Clinical Evaluation of an Abbreviated Contrast-Enhanced Whole-Body MRI for Oncologic Follow-Up Imaging
Abstract
:1. Introduction
2. Materials and Methods
2.1. Study Design
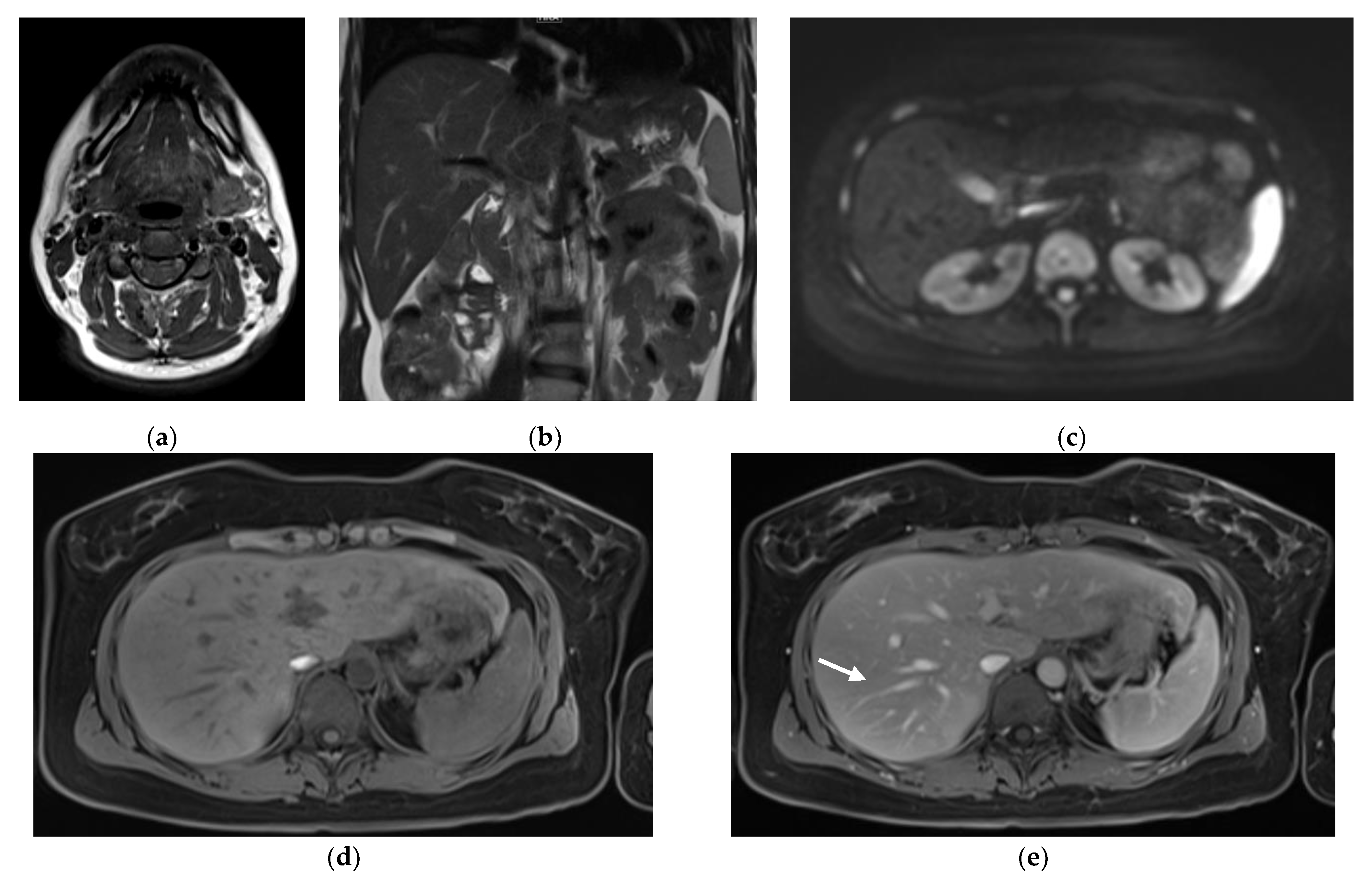
2.2. MR System and Imaging Protocol
2.3. Image Analysis
2.4. Statistical Analysis
3. Results
3.1. Patients’ Characteristics
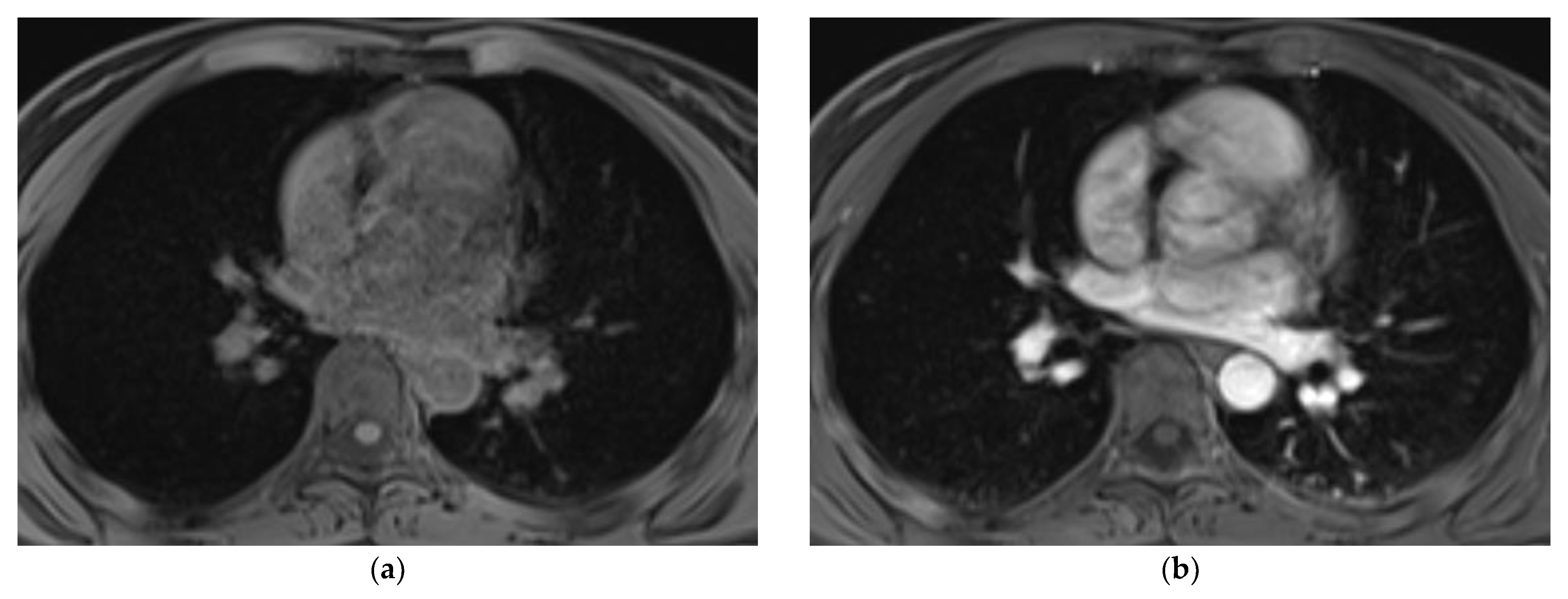
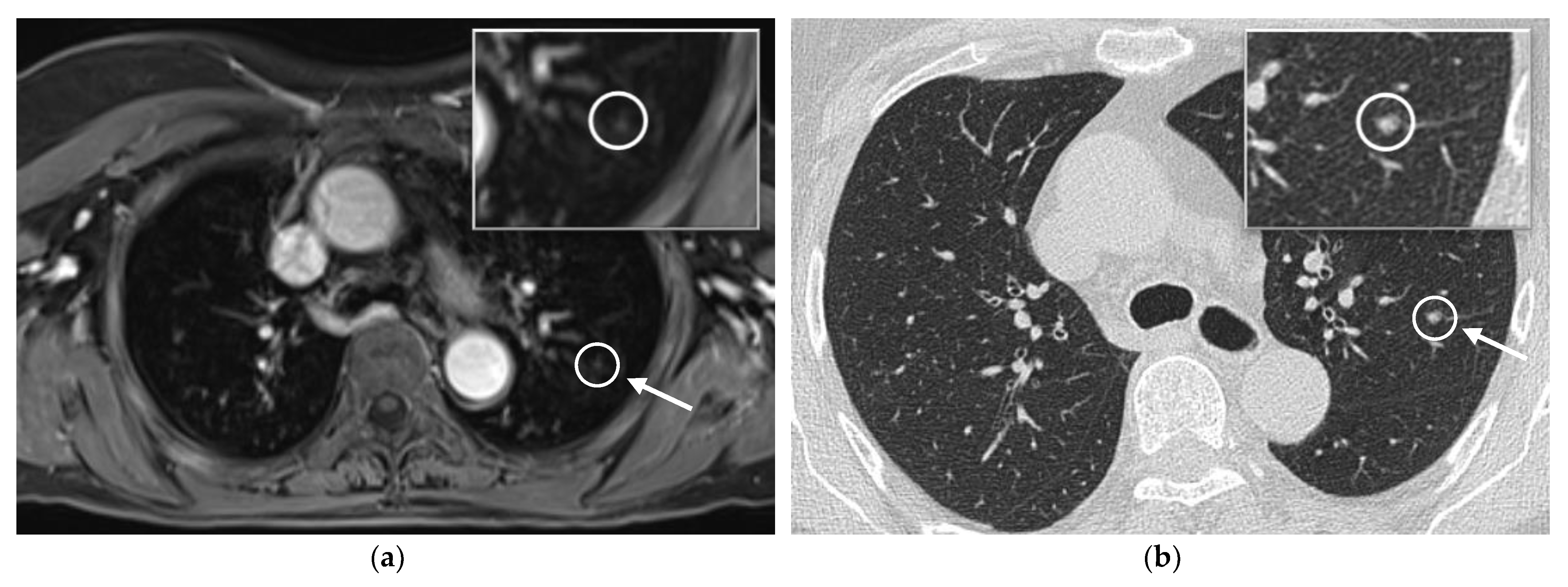
3.2. Image Analyses
4. Discussion
5. Conclusions
Author Contributions
Funding
Institutional Review Board Statement
Informed Consent Statement
Data Availability Statement
Conflicts of Interest
References
- Moser, E.C.; Meunier, F. Cancer survivorship: A positive side-effect of more successful cancer treatment. Eur. J. Cancer Suppl. 2014, 12, 1–4. [Google Scholar] [CrossRef] [Green Version]
- Allemani, C.; Matsuda, T.; Di Carlo, V.; Harewood, R.; Matz, M.; Nikšić, M.; Bonaventure, A.; Valkov, M.; Johnson, C.J.; Estève, J.; et al. Global surveillance of trends in cancer survival 2000–14 (CONCORD-3): Analysis of individual records for 37 513 025 patients diagnosed with one of 18 cancers from 322 population-based registries in 71 countries. Lancet 2018, 391, 1023–1075. [Google Scholar] [CrossRef] [Green Version]
- Robert, C.; Ribas, A.; Hamid, O.; Daud, A.; Wolchok, J.D.; Joshua, A.; Hwu, W.-J.; Weber, J.S.; Gangadhar, T.C.; Joseph, R.W.; et al. Durable Complete Response After Discontinuation of Pembrolizumab in Patients With Metastatic Melanoma. J. Clin. Oncol. 2018, 36, 1668–1674. [Google Scholar] [CrossRef] [PubMed]
- Bier, G.; Hoffmann, V.; Kloth, C.; Othman, A.E.; Eigentler, T.; Garbe, C.; La Fougère, C.; Pfannenberg, C.; Nikolaou, K.; Klumpp, B. CT imaging of bone and bone marrow infiltration in malignant melanoma—Challenges and limitations for clinical staging in comparison to 18FDG-PET/CT. Eur. J. Radiol. 2016, 85, 732–738. [Google Scholar] [CrossRef]
- Othman, A.E.; Eigentler, T.; Bier, G.; Pfannenberg, C.; Bösmüller, H.; Thiel, C.; Garbe, C.; Nikolaou, K.; Klumpp, B. Imaging of gastrointestinal melanoma metastases: Correlation with surgery and histopathology of resected specimen. Eur. Radiol. 2016, 27, 2538–2545. [Google Scholar] [CrossRef] [PubMed]
