Advanced Imaging Analysis in Prostate MRI: Building a Radiomic Signature to Predict Tumor Aggressiveness
Abstract
1. Introduction
2. Materials and Methods
2.1. Study Population
2.2. MRI Protocol
2.3. MRI Qualitative Analysis
2.4. MRI Quantitative Analysis
2.4.1. MRI Images Post-Processing
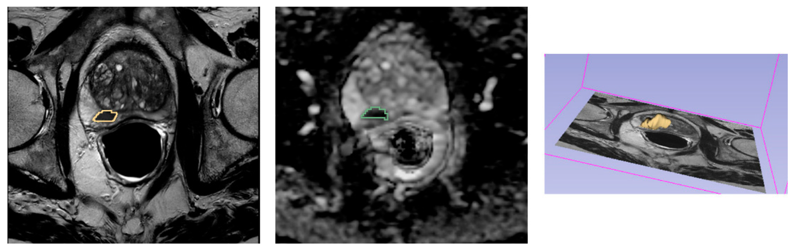
2.4.2. Tumor Volume Segmentation
2.4.3. MRI Image Quantification
2.4.4. Association of Radiomic Phenotype and Clinical Data
2.4.5. Building Diagnostic Radiomic Signature
3. Results
4. Discussion
Supplementary Materials
Author Contributions
Funding
Institutional Review Board Statement
Informed Consent Statement
Data Availability Statement
Conflicts of Interest
References
- Walsh, P.C.; Deweese, T.L.; Eisenberger, M.A. Localized Prostate Cancer. N. Engl. J. Med. 2007, 357, 2696–2705. [Google Scholar] [CrossRef] [PubMed]
- Nepple, K.G.; Wahls, T.L.; Hillis, S.L.; Joudi, F.N. Gleason score and laterality concordance between prostate biopsy and prostatectomy specimens. Int. Braz. J. Urol. 2009, 35, 559–564. [Google Scholar] [CrossRef] [PubMed]
- Rajinikanth, A.; Manoharan, M.; Soloway, C.T.; Civantos, F.J.; Soloway, M.S. Trends in Gleason Score: Concordance Between Biopsy and Prostatectomy over 15 Years. Urology 2008, 72, 177–182. [Google Scholar] [CrossRef] [PubMed]
- Steinberg, D.M.; Sauvageot, J.; Piantadosi, S.; Epstein, J.I. Correlation of Prostate Needle Biopsy and Radical Prostatectomy Gleason Grade in Academic and Community Settings. Am. J. Surg. Pathol. 1997, 21, 566–576. [Google Scholar] [CrossRef] [PubMed]
- Castellano, G.; Bonilha, L.; Li, L.; Cendes, F. Texture analysis of medical images. Clin. Radiol. 2004, 59, 1061–1069. [Google Scholar] [CrossRef]
- Castiglioni, I.; Gallivanone, F.; Soda, P.; Avanzo, M.; Stancanello, J.; Aiello, M.; Interlenghi, M.; Salvatore, M. AI-based applications in hybrid imaging: How to build smart and truly multi-parametric decision models for radiomics. Eur. J. Nucl. Med. Mol. Imaging 2019, 46, 2673–2699. [Google Scholar] [CrossRef]
- Chaddad, A.; Niazi, T.; Probst, S.; Bladou, F.; Anidjar, M.; Bahoric, B. Predicting Gleason Score of Prostate Cancer Patients Using Radiomic Analysis. Front. Oncol. 2018, 8, 630. [Google Scholar] [CrossRef] [PubMed]
- Wibmer, A.; Hricak, H.; Gondo, T.; Matsumoto, K.; Veeraraghavan, H.; Fehr, D.; Zheng, J.; Goldman, D.; Moskowitz, C.; Fine, S.W.; et al. Haralick texture analysis of prostate MRI: Utility for differentiating non-cancerous prostate from prostate cancer and differentiating prostate cancers with different Gleason scores. Eur. Radiol. 2015, 25, 2840–2850. [Google Scholar] [CrossRef]
