Early Vascular and Functional Changes after Vitreoretinal Surgery: A Comparison between the Macular Hole and Epiretinal Membrane
Abstract
1. Introduction
2. Materials and Methods
2.1. The Materials and Study Participants
2.2. Perfusion Parameters
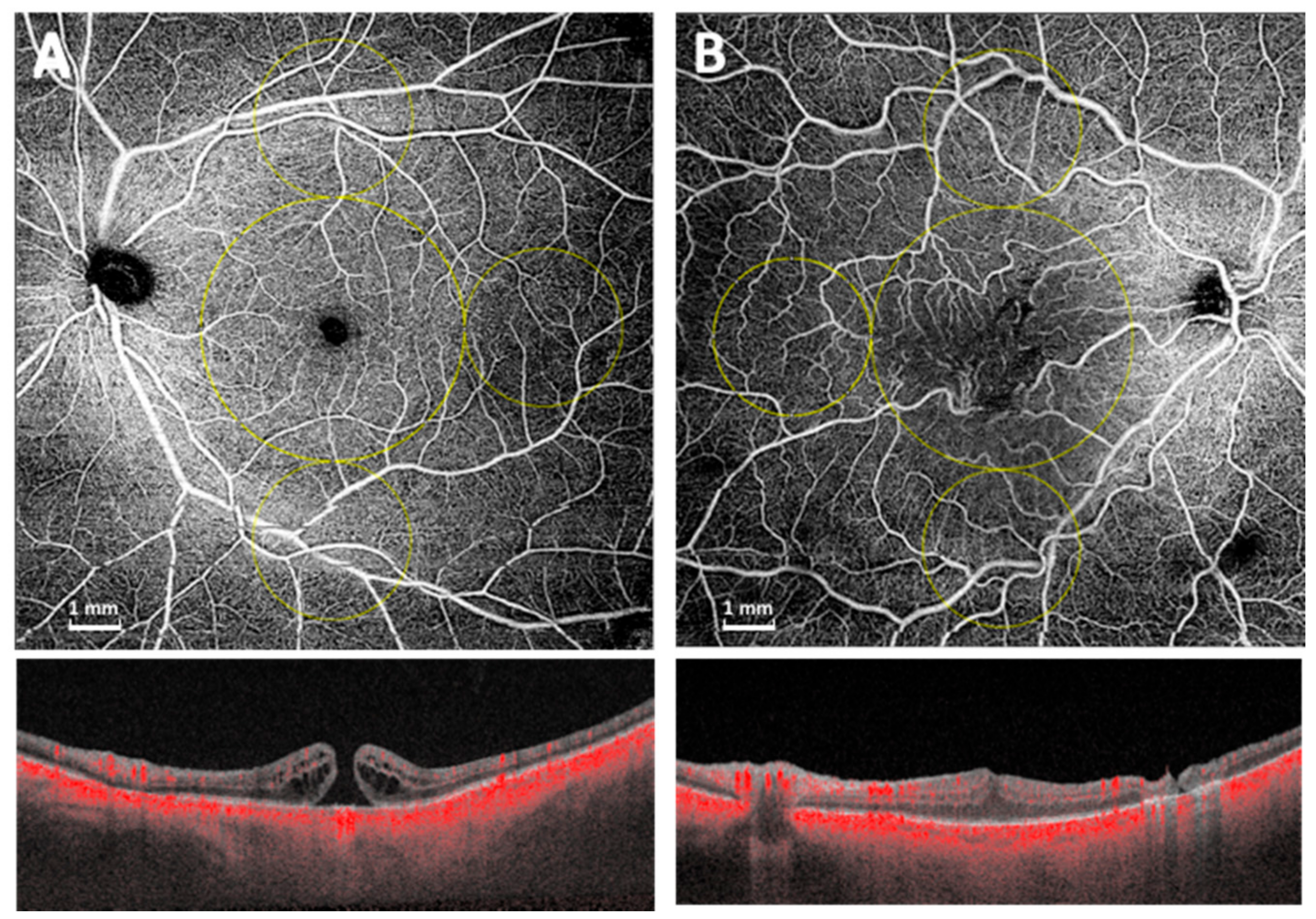
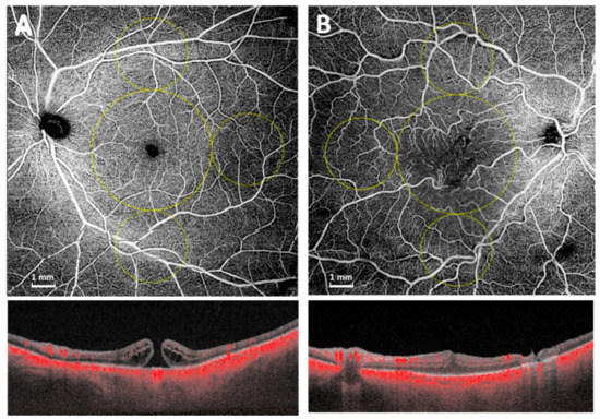
2.2.1. Image Acquisition
2.2.2. Image Processing
2.3. Functional Parameters
Microperimetry
2.4. Surgical Procedure
2.5. Statistical Analysis
3. Results
4. Discussion
5. Conclusions
Author Contributions
Funding
Institutional Review Board Statement
Informed Consent Statement
Data Availability Statement
Conflicts of Interest
References
- Hashimoto, Y.; Michihata, N.; Matsui, H.; Ishimaru, M.; Fushimi, K.; Yasunaga, H.; Aihara, M.; Takao, M.; Obata, R. Recent trends in vitreoretinal surgery: A nationwide database study in Japan, 2010–2017. Jpn. J. Ophthalmol. 2021, 65, 54–62. [Google Scholar] [CrossRef]
- Wilczyński, T.; Heinke, A.; Niedzielska-Krycia, A.; Jorg, D.; Michalska-Małecka, K. Optical coherence tomography angiography features in patients with idiopathic full-thickness macular hole, before and after surgical treatment. Clin. Interv. Aging 2019, 14, 505–514. [Google Scholar] [CrossRef]
- Johnson, R.N.; Gass, J.D. Idiopathic macular holes. Observations, stages of formation, and implications for surgical intervention. Ophthalmology 1988, 95, 917–924. [Google Scholar] [CrossRef]
- Ezra, E. Idiopathic full thickness macular hole: Natural history and pathogenesis. Br. J. Ophthalmol. 2001, 85, 102–109. [Google Scholar] [CrossRef]
- Kelly, N.E.; Wendel, R.T. Vitreous Surgery for Idiopathic Macular Holes: Results of a Pilot Study. Retina 1991, 11, 447. [Google Scholar] [CrossRef]
- Brooks, H.L., Jr. Macular hole surgery with and without internal limiting membrane peeling. Ophthalmology 2000, 107, 1939–1948. [Google Scholar] [CrossRef]
- Michalewska, Z.; Michalewski, J.; Nawrocki, J. Continuous changes in macular morphology after macular hole closure visual-ized with spectral optical coherence tomography. Graefes Arch. Clin. Exp. Ophthalmol. 2010, 248, 1249–1255. [Google Scholar] [CrossRef]
- Teng, Y.; Yu, M.; Wang, Y.; Liu, X.; You, Q.; Liu, W. OCT angiography quantifying choriocapillary circulation in idiopathic macular hole before and after surgery. Graefes Arch. Clin. Exp. Ophthalmol. 2017, 255, 893–902. [Google Scholar] [CrossRef] [PubMed]
