A Rare Entity–Percutaneous Lead Extraction in a Very Late Onset Pacemaker Endocarditis: Case Report and Review of Literature
Abstract
1. Introduction
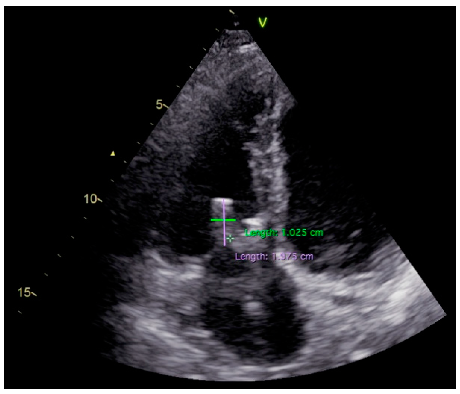
2. Case Report
3. Discussion
4. Conclusions
Supplementary Materials
Author Contributions
Funding
Institutional Review Board Statement
Informed Consent Statement
Data Availability Statement
Conflicts of Interest
References
- Rossi, M.; Musolino, G.; Serraino, G.F.; Renzulli, A. Device-Related Endocarditis and Infected Leads Extraction: The Dark Side of The Moon. In Current Issues and Recent Advances in Pacemaker Therapy; Attila, R., Ed.; IntechOpen Limited: London, UK, 2012; pp. 159–163. [Google Scholar]
- Yuan, S.-M. Right-sided infective endocarditis: Recent epidemiologic changes. Int. J. Clin. Exp. Med. 2014, 7, 199–218. [Google Scholar] [PubMed]
- Vilacosta, I.; Olmos, C.; De Agustin, A.; Lopez, J.; Islas, F.; Sarriá, C.; Ferrera, C.; Ferrera, C.; Sánchez-Enrique, C.; Vivas, D.; et al. The diagnostic ability of echocardiography for infective endocarditis and its associated complications. Expert Rev. Cardiovasc. Ther. 2015, 13, 1225–1236. [Google Scholar] [CrossRef] [PubMed]
- Cacoub, P.; Leprince, P.; Nataf, P.; Hausfater, P.; Dorent, R.; Wechsler, B.; Bors, V.; Pavie, A.; Piette, J.C.; Gandjbakhch, I. Pacemaker infective endocarditis. Am. J. Cardiol. 1998, 82, 480–484. [Google Scholar] [CrossRef]
- Klug, D.; Lacroix, D.; Savoye, C.; Goullard, L.; Grandmougin, D.; Hennequin, J.L.; Kacet, S.; Lekieffre, J. Systemic infection related to endocarditis on pacemaker leads: Clinical presentation and management. Circulation 1997, 95, 2098–2107. [Google Scholar] [CrossRef]
- Singh, N.; Langer, V.; Chadha, D.S.; Ghosh, A.K.; Sengupta, S.; Gupta, R.; Dugal, J.S. Percutaneous removal of transvenous pace-maker leads using an extraction device. Med. J. Armed Forces India 2013, 69, 291–293. [Google Scholar] [CrossRef]
- Ruttmann, E.; Hangler, H.B.; Kilo, J.; Höfer, D.; Müller, L.C.; Hintringer, F.; Müller, S.; Laufer, G.; Antretter, H. Transvenous Pacemaker Lead Removal Is Safe and Effective Even in Large Vegetations: An Analysis of 53 Cases of Pacemaker Lead Endocarditis. Pacing Clin. Electrophysiol. 2006, 29, 231–236. [Google Scholar] [CrossRef]
- Bongiorni, M.G.; Kennergren, C.; Butter, C.; Deharo, J.C.; Kutarski, A.; Rinaldi, C.A.; Romano, S.L.; Maggioni, A.P.; Andarala, M.; Auricchio, A.; et al. The European Lead Extraction ConTRolled (ELECTRa) study: A European Heart Rhythm Association (EHRA) Registry of Transvenous Lead Extraction Outcomes. Eur. Hear. J. 2017, 38, 2995–3005. [Google Scholar] [CrossRef]
- Osmonov, S.; Ozcan, K.S. Cardiac device-related endocarditis: 31-Years’ experience. J. Cardiol. 2013, 16, 175–180. [Google Scholar] [CrossRef]