- Schraag, A.; Klumpp, B.; Afat, S.; Gatidis, S.; Nikolaou, K.; Eigentler, T.K.; Othman, A.E. Baseline clinical and imaging predictors of treatment response and overall survival of patients with metastatic melanoma undergoing immunotherapy. Eur. J. Radiol. 2019, 121, 108688. [Google Scholar] [CrossRef]
- Annunziata, S.; Laudicella, R.; Caobelli, F.; Pizzuto, D.A.; Young AIMN Working Group. Clinical Value of PET/CT in Staging Melanoma and Potential New Radiotracers. Curr. Radiopharm. 2020, 13, 6–13. [Google Scholar] [CrossRef]
- Weiss, J.; Martirosian, P.; Wolf, S.; Horger, W.; Taron, J.; Nikolaou, K.; Notohamiprodjo, M.; Othman, A.E. Fast Abdominal Contrast-Enhanced Imaging With High Parallel-Imaging Factors Using a 60-Channel Receiver Coil Setup: Comparison with the Standard Coil Setup. Investig. Radiol. 2018, 53, 602–608. [Google Scholar] [CrossRef] [PubMed]
- Yoon, J.K.; Kim, M.-J.; Lee, S. Compressed Sensing and Parallel Imaging for Double Hepatic Arterial Phase Acquisition in Gadoxetate-Enhanced Dynamic Liver Magnetic Resonance Imaging. Investig. Radiol. 2019, 54, 374–382. [Google Scholar] [CrossRef] [PubMed]
- McKenzie, C.A.; Lim, D.; Ransil, B.J.; Morrin, M.; Pedrosa, I.; Yeh, E.N.; Sodickson, D.K.; Rofsky, N.M. Shortening MR Image Acquisition Time for Volumetric Interpolated Breath-hold Examination with a Recently Developed Parallel Imaging Reconstruction Technique: Clinical Feasibility. Radiology 2004, 230, 589–594. [Google Scholar] [CrossRef]
- Tavakoli, A.; Krammer, J.; Attenberger, U.I.; Budjan, J.; Stemmer, A.; Nickel, D.; Kannengiesser, S.; Morelli, J.N.; Schoenberg, S.O.; Riffel, P. Simultaneous Multislice Diffusion-Weighted Imaging of the Kidneys at 3 T. Investig. Radiol. 2020, 55, 233–238. [Google Scholar] [CrossRef]
- Tavakoli, A.; Attenberger, U.I.; Budjan, J.; Stemmer, A.; Nickel, D.; Kannengiesser, S.; Morelli, J.N.; Schoenberg, S.O.; Riffel, P. Improved Liver Diffusion-Weighted Imaging at 3 T Using Respiratory Triggering in Combination With Simultaneous Multislice Acceleration. Investig. Radiol. 2019, 54, 744–751. [Google Scholar] [CrossRef] [PubMed]
