Diagnostic Performance of F18-FDG PET/CT in Male Breast Cancers Patients
Abstract
1. Introduction
2. Materials and Methods
2.1. Study Design
2.2. PET/CT Imaging
2.3. Statistical Analysis
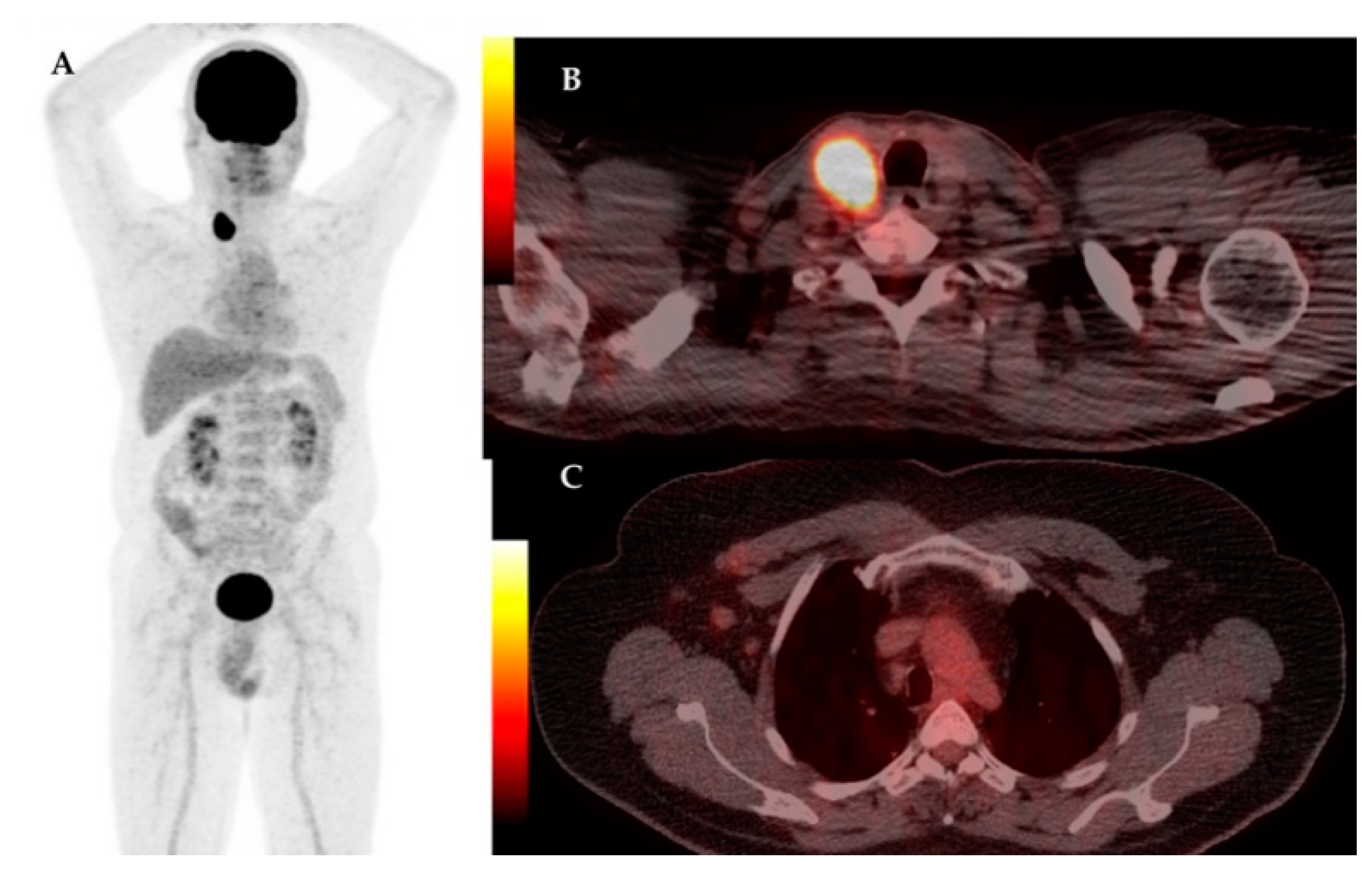
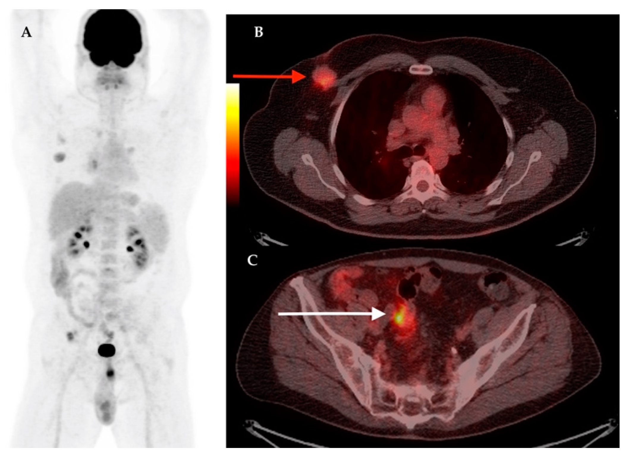
3. Results
4. Discussion
5. Conclusions
Author Contributions
Funding
Institutional Review Board Statement
Informed Consent Statement
Data Availability Statement
Conflicts of Interest
References
- Macdonald, S.; Oncology, R.; General, M. Breast Cancer Breast Cancer. J. R. Soc. Med. 2016, 70, 515–517. [Google Scholar]
- Ulaner, G.A.; Castillo, R.; Wills, J.; Gönen, M.; Goldman, D.A. (18)F-FDG-PET/CT for systemic staging of patients with newly diagnosed ER-positive and HER2-positive breast cancer. Eur. J. Nucl. Med. Mol. Imaging 2017, 44, 1420–1427. [Google Scholar] [CrossRef] [PubMed]
- Groheux, D. FDG-PET/CT for systemic staging of patients with newly diagnosed breast cancer. Eur. J. Nucl. Med. Mol. Imaging 2017, 44, 1417–1419. [Google Scholar] [CrossRef] [PubMed]
- Hyland, C.J.; Varghese, F.; Yau, C.; Beckwith, H.; Khoury, K.; Varnado, W.; Hirst, G.L.; Flavell, R.R.; Chien, A.J.; Yee, D.; et al. Use of 18F-FDG PET/CT as an Initial Staging Procedure for Stage II–III Breast Cancer: A Multicenter Value Analysis. J. Natl. Compr. Cancer Netw. 2020, 18, 1510–1517. [Google Scholar] [CrossRef]
- Ko, H.; Baghdadi, Y.; Love, C.; Sparano, J.A. Clinical utility of 18F-FDG-PET/CT in staging localized breast cancer prior to initiating preoperative systemic therapy. J. Clin. Oncol. 2020, 38, 563. [Google Scholar] [CrossRef]
- Evangelista, L.; Bertagna, F.; Bertoli, M.; Stela, T.; Saladini, G.; Giubbini, R. Diagnostic and Prognostic Value of 18F-FDG PET/CT in Male Breast Cancer: Results From a Bicentric Population. Curr. Radiopharm. 2016, 9, 169–177. [Google Scholar] [CrossRef] [PubMed]
- Ulaner, G.A.; Juarez, J.; Riedl, C.C.; Goldman, D.A. (18)F-FDG PET/CT for Systemic Staging of Newly Diagnosed Breast Cancer in Men. J. Nucl. Med. 2019, 60, 472–477. [Google Scholar] [CrossRef]
- Groheux, D.; Hindié, E.; Marty, M.; Espié, M.; Rubello, D.; Vercellino, L.; Bousquet, G.; Ohnona, J.; Toubert, M.-E.; Merlet, P.; et al. 18F-FDG-PET/CT in staging, restaging, and treatment response assessment of male breast cancer. Eur. J. Radiol. 2014, 83, 1925–1933. [Google Scholar] [CrossRef]
- McEachen, J.C.; Kuo, P.H. Male primary breast cancer found on FDG-PET/CT. Clin. Nucl. Med. 2008, 33, 630–632. [Google Scholar] [CrossRef]
