You are currently viewing a new version of our website. To view the old version click .
Diagnostics
  • Article
  • Open Access

23 April 2021

Evaluation of Correlations between Genetic Variants and High-Resolution Computed Tomography Patterns in Idiopathic Pulmonary Fibrosis

,
,
,
,
,
,
,
,
and
1
Department of Radiology, Cattinara Hospital, University of Trieste, 34127 Trieste, Italy
2
Department of Pulmonology, University Hospital of Cattinara, 34127 Trieste, Italy
3
Biostatistics Unit, Department of Medicine, Surgery and Health Sciences, Cattinara Hospital, University of Trieste, 34127 Trieste, Italy
4
Unit of Biostatistics, Epidemiology and Public Health, Department of Cardiac, Thoracic, Vascular Sciences and Public Health, University of Padua, 35131 Padua, Italy
This article belongs to the Special Issue Clinical and Radiological Features of Interstitial Lung Diseases 2.0

Abstract

Background. Idiopathic pulmonary fibrosis (IPF) is a progressive fibrosing interstitial lung disease (ILD). This prospective observational study aimed at the evaluation of any correlation between genetic variants associated with IPF susceptibility and high-resolution computed tomography (HRCT) patterns. It also aimed at evidencing any differences in the HRTC pattern between the familial and sporadic form at diagnosis and after two years. Methods. A total of 65 IPF patients (mean age at diagnosis 65 ± 10) were enrolled after having given written informed consent. HRCT and genetic evaluations were performed. Results. A total of 19 familial (mean age 62 ± 15) and 46 sporadic (mean age 70 ± 9) IPF patients were enrolled. A statistically significant difference was evidenced in the HRTC pattern at diagnosis between the two groups. Sporadic IPF patients had a predominantly usual interstitial pneumonia (UIP) pattern compared with those patients with familial IPF (60.0% vs. 21.1%, respectively). Moreover, familial IPF patients had more alternative diagnoses than those with sporadic IPF (31.6% vs. 2.2%, respectively). Furthermore, there was a slight increase in the typical UIP pattern in the familial IPF group at two years from diagnosis. Conclusions. Genetic factors play a pivotal role in the risk of developing IPF. However, further studies are required to clarify how these genetic factors may guide clinical treatment decisions.

1. Introduction

Idiopathic pulmonary fibrosis (IPF) is a progressive and almost invariably fatal interstitial lung disease (ILD), of unknown etiology, which is characterized by progressive fibrosis and loss of lung function [1,2]. Evidence suggests that the incidence of IPF is rising [1,2,3,4]. A recent analysis of a UK-based primary care database calculated a rise in incidence of 78% between 2000 and 2012, as well as a doubling of prevalence, estimated at 38.8 per 100,000, with a consequential growing economic burden on global health care [2,3]. Although historical data suggest a median time from IPF diagnosis to death of only 2–3 years, long-term survival is likely to increase as patients are diagnosed earlier and are given treatment able to slow down disease progression [1,2,3,4]. Prompt diagnosis of IPF is a must so as to allow for appropriate care and support with the administration of anti-fibrotic therapy and evaluation for lung transplantation [1,2,3]. Accurate diagnosis of IPF is of vital importance, as other forms of ILD have similar clinical presentations to IPF but necessitate different treatment strategies [4,5,6,7,8].
As the likelihood that specific radiologic features reflect IPF is not absolute but depends on the clinical context, the high-resolution computed tomography (HRCT) pattern may be inconclusive, and clinical information may further improve HRCT scan interpretation [9,10,11,12].
Several mutations have been associated with an increased risk of IPF, including those in genes for surfactant proteins (SFTPA2, SFTPC), telomerase reverse transcriptase (TERT), the RNA component of telomerase (TERC), and TOLLIP and MUC5B, all of which play important roles in lung host defense [13,14,15,16,17,18,19,20,21,22,23,24,25,26,27,28,29,30,31,32,33,34]. Emerging evidence supports the hypothesis that different polymorphisms may be associated with different patterns of fibrosis observed using HRCT [12,13,14,15,16,17,18,19,20,21,22,23,24,25,26,27,28,29,30,31,32,33,34].
This study aimed at evidencing any correlations between genetic variants associated with IPF susceptibility and HRCT patterns and at determining any differences between familial and sporadic IPF.

2. Materials and Methods

2.1. Patient Population

A total of 65 patients affected by familial and sporadic forms of IPF were enrolled in the study diagnosed according to the 2018 criteria [9] during routine clinical assessment in our pulmonology department and after obtaining written informed consent from January 2016 to November 2018. A complete medical history was collected, and all patients underwent a clinical examination. Demographic data, i.e., age and gender, were also recorded (see Table 1). The inclusion criterion was diagnosis of IPF (familial or sporadic form) according to the latest guidelines [3,4,9,10]. The familial form is defined as when there are two or more cases of the disease in the same family.
Table 1. Characteristics of the study population at baseline.
The exclusion criteria were: subjects with insufficient clinical information (i.e., gender, age at diagnosis) and lack of two-year follow-up. Patients with inadequate HRCT examinations, i.e., HRCT, who could not be evaluated due to motion artifacts were also excluded. HRCT scanning (described in Section 2.2) and genetic analysis (described in Section 2.3) were performed for all patients.