- Weiss, J.; Martirosian, P.; Notohamiprodjo, M.; Kaufmann, S.; Othman, A.E.; Grosse, U.; Nikolaou, K.; Gatidis, S. Implementation of a 5-Minute Magnetic Resonance Imaging Screening Protocol for Prostate Cancer in Men With Elevated Prostate-Specific Antigen Before Biopsy. Investig. Radiol. 2018, 53, 186–190. [Google Scholar] [CrossRef]
- Regacini, R.; Puchnick, A.; Luisi, F.A.V.; Lederman, H.M. Can diffusion-weighted whole-body MRI replace contrast-enhanced CT for initial staging of Hodgkin lymphoma in children and adolescents? Pediatr. Radiol. 2018, 48, 638–647. [Google Scholar] [CrossRef]
- Kwee, T.C.; Vermoolen, M.A.; Akkerman, E.A.; Kersten, M.J.; Fijnheer, R.; Ludwig, I.; Beek, F.J.; van Leeuwen, M.S.; Bierings, M.B.; Bruin, M.C.; et al. Whole-body MRI, including diffusion-weighted imaging, for staging lymphoma: Comparison with CT in a prospective multicenter study. J. Magn. Reson. Imaging 2013, 40, 26–36. [Google Scholar] [CrossRef]
- Kwee, T.C.; Takahara, T.; Ochiai, R.; Nievelstein, R.A.J.; Luijten, P.R. Diffusion-weighted whole-body imaging with background body signal suppression (DWIBS): Features and potential applications in oncology. Eur. Radiol. 2008, 18, 1937–1952. [Google Scholar] [CrossRef] [Green Version]
- Kosmin, M.; Makris, A.; Joshi, P.V.; Ah-See, M.-L.; Woolf, D.; Padhani, A.R. The addition of whole-body magnetic resonance imaging to body computerised tomography alters treatment decisions in patients with metastatic breast cancer. Eur. J. Cancer 2017, 77, 109–116. [Google Scholar] [CrossRef] [PubMed]
- Michielsen, K.; Dresen, R.; Vanslembrouck, R.; De Keyzer, F.; Amant, F.; Mussen, E.; Leunen, K.; Berteloot, P.; Moerman, P.; Vergote, I.; et al. Diagnostic value of whole body diffusion-weighted MRI compared to computed tomography for pre-operative assessment of patients suspected for ovarian cancer. Eur. J. Cancer 2017, 83, 88–98. [Google Scholar] [CrossRef] [PubMed]
- Mottet, N.; Bellmunt, J.; Bolla, M.; Briers, E.; Cumberbatch, M.G.; De Santis, M.; Fossati, N.; Gross, T.; Henry, A.M.; Joniau, S.; et al. EAU-ESTRO-SIOG Guidelines on Prostate Cancer. Part 1: Screening, Diagnosis, and Local Treatment with Curative Intent. Eur. Urol. 2017, 71, 618–629. [Google Scholar] [CrossRef] [PubMed]
