Unique Ultrasonographic Findings of Isolated IgG4-Related Lymphadenopathy
Abstract
:1. Introduction
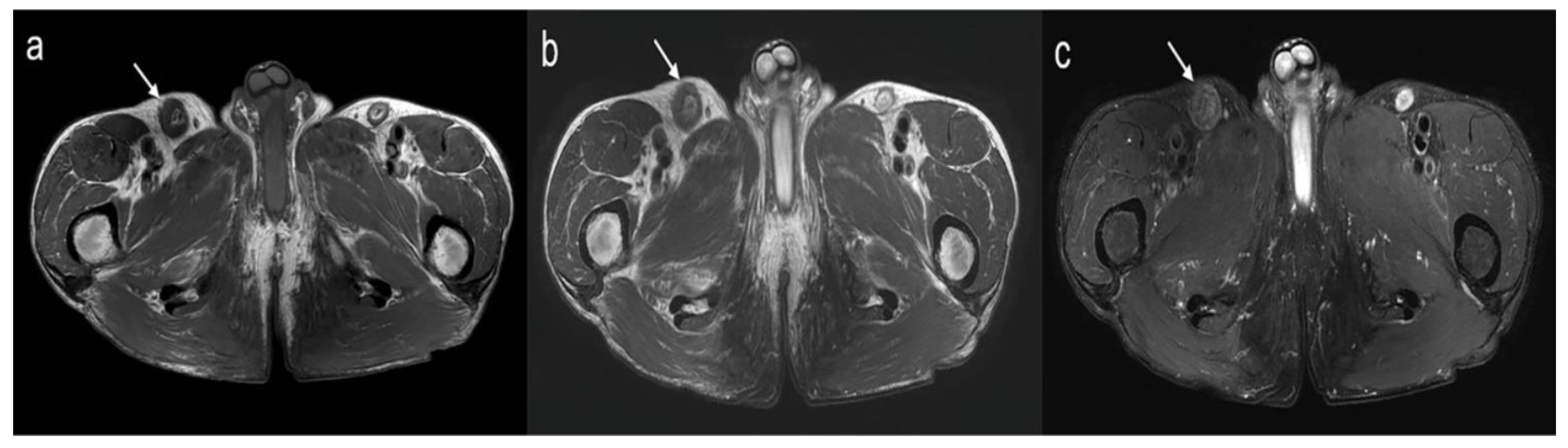
2. Case Report
3. Discussion
Author Contributions
Funding
Institutional Review Board Statement
Informed Consent Statement
Data Availability Statement
Acknowledgments
Conflicts of Interest
Abbreviations
| IgG4 | Immunoglobulin G4 |
| US | Ultrasound |
| CT | Computed tomography |
| MR | Magnetic resonance |
References
- Kamisawa, T.; Zen, Y.; Pillai, S.; Stone, J.H. Igg4-Related Disease. Lancet 2015, 385, 1460–1471. [Google Scholar] [CrossRef]
- Martinez-De-Alegria, A.; Baleato-González, S.; García-Figueiras, R.; Bermúdez-Naveira, A.; Abdulkader-Nallib, I.; Díaz-Peromingo, J.A.; Villalba-Martín, C. IgG4-related Disease from Head to Toe. Radiographics 2015, 35, 2007–2025. [Google Scholar] [CrossRef] [PubMed]
- Horger, M.; Lamprecht, H.-G.; Bares, R.; Spira, D.; Schmalzing, M.; Claussen, C.D.; Adam, P. Systemic IgG4-Related Sclerosing Disease: Spectrum of Imaging Findings and Differential Diagnosis. Am. J. Roentgenol. 2012, 199, W276–W282. [Google Scholar] [CrossRef]
- Hamano, H.; Arakura, N.; Muraki, T.; Ozaki, Y.; Kiyosawa, K.; Kawa, S. Prevalence and Distribution of Extrapancreat-ic Lesions Complicating Autoimmune Pancreatitis. J. Gastroenterol. 2006, 41, 1197–1205. [Google Scholar] [CrossRef] [PubMed] [Green Version]
- Cheuk, W.; Chan, J.K. Lymphadenopathy of IgG4-related disease: An underdiagnosed and overdiagnosed entity. Semin. Diagn. Pathol. 2012, 29, 226–234. [Google Scholar] [CrossRef]
- Pan, Z.; Zhou, J. IgG4-related lymphadenopathy: A potentially under- and over-diagnosed entity. Int. J. Clin. Exp. Pathol. 2017, 10, 10153–10166. [Google Scholar] [PubMed]
- Deshpande, V.; Zen, Y.; Chan, J.K.; Yi, E.E.; Sato, Y.; Yoshino, T.; Klöppel, G.; Heathcote, J.G.; Khosroshahi, A.; Ferry, J.A.; et al. Consensus statement on the pathology of IgG4-related disease. Mod. Pathol. 2012, 25, 1181–1192. [Google Scholar] [CrossRef] [Green Version]
- Pattanayak, S.; Chatterjee, S.; Ravikumar, R.; Nijhawan, V.; Sharma, V.; Debnath, J. Ultrasound evaluation of cervical lymphadenopathy: Can it reduce the need of histopathology/cytopathology? Med. J. Armed. Forces India 2017, 74, 227–234. [Google Scholar] [CrossRef]
- Jacobson, J.A.; Khoury, V.; Brandon, C.J. Ultrasound of the Groin: Techniques, Pathology, and Pitfalls. Am. J. Roentgenol. 2015, 205, 513–523. [Google Scholar] [CrossRef]
- Net, J.M.; Mirpuri, T.M.; Plaza, M.J.; Escobar, C.A.; Whittington, E.E.; Collado-Mesa, F.; Yepes, M.M. Resident and Fellow Education Feature: US Evaluation of Axillary Lymph Nodes. Radiographics 2014, 34, 1817–1818. [Google Scholar] [CrossRef]
- Liao, L.-J.; Wu, P.-H.; Chang, Y.-C. IgG4-related disease presenting as cervical lymphadenopathy. J. Med. Ultrasound 2019, 27, 43–46. [Google Scholar] [CrossRef] [PubMed]
- Creze, M.; Boussebaa, S.; Lazure, T.; Briand, S.; Court, C. IgG4-related disease: Rare presentation as a soft-tissue mass in the thigh of an adolescent. Skelet. Radiol. 2019, 49, 155–160. [Google Scholar] [CrossRef] [PubMed]
