Potential Receptors for Targeted Imaging of Lymph Node Metastases in Penile Cancer
Abstract
1. Introduction
2. Materials and Methods
2.1. Patient Samples
2.2. Immunohistochemistry
2.3. Evaluation of Staining
2.4. Data Analysis
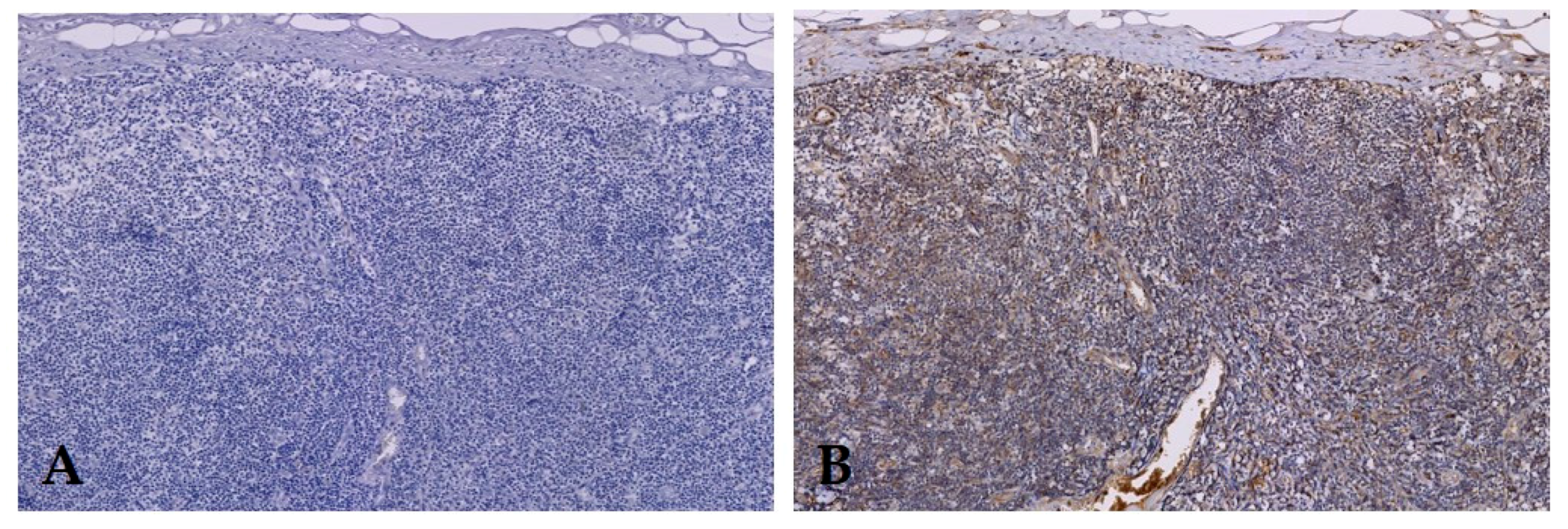
3. Results
4. Discussion
5. Conclusions
Author Contributions
Funding
Conflicts of Interest
Abbreviations
| AB | Antibody |
| CK | Cytokeratin |
| EGFR | Epidermal Growth Factor Receptor |
| EpCAM | Epithelial Cell Adhesion Molecule |
| IS | Intensity Score |
| LN | Lymph Node |
| PS | Proportion Score |
| PSCC | Penile Squamous Cell Carcinoma |
| PSMA | Prostate Specific Membrane Antigen |
| TIS | Total Immunostaining |
| VEGF | Vascular Endothelial Growth Factor |
References
- Hakenberg, O.W.; Comperat, E.M.; Minhas, S.; Necchi, A.; Protzel, C.; Watkin, N. EAU Guidelines on Penile Cancer: 2014 Update. Eur. Urol. 2015, 67, 142–150. [Google Scholar] [CrossRef] [PubMed]
- Kamel, M.H.; Khalil, M.I.; Davis, R.; Spiess, P.E. Management of the Clinically Negative (cN0) Groin Penile Cancer Patient: A Review. Urology 2019, 131, 5–13. [Google Scholar] [CrossRef]
- Koifman, L.; Hampl, D.; Koifman, N.; Vides, A.J.; Ornellas, A.A. Radical Open Inguinal Lymphadenectomy for Penile Carcinoma: Surgical Technique, Early Complications and Late Outcomes. J. Urol. 2013, 190, 2086–2092. [Google Scholar] [CrossRef]
- Horenblas, S.; Jansen, L.; Meinhardt, W.; Hoefnagel, C.A.; de Jong, D.; Nieweg, O.E. Detection of Occult Metastasis in Squamous Cell Carcinoma of the Penis using a Dynamic Sentinel Node Procedure. J. Urol. 2000, 163, 100–104. [Google Scholar] [CrossRef]
- Chang, S.S.; Reuter, V.E.; Heston, W.D.; Bander, N.H.; Grauer, L.S.; Gaudin, P.B. Five Different Anti-Prostate-Specific Membrane Antigen (PSMA) Antibodies Confirm PSMA Expression in Tumor-Associated Neovasculature. Cancer Res. 1999, 59, 3192–3198. [Google Scholar]
- Maurer, T.; Eiber, M.; Schwaiger, M.; Gschwend, J.E. Current use of PSMA-PET in Prostate Cancer Management. Nat. Rev. Urol. 2016, 13, 226–235. [Google Scholar] [CrossRef]
- Ferrara, N. Vascular Endothelial Growth Factor: Basic Science and Clinical Progress. Endocr. Rev. 2004, 25, 581–611. [Google Scholar] [CrossRef] [PubMed]