- Sarma, M.; Borde, C.; Subramanyam, P.; Shanmuga Sundaram, P. Random synchronous malignancy in male breast: A case report. J. Breast Cancer 2013, 16, 442–446. [Google Scholar] [CrossRef]
- Vadi, S.K.; Mittal, B.R.; Sood, A.; Singh, G.; Bal, A.; Parihar, A.S.; Bhattacharya, A.; Basher, R.K.; Kapoor, R. Diagnostic and prognostic value of 18F-FDG PET/CT imaging in suspected recurrence of male breast cancer. Nucl. Med. Commun. 2019, 40, 63–72. [Google Scholar] [CrossRef]
- Boellaard, R.; Delgado-Bolton, R.; Oyen, W.J.G.; Giammarile, F.; Tatsch, K.; Eschner, W.; Verzijlbergen, F.J.; Barrington, S.F.; Pike, L.C.; Weber, W.A.; et al. FDG PET/CT: EANM procedure guidelines for tumour imaging: Version 2.0. Eur. J. Nucl. Med. Mol. Imaging 2015, 42, 328–354. [Google Scholar] [CrossRef] [PubMed]
- Srour, M.K.; Amersi, F.; Mirocha, J.; Giuliano, A.E.; Chung, A. Male Breast Cancer: 13-Year Single Institution Experience. Am. Surg. 2020, 86, 1345–1350. [Google Scholar] [CrossRef] [PubMed]
- Swamy, N.; Rohilla, M.; Raichandani, S.; Bryant-Smith, G. Epidemiology of male breast diseases: A 10-year institutional review. Clin. Imaging 2020, 72, 142–150. [Google Scholar] [CrossRef] [PubMed]
- Bick, U.; Helbich, T.H. Follow-Up of Patients with Breast Cancer: Imaging of Local Recurrence and Distant Metastases; Hodler, J., Kubik-Huch, R.A., von Schulthess, G.K., Eds.; Springer: Cham, Switzerland, 2019; pp. 167–178. ISBN 978-3-030-11148-9. [Google Scholar]
- Giani, C.; Fierabracci, P.; Bonacci, R.; Gigliotti, A.; Campani, D.; De Negri, F.; Cecchetti, D.; Martino, E.; Pinchera, A. Relationship between breast cancer and thyroid disease: Relevance of autoimmune thyroid disorders in breast malignancy. J. Clin. Endocrinol. Metab. 1996, 81, 990–994. [Google Scholar] [PubMed]
- Kuo, J.H.; Chabot, J.A.; Lee, J.A. Breast cancer in thyroid cancer survivors: An analysis of the Surveillance, Epidemiology, and End Results-9 database. Surgery 2016, 159, 23–29. [Google Scholar] [CrossRef]
- Bhatia, S.; Sklar, C. Second cancers in survivors of childhood cancer. Nat. Rev. Cancer 2002, 2, 124–132. [Google Scholar] [CrossRef]
- Kawabata, W.; Suzuki, T.; Moriya, T.; Fujimori, K.; Naganuma, H.; Inoue, S.; Kinouchi, Y.; Kameyama, K.; Takami, H.; Shimosegawa, T.; et al. Estrogen receptors (alpha and beta) and 17beta-hydroxysteroid dehydrogenase type 1 and 2 in thyroid disorders: Possible in situ estrogen synthesis and actions. Mod. Pathol. 2003, 16, 437–444. [Google Scholar] [CrossRef] [PubMed]