2.2. High-Resolution Computed Tomography

The imaging protocol was as follows: all patients had a volumetric HRCT scan, performed during a single breath hold at full inspiration in a supine position. If subtle ground-glass opacities or reticulations were not prominent and were located in the subpleural regions of the lung bases, an additional scan was acquired in the prone position to differentiate these findings due to gravitational phenomena from ILD [9,10,11,12].
Moreover, if prominent mosaic perfusion was evidenced at full inspiration images, then an additional scan was performed at the end of a forced expiration in the supine position to identify any air trapping.
The HRCT scans were performed with a 256-row multidetector CT system (Brilliance iCT 256, Philips, Best, The Netherlands), and the technical parameters were: rotation time, 270 ms; beam collimation, 128 × 2 × 0.625 mm; normalized pitch, 0.975; z-axis coverage, 160 mm; reconstruction interval, 0.3 mm; section reconstruction thickness, 1 mm; tube voltage, 120 kV; tube current (effective mA), 280–400 depending on patient size; and field of view, 40 cm.
The images were analyzed with consensus by two senior experienced thoracic imaging radiologists (16 and 10 years of experience); any discrepancies in imaging interpretation were resolved by obtaining the opinion of a third radiologist with 20 years of experience. The CT images were analyzed at standard lung window settings (a window level of −600 HU and a window width of 1600 HU) on a picture archiving and communications system (PACS)-integrated workstation (19-inch TFT display, resolution 2560~1600 pixels) [9,10,11,12].
The first task of the radiologists was to classify the HRCT pattern into four categories according to the Fleischner Society classification of fibrotic lung diseases:
  • Usual interstitial pneumonia (UIP): the presence of honeycombing in association with a reticular pattern with or without traction bronchiectasis/bronchiolectasis, with a subpleural and basal predominance;
  • Probable UIP: the presence of a reticular pattern in association with traction bronchiectasis/bronchiolectasis without honeycombing and with a subpleural and basal predominance;
  • Indeterminate UIP: the presence of subtle reticulation or ground-glass opacities, with a subpleural and basal predominance;
  • Alternative diagnosis: the presence of findings suggestive of an alternative diagnosis included mosaic attenuation, predominant ground-glass opacities, consolidations or signs of fibrosis with an atypical distribution in the upper-mid lung [9,10,11].
Then, radiologists evaluated a follow-up HRCT, performed two years after the first HRCT scan, to assess the current radiological pattern and whether it had remained unchanged, was stable or had worsened.

2.3. Genetic Analysis

DNA extraction and quantification of blood DNA was prepared by QIAamp Blood Mini kit (Qiagen, Germany). DNA quality was further evaluated by PCR analysis by the BIOMED 2 PCR multiplex protocol with PCR products analyzed by DNA 1000 Assay (Life Technologies, USA) on the Agilent 2100 Bioanalyzer on-chip electrophoresis (Agilent Technologies, USA), as previously described by Simbolo et al. [35].
Next-Generation Sequencing of Multiplex PCR Amplicons Ampliseq multigene custom panel was designed to explore all exons of ABCA3, DKC1, PARN, RTEL1, SFTPA2, SFTPC, TERC and the TERT genes. Two additional regions were added to investigate the putative promoter of MUC5B and TERT (chr11: 1241210-1241230 and chr5: 1295105-1297000). Twenty nanograms of DNA was used for multiplex PCR amplification, followed by ligation of a specific barcode sequence to each sample for identification. Emulsion PCR was performed to construct the libraries of clonal sequences using the Ion 27 OneTouchTM OT2 System (Life Technologies). The quality of the libraries obtained was evaluated by the Agilent 2100 Bioanalyzer on-chip electrophoresis (Agilent Technologies). Sequencing was run on the Ion Torrent Personal Genome Machine (PGM, Life Technologies) loaded with 318v2 chips. Data analysis, including alignment to the hg19 human reference genome and variant calling, was carried out by the Torrent Suite Software v.5.0 (Life Technologies). Filtered variants were annotated by a custom pipeline, based on vcflib (https://www.github.com/ekg/vcflib accessed on 31 Decembre 2018), SnpSift [36] the Variant Effect Predictor (VEP) software [37] and the NCBI RefSeq database.

2.4. Statistical Analysis

Statistical analysis on the familial and sporadic form of ILD and different genetic mutations was performed by statistical analysis software R (version 4.0.2, 2020). Descriptive statistics of patient demographics and clinical characteristics were reported as frequencies (proportions) for categorical variables and mean (standard deviation) (SD) for continuous variables. The two groups (familial and sporadic IPF) were compared for age by the Student’s t-test, whilst the Chi-Squared test or Fischer Exact test was performed to identify differences in categorical variables (smoking status, HRCT patterns and any worsening of the pattern at two years). A p-value of <0.05 was considered statistically significant.

