Automated Mesiodens Classification System Using Deep Learning on Panoramic Radiographs of Children
Abstract
:1. Introduction
2. Materials and Methods
2.1. Ethics Statement
2.2. Subjects
2.3. Methods
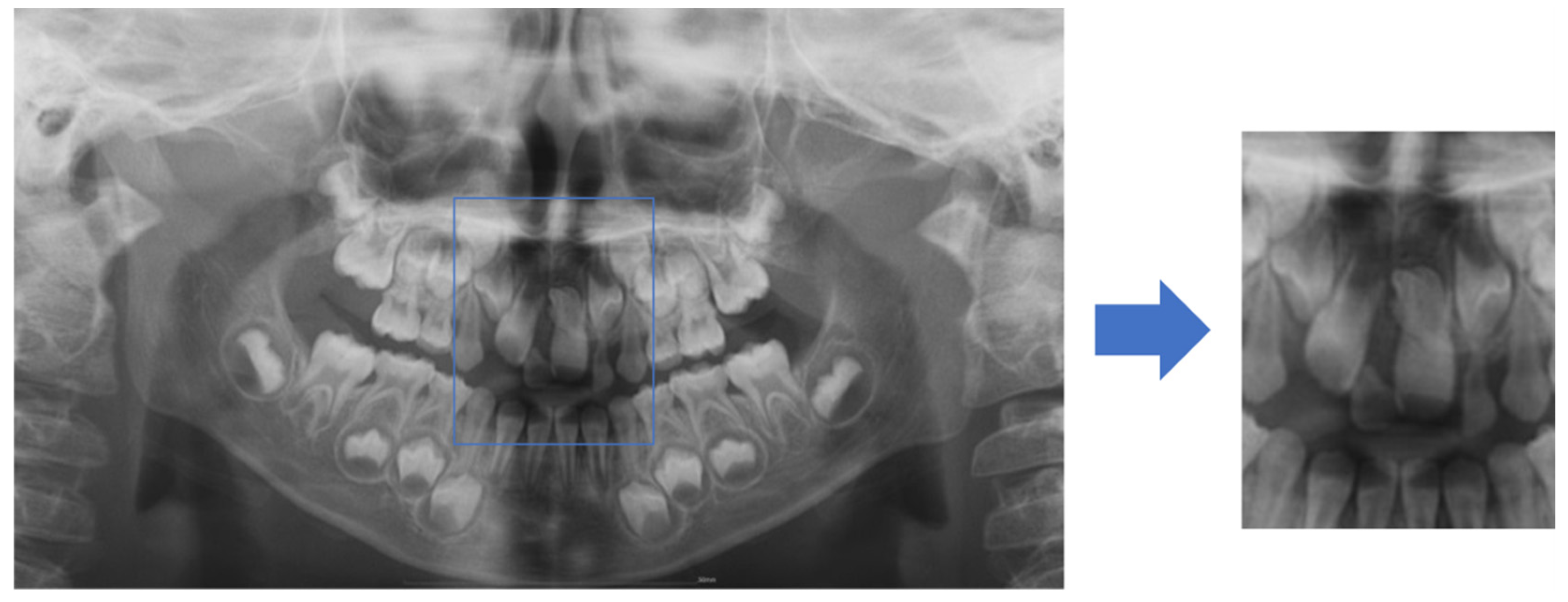
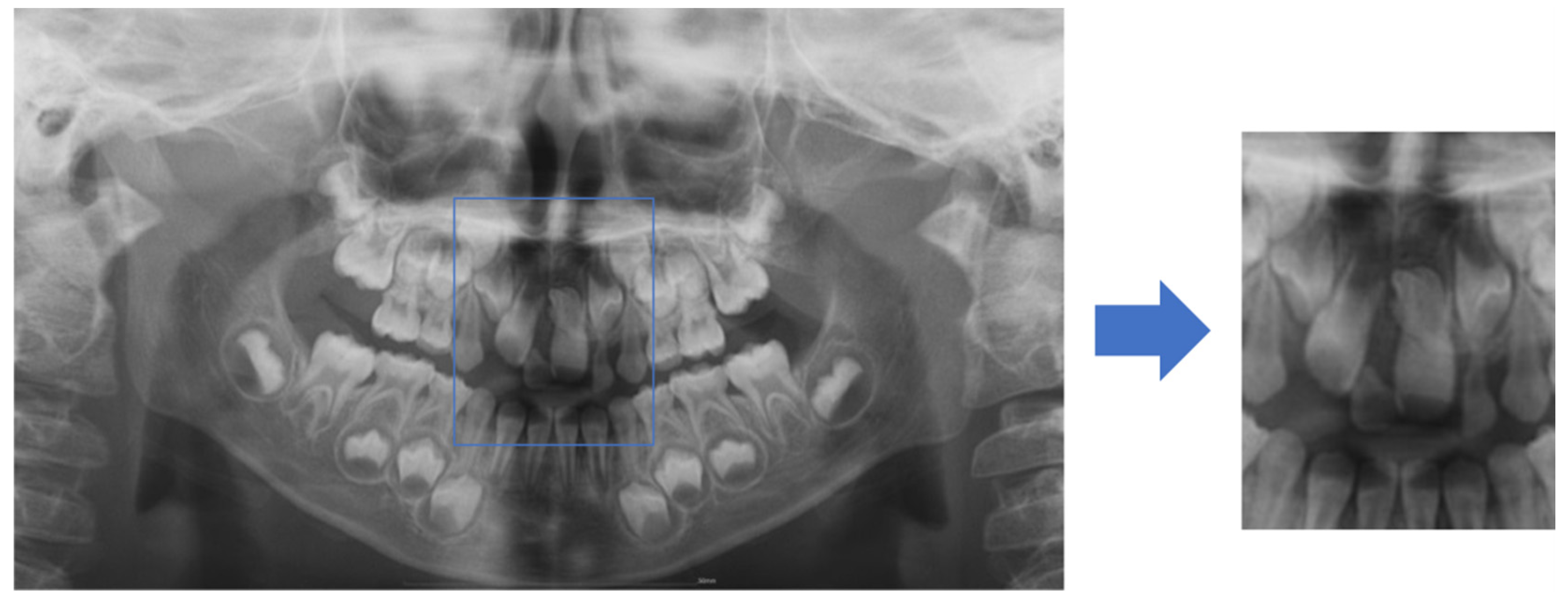
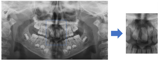
2.3.1. Data Preprocessing
2.3.2. Data Classification
2.3.3. Network Pre-Training
2.3.4. Five-Fold Cross-Validation and Data Augmentation
2.3.5. Training Configuration
2.3.6. Diagnostic Performance Evaluation
2.3.7. Model Visualization
2.3.8. Comparison of the Ability of Deep-Learning Models and Human Groups
2.3.9. Statistical Analysis
3. Results
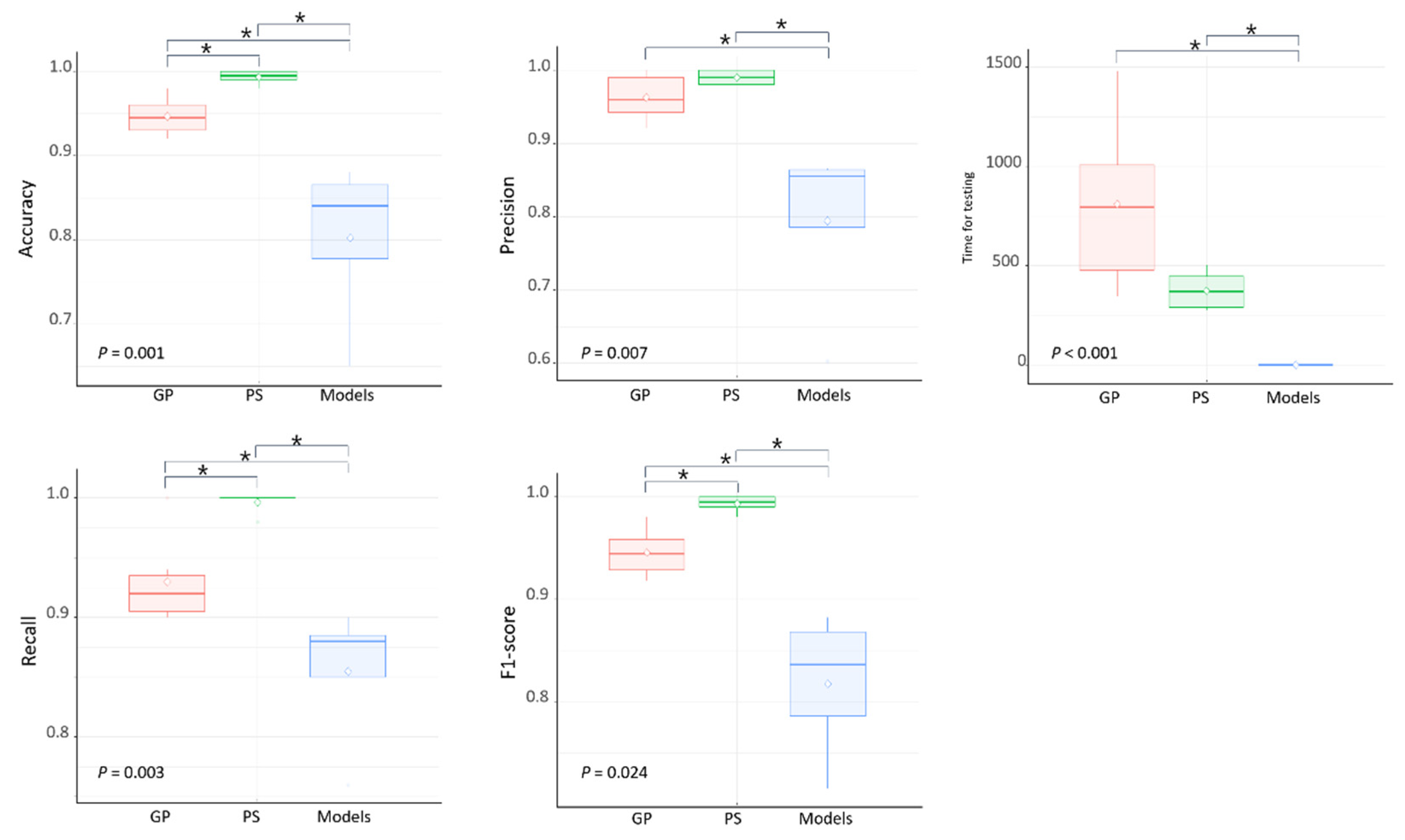
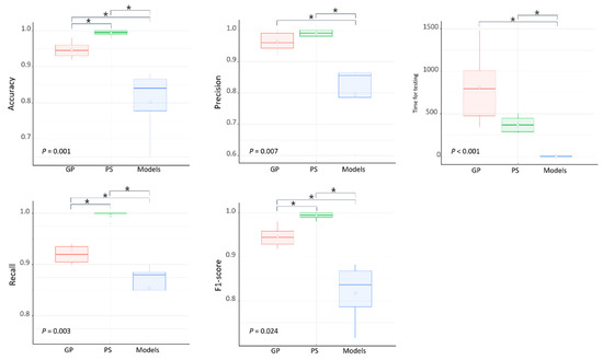
3.1. Classification Performance of Deep-Learning Models
3.2. Visualization of Model Classification
3.3. Comparative Evaluation of the Abilities of the Deep-Learning Models and Human Groups
4. Discussion
5. Conclusions
Author Contributions
Funding
Institutional Review Board Statement
Informed Consent Statement
Data Availability Statement
Conflicts of Interest
References
- Rajab, L.; Hamdan, M. Supernumerary teeth: Review of the literature and a survey of 152 cases. Int. J. Paediatr. Dent. 2002, 12, 244–254. [Google Scholar] [CrossRef]
- Mallineni, S.K. Supernumerary teeth: Review of the literature with recent updates. Conf. Papers Sci. 2014. [Google Scholar] [CrossRef] [Green Version]
- Meighani, G.; Pakdaman, A. Diagnosis and management of supernumerary (mesiodens): A review of the literature. J. Dent. (Tehran) 2010, 7, 41. [Google Scholar]
- Katheria, B.C.; Kau, C.H.; Tate, R.; Chen, J.W.; English, J.; Bouquot, J. Effectiveness of impacted and supernumerary tooth diagnosis from traditional radiography versus cone beam computed tomography. Pediatr. Dent. 2010, 32, 304–309. [Google Scholar]