- Scheffer, M.; van der Linder, E.; van Mechelen, R. Pacemaker lead endocarditis. A rare diagnosis with a varied presentation. Neth. Heart J. 2003, 11, 169–172. [Google Scholar]
- Habib, G.; Lancellotti, P.; Antunes, M.J.; Bongiorni, M.G.; Casalta, J.P.; Del Zotti, F.; Dulgheru, R.; El Khoury, G.; Erba, P.A.; Iung, B.; et al. 2015 ESC Guidelines for the management of infective endocarditis. Eur. Heart J. 2015, 36, 3075–3128. [Google Scholar] [CrossRef]
- Rundström, H.; Kennergren, C.; Andersson, R.; Alestig, K.; Hogevik, H. Pacemaker Endocarditis During 18 Years in Göteborg. Scand. J. Infect. Dis. 2004, 36, 674–679. [Google Scholar] [CrossRef] [PubMed]
- Özcan, C.; Raunsø, J.; Lamberts, M.; Køber, L.; Lindhardt, T.B.; Bruun, N.E.; Laursen, M.; Torp-Pedersen, C.; Gislason, G.H.; Hansen, M.L. Infective endocarditis and risk of death after cardiac implantable electronic device implantation: A nationwide cohort study. EP Europace 2018, 19, 1007–1014. [Google Scholar]
- Cho, H.; Kim, M.; Uhm, J.S.; Pak, H.N.; Lee, M.H.; Joung, B. Transvenous pacemaker lead removal in pacemaker lead endocarditis with large vegetations: A report of two cases. Korean Circ. J. 2014, 44, 118–121. [Google Scholar] [CrossRef] [PubMed][Green Version]
- del Río, A.; Anguera, I.; Miró, J.M.; Mont, L.; Fowler, V.G., Jr.; Azqueta, M.; Mestres, C.A. Surgical treatment of pacemaker and defibrillator lead endocarditis: The impact of electrode lead extraction on outcome. Chest 2003, 124, 1451–1459. [Google Scholar] [CrossRef]
- Meier-Ewert, H.K.; Gray, M.-E.; John, R.M. Endocardial pacemaker or defibrillator leads with infected vegetations: A single-center experience and consequences of transvenous extraction. Am. Heart J. 2003, 146, 339–344. [Google Scholar] [CrossRef]
- Wilkoff, B.L.; Love, C.J.; Byrd, C.L.; Bongiorni, M.G.; Carrillo, R.G.; Crossley, G.H.; Epstein, L.M.; Friedman, R.A.; Kennergren, C.E.; Mitkowski, P.; et al. Transvenous lead extraction: Heart Rhythm Society expert consensus on facilities, training, indications, and patient management: This document was endorsed by the American Heart Association (AHA). Heart Rhythm. 2009, 6, 1085–1104. [Google Scholar] [CrossRef]
- Klug, D.; Balde, M.; Pavin, D.; Hidden-Lucet, F.; Clementy, J.; Sadoul, N.; Rey, J.L.; Lande, G.; Lazarus, A.; Victor, J.; et al. Risk factors related to infections of implanted pacemakers and cardioverter-defibrillators: Results of a large prospective study. Circulation 2007, 116, 1349–1355. [Google Scholar] [CrossRef]
- Catanchin, A.; Murdock, C.J.; Athan, E. Pacemaker Infections: A 10-Year Experience. Heart Lung Circ. 2007, 16, 434–439. [Google Scholar] [CrossRef]
- Nery, P.B.; Fernandes, R.; Nair, G.M.; Sumner, G.L.; Ribas, C.S.; Menon, S.M.D.; Wang, X.; Krahn, A.D.; Morillo, C.A.; Connolly, S.J.; et al. Device-Related Infection Among Patients With Pacemakers and Implantable Defibrillators: Incidence, Risk Factors, and Consequences. J. Cardiovasc. Electrophysiol. 2010, 21, 786–790. [Google Scholar] [CrossRef]