- Ms, S.E.V.; Bloch, N.B.; Chappelow, J.C.; Toth, R.; Rofsky, N.M.; Genega, E.M.; Lenkinski, R.E.; Madabhushi, A. Central gland and peripheral zone prostate tumors have significantly different quantitative imaging signatures on 3 tesla endorectal, in vivo T2-weighted MR imagery. J. Magn. Reson. Imaging 2012, 36, 213–224. [Google Scholar] [CrossRef]
- Srigley, J.R.; A Humphrey, P.; Amin, M.B.; Chang, S.S.; Egevad, L.; I Epstein, J.; Grignon, D.J.; McKiernan, J.M.; Montironi, R.; A Renshaw, A.; et al. Protocol for the examination of specimens from patients with carcinoma of the prostate gland. Arch. Pathol. Lab. Med. 2009, 133, 1568–1576. [Google Scholar] [CrossRef]
- Palumbo, D.; Yee, B.; O’Dea, P.; Leedy, S.; Viswanath, S.; Madabhushi, A. Interplay between bias field correction, intensity standardization, and noise filtering for T2-weighted MRI. In Proceedings of the 2011 Annual International Conference of the IEEE Engineering in Medicine and Biology Society, Boston, MA, USA, 30 August–3 September 2011; Institute of Electrical and Electronics Engineers (IEEE): Greenvile, SC, USA, 2011; pp. 5080–5083. [Google Scholar]
- Tustison, N.J.; Avants, B.B.; Cook, P.A.; Zheng, Y.; Egan, A.; Yushkevich, P.A.; Gee, J.C. N4ITK: Improved N3 Bias Correction. IEEE Trans. Med. Imaging 2010, 29, 1310–1320. [Google Scholar] [CrossRef]
- Fedorov, A.; Beichel, R.; Kalpathy-Cramer, J.; Finet, J.; Fillion-Robin, J.-C.; Pujol, S.; Bauer, C.; Jennings, M.; Fennessy, F.; Sonka, M.; et al. 3D Slicer as an image computing platform for the Quantitative Imaging Network. Magn. Reson. Imaging 2012, 30, 1323–1341. [Google Scholar] [CrossRef] [PubMed]
- Zhu, L.; Kolesov, L.; Yi, G.; Ron, K.; Allen, T. An Effective Interactive Medical Image Segmentation Method using Fast GrowCut. In Proceedings of the International Conference Medicine Image Comput Comput Assist Interv, Workshop on Interactive Methods (MICCAI), Boston, MA, USA, 14–18 September 2014. [Google Scholar]
- Van Griethuysen, J.J.; Fedorov, A.; Parmar, C.; Hosny, A.; Aucoin, N.; Narayan, V.; Beets-Tan, R.G.; Fillion-Robin, J.-C.; Pieper, S.; Aerts, H.J. Computational Radiomics System to Decode the Radiographic Phenotype. Cancer Res. 2017, 77, e104–e107. [Google Scholar] [CrossRef] [PubMed]
- Collewet, G.; Strzelecki, M.; Mariette, F. Influence of MRI acquisition protocols and image intensity normalization methods on texture classification. Magn. Reson. Imaging 2004, 22, 81–91. [Google Scholar] [CrossRef]
- Aerts, H.J.W.L.; Velazquez, E.R.; Leijenaar, R.T.H.; Parmar, C.; Grossmann, P.; Carvalho, S.; Bussink, J.; Monshouwer, R.; Haibe-Kains, B.; Rietveld, D.; et al. Decoding tumour phenotype by noninvasive imaging using a quantitative radiomics approach. Nat. Commun. 2014, 5, 4006. [Google Scholar] [CrossRef] [PubMed]