- Chantry, A.; Kazmi, M.; Barrington, S.; Goh, V.; Mulholland, N.; Streetly, M.; Lai, M.; Pratt, G.; Guidelines, T.B.S.F.H. Guidelines for the use of imaging in the management of patients with myeloma. Br. J. Haematol. 2017, 178, 380–393. [Google Scholar] [CrossRef] [PubMed]
- Pflugfelder, A.; Kochs, C.; Blum, A.; Capellaro, M.; Czeschik, C.; Dettenborn, T.; Dill, D.; Dippel, E.; Eigentler, T.; Feyer, P. Malignant melanoma S3-guideline “diagnosis, therapy and follow-up of melanoma”. JDDG J. Der Dtsch. Dermatol. Ges. 2013, 11, 1–116. [Google Scholar] [CrossRef] [PubMed]
- Müller-Horvat, C.; Radny, P.; Eigentler, T.; Schäfer, J.; Pfannenberg, C.; Horger, M.; Khorchidi, S.; Nägele, T.; Garbe, C.; Claussen, C.D.; et al. Prospective comparison of the impact on treatment decisions of whole-body magnetic resonance imaging and computed tomography in patients with metastatic malignant melanoma. Eur. J. Cancer 2006, 42, 342–350. [Google Scholar] [CrossRef] [PubMed]
- Pfannenberg, C.; Aschoff, P.; Schanz, S.; Eschmann, S.M.; Plathow, C.; Eigentler, T.; Garbe, C.; Brechtel, K.; Vonthein, R.; Bares, R.; et al. Prospective comparison of 18F-fluorodeoxyglucose positron emission tomography/computed tomography and whole-body magnetic resonance imaging in staging of advanced malignant melanoma. Eur. J. Cancer 2007, 43, 557–564. [Google Scholar] [CrossRef] [PubMed]
- Hausmann, D.; Jochum, S.; Utikal, J.; Hoffmann, R.C.; Zechmann, C.; Neff, K.W.; Goerdt, S.; Schoenberg, S.O.; Dinter, D.J. Comparison of the diagnostic accuracy of whole-body MRI and whole-body CT in stage III/IV malignant melanoma. J. Dtsch. Dermatol. Ges. 2011, 9, 212–222. [Google Scholar] [CrossRef] [PubMed]
- Petralia, G.; Padhani, A.; Summers, P.; Alessi, S.; Raimondi, S.; Testori, A.; Bellomi, M. Whole-body diffusion-weighted imaging: Is it all we need for detecting metastases in melanoma patients? Eur. Radiol. 2013, 23, 3466–3476. [Google Scholar] [CrossRef] [PubMed]