- Fakurnejad, S.; van Keulen, S.; Nishio, N.; Engelen, M.; van den Berg, N.S.; Lu, G.; Birkeland, A.; Baik, F.; Colevas, A.D.; Rosenthal, E.L.; et al. Fluorescence Molecular Imaging for Identification of High-Grade Dysplasia in Patients with Head and Neck Cancer. Oral Oncol. 2019, 97, 50–55. [Google Scholar] [CrossRef] [PubMed]
- van Oosten, M.; Crane, L.M.; Bart, J.; van Leeuwen, F.W.; van Dam, G.M. Selecting Potential Targetable Biomarkers for Imaging Purposes in Colorectal Cancer using TArget Selection Criteria (TASC): A Novel Target Identification Tool. Transl. Oncol. 2011, 4, 71–82. [Google Scholar] [CrossRef] [PubMed]
- Lamberts, L.E.; Koch, M.; de Jong, J.S.; Adams, A.L.L.; Glatz, J.; Kranendonk, M.E.G.; van Scheltinga, A.G.T.T.; Jansen, L.; de Vries, J.; Lub-de Hooge, M.N.; et al. Tumor-Specific Uptake of Fluorescent Bevacizumab-IRDye800CW Microdosing in Patients with Primary Breast Cancer: A Phase I Feasibility Study. Clin. Cancer Res. 2017, 23, 2730–2741. [Google Scholar] [CrossRef] [PubMed]
- van der Fels, C.A.M.; Rosati, S.; de Jong, I.J. EpCAM Expression in Lymph Node Metastases of Urothelial Cell Carcinoma of the Bladder: A Pilot Study. Int. J. Mol. Sci. 2017, 18, 1802. [Google Scholar] [CrossRef] [PubMed]
- Spizzo, G.; Went, P.; Dirnhofer, S.; Obrist, P.; Simon, R.; Spichtin, H.; Maurer, R.; Metzger, U.; von Castelberg, B.; Bart, R.; et al. High Ep-CAM Expression is Associated with Poor Prognosis in Node-Positive Breast Cancer. Breast Cancer Res. Treat. 2004, 86, 207–213. [Google Scholar] [CrossRef] [PubMed]
- Rybalov, M.; Ananias, H.J.; Hoving, H.D.; van der Poel, H.G.; Rosati, S.; de Jong, I.J. PSMA, EpCAM, VEGF and GRPR as Imaging Targets in Locally Recurrent Prostate Cancer After Radiotherapy. Int. J. Mol. Sci. 2014, 15, 6046–6061. [Google Scholar] [CrossRef]
- Lavens, N.; Gupta, R.; Wood, L.A. EGFR Overexpression in Squamous Cell Carcinoma of the Penis. Curr. Oncol. 2010, 17, 4–6. [Google Scholar]
- Chaux, A.; Munari, E.; Katz, B.; Sharma, R.; Lecksell, K.; Cubilla, A.L.; Burnett, A.L.; Netto, G.J. The Epidermal Growth Factor Receptor is Frequently Overexpressed in Penile Squamous Cell Carcinomas: A Tissue Microarray and Digital Image Analysis Study of 112 Cases. Hum. Pathol. 2013, 44, 2690–2695. [Google Scholar] [CrossRef] [PubMed]
- Li, D.; Han, Z.; Liu, J.; Zhang, X.; Ren, J.; Yan, L.; Liu, H.; Xu, Z. Upregulation of Nucleus HDGF Predicts Poor Prognostic Outcome in Patients with Penile Squamous Cell Carcinoma Bypass VEGF-A and Ki-67. Med. Oncol. 2013, 30, 702. [Google Scholar] [CrossRef]