- Kashani, A.H.; Zhang, Y.; Capone, A., Jr.; Drenser, K.A.; Puliafito, C.; Moshfeghi, A.A.; Williams, G.A.; Trese, M.T. Impaired Retinal Perfusion Resulting from Vitreoretinal Traction: A Mechanism of Retinal Vascular Insufficiency. Ophthalmic Surg. Lasers Imaging Retin. 2016, 47, 215–223. [Google Scholar] [CrossRef] [PubMed]
- Mastropasqua, R.; D’Aloisio, R.; Di Antonio, L.; Erroi, E.; Borrelli, E.; Evangelista, F.; D’Onofrio, G.; Di Nicola, M.; Di Martino, G.; Toto, L. Widefield optical coherence tomography angiography in diabetic retinopathy. Acta Diabetol. 2019, 56, 1293–1303. [Google Scholar] [CrossRef] [PubMed]
- Govetto, A.; Lalane, R.A., III; Sarraf, D.; Figueroa, M.S.; Hubschman, J.P. Insights into Epiretinal Membranes: Presence of Ectopic Inner Foveal Layers and a New Optical Coherence Tomography Staging Scheme. Am. J. Ophthalmol. 2017, 175, 99–113. [Google Scholar] [CrossRef] [PubMed]
- Uji, A.; Balasubramanian, S.; Lei, J.; Baghdasaryan, E.; Al-Sheikh, M.; Sadda, S.R. Impact of Multiple en Face Image Averaging on Quantitative Assessment from Optical Coherence Tomography Angiography Images. Ophthalmology 2017, 124, 944–952. [Google Scholar] [CrossRef] [PubMed]
- Mastropasqua, R.; D’Aloisio, R.; De Nicola, C.; Ferro, G.; Senatore, A.; Libertini, D.; Di Marzio, G.; Di Nicola, M.; Di Martino, G.; Di Antonio, L.; et al. Widefield Swept Source OCTA in Retinitis Pigmentosa. Diagnostics 2020, 10, 50. [Google Scholar] [CrossRef] [PubMed]
- Chatfield, M.; Mander, A.P. The Skillings–Mack Test (Friedman Test when There are Missing Data). Stata J. Promot. Commun. Stat. Stata 2009, 9, 299–305. [Google Scholar] [CrossRef]
- Motulsky, E.; Zheng, F.; Shi, Y.; Garcia, J.M.B.; Gregori, G.; Rosenfeld, P.J. Imaging of Epiretinal Membranes Using En Face Widefield Swept-Source Optical Coherence Tomography. Ophthalmic Surg. Lasers Imaging Retin. 2019, 50, 106–112. [Google Scholar] [CrossRef]
- Mastropasqua, R.; D’Aloisio, R.; Viggiano, P.; Borrelli, E.; Iafigliola, C.; Di Nicola, M.; Aharrh-Gnama, A.; Di Marzio, G.; Toto, L.; Mariotti, C.; et al. Early Retinal Flow Changes after Vitreoretinal Surgery in Idiopathic Epiretinal Membrane Using Swept Source Optical Coherence Tomography Angiography. J. Clin. Med. 2019, 8, 2067. [Google Scholar] [CrossRef] [PubMed]
- Mao, J.; Lao, J.; Liu, C.; Zhang, C.; Chen, Y.; Tao, J.; Shen, L. A study analyzing macular microvasculature features after vitrectomy using OCT angiography in patients with idiopathic macular epiretinal membrane. BMC Ophthalmol. 2020, 20, 165. [Google Scholar] [CrossRef] [PubMed]