- Gillies, R.J.; Kinahan, P.E.; Hricak, H. Radiomics: Images Are More than Pictures, They Are Data. Radiology 2016, 278, 563–577. [Google Scholar] [CrossRef]
- Gu, Z.; Eils, R.; Schlesner, M. Complex heatmaps reveal patterns and correlations in multidimensional genomic data. Bioinformatics 2016, 32, 2847–2849. [Google Scholar] [CrossRef] [PubMed]
- Bertoli, G.; Cava, C.; Diceglie, C.; Martelli, C.; Rizzo, G.; Piccotti, F.; Ottobrini, L.; Castiglioni, I. MicroRNA-567 dysregulation contributes to carcinogenesis of breast cancer, targeting tumor cell proliferation, and migration. Breast Cancer Res. Treat. 2016, 161, 605–616. [Google Scholar] [CrossRef] [PubMed]
- Meyer, D.; Dimitriadou, E.; Hornik, K.; Weingessel, A.; Leisch, F. Misc functions of the department of statistics, Probability Theory Group In: e1071. TU Wien. R Package Version1.7–2, 2019. [Google Scholar]
- D’Amico, N.C.; Merone, M.; Sicilia, R.; Cordelli, E.; D’Antoni, F.; Zanetti, I.B.; Valbusa, G.; Grossi, E. Tackling imbalance radiomics in acoustic neuroma. Int. J. Data Min. Bioinform. 2019, 22, 365. [Google Scholar] [CrossRef]
- Haibo, H.; Garcia, E.A. Learning from Imbalanced Data. IEEE Trans. Knowl. Data Eng. 2009, 21, 1263–1284. [Google Scholar] [CrossRef]
- Gallivanone, F.; Panzeri, M.M.; Canevari, C.; Losio, C.; Gianolli, L.; De Cobelli, F.; Castiglioni, I. Biomarkers from in vivo molecular imaging of breast cancer: Pretreatment 18F-FDG PET predicts patient prognosis, and pretreatment DWI-MR predicts response to neoadjuvant chemotherapy. MAGMA 2017, 30, 359–373. [Google Scholar] [CrossRef][Green Version]
- Ganeshan, B.; Burnand, K.; Young, R.; Chatwin, C.; Miles, K. Dynamic Contrast-Enhanced Texture Analysis of the Liver. Investig. Radiol. 2011, 46, 160–168. [Google Scholar] [CrossRef]
- Teruel, J.R.; Heldahl, M.G.; Goa, P.E.; Pickles, M.; Lundgren, S.; Bathen, T.F.; Gibbs, P. Dynamic contrast-enhanced MRI texture analysis for pretreatment prediction of clinical and pathological response to neoadjuvant chemotherapy in patients with locally advanced breast cancer. NMR Biomed. 2014, 27, 887–896. [Google Scholar] [CrossRef] [PubMed]
- Zwanenburg, A.; Vallières, M.; Abdalah, M.A.; Aerts, H.J.W.L.; Andrearczyk, V.; Apte, A.; Ashrafinia, S.; Bakas, S.; Beukinga, R.J.; Boellaard, R.; et al. The Image Biomarker Standardization Initiative: Standardized Quantitative Radiomics for High-Throughput Image-based Phenotyping. Radiology 2020, 295, 328–338. [Google Scholar] [CrossRef] [PubMed]
- Comelli, A.; Dahiya, N.; Stefano, A.; Vernuccio, F.; Portoghese, M.; Cutaia, G.; Bruno, A.; Salvaggio, G.; Yezzi, A. Deep Learning-Based Methods for Prostate Segmentation in Magnetic Resonance Imaging. Appl. Sci. 2021, 11, 782. [Google Scholar] [CrossRef]