3. Results

The study population included 65 patients affected by IPF (mean age at diagnosis 65 ± 10), 19/65 the familial form (mean age at diagnosis 62 ± 15) and 46/65 the sporadic form (mean age at diagnosis 70 ± 9) (see Table 1).
The analysis of the clinical characteristics of the two populations showed that:
(a)
the age at onset of the disease was lower in patients with the familial form than in those with the sporadic form;
(b)
there was no significant difference in gender for the familial form, whilst there was a prevalence of males in the sporadic form;
(c)
moreover, no current smokers were observed in the group of patients affected by the familial form, whilst there were numerous current smokers in the sporadic form group.
At diagnosis, there was a statistically significant difference in the HRTC pattern between the two groups: sporadic IPF patients had a predominantly typical UIP pattern compared to familial IPF patients (60.0% vs. 21.1%, respectively). There was a predominance of an alternative diagnosis HRTC pattern in familial IPF compared to sporadic IPF (31.6% vs. 2.2%, respectively) (see Figure 1, Figure 2 and Figure 3). The HRCT for 6/19 patients with a familial pulmonary fibrosis at the onset of symptoms had an alternative diagnosis pattern: this was due to the presence of a fibrotic nonspecific interstitial pneumonia (NSIP) pattern in 4/19 patients, whilst in 2/19 patients it was due to the presence of honeycombing with upper-mid lung distribution (see Figure 1). At the onset of symptoms, only 1/46 sporadic IPF patients had an alternative diagnosis HRCT pattern, due to the presence of honeycombing with upper-mid lung prevalence and mosaic attenuation; the definitive diagnosis of IPF was made by biopsy (see Figure 2 and Figure 4). After 2 years from diagnosis in the familial IPF group, we observed a slight increase in the typical UIP pattern at HRTC evaluation (see Figure 3 and Figure 5).
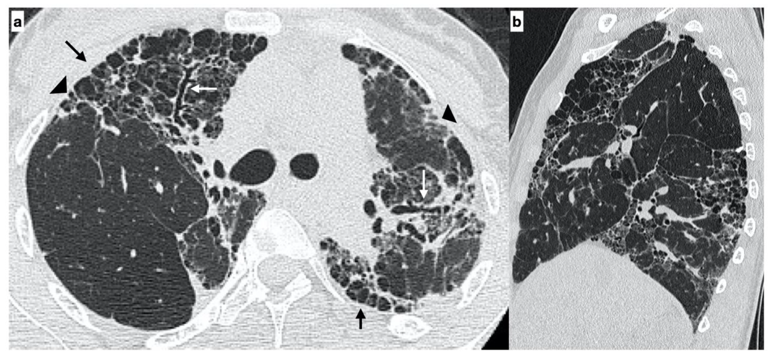
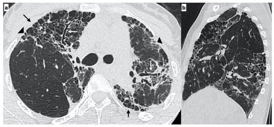
Figure 1. A 29-year-old female with an “alternative diagnosis pattern” on HRCT at onset of respiratory symptoms. The axial HRCT image shows the presence of honeycombing (black arrows), reticulations (arrowheads) and traction bronchiectasis/bronchiolectasis (white arrows) with a prevalent upper-mid lung distribution (a). The sagittal plane better evidences the atypical distribution of fibrotic alterations (b). Genetic analysis demonstrated the following mutations: ABCA3, SFTPA2, promoter-TERT, SFTPC.
Figure 2. Baseline High-resolution computed tomography (HRCT) patterns with respect to Familial and Sporadic Idiopathic pulmonary fibrosis (IPF).