- Bacherini, D.; Dragotto, F.; Caporossi, T.; Lenzetti, C.; Finocchio, L.; Savastano, A.; Barca, F.; Martina, M.; Vannozzi, L.; Nasini, F.; et al. The Role of OCT Angiography in the Assessment of Epiretinal Macular Membrane. J. Ophthalmol. 2021, 8866407. [Google Scholar] [CrossRef]
- Karalezli, A.; Kaderli, S.T.; Sul, S. Macular microvasculature differences in patients with macular hole after vitrectomy with internal limiting membrane removal or single-layered temporal inverted flap technique. Eye 2020, 33235343. [Google Scholar] [CrossRef]
- Okawa, Y.; Maruko, I.; Kawai, M.; Hasegawa, T.; Arakawa, H.; Iida, T. Foveal structure and vasculature in eyes with idiopathic epiretinal membrane. PLoS ONE 2019, 14, e0214881. [Google Scholar] [CrossRef] [PubMed]
- Dyer, M.A.; Cepko, C.L. Control of Müller glial cell proliferation and activation following retinal injury. Nat. Neurosci. 2000, 3, 873–880. [Google Scholar] [CrossRef]
- Kumagai, K.; Furukawa, M.; Suetsugu, T.; Ogino, N. Foveal Avascular Zone Area after Internal Limiting Membrane Peeling for Epiretinal Membrane and Macular Hole Compared with that of Fellow Eyes and Healthy Controls. Retina 2018, 38, 1786–1794. [Google Scholar] [CrossRef] [PubMed]
- Yagi, T.; Sakata, K.; Funatsu, H.; Hori, S. Evaluation of perifoveal capillary blood flow velocity before and after vitreous surgery for epiretinal membrane. Graefe’s. Arch. Clin. Exp. Ophthalmol. 2012, 250, 459–460. [Google Scholar] [CrossRef] [PubMed]
- De Bustros, S. Vitrectomy for prevention of macular holes. Results of a randomized multicenter clinical trial. Vitrectomy for Prevention of Macular Hole Study Group. Ophthalmology 1994, 101, 1055–1059. [Google Scholar] [CrossRef]
- Romano, M.R.; Cennamo, G.; Amoroso, F.; Montorio, D.; Castellani, C.; Reibaldi, M.; Cennamo, G. Intraretinal changes in the presence of epiretinal traction. Graefe’s Arch. Clin. Exp. Ophthalmol. 2016, 255, 31–38. [Google Scholar] [CrossRef]
- Rizzo, S.; Savastano, A.; Bacherini, D.; Savastano, M.C. Vascular Features of Full-Thickness Macular Hole by OCT Angiography. Ophthalmic Surg. Lasers Imaging Retin. 2017, 48, 62–68. [Google Scholar] [CrossRef]
- Sabater, A.L.; Velazquez-Villoria, A.; Zapata, M.A.; Figueroa, M.S.; Suárez-Leoz, M.; Arrevola, L.; Teijeiro, M.-A.; García-Layana, A. Evaluation of Macular Retinal Ganglion Cell-Inner Plexiform Layer Thickness after Vitrectomy with Internal Limiting Membrane Peeling for Idiopathic Macular Holes. BioMed Res. Int. 2014, 2014, 1–8. [Google Scholar] [CrossRef] [PubMed]