- Brenner, D.J.; Elliston, C.D.; Hall, E.J.; Berdon, W.E. Estimated risks of radiation-induced fatal cancer from pediatric CT. Am. J. Roentgenol. 2001, 176, 289–296. [Google Scholar] [CrossRef] [PubMed] [Green Version]
- Fanning, B. CBCT-the justification process, audit and review of the recent literature. J. Ir. Dent. Assoc. 2011, 57, 256–261. [Google Scholar] [PubMed]
- Han, W.J.; Kim, J.S. Effective Dose from Cone Beam Ct for Imaging of Mesiodens. J. Korean Acad. Pediatr. Dent. 2012, 39, 273–279. [Google Scholar] [CrossRef] [Green Version]
- Anthonappa, R.P.; King, N.M.; Rabie, A.B.M.; Mallineni, S.K. Reliability of panoramic radiographs for identifying supernumerary teeth in children. Int. J. Paediatr. Dent. 2012, 22, 37–43. [Google Scholar] [CrossRef] [PubMed]
- Ohashi, Y.; Ariji, Y.; Katsumata, A.; Fujita, H.; Nakayama, M.; Fukuda, M.; Nozawa, M.; Ariji, E. Utilization of computer-aided detection system in diagnosing unilateral maxillary sinusitis on panoramic radiographs. Dentomaxillofac. Radiol. 2016, 45, 20150419. [Google Scholar] [CrossRef] [PubMed]
- Lee, J.H.; Kim, D.H.; Jeong, S.N.; Choi, S.H. Detection and diagnosis of dental caries using a deep learning-based convolutional neural network algorithm. J. Dent. 2018, 77, 106–111. [Google Scholar] [CrossRef]
- Murata, M.; Ariji, Y.; Ohashi, Y.; Kawai, T.; Fukuda, M.; Funakoshi, T.; Kise, Y.; Nozawa, M.; Katsumata, A.; Fujita, H. Deep-learning classification using convolutional neural network for evaluation of maxillary sinusitis on panoramic radiography. Oral Radiol. 2019, 35, 301–307. [Google Scholar] [CrossRef]