Figure 3. High-resolution computed tomography (HRCT) patterns at 2 years of follow-up respect to familial and sporadic idiopathic pulmonary fibrosis (IPF).
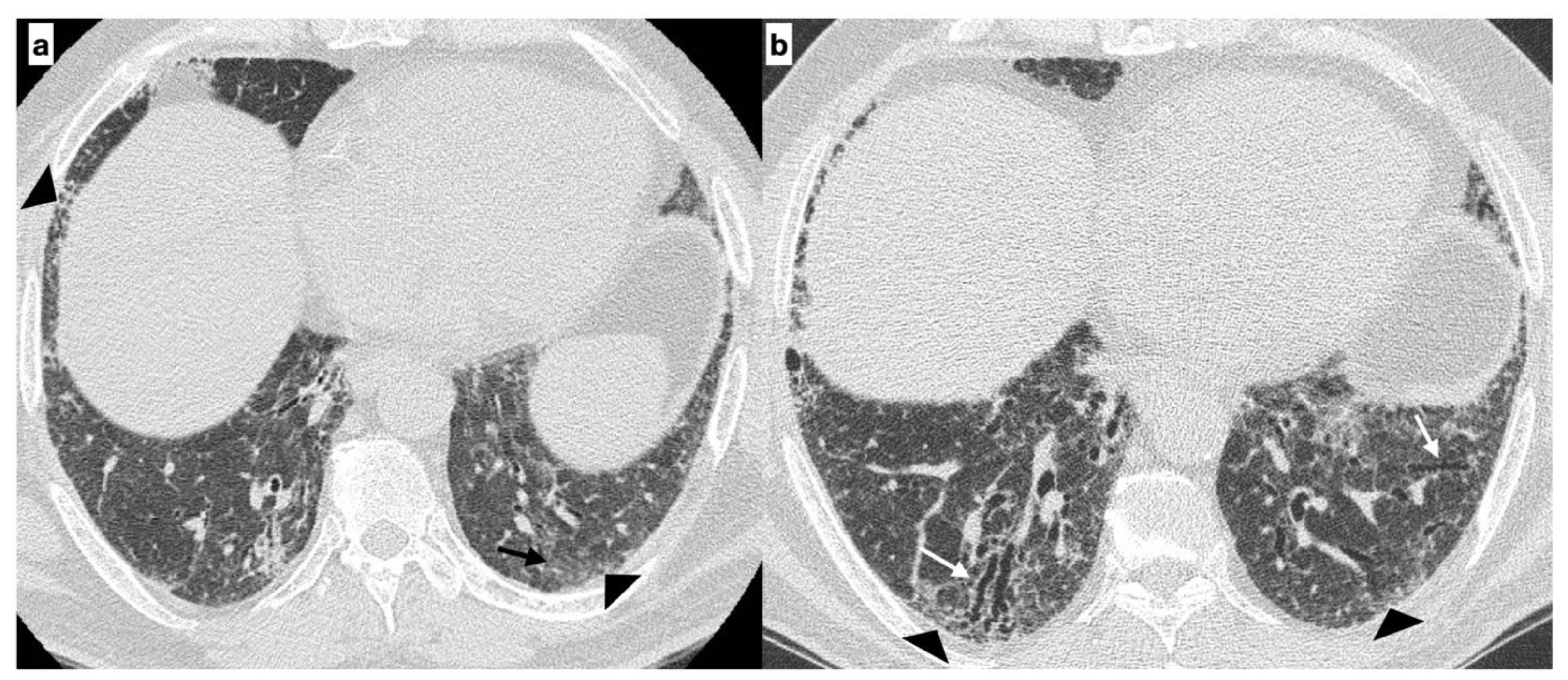
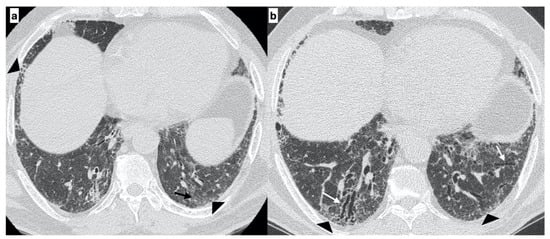
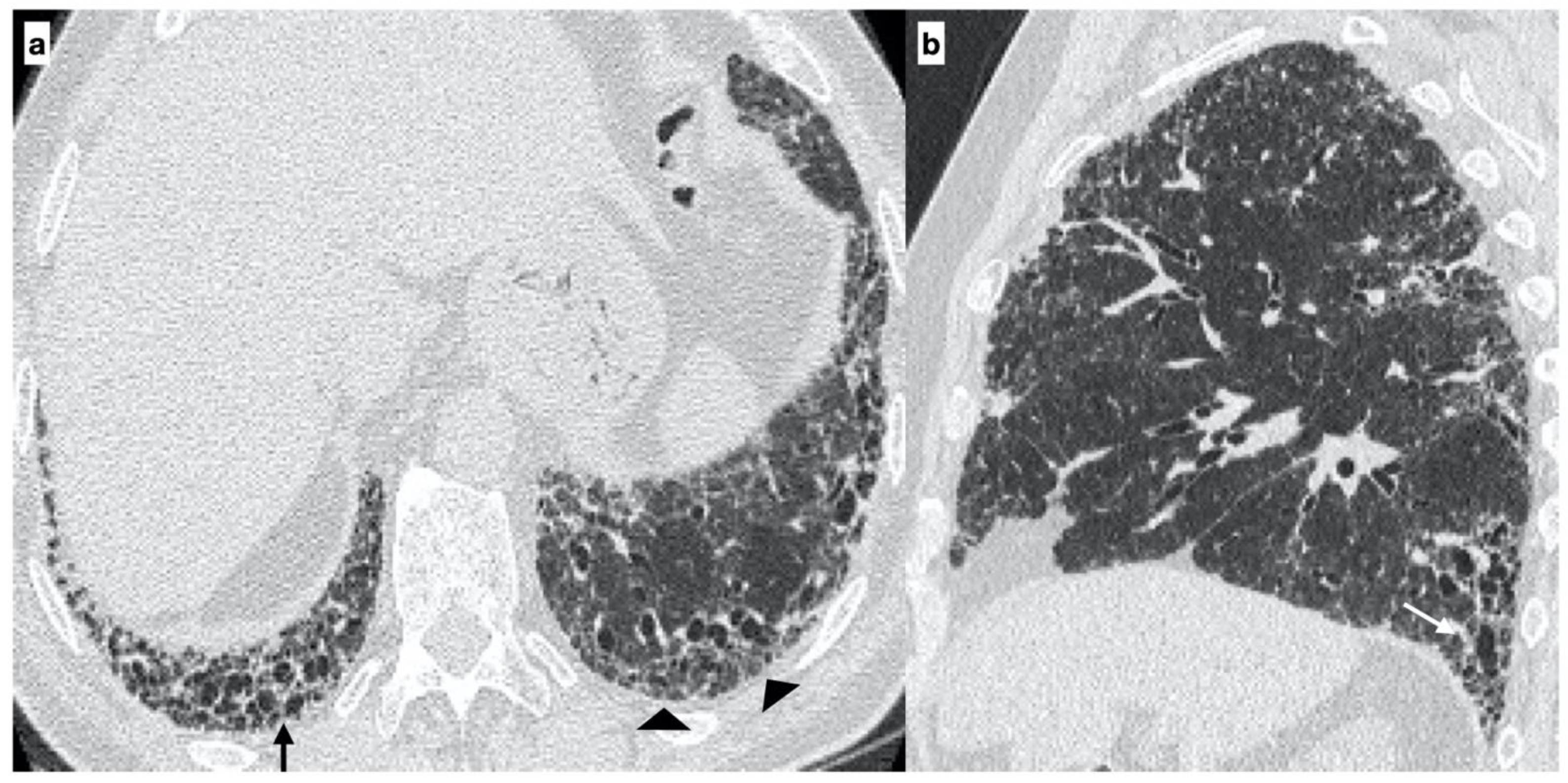
Figure 4. A 67-year-old male with “UIP pattern” on HRCT at the onset of respiratory symptoms. Axial HRCT plane shows honeycombing (black arrows) and reticulations (arrowheads) with a basal predominant distribution (a); traction bronchiectasis (white arrows) and distribution of alterations are better visible on the sagittal plane (b). Genetic analysis demonstrated the following types of mutations: SFTPA2, promoter-TERT, TERT.
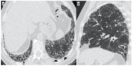
Figure 5. A 64-year-old male with an “Indeterminate pattern” on HRCT at onset of respiratory symptoms. The baseline axial HRCT image evidences subtle ground-glass opacities (black arrows) and reticulation (arrowheads) located in the subpleural regions of the lung bases with a predilection for the peripheral areas of both lungs (a). Follow-up HRCT, performed two years later, evidenced the worsening of the HRCT pattern due to the presence of extensive reticulations (arrowheads) and traction bronchiectasis/bronchiolectasis (white arrows) with a basal predominance (probable UIP pattern) (b). Genetic analysis demonstrated the following mutations: SFTPA2, promoter-TERT, SFTPC.
Furthermore, when we evaluated the baseline HRTC patterns versus HRCT patterns at 2 years from diagnosis (paired comparisons of patients in two different time points), both groups had similar percentages of patients with a worsened HRTC evaluation (63.2% familial vs. 69.8% sporadic) (see Figure 2 and Figure 3).
IPF patients may have more than one mutation and the number of mutations per patient averages 2.7 (min: 1, max: 5). Rare mutations were observed in our study groups, as listed in Table 2 and Table 3. MUC5B rs35705950 mutation was present in a minority of our patients and associated with a non-typical UIP pattern at HRCT scan. Two-thirds of patients with a TERT mutation at baseline had a typical UIP pattern (66.6%) (see Figure 2 and Figure 4), whilst the UIP pattern was observed in 1/15 patients without this mutation (6.6%) (p-value = 0.033). Furthermore, patients with SFTPC mutation had a frequent, but not statistically significant, indeterminate or alterative pattern (see Table 4) (see Figure 5).
Table 2. Frequency of mutations.
Table 3. Frequency and type of alleles polymorphism.
Table 4. Correlation between mutations and HRTC pattern at time of diagnosis.