- Cicinelli, M.V.; Marchese, A.; Bandello, F.; Coppola, M. Inner Retinal Layer and Outer Retinal Layer Findings after Macular Hole Surgery Assessed by means of Optical Coherence Tomography. J. Ophthalmol. 2019, 2019, 1–11. [Google Scholar] [CrossRef]
- The Eye Disease Case-Control Study Group. Risk factors for idiopathic macular holes. Am. J. Ophthalmol. 1994, 118, 754–761. [Google Scholar] [CrossRef]
- McDonnell, P.J.; Fine, S.L.; Hillis, A.I. Clinical Features of Idiopathic Macular Cysts and Holes. Am. J. Ophthalmol. 1982, 93, 777–786. [Google Scholar] [CrossRef]
- Aras, C.; Ocakoglu, O.; Akova, N. Foveolar Choroidal Blood Flow in Idiopathic Macular Hole. Int. Ophthalmol. 2004, 25, 225–231. [Google Scholar] [CrossRef] [PubMed]
- Reibaldi, M.; Boscia, F.; Avitabile, T.; Uva, M.G.; Russo, V.; Zagari, M.; Bonfiglio, V.; Reibaldi, A.; Longo, A. Enhanced Depth Imaging Optical Coherence Tomography of the Choroid in Idiopathic Macular Hole: A Cross-sectional Prospective Study. Am. J. Ophthalmol. 2011, 151, 112–117. [Google Scholar] [CrossRef] [PubMed]
- Zeng, J.; Li, J.; Liu, R.; Chen, X.; Pan, J.; Tang, S.; Ding, X. Choroidal Thickness in Both Eyes of Patients with Unilateral Idiopathic Macular Hole. Ophthalmology 2012, 119, 2328–2333. [Google Scholar] [CrossRef] [PubMed]



| Variable | MH | |||
|---|---|---|---|---|
| Baseline | 30 Days | 90 Days | p-Value | |
| MP310° db | 16.5 (12.2;20.1) | 23.4 (16.0;24.3) | 27.0 (26.2;27.5) (b)(t) | 0.003 |
| MP3 2° db | 15.2 (5.50;15.4) | 19.5 (15.8;21.0) | 24.2 (24.2;24.2) (b)(t) | 0.028 |
| BCVA | 1.00 (0.50;1.00) | 0.35 (0.18;0.55) (b) | 0.40 (0.30;0.40) (b)(t) | 0.007 |
| CMT | \ | \ | \ | \ |
| ERM | ||||
| Baseline | 30 Days | 90 Days | p-Value | |
| MP310° db | 22.0 (18.4;24.0) | 24.9 (21.9;25.5) | 26.9 (26.5;27.2) (b)(t) | 0.004 |
| MP3 2° db | 21.0 (17.0;22.8) | 23.2 (21.8;24.2) | 27.0 (26.6;27.4) (b)(t) | 0.003 |
| BCVA | 0.50 (0.40;0.80) | 0.40 (0.20;0.60) | 0.20 (0.10;0.6) (b)(t) | 0.029 |
| CMT | 472.0 (430.0;553.0) | 349.0 (312.0;396.0) (b) | 290.0 (288.0;399.0) (b)(t) | 0.049 |
| PD | ||||
|---|---|---|---|---|
| MH | ||||
| SCP | Baseline | 30 Days | 90 Days | p-Value |
| Macular ring | 37.5 (35.6;39.5) | 43.9 (31.3;51.3) (b) | 45.5 (39.2;51.8) (b)(t) | 0.018 |
| Superior ring | 42.0 (34.2;50.5) | 47.0 (31.7;62.5) (b) | 51.8 (36.0;67.5) (b)(t) | 0.016 |
| Temporal ring | 18.2 (18.3;18.8) | 26.5 (17.8;35.2) | 25.7 (12.6;38.7) | 0.955 |
| Inferior ring | 44.9 (41.9;48.1) | 49.4 (43.1;54.9) | 49.1 (40.1;58.2) | 0.422 |
| DCP | ||||
| Macular ring | 45.5 (39.1;52.1) | 40.1 (32.9;47.3) (b) | 49.2 (48.5;49.8) (t) | 0.015 |
