X-Ray and CT Scan Based Prediction of Best Fit Tracheostomy Tube—A Pilot Study
Abstract
1. Introduction
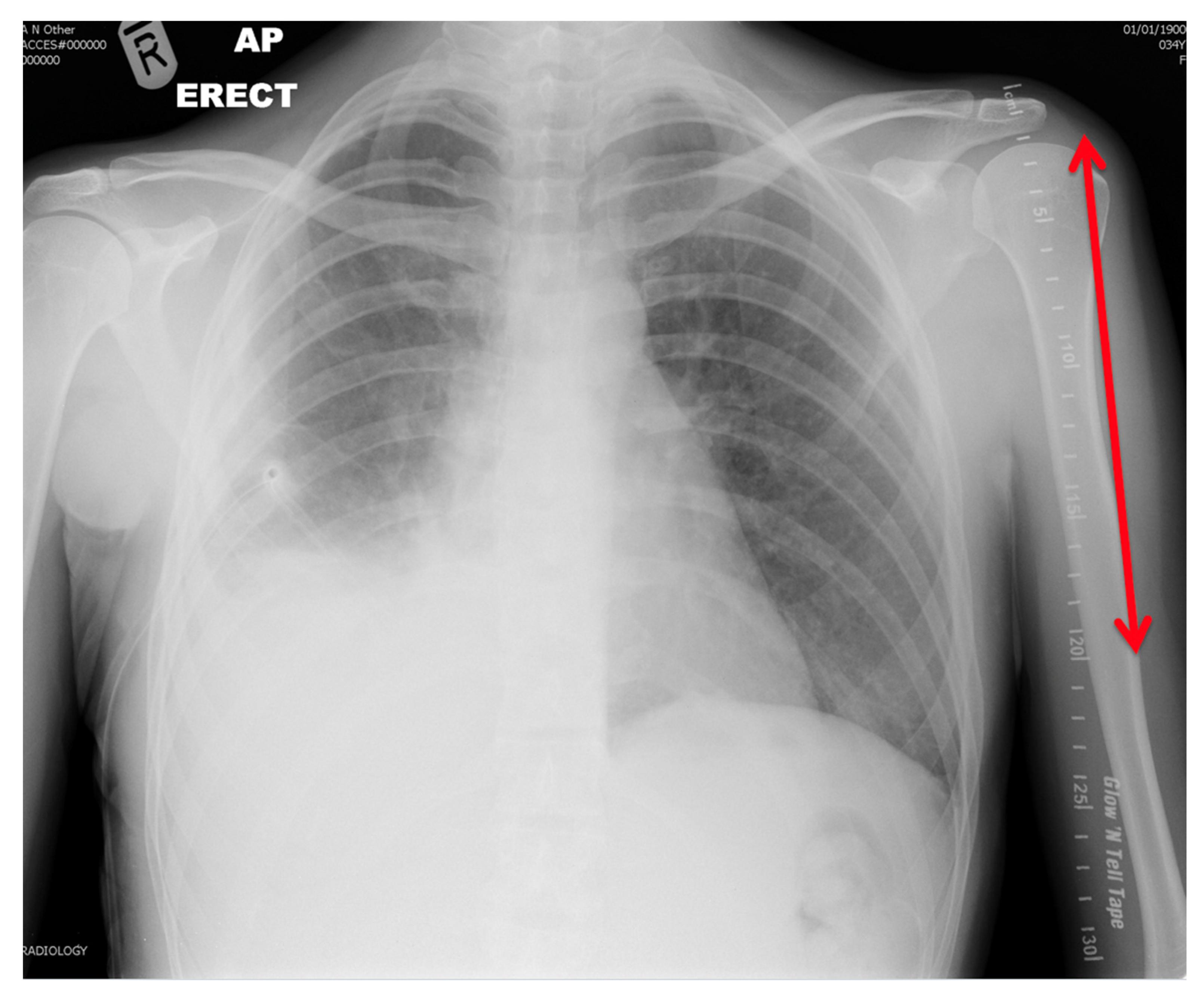
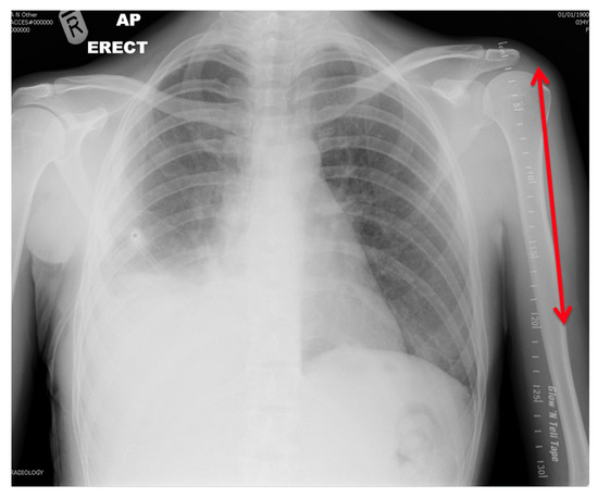
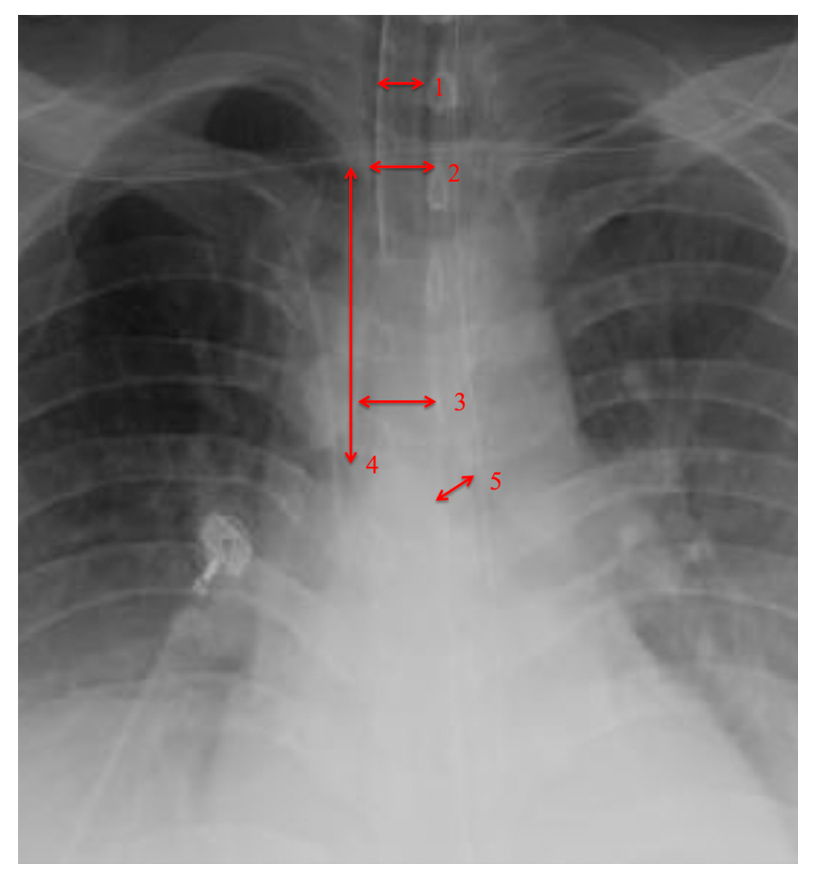
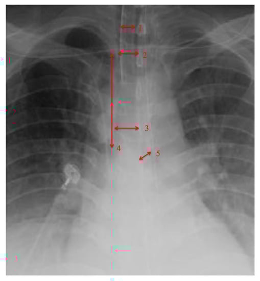
2. Materials and Methods
3. Results
4. Discussion
Author Contributions
Funding
Conflicts of Interest
References
- Wilkinson, K.; Freeth, H.; Kelly, K. ‘On the Right Trach?’ A review of the care received by patients who undergo tracheostomy. Br. J. Hosp. Med. (Lond. Engl. 2005) 2015, 76, 163–165. [Google Scholar] [CrossRef] [PubMed]
- Cheung, N.H.; Napolitano, L.M. Tracheostomy: Epidemiology, indications, timing, technique, and outcomes. Respir. Care 2014, 59, 895–915, discussion 916–919. [Google Scholar] [CrossRef] [PubMed]
- Rangasami, J.; Higgs, A. Tracheostomy care in 2015: Are we on the right trach? J. Intensive Care Soc. 2015, 16, 95–98. [Google Scholar] [CrossRef] [PubMed]
- Putensen, C.; Theuerkauf, N.; Guenther, U.; Vargas, M.; Pelosi, P. Percutaneous and surgical tracheostomy in critically ill adult patients: A meta-analysis. Crit. Care 2014, 18, 544. [Google Scholar] [CrossRef] [PubMed]
- McGrath, B.; Lynch, J.; Coe, B.; Wallace, S.; Bonvento, B.; Eusuf, D.; Firn, M. Collaborative national consensus and prioritisation of tracheostomy quality improvements in the United Kingdom. Br. J. Anaesth. 2018, 120, e27. [Google Scholar] [CrossRef]
- Mallick, A.; Bodenham, A.; Elliot, S.; Oram, J. An investigation into the length of standard tracheostomy tubes in critical care patients. Anaesthesia 2008, 63, 302–306. [Google Scholar] [CrossRef] [PubMed]