4. Discussion

To the best of our knowledge, this is the first study to evaluate both the possibility of a correlation between genetic variants associated with IPF susceptibility and high-resolution computed tomography (HRCT) patterns and any differences between familial and sporadic IPF on the basis of the HRCT with a long follow-up (2 years).
Although the number of patients enrolled is small, our data do reflect those in international literature, i.e., patients with the familial form were younger at diagnosis, the sporadic form is more frequent in males and this form has a higher proportion of smokers [12,13,14,38,39,40,41,42,43]. During the follow-up, we observed a significant variation in the HRCT pattern among the IPF patients with genetic mutations. The prevalence of genetic mutations in our prospective population of IPF patients was 29.2%. This is in line with the updated literature indicating at least 25–35% of patients with IPF having specific genetic mutations [34,35,36,37,38,39,40,41,42,43]. In our study population, among the most common genetic mutations for IPF, the TERT mutation was mostly associated at the time of diagnosis with an HRCT typical UIP pattern (66.6%), whilst the other mutations were mostly associated with an indeterminate or alternative HRCT pattern according to the current international guidelines [9,10,11,12]. This is the case of MUC5B rs35705950 mutation, ABCA3 mutation and the mutation in surfactant proteins, which were associated in our study with a predominant atypical pattern of pulmonary fibrosis, but not the classical UIP pattern at the time of diagnosis. Several studies reported that the MUC5B promoter polymorphism was associated with asymptomatic ILD in the general population. Interestingly, this association was frequently observed in older persons, and it did not appear to be influenced by cigarette smoking [30,33].
After 2 years, the lung HRCT pattern of most patients with genetic mutations moved towards a more typical UIP pattern. These observations lead us to postulate that the etiology and pathogenesis of IPF could change in the early phases of the disease according to the presence of specific driver mutations, but it becomes more similar when pulmonary fibrosis progresses to a more advanced stage. Thus, an integrated approach to patients with IPF combining genetic variants and HRCT scan patterns could help to better identify different natural history and clinical evolution, suggesting a need for more targeted treatment to ameliorate disease prognosis and outcomes. At the time of diagnosis and during the follow-up, an HRCT scan, performed and interpreted by an expert radiologist, still plays a key role. However, the likelihood that specific radiologic features reflect IPF is dependent on the clinical context, and according to our data, probably also by the genetic variants. Although both radiologists and pulmonologists can identify findings suggestive of a fibrosing ILD, both need the input of one from the other to improve the differential diagnosis process. When there is doubt regarding the diagnosis, an integrated approach is required and a working diagnosis may be appropriate. However, as new information pertinent to the patient’s diagnosis becomes available over time, it should be reviewed at regular intervals. Furthermore, genetic tests for common or rare mutations should be offered to patients with a history of familial pulmonary fibrosis to stratify disease course and risk. The genetic evaluation could be also helpful for estimating the risk of IPF for patients’ family members [9,10,11,12,44]. High-risk groups should be screened with genetic tests and by HRCT to prompt recognize early signs of ILD.
Updated diagnostic guidelines for IPF will hopefully reflect the growing knowledge of genetic components of the disease in a way that ameliorates the clinical course and the therapeutic approach of these patients.

5. Conclusions

In this study, we described the association between HRCT patterns and genetic variants in IPF. We confirmed the central role of HRCT scans in the diagnosis of IPF, and we demonstrated that HRTC evaluation may be enriched by genetic information to ameliorate the diagnosis, the follow-up and the therapeutic approach in this complex disease.

Author Contributions

Conceptualization, E.B. and M.C.; writing—original draft preparation, B.R. and E.B.; writing—review and editing, B.R., E.B., B.W., M.S. (Mario Santagiuliana), A.S. and F.S.; data curation, M.S. (Michele Simbolo), P.C. and E.B.; formal analysis, F.G.; investigation, S.T., C.M.; supervision, M.A.C. and M.C.; funding acquisition, M.C. All authors have read and agreed to the published version of the manuscript.