| Superior ring | 46.1 (43.1;51.1) | 38.8 (25.1;51.8) (b) | 50.1 (40.4;59.8) (t) | 0.017 |
| Temporal ring | 35.5 (29.8;40.7) | 32.5 (23.1;42.2) | 33.6 (25.3;41.9) | 0.999 |
| Inferior ring | 48.4 (37.9;58.5) | 38.0 (31.8;44.8) (b) | 50.3 (45.5;55.0)(t) | 0.016 |
| ERM | ||||
| SCP | Baseline | 30 Days | 90 Days | p-Value |
| Macular ring | 29.9 (23.0;35.5) | 22.2 (18.2;27.8) (b) | 36.3 (27.9;41.5) (t) | 0.001 |
| Superior ring | 37.0 (28.7;42.1) | 37.2 (29.4;39.2) | 39.6 (32.3;42.2) | 0.514 |
| Temporal ring | 25.6 (18.8;28.6) | 26.3 (19.3;34.5) | 26.2 (19.3;34.3) | 0.662 |
| Inferior ring | 32.9 (23.5;38.3) | 35.0 (31.4;40.0) | 35.0 (32.4;39.0) | 0.838 |
| DCP | ||||
| Macular ring | 32.9 (22.5;36.1) | 30.1 (29.4;34.3) | 30.6 (29.7;31.9) | 0.943 |
| Superior ring | 25.8 (24.6;33.7) | 20.5 (19.5;25.8) (b) | 23.0 (18.9;33.4) (b)(t) | 0.032 |
| Temporal ring | 29.2 (22.7;40.7) | 27.0 (18.0;30.9) | 26.9 (15.3;30.4) | 0.701 |
| Inferior ring | 25.4 (21.9;34.1) | 26.7 (19.8;29.1) | 27.8 (24.4;29.1) | 0.666 |
| VLD | ||||
|---|---|---|---|---|
| MH | ||||
| SCP | Baseline | 30 Days | 90 Days | p-Value |
| Macular ring | 13.9 (12.4;14.8) | 16.7 (13.4;18.5) (b) | 15.6 (14.4;16.7) (b) | 0.016 |
| Superior ring | 14.5 (13.0;18.4) | 15.0 (12.0;20.2) | 16.2 (13.3;19.1) | 0.423 |
| Temporal ring | 7.2 (7.92;13.7) | 10.6 (10.7;13.5) (b) | 9.20 (5.38;13.0) (t) | 0.015 |
| Inferior ring | 15.2 (14.5;16.6) | 16.1 (11.9;18.0) (b) | 15.6 (14.0;17.2) (t) | 0.015 |
| DCP | ||||
| Macular ring | 17.1 (14.4;20.8) | 16.1 (13.6;18.1) (b) | 17.4 (16.5;18.4) (t) | 0.016 |
| Superior ring | 15.6 (13.8;18.9) | 16.6 (14.8;19.5) | 17.1 (15.9;18.4) | 0.420 |
| Temporal ring | 15.8 (12.9;16.8) | 12.2 (12.0;16.1) | 12.4 (10.7;14.2) | 0.422 |
| Inferior ring | 16.7 (14.7;20.6) | 13.3 (10.9;17.1) | 16.7 (16.3;17.1) | 0.421 |
| ERM | ||||
| SCP | Baseline | 30 Days | 90 Days | p-Value |
| Macular ring | 10.2 (8.01;12.7) | 9.83 (8.13;11.6) | 10.9 (9.90;12.6) | 0.465 |
| Superior ring | 11.2 (9.44;13.5) | 11.8 (9.73;13.0) | 13.9 (10.4;14.2) | 0.465 |
| Temporal ring | 8.73 (7.12;9.70) | 10.3 (8.66;11.4) | 10.1 (7.95;12.6) | 0.161 |
| Inferior ring | 8.29 (7.61;11.8) | 9.64 (8.67;12.8) | 10.1 (8.76;13.0) | 0.840 |
| DCP | ||||
| Macular ring | 14.0 (10.9;15.2) | 12.3 (11.3;12.8) | 12.2 (11.4;12.3) | 0.662 |
| Superior ring | 11.5 (9.92;14.7) | 10.9 (9.30;13.3) | 9.47 (8.54;9.61) | 0.055 |
| Temporal ring | 11.6 (9.86;16.5) | 11.8 (9.02;13.1) | 12.2 (6.28;12.6) | 0.161 |
| Inferior ring | 12.0 (10.5;13.9) | 11.0 (9.80;13.2) | 11.0 (11.0;13.0) | 0.701 |
