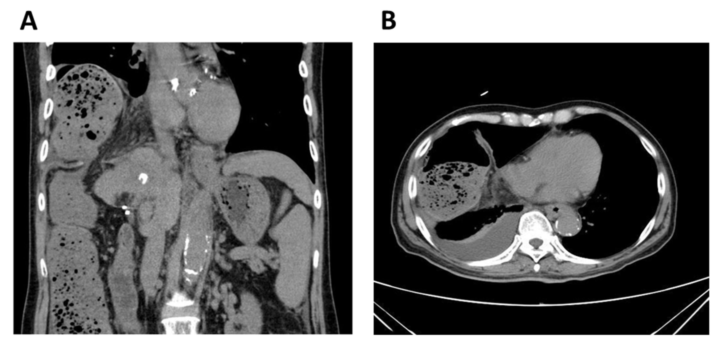
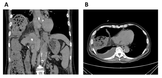
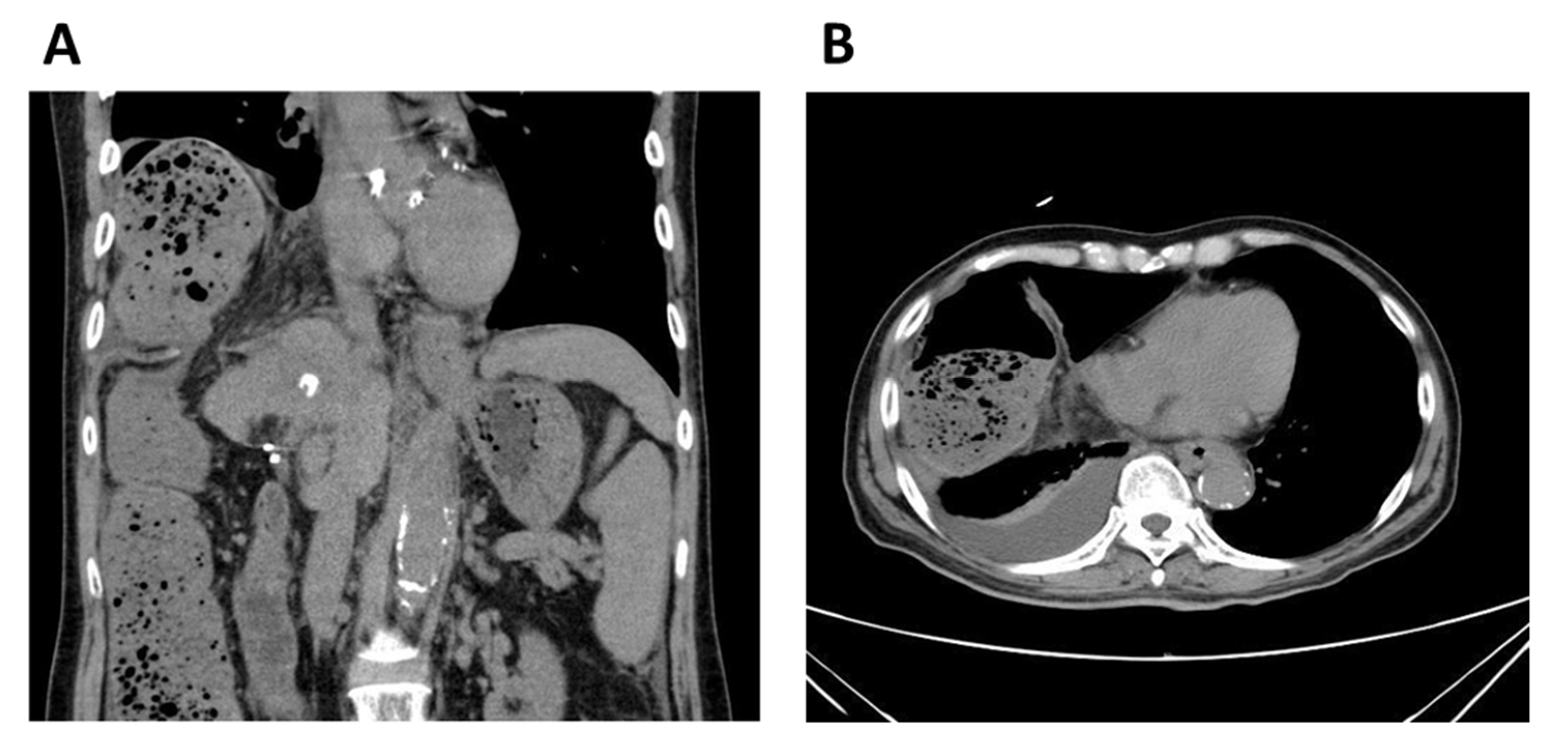
Diaphragmatic Hernia after Radiofrequency Ablation
Abstract
Author Contributions
Funding
Institutional Review Board Statement
Informed Consent Statement
Acknowledgments
Conflicts of Interest
References
- Spellar, K.; Gupta, N. Diaphragmatic Hernia. In StatPearls; StatPearls Publishing: Treasure Island, FL, USA, 2020. [Google Scholar]
- Koh, H.; Sivarajah, S.; Anderson, D.; Wilson, C. Incarcerated diaphragmatic hernia as a cause of acute abdomen. J. Surg. Case Rep. 2012, 10, 4. [Google Scholar] [CrossRef] [PubMed][Green Version]
- Mulier, S.; Mulier, P.; Ni, Y.; Miao, Y.; Dupas, B.; Marchal, G.; De Wever, I.; Michel, L. Complications of radiofrequency coagulation of liver tumours. Br. J. Surg. 2002, 89, 1206–1222. [Google Scholar] [CrossRef] [PubMed]
- Nawa, T.; Mochizuki, K.; Yakushijin, T.; Hamano, M.; Itose, I.; Egawa, S.; Nishida, T.; Tsutsui, S.; Hiramatsu, N.; Kanto, T.; et al. A patient who developed diaphragmatic hernia 20 months after percutaneous radiofrequency ablation for hepatocellular carcinoma. Nihon Shokakibyo Gakkai Zasshi 2010, 107, 1167–1174. [Google Scholar] [PubMed]
- Saito, T.; Chiba, T.; Ogasawara, S.; Inoue, M.; Wakamatsu, T.; Motoyama, T.; Kanogawa, N.; Suzuki, E.; Ooka, Y.; Tawada, A.; et al. Fatal diaphragmatic hernia following radiofrequency ablation for hepatocellular carcinoma: A case report and literature review. Case Rep. Oncol. 2015, 8, 238–245. [Google Scholar] [CrossRef] [PubMed]