Funding

This research received no external funding.

Institutional Review Board Statement

The study was conducted according to the guidelines of the Declaration of Helsinki, and approved by the Ethics Committee of CEUR (protocol 2018-34, date of approval 13 February 2018).

Data Availability Statement

The data presented in this study are available on request from the corresponding author.

Conflicts of Interest

The authors declare no conflict of interest.

References

  1. Richeldi, L.; Collard, H.R.; Jones, M.G. Idiopathic pulmonary fibrosis. Lancet 2017, 389, 1941–1952. [Google Scholar] [CrossRef]
  2. Hutchinson, J.P.; Fogarty, A.W.; Hubbard, R.B.; McKeever, T.M. Global incidence and mortality of idiopathic pulmonary fibrosis: A systematic review. Eur. Respir. J. 2015, 46, 795–806. [Google Scholar] [CrossRef]
  3. Diamantopoulos, A.; Wright, E.; Vlahopoulou, K.; Cornic, L.; Schoof, N.; Maher, T.M. The Burden of Illness of Idiopathic Pulmonary Fibrosis: A Comprehensive Evidence Review. Pharmacoeconomics 2018, 36, 779–807. [Google Scholar] [CrossRef] [PubMed]
  4. Raghu, G.; Remy-Jardin, M.; Myers, J.L.; Richeldi, L.; Ryerson, C.J.; Lederer, D.J.; Behr, J.; Cottin, V.; Danoff, S.K.; Morell, F.; et al. Diagnosis of Idiopathic Pulmonary Fibrosis. An Official ATS/ERS/JRS/ALAT Clinical Practice Guideline. Am. J. Respir. Crit. Care Med. 2018, 198, e44–e68. [Google Scholar] [CrossRef] [PubMed]
  5. Salton, F.; Ruaro, B.; Confalonieri, P.; Confalonieri, M. Epithelial–Mesenchymal Transition: A Major Pathogenic Driver in Idiopathic Pulmonary Fibrosis? Medecine 2020, 56, 608. [Google Scholar] [CrossRef]
  6. Ruaro, B.; Salton, F.; Braga, L.; Wade, B.; Confalonieri, P.; Volpe, M.; Baratella, E.; Maiocchi, S.; Confalonieri, M. The History and Mystery of Alveolar Epithelial Type II Cells: Focus on Their Physiologic and Pathologic Role in Lung. Int. J. Mol. Sci. 2021, 22, 2566. [Google Scholar] [CrossRef] [PubMed]
  7. Ruaro, B.; Confalonieri, M.; Matucci-Cerinic, M.; Salton, F.; Confalonieri, P.; Santagiuliana, M.; Citton, G.; Baratella, E.; Bruni, C. The Treatment of Lung Involvement in Systemic Sclerosis. Pharmaceuticals 2021, 14, 154. [Google Scholar] [CrossRef]
  8. Selman, M.; Pardo, A. The leading role of epithelial cells in the pathogenesis of idiopathic pulmonary fibrosis. Cell. Signal. 2020, 66, 109482. [Google Scholar] [CrossRef] [PubMed]
  9. Lynch, D.A.; Sverzellati, N.; Travis, W.D.; Brown, K.K.; Colby, T.V.; Galvin, J.R.; Goldin, J.G.; Hansell, D.M.; Inoue, Y.; Johkoh, T.; et al. Diagnostic criteria for idiopathic pulmonary fibrosis: A Fleischner Society White Paper. Lancet Respir. Med. 2018, 6, 138–153. [Google Scholar] [CrossRef]
  10. Walsh, S.L.F.; Calandriello, L.; Sverzellati, N.; Wells, A.U.; Hansell, D.M. Interobserver agreement for the ATS/ERS/JRS/ALAT criteria for a UIP pattern on CT. Thorax 2015, 71, 45–51. [Google Scholar] [CrossRef] [PubMed]
  11. Baratella, E.; Fiorese, I.; Marrocchio, C.; Salton, F.; Cova, M.A. Imaging Review of the Lung Parenchymal Complications in Patients with IPF. Medecine 2019, 55, 613. [Google Scholar] [CrossRef]
  12. Hobbs, S.; Chung, J.H.; Leb, J.; Kaproth-Joslin, K.; Lynch, D.A. Practical Imaging Interpretation in Patients Suspected of Having Idiopathic Pulmonary Fibrosis: Official Recommendations from the Radiology Working Group of the Pulmonary Fibrosis Foundation. Radiol. Cardiothorac. Imaging 2021, 3, e200279. [Google Scholar] [CrossRef]
  13. Moimas, S.; Salton, F.; Kosmider, B.; Ring, N.; Volpe, M.C.; Bahmed, K.; Braga, L.; Rehman, M.; Vodret, S.; Graziani, M.L.; et al. miR-200 family members reduce senescence and restore idiopathic pulmonary fibrosis type II alveolar epithelial cell transdifferentiation. ERJ Open Res. 2019, 5, 00138–02019. [Google Scholar] [CrossRef]
  14. Kropski, J.A.; Lawson, W.E.; Young, L.R.; Blackwell, T.S. Genetic studies provide clues on the pathogenesis of idiopathic pulmonary fibrosis. Dis. Model. Mech. 2012, 6, 9–17. [Google Scholar] [CrossRef]
  15. Spagnolo, P.; Grunewald, J.; Du Bois, R.M. Genetic determinants of pulmonary fibrosis: Evolving concepts. Lancet Respir. Med. 2014, 2, 416–428. [Google Scholar] [CrossRef]