- Froehner, M.; Kuithan, F.; Zophel, K.; Heberling, U.; Laniado, M.; Wirth, M.P. Prostate-Specific Membrane Antigen-Targeted Ligand Positron Emission Tomography/Computed Tomography and Immunohistochemical Findings in a Patient with Synchronous Metastatic Penile and Prostate Cancer. Urology 2017, 101, e5–e6. [Google Scholar] [CrossRef]
- Brunner, A.; Schaefer, G.; Veits, L.; Brunner, B.; Prelog, M.; Ensinger, C. EpCAM Overexpression is Associated with High-Grade Urothelial Carcinoma in the Renal Pelvis. Anticancer Res. 2008, 28, 125–128. [Google Scholar]
- Vuichoud, C.; Klap, J.; Loughlin, K.R. The Emerging Role and Promise of Biomarkers in Penile Cancer. Urol. Clin. N. Am. 2016, 43, 135–143. [Google Scholar] [CrossRef]
- Hori, Y.; Ito, K.; Hamamichi, S.; Ozawa, Y.; Matsui, J.; Umeda, I.O.; Fujii, H. Functional Characterization of VEGF- and FGF-Induced Tumor Blood Vessel Models in Human Cancer Xenografts. Anticancer Res. 2017, 37, 6629–6638. [Google Scholar]
- Wierzbicki, P.M.; Klacz, J.; Kotulak-Chrzaszcz, A.; Wronska, A.; Stanislawowski, M.; Rybarczyk, A.; Ludziejewska, A.; Kmiec, Z.; Matuszewski, M. Prognostic Significance of VHL, HIF1A, HIF2A, VEGFA and p53 Expression in Patients with Clearcell Renal Cell Carcinoma Treated with Sunitinib as Firstline Treatment. Int. J. Oncol. 2019, 55, 371–390. [Google Scholar] [PubMed]
- Li, R.; Younes, M.; Wheeler, T.M.; Scardino, P.; Ohori, M.; Frolov, A.; Ayala, G. Expression of Vascular Endothelial Growth Factor Receptor-3 (VEGFR-3) in Human Prostate. Prostate 2004, 58, 193–199. [Google Scholar] [CrossRef] [PubMed]
- Normanno, N.; De Luca, A.; Bianco, C.; Strizzi, L.; Mancino, M.; Maiello, M.R.; Carotenuto, A.; De Feo, G.; Caponigro, F.; Salomon, D.S. Epidermal Growth Factor Receptor (EGFR) Signaling in Cancer. Gene 2006, 366, 2–16. [Google Scholar] [CrossRef] [PubMed]
- da Silva Amancio, A.M.T.; da Cunha, I.W.; Neves, J.I.; Quetz, J.D.; Carraro, D.M.; Rocha, R.M.; Zequi, S.C.; Cubilla, A.L.; da Fonseca, F.P.; Lopes, A.; et al. Epidermal Growth Factor Receptor as an Adverse Survival Predictor in Squamous Cell Carcinoma of the Penis. Hum. Pathol. 2017, 61, 97–104. [Google Scholar] [CrossRef] [PubMed]