- Jin, S.; Zhang, B.; Zhang, L.; Li, S.; Li, S.; Li, P. Lung nodules assessment in ultra-low-dose CT with iterative reconstruction compared to conventional dose CT. Quant. Imaging Med. Surg. 2018, 8, 480–490. [Google Scholar] [CrossRef] [PubMed]
- Moenninghoff, C.; Umutlu, L.; Kloeters, C.; Ringelstein, A.; Ladd, M.E.; Sombetzki, A.; Lauenstein, T.C.; Forsting, M.; Schlamann, M. Workflow Efficiency of Two 1.5 T MR Scanners with and without an Automated User Interface for Head Examinations. Acad. Radiol. 2013, 20, 721–730. [Google Scholar] [CrossRef]
- Hammernik, K.; Klatzer, T.; Kobler, E.; Recht, M.P.; Sodickson, D.; Pock, T.; Knoll, F. Learning a variational network for reconstruction of accelerated MRI data. Magn. Reson. Med. 2017, 79, 3055–3071. [Google Scholar] [CrossRef] [PubMed]
- Herrmann, J.; Gassenmaier, S.; Nickel, D.; Arberet, S.; Afat, S.; Lingg, A.; Kündel, M.; Othman, A.E. Diagnostic Confidence and Feasibility of a Deep Learning Accelerated HASTE Sequence of the Abdomen in a Single Breath-Hold. Investig. Radiol. 2020, 56, 313–319. [Google Scholar] [CrossRef]
- Herrmann, J.; Nickel, D.; Mugler, J.P., 3rd; Arberet, S.; Gassenmaier, S.; Afat, S.; Nikolaou, K.; Othman, A.E. Development and Evaluation of Deep Learning-Accelerated Single-Breath-Hold Abdominal HASTE at 3 T Using Variable Refocusing Flip Angles. Investig. Radiol. 2021, 56, 645–652. [Google Scholar] [CrossRef]
- Gassenmaier, S.; Afat, S.; Nickel, D.; Kannengiesser, S.; Herrmann, J.; Hoffmann, R.; Othman, A.E. Application of a Novel Iterative Denoising and Image Enhancement Technique in T1-Weighted Precontrast and Postcontrast Gradient Echo Imaging of the Abdomen: Improvement of Image Quality and Diagnostic Confidence. Investig. Radiol. 2020, 56, 328–334. [Google Scholar] [CrossRef]
- Gassenmaier, S.; Afat, S.; Nickel, M.; Mostapha, M.; Herrmann, J.; Almansour, H.; Nikolaou, K.; Othman, A. Accelerated T2-Weighted TSE Imaging of the Prostate Using Deep Learning Image Reconstruction: A Prospective Comparison with Standard T2-Weighted TSE Imaging. Cancers 2021, 13, 3593. [Google Scholar] [CrossRef] [PubMed]