- Sohail, M.R.; Uslan, D.Z.; Khan, A.H.; Friedman, P.A.; Hayes, D.L.; Wilson, W.R.; Steckelberg, J.M.; Jenkins, S.M.; Baddour, L.M. Infective Endocarditis Complicating Permanent Pacemaker and Implantable Cardioverter-Defibrillator Infection. Mayo Clin. Proc. 2008, 83, 46–53. [Google Scholar] [CrossRef]
- Ahn, Y.; Kim, N.H.; Shin, D.H.; Park, O.Y.; Kim, W.; Jeong, M.H.; Cho, J.G.; Park, J.C.; Kang, J.C. Pacemaker Lead Endocarditis Caused by Achromobacter xylosoxidans. J. Korean Med. Sci. 2004, 19, 291–293. [Google Scholar] [CrossRef] [PubMed]
- De Silva, K.; Fife, A.; Murgatroyd, F.; Gall, N. Pacemaker endocarditis: An important clinical entity. BMJ Case Rep. 2009, 2009, 1608. [Google Scholar] [CrossRef] [PubMed]
- Leong, R.; Gannon, B.R.; Childs, T.J.; Isotalo, P.A.; Abdollah, H. Aspergillus fumigatus pacemaker lead endocarditis: A case re-port and review of the literature. Can. J. Cardiol. 2006, 22, 337–340. [Google Scholar] [CrossRef]
- Takigawa, M.; Noda, T.; Kurita, T.; Okamura, H.; Suyama, K.; Shimizu, W.; Aihara, N.; Nakajima, H.; Kobayashi, J.; Kamakura, S. Extremely Late Pacemaker-Infective Endocarditis due to Stenotrophomonas maltophilia. Cardiology 2007, 110, 226–229. [Google Scholar] [CrossRef]
- Cho, M.-S.; Kim, S.-H.; Nam, G.-B.; Choi, K.-J.; Kim, Y.-H. Very late-onset lead-associated endocarditis. Can. J. Infect. Dis. Med. Microbiol. 2011, 22, 147–148, Erratum in 2012, 23, 244. [Google Scholar] [CrossRef]
- Tandon, R.; Bansal, R.; Verma, A.; Wander, G.S.; Mutti, J. Late onset pacemaker lead fungal endocarditis in an immunocompetent host: A rare entity. IHJ Cardiovasc. Case Rep. (CVCR) 2018, 2, S114–S116. [Google Scholar] [CrossRef]
- Smith, H.J.; Fearnot, N.E.; Byrd, C.L.; Wilkoff, B.L.; Love, C.J.; Sellers, T.D.; Database, F.T.U.L.E. Five-Years Experience with Intravascular Lead Extraction. Pacing Clin. Electrophysiol. 1994, 17, 2016–2020. [Google Scholar] [CrossRef]
- Kataoka, S.; Shoda, M.; Saito, S.; Yagishita, D.; Yazaki, K.; Higuchi, S.; Kanai, M.; Ejima, K.; Hagiwara, N. Transvenous lead extraction in a patient with polysplenia and inferior vena cava defect. J. Cardiol. Cases 2021, 23, 41–44. [Google Scholar] [CrossRef]
- Tesloianu, N.-D.; Ignat, A.-M.; Corduneanu, D.; Petris, A.-O.; Tudorancea, I. A non-conventional approach to 10-year-delayed extraction of pacemaker leads associated with recurrent infective complications. Anatol. J. Cardiol. 2017, 18, 311–312. [Google Scholar] [CrossRef]
- Keiler, J.; Schulze, M.; Sombetzki, M.; Heller, T.; Tischer, T.; Grabow, N.; Wree, A.; Bänsch, D. Neointimal fibrotic lead encapsulation—Clinical challenges and demands for implantable cardiac electronic devices. J. Cardiol. 2017, 70, 7–17. [Google Scholar] [CrossRef]