- Rhim, H.; Lim, H.K.; Kim, Y.S.; Choi, D. Percutaneous radiofrequency ablation with artificial ascites for hepatocellular carcinoma in the hepatic dome: Initial experience. AJR Am. J. Roentgenol. 2008, 190, 91–98. [Google Scholar] [CrossRef] [PubMed]
- Zhou, M.; He, H.; Cai, H.; Chen, H.; Hu, Y.; Shu, Z.; Deng, Y. Diaphragmatic perforation with colonic herniation due to hepatic radiofrequency ablation: A case report and review of the literature. Oncol. Lett. 2013, 6, 1719–1722. [Google Scholar] [CrossRef] [PubMed]


Publisher’s Note: MDPI stays neutral with regard to jurisdictional claims in published maps and institutional affiliations. |
© 2021 by the authors. Licensee MDPI, Basel, Switzerland. This article is an open access article distributed under the terms and conditions of the Creative Commons Attribution (CC BY) license (http://creativecommons.org/licenses/by/4.0/).
Share and Cite
Morishita, A.; Tani, J.; Masaki, T. Diaphragmatic Hernia after Radiofrequency Ablation. Diagnostics 2021, 11, 307. https://doi.org/10.3390/diagnostics11020307
Morishita A, Tani J, Masaki T. Diaphragmatic Hernia after Radiofrequency Ablation. Diagnostics. 2021; 11(2):307. https://doi.org/10.3390/diagnostics11020307
Chicago/Turabian StyleMorishita, Asahiro, Joji Tani, and Tsutomu Masaki. 2021. "Diaphragmatic Hernia after Radiofrequency Ablation" Diagnostics 11, no. 2: 307. https://doi.org/10.3390/diagnostics11020307
APA StyleMorishita, A., Tani, J., & Masaki, T. (2021). Diaphragmatic Hernia after Radiofrequency Ablation. Diagnostics, 11(2), 307. https://doi.org/10.3390/diagnostics11020307