- Almansour, H.; Gassenmaier, S.; Nickel, D.; Kannengiesser, S.; Afat, S.; Weiss, J.; Hoffmann, R.; Othman, A.E. Deep Learning-Based Superresolution Reconstruction for Upper Abdominal Magnetic Resonance Imaging: An Analysis of Image Quality, Diagnostic Confidence, and Lesion Conspicuity. Investig. Radiol. 2021, 56, 509–516. [Google Scholar] [CrossRef] [PubMed]
- Gassenmaier, S.; Afat, S.; Nickel, D.; Mostapha, M.; Herrmann, J.; Othman, A.E. Deep learning–accelerated T2-weighted imaging of the prostate: Reduction of acquisition time and improvement of image quality. Eur. J. Radiol. 2021, 137, 109600. [Google Scholar] [CrossRef]



| Variables | |
|---|---|
| Age, mean ± SD, y | 54 ± 16 |
| Sex, male/female | 10/14 |
| Cancer diagnosis | Malignant Melanoma |
| AJCC-state | IIB–IV |
| IIB, n | 1 (4%) |
| IIIB, n | 7 (29%) |
| IIIC, n | 13 (54%) |
| IV, n | 3 (13%) |
| T-state | |
| Tx, n | 3 |
| T1, n | 4 |
| T2, n | 3 |
| T3, n | 9 |
| T4, n | 5 |
| N-state | |
| N0 | 2 |
| N1 | 12 |
| N2 | 9 |
| N3 | 1 |
| M-state | |
| M0 | 21 |
| M1 | 3 |
| Parameters | T1 TSE | T2 HASTE | DWI | T1 VIBE | T1 VIBE pc |
|---|---|---|---|---|---|
| Body part | neck | upper abdomen | abdomen/ pelvis | thorax/ abdomen/ pelvis | thorax/ abdomen/ pelvis |
| Orientation | axial | coronal | axial | axial | axial |
| TA, min | 4:04 | 1:18 | 4:54 | 0:36 | 0:36 |
| TE/TR, ms | 10/400–750 | 85/1500 | <60/>3000 | 1.24/3.87 | 1.24/3.87 |
| FA, degree | 150 | 160 | 90 | 9 | 9 |
| B-value | b50 b800 | ||||
| Spatial resolution | 256 × 320 | 211 × 384 | 104 × 134 | 180 × 320 | 180 × 320 |
| Voxel size, mm | 1.09 × 0.88 × 5 | 1.3 × 1.04 × 5 | 2.99 × 2.99 × 5 | 1.75 × 1.31 × 6 | 1.75 × 1.31 × 6 |
| FOV, mm | 280 × 280 | 274 × 400 | 325 × 420 | 288 × 420 | 288 × 420 |
| Reader 1 Median (IQR) | Reader 2 Median (IQR) | Reader 3 Median (IQR) | ICC (Reader) | ICC (Reproducibility) | |
|---|---|---|---|---|---|
| Organ-based image quality | |||||
| IQliver | 5 (4–5) | 5 (4–5) | 5 (4–5) | 0.924 | 0.915 |
| IQbone | 5 (4–5) | 5 (4–5) | 5 (4–5) | 0.833 | 0.912 |
| IQLN | 5 (4–5) | 5 (4–5) | 5 (4–5) | 0.924 | 0.915 |
| IQcutanous | 5 (4–5) | 5 (4–5) | 5 (4.25–5) | 0.912 | 0.857 |
| IQlung | 4 (4–5) | 4 (4–5) | 4 (4–5) | 0.899 | 0.841 |