  16. Hodgson, U.; Laitinen, T.; Tukiainen, P. Nationwide prevalence of sporadic and familial idiopathic pulmonary fibrosis: Evidence of founder effect among multiplex families in Finland. Thorax 2002, 57, 338–342. [Google Scholar] [CrossRef] [PubMed]
  17. Fernandez, B.A.; Fox, G.; Bhatia, R.; Sala, E.; Noble, B.; Denic, N.; Fernandez, D.; Duguid, N.; Dohey, A.; Kamel, F.; et al. A Newfoundland cohort of familial and sporadic idiopathic pulmonary fibrosis patients: Clinical and genetic features. Respir. Res. 2012, 13, 64. [Google Scholar] [CrossRef] [PubMed]
  18. Coghlan, M.A.; Shifren, A.; Huang, H.J.; Russell, T.D.; Mitra, R.D.; Zhang, Q.; Wegner, D.J.; Cole, F.S.; Hamvas, A. Sequencing of idiopathic pulmonary fibrosis-related genes reveals independent single gene associations. BMJ Open Respir. Res. 2014, 1, e000057. [Google Scholar] [CrossRef]
  19. Nogee, L.M.; Dunbar, A.E.; Wert, S.E.; Askin, F.; Hamvas, A.; Whitsett, J.A. A Mutation in the Surfactant Protein C Gene Associated with Familial Interstitial Lung Disease. N. Engl. J. Med. 2001, 344, 573–579. [Google Scholar] [CrossRef] [PubMed]
  20. Thomas, A.Q.; Lane, K.; Phillips, J.; Prince, M.; Markin, C.; Speer, M.; Schwartz, D.A.; Gaddipati, R.; Marney, A.; Johnson, J.; et al. Heterozygosity for a Surfactant Protein C Gene Mutation Associated with Usual Interstitial Pneumonitis and Cellular Nonspecific Interstitial Pneumonitis in One Kindred. Am. J. Respir. Crit. Care Med. 2002, 165, 1322–1328. [Google Scholar] [CrossRef] [PubMed]
  21. Ono, S.; Tanaka, T.; Ishida, M.; Kinoshita, A.; Fukuoka, J.; Takaki, M.; Sakamoto, N.; Ishimatsu, Y.; Kohno, S.; Hayashi, T.; et al. Surfactant protein C G100S mutation causes familial pulmonary fibrosis in Japanese kindred. Eur. Respir. J. 2011, 38, 861–869. [Google Scholar] [CrossRef]
  22. Armanios, M.Y.; Chen, J.J.-L.; Cogan, J.D.; Alder, J.K.; Ingersoll, R.G.; Markin, C.; Lawson, W.E.; Xie, M.; Vulto, I.; Phillips, J.A.; et al. Telomerase Mutations in Families with Idiopathic Pulmonary Fibrosis. N. Engl. J. Med. 2007, 356, 1317–1326. [Google Scholar] [CrossRef] [PubMed]
  23. Alder, J.K.; Stanley, S.E.; Wagner, C.L.; Hamilton, M.; Hanumanthu, V.S.; Armanios, M. Exome Sequencing Identifies Mutant TINF2 in a Family With Pulmonary Fibrosis. Chest 2015, 147, 1361–1368. [Google Scholar] [CrossRef]
  24. Fukuhara, A.; Tanino, Y.; Ishii, T.; Inokoshi, Y.; Saito, K.; Fukuhara, N.; Sato, S.; Saito, J.; Ishida, T.; Yamaguchi, H.; et al. Pulmonary fibrosis in dyskeratosis congenita withTINF2gene mutation. Eur. Respir. J. 2013, 42, 1757–1759. [Google Scholar] [CrossRef] [PubMed]
  25. Cogan, J.D.; Kropski, J.A.; Zhao, M.; Mitchell, D.B.; Rives, L.; Markin, C.; Garnett, E.T.; Montgomery, K.H.; Mason, W.R.; Mckean, D.F.; et al. Rare Variants inRTEL1Are Associated with Familial Interstitial Pneumonia. Am. J. Respir. Crit. Care Med. 2015, 191, 646–655. [Google Scholar] [CrossRef] [PubMed]
  26. Fingerlin, T.E.; Murphy, E.; Zhang, W.; Peljto, A.L.; Brown, K.K.; Steele, M.P.; Loyd, J.E.; Cosgrove, G.P.; Lynch, D.A.; Groshong, S.D.; et al. Genome-wide association study identifies multiple susceptibility loci for pulmonary fibrosis. Nat. Genet. 2013, 45, 613–620. [Google Scholar] [CrossRef] [PubMed]
  27. Mushiroda, T.; Wattanapokayakit, S.; Takahashi, A.; Nukiwa, T.; Kudoh, S.; Ogura, T.; Taniguchi, H.; Kubo, M.; Kamatani, N.; Nakamura, Y.; et al. A genome-wide association study identifies an association of a common variant in TERT with susceptibility to idiopathic pulmonary fibrosis. J. Med. Genet. 2008, 45, 654–656. [Google Scholar] [CrossRef] [PubMed]
  28. Noth, I.; Zhang, Y.; Ma, S.-F.; Flores, C.; Barber, M.; Huang, Y.; Broderick, S.M.; Wade, M.S.; Hysi, P.; Scuirba, J.; et al. Genetic variants associated with idiopathic pulmonary fibrosis susceptibility and mortality: A genome-wide association study. Lancet Respir. Med. 2013, 1, 309–317. [Google Scholar] [CrossRef]
  29. Wei, R.; Li, C.; Zhang, M.; Jones-Hall, Y.L.; Myers, J.L.; Noth, I.; Liu, W.; Jones, Y.L. Association between MUC5B and TERT polymorphisms and different interstitial lung disease phenotypes. Transl. Res. 2014, 163, 494–502. [Google Scholar] [CrossRef] [PubMed]