- Pandian, V.; Hutchinson, C.T.; Schiavi, A.J.; Feller-Kopman, D.J.; Haut, E.R.; Parsons, N.A.; Lin, J.S.; Gorbatkin, C.; Angamuthu, P.G.; Miller, C.R.; et al. Predicting the need for nonstandard tracheostomy tubes in critically ill patients. J. Crit. Care 2017, 37, 173–178. [Google Scholar] [CrossRef] [PubMed]
- Søreide, K.; Winter, D.C. Global surgery in an ecosystem for worldwide health. BJS Br. J. Surg. 2019, 106, e12–e13. [Google Scholar] [CrossRef] [PubMed]
- Breatnach, E.; Abbott, G.C.; Fraser, R.G. Dimensions of the normal human trachea. Am. J. Roentgenol. 1984, 142, 903–906. [Google Scholar] [CrossRef] [PubMed]
- Stock, M.C.; Woodward, C.G.; Shapiro, B.A.; Cane, R.D.; Lewis, V.; Pecaro, B. Perioperative complications of elective tracheostomy in critically ill patients. Crit. Care Med. 1986, 14, 861–863. [Google Scholar] [CrossRef] [PubMed]
- White, A.C.; Kher, S.; O’Connor, H.H. When to change a tracheostomy tube. Respir. Care 2010, 55, 1069–1075. [Google Scholar] [PubMed]
- Davis, K., Jr.; Campbell, R.S.; Johannigman, J.A.; Valente, J.F.; Branson, R.D. Changes in respiratory mechanics after tracheostomy. Arch. Surg. 1999, 134, 59–62. [Google Scholar] [CrossRef] [PubMed]
- Stiles, P.J. Tracheal lesions after tracheostomy. Thorax 1965, 20, 517–522. [Google Scholar] [CrossRef] [PubMed][Green Version]
- Ngoya, P.S.; Muhogora, W.E.; Pitcher, R.D. Defining the diagnostic divide: An analysis of registered radiological equipment resources in a low-income African country. Pan Afr. Med. J. 2016, 25, 99. [Google Scholar] [CrossRef] [PubMed]



| Characteristic | Total n = 23 n(%) |
|---|---|
| Sex-no. (%) | |
| Male | 15(65) |
| Female | 8(35) |
| Age-year | |
| Median (IQR) | 63 (54–70) |
| Range | 21–80 |
| Technique-no. (%) | |
| Surgical | 4(17) |