- Wu, J.; Cheng, K.; Yuan, L.; Du, Y.; Li, C.; Chen, Y.; Yang, Y.; Gou, H.F.; Xu, F.; Liu, J.Y. Recurrent Penile Squamous Cell Carcinoma Successfully Treated with Cetuximab, Chemotherapy, and Radiotherapy. Clin. Genitourin. Cancer 2016, 14, e135–e137. [Google Scholar] [CrossRef]
- Rescigno, P.; Matano, E.; Raimondo, L.; Mainolfi, C.; Federico, P.; Buonerba, C.; Di Trolio, R.; D’Aniello, C.; Damiano, V.; Palmieri, G.; et al. Combination of Docetaxel and Cetuximab for Penile Cancer: A Case Report and Literature Review. Anticancer Drugs 2012, 23, 573–577. [Google Scholar] [CrossRef]
- Di Lorenzo, G.; Buonerba, C.; Ferro, M.; Calderoni, G.; Bozza, G.; Federico, P.; Tedesco, B.; Ruggieri, V.; Aieta, M. The Epidermal Growth Factor Receptors as Biological Targets in Penile Cancer. Expert Opin. Biol. Ther. 2015, 15, 473–476. [Google Scholar] [CrossRef]
- Carthon, B.C.; Ng, C.S.; Pettaway, C.A.; Pagliaro, L.C. Epidermal Growth Factor Receptor-Targeted Therapy in Locally Advanced Or Metastatic Squamous Cell Carcinoma of the Penis. BJU Int. 2014, 113, 871–877. [Google Scholar] [CrossRef]
- Grothey, A.; Ellis, L.M. Targeting Angiogenesis Driven by Vascular Endothelial Growth Factors using Antibody-Based Therapies. Cancer J. 2008, 14, 170–177. [Google Scholar] [CrossRef]
- Cohen, R.; Stammes, M.A.; de Roos, I.H.; Stigter-van Walsum, M.; Visser, G.W.; van Dongen, G.A. Inert Coupling of IRDye800CW to Monoclonal Antibodies for Clinical Optical Imaging of Tumor Targets. EJNMMI Res. 2011, 1, 1–13. [Google Scholar] [CrossRef]
- Rosenthal, E.L.; Warram, J.M.; de Boer, E.; Chung, T.K.; Korb, M.L.; Brandwein-Gensler, M.; Strong, T.V.; Schmalbach, C.E.; Morlandt, A.B.; Agarwal, G.; et al. Safety and Tumor Specificity of Cetuximab-IRDye800 for Surgical Navigation in Head and Neck Cancer. Clin. Cancer Res. 2015, 21, 3658–3666. [Google Scholar] [CrossRef] [PubMed]
- Warram, J.M.; de Boer, E.; Moore, L.S.; Schmalbach, C.E.; Withrow, K.P.; Carroll, W.R.; Richman, J.S.; Morlandt, A.B.; Brandwein-Gensler, M.; Rosenthal, E.L. A Ratiometric Threshold for Determining Presence of Cancer during Fluorescence-Guided Surgery. J. Surg. Oncol. 2015, 112, 2–8. [Google Scholar] [CrossRef] [PubMed]
- Harari, P.M. Epidermal Growth Factor Receptor Inhibition Strategies in Oncology. Endocr. Relat. Cancer 2004, 11, 689–708. [Google Scholar] [CrossRef] [PubMed]