| MH | ERM | |||||
|---|---|---|---|---|---|---|
| MP 10° | MP 2° | BCVA | MP 10° | MP 2° | BCVA | |
| PD | ||||||
| SCP Macular | 0.980 ** | 0.965 ** | −0.985 ** | 0.800 * | 0.800 * | −0.600 |
| DCP Macular | 0.600 | 0.600 | 0.200 | −0.098 | 0.515 * | −0.387 |
| SCP Peripheral | 0.910 ** | 0.975 ** | 0.257 | −0.064 | −0.182 | −0.361 |
| DCP Peripheral | 0.435 * | 0.450 * | 0.089 | 0.494 * | −0.418 | −0.182 |
| VLD | ||||||
| SCP Macular | 0.910 ** | 0.975 ** | −0.955 ** | 0.780 * | 0.800 * | −0.300 |
| DCP Macular | 0.800 * | 0.800 * | −0.300 | −0.024 | −0.345 | −0.296 |
| SCP Peripheral | 0.200 | 0.200 | −0.257 | −0.037 | −0.164 | −0.309 |
| DCP Peripheral | 0.200 | 0.200 | −0.700 * | 0.585 ** | 0.782 ** | −0.351 |
Publisher’s Note: MDPI stays neutral with regard to jurisdictional claims in published maps and institutional affiliations. |
© 2021 by the authors. Licensee MDPI, Basel, Switzerland. This article is an open access article distributed under the terms and conditions of the Creative Commons Attribution (CC BY) license (https://creativecommons.org/licenses/by/4.0/).
Share and Cite
D’Aloisio, R.; Carpineto, P.; Aharrh-Gnama, A.; Iafigliola, C.; Cerino, L.; Di Nicola, M.; Porreca, A.; Toto, L.; Mastropasqua, R. Early Vascular and Functional Changes after Vitreoretinal Surgery: A Comparison between the Macular Hole and Epiretinal Membrane. Diagnostics 2021, 11, 1031. https://doi.org/10.3390/diagnostics11061031
D’Aloisio R, Carpineto P, Aharrh-Gnama A, Iafigliola C, Cerino L, Di Nicola M, Porreca A, Toto L, Mastropasqua R. Early Vascular and Functional Changes after Vitreoretinal Surgery: A Comparison between the Macular Hole and Epiretinal Membrane. Diagnostics. 2021; 11(6):1031. https://doi.org/10.3390/diagnostics11061031
Chicago/Turabian StyleD’Aloisio, Rossella, Paolo Carpineto, Agbéanda Aharrh-Gnama, Carla Iafigliola, Luca Cerino, Marta Di Nicola, Annamaria Porreca, Lisa Toto, and Rodolfo Mastropasqua. 2021. "Early Vascular and Functional Changes after Vitreoretinal Surgery: A Comparison between the Macular Hole and Epiretinal Membrane" Diagnostics 11, no. 6: 1031. https://doi.org/10.3390/diagnostics11061031
APA StyleD’Aloisio, R., Carpineto, P., Aharrh-Gnama, A., Iafigliola, C., Cerino, L., Di Nicola, M., Porreca, A., Toto, L., & Mastropasqua, R. (2021). Early Vascular and Functional Changes after Vitreoretinal Surgery: A Comparison between the Macular Hole and Epiretinal Membrane. Diagnostics, 11(6), 1031. https://doi.org/10.3390/diagnostics11061031