- Martinez, L.L.; Friedländer, E.; van der Laak, J.A.; Hebeda, K.M. Abundance of Igg4+ Plasma Cells in Isolated Reac-tive Lymphadenopathy Is No Indication of Igg4-Related Disease. Am. J. Clin. Pathol. 2014, 142, 459–466. [Google Scholar] [CrossRef] [PubMed] [Green Version]
- Asano, N.; Sato, Y. Rheumatoid lymphadenopathy with abundant IgG4(+) plasma cells: A case mimicking IgG4-related disease. J. Clin. Exp. Hematop. 2012, 52, 57–61. [Google Scholar] [CrossRef] [PubMed] [Green Version]
- Grimm, E.K.; Barry, T.S.; Chizhevsky, V.; Hii, A.; Weiss, L.M.; Siddiqi, I.N.; Brynes, R.K.; O’Malley, D.P. Histopatho-logical Findings in 29 Lymph Node Biopsies with Increased Igg4 Plasma Cells. Mod. Pathol. 2012, 25, 480–491. [Google Scholar] [CrossRef] [PubMed] [Green Version]
- Sato, Y.; Kojima, M.; Takata, K.; Morito, T.; Mizobuchi, K.; Tanaka, T.; Inoue, D.; Shiomi, H.; Iwao, H.; Yoshino, T. Multi-centric Castleman’s Disease with Abundant Igg4-Positive Cells: A Clinical and Pathological Analysis of Six Cases. J. Clin. Pathol. 2010, 63, 1084–1089. [Google Scholar] [CrossRef] [PubMed]
- Umehara, H.; Okazaki, K.; Masaki, Y.; Kawano, M.; Yamamoto, M.; Saeki, T.; Matsui, S.; Yoshino, T.; Nakamura, S.; Kawa, S.; et al. Comprehensive Diagnostic Criteria for Igg4-Related Disease (Igg4-Rd). Mod. Rheumatol. 2012, 22, 21–30. [Google Scholar] [CrossRef] [PubMed]
- Sasaki, T.; Akiyama, M.; Kaneko, Y.; Mori, T.; Yasuoka, H.; Suzuki, K.; Yamaoka, K.; Okamoto, S.; Takeuchi, T. Distinct features distinguishing IgG4-related disease from multicentric Castleman’s disease. RMD Open 2017, 3, e000432. [Google Scholar] [CrossRef] [PubMed]
- Hu, J.; Peng, J. Mixed-type Castleman Disease Can Mimic IgG4-Related Disease. Arch Rheumatol. 2018, 33, 496–497. [Google Scholar] [CrossRef] [PubMed]
- Alici, I.O.; Demirci, N.N.; Yilmaz, A.; Karakaya, J.; Erdogan, Y. Starry sky sign: A prevalent sonographic finding in mediastinal tuberculous lymph nodes. Endosc Ultrasound. 2015, 4, 225–228. [Google Scholar] [CrossRef] [PubMed] [Green Version]




Publisher’s Note: MDPI stays neutral with regard to jurisdictional claims in published maps and institutional affiliations. |
© 2021 by the authors. Licensee MDPI, Basel, Switzerland. This article is an open access article distributed under the terms and conditions of the Creative Commons Attribution (CC BY) license (https://creativecommons.org/licenses/by/4.0/).
Share and Cite
Yun, J.S.; Choi, S.; Jang, K.Y.; Park, E.H. Unique Ultrasonographic Findings of Isolated IgG4-Related Lymphadenopathy. Diagnostics 2021, 11, 2213. https://doi.org/10.3390/diagnostics11122213
Yun JS, Choi S, Jang KY, Park EH. Unique Ultrasonographic Findings of Isolated IgG4-Related Lymphadenopathy. Diagnostics. 2021; 11(12):2213. https://doi.org/10.3390/diagnostics11122213
Chicago/Turabian StyleYun, Jae Sung, Seoyun Choi, Kyu Yun Jang, and Eun Hae Park. 2021. "Unique Ultrasonographic Findings of Isolated IgG4-Related Lymphadenopathy" Diagnostics 11, no. 12: 2213. https://doi.org/10.3390/diagnostics11122213
APA StyleYun, J. S., Choi, S., Jang, K. Y., & Park, E. H. (2021). Unique Ultrasonographic Findings of Isolated IgG4-Related Lymphadenopathy. Diagnostics, 11(12), 2213. https://doi.org/10.3390/diagnostics11122213