- Nketiah, G.; Elschot, M.; Kim, E.; Teruel, J.R.; Scheenen, T.W.; Bathen, T.F.; Selnæs, K.M. T2-weighted MRI-derived textural features reflect prostate cancer aggressiveness: Preliminary results. Eur. Radiol. 2017, 27, 3050–3059. [Google Scholar] [CrossRef]
- Toivonen, J.; Perez, I.M.; Movahedi, P.; Merisaari, H.; Pesola, M.; Taimen, P.; Boström, P.J.; Pohjankukka, J.; Kiviniemi, A.; Pahikkala, T.; et al. Radiomics and machine learning of multisequence multiparametric prostate MRI: Towards improved non-invasive prostate cancer characterization. PLoS ONE 2019, 14, e0217702. [Google Scholar] [CrossRef]
- Briganti, A.; Larcher, A.; Abdollah, F.; Capitanio, U.; Gallina, A.; Suardi, N.; Bianchi, M.; Sun, M.; Freschi, M.; Salonia, A.; et al. Updated Nomogram Predicting Lymph Node Invasion in Patients with Prostate Cancer Undergoing Extended Pelvic Lymph Node Dissection: The Essential Importance of Percentage of Positive Cores. Eur. Urol. 2012, 61, 480–487. [Google Scholar] [CrossRef] [PubMed]
- Rosenkrantz, A.B.; Shanbhogue, A.K.; Wang, A.; Kong, M.X.; Babb, J.S.; Taneja, S.S. Length of capsular contact for diagnosing extraprostatic extension on prostate MRI: Assessment at an optimal threshold. J. Magn. Reson. Imaging 2016, 43, 990–997. [Google Scholar] [CrossRef]
- Hole, K.H.; Axcrona, K.; Lie, A.K.; Vlatkovic, L.; Geier, O.M.; Brennhovd, B.; Knutstad, K.; Olsen, D.R.; Seierstad, T. Routine pelvic MRI using phased-array coil for detection of extraprostatic tumour extension: Accuracy and clinical significance. Eur. Radiol. 2012, 23, 1158–1166. [Google Scholar] [CrossRef][Green Version]
- De Cobelli, F.; Ravelli, S.; Esposito, A.; Giganti, F.; Gallina, A.; Montorsi, F.; Del Maschio, A. Apparent Diffusion Coefficient Value and Ratio as Noninvasive Potential Biomarkers to Predict Prostate Cancer Grading: Comparison With Prostate Biopsy and Radical Prostatectomy Specimen. Am. J. Roentgenol. 2015, 204, 550–557. [Google Scholar] [CrossRef]
- Oto, A.; Yang, C.; Kayhan, A.; Tretiakova, M.; Antic, T.; Schmid-Tannwald, C.; Eggener, S.; Karczmar, G.S.; Stadler, W.M. Diffusion-Weighted and Dynamic Contrast-Enhanced MRI of Prostate Cancer: Correlation of Quantitative MR Parameters with Gleason Score and Tumor Angiogenesis. Am. J. Roentgenol. 2011, 197, 1382–1390. [Google Scholar] [CrossRef] [PubMed]
- Gillies, R.J.; Schabath, M.B. Radiomics Improves Cancer Screening and Early Detection. Cancer Epidemiol. Biomark. Prev. 2020, 29, 2556–2567. [Google Scholar] [CrossRef] [PubMed]