  30. Hunninghake, G.M.; Hatabu, H.; Okajima, Y.; Gao, W.; Dupuis, J.; Latourelle, J.C.; Nishino, M.; Araki, T.; Zazueta, O.E.; Kurugol, S.; et al. MUC5B Promoter Polymorphism and Interstitial Lung Abnormalities. N. Engl. J. Med. 2013, 368, 2192–2200. [Google Scholar] [CrossRef] [PubMed]
  31. Steele, M.P.; Speer, M.C.; Loyd, J.E.; Brown, K.K.; Herron, A.; Slifer, S.H.; Burch, L.H.; Wahidi, M.M.; Phillips, J.A.; Sporn, T.A.; et al. Clinical and Pathologic Features of Familial Interstitial Pneumonia. Am. J. Respir. Crit. Care Med. 2005, 172, 1146–1152. [Google Scholar] [CrossRef] [PubMed]
  32. Scholand, M.B.; Coon, H.; Wolff, R.; Cannon-Albright, L. Use of a Genealogical Database Demonstrates Heritability of Pulmonary Fibrosis. Lung 2013, 191, 475–481. [Google Scholar] [CrossRef] [PubMed]
  33. Dressen, A.; Abbas, A.R.; Cabanski, C.; Reeder, J.; Ramalingam, T.R.; Neighbors, M.; Bhangale, T.R.; Brauer, M.J.; Hunkapiller, J.; Reeder, J.; et al. Analysis of protein-altering variants in telomerase genes and their association with MUC5B common variant status in patients with idiopathic pulmonary fibrosis: A candidate gene sequencing study. Lancet Respir. Med. 2018, 6, 603–614. [Google Scholar] [CrossRef]
  34. Cottin, V.; Reix, P.; Khouatra, C.; Thivolet-Béjui, F.; Feldmann, D.; Cordier, J.-F. Combined pulmonary fibrosis and emphysema syndrome associated with familial SFTPC mutation. Thorax 2011, 66, 918–919. [Google Scholar] [CrossRef] [PubMed]
  35. Simbolo, M.; Gottardi, M.; Corbo, V.; Fassan, M.; Mafficini, A.; Malpeli, G.; Lawlor, R.T.; Scarpa, A. DNA Qualification Workflow for Next Generation Sequencing of Histopathological Samples. PLoS ONE 2013, 8, e62692. [Google Scholar] [CrossRef] [PubMed]
  36. Cingolani, P.; Patel, V.M.; Coon, M.; Nguyen, T.; Land, S.J.; Ruden, D.M.; Lu, X. Using Drosophila melanogaster as a Model for Genotoxic Chemical Mutational Studies with a New Program, SnpSift. Front. Genet. 2012, 3, 35. [Google Scholar] [CrossRef]
  37. McLaren, W.; Pritchard, B.; Rios, D.; Chen, Y.; Flicek, P.; Cunningham, F. Deriving the consequences of genomic variants with the Ensembl API and SNP Effect Predictor. Bioinformatics 2010, 26, 2069–2070. [Google Scholar] [CrossRef]
  38. Geraghty, P.; Wallace, A.; D’Armiento, J.M. Induction of the unfolded protein response by cigarette smoke is primarily an activating transcription factor 4-C/EBP homologous protein mediated process. Int. J. Chronic Obstr. Pulm. Dis. 2011, 6, 309–319. [Google Scholar] [CrossRef]
  39. Hengstermann, A.; Müller, T. Endoplasmic reticulum stress induced by aqueous extracts of cigarette smoke in 3T3 cells activates the unfolded-protein-response-dependent PERK pathway of cell survival. Free Radic. Biol. Med. 2008, 44, 1097–1107. [Google Scholar] [CrossRef]
  40. Zhao, H.; Yang, J.; Shan, L.; Jorgensen, E.D. Measuring the Impact of Cigarette Smoke on the UPR. Methods Enzymol. 2011, 489, 147–164. [Google Scholar] [CrossRef] [PubMed]
  41. Margaritopoulos, G.A.; Harari, S.; Caminati, A.; Antoniou, K.M. Smoking-related idiopathic interstitial pneumonia: A review. Respirology 2015, 21, 57–64. [Google Scholar] [CrossRef] [PubMed]
  42. Kropski, J.A.; Blackwell, T.S.; Loyd, J.E. The genetic basis of idiopathic pulmonary fibrosis. Eur. Respir. J. 2015, 45, 1717–1727. [Google Scholar] [CrossRef] [PubMed]
  43. Schwartz, D.A. Idiopathic Pulmonary Fibrosis Is A Complex Genetic Disorder. Trans. Am. Clin. Clim. Assoc. 2016, 127, 34–45. [Google Scholar]
  44. Kropski, J.A.; Young, L.R.; Cogan, J.D.; Mitchell, D.B.; Lancaster, L.H.; Worrell, J.A.; Markin, C.; Na Liu, M.; Mason, W.R.; Fingerlin, T.E.; et al. Genetic Evaluation and Testing of Patients and Families with Idiopathic Pulmonary Fibrosis. Am. J. Respir. Crit. Care Med. 2017, 195, 1423–1428. [Google Scholar] [CrossRef] [PubMed]
Publisher’s Note: MDPI stays neutral with regard to jurisdictional claims in published maps and institutional affiliations.

Article Metrics

Citations

Article Access Statistics

Multiple requests from the same IP address are counted as one view.