.org/10.3390/diagnostics12010120