- Giambelluca, D.; Cannella, R.; Vernuccio, F.; Comelli, A.; Pavone, A.; Salvaggio, L.; Galia, M.; Midiri, M.; Lagalla, R.; Salvaggio, G. PI-RADS 3 Lesions: Role of Prostate MRI Texture Analysis in the Identification of Prostate Cancer. Curr. Probl. Diagn. Radiol. 2021, 50, 175–185. [Google Scholar] [CrossRef] [PubMed]




| Parameter | T2 TSE * Axial | T2 TSE * Sagittal | T2 TSE * Coronal | DWI ** (b: 0, 800, 1600) | DCE *** |
|---|---|---|---|---|---|
| TR (ms) | 4824 | 4370 | 2991 | 4376 | 3.7 |
| TE (ms) | 120 | 120 | 120 | 80 | 1.83 |
| FOV° (mm) | 180 × 180 | 180 × 180 | 180 × 180 | 180 × 180 | 180 × 180 |
| Matrix Thickness (mm) | 3 | 3 | 3 | 3 | 3 |
| Gap (mm) | 0.3 | 0.3 | 0.3 | 0.3 | 0 |
| Flip angle (°) | 90 | 90 | 90 | 90 | 8/5, 8, 12, 15 |
| Acquisition time | 4 min 6 s | 3 min 25 s | 2 min 8 s | 5 min 19 s | 3 min 20 s |
| # Patients | Frequency | ||
|---|---|---|---|
| Index lesion location | PZ * | 43 | 69% |
| TZ ** | 16 | 26% | |
| Both | 3 | 5% | |
| PI-RADS *** | 3 | 3 | 5% |
| 4 | 30 | 48% | |
| 5 | 29 | 47% | |
| Gleason Score | 7 (3 + 4) | 18 | 29% |
| 7 (4 + 3) | 18 | 29% | |
| 8 | 5 | 8% | |
| 9 | 21 | 34% | |
| ECE ° | Yes | 38 | 61% |
| No | 24 | 39% | |
| pN | pN0 °° | 39 | 63% |
| pN1 ≥ 1 °°° | 13 | 21% | |
| pNx # | 10 | 16% |
| Signature | Image Modality | Feature Group | Features | High GGG vs. Low GGG | N0 vs. N1 | Presence vs. Absence of ECE | ||||||
|---|---|---|---|---|---|---|---|---|---|---|---|---|
| Acc # | Sens ## | Spec ### | Acc # | Sens ## | Spec ### | Acc # | Sens ## | Spec ### | ||||
| STOP-T2w * | T2w images | M | Sphericity | 0.75 ± 0.05 (0.67–0.83) | 0.73 ± 0.11 (0.56–0.89) | 0.76 ± 0.14 (0.44–0.94) | 0.84 ± 0.05 (0.77–0.92) | 0.79 ± 0.09 (0.62–0.92) | 0.88 ± 0.09 (0.69–1) | 0.75 ± 0.03 (0.71–0.79) | 0.8 ± 0.07 (0.76–0.94) | 0.69 ± 0.12 (0.47–0.94) |
| GLRLM | SRHGLE | |||||||||||
| GLSZM | SAHGLE | |||||||||||
| LAHGLE | ||||||||||||
| STOP-ADC ** | ADC maps | M | Elongation | 0.83 ± 0.06 (0.75–0.94) | 0.95 ± 0.04 (0.89–1) | 0.7 ± 0.13 (0.5–0.89) | 0.86 ± 0.05 (0.73–0.92) | 0.77 ± 0.1 (0.62–0.92) | 0.95 ± 0.09 (0.77–1) | 0.81 ± 0.02 (0.79–0.85) | 0.85 ± 0.1 (0.65–1) | 0.78 ± 0.09 (0.59–0.94) |
| Flatness | ||||||||||||
| GLCM | Inverse Variance | |||||||||||
| Cluster Shade | ||||||||||||
| NGTDM | Busyness | |||||||||||
| STOP *** | T2w images | M | Sphericity | 0.88 ± 0.04 (0.81–0.94) | 0.94 ± 0.04 (0.89–1) | 0.82 ± 0.1 (0.67–0.89) | 0.9 ± 0.04 (0.85–0.96) | 0.9 ± 0.1 (0.69–1) | 0.9 ± 0.1 (0.69–1) | 0.85 ± 0.04 (0.79–0.91) | 0.93 ± 0.06 (0.88–1) | 0.78± 0.09 (0.65–0.94) |
| GLRLM | SRHGLE | |||||||||||
| GLSZM | SAHGLE | |||||||||||
| LAHGLE | ||||||||||||
| ADC aps | M | Elongation | ||||||||||
| Flatness | ||||||||||||
| GLCM | Inverse Variance | |||||||||||
