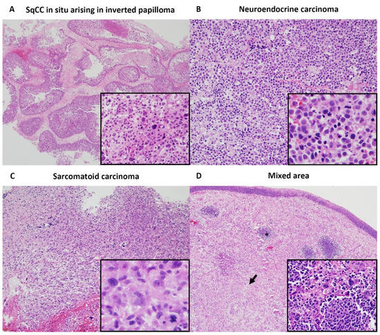
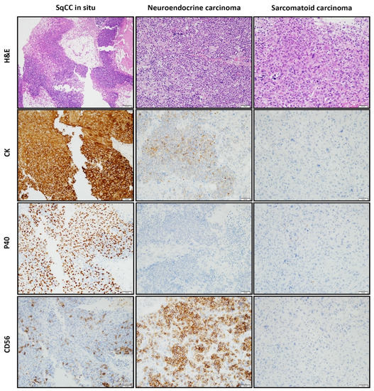
Carcinoma with Triphasic Differentiation Arising from Inverted Papilloma in Sinonasal Sinus: A Rare Case with Molecular Characterization
Abstract
:Author Contributions
Funding
Institutional Review Board Statement
Informed Consent Statement
Data Availability Statement
Conflicts of Interest
References
- Wu, S.H.; Zhang, B.Z.; Han, L. Collision tumor of squamous cell carcinoma and neuroendocrine carcinoma in the head and neck: A case report. World J. Clin. Cases 2020, 8, 2610–2616. [Google Scholar] [CrossRef] [PubMed]
- Huang, S.F.; Chuang, W.Y.; Cheng, S.D.; Hsin, L.J.; Lee, L.Y.; Kao, H.K. A colliding maxillary sinus cancer of adenosquamous carcinoma and small cell neuroendocrine carcinoma--a case report with EGFR copy number analysis. World J. Surg. Oncol. 2010, 8, 92. [Google Scholar] [CrossRef] [PubMed] [Green Version]
- Bell, D. Sinonasal Neuroendocrine Neoplasms: Current Challenges and Advances in Diagnosis and Treatment, with a Focus on Olfactory Neuroblastoma. Head Neck Pathol. 2018, 12, 22–30. [Google Scholar] [CrossRef] [PubMed]
- Franchi, A.; Rocchetta, D.; Palomba, A.; Degli Innocenti, D.R.; Castiglione, F.; Spinelli, G. Primary combined neuroendocrine and squamous cell carcinoma of the maxillary sinus: Report of a case with immunohistochemical and molecular characterization. Head Neck Pathol. 2015, 9, 107–113. [Google Scholar] [CrossRef] [PubMed] [Green Version]
- Mollaoglu, G.; Guthrie, M.R.; Böhm, S.; Brägelmann, J.; Can, I.; Ballieu, P.M.; Marx, A.; George, J.; Heinen, C.; Chalishazar, M.D.; et al. MYC Drives Progression of Small Cell Lung Cancer to a Variant Neuroendocrine Subtype with Vulnerability to Aurora Kinase Inhibition. Cancer Cell 2017, 31, 270–285. [Google Scholar] [CrossRef] [Green Version]
- Yeh, C.-H.; Bellon, M.; Nicot, C. FBXW7: A critical tumor suppressor of human cancers. Mol. Cancer 2018, 17, 115. [Google Scholar] [CrossRef]
- Sailo, B.L.; Banik, K.; Girisa, S.; Bordoloi, D.; Fan, L.; Halim, C.E.; Wang, H.; Kumar, A.P.; Zheng, D.; Mao, X.; et al. FBXW7 in Cancer: What Has Been Unraveled Thus Far? Cancers 2019, 11, 246. [Google Scholar] [CrossRef] [Green Version]
- Mahajan, A.; Mohanty, S.; Ghosh, S.; Urs, A.B.; Khurana, N.; Gupta, S. Sarcomatoid Carcinoma of the Oral Cavity: A Diagnostic Dilemma. Case Rep. Dent. 2017, 2017, 7495695. [Google Scholar] [CrossRef] [PubMed] [Green Version]
- Choi, H.-R.; Sturgis, E.M.; Rosenthal, D.I.; Luna, M.A.; Batsakis, J.G.; El-Naggar, A.K. Sarcomatoid Carcinoma of the Head and Neck: Molecular Evidence for Evolution and Progression From Conventional Squamous Cell Carcinomas. Am. J. Surg. Pathol. 2003, 27, 1216–1220. [Google Scholar] [CrossRef] [PubMed]



Publisher’s Note: MDPI stays neutral with regard to jurisdictional claims in published maps and institutional affiliations. |
© 2021 by the authors. Licensee MDPI, Basel, Switzerland. This article is an open access article distributed under the terms and conditions of the Creative Commons Attribution (CC BY) license (https://creativecommons.org/licenses/by/4.0/).
Share and Cite
Kim, S.-W.; Na, K. Carcinoma with Triphasic Differentiation Arising from Inverted Papilloma in Sinonasal Sinus: A Rare Case with Molecular Characterization. Diagnostics 2021, 11, 1827. https://doi.org/10.3390/diagnostics11101827
Kim S-W, Na K. Carcinoma with Triphasic Differentiation Arising from Inverted Papilloma in Sinonasal Sinus: A Rare Case with Molecular Characterization. Diagnostics. 2021; 11(10):1827. https://doi.org/10.3390/diagnostics11101827
Chicago/Turabian StyleKim, So-Woon, and Kiyong Na. 2021. "Carcinoma with Triphasic Differentiation Arising from Inverted Papilloma in Sinonasal Sinus: A Rare Case with Molecular Characterization" Diagnostics 11, no. 10: 1827. https://doi.org/10.3390/diagnostics11101827
APA StyleKim, S.-W., & Na, K. (2021). Carcinoma with Triphasic Differentiation Arising from Inverted Papilloma in Sinonasal Sinus: A Rare Case with Molecular Characterization. Diagnostics, 11(10), 1827. https://doi.org/10.3390/diagnostics11101827