- Hiraiwa, T.; Ariji, Y.; Fukuda, M.; Kise, Y.; Nakata, K.; Katsumata, A.; Fujita, H.; Ariji, E. A deep-learning artificial intelligence system for assessment of root morphology of the mandibular first molar on panoramic radiography. Dentomaxillofac. Radiol. 2019, 48, 20180218. [Google Scholar] [CrossRef] [PubMed]
- Yang, H.; Jo, E.; Kim, H.J.; Cha, I.H.; Jung, Y.S.; Nam, W.; Kim, J.Y.; Kim, J.K.; Kim, Y.H.; Oh, T.G. Deep learning for automated detection of cyst and tumors of the jaw in panoramic radiographs. J. Clin. Med. 2020, 9, 1839. [Google Scholar] [CrossRef]
- Zhou, B.; Khosla, A.; Lapedriza, A.; Oliva, A.; Torralba, A. Learning deep features for discriminative localization. In Proceedings of the IEEE Conference on Computer Vision and Pattern Recognition, Las Vegas, NV, USA, 27–30 June 2016; pp. 2921–2929. [Google Scholar]
- Kuwada, C.; Ariji, Y.; Fukuda, M.; Kise, Y.; Fujita, H.; Katsumata, A.; Ariji, E. Deep learning systems for detecting and classifying the presence of impacted supernumerary teeth in the maxillary incisor region on panoramic radiographs. Oral Surg. Oral Med. Oral Pathol. Oral Radiol. 2020, 130, 464–469. [Google Scholar] [CrossRef]
- Seung, J.; Kim, J.; Yang, Y.; Lim, H.; Le, V.N.T.; Lee, D. Identification of Mesiodens Using Machine Learning Application in Panoramic Images. J. Korean Acad. Pediatr. Dent. 2021, 48, 221–228. [Google Scholar]
- Hellman, M. An introduction to growth of the human face from infancy to adulthood. Int. J. Orthod. Oral Surg. Radiogr. 1932, 18, 777–798. [Google Scholar] [CrossRef]
- Bianco, S.; Cadene, R.; Celona, L.; Napoletano, P. Benchmark analysis of representative deep neural network architectures. IEEE Access 2018, 6, 64270–64277. [Google Scholar] [CrossRef]
- Zhong, G.; Ling, X.; Wang, L.N. From shallow feature learning to deep learning: Benefits from the width and depth of deep architectures. Wiley Interdiscip. Rev. Data Min. Knowl. Discov. 2019, 9, e1255. [Google Scholar] [CrossRef] [Green Version]