- Arer, İ.M.; Yabanoğlu, H.; Kuş, M.; Akdur, A.; Avcı, T. Retrospective Analysis of Patients with Synchronous Primary Breast and Thyroid Carcinoma. Eur. J. Breast Health 2018, 14, 80–84. [Google Scholar] [CrossRef]
- Moosavi, L.; Kim, P.; Uche, A.; Cobos, E. A Synchronous Diagnosis of Metastatic Male Breast Cancer and Prostate Cancer. J. Investig. Med. High Impact Case Rep. 2019, 7, 2324709619847230. [Google Scholar] [CrossRef]
- Rudlowski, C. Male Breast Cancer. Breast Care (Bassel) 2008, 3, 183–189. [Google Scholar] [CrossRef] [PubMed]






| Age (Years) | 61.34 |
|---|---|
| Tumor size | |
| T in situ | 4 |
| T1 | 20 |
| T2 | 43 |
| T3 | 16 |
| T4 | 68 |
| NA | 19 |
| Grading (G) | |
| 3 (High) | 35 |
| 2 (Intermediate) | 92 |
| 1 (Low) | 18 |
| NA | 35 |
| Lymph nodes (N) status | |
| N0 | 13 |
| N1 | 48 |
| N2 | 33 |
| N3 | 15 |
| NA | 61 |
| Metastasis (M) | |
| M0 | 151 |
| M1 (skin, bone, lung, brain, hepatic) | 6/5/4/1/1 |
| NA | 2 |
| Receptors status | |
| ER+/ER−/NA | 138/10/22 |
| PR+/PR−/NA | 137/12/21 |
| HER2–0/1/2/3/NA | 43/26/15/79 |
| Stage | |
| IA,B | 6 |
| IIA | 17 |
| IIB | 9 |
| IIIA | 12 |
| IIIB | 27 |
| IIIC | 14 |
| IV | 6 |
| NA | 79 |
| Surgical Therapy | |
| Radical mastectomy | 149 |
| Breast conservative surgery | 2 |
| No surgery | 19 |
| ALND | 19 |
| SLND | 2 |
| No axillary evaluation | 19 |
| External Beam Radiotherapy | |
| Yes | 74 |
| No | 96 |
| Neoadjuvant chemotherapy | |
| Yes/No | 55/115 |
| Adjuvant chemotherapy | |
| Yes/No | 62/118 |
| Adjuvant antiestrogenic therapy | |
| Yes/No | 102/68 |
| Alive/Death/NA | 95/70/5 |
| No. | Age | Histo. | Surgery | CHT | EBR | Stage | Mets * | New Mets ** | SUV1 Max | Synchronous Cancer | SUV2 Max |
|---|---|---|---|---|---|---|---|---|---|---|---|
| 1 | 66 | IDC | RM + SLND | Yes | Yes | IV | LN, Bn | LN, Lu | 7.04 | – | – |
| 2 | 60 | IDC | RM + ALND | NA | Yes | IIIA | – | – | – | – | – |
| 3 | 66 | IDC | RM + ALND | – | – | IIA | – | – | – | – | – |
| 4 | 61 | IDC | RM | – | – | IIA | – | – | – | – | – |
| 5 | 70 | IDC | RM + ALND | – | – | IB | – | Lu, Su | 3.37 | Colon cancer | 5.27 |
| 6 | 52 | IDC | RM + ALND | – | – | IIA | – | LN | 4.77 | – | – |
| 7 | 47 | IDC | Biopsy | – | Yes | IIIC | LN | Bn, Sk | 18.36 | – | – |
| 8 | 52 | IDC | RM + ALND | Yes | Yes | IV | LN, Bn | Lu | 4.38 | – | – |
| 9 | 67 | IDC | RM + ALND | Yes | Yes | IIA | – | – | – | – | – |
| 10 | 57 | IDC | RM + ALND | NA | NA | IB | – | LN | 1.55 | – | – |