| Cluster Shade | ||||||||||||
| NGTDM | Busyness | |||||||||||
| SADCmean ° | ADC maps | - | ADCmean | 0.71 ± 0.04 (0.64–0.78) | 0.64 ± 0.1 (0.44–0.78) | 0.78 ± 0.05 (0.72–0.83) | 0.67 ± 0.06 (0.54–0.73) | 0.51 ± 0.15 (0.23–0.77) | 0.82 ± 0.14 (0.62–1) | 0.63 ± 0.03 (0.59–0.68) | 0.49 ± 0.16 (0.29–0.76) | 0.76 ± 0.19 (0.41–1) |
| STOP + ADC mean °° | T2w images | M | Sphericity | 0.9 ± 0.04 (0.83–0.94) | 0.93 ± 0.06 (0.83–1) | 0.88 ± 0.06 (0.78–0.94) | 0.89 ± 0.04 (0.81–0.92) | 0.82 ± 0.11 (0.62–1) | 0.96 ± 0.06 (0.85–1) | 0.88 ± 0.03 (0.82–0.91) | 0.88 ± 0.07 (0.71–1) | 0.89 ± 0.07 (0.76–1) |
| GLRLM | SRHGLE | |||||||||||
| GLSZM | SAHGLE | |||||||||||
| LAHGLE | ||||||||||||
| ADC maps | M | Elongation | ||||||||||
| Flatness | ||||||||||||
| GLCM | Inverse Variance | |||||||||||
| Cluster Shade | ||||||||||||
| NGTDM | Busyness | |||||||||||
| - | ADCmean | |||||||||||
Publisher’s Note: MDPI stays neutral with regard to jurisdictional claims in published maps and institutional affiliations. |
© 2021 by the authors. Licensee MDPI, Basel, Switzerland. This article is an open access article distributed under the terms and conditions of the Creative Commons Attribution (CC BY) license (http://creativecommons.org/licenses/by/4.0/).
Share and Cite
Damascelli, A.; Gallivanone, F.; Cristel, G.; Cava, C.; Interlenghi, M.; Esposito, A.; Brembilla, G.; Briganti, A.; Montorsi, F.; Castiglioni, I.; et al. Advanced Imaging Analysis in Prostate MRI: Building a Radiomic Signature to Predict Tumor Aggressiveness. Diagnostics 2021, 11, 594. https://doi.org/10.3390/diagnostics11040594
Damascelli A, Gallivanone F, Cristel G, Cava C, Interlenghi M, Esposito A, Brembilla G, Briganti A, Montorsi F, Castiglioni I, et al. Advanced Imaging Analysis in Prostate MRI: Building a Radiomic Signature to Predict Tumor Aggressiveness. Diagnostics. 2021; 11(4):594. https://doi.org/10.3390/diagnostics11040594
Chicago/Turabian StyleDamascelli, Anna, Francesca Gallivanone, Giulia Cristel, Claudia Cava, Matteo Interlenghi, Antonio Esposito, Giorgio Brembilla, Alberto Briganti, Francesco Montorsi, Isabella Castiglioni, and et al. 2021. "Advanced Imaging Analysis in Prostate MRI: Building a Radiomic Signature to Predict Tumor Aggressiveness" Diagnostics 11, no. 4: 594. https://doi.org/10.3390/diagnostics11040594
APA StyleDamascelli, A., Gallivanone, F., Cristel, G., Cava, C., Interlenghi, M., Esposito, A., Brembilla, G., Briganti, A., Montorsi, F., Castiglioni, I., & De Cobelli, F. (2021). Advanced Imaging Analysis in Prostate MRI: Building a Radiomic Signature to Predict Tumor Aggressiveness. Diagnostics, 11(4), 594. https://doi.org/10.3390/diagnostics11040594