- Stokes, K.; Anderson, J.; McVenes, R.; McClay, C. The encapsulation of polyurethane-insulated transvenous cardiac pacemaker leads. Cardiovasc. Pathol. 1995, 4, 163–171. [Google Scholar] [CrossRef]
- Segreti, L.; Di Cori, A.; Soldati, E.; Zucchelli, G.; Viani, S.; Paperini, L.; De Lucia, R.; Coluccia, G.; Valsecchi, S.; Bongiorni, M.G. Major predictors of fibrous adherences in transvenous implantable cardioverter-defibrillator lead extraction. Hear. Rhythm. 2014, 11, 2196–2201. [Google Scholar] [CrossRef] [PubMed]
- Bongiorni, M.G.; Giannola, G.; Arena, G.; Soldati, E.; Bartoli, C.; Lapira, F.; Zucchelli, G.; Di Cori, A. Pacing and implantable cardioverter-defibrillator transvenous lead extraction. Ital. Heart J. 2005, 6, 261–266. [Google Scholar] [PubMed]
- Candinas, R.; Duru, F.; Schneider, J.; Lüscher, T.F.; Stokes, K. Postmortem Analysis of Encapsulation Around Long-Term Ventricular Endocardial Pacing Leads. Mayo Clin. Proc. 1999, 74, 120–125. [Google Scholar] [CrossRef]
- Novak, M.; Dvorak, P.; Kamaryt, P.; Slana, B.; Lipoldova, J. Autopsy and clinical context in deceased patients with implanted pacemakers and defibrillators: Intracardiac findings near their leads and electrodes. Europace 2009, 11, 1510–1516. [Google Scholar] [CrossRef]








Publisher’s Note: MDPI stays neutral with regard to jurisdictional claims in published maps and institutional affiliations. |
© 2021 by the authors. Licensee MDPI, Basel, Switzerland. This article is an open access article distributed under the terms and conditions of the Creative Commons Attribution (CC BY) license (http://creativecommons.org/licenses/by/4.0/).
Share and Cite
Ursaru, A.M.; Haba, C.M.; Popescu, Ș.E.; Crișu, D.; Petriș, A.O.; Tesloianu, N.D. A Rare Entity–Percutaneous Lead Extraction in a Very Late Onset Pacemaker Endocarditis: Case Report and Review of Literature. Diagnostics 2021, 11, 96. https://doi.org/10.3390/diagnostics11010096
Ursaru AM, Haba CM, Popescu ȘE, Crișu D, Petriș AO, Tesloianu ND. A Rare Entity–Percutaneous Lead Extraction in a Very Late Onset Pacemaker Endocarditis: Case Report and Review of Literature. Diagnostics. 2021; 11(1):96. https://doi.org/10.3390/diagnostics11010096
Chicago/Turabian StyleUrsaru, Andreea Maria, Cristian Mihai Haba, Ștefan Eduard Popescu, Daniela Crișu, Antoniu Octavian Petriș, and Nicolae Dan Tesloianu. 2021. "A Rare Entity–Percutaneous Lead Extraction in a Very Late Onset Pacemaker Endocarditis: Case Report and Review of Literature" Diagnostics 11, no. 1: 96. https://doi.org/10.3390/diagnostics11010096
APA StyleUrsaru, A. M., Haba, C. M., Popescu, Ș. E., Crișu, D., Petriș, A. O., & Tesloianu, N. D. (2021). A Rare Entity–Percutaneous Lead Extraction in a Very Late Onset Pacemaker Endocarditis: Case Report and Review of Literature. Diagnostics, 11(1), 96. https://doi.org/10.3390/diagnostics11010096