| Overall image quality | |||||
| IQoverall | 5 (5–5) | 5 (5–5) | 5 (5–5) | 0.861 | 0.788 |
| IQsharpness | 5 (4–5) | 5 (4–5) | 5 (4–5) | 0.834 | 0.824 |
| IQnoise | 4 (4–5) | 5 (4–5) | 5 (4–5) | 0.865 | 0.789 |
| IQartifacts | 5 (4–5) | 5 (4–5) | 5 (4–5) | 0.886 | 0.813 |
| IQDC | 5 (5–5) | 5 (5–5) | 5 (5–5) | 0.873 | 0.857 |
| Image quality of the sequences | |||||
| IQT1_neck | 5 (4–5) | 5 (4–5) | 5 (4–5) | 0.892 | 0.917 |
| IQHASTE | 5 (4–5) | 5 (4–5) | 5 (4–5) | 0.857 | 0.855 |
| IQDWI | 4 (4–5) | 4 (4–5) | 4 (4–5) | 0.894 | 0.915 |
| IQVIBE | 5 (4–5) | 5 (4–5) | 5 (4–5) | 0.890 | 0.890 |
| IQVIBE pc | 5 (4–5) | 5 (4–5) | 5 (4–5) | 0.919 | 0.901 |
Publisher’s Note: MDPI stays neutral with regard to jurisdictional claims in published maps and institutional affiliations. |
© 2021 by the authors. Licensee MDPI, Basel, Switzerland. This article is an open access article distributed under the terms and conditions of the Creative Commons Attribution (CC BY) license (https://creativecommons.org/licenses/by/4.0/).
Share and Cite
Herrmann, J.; Afat, S.; Brendlin, A.; Chaika, M.; Lingg, A.; Othman, A.E. Clinical Evaluation of an Abbreviated Contrast-Enhanced Whole-Body MRI for Oncologic Follow-Up Imaging. Diagnostics 2021, 11, 2368. https://doi.org/10.3390/diagnostics11122368
Herrmann J, Afat S, Brendlin A, Chaika M, Lingg A, Othman AE. Clinical Evaluation of an Abbreviated Contrast-Enhanced Whole-Body MRI for Oncologic Follow-Up Imaging. Diagnostics. 2021; 11(12):2368. https://doi.org/10.3390/diagnostics11122368
Chicago/Turabian StyleHerrmann, Judith, Saif Afat, Andreas Brendlin, Maryanna Chaika, Andreas Lingg, and Ahmed E. Othman. 2021. "Clinical Evaluation of an Abbreviated Contrast-Enhanced Whole-Body MRI for Oncologic Follow-Up Imaging" Diagnostics 11, no. 12: 2368. https://doi.org/10.3390/diagnostics11122368
APA StyleHerrmann, J., Afat, S., Brendlin, A., Chaika, M., Lingg, A., & Othman, A. E. (2021). Clinical Evaluation of an Abbreviated Contrast-Enhanced Whole-Body MRI for Oncologic Follow-Up Imaging. Diagnostics, 11(12), 2368. https://doi.org/10.3390/diagnostics11122368