| 11 | 47 | IDC | RM + ALND | – | – | IIB | – | LN, Bn | 10.61 | – | – |
| 12 | 79 | PBC | RM + ALND | Yes | Yes | IB | – | – | – | – | – |
| 13 | 67 | IDC | RM + ALND | – | – | IIB | LN | LN, L | 4.43 | – | – |
| 14 | 68 | IDC | RM + ALND | Yes | Yes | IIIB | LN | LN, Bn | 7.04 | Prostate cancer | 5.01– |
| 15 | 52 | IDC | RM + ALND | Yes | Yes | IIB | – | – | – | – | – |
| 16 | 64 | ILC | RM + ALND | – | – | IIA | – | – | – | – | – |
| 17 | 61 | IDC | RM + ALND | Yes | Yes | IIIB | LN | LN, Lu, M, Bn | 3.1 | Hodgkin Lymphoma | 11.6 |
| 18 | 42 | IDC | RM + ALND | Yes | Yes | IIIC | – | – | – | – | – |
| 19 | 74 | IDC | RM + ALND | Yes | Yes | IIIC | LN, Bn | LN, Sk, M | 6.21 | – | – |
| 20 | 59 | IDC | RM + ALND | Yes | Yes | IIIB | – | LN, Sk | 8.6 | – | – |
| 21 | 61 | IDC | RM + ALND | Yes | Yes | IIC | LN | – | 2.38 | Thyroid cancer | 23.1 |
| 22 | 69 | IDC | RM + ALND | NA | NA | IIA | – | – | – | – | – |
| 23 | 55 | ILC | RM + ALND | Yes | Yes | IIB | – | – | – | – | – |
Publisher’s Note: MDPI stays neutral with regard to jurisdictional claims in published maps and institutional affiliations. |
© 2021 by the authors. Licensee MDPI, Basel, Switzerland. This article is an open access article distributed under the terms and conditions of the Creative Commons Attribution (CC BY) license (http://creativecommons.org/licenses/by/4.0/).
Share and Cite
Piciu, A.; Piciu, D.; Polocoser, N.; Kovendi, A.A.; Almasan, I.; Mester, A.; Morariu, D.-S.; Cainap, C.; Cainap, S.S. Diagnostic Performance of F18-FDG PET/CT in Male Breast Cancers Patients. Diagnostics 2021, 11, 119. https://doi.org/10.3390/diagnostics11010119
Piciu A, Piciu D, Polocoser N, Kovendi AA, Almasan I, Mester A, Morariu D-S, Cainap C, Cainap SS. Diagnostic Performance of F18-FDG PET/CT in Male Breast Cancers Patients. Diagnostics. 2021; 11(1):119. https://doi.org/10.3390/diagnostics11010119
Chicago/Turabian StylePiciu, Andra, Doina Piciu, Narcis Polocoser, Anita A. Kovendi, Iulia Almasan, Alexandru Mester, Dragos-Stefan Morariu, Calin Cainap, and Simona Sorana Cainap. 2021. "Diagnostic Performance of F18-FDG PET/CT in Male Breast Cancers Patients" Diagnostics 11, no. 1: 119. https://doi.org/10.3390/diagnostics11010119
APA StylePiciu, A., Piciu, D., Polocoser, N., Kovendi, A. A., Almasan, I., Mester, A., Morariu, D.-S., Cainap, C., & Cainap, S. S. (2021). Diagnostic Performance of F18-FDG PET/CT in Male Breast Cancers Patients. Diagnostics, 11(1), 119. https://doi.org/10.3390/diagnostics11010119