- Oosting, S.F.; Brouwers, A.H.; van Es, S.C.; Nagengast, W.B.; Oude Munnink, T.H.; Lub-de Hooge, M.N.; Hollema, H.; de Jong, J.R.; de Jong, I.J.; de Haas, S.; et al. 89Zr-Bevacizumab PET Visualizes Heterogeneous Tracer Accumulation in Tumor Lesions of Renal Cell Carcinoma Patients and Differential Effects of Antiangiogenic Treatment. J. Nucl. Med. 2015, 56, 63–69. [Google Scholar] [CrossRef]




| VEGF | EGFR | ||||||
|---|---|---|---|---|---|---|---|
| n | PS (IQR) | IS (IQR) | TIS (IQR) | PS (IQR) | IS (IQR) | TIS (IQR) | |
| Primary PSCC | 22 | 4 (3–4) | 2 (2–3) | 8 (6–12) | 3 (2.75–4) | 2.5 (2–3) | 8 (6–9.75) |
| LN + PSCC | 25 | 4 (3–4) | 2 (2–2) | 8 (6–8) | 3 (2–3) | 2 (1–2) | 6 (2–8) |
| LN | 22 | 3 (2–3) | 2 (1.75–2) | 6 (3.75–6) | 0 (0–0) | 0 (0–0) | 0 (0–0) |
| VEGF | EGFR | PSMA | EpCAM | CK AE1/AE3 | ||||||
|---|---|---|---|---|---|---|---|---|---|---|
| n | TIS (IQR) | n | TIS (IQR) | n | TIS (IQR) | n | TIS (IQR) | n | TIS (IQR) | |
| Primary PSCC | 22 | 8 (6–12) | 22 | 8 (6–10) | 5 | 0 (0–2) | 5 | 0 (0–0) | 22 | 12 (12–12) |
| LN + PSCC | 25 | 8 (6–8) | 25 | 6 (2–8) | 5 | 2 (1–2) | 5 | 0 (0–0) | 25 | 12 (12–12) |
| LN | 22 | 6 (4–6) | 22 | 0 (0–0) | ||||||
© 2020 by the authors. Licensee MDPI, Basel, Switzerland. This article is an open access article distributed under the terms and conditions of the Creative Commons Attribution (CC BY) license (http://creativecommons.org/licenses/by/4.0/).
Share and Cite
van der Fels, C.A.M.; Palthe, S.; Buikema, H.; van den Heuvel, M.C.; Leliveld, A.; de Jong, I.J. Potential Receptors for Targeted Imaging of Lymph Node Metastases in Penile Cancer. Diagnostics 2020, 10, 694. https://doi.org/10.3390/diagnostics10090694
van der Fels CAM, Palthe S, Buikema H, van den Heuvel MC, Leliveld A, de Jong IJ. Potential Receptors for Targeted Imaging of Lymph Node Metastases in Penile Cancer. Diagnostics. 2020; 10(9):694. https://doi.org/10.3390/diagnostics10090694
Chicago/Turabian Stylevan der Fels, Christa A. M., Selma Palthe, Henk Buikema, Marius C. van den Heuvel, Annemarie Leliveld, and Igle Jan de Jong. 2020. "Potential Receptors for Targeted Imaging of Lymph Node Metastases in Penile Cancer" Diagnostics 10, no. 9: 694. https://doi.org/10.3390/diagnostics10090694
APA Stylevan der Fels, C. A. M., Palthe, S., Buikema, H., van den Heuvel, M. C., Leliveld, A., & de Jong, I. J. (2020). Potential Receptors for Targeted Imaging of Lymph Node Metastases in Penile Cancer. Diagnostics, 10(9), 694. https://doi.org/10.3390/diagnostics10090694