| Percutaneous | 19(83) |
| Airway Measurement (mm) | Total n = 23 Mean (mm) (±SD) |
|---|---|
| Tracheal Diameter | 15.75 (±4.03) |
| Intrathoracic Tracheal Length | 82.09 (±20.82) |
| Left main bronchus | 12.765 (±2.85) |
| • Tracheal Diameter Measured at 1st Rib > 15 mm |
| • Tracheal diameter measured at carina > 15 mm |
| • Intrathoracic Tracheal length from 1st rib to carina > 80 mm |
| • Left main-stem bronchus diameter > 10 mm |
© 2020 by the authors. Licensee MDPI, Basel, Switzerland. This article is an open access article distributed under the terms and conditions of the Creative Commons Attribution (CC BY) license (http://creativecommons.org/licenses/by/4.0/).
Share and Cite
Corbett, M.; Hughes, I.; O’Shea, J.; Davey, M.G.; Savage, J.; Hughes, J.; Wallis, F. X-Ray and CT Scan Based Prediction of Best Fit Tracheostomy Tube—A Pilot Study. Diagnostics 2020, 10, 506. https://doi.org/10.3390/diagnostics10080506
Corbett M, Hughes I, O’Shea J, Davey MG, Savage J, Hughes J, Wallis F. X-Ray and CT Scan Based Prediction of Best Fit Tracheostomy Tube—A Pilot Study. Diagnostics. 2020; 10(8):506. https://doi.org/10.3390/diagnostics10080506
Chicago/Turabian StyleCorbett, Mel, Isobel Hughes, John O’Shea, Matthew G. Davey, Jane Savage, Joseph Hughes, and Fintan Wallis. 2020. "X-Ray and CT Scan Based Prediction of Best Fit Tracheostomy Tube—A Pilot Study" Diagnostics 10, no. 8: 506. https://doi.org/10.3390/diagnostics10080506
APA StyleCorbett, M., Hughes, I., O’Shea, J., Davey, M. G., Savage, J., Hughes, J., & Wallis, F. (2020). X-Ray and CT Scan Based Prediction of Best Fit Tracheostomy Tube—A Pilot Study. Diagnostics, 10(8), 506. https://doi.org/10.3390/diagnostics10080506