- Mahdi, F.P.; Motoki, K.; Kobashi, S. Optimization technique combined with deep learning method for teeth recognition in dental panoramic radiographs. Sci. Rep. 2020, 10, 1–12. [Google Scholar] [CrossRef]
- McNamara, J.A., Jr.; Franchi, L. The cervical vertebral maturation method: A user’s guide. Angle Orthod. 2018, 88, 133–143. [Google Scholar] [CrossRef] [PubMed] [Green Version]
- Cha, D.; Pae, C.; Seong, S.B.; Choi, J.Y.; Park, H.J. Automated diagnosis of ear disease using ensemble deep learning with a big otoendoscopy image database. EBioMedicine 2019, 45, 606–614. [Google Scholar] [CrossRef] [PubMed] [Green Version]
- Fukuda, M.; Inamoto, K.; Shibata, N.; Ariji, Y.; Yanashita, Y.; Kutsuna, S.; Nakata, K.; Katsumata, A.; Fujita, H.; Ariji, E. Evaluation of an artificial intelligence system for detecting vertical root fracture on panoramic radiography. Oral Radiol. 2019, 36, 337–343. [Google Scholar] [CrossRef] [PubMed]






| Characteristics | Patients without Mesiodens (n = 550) | Patients with Mesiodens (n= 550) |
|---|---|---|
| Mean Age (SD) | 7.2 (1.3) | 6.8 (1.0) |
| Sex | ||
| Female | 253 | 126 |
| Male | 297 | 424 |
| Hellman’s stages | ||
| IIA 1 | 130 | 130 |
| IIC 2 | 385 | 385 |
| IIIA 3 | 35 | 35 |
| Network Model | Depth | Size (MB) | Parameter (Millions) | Input Image Size |
|---|---|---|---|---|
| SqueezeNet | 18 | 4.6 | 1.2 | 227 × 227 × 3 |
| ResNet-18 | 18 | 44.0 | 11.7 | 224 × 224 × 3 |
| ResNet-101 | 101 | 167.0 | 44.6 | 224 × 224 × 3 |
| Inception-ResNet-V2 | 164 | 209.0 | 55.9 | 299 × 299 × 3 |
| Pre-Trained Network | Accuracy | Precision | Recall | F1-Score |
|---|---|---|---|---|
| SqueezeNet | 0.833 | 0.779 | 0.960 | 0.855 |
| ResNet-18 | 0.914 | 0.883 | 0.958 | 0.918 |
| ResNet-101 | 0.927 | 0.911 | 0.948 | 0.928 |
| Inception-ResNet-V2 | 0.924 | 0.916 | 0.934 | 0.925 |
| Accuracy | Precision | Recall | F1-Score | Time for Testing (s) | |
|---|---|---|---|---|---|
| GP | 0.95 | 0.96 | 0.90 | 0.93 | 811.8 ± 426.1 |
| PS | 0.99 | 0.99 | 1.00 | 0.93 | 375.5 ± 95.9 |
| SqueezeNet | 0.65 | 0.60 | 0.88 | 0.72 | 1.5 ± 1.4 |
| ResNet-18 | 0.82 | 0.86 | 0.76 | 0.81 | |
| ResNet-101 | 0.86 | 0.85 | 0.88 | 0.86 | |
| Inception-ResNet-V2 | 0.88 | 0.87 | 0.90 | 0.88 |
Publisher’s Note: MDPI stays neutral with regard to jurisdictional claims in published maps and institutional affiliations. |
© 2021 by the authors. Licensee MDPI, Basel, Switzerland. This article is an open access article distributed under the terms and conditions of the Creative Commons Attribution (CC BY) license (https://creativecommons.org/licenses/by/4.0/).
Share and Cite
Ahn, Y.; Hwang, J.J.; Jung, Y.-H.; Jeong, T.; Shin, J. Automated Mesiodens Classification System Using Deep Learning on Panoramic Radiographs of Children. Diagnostics 2021, 11, 1477. https://doi.org/10.3390/diagnostics11081477
Ahn Y, Hwang JJ, Jung Y-H, Jeong T, Shin J. Automated Mesiodens Classification System Using Deep Learning on Panoramic Radiographs of Children. Diagnostics. 2021; 11(8):1477. https://doi.org/10.3390/diagnostics11081477
Chicago/Turabian StyleAhn, Younghyun, Jae Joon Hwang, Yun-Hoa Jung, Taesung Jeong, and Jonghyun Shin. 2021. "Automated Mesiodens Classification System Using Deep Learning on Panoramic Radiographs of Children" Diagnostics 11, no. 8: 1477. https://doi.org/10.3390/diagnostics11081477
APA StyleAhn, Y., Hwang, J. J., Jung, Y.-H., Jeong, T., & Shin, J. (2021). Automated Mesiodens Classification System Using Deep Learning on Panoramic Radiographs of Children. Diagnostics, 11(8), 1477. https://doi.org/10.3390/diagnostics11081477

